JavaScript is disabled in your browser. Please enable JavaScript to view this website.
AB300140

Anti-P2Y12 antibody [EPR26298-93]

  • BOND RX™ Validated
  • 20ul selling size
  • Recombinant
  • Advanced Validation
  • RabMAb
  • What is this?

Be the first to review this product! Submit a review

|

(0 Publication)

Anti-P2Y12 antibody [EPR26298-93] (ab300140) is a rabbit monoclonal antibody detecting P2Y12 in IHC-P, IHC-Fr, mIHC. Suitable for Human, Mouse, Rat.

- Multiplex IHC validated on the Leica BOND® MAX using Opal reagents
- Biophysical QC for unrivalled batch-batch consistency

View Alternative Names

P2Y purinoceptor 12, P2Y12, P2ry12

28 Images
Immunohistochemistry (Formalin/PFA-fixed paraffin-embedded sections) - Anti-P2Y12 antibody [EPR26298-93] (AB300140)
  • IHC-P

Supplier Data

Immunohistochemistry (Formalin/PFA-fixed paraffin-embedded sections) - Anti-P2Y12 antibody [EPR26298-93] (AB300140)

Immunohistochemical analysis of paraffin-embedded Human liver tissue labeling P2Y12 with ab300140 at 1/40000 (0.013 ug/ml) followed by a ready to use LeicaDS9800 (Bond™ Polymer Refine Detection) was used. Negative control : no staining on human liver. The section was incubated with ab300140 for 30 mins at room temperature.The immunostaining was performed on a Leica Biosystems BOND® RX instrument Counterstained with Hematoxylin. Secondary antibody only control : Secondary antibody is a ready to use LeicaDS9800 (Bond™ Polymer Refine Detection) was used. Heat mediated antigen retrieval with Tris-EDTA buffer (pH 9.0, epitope retrieval solution2) for 20 mins

Immunohistochemistry (Formalin/PFA-fixed paraffin-embedded sections) - Anti-P2Y12 antibody [EPR26298-93] (AB300140)
  • IHC-P

Supplier Data

Immunohistochemistry (Formalin/PFA-fixed paraffin-embedded sections) - Anti-P2Y12 antibody [EPR26298-93] (AB300140)

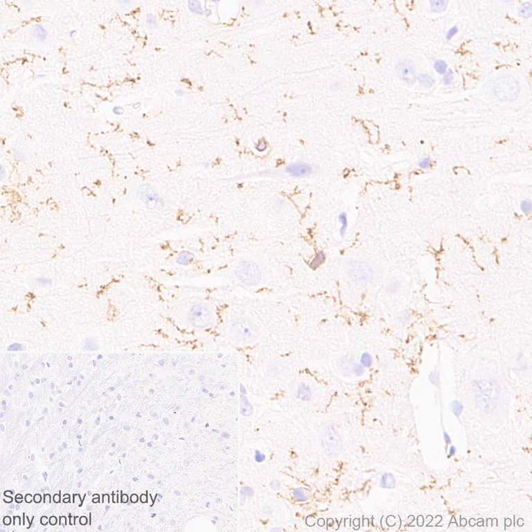
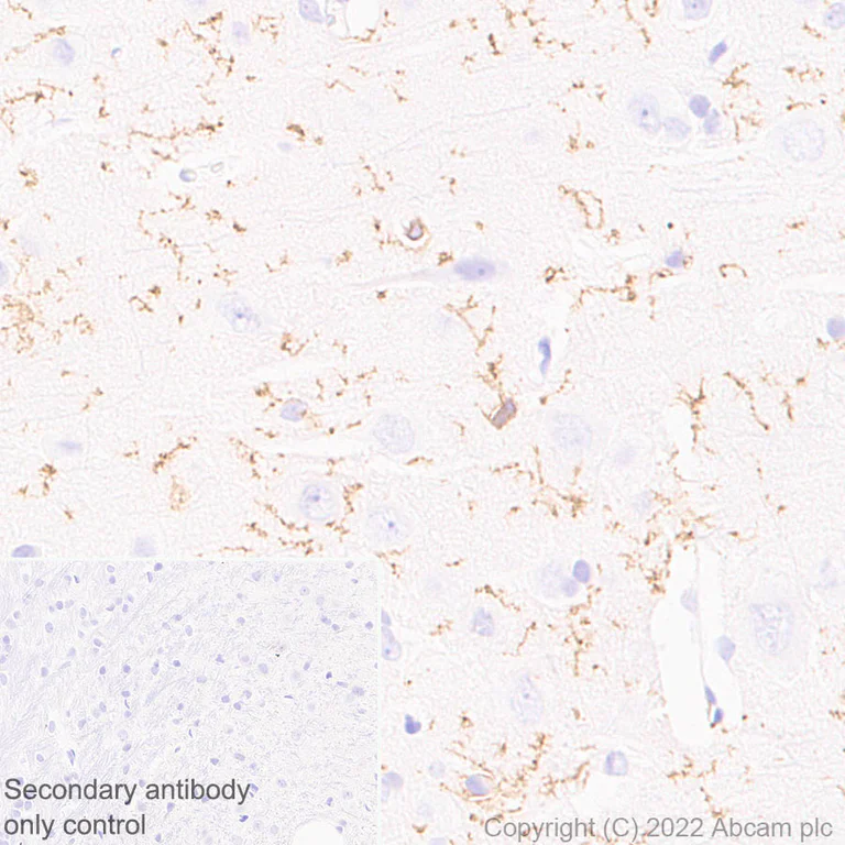
Immunohistochemical analysis of paraffin-embedded human cerebrum tissue labeling P2Y12 with ab300140 at 1/40000 dilution, followed by LeicaDS9800 (Bond™ Polymer Refine Detection). Counterstained with Hematoxylin.

