JavaScript is disabled in your browser. Please enable JavaScript to view this website.
AB307718

Anti-P2X7 antibody [EPR26989-11]

  • BOND RX™ Validated
  • 20ul selling size
  • RabMAb
  • Recombinant
  • What is this?

Be the first to review this product! Submit a review

|

(5 Publications)

Rabbit Recombinant Monoclonal P2X7 antibody. Suitable for IHC-P, WB and reacts with Rat, Mouse, Human samples. Cited in 5 publications.

View Alternative Names

P2X purinoceptor 7, P2X7, ATP receptor, P2Z receptor, Purinergic receptor, P2RX7

4 Images
Immunohistochemistry (Formalin/PFA-fixed paraffin-embedded sections) - Anti-P2X7 antibody [EPR26989-11] (AB307718)
  • IHC-P

Supplier Data

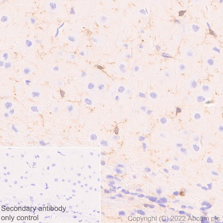
Immunohistochemistry (Formalin/PFA-fixed paraffin-embedded sections) - Anti-P2X7 antibody [EPR26989-11] (AB307718)

Immunohistochemical analysis of paraffin-embedded Rat cerebrum tissue labeling P2X7 with ab307718 at 1/1000 (0.524 ug/ml) followed by a ready to use LeicaDS9800 (Bond™ Polymer Refine Detection). Positive staining on rat cerebrum.The section was incubated with ab307718 for 30 mins at room temperature.The immunostaining was performed on a Leica Biosystems BOND® RX instrument Counterstained with Hematoxylin. Secondary antibody only control : Secondary antibody is a ready to use LeicaDS9800 (Bond™ Polymer Refine Detection). Heat mediated antigen retrieval was performed with Tris-EDTA buffer (pH 9.0, Epitope Retrieval Solution2) for 20 mins

Immunohistochemistry (Formalin/PFA-fixed paraffin-embedded sections) - Anti-P2X7 antibody [EPR26989-11] (AB307718)
  • IHC-P

Supplier Data

Immunohistochemistry (Formalin/PFA-fixed paraffin-embedded sections) - Anti-P2X7 antibody [EPR26989-11] (AB307718)

Immunohistochemical analysis of paraffin-embedded Mouse cerebrum tissue labeling P2X7 with ab307718 at 1/1000 (0.524 ug/ml) followed by a ready to use LeicaDS9800 (Bond™ Polymer Refine Detection). Positive staining on mouse cerebrum (PMID : 28716092).The section was incubated with ab307718 for 30 mins at room temperature.The immunostaining was performed on a Leica Biosystems BOND® RX instrument Counterstained with Hematoxylin. Secondary antibody only control : Secondary antibody is a ready to use LeicaDS9800 (Bond™ Polymer Refine Detection). Heat mediated antigen retrieval was performed with Tris-EDTA buffer (pH 9.0, Epitope Retrieval Solution2) for 20 mins

Western blot - Anti-P2X7 antibody [EPR26989-11] (AB307718)
  • WB

Supplier Data

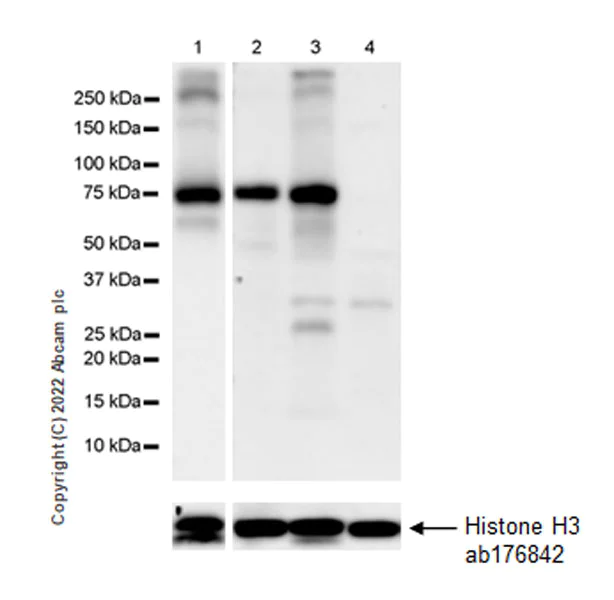
Western blot - Anti-P2X7 antibody [EPR26989-11] (AB307718)

Blocking and diluting buffer and concentration : 5% NFDM/TBST Negative control : 293T (PMID : 33042257). Exposure time : Lane 1 : 3 seconds; Lanes 2-4 : 26 seconds.

