JavaScript is disabled in your browser. Please enable JavaScript to view this website.
AB300493

Anti-P2X3 antibody [EPR26568-3]

  • BOND RX™ Validated
  • 20ul selling size
  • RabMAb
  • Recombinant
  • What is this?

4

(1 Review)

|

(5 Publications)

Rabbit Recombinant Monoclonal P2X3 antibody. Suitable for WB, IHC-P, IHC-Fr, IP and reacts with Human, Mouse, Rat samples. Cited in 5 publications.

View Alternative Names

P2X purinoceptor 3, P2X3, ATP receptor, Purinergic receptor, P2RX3

9 Images
Immunohistochemistry (Formalin/PFA-fixed paraffin-embedded sections) - Anti-P2X3 antibody [EPR26568-3] (AB300493)
  • IHC-P

Supplier Data

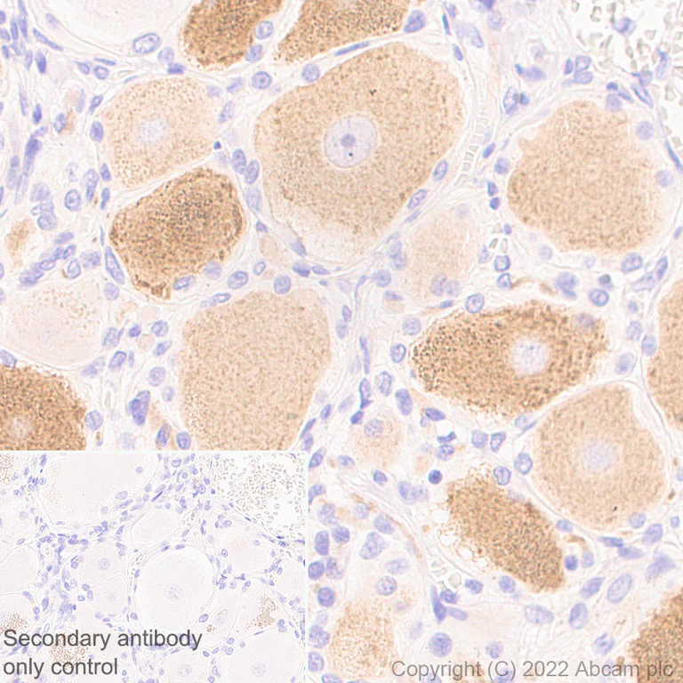
Immunohistochemistry (Formalin/PFA-fixed paraffin-embedded sections) - Anti-P2X3 antibody [EPR26568-3] (AB300493)

Immunohistochemical analysis of paraffin-embedded Human dorsal root ga tissue labeling P2X3 with ab300493 at 1/2000 (0.249 ug/ml) followed by a ready to use LeicaDS9800 (Bond™ Polymer Refine Detection) was used. Cytoplasmic staining on human dorsal root ganglion. The section was incubated with ab300493 for 30 mins at room temperature.The immunostaining was performed on a Leica Biosystems BOND® RX instrument Counterstained with Hematoxylin. Secondary antibody only control : Secondary antibody is a ready to use LeicaDS9800 (Bond™ Polymer Refine Detection) was used.Heat mediated antigen retrieval with Tris-EDTA buffer (pH 9.0, epitope retrieval solution2) for 20 mins

Immunohistochemistry (Frozen sections) - Anti-P2X3 antibody [EPR26568-3] (AB300493)
  • IHC-Fr

Supplier Data

Immunohistochemistry (Frozen sections) - Anti-P2X3 antibody [EPR26568-3] (AB300493)

Immunohistochemical analysis of 4% PFA-fixed, 0.2% Triton X-100 permeabilized frozen Mouse dorsal root ganglion (fresh) tissue labeling P2X3 with ab300493 at 1/50 (9.96 ug/ml) dilution followed by ab150081 Goat Anti-Rabbit IgG H&L (Alexa Fluor® 488) preadsorbed at 1/1000 2 ug/mL dilution (Green). Positive staining on mouse dorsal root ganglion is observed. The nuclear counterstain was DAPI (Blue). Secondary antibody control : Secondary antibody is ab150081 Goat Anti-Rabbit IgG H&L (Alexa Fluor® 488) preadsorbedat 1/1000 2 ug/mL dilution. .