Heat mediated antigen retrieval was performed with Tris-EDTA buffer (pH 9.0, epitope retrieval solution2) for 20 mins.

Secondary antibody only control : Secondary antibody is a ready to use Leica DS9800 (BOND™ Polymer Refine Detection).

Positive staining on microglial cells in human cerebrum (PMID : 30196821). The section was incubated with ab300140 for 30 mins at room temperature.
The immunostaining was performed on a Leica Biosystems BOND® RX instrument.

Immunohistochemistry (Formalin/PFA-fixed paraffin-embedded sections) - Anti-P2Y12 antibody [EPR26298-93] (AB300140)
  • IHC-P

Supplier Data

Immunohistochemistry (Formalin/PFA-fixed paraffin-embedded sections) - Anti-P2Y12 antibody [EPR26298-93] (AB300140)

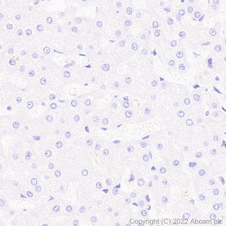
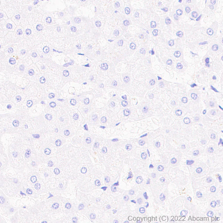
Immunohistochemical analysis of paraffin-embedded human liver tissue labeling P2Y12 with ab300140 at 1/40000 dilution, followed by LeicaDS9800 (Bond™ Polymer Refine Detection). Counterstained with Hematoxylin.

Heat mediated antigen retrieval was performed with Tris-EDTA buffer (pH 9.0, epitope retrieval solution2) for 20 mins.

Negative control : no staining on human liver. The section was incubated with ab300140 for 30 mins at room temperature.
The immunostaining was performed on a Leica Biosystems BOND® RX instrument

Secondary antibody only control : Secondary antibody is a ready to use Leica DS9800 (BOND™ Polymer Refine Detection).

Immunohistochemistry (Formalin/PFA-fixed paraffin-embedded sections) - Anti-P2Y12 antibody [EPR26298-93] (AB300140)
  • IHC-P

Supplier Data

Immunohistochemistry (Formalin/PFA-fixed paraffin-embedded sections) - Anti-P2Y12 antibody [EPR26298-93] (AB300140)

Immunohistochemical analysis of paraffin-embedded Human cerebrum tissue labeling P2Y12 with ab300140 at 1/40000 (0.013 ug/ml) followed by a ready to use LeicaDS9800 (Bond™ Polymer Refine Detection) was used. Positive staining on microglial cells in human cerebrum (PMID : 30196821). The section was incubated with ab300140 for 30 mins at room temperature.The immunostaining was performed on a Leica Biosystems BOND® RX instrument Counterstained with Hematoxylin. Secondary antibody only control : Secondary antibody is a ready to use LeicaDS9800 (Bond™ Polymer Refine Detection) was used. Heat mediated antigen retrieval with Tris-EDTA buffer (pH 9.0, epitope retrieval solution2) for 20 mins

Immunohistochemistry (Frozen sections) - Anti-P2Y12 antibody [EPR26298-93] (AB300140)
  • IHC-Fr

Supplier Data

Immunohistochemistry (Frozen sections) - Anti-P2Y12 antibody [EPR26298-93] (AB300140)

Immunohistological analysis of 4% PFA fixed and 0.2% Triton X-100 parmeabilized frozen mouse cerebrum (fresh) tissue labeling P2Y12 with ab300140 at 1/500 dilution, followed by (ab150081) Goat Anti-Rabbit IgG H&L (Alexa Fluor® 488) preadsorbed at 1/1000 dilution. DAPI was used as nuclear counterstain.

Positive staining on mouse cerebrum.

Secondary antibody only control used PBS instead of primary antibody, followed by secondary (ab150081) Goat Anti-Rabbit IgG H&L (Alexa Fluor® 488) preadsorbed at 1/1000 dilution.

Immunohistochemistry (Formalin/PFA-fixed paraffin-embedded sections) - Anti-P2Y12 antibody [EPR26298-93] (AB300140)
  • IHC-P

Supplier Data

Immunohistochemistry (Formalin/PFA-fixed paraffin-embedded sections) - Anti-P2Y12 antibody [EPR26298-93] (AB300140)

Immunohistochemical analysis of paraffin-embedded rat cerebrum tissue labeling P2Y12 with ab300140 at 1/40000 dilution, followed by LeicaDS9800 (Bond™ Polymer Refine Detection). Counterstained with Hematoxylin.

Heat mediated antigen retrieval was performed with Tris-EDTA buffer (pH 9.0, epitope retrieval solution2) for 20 mins.

Positive staining on microglial cells in rat cerebrum (PMID : 30196821). The section was incubated with ab300140 for 30 mins at room temperature.
The immunostaining was performed on a Leica Biosystems BOND® RX instrument.

Secondary antibody only control : Secondary antibody is a ready to use Leica DS9800 (BOND™ Polymer Refine Detection).

Immunohistochemistry (Frozen sections) - Anti-P2Y12 antibody [EPR26298-93] (AB300140)
  • IHC-Fr

Supplier Data

Immunohistochemistry (Frozen sections) - Anti-P2Y12 antibody [EPR26298-93] (AB300140)

Immunohistological analysis of 4% PFA fixed and 0.2% Triton X-100 parmeabilized frozen rat cerebrum tissue labeling P2Y12 with ab300140 at 1/500 dilution, followed by (ab150081) Goat Anti-Rabbit IgG H&L (Alexa Fluor® 488) preadsorbed at 1/1000 dilution. DAPI was used as nuclear counterstain.

