JavaScript is disabled in your browser. Please enable JavaScript to view this website.
AB325871

Anti-P2ry2 antibody [HL2801] - BSA and Azide free

Be the first to review this product! Submit a review

|

(0 Publication)

Rabbit Recombinant Monoclonal P2Y2 antibody. Carrier free. Suitable for ICC/IF, IHC-P and reacts with Human, Transfected cell line - Human, Mouse, Rat samples. Immunogen corresponding to Synthetic Peptide within Mouse P2ry2.

View Alternative Names

P2ru1, P2Y purinoceptor 2, P2Y2, ATP receptor, P2U purinoceptor 1, Purinergic receptor, P2U1

7 Images
Immunocytochemistry/ Immunofluorescence - Anti-P2ry2 antibody [HL2801] - BSA and Azide free (AB325871)
  • ICC/IF

Supplier Data

Immunocytochemistry/ Immunofluorescence - Anti-P2ry2 antibody [HL2801] - BSA and Azide free (AB325871)

ab325871 detects P2Y2 protein by immunofluorescent analysis. Sample : THP-1 cells were fixed in 4% paraformaldehyde at RT for 15 min. Green : P2Y2 stained by ab325871 diluted at 1 : 100. Blue : Fluoroshield with DAPI.

Immunohistochemistry (Formalin/PFA-fixed paraffin-embedded sections) - Anti-P2ry2 antibody [HL2801] - BSA and Azide free (AB325871)
  • IHC-P

Supplier Data

Immunohistochemistry (Formalin/PFA-fixed paraffin-embedded sections) - Anti-P2ry2 antibody [HL2801] - BSA and Azide free (AB325871)

ab325871 detects P2Y2 protein at cytoplasm by immunohistochemical analysis. Sample : Paraffin-embedded mouse hippocampus. Green : P2Y2 stained by ab325871 diluted at 1 : 200. Red : beta Tubulin 3/ Tuj1, a neural marker, stained by beta Tubulin 3/ Tuj1 antibody diluted at 1 : 500. Blue : Fluoroshield with DAPI. Antigen Retrieval : Citrate buffer, pH 6.0, 15 min.

Immunohistochemistry (Formalin/PFA-fixed paraffin-embedded sections) - Anti-P2ry2 antibody [HL2801] - BSA and Azide free (AB325871)
  • IHC-P

Supplier Data

Immunohistochemistry (Formalin/PFA-fixed paraffin-embedded sections) - Anti-P2ry2 antibody [HL2801] - BSA and Azide free (AB325871)

ab325871 detects P2Y2 protein by immunohistochemical analysis. Sample : Paraffin-embedded mouse tissues. P2Y2 stained by ab325871 diluted at 1 : 200. Antigen Retrieval : Citrate buffer, pH 6.0, 15 min.

Immunohistochemistry (Formalin/PFA-fixed paraffin-embedded sections) - Anti-P2ry2 antibody [HL2801] - BSA and Azide free (AB325871)
  • IHC-P

Supplier Data

Immunohistochemistry (Formalin/PFA-fixed paraffin-embedded sections) - Anti-P2ry2 antibody [HL2801] - BSA and Azide free (AB325871)

ab325871 detects P2Y2 protein at cytoplasm by immunohistochemical analysis. Sample : Paraffin-embedded mouse eye. Green : P2Y2 stained by ab325871 diluted at 1 : 200. Red : beta Tubulin 3/ Tuj1, a neural marker, stained by beta Tubulin 3/ Tuj1 antibody diluted at 1 : 500. Blue : Fluoroshield with DAPI. Antigen Retrieval : Citrate buffer, pH 6.0, 15 min.

Immunohistochemistry (Formalin/PFA-fixed paraffin-embedded sections) - Anti-P2ry2 antibody [HL2801] - BSA and Azide free (AB325871)
  • IHC-P

Supplier Data

Immunohistochemistry (Formalin/PFA-fixed paraffin-embedded sections) - Anti-P2ry2 antibody [HL2801] - BSA and Azide free (AB325871)

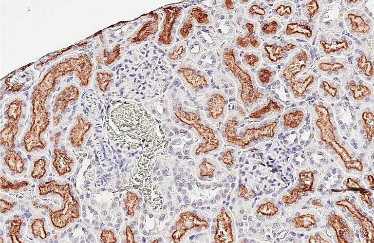
ab325871 detects P2Y2 protein by immunohistochemical analysis. Sample : Paraffin-embedded rat kidney. P2Y2 stained by ab325871 diluted at 1 : 200. Antigen Retrieval : Citrate buffer, pH 6.0, 15 min.