Immunohistochemistry (Formalin/PFA-fixed paraffin-embedded sections) - Anti-P2X3 antibody [EPR26568-3] (AB300493)
  • IHC-P

Supplier Data

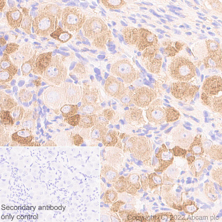
Immunohistochemistry (Formalin/PFA-fixed paraffin-embedded sections) - Anti-P2X3 antibody [EPR26568-3] (AB300493)

Immunohistochemical analysis of paraffin-embedded Mouse dorsal root ga tissue labeling P2X3 with ab300493 at 1/5000 (0.1 ug/ml) followed by a ready to use LeicaDS9800 (Bond™ Polymer Refine Detection) was used. Cytoplasmic staining on mouse dorsal root ganglion. The section was incubated with ab300493 for 30 mins at room temperature.The immunostaining was performed on a Leica Biosystems BOND® RX instrument Counterstained with Hematoxylin. Secondary antibody only control : Secondary antibody is a ready to use LeicaDS9800 (Bond™ Polymer Refine Detection) was used.Heat mediated antigen retrieval with Tris-EDTA buffer (pH 9.0, epitope retrieval solution2) for 20 mins

Immunohistochemistry (Formalin/PFA-fixed paraffin-embedded sections) - Anti-P2X3 antibody [EPR26568-3] (AB300493)
  • IHC-P

Supplier Data

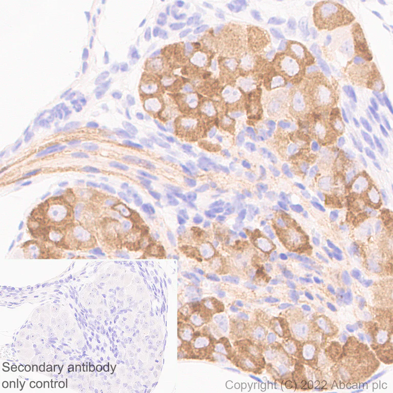
Immunohistochemistry (Formalin/PFA-fixed paraffin-embedded sections) - Anti-P2X3 antibody [EPR26568-3] (AB300493)

Immunohistochemical analysis of paraffin-embedded Rat dorsal root gang tissue labeling P2X3 with ab300493 at 1/5000 (0.1 ug/ml) followed by a ready to use LeicaDS9800 (Bond™ Polymer Refine Detection) was used. Cytoplasmic staining on rat dorsal root ganglion. The section was incubated with ab300493 for 30 mins at room temperature.The immunostaining was performed on a Leica Biosystems BOND® RX instrument Counterstained with Hematoxylin. Secondary antibody only control : Secondary antibody is a ready to use LeicaDS9800 (Bond™ Polymer Refine Detection) was used.Heat mediated antigen retrieval with Tris-EDTA buffer (pH 9.0, epitope retrieval solution2) for 20 mins

Immunohistochemistry (Frozen sections) - Anti-P2X3 antibody [EPR26568-3] (AB300493)
  • IHC-Fr

Supplier Data

Immunohistochemistry (Frozen sections) - Anti-P2X3 antibody [EPR26568-3] (AB300493)

Immunohistochemical analysis of 4% PFA-fixed, 0.2% Triton X-100 permeabilized frozen Rat dorsal root ganglion (fresh) tissue labeling P2X3 with ab300493 at 1/50 (9.96 ug/ml) dilution followed by ab150081 Goat Anti-Rabbit IgG H&L (Alexa Fluor® 488) preadsorbed at 1/1000 2 ug/mL dilution (Green). Positive staining on rat dorsal root ganglion is observed. The nuclear counterstain was DAPI (Blue). Secondary antibody control : Secondary antibody is ab150081 Goat Anti-Rabbit IgG H&L (Alexa Fluor® 488) preadsorbedat 1/1000 2 ug/mL dilution. .

Immunoprecipitation - Anti-P2X3 antibody [EPR26568-3] (AB300493)
  • IP

Supplier Data

Immunoprecipitation - Anti-P2X3 antibody [EPR26568-3] (AB300493)

P2X3 was immunoprecipitated from 0.35 mg Rat dorsal ganglion tissue lysate 10 ug with ab300493 at 1/30 dilution (2ug in 0.35mg lysates). Western blot was performed on the immunoprecipitate using ab300493 at 1/1000 dilution. VeriBlot for IP secondary antibody (HRP) (ab131366) was used at 1/5000 dilution.

Lane 1 : Rat dorsal ganglion tissue lysate 10 ug

Lane 2 : ab300493 IP in Rat dorsal ganglion tissue lysate

Lane 3 : Rabbit monoclonal IgG (ab172730) instead of ab300493 in rat dorsal ganglion tissue lysate

Blocking and dilution buffer and concentration : 5% NFDM/TBST.

