JavaScript is disabled in your browser. Please enable JavaScript to view this website.
AB228877

Anti-p27 KIP 1 (phospho S10) antibody [EP233(2)Y] - BSA and Azide free

Be the first to review this product! Submit a review

|

(1 Publication)

Rabbit Recombinant Monoclonal p27 KIP 1 phospho S10 antibody. Carrier free. Suitable for IP, Dot, WB, IHC-P and reacts with Human, Mouse, Rat, Monkey, Synthetic peptide samples. Cited in 1 publication.

View Alternative Names

KIP1, p27, CDKN1B, Cyclin-dependent kinase inhibitor 1B, Cyclin-dependent kinase inhibitor p27, p27Kip1

4 Images
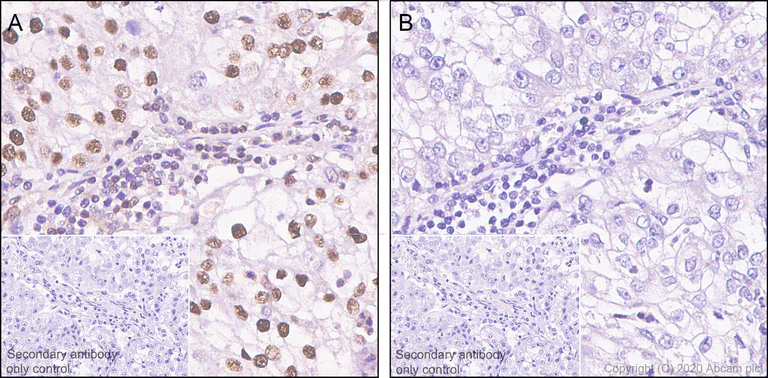
Immunohistochemistry (Formalin/PFA-fixed paraffin-embedded sections) - Anti-p27 KIP 1 (phospho S10) antibody [EP233(2)Y] - BSA and Azide free (AB228877)
  • IHC-P

Lab

Immunohistochemistry (Formalin/PFA-fixed paraffin-embedded sections) - Anti-p27 KIP 1 (phospho S10) antibody [EP233(2)Y] - BSA and Azide free (AB228877)

This data was developed using ab62364 the same antibody clone in a different buffer formulation.
Immunohistochemistry (Formalin/PFA-fixed paraffin-embedded sections) analysis of human colon cancer tissue sections labeling p27 KIP 1 with Purified ab62364 at 1 : 100 dilution (4.19 µg/ml). Heat mediated antigen retrieval using Bond™ Epitope Retrieval Solution 2 (pH 9.0). Rabbit specific IHC polymer detection kit HRP/DAB (ab209101) was used as the secondary antibody. Negative control : PBS instead of the primary antibody. Hematoxylin was used as a counterstain.

Immunoprecipitation - Anti-p27 KIP 1 (phospho S10) antibody [EP233(2)Y] - BSA and Azide free (AB228877)
  • IP

Unknown

Immunoprecipitation - Anti-p27 KIP 1 (phospho S10) antibody [EP233(2)Y] - BSA and Azide free (AB228877)

This data was developed using ab62364, the same antibody clone in a different buffer formulation.

Purified ab62364 at 1/50 dilution (2μg) immunoprecipitating p27 KIP 1 in MCF7 whole cell lysate.
Lane 1 (input) : MCF7 (Human breast adenocarcinoma epithelial cell) whole cell lysate 10μg
Lane 2 (+) : ab62364 + MCF7 whole cell lysate.
Lane 3 (-) : Rabbit monoclonal IgG (ab172730) instead of ab62364 in MCF7 whole cell lysate.
VeriBlot for IP Detection Reagent (HRP) (ab131366) (1/1000 dilution) was used for Western blotting.
Blocking Buffer and concentration : 5% NFDM/TBST.
Diluting buffer and concentration : 5% NFDM/TBST.
Observed band size : 27 kDa

All lanes:

Immunoprecipitation - Anti-p27 KIP 1 (phospho S10) antibody [EP233(2)Y] (<a href='/en-us/products/primary-antibodies/p27-kip-1-phospho-s10-antibody-ep2332y-ab62364'>ab62364</a>)

Predicted band size: 22 kDa

false

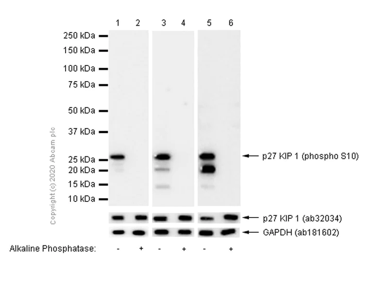
Western blot - Anti-p27 KIP 1 (phospho S10) antibody [EP233(2)Y] - BSA and Azide free (AB228877)
  • WB

Unknown

Western blot - Anti-p27 KIP 1 (phospho S10) antibody [EP233(2)Y] - BSA and Azide free (AB228877)

This data was developed using ab62364, the same antibody clone in a different buffer formulation.

