JavaScript is disabled in your browser. Please enable JavaScript to view this website.
AB279709

Anti-P2X7 antibody [EPR24130-77] - BSA and Azide free

Be the first to review this product! Submit a review

|

(0 Publication)

Rabbit Recombinant Monoclonal P2X7 antibody. Carrier free. Suitable for IP, WB, IHC-P and reacts with Mouse samples.

View Alternative Names

P2x7, P2rx7, P2X purinoceptor 7, P2X7, ATP receptor, P2Z receptor, Purinergic receptor

6 Images
Immunohistochemistry (Formalin/PFA-fixed paraffin-embedded sections) - Anti-P2X7 antibody [EPR24130-77] - BSA and Azide free (AB279709)
  • IHC-P

Supplier Data

Immunohistochemistry (Formalin/PFA-fixed paraffin-embedded sections) - Anti-P2X7 antibody [EPR24130-77] - BSA and Azide free (AB279709)

This data was developed using ab259942, the same antibody clone in a different buffer formulation.

Immunohistochemical analysis of paraffin-embedded Mouse cerebrum tissue labeling P2X7 with ab259942 at 1/2000 dilution followed by a ready to use LeicaDS9800 (Bond™ Polymer Refine Detection). Positive staining in mouse cerebrum (PMID : 28716092).The section was incubated with ab259942 for 30 mins at room temperature. The immunostaining was performed on a Leica Biosystems BOND® RX instrument Counterstained with Hematoxylin.

Secondary antibody only control : Secondary antibody is a ready to use LeicaDS9800 (Bond™ Polymer Refine Detection) was used.

Heat mediated antigen retrieval with Tris-EDTA buffer (pH 9.0, epitope retrieval solution2) for 20 mins.

Immunohistochemistry (Formalin/PFA-fixed paraffin-embedded sections) - Anti-P2X7 antibody [EPR24130-77] - BSA and Azide free (AB279709)
  • IHC-P

Supplier Data

Immunohistochemistry (Formalin/PFA-fixed paraffin-embedded sections) - Anti-P2X7 antibody [EPR24130-77] - BSA and Azide free (AB279709)

This data was developed using ab259942, the same antibody clone in a different buffer formulation.

Immunohistochemical analysis of paraffin-embedded Mouse spleen tissue labeling P2X7 with ab259942 at 1/2000 dilution followed by a ready to use LeicaDS9800 (Bond™ Polymer Refine Detection). Membranous staining in mouse spleen (PMID : 22415881).The section was incubated with ab259942 for 30 mins at room temperature. The immunostaining was performed on a Leica Biosystems BOND® RX instrument Counterstained with Hematoxylin.

Secondary antibody only control : Secondary antibody is a ready to use LeicaDS9800 (Bond™ Polymer Refine Detection) was used.

Heat mediated antigen retrieval with Tris-EDTA buffer (pH 9.0, epitope retrieval solution2) for 20 mins.

Immunohistochemistry (Formalin/PFA-fixed paraffin-embedded sections) - Anti-P2X7 antibody [EPR24130-77] - BSA and Azide free (AB279709)
  • IHC-P

Supplier Data

Immunohistochemistry (Formalin/PFA-fixed paraffin-embedded sections) - Anti-P2X7 antibody [EPR24130-77] - BSA and Azide free (AB279709)

This data was developed using ab259942, the same antibody clone in a different buffer formulation.

Immunohistochemical analysis of paraffin-embedded Mouse skeletal muscle tissue labeling P2X7 with ab259942 at 1/2000 dilution followed by a ready to use LeicaDS9800 (Bond™ Polymer Refine Detection). Very weak staining in mouse skeletal muscle.The section was incubated with ab259942 for 30 mins at room temperature. The immunostaining was performed on a Leica Biosystems BOND® RX instrument Counterstained with Hematoxylin.

Secondary antibody only control : Secondary antibody is a ready to use LeicaDS9800 (Bond™ Polymer Refine Detection) was used.

Heat mediated antigen retrieval with Tris-EDTA buffer (pH 9.0, epitope retrieval solution2) for 20 mins.

