JavaScript is disabled in your browser. Please enable JavaScript to view this website.
AB303496

Anti-P2X4 antibody [EPR25194-152]

  • 20ul selling size
  • RabMAb
  • Recombinant
  • KO Validated
  • What is this?

Be the first to review this product! Submit a review

|

(0 Publication)

Rabbit Recombinant Monoclonal P2X4 antibody. Suitable for WB and reacts with Human, Recombinant full length protein - Human samples.

View Alternative Names

P2X purinoceptor 4, P2X4, ATP receptor, Purinergic receptor, P2RX4

4 Images
Western blot - Anti-P2X4 antibody [EPR25194-152] (AB303496)
  • WB

Lab

Western blot - Anti-P2X4 antibody [EPR25194-152] (AB303496)

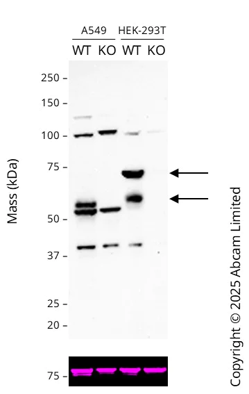
Western blot : Rabbit Monoclonal[EPR25194-152] to P2X4 ab303496 staining at 1/1000 dilution, shown in green; Mouse anti-CANX ab238078 loading control staining at 1/20000 dilution, shown in magenta. A band was observed at 58, 73 kDa in Wild-type A549 cell lysates with no signal observed at this size in P2RX4 knockout A549 cell line. To generate this image, samples were run on an SDS-PAGE gel then transferred onto a nitrocellulose membrane. Membranes were blocked in 3pc Milk in TBS-0.1 % Tween® 20 (TBS-T) before incubation with primary antibodies overnight at 4 °C. Blots were washed four times in TBS-T, incubated with secondary antibodies for 1 h at room temperature, washed again four times then imaged. Secondary antibodies used were Goat anti-Rabbit HRP (H+L) and Goat anti-Mouse 680RD at 1/20,000 dilution.

All lanes:

Western blot - Anti-P2X4 antibody [EPR25194-152] (ab303496) at 1/1000 dilution

Lane 1:

Wild-type A549 at 20 µg

Lane 2:

P2RX4 knockout A549 at 20 µg

Lane 3:

Wild-type HEK-293T BOILED at 20 µg

Lane 4:

P2RX4 knockout HEK-293T BOILED at 20 µg

Secondary

All lanes:

Goat anti-Rabbit HRP (H+L) & Goat anti-Mouse 680RD at 1/20000 dilution

Predicted band size: 55 kDa

Observed band size: 58 kDa,73 kDa,76 kDa

false

Western blot - Anti-P2X4 antibody [EPR25194-152] (AB303496)
  • WB

Supplier Data

Western blot - Anti-P2X4 antibody [EPR25194-152] (AB303496)

Blocking and dilution buffer and concentration : 5% NFDM/TBST

Exposure time :

Lanes 1-3 : 3 minutes

Lanes 4-5 : 3 seconds

Lanes 1-3 of this blot was developed using a high sensitivity ECL substrate. The high-sensitivity ECL substrate used allows for the detection of proteins in the mid-femtogram range.

All lanes:

Western blot - Anti-P2X4 antibody [EPR25194-152] (ab303496) at 1/1000 dilution

Lane 1:

Untreated T47D (human ductal breast epithelial tumor epithelial cell), whole cell lysate at 15 µg

Lane 2:

T47D treated with Protein Deglycosylation Mix II at 15 µg

Lane 3:

DLD-1 (human colorectal adenocarcinoma epithelial cell), whole cell lysate at 20 µg

Lane 4:

Human placenta tissue lysate at 20 µg

Lane 5:

Human colon tissue lysate at 20 µg

Secondary

All lanes:

Western blot - Goat Anti-Rabbit IgG H&L (HRP) (<a href='/en-us/products/secondary-antibodies/goat-rabbit-igg-h-l-hrp-ab97051'>ab97051</a>) at 1/100000 dilution

Predicted band size: 43 kDa

Observed band size: 55 kDa,43 kDa

true

Western blot - Anti-P2X4 antibody [EPR25194-152] (AB303496)
  • WB

Supplier Data

Western blot - Anti-P2X4 antibody [EPR25194-152] (AB303496)

Blocking and dilution buffer and concentration : 5% NFDM/TBST

In Western blot, ab303496 was shown to bind specifically to P2X4. A band was observed at 55 kDa in wild-type HEK-293T cell lysates with whereas no signal observed at this size in P2X4 knockout cell line ab266170 (knockout cell lysate ab258089).

This blot was developed using a high sensitivity ECL substrate. The high-sensitivity ECL substrate used allows for the detection of proteins in the mid-femtogram range.