All lanes:

Western blot - Anti-P2X7 antibody [EPR26989-11] (ab307718) at 1/1000 dilution

Lane 1:

Human cerebellum tissue lysate at 20 µg

Lane 2:

U-87 MG (human glioblastoma-astrocytoma epithelial cell) whole cell lysate at 20 µg

Lane 3:

SK-MEL-28 (human malignant melanoma cell ) whole cell lysate at 20 µg

Lane 4:

293T (human embryonic kidney epithelial cell) whole cell lysate at 20 µg

Secondary

Lanes 1 - 4:

Goat Anti-Rabbit IgG (HRP) with minimal cross-reactivity with human IgG at 1/100000 dilution

Lanes 1 - 4:

Western blot - Goat Anti-Rabbit IgG H&L (HRP) (<a href='/en-us/products/secondary-antibodies/goat-rabbit-igg-h-l-hrp-ab97051'>ab97051</a>) at 1/2000 dilution

Observed band size: 75 kDa

false

Exposure time: 3s

Western blot - Anti-P2X7 antibody [EPR26989-11] (AB307718)
  • WB

Supplier Data

Western blot - Anti-P2X7 antibody [EPR26989-11] (AB307718)

Blocking and diluting buffer and concentration : 5% NFDM/TBST Exposure time : Lane 1 : 15 seconds; Lane 2 : 37 seconds; Lanes 3-4 : 26 seconds; Lanes 5-6 : 125 seconds.

All lanes:

Western blot - Anti-P2X7 antibody [EPR26989-11] (ab307718) at 1/1000 dilution

Lane 1:

Mouse cerebellum tissue lysate at 20 µg

Lane 2:

Mouse brain tissue lysate at 20 µg

Lane 3:

Mouse lu tissue lysate at 20 µg

Lane 4:

RAW 264.7 (mouse abelson murine leukemia virus-induced tumor macrophage) whole cell lysate at 20 µg

Lane 5:

Rat cerebellum tissue lysate at 20 µg

Lane 6:

Rat brain tissue lysate at 20 µg

Secondary

All lanes:

Western blot - Goat Anti-Rabbit IgG H&L (HRP) (<a href='/en-us/products/secondary-antibodies/goat-rabbit-igg-h-l-hrp-ab97051'>ab97051</a>) at 1/100000 dilution

Observed band size: 75 kDa

false

Exposure time: 15s

  • Carrier free

    Anti-P2X7 antibody [EPR26989-11] - BSA and Azide free

Key facts

Host species

Rabbit

Clonality

Monoclonal

Clone number

EPR26989-11

Isotype

IgG

Carrier free

No

Reacts with

Rat, Mouse, Human

Applications

WB, IHC-P

applications

Immunogen

The exact immunogen used to generate this antibody is proprietary information.

