JavaScript is disabled in your browser. Please enable JavaScript to view this website.
AB325870

Anti-P2RY2 antibody [HL2704] - BSA and Azide free

Be the first to review this product! Submit a review

|

(0 Publication)

Rabbit Recombinant Monoclonal P2Y2 antibody. Carrier free. Suitable for WB, ICC/IF and reacts with Human, Transfected cell lysate - Human samples. Immunogen corresponding to Recombinant Fragment Protein within Human P2RY2.

View Alternative Names

P2RU1, P2RY2, P2Y purinoceptor 2, P2Y2, ATP receptor, P2U purinoceptor 1, P2U receptor 1, Purinergic receptor, P2U1

7 Images
Immunocytochemistry/ Immunofluorescence - Anti-P2RY2 antibody [HL2704] - BSA and Azide free (AB325870)
  • ICC/IF

Supplier Data

Immunocytochemistry/ Immunofluorescence - Anti-P2RY2 antibody [HL2704] - BSA and Azide free (AB325870)

ab325870 detects P2Y2 protein at cell membrane by immunofluorescent analysis. Sample : THP-1 cells were fixed in 4% paraformaldehyde at RT for 15 min. Green : P2Y2 stained by ab325870 diluted at 1 : 500. Blue : Fluoroshield with DAPI.

Western blot - Anti-P2RY2 antibody [HL2704] - BSA and Azide free (AB325870)
  • WB

Supplier Data

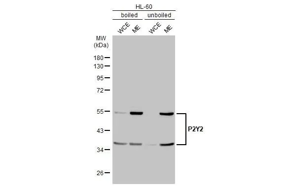
Western blot - Anti-P2RY2 antibody [HL2704] - BSA and Azide free (AB325870)

Boiled and unboiled HL-60 whole cell and membrane extracts (30 ug) were separated by 10% SDS-PAGE, and the membrane was blotted with ab325870 diluted at 1 : 1000. The HRP-conjugated anti-rabbit IgG antibody was used to detect the primary antibody. (WCE : whole cell extract; ME : membrane extract)

All lanes:

Western blot - Anti-P2RY2 antibody [HL2704] - BSA and Azide free (ab325870) at 1/1000 dilution

Lane 1:

Boiled HL-60 whole cell extracts at 30 µg

Lane 2:

Boiled HL-60 membrane extracts at 30 µg

Lane 3:

Unboiled HL-60 whole cell extracts at 30 µg

Lane 4:

Unboiled HL-60 membrane extracts at 30 µg

Secondary

All lanes:

HRP-conjugated anti-rabbit IgG antibody

false

Western blot - Anti-P2RY2 antibody [HL2704] - BSA and Azide free (AB325870)
  • WB

Supplier Data

Western blot - Anti-P2RY2 antibody [HL2704] - BSA and Azide free (AB325870)

Untreated (–) and treated (+) unboiled HL-60 whole cell extracts (30 ug) were separated by 10% SDS-PAGE, and the membrane was blotted withab325870 diluted at 1 : 500. The HRP-conjugated anti-rabbit IgG antibody was used to detect the primary antibody.

All lanes:

Western blot - Anti-P2RY2 antibody [HL2704] - BSA and Azide free (ab325870) at 1/500 dilution

Lane 1:

Untreated (–) and unboiled HL-60 whole cell extracts at 30 µg

Lane 2:

PNGase F, 2 hr treated (+) unboiled HL-60 whole cell extracts at 30 µg

Secondary

All lanes:

HRP-conjugated anti-rabbit IgG antibody

false

Western blot - Anti-P2RY2 antibody [HL2704] - BSA and Azide free (AB325870)
  • WB

Supplier Data

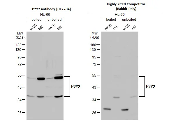
Western blot - Anti-P2RY2 antibody [HL2704] - BSA and Azide free (AB325870)

Boiled and unboiled HL-60 whole cell and membrane extracts (30 ug) were separated by 10% SDS-PAGE, and the membranes were blotted with ab325870 diluted at 1 : 1000 and competitor's antibody diluted at 1 : 1000. The HRP-conjugated anti-rabbit IgG antibody was used to detect the primary antibody.

All lanes:

Western blot - Anti-P2RY2 antibody [HL2704] - BSA and Azide free (ab325870) at 1/1000 dilution

Lane 1:

Boiled HL-60 whole cell extracts at 30 µg

Lane 2:

Boiled HL-60 membrane extracts at 30 µg

Lane 3:

Unboiled HL-60 whole cell extracts at 30 µg

Lane 4:

Unboiled HL-60 membrane extracts at 30 µg

Secondary

All lanes:

HRP-conjugated anti-rabbit IgG antibody

false

Western blot - Anti-P2RY2 antibody [HL2704] - BSA and Azide free (AB325870)
  • WB

Supplier Data

Western blot - Anti-P2RY2 antibody [HL2704] - BSA and Azide free (AB325870)

Non-transfected (–) and transfected (+) unboiled 293T and Expi293 whole cell extracts (30 ug) were separated by 10% SDS-PAGE, and the membrane was blotted with ab325870 diluted at 1 : 5000. The HRP-conjugated anti-rabbit IgG antibody was used to detect the primary antibody.