Blocking buffer : 5% NFDM/TBST

All lanes:

Western blot - Anti-p27 KIP 1 (phospho S10) antibody [EP233(2)Y] (<a href='/en-us/products/primary-antibodies/p27-kip-1-phospho-s10-antibody-ep2332y-ab62364'>ab62364</a>) at 1/1000 dilution

Lane 1:

HeLa (Human cervix adenocarcinoma epithelial cell) whole cell lysate at 15 µg

Lane 2:

HeLa (Human cervix adenocarcinoma epithelial cell) whole cell lysate, membrane treated with Alkaline Phosphatase for 1 hour at 15 µg

Lane 3:

NIH/3T3 (Mouse embryonic fibroblast) whole cell lysate at 15 µg

Lane 4:

NIH/3T3 (Mouse embryonic fibroblast) whole cell lysate, membrane treated with Alkaline Phosphatase for 1 hour at 15 µg

Lane 5:

C6 (Rat glial tumor glial cell) whole cell lysate at 15 µg

Lane 6:

C6 (Rat glial tumor glial cell) whole cell lysate, membrane treated with Alkaline Phosphatase for 1 hour at 15 µg

Secondary

All lanes:

Western blot - Goat Anti-Rabbit IgG H&L (HRP) (<a href='/en-us/products/secondary-antibodies/goat-rabbit-igg-h-l-hrp-ab97051'>ab97051</a>) at 1/20000 dilution

Predicted band size: 22 kDa

Observed band size: 27 kDa

false

Dot Blot - Anti-p27 KIP 1 (phospho S10) antibody [EP233(2)Y] - BSA and Azide free (AB228877)
  • Dot

Unknown

Dot Blot - Anti-p27 KIP 1 (phospho S10) antibody [EP233(2)Y] - BSA and Azide free (AB228877)

Dot blot analysis of p27 KIP 1 (pS10) phospho peptide (Lane 1) and p27 KIP 1 non-phospho peptide (Lane 2) using ab62364 at 1/1000 dilution followed by Goat Anti-Rabbit IgG, (H+L), Peroxidase conjugated (ab97051) at 1/100000 dilution.

Blocking and Diluting buffer and concentration : 5% NFDM /TBST.

Exposure time : 3 minutes.

This data was developed using the same antibody clone in a different buffer formulation containing PBS, BSA, glycerol, and sodium azide (ab62364).

  • Unconjugated

    Anti-p27 KIP 1 (phospho S10) antibody [EP233(2)Y]

Key facts

Host species

Rabbit

Clonality

Monoclonal

Clone number

EP233(2)Y

Isotype

IgG

Carrier free

Yes

Reacts with

Mouse, Rat, Human, Monkey

Applications

WB, IP, Dot, IHC-P

applications

Immunogen

The exact immunogen used to generate this antibody is proprietary information.

Specificity

This antibody detects p27 KIP 1 phosphorylated at Serine 10.
The mouse and rat recommendation is based on the WB results. We do not guarantee IHC-P for mouse and rat.

