JavaScript is disabled in your browser. Please enable JavaScript to view this website.
AB183066

Anti-P2Y12 antibody

4

(2 Reviews)

|

(5 Publications)

Rabbit Polyclonal P2Y12 antibody. Suitable for WB, IHC-P and reacts with Human samples. Cited in 5 publications. Immunogen corresponding to Synthetic Peptide within Human P2RY12 aa 1-50.

View Alternative Names

HORK3, P2RY12, P2Y purinoceptor 12, P2Y12, ADP-glucose receptor, P2T(AC), P2Y(AC), P2Y(cyc), P2Y12 platelet ADP receptor, SP1999, ADPG-R, P2Y(ADP)

2 Images
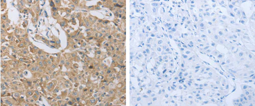
Immunohistochemistry (Formalin/PFA-fixed paraffin-embedded sections) - Anti-P2Y12 antibody (AB183066)
  • IHC-P

Supplier Data

Immunohistochemistry (Formalin/PFA-fixed paraffin-embedded sections) - Anti-P2Y12 antibody (AB183066)

Immunohistochemical analysis of paraffin-embedded Human lung cancer tissue labeling P2Y12 with ab183066 at 1/25 dilution, in the presence (right image) or absence (left image) of immunizing peptide.

Western blot - Anti-P2Y12 antibody (AB183066)
  • WB

Supplier Data

Western blot - Anti-P2Y12 antibody (AB183066)

All lanes:

Western blot - Anti-P2Y12 antibody (ab183066) at 1/400 dilution

Lane 1:

293T cell lysate at 40 µg

Lane 2:

HeLa cell lysate at 40 µg

Secondary

All lanes:

Goat anti Rabbit IgG - H&L (HRP) at 1/5000 dilution

Predicted band size: 39 kDa

true

Exposure time: 30s

Key facts

Host species

Rabbit

Clonality

Polyclonal

Isotype

IgG

Carrier free

No

Reacts with

Human

Applications

WB, IHC-P

applications

Immunogen

Synthetic Peptide within Human P2RY12 aa 1-50. The exact immunogen used to generate this antibody is proprietary information.

Q9H244

Reactivity data

{ "title": "Reactivity Data", "filters": { "stats": ["", "Species", "Dilution Info", "Notes"], "tabs": { "all-applications": {"fullname" : "All Applications", "shortname": "All Applications"}, "WB" : {"fullname" : "Western blot", "shortname":"WB"}, "IHCP" : {"fullname" : "Immunohistochemistry (Formalin/PFA-fixed paraffin-embedded sections)", "shortname":"IHC-P"} }, "product-promise": { "all": "all", "testedAndGuaranteed": "tested", "guaranteed": "expected", "predicted": "predicted", "notRecommended": "not-recommended" } }, "values": { "Human": { "WB-species-checked": "testedAndGuaranteed", "WB-species-dilution-info": "1/400 - 1/2000", "WB-species-notes": "<p></p>", "IHCP-species-checked": "testedAndGuaranteed", "IHCP-species-dilution-info": "1/25 - 1/100", "IHCP-species-notes": "<p></p>" } } }

Properties and storage information

Form
Liquid
Purification technique
Affinity purification Immunogen
Storage buffer
pH: 7.4 Preservative: 0.05% Sodium azide Constituents: PBS, 50% Glycerol (glycerin, glycerine)
Shipped at conditions
Blue Ice
Appropriate short-term storage duration
1-2 weeks
Appropriate short-term storage conditions
+4°C
Appropriate long-term storage conditions
-20°C
Aliquoting information
Upon delivery aliquot
Storage information
Avoid freeze / thaw cycle

Supplementary information

This supplementary information is collated from multiple sources and compiled automatically.