Positive staining on rat cerebrum.

Secondary antibody only control used PBS instead of primary antibody, followed by secondary (ab150081) Goat Anti-Rabbit IgG H&L (Alexa Fluor® 488) preadsorbed at 1/1000 dilution.

Immunohistochemistry (Formalin/PFA-fixed paraffin-embedded sections) - Anti-P2Y12 antibody [EPR26298-93] (AB300140)
  • IHC-P

Supplier Data

Immunohistochemistry (Formalin/PFA-fixed paraffin-embedded sections) - Anti-P2Y12 antibody [EPR26298-93] (AB300140)

Immunohistochemical analysis of paraffin-embedded Mouse cerebrum tissue labeling P2Y12 with ab300140 at 1/40000 (0.013 ug/ml) followed by a ready to use LeicaDS9800 (Bond™ Polymer Refine Detection) was used. Positive staining on microglial cells in mouse cerebrum (PMID : 30196821). The section was incubated with ab300140 for 30 mins at room temperature.The immunostaining was performed on a Leica Biosystems BOND® RX instrument Counterstained with Hematoxylin. Secondary antibody only control : Secondary antibody is a ready to use LeicaDS9800 (Bond™ Polymer Refine Detection) was used. Heat mediated antigen retrieval with Tris-EDTA buffer (pH 9.0, epitope retrieval solution2) for 20 mins

Immunohistochemistry (Formalin/PFA-fixed paraffin-embedded sections) - Anti-P2Y12 antibody [EPR26298-93] (AB300140)
  • IHC-P

Supplier Data

Immunohistochemistry (Formalin/PFA-fixed paraffin-embedded sections) - Anti-P2Y12 antibody [EPR26298-93] (AB300140)

Immunohistochemical analysis of paraffin-embedded Rat cerebrum tissue labeling P2Y12 with ab300140 at 1/40000 (0.013 ug/ml) followed by a ready to use LeicaDS9800 (Bond™ Polymer Refine Detection) was used. Positive staining on microglial cells in rat cerebrum (PMID : 30196821). The section was incubated with ab300140 for 30 mins at room temperature.The immunostaining was performed on a Leica Biosystems BOND® RX instrument Counterstained with Hematoxylin. Secondary antibody only control : Secondary antibody is a ready to use LeicaDS9800 (Bond™ Polymer Refine Detection) was used. Heat mediated antigen retrieval with Tris-EDTA buffer (pH 9.0, epitope retrieval solution2) for 20 mins

Immunohistochemistry (Frozen sections) - Anti-P2Y12 antibody [EPR26298-93] (AB300140)
  • IHC-Fr

Supplier Data

Immunohistochemistry (Frozen sections) - Anti-P2Y12 antibody [EPR26298-93] (AB300140)

Immunohistochemical analysis of 4% PFA-fixed, 0.2% Triton X-100 permeabilized frozen Rat cerebrum (fresh) tissue labeling P2Y12 with ab300140 at 1/500 (1.052 ug/ml) dilution followed by ab150081 Goat Anti-Rabbit IgG H&L (Alexa Fluor® 488) preadsorbed at 1/1000 2 ug/mL dilution (Green). Positive staining on rat cerebrum is observed. The nuclear counterstain was DAPI (Blue). Secondary antibody control : Secondary antibody is ab150081 Goat Anti-Rabbit IgG H&L (Alexa Fluor® 488) preadsorbed at 1/1000 2 ug/mL dilution.

Immunohistochemistry (Frozen sections) - Anti-P2Y12 antibody [EPR26298-93] (AB300140)
  • IHC-Fr

Supplier Data

Immunohistochemistry (Frozen sections) - Anti-P2Y12 antibody [EPR26298-93] (AB300140)

Immunohistochemical analysis of 4% PFA-fixed, 0.2% Triton X-100 permeabilized frozen Mouse cerebrum (fresh) tissue labeling P2Y12 with ab300140 at 1/500 (1.052 ug/ml) dilution followed by ab150081 Goat Anti-Rabbit IgG H&L (Alexa Fluor® 488) preadsorbed at 1/1000 2 ug/mL dilution (Green). Positive staining on mouse cerebrum is observed. The nuclear counterstain was DAPI (Blue). Secondary antibody control : Secondary antibody is ab150081 Goat Anti-Rabbit IgG H&L (Alexa Fluor® 488) preadsorbed at 1/1000 2 ug/mL dilution.

Multiplex immunohistochemistry - Anti-P2Y12 antibody [EPR26298-93] (AB300140)
  • mIHC

Lab

Multiplex immunohistochemistry - Anti-P2Y12 antibody [EPR26298-93] (AB300140)

Multiplex immunohistochemistry analysis of formalin/PFA-fixed paraffin-embedded Mouse midbrain tissue staining THP2 with ab288067 at a 1/2000 (0.315 ug/ml) dilution, P2Y12 with ab300140 at 1/40000 (0.013 ug/ml) dilution and GFAP with ab218309 at 1/1000 ( 1.325 ug/ml) dilution.

Panel A : merged staining of anti-THP2 (green; Opal™520), anti-P2Y12 (grey; Opal™570) and anti-GFAP (magenta; Opal™690) on mouse midbrain.
Panel B : anti-THP2 staining the serotonergic neurons in mouse midbrain.
Panel C : anti-P2Y12 staining microglia in mouse midbrain.
Panel D : anti-GFAP staining astrocytes in mouse midbrain.
Nuclear DNA was labeled with DAPI (shown in blue).