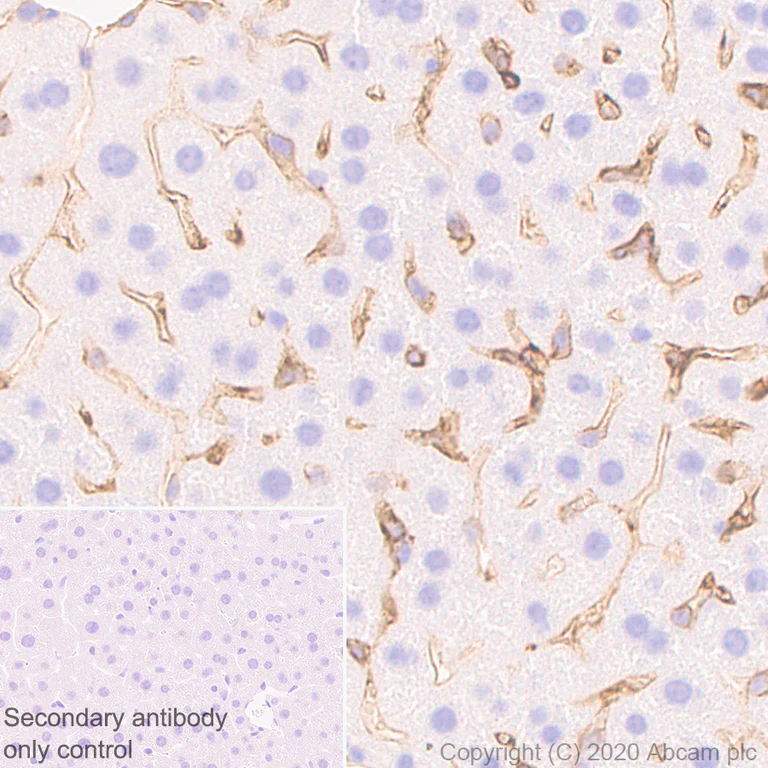
Immunohistochemistry (Formalin/PFA-fixed paraffin-embedded sections) - Anti-P2X7 antibody [EPR24130-77] - BSA and Azide free (AB279709)
  • IHC-P

Supplier Data

Immunohistochemistry (Formalin/PFA-fixed paraffin-embedded sections) - Anti-P2X7 antibody [EPR24130-77] - BSA and Azide free (AB279709)

This data was developed using ab259942, the same antibody clone in a different buffer formulation.

Immunohistochemical analysis of paraffin-embedded Mouse liver tissue labeling P2X7 with ab259942 at 1/2000 dilution followed by a ready to use LeicaDS9800 (Bond™ Polymer Refine Detection). Membranous staining in sinusiod of mouse liver (PMID : 22415881).The section was incubated with ab259942 for 30 mins at room temperature. The immunostaining was performed on a Leica Biosystems BOND® RX instrument Counterstained with Hematoxylin.

Secondary antibody only control : Secondary antibody is a ready to use LeicaDS9800 (Bond™ Polymer Refine Detection) was used.

Heat mediated antigen retrieval with Tris-EDTA buffer (pH 9.0, epitope retrieval solution2) for 20 mins.

Immunoprecipitation - Anti-P2X7 antibody [EPR24130-77] - BSA and Azide free (AB279709)
  • IP

Supplier Data

Immunoprecipitation - Anti-P2X7 antibody [EPR24130-77] - BSA and Azide free (AB279709)

This data was developed using ab259942, the same antibody clone in a different buffer formulation.

P2X7 was immunoprecipitated from 0.35 mg Mouse lung tissue lysate 10 ug with ab259942 at 1/30 dilution (2ug in 0.35mg lysates). Western blot was performed on the immunoprecipitate using ab259942 at 1/1000 dilution. VeriBlot for IP Detection Reagent (HRP)(ab131366) was used at 1/5000 dilution.

Lane 1 : Mouse lung tissue lysate 10 ug

Lane 2 : ab259942 IP in Mouse lung tissue lysate

Lane 3 : Rabbit monoclonal IgG (ab172730) instead of ab259942 in Mouse lung tissue lysate

Blocking and dilution buffer and concentration : 5% NFDM/TBST.

Exposure time : 3.25 seconds

All lanes:

Immunoprecipitation - Anti-P2X7 antibody [EPR24130-77] (<a href='/en-us/products/primary-antibodies/p2x7-antibody-epr24130-77-ab259942'>ab259942</a>)

Predicted band size: 69 kDa

Observed band size: 75 kDa

false

Western blot - Anti-P2X7 antibody [EPR24130-77] - BSA and Azide free (AB279709)
  • WB

Lab

Western blot - Anti-P2X7 antibody [EPR24130-77] - BSA and Azide free (AB279709)

This data was developed using ab259942, the same antibody clone in a different buffer formulation.

Blocking and diluting buffer and concentration : 5% NFDM/TBST

Samples are non-boiled as boiling may cause protein aggregates.

The molecular weight observed is consistent with what has been described in the literature (PMID : 20450227)

The expression profile is consistent with what has been described in the literature (PMID : 29018292)

Low expression or negative control : Mouse skeletal muscle (PMID : 15254086, PMID : 22415881), which is consistent to IHC expression pattern.