Exposure time : 3 minutes

Lanes 1 - 3:

Immunoprecipitation - Anti-P2X3 antibody [EPR26568-3] (ab300493) at 1/1000 dilution

Lanes 1 - 3:

Immunoprecipitation - Anti-P2X3 antibody [EPR26568-3] - BSA and Azide free (<a href='/en-us/products/primary-antibodies/p2x3-antibody-epr26568-3-bsa-and-azide-free-ab300494'>ab300494</a>)

All lanes:

Rat dorsal ganglion tissue lysate at 10 µg

Secondary

All lanes:

Immunoprecipitation - VeriBlot for IP Detection Reagent (HRP) (<a href='/en-us/products/reagents/veriblot-for-ip-detection-reagent-hrp-ab131366'>ab131366</a>) at 1/5000 dilution

false

Exposure time: 3min

Western blot - Anti-P2X3 antibody [EPR26568-3] (AB300493)
  • WB

Supplier Data

Western blot - Anti-P2X3 antibody [EPR26568-3] (AB300493)

Blocking and diluting buffer and concentration : 5% NFDM/TBST

All lanes:

Western blot - Anti-P2X3 antibody [EPR26568-3] (ab300493) at 1/1000 dilution

All lanes:

Human heart tissue lysate

Secondary

All lanes:

Goat Anti-Rabbit IgG (HRP) with minimal cross-reactivity with human IgG at 1/2000 dilution

Observed band size: 60 kDa

false

Exposure time: 3min

Western blot - Anti-P2X3 antibody [EPR26568-3] (AB300493)
  • WB

Supplier Data

Western blot - Anti-P2X3 antibody [EPR26568-3] (AB300493)

Blocking and diluting buffer and concentration : 5% NFDM/TBST

All lanes:

Western blot - Anti-P2X3 antibody [EPR26568-3] (ab300493) at 1/1000 dilution

Lane 1:

Rat dorsal galion tissue lysate 20

Lane 2:

Rat heart tissue lysate

Secondary

All lanes:

Western blot - Goat Anti-Rabbit IgG H&L (HRP) (<a href='/en-us/products/secondary-antibodies/goat-rabbit-igg-h-l-hrp-ab97051'>ab97051</a>) at 1/20000 dilution

Observed band size: 60 kDa

false

Exposure time: 3min

Western blot - Anti-P2X3 antibody [EPR26568-3] (AB300493)
  • WB

Supplier Data

Western blot - Anti-P2X3 antibody [EPR26568-3] (AB300493)

Blocking and diluting buffer and concentration : 5% NFDM/TBST

All lanes:

Western blot - Anti-P2X3 antibody [EPR26568-3] (ab300493) at 1/1000 dilution

All lanes:

Mouse dorsal galion tissue lysate 20

Secondary

All lanes:

Western blot - Goat Anti-Rabbit IgG H&L (HRP) (<a href='/en-us/products/secondary-antibodies/goat-rabbit-igg-h-l-hrp-ab97051'>ab97051</a>) at 1/20000 dilution

Observed band size: 60 kDa

false

Exposure time: 3min

  • Carrier free

    Anti-P2X3 antibody [EPR26568-3] - BSA and Azide free

Key facts

Host species

Rabbit

Clonality

Monoclonal

Clone number

EPR26568-3

Isotype

IgG

Carrier free

No

Reacts with

Human, Mouse, Rat

Applications

IHC-Fr, WB, IHC-P, IP

applications

Immunogen

The exact immunogen used to generate this antibody is proprietary information.