All lanes:

Western blot - Anti-P2X4 antibody [EPR25194-152] (ab303496) at 1/1000 dilution

Lane 1:

Wild-type HEK-293T (human embryonic kidney epithelial cell), whole cell lysate at 10 µg

Lane 2:

P2X4 knockout HEK-293T (human embryonic kidney epithelial cell), whole cell lysate  at 10 µg

Secondary

All lanes:

Western blot - Goat Anti-Rabbit IgG H&L (HRP) (<a href='/en-us/products/secondary-antibodies/goat-rabbit-igg-h-l-hrp-ab97051'>ab97051</a>) at 1/100000 dilution

Predicted band size: 43 kDa

Observed band size: 55 kDa

true

Exposure time: 3min

Western blot - Anti-P2X4 antibody [EPR25194-152] (AB303496)
  • WB

Supplier Data

Western blot - Anti-P2X4 antibody [EPR25194-152] (AB303496)

Blocking and dilution buffer and concentration : 5% NFDM/TBST

This antibody does not cross-react with human P2X5.

This blot was developed using a high sensitivity ECL substrate. The high-sensitivity ECL substrate used allows for the detection of proteins in the mid-femtogram range.

All lanes:

Western blot - Anti-P2X4 antibody [EPR25194-152] (ab303496) at 1/1000 dilution

Lane 1:

His-tagged human P2X4 recombinant protein at 10 ng

Lane 2:

GST-tagged human P2X5 recombinant protein at 40 ng

Secondary

All lanes:

Western blot - Goat Anti-Rabbit IgG H&L (HRP) (<a href='/en-us/products/secondary-antibodies/goat-rabbit-igg-h-l-hrp-ab97051'>ab97051</a>) at 1/100000 dilution

Predicted band size: 43 kDa

Observed band size: 35 kDa

true

Exposure time: 26s

  • Carrier free

    Anti-P2X4 antibody [EPR25194-152] - BSA and Azide free

Key facts

Host species

Rabbit

Clonality

Monoclonal

Clone number

EPR25194-152

Isotype

IgG

Carrier free

No

Reacts with

Human

Applications

WB

applications

Immunogen

The exact immunogen used to generate this antibody is proprietary information.

Reactivity data

{ "title": "Reactivity Data", "filters": { "stats": ["", "Species", "Dilution Info", "Notes"], "tabs": { "all-applications": {"fullname" : "All Applications", "shortname": "All Applications"}, "WB" : {"fullname" : "Western blot", "shortname":"WB"}, "IHCP" : {"fullname" : "Immunohistochemistry (Formalin/PFA-fixed paraffin-embedded sections)", "shortname":"IHC-P"}, "ICCIF" : {"fullname" : "Immunocytochemistry/ Immunofluorescence", "shortname":"ICC/IF"}, "FlowCyt" : {"fullname" : "Flow Cytometry", "shortname":"Flow Cyt"}, "IP" : {"fullname" : "Immunoprecipitation", "shortname":"IP"} }, "product-promise": { "all": "all", "testedAndGuaranteed": "tested", "guaranteed": "expected", "predicted": "predicted", "notRecommended": "not-recommended" } }, "values": { "Human": { "WB-species-checked": "testedAndGuaranteed", "WB-species-dilution-info": "1/1000", "WB-species-notes": "<p></p>", "IHCP-species-checked": "notRecommended", "IHCP-species-dilution-info": "", "IHCP-species-notes": "<p></p> Perform heat-mediated antigen retrieval with Tris/EDTA buffer pH 9.0 before commencing with IHC staining protocol.", "ICCIF-species-checked": "notRecommended", "ICCIF-species-dilution-info": "", "ICCIF-species-notes": "<p></p>", "FlowCyt-species-checked": "notRecommended", "FlowCyt-species-dilution-info": "", "FlowCyt-species-notes": "<p></p>", "IP-species-checked": "notRecommended", "IP-species-dilution-info": "", "IP-species-notes": "<p></p>" }, "Mouse": { "WB-species-checked": "notRecommended", "WB-species-dilution-info": "1/1000", "WB-species-notes": "<p></p>", "IHCP-species-checked": "notRecommended", "IHCP-species-dilution-info": "", "IHCP-species-notes": "<p></p> Perform heat-mediated antigen retrieval with Tris/EDTA buffer pH 9.0 before commencing with IHC staining protocol.", "ICCIF-species-checked": "notRecommended", "ICCIF-species-dilution-info": "", "ICCIF-species-notes": "<p></p>", "FlowCyt-species-checked": "notRecommended", "FlowCyt-species-dilution-info": "", "FlowCyt-species-notes": "<p></p>", "IP-species-checked": "notRecommended", "IP-species-dilution-info": "", "IP-species-notes": "" }, "Rat": { "WB-species-checked": "notRecommended", "WB-species-dilution-info": "1/1000", "WB-species-notes": "<p></p>", "IHCP-species-checked": "notRecommended", "IHCP-species-dilution-info": "", "IHCP-species-notes": "<p></p> Perform heat-mediated antigen retrieval with Tris/EDTA buffer pH 9.0 before commencing with IHC staining protocol.", "ICCIF-species-checked": "notRecommended", "ICCIF-species-dilution-info": "", "ICCIF-species-notes": "", "FlowCyt-species-checked": "notRecommended", "FlowCyt-species-dilution-info": "", "FlowCyt-species-notes": "", "IP-species-checked": "notRecommended", "IP-species-dilution-info": "", "IP-species-notes": "" }, "Recombinant full length protein - Human": { "WB-species-checked": "testedAndGuaranteed", "WB-species-dilution-info": "1/1000", "WB-species-notes": "<p></p>", "IHCP-species-checked": "notRecommended", "IHCP-species-dilution-info": "", "IHCP-species-notes": "", "ICCIF-species-checked": "notRecommended", "ICCIF-species-dilution-info": "", "ICCIF-species-notes": "", "FlowCyt-species-checked": "notRecommended", "FlowCyt-species-dilution-info": "", "FlowCyt-species-notes": "", "IP-species-checked": "notRecommended", "IP-species-dilution-info": "", "IP-species-notes": "" } } }