Exposure time : 59 seconds

All lanes:

Western blot - Anti-P2X7 antibody [EPR24130-77] (<a href='/en-us/products/primary-antibodies/p2x7-antibody-epr24130-77-ab259942'>ab259942</a>) at 1/1000 dilution

Lane 1:

RAW264.7 (mouse Abelson murine leukemia virus-induced tumor macrophage), whole cell lysate at 20 µg

Lane 2:

Mouse brain tissue lysate at 20 µg

Lane 3:

Mouse lung tissue lysate at 20 µg

Lane 4:

Mouse skeletal muscle tissue lysate at 20 µg

Secondary

Lanes 1 - 4:

Goat Anti-Rabbit IgG, (H+L), Peroxidase conjugated at 1/100000 dilution

Lanes 1 - 4:

Western blot - Goat Anti-Rabbit IgG H&L (HRP) (<a href='/en-us/products/secondary-antibodies/goat-rabbit-igg-h-l-hrp-ab97051'>ab97051</a>) at 1/100000 dilution

Predicted band size: 69 kDa

Observed band size: 75 kDa

false

Key facts

Host species

Rabbit

Clonality

Monoclonal

Clone number

EPR24130-77

Isotype

IgG

Carrier free

Yes

Reacts with

Mouse

Applications

WB, IP, IHC-P

applications

Immunogen

The exact immunogen used to generate this antibody is proprietary information.

Reactivity data

{ "title": "Reactivity Data", "filters": { "stats": ["", "Species", "Dilution Info", "Notes"], "tabs": { "all-applications": {"fullname" : "All Applications", "shortname": "All Applications"}, "ICCIF" : {"fullname" : "Immunocytochemistry/ Immunofluorescence", "shortname":"ICC/IF"}, "IP" : {"fullname" : "Immunoprecipitation", "shortname":"IP"}, "WB" : {"fullname" : "Western blot", "shortname":"WB"}, "FlowCytIntra" : {"fullname" : "Flow Cytometry (Intracellular)", "shortname":"Flow Cyt (Intra)"}, "IHCP" : {"fullname" : "Immunohistochemistry (Formalin/PFA-fixed paraffin-embedded sections)", "shortname":"IHC-P"} }, "product-promise": { "all": "all", "testedAndGuaranteed": "tested", "guaranteed": "expected", "predicted": "predicted", "notRecommended": "not-recommended" } }, "values": { "Human": { "ICCIF-species-checked": "notRecommended", "ICCIF-species-dilution-info": "", "ICCIF-species-notes": "", "IP-species-checked": "notRecommended", "IP-species-dilution-info": "", "IP-species-notes": "", "WB-species-checked": "notRecommended", "WB-species-dilution-info": "", "WB-species-notes": "<p></p>", "FlowCytIntra-species-checked": "notRecommended", "FlowCytIntra-species-dilution-info": "", "FlowCytIntra-species-notes": "", "IHCP-species-checked": "notRecommended", "IHCP-species-dilution-info": "", "IHCP-species-notes": "<p></p>" }, "Mouse": { "ICCIF-species-checked": "notRecommended", "ICCIF-species-dilution-info": "", "ICCIF-species-notes": "<p></p>", "IP-species-checked": "testedAndGuaranteed", "IP-species-dilution-info": "", "IP-species-notes": "<p></p>", "WB-species-checked": "testedAndGuaranteed", "WB-species-dilution-info": "", "WB-species-notes": "<p></p>", "FlowCytIntra-species-checked": "notRecommended", "FlowCytIntra-species-dilution-info": "", "FlowCytIntra-species-notes": "<p></p>", "IHCP-species-checked": "testedAndGuaranteed", "IHCP-species-dilution-info": "", "IHCP-species-notes": "<p></p>" }, "Rat": { "ICCIF-species-checked": "notRecommended", "ICCIF-species-dilution-info": "", "ICCIF-species-notes": "<p></p>", "IP-species-checked": "notRecommended", "IP-species-dilution-info": "", "IP-species-notes": "<p></p>", "WB-species-checked": "notRecommended", "WB-species-dilution-info": "", "WB-species-notes": "<p></p>", "FlowCytIntra-species-checked": "notRecommended", "FlowCytIntra-species-dilution-info": "", "FlowCytIntra-species-notes": "<p></p>", "IHCP-species-checked": "notRecommended", "IHCP-species-dilution-info": "", "IHCP-species-notes": "<p></p>" } } }

Product details

ab279709 is the carrier-free version of ab259942.

Patented technology
Our RabMAb® technology is a patented hybridoma-based technology for making rabbit monoclonal antibodies. For details on our patents, please refer to RabMAb® patents.

What are the advantages of a recombinant monoclonal antibody?
This product is a recombinant monoclonal antibody, which offers several advantages including:

  • - High batch-to-batch consistency and reproducibility
  • - Improved sensitivity and specificity
  • - Long-term security of supply
  • - Animal-free batch production

For more information, read more on recombinant antibodies.