Reactivity data

{ "title": "Reactivity Data", "filters": { "stats": ["", "Species", "Dilution Info", "Notes"], "tabs": { "all-applications": {"fullname" : "All Applications", "shortname": "All Applications"}, "WB" : {"fullname" : "Western blot", "shortname":"WB"}, "IHCP" : {"fullname" : "Immunohistochemistry (Formalin/PFA-fixed paraffin-embedded sections)", "shortname":"IHC-P"}, "IHCFr" : {"fullname" : "Immunohistochemistry (Frozen sections)", "shortname":"IHC-Fr"}, "ICCIF" : {"fullname" : "Immunocytochemistry/ Immunofluorescence", "shortname":"ICC/IF"}, "FlowCytIntra" : {"fullname" : "Flow Cytometry (Intracellular)", "shortname":"Flow Cyt (Intra)"}, "IP" : {"fullname" : "Immunoprecipitation", "shortname":"IP"} }, "product-promise": { "all": "all", "testedAndGuaranteed": "tested", "guaranteed": "expected", "predicted": "predicted", "notRecommended": "not-recommended" } }, "values": { "Human": { "WB-species-checked": "testedAndGuaranteed", "WB-species-dilution-info": "1/1000", "WB-species-notes": "<p></p>", "IHCP-species-checked": "testedAndGuaranteed", "IHCP-species-dilution-info": "1/5000", "IHCP-species-notes": "<p></p> Perform heat-mediated antigen retrieval with Tris/EDTA buffer pH 9.0 before commencing with IHC staining protocol.", "IHCFr-species-checked": "guaranteed", "IHCFr-species-dilution-info": "", "IHCFr-species-notes": "", "ICCIF-species-checked": "notRecommended", "ICCIF-species-dilution-info": "", "ICCIF-species-notes": "", "FlowCytIntra-species-checked": "notRecommended", "FlowCytIntra-species-dilution-info": "", "FlowCytIntra-species-notes": "", "IP-species-checked": "guaranteed", "IP-species-dilution-info": "", "IP-species-notes": "" }, "Mouse": { "WB-species-checked": "testedAndGuaranteed", "WB-species-dilution-info": "1/1000", "WB-species-notes": "<p></p>", "IHCP-species-checked": "testedAndGuaranteed", "IHCP-species-dilution-info": "1/5000", "IHCP-species-notes": "<p></p> Perform heat-mediated antigen retrieval with Tris/EDTA buffer pH 9.0 before commencing with IHC staining protocol.", "IHCFr-species-checked": "testedAndGuaranteed", "IHCFr-species-dilution-info": "1/50", "IHCFr-species-notes": "<p>Not Applicable.</p>", "ICCIF-species-checked": "notRecommended", "ICCIF-species-dilution-info": "", "ICCIF-species-notes": "<p></p>", "FlowCytIntra-species-checked": "notRecommended", "FlowCytIntra-species-dilution-info": "", "FlowCytIntra-species-notes": "<p></p>", "IP-species-checked": "guaranteed", "IP-species-dilution-info": "", "IP-species-notes": "" }, "Rat": { "WB-species-checked": "testedAndGuaranteed", "WB-species-dilution-info": "1/1000", "WB-species-notes": "<p></p>", "IHCP-species-checked": "testedAndGuaranteed", "IHCP-species-dilution-info": "1/5000", "IHCP-species-notes": "<p></p> Perform heat-mediated antigen retrieval with Tris/EDTA buffer pH 9.0 before commencing with IHC staining protocol.", "IHCFr-species-checked": "testedAndGuaranteed", "IHCFr-species-dilution-info": "1/50", "IHCFr-species-notes": "<p>Not Applicable.</p>", "ICCIF-species-checked": "notRecommended", "ICCIF-species-dilution-info": "", "ICCIF-species-notes": "<p></p>", "FlowCytIntra-species-checked": "notRecommended", "FlowCytIntra-species-dilution-info": "", "FlowCytIntra-species-notes": "<p></p>", "IP-species-checked": "testedAndGuaranteed", "IP-species-dilution-info": "1/30", "IP-species-notes": "<p></p>" } } }

Product details

Patented technology
Our RabMAb® technology is a patented hybridoma-based technology for making rabbit monoclonal antibodies. For details on our patents, please refer to RabMAb® patents.

What are the advantages of a recombinant monoclonal antibody?
This product is a recombinant monoclonal antibody, which offers several advantages including:

  • - High batch-to-batch consistency and reproducibility
  • - Improved sensitivity and specificity
  • - Long-term security of supply
  • - Animal-free batch production

For more information, read more on recombinant antibodies.

Properties and storage information

Form
Liquid
Purification technique
Affinity purification Protein A
Storage buffer
pH: 7.2 - 7.4 Preservative: 0.01% Sodium azide Constituents: PBS, 40% Glycerol (glycerin, glycerine), 0.05% BSA
Shipped at conditions
Blue Ice
Appropriate short-term storage duration
1-2 weeks
Appropriate short-term storage conditions
+4°C
Appropriate long-term storage conditions
-20°C
Aliquoting information
Upon delivery aliquot
Storage information
Avoid freeze / thaw cycle

Supplementary information

This supplementary information is collated from multiple sources and compiled automatically.