Reactivity data

{ "title": "Reactivity Data", "filters": { "stats": ["", "Species", "Dilution Info", "Notes"], "tabs": { "all-applications": {"fullname" : "All Applications", "shortname": "All Applications"}, "ICCIF" : {"fullname" : "Immunocytochemistry/ Immunofluorescence", "shortname":"ICC/IF"}, "IP" : {"fullname" : "Immunoprecipitation", "shortname":"IP"}, "FlowCyt" : {"fullname" : "Flow Cytometry", "shortname":"Flow Cyt"}, "Dot" : {"fullname" : "Dot Blot", "shortname":"Dot"}, "WB" : {"fullname" : "Western blot", "shortname":"WB"}, "IHCP" : {"fullname" : "Immunohistochemistry (Formalin/PFA-fixed paraffin-embedded sections)", "shortname":"IHC-P"} }, "product-promise": { "all": "all", "testedAndGuaranteed": "tested", "guaranteed": "expected", "predicted": "predicted", "notRecommended": "not-recommended" } }, "values": { "Human": { "ICCIF-species-checked": "notRecommended", "ICCIF-species-dilution-info": "", "ICCIF-species-notes": "<p>Some customers have sucessfully used the antibody in ICC/IF. Please see the abreview for further details.</p>", "IP-species-checked": "testedAndGuaranteed", "IP-species-dilution-info": "", "IP-species-notes": "<p></p>", "FlowCyt-species-checked": "notRecommended", "FlowCyt-species-dilution-info": "", "FlowCyt-species-notes": "<p></p>", "Dot-species-checked": "guaranteed", "Dot-species-dilution-info": "", "Dot-species-notes": "", "WB-species-checked": "testedAndGuaranteed", "WB-species-dilution-info": "", "WB-species-notes": "<p></p>", "IHCP-species-checked": "testedAndGuaranteed", "IHCP-species-dilution-info": "", "IHCP-species-notes": "<p><strong>For unpurified use at 1/200 - 1/1500</strong></p><p>The mouse and rat recommendation is based on the WB results. We do not guarantee IHC-P for mouse and rat.</p> Perform heat-mediated antigen retrieval before commencing with IHC staining protocol." }, "Mouse": { "ICCIF-species-checked": "notRecommended", "ICCIF-species-dilution-info": "", "ICCIF-species-notes": "<p>Some customers have sucessfully used the antibody in ICC/IF. Please see the abreview for further details.</p>", "IP-species-checked": "guaranteed", "IP-species-dilution-info": "", "IP-species-notes": "<p></p>", "FlowCyt-species-checked": "notRecommended", "FlowCyt-species-dilution-info": "", "FlowCyt-species-notes": "<p></p>", "Dot-species-checked": "guaranteed", "Dot-species-dilution-info": "", "Dot-species-notes": "", "WB-species-checked": "testedAndGuaranteed", "WB-species-dilution-info": "", "WB-species-notes": "<p></p>", "IHCP-species-checked": "guaranteed", "IHCP-species-dilution-info": "", "IHCP-species-notes": "<p><strong>For unpurified use at 1/200 - 1/1500</strong></p><p>The mouse and rat recommendation is based on the WB results. We do not guarantee IHC-P for mouse and rat.</p> Perform heat-mediated antigen retrieval before commencing with IHC staining protocol." }, "Rat": { "ICCIF-species-checked": "notRecommended", "ICCIF-species-dilution-info": "", "ICCIF-species-notes": "<p>Some customers have sucessfully used the antibody in ICC/IF. Please see the abreview for further details.</p>", "IP-species-checked": "guaranteed", "IP-species-dilution-info": "", "IP-species-notes": "<p></p>", "FlowCyt-species-checked": "notRecommended", "FlowCyt-species-dilution-info": "", "FlowCyt-species-notes": "<p></p>", "Dot-species-checked": "guaranteed", "Dot-species-dilution-info": "", "Dot-species-notes": "", "WB-species-checked": "testedAndGuaranteed", "WB-species-dilution-info": "", "WB-species-notes": "<p></p>", "IHCP-species-checked": "guaranteed", "IHCP-species-dilution-info": "", "IHCP-species-notes": "" }, "Monkey": { "ICCIF-species-checked": "notRecommended", "ICCIF-species-dilution-info": "", "ICCIF-species-notes": "<p>Some customers have sucessfully used the antibody in ICC/IF. Please see the abreview for further details.</p>", "IP-species-checked": "guaranteed", "IP-species-dilution-info": "", "IP-species-notes": "<p></p>", "FlowCyt-species-checked": "notRecommended", "FlowCyt-species-dilution-info": "", "FlowCyt-species-notes": "<p></p>", "Dot-species-checked": "predicted", "Dot-species-dilution-info": "", "Dot-species-notes": "", "WB-species-checked": "predicted", "WB-species-dilution-info": "", "WB-species-notes": "", "IHCP-species-checked": "predicted", "IHCP-species-dilution-info": "", "IHCP-species-notes": "" }, "Synthetic peptide": { "ICCIF-species-checked": "notRecommended", "ICCIF-species-dilution-info": "", "ICCIF-species-notes": "", "IP-species-checked": "notRecommended", "IP-species-dilution-info": "", "IP-species-notes": "", "FlowCyt-species-checked": "notRecommended", "FlowCyt-species-dilution-info": "", "FlowCyt-species-notes": "", "Dot-species-checked": "testedAndGuaranteed", "Dot-species-dilution-info": "", "Dot-species-notes": "<p></p>", "WB-species-checked": "notRecommended", "WB-species-dilution-info": "", "WB-species-notes": "", "IHCP-species-checked": "notRecommended", "IHCP-species-dilution-info": "", "IHCP-species-notes": "" } } }

Product details

ab228877 is the carrier-free version of ab62364.

Patented technology
Our RabMAb® technology is a patented hybridoma-based technology for making rabbit monoclonal antibodies. For details on our patents, please refer to RabMAb® patents.

What are the advantages of a recombinant monoclonal antibody?
This product is a recombinant monoclonal antibody, which offers several advantages including:

  • - High batch-to-batch consistency and reproducibility
  • - Improved sensitivity and specificity
  • - Long-term security of supply
  • - Animal-free batch production

For more information, read more on recombinant antibodies.