Reactivity data

{ "title": "Reactivity Data", "filters": { "stats": ["", "Species", "Dilution Info", "Notes"], "tabs": { "all-applications": {"fullname" : "All Applications", "shortname": "All Applications"}, "IHCP" : {"fullname" : "Immunohistochemistry (Formalin/PFA-fixed paraffin-embedded sections)", "shortname":"IHC-P"}, "WB" : {"fullname" : "Western blot", "shortname":"WB"}, "IP" : {"fullname" : "Immunoprecipitation", "shortname":"IP"}, "FlowCyt" : {"fullname" : "Flow Cytometry", "shortname":"Flow Cyt"}, "ICCIF" : {"fullname" : "Immunocytochemistry/ Immunofluorescence", "shortname":"ICC/IF"} }, "product-promise": { "all": "all", "testedAndGuaranteed": "tested", "guaranteed": "expected", "predicted": "predicted", "notRecommended": "not-recommended" } }, "values": { "Human": { "IHCP-species-checked": "notRecommended", "IHCP-species-dilution-info": "1/1000", "IHCP-species-notes": "<p></p> Perform heat-mediated antigen retrieval with Tris/EDTA buffer pH 9.0 before commencing with IHC staining protocol.", "WB-species-checked": "testedAndGuaranteed", "WB-species-dilution-info": "1/1000", "WB-species-notes": "<p></p>", "IP-species-checked": "notRecommended", "IP-species-dilution-info": "", "IP-species-notes": "<p></p>", "FlowCyt-species-checked": "notRecommended", "FlowCyt-species-dilution-info": "", "FlowCyt-species-notes": "<p></p>", "ICCIF-species-checked": "notRecommended", "ICCIF-species-dilution-info": "", "ICCIF-species-notes": "<p></p>" }, "Mouse": { "IHCP-species-checked": "testedAndGuaranteed", "IHCP-species-dilution-info": "1/1000", "IHCP-species-notes": "<p></p> Perform heat-mediated antigen retrieval with Tris/EDTA buffer pH 9.0 before commencing with IHC staining protocol.", "WB-species-checked": "testedAndGuaranteed", "WB-species-dilution-info": "1/1000", "WB-species-notes": "<p></p>", "IP-species-checked": "notRecommended", "IP-species-dilution-info": "", "IP-species-notes": "", "FlowCyt-species-checked": "notRecommended", "FlowCyt-species-dilution-info": "", "FlowCyt-species-notes": "", "ICCIF-species-checked": "notRecommended", "ICCIF-species-dilution-info": "", "ICCIF-species-notes": "" }, "Rat": { "IHCP-species-checked": "testedAndGuaranteed", "IHCP-species-dilution-info": "1/1000", "IHCP-species-notes": "<p></p> Perform heat-mediated antigen retrieval with Tris/EDTA buffer pH 9.0 before commencing with IHC staining protocol.", "WB-species-checked": "testedAndGuaranteed", "WB-species-dilution-info": "1/1000", "WB-species-notes": "<p></p>", "IP-species-checked": "notRecommended", "IP-species-dilution-info": "", "IP-species-notes": "", "FlowCyt-species-checked": "notRecommended", "FlowCyt-species-dilution-info": "", "FlowCyt-species-notes": "", "ICCIF-species-checked": "notRecommended", "ICCIF-species-dilution-info": "", "ICCIF-species-notes": "" } } }

Product details

Patented technology
Our RabMAb® technology is a patented hybridoma-based technology for making rabbit monoclonal antibodies. For details on our patents, please refer to RabMAb® patents.

What are the advantages of a recombinant monoclonal antibody?
This product is a recombinant monoclonal antibody, which offers several advantages including:

  • - High batch-to-batch consistency and reproducibility
  • - Improved sensitivity and specificity
  • - Long-term security of supply
  • - Animal-free batch production

For more information, read more on recombinant antibodies.

Properties and storage information

Form
Liquid
Purification technique
Affinity purification Protein A
Storage buffer
pH: 7.2 - 7.4 Preservative: 0.01% Sodium azide Constituents: PBS, 40% Glycerol (glycerin, glycerine), 0.05% BSA
Shipped at conditions
Blue Ice
Appropriate short-term storage duration
1-2 weeks
Appropriate short-term storage conditions
+4°C
Appropriate long-term storage conditions
-20°C
Aliquoting information
Upon delivery aliquot
Storage information
Avoid freeze / thaw cycle

Supplementary information

This supplementary information is collated from multiple sources and compiled automatically.

The P2X7 receptor also known as P2RX7 is a ligand-gated ion channel primarily activated by ATP. It possesses a mass of approximately 68 kDa and is mainly expressed in immune cells like macrophages and microglia. P2X7 functions as a trimer forming a pore in the cell membrane that allows the passage of ions such as calcium (Ca²⁺) and sodium (Na⁺) influencing cell signaling and survival. This receptor is notable for its unique ability to change permeability to larger molecules upon prolonged stimulation with ATP.
Biological function summary

The P2X7 receptor influences immune response and inflammation. It plays a role in the release of pro-inflammatory cytokines like interleukin-1β (IL-1β) therefore participating in the regulation of inflammatory and immune responses. It forms a complex with other purinergic receptors affecting processes such as apoptosis and cell proliferation. The activation of P2X7 can lead to the formation of the inflammasome a component critical for cytokine processing and release.