Immunohistochemistry (Formalin/PFA-fixed paraffin-embedded sections) - Anti-P2ry2 antibody [HL2801] - BSA and Azide free (AB325871)
  • IHC-P

Supplier Data

Immunohistochemistry (Formalin/PFA-fixed paraffin-embedded sections) - Anti-P2ry2 antibody [HL2801] - BSA and Azide free (AB325871)

ab325871 detects P2Y2 protein by immunohistochemical analysis. Sample : Paraffin-embedded rat small intestine. P2Y2 stained by ab325871 diluted at 1 : 200. Antigen Retrieval : Citrate buffer, pH 6.0, 15 min.

Immunocytochemistry/ Immunofluorescence - Anti-P2ry2 antibody [HL2801] - BSA and Azide free (AB325871)
  • ICC/IF

Supplier Data

Immunocytochemistry/ Immunofluorescence - Anti-P2ry2 antibody [HL2801] - BSA and Azide free (AB325871)

ab325871 detects P2Y2 protein by immunofluorescent analysis. Sample : Mock and transfected 293T cells were fixed in ice-cold MeOH for 5 min. Green : P2Y2 stained by ab325871 diluted at 1 : 500. Blue : Fluoroshield with DAPI.

Key facts

Host species

Rabbit

Clonality

Monoclonal

Clone number

HL2801

Isotype

IgG

Carrier free

Yes

Reacts with

Human, Mouse, Rat

Applications

ICC/IF, IHC-P

applications

Immunogen

Synthetic Peptide within Mouse P2ry2.

P35383

Reactivity data

{ "title": "Reactivity Data", "filters": { "stats": ["", "Species", "Dilution Info", "Notes"], "tabs": { "all-applications": {"fullname" : "All Applications", "shortname": "All Applications"}, "ICCIF" : {"fullname" : "Immunocytochemistry/ Immunofluorescence", "shortname":"ICC/IF"}, "IHCP" : {"fullname" : "Immunohistochemistry (Formalin/PFA-fixed paraffin-embedded sections)", "shortname":"IHC-P"} }, "product-promise": { "all": "all", "testedAndGuaranteed": "tested", "guaranteed": "expected", "predicted": "predicted", "notRecommended": "not-recommended" } }, "values": { "Human": { "ICCIF-species-checked": "testedAndGuaranteed", "ICCIF-species-dilution-info": "1/100", "ICCIF-species-notes": "<p></p>", "IHCP-species-checked": "guaranteed", "IHCP-species-dilution-info": "", "IHCP-species-notes": "" }, "Mouse": { "ICCIF-species-checked": "guaranteed", "ICCIF-species-dilution-info": "", "ICCIF-species-notes": "", "IHCP-species-checked": "testedAndGuaranteed", "IHCP-species-dilution-info": "1/200 - 1/500", "IHCP-species-notes": "<p></p> Perform heat-mediated antigen retrieval with citrate buffer pH 6 before commencing with IHC staining protocol." }, "Rat": { "ICCIF-species-checked": "guaranteed", "ICCIF-species-dilution-info": "", "ICCIF-species-notes": "", "IHCP-species-checked": "testedAndGuaranteed", "IHCP-species-dilution-info": "1/200", "IHCP-species-notes": "<p></p> Perform heat-mediated antigen retrieval with citrate buffer pH 6 before commencing with IHC staining protocol." }, "Transfected cell line - Human": { "ICCIF-species-checked": "testedAndGuaranteed", "ICCIF-species-dilution-info": "1/500", "ICCIF-species-notes": "<p></p>", "IHCP-species-checked": "notRecommended", "IHCP-species-dilution-info": "", "IHCP-species-notes": "" } } }

Properties and storage information

Form
Liquid
Purification technique
Affinity purification Protein A
Storage buffer
pH: 7.4 Constituents: PBS
Shipped at conditions
Blue Ice
Appropriate short-term storage duration
1-2 weeks
Appropriate short-term storage conditions
+4°C
Appropriate long-term storage conditions
-20°C
Aliquoting information
Upon delivery aliquot
Storage information
Avoid freeze / thaw cycle

Product protocols

For this product, it's our understanding that no specific protocols are required. You can visit:

Target data

Receptor for ATP and UTP coupled to G-proteins that activate a phosphatidylinositol-calcium second messenger system. The affinity range is UTP = ATP > ATP-gamma-S >> 2-methylthio-ATP = ADP.
See full target information P2ry2

Product promise

We are committed to supporting your work with high-quality reagents, and we're here for you every step of the way. In the unlikely event that one of our products does not perform as expected, you're protected by our Product Promise.
For full details, please see our Terms & Conditions

Please note: All products are 'FOR RESEARCH USE ONLY. NOT FOR USE IN DIAGNOSTIC OR THERAPEUTIC PROCEDURES'.

For licensing inquiries, please contact partnerships@abcam.com