P2Y12 also referred to as the P2Y12 receptor is a G-protein coupled receptor with an approximate mass of 39.6 kDa. It plays a distinct role in platelet aggregation through ADP binding which activates intracellular signaling pathways that result in platelet activation. One finds P2Y12 expressed mainly in platelets and the brain. It is an important target of various antiplatelet drugs which highlights its critical role in physiological frameworks involving thrombosis.
Biological function summary

The P2Y12 receptor is an important component of the platelet activation pathway. When activated it contributes to the amplification of platelet responses to injury. P2Y12 does not function in isolation; it forms part of larger multi-protein complexes essential for thrombus formation. This aggregation process requires synchronized activation of several platelet receptors emphasizing the P2Y12 receptor's critical role in maintaining hemostasis through cellular signaling.

Pathways

The P2Y12 receptor is integral to the thrombin and ADP signaling pathways functioning in tandem with other proteins such as the P2Y1 and CXCR4 receptors to execute cellular responses. These pathways facilitate platelet shape change secretion and aggregation therefore solidifying their place within the broader scope of hemostatic responses. Coordination with such protein partners ensures efficient propagation of signals necessary for rapid platelet activation and clot formation.

P2Y12 is closely linked to cardiovascular diseases particularly thrombosis and myocardial infarction. Its involvement in excessive platelet aggregation makes it a significant target for therapeutic agents like the P2Y12 receptor blockers. The receptor also interacts with proteins like glycoprotein IIb/IIIa in the clotting process providing potential pathways for therapeutic intervention. Dysregulation of P2Y12 function presents a risk for unwarranted thrombotic events highlighting the importance of P2Y12 antagonists such as ticagrelor in clinical settings to manage such conditions effectively.

Product protocols

For this product, it's our understanding that no specific protocols are required. You can visit:

Target data

Receptor for ADP and ATP coupled to G-proteins that inhibit the adenylyl cyclase second messenger system. Not activated by UDP and UTP. Required for normal platelet aggregation and blood coagulation.
See full target information P2RY12

Publications (5)

Recent publications for all applications. Explore the full list and refine your search

The Journal of biological chemistry 301:108292 PubMed39952409

2025

Nanobody fusion enhances production of difficult-to-produce secretory proteins.

Applications

Unspecified application

Species

Unspecified reactive species

Runchuan Yan,Yan Zhang,Hui Zhang,Jiyan Ma

GeroScience 46:2503-2519 PubMed37989825

2023

Immune proteins C1q and CD47 may contribute to aberrant microglia-mediated synapse loss in the aging monkey brain that is associated with cognitive impairment.

Applications

Unspecified application

Species

Unspecified reactive species

Sarah A DeVries,Bryce Conner,Christina Dimovasili,Tara L Moore,Maria Medalla,Farzad Mortazavi,Douglas L Rosene

Frontiers in cellular neuroscience 16:918442 PubMed35910250

2022

Replacement of Mouse Microglia With Human Induced Pluripotent Stem Cell (hiPSC)-Derived Microglia in Mouse Organotypic Slice Cultures.

Applications

Unspecified application

Species

Unspecified reactive species

Ari Ogaki,Yuji Ikegaya,Ryuta Koyama

Acta haematologica 145:46-53 PubMed34474410

2021

Platelet miR-107 Participates in Clopidogrel Resistance after PCI Treatment by Regulating P2Y12.

Applications

Unspecified application

Species

Unspecified reactive species

Qi Zhang,Fan Zhu,Yuyin Luo,Jun Liao,Jiancheng Cao,Tao Xue

Platelets :1-10 PubMed32379559

2020

Antiplatelet activity of astaxanthin in control- and high cholesterol-fed rats mediated by down-regulation of P2Y, inhibition of NF-κB, and increasing intracellular levels of cAMP.

Applications

Unspecified application

Species

Unspecified reactive species

Huda H Satti,Eman F Khaleel,Rehab M Badi,Amany O Elrefaie,Dalia G Mostafa
View all publications

Product promise

We are committed to supporting your work with high-quality reagents, and we're here for you every step of the way. In the unlikely event that one of our products does not perform as expected, you're protected by our Product Promise.
For full details, please see our Terms & Conditions

Please note: All products are 'FOR RESEARCH USE ONLY. NOT FOR USE IN DIAGNOSTIC OR THERAPEUTIC PROCEDURES'.

For licensing inquiries, please contact partnerships@abcam.com