All lanes:

Western blot - Anti-P2RY2 antibody [HL2704] - BSA and Azide free (ab325870) at 1/5000 dilution

Lanes 1 and 9:

Non-transfected (–) unboiled 293T whole cell extracts at 30 µg

Lane 2:

P2RY1 transfected (+) unboiled 293T whole cell extracts at 30 µg

Lanes 3, 5 and 7:

Non-transfected (–) unboiled Expi293 whole cell extracts at 30 µg

Lane 4:

P2RY2 transfected (+) unboiled 293T whole cell extracts at 30 µg

Lane 6:

P2RY11 transfected (+) unboiled 293T whole cell extracts at 30 µg

Lane 8:

P2RY12 transfected (+) unboiled 293T whole cell extracts at 30 µg

Lane 10:

P2RY13 transfected (+) unboiled Expi293 whole cell extracts at 30 µg

Secondary

All lanes:

HRP-conjugated anti-rabbit IgG antibody

false

Western blot - Anti-P2RY2 antibody [HL2704] - BSA and Azide free (AB325870)
  • WB

Supplier Data

Western blot - Anti-P2RY2 antibody [HL2704] - BSA and Azide free (AB325870)

Non-transfected (–) and transfected (+) boiled and unboiled 293T whole cell extracts (30 ug) were separated by 10% SDS-PAGE, and the membranes were blotted with ab325870 diluted at 1 : 5000 and competitor's antibody diluted at 1 : 5000. The HRP-conjugated anti-rabbit IgG antibody was used to detect the primary antibody.

All lanes:

Western blot - Anti-P2RY2 antibody [HL2704] - BSA and Azide free (ab325870) at 1/5000 dilution

Lane 1:

Non-transfected (–) boiled 293T whole cell extracts at 30 µg

Lane 2:

DDDDK-tagged P2RY2 transfected (+) boiled 293T whole cell extracts at 30 µg

Lane 3:

Non-transfected (–) unboiled 293T whole cell extracts at 30 µg

Lane 4:

DDDDK-tagged P2RY2 transfected (+) unboiled 293T whole cell extracts at 30 µg

Secondary

All lanes:

HRP-conjugated anti-rabbit IgG antibody

false

Western blot - Anti-P2RY2 antibody [HL2704] - BSA and Azide free (AB325870)
  • WB

Supplier Data

Western blot - Anti-P2RY2 antibody [HL2704] - BSA and Azide free (AB325870)

Non-transfected (–) and transfected (+) boiled and unboiled 293T whole cell extracts (30 ug) were separated by 12% SDS-PAGE, and the membrane was blotted with ab325870 diluted at 1 : 20000. The HRP-conjugated anti-rabbit IgG antibody was used to detect the primary antibody.

All lanes:

Western blot - Anti-P2RY2 antibody [HL2704] - BSA and Azide free (ab325870) at 1/20000 dilution

Lane 1:

Non-transfected (–) boiled 293T whole cell extracts at 30 µg

Lane 2:

DDDDK-tagged P2RY2 transfected (+) boiled 293T whole cell extracts at 30 µg

Lane 3:

Non-transfected (–) unboiled 293T whole cell extracts at 30 µg

Lane 4:

DDDDK-tagged P2RY2 transfected (+) unboiled 293T whole cell extracts at 30 µg

Secondary

All lanes:

HRP-conjugated anti-rabbit IgG antibody

false

Key facts

Host species

Rabbit

Clonality

Monoclonal

Clone number

HL2704

Isotype

IgG

Carrier free

Yes

Reacts with

Human

Applications

ICC/IF, WB

applications

Immunogen

Recombinant Fragment Protein within Human P2RY2.

P41231

Reactivity data

{ "title": "Reactivity Data", "filters": { "stats": ["", "Species", "Dilution Info", "Notes"], "tabs": { "all-applications": {"fullname" : "All Applications", "shortname": "All Applications"}, "WB" : {"fullname" : "Western blot", "shortname":"WB"}, "ICCIF" : {"fullname" : "Immunocytochemistry/ Immunofluorescence", "shortname":"ICC/IF"} }, "product-promise": { "all": "all", "testedAndGuaranteed": "tested", "guaranteed": "expected", "predicted": "predicted", "notRecommended": "not-recommended" } }, "values": { "Human": { "WB-species-checked": "testedAndGuaranteed", "WB-species-dilution-info": "1/500 - 1/1000", "WB-species-notes": "<p></p>", "ICCIF-species-checked": "testedAndGuaranteed", "ICCIF-species-dilution-info": "1/500", "ICCIF-species-notes": "<p></p>" }, "Transfected cell lysate - Human": { "WB-species-checked": "testedAndGuaranteed", "WB-species-dilution-info": "1/5000 - 1/20000", "WB-species-notes": "<p></p>", "ICCIF-species-checked": "notRecommended", "ICCIF-species-dilution-info": "", "ICCIF-species-notes": "" } } }

Properties and storage information

Form
Liquid
Purification technique
Affinity purification Protein A
Storage buffer
pH: 7.4 Constituents: PBS
Shipped at conditions
Blue Ice
Appropriate short-term storage duration
1-2 weeks
Appropriate short-term storage conditions
+4°C
Appropriate long-term storage conditions
-20°C
Aliquoting information
Upon delivery aliquot
Storage information
Avoid freeze / thaw cycle

Product protocols

For this product, it's our understanding that no specific protocols are required. You can visit:

Target data

Receptor for ATP and UTP coupled to G-proteins that activate a phosphatidylinositol-calcium second messenger system. The affinity range is UTP = ATP > ATP-gamma-S >> 2-methylthio-ATP = ADP.
See full target information P2RY2

Product promise

We are committed to supporting your work with high-quality reagents, and we're here for you every step of the way. In the unlikely event that one of our products does not perform as expected, you're protected by our Product Promise.
For full details, please see our Terms & Conditions

Please note: All products are 'FOR RESEARCH USE ONLY. NOT FOR USE IN DIAGNOSTIC OR THERAPEUTIC PROCEDURES'.

For licensing inquiries, please contact partnerships@abcam.com