The section was incubated in three rounds of staining : in the order of ab2888067, ab300140 and ab218309 for 30 mins at room temperature. Each round was followed by a separate fluorescent tyramide signal amplification system.

The immunostaining was performed on a Leica Biosystems BOND® RX instrument with an Opal™ 4-color kit. Image acquisition was performed with Leica SP8 confocal microscope.

Heat mediated antigen retrieval with Tris-EDTA buffer (pH 9.0, epitope retrieval solution2) for 20 mins.

Multiplex immunohistochemistry - Anti-P2Y12 antibody [EPR26298-93] (AB300140)
  • mIHC

Lab

Multiplex immunohistochemistry - Anti-P2Y12 antibody [EPR26298-93] (AB300140)

Fluorescence multiplex immunohistochemical analysis of formalin/PFA-fixed paraffin-embedded mouse spinal cord tissue sections.

Panel A : merged staining of anti-GPR17 (magenta; Opal™690), anti-P2RY12 (green; Opal™520) and anti-GFAP (red; Opal™570) on mouse spinal cord.

Panel B : anti-GPR17 staining oligodendrocytes in mouse spinal cord.

Panel C : anti-P2RY12 staining microglia in mouse spinal cord.

Panel D : anti-GFAP staining astrocytes in mouse spinal cord.

The section was incubated in three rounds of staining : in the order of ab316105 at a 1/500 dilution, ab300140 at a 1/40000 dilution, and ab218309 at a 1/1000 dilution for 30 mins at room temperature. Each round was followed by a separate fluorescent tyramide signal amplification system.

Nuclear counterstaining with DAPI.

Heat mediated antigen retrieval with Tris-EDTA buffer (pH 9.0, epitope retrieval solution2) for 20 mins.

The immunostaining was performed on a Leica Biosystems BOND® RX instrument with an Opal™ 4-color kit. Image acquisition was performed with Leica SP8 confocal microscope.

Multiplex immunohistochemistry - Anti-P2Y12 antibody [EPR26298-93] (AB300140)
  • mIHC

Lab

Multiplex immunohistochemistry - Anti-P2Y12 antibody [EPR26298-93] (AB300140)

Fluorescence multiplex immunohistochemical analysis of formalin/PFA-fixed paraffin-embedded mouse cerebellum tissue sections.

Panel A : merged staining of anti-GPR17 (magenta; Opal™690), anti-P2RY12 (green; Opal™520) and anti-GFAP (red; Opal™570) on mouse cerebellum.

Panel B : anti-GPR17 staining oligodendrocytes in mouse cerebellum.

Panel C : anti-P2RY12 staining microglia in mouse cerebellum.

Panel D : anti-GFAP staining astrocytes in mouse cerebellum.

The section was incubated in three rounds of staining : in the order of ab316105 at a 1/500 dilution, ab300140 at a 1/40000 dilution, and ab218309 at a 1/1000 dilution for 30 mins at room temperature. Each round was followed by a separate fluorescent tyramide signal amplification system.

Nuclear counterstaining with DAPI.

Heat mediated antigen retrieval with Tris-EDTA buffer (pH 9.0, epitope retrieval solution2) for 20 mins.

The immunostaining was performed on a Leica Biosystems BOND® RX instrument with an Opal™ 4-color kit. Image acquisition was performed with Leica SP8 confocal microscope.

Multiplex immunohistochemistry - Anti-P2Y12 antibody [EPR26298-93] (AB300140)
  • mIHC

Lab

Multiplex immunohistochemistry - Anti-P2Y12 antibody [EPR26298-93] (AB300140)

Fluorescence multiplex immunohistochemical analysis of formalin/PFA-fixed paraffin-embedded rat spinal cord tissue sections.

Panel A : merged staining of anti-GPR17 (magenta; Opal™690), anti-P2RY12 (green; Opal™520) and anti-GFAP (red; Opal™570) on rat spinal cord.

Panel B : anti-GPR17 staining oligodendrocytes in rat spinal cord.

Panel C : anti-P2RY12 staining microglia in rat spinal cord.

Panel D : anti-GFAP staining astrocytes in rat spinal cord.

The section was incubated in three rounds of staining : in the order of ab316105 at a 1/500 dilution, ab300140 at a 1/40000 dilution, and ab218309 at a 1/1000 dilution for 30 mins at room temperature. Each round was followed by a separate fluorescent tyramide signal amplification system.

Nuclear counterstaining with DAPI.

Heat mediated antigen retrieval with Tris-EDTA buffer (pH 9.0, epitope retrieval solution2) for 20 mins.

The immunostaining was performed on a Leica Biosystems BOND® RX instrument with an Opal™ 4-color kit. Image acquisition was performed with Leica SP8 confocal microscope.

Multiplex immunohistochemistry - Anti-P2Y12 antibody [EPR26298-93] (AB300140)
  • mIHC

Lab

Multiplex immunohistochemistry - Anti-P2Y12 antibody [EPR26298-93] (AB300140)

Fluorescence multiplex immunohistochemical analysis of formalin/PFA-fixed paraffin-embedded mouse spinal cord tissue.

Panel A : merged staining of anti-GPR17 (magenta; Opal™690), anti-P2RY12 (green; Opal™520) and anti-FMR1 (gray; Opal™570) on mouse spinal cord.
Panel B : anti-GPR17 staining oligodendrocytes in mouse spinal cord.
Panel C : anti-P2RY12 staining microglia in mouse spinal cord.
Panel D : anti-FMR1 staining neurons in mouse spinal cord.
Nuclear DNA was labeled with DAPI (shown in blue).