Conjugation ready
Our carrier-free antibodies are typically supplied in a PBS-only formulation, purified and free of BSA, sodium azide and glycerol. This conjugation-ready format is designed for use with fluorochromes, metal isotopes, oligonucleotides, and enzymes, which makes them ideal for antibody labelling, functional and cell-based assays, flow-based assays (e.g. mass cytometry) and Multiplex Imaging applications.

Use our conjugation kits for antibody conjugates that are ready-to-use in as little as 20 minutes with 1 minute hands-on-time and 100% antibody recovery: available for fluorescent dyes, HRP, biotin and gold.

Compatibility
This product is compatible with the Maxpar® Antibody Labeling Kit from Fluidigm, without the need for antibody preparation. Maxpar® is a trademark of Fluidigm Canada Inc.

Properties and storage information

Form
Liquid
Purification technique
Affinity purification Protein A
Storage buffer
pH: 7.2 - 7.4 Constituents: PBS
Shipped at conditions
Blue Ice
Appropriate short-term storage conditions
+4°C
Appropriate long-term storage conditions
+4°C
Storage information
Do Not Freeze

Supplementary information

This supplementary information is collated from multiple sources and compiled automatically.

The protein known as p27 KIP1 also referred to as p27 CDKN1B or KIP1 is a member of the kinase inhibitory protein family. It plays an important role in cell cycle regulation by inhibiting cyclin-dependent kinases (CDKs). p27 KIP1 weighs approximately 27 kDa and can be found in various tissues where it regulates cell proliferation. The protein functions as a suppressor by binding to cyclin-CDK complexes preventing the transition from G1 phase to S phase in the cell division cycle.
Biological function summary

The function of p27 KIP1 involves its role in controlling cell growth and division. It achieves this by becoming a part of larger protein complexes involving CDKs and cyclins. By directly interacting with these complexes p27 KIP1 modulates cell cycle progression therefore acting as a brake on cellular proliferation. The protein is important in maintaining proper cell cycle checkpoints and preventing uncontrolled cell growth which is essential for normal cellular functioning.

Pathways

The involvement of p27 KIP1 centers on cell cycle regulation and signaling pathways such as the PI3K/AKT pathway. Its interaction with CDKs and cyclins situates it within the core mechanisms that determine cell division timing. p27 KIP1 operates alongside other proteins like cyclin D and CDK4/6 fitting into the regulatory intricacies of these pathways. Proper functioning of these pathways ensures cellular homeostasis and prevents the development of oncogenic processes.

Dysfunction of p27 KIP1 has links to cancer and neurodegenerative diseases. Low levels or mutations can lead to uncontrolled cell proliferation contributing to the development and progression of cancers such as breast cancer. p27 KIP1's role in neurodegenerative diseases involves its regulation of neuronal cell cycle re-entry with abnormalities potentially exacerbating conditions like Alzheimer's disease. In these contexts its interaction with proteins such as cyclin E and CDK2 becomes particularly relevant in understanding disease mechanisms.

Product protocols

For this product, it's our understanding that no specific protocols are required. You can visit:

Target data

Important regulator of cell cycle progression. Inhibits the kinase activity of CDK2 bound to cyclin A, but has little inhibitory activity on CDK2 bound to SPDYA (PubMed : 28666995). Involved in G1 arrest. Potent inhibitor of cyclin E- and cyclin A-CDK2 complexes. Forms a complex with cyclin type D-CDK4 complexes and is involved in the assembly, stability, and modulation of CCND1-CDK4 complex activation. Acts either as an inhibitor or an activator of cyclin type D-CDK4 complexes depending on its phosphorylation state and/or stoichometry.
See full target information CDKN1B phospho S10

Publications (1)

Recent publications for all applications. Explore the full list and refine your search

Frontiers in cardiovascular medicine 9:1062695 PubMed36568562

2022

Large-conductance Ca-activated K channel β1-subunit maintains the contractile phenotype of vascular smooth muscle cells.

Applications

Unspecified application

Species

Unspecified reactive species

Meili Wang,Shuanglei Li,Hongshan Liu,Mingyuan Liu,Jin Zhang,Yang Wu,Cangsong Xiao,Haixia Huang
View all publications

Product promise

We are committed to supporting your work with high-quality reagents, and we're here for you every step of the way. In the unlikely event that one of our products does not perform as expected, you're protected by our Product Promise.
For full details, please see our Terms & Conditions

Please note: All products are 'FOR RESEARCH USE ONLY. NOT FOR USE IN DIAGNOSTIC OR THERAPEUTIC PROCEDURES'.

For licensing inquiries, please contact partnerships@abcam.com