Conjugation ready
Our carrier-free antibodies are typically supplied in a PBS-only formulation, purified and free of BSA, sodium azide and glycerol. This conjugation-ready format is designed for use with fluorochromes, metal isotopes, oligonucleotides, and enzymes, which makes them ideal for antibody labelling, functional and cell-based assays, flow-based assays (e.g. mass cytometry) and Multiplex Imaging applications.

Use our conjugation kits for antibody conjugates that are ready-to-use in as little as 20 minutes with 1 minute hands-on-time and 100% antibody recovery: available for fluorescent dyes, HRP, biotin and gold.

Compatibility
This product is compatible with the Maxpar® Antibody Labeling Kit from Fluidigm, without the need for antibody preparation. Maxpar® is a trademark of Fluidigm Canada Inc.

Properties and storage information

Form
Liquid
Purification technique
Affinity purification Protein A
Storage buffer
Constituents: PBS
Shipped at conditions
Blue Ice
Appropriate short-term storage conditions
+4°C
Appropriate long-term storage conditions
+4°C

Supplementary information

This supplementary information is collated from multiple sources and compiled automatically.

The P2X7 receptor also known as P2RX7 is a ligand-gated ion channel primarily activated by ATP. It possesses a mass of approximately 68 kDa and is mainly expressed in immune cells like macrophages and microglia. P2X7 functions as a trimer forming a pore in the cell membrane that allows the passage of ions such as calcium (Ca²⁺) and sodium (Na⁺) influencing cell signaling and survival. This receptor is notable for its unique ability to change permeability to larger molecules upon prolonged stimulation with ATP.
Biological function summary

The P2X7 receptor influences immune response and inflammation. It plays a role in the release of pro-inflammatory cytokines like interleukin-1β (IL-1β) therefore participating in the regulation of inflammatory and immune responses. It forms a complex with other purinergic receptors affecting processes such as apoptosis and cell proliferation. The activation of P2X7 can lead to the formation of the inflammasome a component critical for cytokine processing and release.

Pathways

The P2X7 receptor integrates into the NOD-like receptor (NLR) signaling and the purinergic signaling pathways. It interacts with proteins from these pathways including NLRP3 and pannexin-1 which contribute to inflammasome assembly and function. P2X7 also impacts intracellular signaling cascades such as the PI3K/AKT pathway influencing cellular survival and immune responses.

Aberrant P2X7 receptor activity has connections to inflammatory and neurodegenerative conditions. In chronic inflammation the enhanced activity of this receptor can exacerbate diseases like rheumatoid arthritis by promoting excessive cytokine release. It is also associated with neurodegenerative disorders like Alzheimer's disease where P2X7 influences neuroinflammation and neuronal death interacting with proteins such as amyloid-beta.

Product protocols

For this product, it's our understanding that no specific protocols are required. You can visit:

Target data

ATP-gated nonselective transmembrane cation channel. Requires high millimolar-range concentrations of ATP to become activated (PubMed : 9849870). ATP binding trigers the rapid opening of the channel and allows Na(+) and Ca(2+) influx and K(+) efflux (By similarity). Has also the ability to form a large pore in the cell membrane, allowing the passage of large cationic molecules (PubMed : 25281740). In microglia, may mediate NADPH transport across the plasma membrane (By similarity). In immune cells, P2RX7 acts as a molecular sensor in pathological inflammatory states by detecting and responding to high local concentrations of extracellar ATP. In microglial cells, P2RX7 activation leads to the release of pro-inflammatory cytokines, such as IL-1beta and IL-18, through the activation of the NLRP3 inflammasome and caspase-1 (PubMed : 26877061). Cooperates with KCNK6 to activate NLRP3 inflammasome (PubMed : 29958799). Activates death pathways leading to apoptosis and autophagy (By similarity). Activates death pathways leading to pyroptosis (PubMed : 26572062). Involved in the homeostatic wound healing response to tissue injury, a multistep cascade that guides neutrophil migration to necrotic sites while avoiding collateral damage of healthy tissues. Senses ATP released from necrotic cells triggering activation of NLRP3 inflammasome and neutrophil adhesion to the vascular endothelium close to the injury site.
See full target information P2rx7

Product promise

We are committed to supporting your work with high-quality reagents, and we're here for you every step of the way. In the unlikely event that one of our products does not perform as expected, you're protected by our Product Promise.
For full details, please see our Terms & Conditions

Please note: All products are 'FOR RESEARCH USE ONLY. NOT FOR USE IN DIAGNOSTIC OR THERAPEUTIC PROCEDURES'.

For licensing inquiries, please contact partnerships@abcam.com