P2X3 also known as P2X purinoceptor 3 is a membrane-bound protein that functions as a ligand-gated ion channel. It has a molecular mass of approximately 40 kDa. P2X3 is expressed mainly in peripheral sensory neurons where it plays an important role in the detection of noxious stimuli by facilitating the entry of cations upon ATP binding.
Biological function summary

P2X3 contributes to the transmission of pain signals from the periphery to the central nervous system. This protein forms homotrimers or heterotrimers when combined with other P2X subunits like P2X2 allowing it to participate in various ion channel complexes. The activation of these channels leads to neuronal excitation and propagation of sensory signals.

Pathways

P2X3 operates within the purinergic signaling pathway specifically influencing neurogenic inflammation and pain perception. It closely interacts with the P2X2 subunit to modify neuronal responses to ATP. In the context of these pathways P2X3's ion channel activity is linked to the modulation of sensory neurotransmission impacting how stimuli are processed and perceived.

P2X3 is pertinent to conditions such as chronic pain and neuropathic pain. Its expression and function can affect the severity and persistence of these conditions. Notably P2X3 through its interaction with P2X2 is implicated in the development of abnormal pain responses. Understanding this relationship helps in the development of targeted therapies to alleviate pain by modulating P2X3 function.

Product protocols

For this product, it's our understanding that no specific protocols are required. You can visit:

Target data

Extracellular ATP-activated non-selective cation channel (PubMed : 10440098, PubMed : 27626375, PubMed : 29674445, PubMed : 31232692). Plays particularly important role in sensory neurons where its activation is critical for gustatory, nociceptive responses, visceral reflexes and sensory hypersensitization (By similarity).
See full target information P2RX3_HUMAN

Publications (5)

Recent publications for all applications. Explore the full list and refine your search

Function (Oxford, England) 6: PubMed40042973

2025

Topical ATP Application in the Peripheral Swallowing-Related Regions Facilitates Triggering of the Swallowing Reflex Involving P2X3 Receptors.

Applications

Unspecified application

Species

Unspecified reactive species

Mohammad Zakir Hossain,Hiroshi Ando,Rita Rani Roy,Junichi Kitagawa

The journal of headache and pain 26:41 PubMed39994518

2025

Optogenetic inhibition of ventrolateral orbitofrontal cortex astrocytes facilitates ventrolateral periaqueductal gray glutamatergic activity to reduce hypersensitivity in infraorbital nerve injury rat model.

Applications

Unspecified application

Species

Unspecified reactive species

Jaisan Islam,Md Taufiqur Rahman,Muhammad Ali,Hyong Kyu Kim,Elina Kc,Young Seok Park

Brain, behavior, and immunity 116:193-202 PubMed38081433

2023

Interleukin-10 signaling in somatosensory neurons controls CCL2 release and inflammatory response.

Applications

Unspecified application

Species

Unspecified reactive species

Sabrina de Souza,Jesús Rosario Claudio,Jaewon Sim,Kufreobong E Inyang,Andrew Dagenais,Karli Monahan,Beenhwa Lee,Hariharan Ramakrishnan,Visha Parmar,Matan Geron,Grégory Scherrer,Joseph K Folger,Geoffroy Laumet

The journal of headache and pain 24:137 PubMed37821818

2023

GFAP-NpHR mediated optogenetic inhibition of trigeminal nucleus caudalis attenuates hypersensitive behaviors and thalamic discharge attributed to infraorbital nerve constriction injury.

Applications

Unspecified application

Species

Unspecified reactive species

Elina Kc,Jaisan Islam,Hyong Kyu Kim,Young Seok Park

Frontiers in pharmacology 14:1117762 PubMed36865911

2023

Polyphyllin VI screened from Chonglou by cell membrane immobilized chromatography relieves inflammatory pain by inhibiting inflammation and normalizing the expression of P2X purinoceptor.

Applications

Unspecified application

Species

Unspecified reactive species

Zhenhui Luo,Tingting Wang,Zhenglang Zhang,Hekun Zeng,Mengqin Yi,Peiyang Li,Jiaqin Pan,Chunyan Zhu,Na Lin,Shangdong Liang,Alexei Verkhratsky,Hong Nie
View all publications

Product promise

We are committed to supporting your work with high-quality reagents, and we're here for you every step of the way. In the unlikely event that one of our products does not perform as expected, you're protected by our Product Promise.
For full details, please see our Terms & Conditions

Please note: All products are 'FOR RESEARCH USE ONLY. NOT FOR USE IN DIAGNOSTIC OR THERAPEUTIC PROCEDURES'.

For licensing inquiries, please contact partnerships@abcam.com