The section was incubated in three rounds of staining : in the order of ab316105 at a 1/500 dilution, ab300140 at a 1/40000 dilution, and ab259335 at a 1/10000 dilution for 30 mins at room temperature. Each round was followed by a separate fluorescent tyramide signal amplification system.

Heat mediated antigen retrieval with Tris-EDTA buffer (pH 9.0, epitope retrieval solution2) for 20 mins.

The immunostaining was performed on a Leica Biosystems BOND® RX instrument with an Opal™ 4-color kit. Image acquisition was performed with Leica SP8 confocal microscope.

Multiplex immunohistochemistry - Anti-P2Y12 antibody [EPR26298-93] (AB300140)
  • mIHC

Lab

Multiplex immunohistochemistry - Anti-P2Y12 antibody [EPR26298-93] (AB300140)

Fluorescence multiplex immunohistochemical analysis of formalin/PFA-fixed paraffin-embedded mouse hippocampus tissue sections.

Panel A : merged staining of anti-GPR17 (magenta; Opal™690), anti-P2RY12 (green; Opal™520) and anti-GFAP (red; Opal™570) on mouse hippocampus.

Panel B : anti-GPR17 staining oligodendrocytes in mouse hippocampus.

Panel C : anti-P2RY12 staining microglia in mouse hippocampus.

Panel D : anti-GFAP staining astrocytes in mouse hippocampus.

The section was incubated in three rounds of staining : in the order of ab316105 at a 1/500 dilution, ab300140 at a 1/40000, and ab218309 at a 1/1000 dilution for 30 mins at room temperature. Each round was followed by a separate fluorescent tyramide signal amplification system.

Nuclear counterstaining with DAPI.

Heat mediated antigen retrieval with Tris-EDTA buffer (pH 9.0, epitope retrieval solution2) for 20 mins.

The immunostaining was performed on a Leica Biosystems BOND® RX instrument with an Opal™ 4-color kit. Image acquisition was performed with Leica SP8 confocal microscope.

Multiplex immunohistochemistry - Anti-P2Y12 antibody [EPR26298-93] (AB300140)
  • mIHC

Lab

Multiplex immunohistochemistry - Anti-P2Y12 antibody [EPR26298-93] (AB300140)

Fluorescence multiplex immunohistochemical analysis of formalin/PFA-fixed paraffin-embedded mouse hippocampus tissue sections.

Panel A : merged staining of anti-GPR17 (magenta; Opal™690), anti-P2RY12 (green; Opal™520) and anti-FMR1 (gray; Opal™570) on mouse hippocampus.

Panel B : anti-GPR17 staining oligodendrocytes in mouse hippocampus.

Panel C : anti-P2RY12 staining microglia in mouse hippocampus.

Panel D : anti-FMR1 staining neurons in mouse hippocampus.

Nuclear DNA was labeled with DAPI (shown in blue).

The section was incubated in three rounds of staining : in the order of ab316105 at a 1/500 dilution, ab300140 at a 1/40000 dilution, and ab259335 at a 1/10000 dilution for 30 mins at room temperature. Each round was followed by a separate fluorescent tyramide signal amplification system.

Heat mediated antigen retrieval with Tris-EDTA buffer (pH 9.0, epitope retrieval solution2) for 20 mins. Nuclear counterstaining with DAPI.

The immunostaining was performed on a Leica Biosystems BOND® RX instrument with an Opal™ 4-color kit. Image acquisition was performed with Leica SP8 confocal microscope.

Multiplex immunohistochemistry - Anti-P2Y12 antibody [EPR26298-93] (AB300140)
  • mIHC

Lab

Multiplex immunohistochemistry - Anti-P2Y12 antibody [EPR26298-93] (AB300140)

Fluorescence multiplex immunohistochemical analysis of formalin/PFA-fixed paraffin-embedded rat cerebrum tissue sections.

Panel A : merged staining of anti-GPR17 (magenta; Opal™690), anti-P2RY12 (green; Opal™520) and anti-FMR1 (gray; Opal™570) on rat cerebrum.

Panel B : anti-GPR17 staining oligodendrocytes in rat cerebrum.

Panel C : anti-P2RY12 staining microglia in rat cerebrum.

Panel D : anti-FMR1 staining neurons in rat cerebrum.

Nuclear DNA was labeled with DAPI (shown in blue).

The section was incubated in three rounds of staining : in the order of ab316105 at a 1/500 dilution, ab300140 at a 1/40000 dilution, and ab259335 at a 1/10000 dilution for 30 mins at room temperature. Each round was followed by a separate fluorescent tyramide signal amplification system. Heat mediated antigen retrieval with Tris-EDTA buffer (pH 9.0, epitope retrieval solution2) for 20 mins. Nuclear counterstaining with DAPI.

The immunostaining was performed on a Leica Biosystems BOND® RX instrument with an Opal™ 4-color kit. Image acquisition was performed with Leica SP8 confocal microscope.

Multiplex immunohistochemistry - Anti-P2Y12 antibody [EPR26298-93] (AB300140)
  • mIHC

Lab

Multiplex immunohistochemistry - Anti-P2Y12 antibody [EPR26298-93] (AB300140)

Fluorescence multiplex immunohistochemical analysis of formalin/PFA-fixed paraffin-embedded mouse cerebellum tissue sections.

Panel A : merged staining of anti-GPR17 (magenta; Opal™690), anti-P2RY12 (green; Opal™520) and anti-FMR1 (gray; Opal™570) on mouse cerebellum.

Panel B : anti-GPR17 staining oligodendrocytes in mouse cerebellum.

Panel C : anti-P2RY12 staining microglia in mouse cerebellum.

Panel D : anti-FMR1 staining neurons and Purkinje cells in mouse cerebellum.