Product details

Patented technology
Our RabMAb® technology is a patented hybridoma-based technology for making rabbit monoclonal antibodies. For details on our patents, please refer to RabMAb® patents.

What are the advantages of a recombinant monoclonal antibody?
This product is a recombinant monoclonal antibody, which offers several advantages including:

  • - High batch-to-batch consistency and reproducibility
  • - Improved sensitivity and specificity
  • - Long-term security of supply
  • - Animal-free batch production

For more information, read more on recombinant antibodies.

Properties and storage information

Form
Liquid
Purification technique
Affinity purification Protein A
Storage buffer
pH: 7.2 - 7.4 Preservative: 0.01% Sodium azide Constituents: PBS, 40% Glycerol (glycerin, glycerine), 0.05% BSA
Shipped at conditions
Blue Ice
Appropriate short-term storage duration
1-2 weeks
Appropriate short-term storage conditions
+4°C
Appropriate long-term storage conditions
-20°C
Aliquoting information
Upon delivery aliquot
Storage information
Avoid freeze / thaw cycle

Supplementary information

This supplementary information is collated from multiple sources and compiled automatically.

The P2X4 receptor also known as P2RX4 is an ATP-gated ion channel that functions as a non-selective cation channel integral to numerous physiological processes. This receptor has a molecular mass of approximately 46 kDa. You can find it expressed highly in the central nervous system specifically in microglial cells and also in various peripheral tissues such as the heart and vascular endothelial cells. The channel allows for the rapid influx of calcium sodium and potassium ions upon activation by extracellular ATP.
Biological function summary

P2X4 receptors play important roles in modulating synaptic transmission and plasticity particularly through their involvement in maintaining calcium homeostasis. These receptors do not function in isolation; they often operate as part of larger protein complexes including potential interactions with other P2X receptors such as P2X7. Through these associations P2X4 influences inflammatory responses and neuropathic pain acting as a bridge between extracellular signals and intracellular processes.

Pathways

P2X4 is important in the regulation of several signaling cascades notably the inflammatory and pain pathways. For example its interaction with the NF-kB signaling pathway highlights its contribution to inflammatory responses. P2X4 also interacts with proteins like pannexin-1 forming conduits that may amplify ATP release an important step in the propagation of inflammatory signals contributing to long-term changes in synaptic function and plasticity.

P2X4 receptor activity links to various conditions particularly neuropathic pain and heart disease. Alterations in P2X4 expression or function can contribute to the development of chronic pain conditions where enhanced P2X4 signaling is observed in microglial cells in response to nerve injury. In cardiac settings changes in P2X4 may influence heart failure with potential interactions noted with P2X7 receptors; these interactions can modulate inflammatory pathways that exacerbate cardiac dysfunction.

Product protocols

For this product, it's our understanding that no specific protocols are required. You can visit:

Target data

ATP-gated nonselective transmembrane cation channel permeable to potassium, sodium and calcium (PubMed : 9016352). CTP, but not GTP or UTP, functions as a weak affinity agonist for P2RX4 (By similarity). Activated by extracellularly released ATP, it plays multiple role in immunity and central nervous system physiology (PubMed : 35165166). Plays a key role in initial steps of T-cell activation and Ca(2+) microdomain formation (By similarity). Participates also in basal T-cell activity without TCR/CD3 stimulation (By similarity). Promotes the differentiation and activation of Th17 cells via expression of retinoic acid-related orphan receptor C/RORC (PubMed : 35165166). Upon activation, drives microglia motility via the PI3K/Akt pathway (By similarity). Could also function as an ATP-gated cation channel of lysosomal membranes (By similarity).
See full target information P2RX4

Product promise

We are committed to supporting your work with high-quality reagents, and we're here for you every step of the way. In the unlikely event that one of our products does not perform as expected, you're protected by our Product Promise.
For full details, please see our Terms & Conditions

Please note: All products are 'FOR RESEARCH USE ONLY. NOT FOR USE IN DIAGNOSTIC OR THERAPEUTIC PROCEDURES'.

For licensing inquiries, please contact partnerships@abcam.com