Pathways

The P2X7 receptor integrates into the NOD-like receptor (NLR) signaling and the purinergic signaling pathways. It interacts with proteins from these pathways including NLRP3 and pannexin-1 which contribute to inflammasome assembly and function. P2X7 also impacts intracellular signaling cascades such as the PI3K/AKT pathway influencing cellular survival and immune responses.

Aberrant P2X7 receptor activity has connections to inflammatory and neurodegenerative conditions. In chronic inflammation the enhanced activity of this receptor can exacerbate diseases like rheumatoid arthritis by promoting excessive cytokine release. It is also associated with neurodegenerative disorders like Alzheimer's disease where P2X7 influences neuroinflammation and neuronal death interacting with proteins such as amyloid-beta.

Product protocols

For this product, it's our understanding that no specific protocols are required. You can visit:

Target data

Receptor for ATP that acts as a ligand-gated ion channel. Responsible for ATP-dependent lysis of macrophages through the formation of membrane pores permeable to large molecules. Could function in both fast synaptic transmission and the ATP-mediated lysis of antigen-presenting cells. In the absence of its natural ligand, ATP, functions as a scavenger receptor in the recognition and engulfment of apoptotic cells (PubMed : 21821797, PubMed : 23303206).
See full target information P2RX7

Publications (5)

Recent publications for all applications. Explore the full list and refine your search

Scientific reports 15:965 PubMed39762398

2025

Role of P ×  receptor during focused ultrasound induced blood brain barrier modulation.

Applications

Unspecified application

Species

Unspecified reactive species

Junwon Park,Young Cheol Na,Jihyeon Lee,Younghee Seo,Hojin Kim,Sangheon Han,Byeong-Wook Song,Won Seok Chang

Journal of neuroinflammation 21:197 PubMed39113081

2024

FOSL1-mediated LINC01566 negatively regulates CD4 T-cell activation in myasthenia gravis.

Applications

Unspecified application

Species

Unspecified reactive species

Lifang Li,Danyang Li,Jingnan Jin,Fanfan Xu,Ni He,Yingjie Ren,Xiaokun Wang,Liting Tian,Biying Chen,Xiaoju Li,Zihong Chen,Lanxin Zhang,Lukuan Qiao,Lihua Wang,Jianjian Wang

Cellular & molecular biology letters 29:100 PubMed38977961

2024

New mechanistic understanding of osteoclast differentiation and bone resorption mediated by P2X7 receptors and PI3K-Akt-GSK3β signaling.

Applications

Unspecified application

Species

Unspecified reactive species

Jiajia Lu,Xiaojian Shi,Qiang Fu,Yaguang Han,Lei Zhu,Zhibin Zhou,Yongchuan Li,Nan Lu

Molecules (Basel, Switzerland) 29: PubMed38474588

2024

Regulation of the Nur77-P2X7r Signaling Pathway by Nodakenin: A Potential Protective Function against Alcoholic Liver Disease.

Applications

Unspecified application

Species

Unspecified reactive species

Jian Song,Bo-Feng Qin,Jin-Jin Zhang,Qi-Yuan Feng,Guan-Cheng Liu,Gui-Yun Zhao,Hai-Ming Sun

Purinergic signalling 20:533-546 PubMed38436880

2024

Novel synthesized ionizable lipid for LNP-mediated P2X7siRNA to inhibit migration and induce apoptosis of breast cancer cells.

Applications

Unspecified application

Species

Unspecified reactive species

Seyed Hossein Kiaie,Ali Rajabi Zangi,Mohammad Sheibani,Salar Hemmati,Behzad Baradaran,Hadi Valizadeh
View all publications

Product promise

We are committed to supporting your work with high-quality reagents, and we're here for you every step of the way. In the unlikely event that one of our products does not perform as expected, you're protected by our Product Promise.
For full details, please see our Terms & Conditions

Please note: All products are 'FOR RESEARCH USE ONLY. NOT FOR USE IN DIAGNOSTIC OR THERAPEUTIC PROCEDURES'.

For licensing inquiries, please contact partnerships@abcam.com