Nuclear DNA was labeled with DAPI (shown in blue).

The section was incubated in three rounds of staining : in the order of ab316105 at a 1/500 dilution, ab300140 at a 1/40000 dilution and ab259335 at a 1/10000 dilution for 30 mins at room temperature. Each round was followed by a separate fluorescent tyramide signal amplification system.

Heat mediated antigen retrieval with Tris-EDTA buffer (pH 9.0, epitope retrieval solution2) for 20 mins.

The immunostaining was performed on a Leica Biosystems BOND® RX instrument with an Opal™ 4-color kit. Image acquisition was performed with Leica SP8 confocal microscope.

Multiplex immunohistochemistry - Anti-P2Y12 antibody [EPR26298-93] (AB300140)
  • mIHC

Lab

Multiplex immunohistochemistry - Anti-P2Y12 antibody [EPR26298-93] (AB300140)

Fluorescence multiplex immunohistochemical analysis of formalin/PFA-fixed paraffin-embedded rat hippocampus tissue sections.

Panel A : merged staining of anti-GPR17 (magenta; Opal™690), anti-P2RY12 (green; Opal™520) and anti-FMR1 (gray; Opal™570) on rat hippocampus.

Panel B : anti-GPR17 staining oligodendrocytes in rat hippocampus.

Panel C : anti-P2RY12 staining microglia in rat hippocampus.

Panel D : anti-FMR1 staining neurons in rat hippocampus.

Nuclear DNA was labeled with DAPI (shown in blue).

The section was incubated in three rounds of staining : in the order of ab316105 at a 1/500 dilution, ab300140 at a 1/40000 dilution, and ab259335 at a 1/10000 dilution for 30 mins at room temperature. Each round was followed by a separate fluorescent tyramide signal amplification system. Nuclear counterstaining with DAPI.

Heat mediated antigen retrieval with Tris-EDTA buffer (pH 9.0, epitope retrieval solution2) for 20 mins.

The immunostaining was performed on a Leica Biosystems BOND® RX instrument with an Opal™ 4-color kit. Image acquisition was performed with Leica SP8 confocal microscope.

Multiplex immunohistochemistry - Anti-P2Y12 antibody [EPR26298-93] (AB300140)
  • mIHC

Lab

Multiplex immunohistochemistry - Anti-P2Y12 antibody [EPR26298-93] (AB300140)

Fluorescence multiplex immunohistochemical analysis of formalin/PFA-fixed paraffin-embedded mouse cerebrum tissue sections.

Panel A : merged staining of anti-GPR17 (magenta; Opal™690), anti-P2RY12 (green; Opal™520) and anti-GFAP (red; Opal™570) on mouse cerebrum.

Panel B : anti-GPR17 staining oligodendrocytes in mouse cerebrum.

Panel C : anti-P2RY12 staining microglia in mouse cerebrum.

Panel D : anti-GFAP staining astrocytes in mouse cerebrum.

The section was incubated in three rounds of staining : in the order of ab316105 at a 1/500 dilution, ab300140 at a 1/140000 dilution, and ab218309 at a 1/1000 dilution for 30 mins at room temperature. Each round was followed by a separate fluorescent tyramide signal amplification system. Nuclear counterstaining with DAPI.

Heat mediated antigen retrieval with Tris-EDTA buffer (pH 9.0, epitope retrieval solution2) for 20 mins.

The immunostaining was performed on a Leica Biosystems BOND® RX instrument with an Opal™ 4-color kit. Image acquisition was performed with Leica SP8 confocal microscope.

Multiplex immunohistochemistry - Anti-P2Y12 antibody [EPR26298-93] (AB300140)
  • mIHC

Lab

Multiplex immunohistochemistry - Anti-P2Y12 antibody [EPR26298-93] (AB300140)

Fluorescence multiplex immunohistochemical analysis of formalin/PFA-fixed paraffin-embedded rat cerebrum tissue sections.

Panel A : merged staining of anti-GPR17 (magenta; Opal™690), anti-P2RY12 (green; Opal™520) and anti-GFAP (red; Opal™570) on rat cerebrum.

Panel B : anti-GPR17 staining oligodendrocytes in rat cerebrum.

Panel C : anti-P2RY12 staining microglia in rat cerebrum.

Panel D : anti-GFAP staining astrocytes in rat cerebrum.

The section was incubated in three rounds of staining : in the order of ab316105 at a 1/500 dilution, ab300140 at a 1/140000 dilution, and ab218309 at a 1/1000 dilution for 30 mins at room temperature. Each round was followed by a separate fluorescent tyramide signal amplification system. Nuclear counterstaining with DAPI.

Heat mediated antigen retrieval with Tris-EDTA buffer (pH 9.0, epitope retrieval solution2) for 20 mins.

The immunostaining was performed on a Leica Biosystems BOND® RX instrument with an Opal™ 4-color kit. Image acquisition was performed with Leica SP8 confocal microscope.

Multiplex immunohistochemistry - Anti-P2Y12 antibody [EPR26298-93] (AB300140)
  • mIHC

Lab

Multiplex immunohistochemistry - Anti-P2Y12 antibody [EPR26298-93] (AB300140)

Multiplex immunohistochemistry analysis of formalin/PFA-fixed paraffin-embedded mouse cerebellum tissue staining Olig1 with ab325492 at a 1 : 500 (1.036 µg/ml) dilution, ab68428 anti-GFAP used at 1 : 500 (0.104 µg/ml) dilution and ab300140 anti-P2Y12 used at a 1 : 40000 (0.013 µg/ml) dilution.

Panel A : anti-Olig1 (green; Opal™520), anti-GFAP (magenta; Opal™690) and anti-P2Y12 (yellow; Opal™570) on mouse cerebellum.
Panel B : anti-Olig1 staining oligodendrocytes in mouse cerebellum.
Panel C : anti-GFAP staining astrocytes in mouse cerebellum.
Panel D : anti-P2Y12 staining microglia in mouse cerebellum.
Nuclear DNA was labeled with DAPI (shown in blue).

The section was incubated in three rounds of staining : in the order of ab325492, ab68428 and ab300140 for 30 mins at room temperature. Each round was followed by a separate fluorescent tyramide signal amplification system.

The immunostaining was performed on a Leica Biosystems BOND® RX instrument with an Opal™ 4-color kit. Image acquisition was performed with Leica SP8 confocal microscope.

Nuclear counter stain with DAPI.

Heat mediated antigen retrieval was performed with Tris-EDTA buffer (pH 9.0, Epitope Retrieval Solution2) for 20 mins.

Multiplex immunohistochemistry - Anti-P2Y12 antibody [EPR26298-93] (AB300140)
  • mIHC

Lab

Multiplex immunohistochemistry - Anti-P2Y12 antibody [EPR26298-93] (AB300140)

Fluorescence multiplex immunohistochemical analysis of formalin/PFA-fixed paraffin-embedded mouse cerebrum tissue sections.

Panel A : merged staining of anti-GPR17 (magenta; Opal™690), anti-P2RY12 (green; Opal™520) and anti-FMR1 (gray; Opal™570) on mouse cerebrum.

Panel B : anti-GPR17 staining oligodendrocytes in mouse cerebrum.

Panel C : anti-P2RY12 staining microglia in mouse cerebrum.

Panel D : anti-FMR1 staining neurons in mouse cerebrum.

Nuclear DNA was labeled with DAPI (shown in blue).

The section was incubated in three rounds of staining : in the order of ab316105 at a 1/500 dilution, ab300140 at a 1/40000 dilution, and ab259335 at a 1/10000 dilution for 30 mins at room temperature. Each round was followed by a separate fluorescent tyramide signal amplification system.

Heat mediated antigen retrieval with Tris-EDTA buffer (pH 9.0, epitope retrieval solution2) for 20 mins.

The immunostaining was performed on a Leica Biosystems BOND® RX instrument with an Opal™ 4-color kit. Image acquisition was performed with Leica SP8 confocal microscope.

Multiplex immunohistochemistry - Anti-P2Y12 antibody [EPR26298-93] (AB300140)
  • mIHC

Lab

Multiplex immunohistochemistry - Anti-P2Y12 antibody [EPR26298-93] (AB300140)

Multiplex immunohistochemistry analysis of formalin/PFA-fixed paraffin-embedded mouse cerebrum tissue staining Olig1 with ab325492 at a 1 : 500 (1.036 µg/ml) dilution, ab68428 anti-GFAP used at 1 : 500 (0.104 µg/ml) dilution and ab300140 anti-P2Y12 used at a 1 : 40000 (0.013 µg/ml) dilution.

Panel A : anti-Olig1 (green; Opal™520), anti-GFAP (magenta; Opal™690) and anti-P2Y12 (yellow; Opal™570) on mouse cerebrum.
Panel B : anti-Olig1 staining oligodendrocytes in mouse cerebrum.
Panel C : anti-GFAP staining astrocytes in mouse cerebrum.
Panel D : anti-P2Y12 staining microglia in mouse cerebrum.
Nuclear DNA was labeled with DAPI (shown in blue).

The section was incubated in three rounds of staining : in the order of ab325492, ab68428 and ab300140 for 30 mins at room temperature. Each round was followed by a separate fluorescent tyramide signal amplification system.

The immunostaining was performed on a Leica Biosystems BOND® RX instrument with an Opal™ 4-color kit. Image acquisition was performed with Leica SP8 confocal microscope.

Nuclear counter stain with DAPI.

Heat mediated antigen retrieval was performed with Tris-EDTA buffer (pH 9.0, Epitope Retrieval Solution2) for 20 mins.

Multiplex immunohistochemistry - Anti-P2Y12 antibody [EPR26298-93] (AB300140)
  • mIHC

Lab

Multiplex immunohistochemistry - Anti-P2Y12 antibody [EPR26298-93] (AB300140)

Multiplex immunohistochemistry analysis of formalin/PFA-fixed paraffin-embedded rat cerebellum tissue staining Olig1 with ab325492 at a 1 : 500 (1.036 µg/ml) dilution, ab68428 anti-GFAP used at 1 : 500 (0.104 µg/ml) dilution and ab300140 anti-P2Y12 used at a 1 : 40000 (0.013 µg/ml) dilution.

Panel A : anti-Olig1 (green; Opal™520), anti-GFAP (magenta; Opal™690) and anti-P2Y12 (yellow; Opal™570) on rat cerebellum.
Panel B : anti-Olig1 staining oligodendrocytes in rat cerebellum.
Panel C : anti-GFAP staining astrocytes in rat cerebellum.
Panel D : anti-P2Y12 staining microglia in rat cerebellum.
Nuclear DNA was labeled with DAPI (shown in blue).

The section was incubated in three rounds of staining : in the order of ab325492, ab68428 and ab300140 for 30 mins at room temperature. Each round was followed by a separate fluorescent tyramide signal amplification system.

The immunostaining was performed on a Leica Biosystems BOND® RX instrument with an Opal™ 4-color kit. Image acquisition was performed with Leica SP8 confocal microscope.

Nuclear counter stain with DAPI.

Heat mediated antigen retrieval was performed with Tris-EDTA buffer (pH 9.0, Epitope Retrieval Solution2) for 20 mins.

Immunohistochemistry (Formalin/PFA-fixed paraffin-embedded sections) - Anti-P2Y12 antibody [EPR26298-93] (AB300140)
  • IHC-P

Supplier Data

Immunohistochemistry (Formalin/PFA-fixed paraffin-embedded sections) - Anti-P2Y12 antibody [EPR26298-93] (AB300140)

Immunohistochemical analysis of paraffin-embedded mouse cerebrum tissue labeling P2Y12 with ab300140 at 1/40000 dilution, followed by LeicaDS9800 (Bond™ Polymer Refine Detection). Counterstained with Hematoxylin.

Heat mediated antigen retrieval was performed with Tris-EDTA buffer (pH 9.0, epitope retrieval solution2) for 20 mins.

Positive staining on microglial cells in mouse cerebrum (PMID : 30196821). The section was incubated with ab300140 for 30 mins at room temperature.
The immunostaining was performed on a Leica Biosystems BOND® RX instrument.

Secondary antibody only control : Secondary antibody is a ready to use Leica DS9800 (BOND™ Polymer Refine Detection).

Key facts

Host species

Rabbit

Clonality

Monoclonal

Clone number

EPR26298-93

Isotype

IgG

Carrier free

No

Reacts with

Human, Mouse, Rat

Applications

IHC-Fr, IHC-P, mIHC

applications

Immunogen

The exact immunogen used to generate this antibody is proprietary information.

Reactivity data

{ "title": "Reactivity Data", "filters": { "stats": ["", "Species", "Dilution Info", "Notes"], "tabs": { "all-applications": {"fullname" : "All Applications", "shortname": "All Applications"}, "IHCP" : {"fullname" : "Immunohistochemistry (Formalin/PFA-fixed paraffin-embedded sections)", "shortname":"IHC-P"}, "mIHC" : {"fullname" : "Multiplex immunohistochemistry", "shortname":"mIHC"}, "IHCFr" : {"fullname" : "Immunohistochemistry (Frozen sections)", "shortname":"IHC-Fr"}, "WB" : {"fullname" : "Western blot", "shortname":"WB"}, "FlowCyt" : {"fullname" : "Flow Cytometry", "shortname":"Flow Cyt"}, "IP" : {"fullname" : "Immunoprecipitation", "shortname":"IP"}, "ICCIF" : {"fullname" : "Immunocytochemistry/ Immunofluorescence", "shortname":"ICC/IF"} }, "product-promise": { "all": "all", "testedAndGuaranteed": "tested", "guaranteed": "expected", "predicted": "predicted", "notRecommended": "not-recommended" } }, "values": { "Human": { "IHCP-species-checked": "testedAndGuaranteed", "IHCP-species-dilution-info": "1/40000", "IHCP-species-notes": "<p></p> Perform heat-mediated antigen retrieval with Tris/EDTA buffer pH 9.0 before commencing with IHC staining protocol.", "mIHC-species-checked": "guaranteed", "mIHC-species-dilution-info": "", "mIHC-species-notes": "", "IHCFr-species-checked": "guaranteed", "IHCFr-species-dilution-info": "", "IHCFr-species-notes": "", "WB-species-checked": "notRecommended", "WB-species-dilution-info": "", "WB-species-notes": "", "FlowCyt-species-checked": "notRecommended", "FlowCyt-species-dilution-info": "", "FlowCyt-species-notes": "", "IP-species-checked": "notRecommended", "IP-species-dilution-info": "", "IP-species-notes": "", "ICCIF-species-checked": "notRecommended", "ICCIF-species-dilution-info": "", "ICCIF-species-notes": "" }, "Mouse": { "IHCP-species-checked": "testedAndGuaranteed", "IHCP-species-dilution-info": "1/40000", "IHCP-species-notes": "<p></p> Perform heat-mediated antigen retrieval with Tris/EDTA buffer pH 9.0 before commencing with IHC staining protocol.", "mIHC-species-checked": "testedAndGuaranteed", "mIHC-species-dilution-info": "1/40000", "mIHC-species-notes": "<p></p> Perform heat-mediated antigen retrieval with Tris/EDTA buffer pH 9.0 before commencing with IHC staining protocol.", "IHCFr-species-checked": "testedAndGuaranteed", "IHCFr-species-dilution-info": "1/500", "IHCFr-species-notes": "<p></p>", "WB-species-checked": "notRecommended", "WB-species-dilution-info": "1/1000", "WB-species-notes": "<p></p>", "FlowCyt-species-checked": "notRecommended", "FlowCyt-species-dilution-info": "", "FlowCyt-species-notes": "<p></p>", "IP-species-checked": "notRecommended", "IP-species-dilution-info": "", "IP-species-notes": "<p></p>", "ICCIF-species-checked": "notRecommended", "ICCIF-species-dilution-info": "", "ICCIF-species-notes": "<p></p>" }, "Rat": { "IHCP-species-checked": "testedAndGuaranteed", "IHCP-species-dilution-info": "1/40000", "IHCP-species-notes": "<p></p> Perform heat-mediated antigen retrieval with Tris/EDTA buffer pH 9.0 before commencing with IHC staining protocol.", "mIHC-species-checked": "testedAndGuaranteed", "mIHC-species-dilution-info": "1/40000", "mIHC-species-notes": "<p></p>", "IHCFr-species-checked": "testedAndGuaranteed", "IHCFr-species-dilution-info": "1/500", "IHCFr-species-notes": "<p></p>", "WB-species-checked": "notRecommended", "WB-species-dilution-info": "1/1000", "WB-species-notes": "<p></p>", "FlowCyt-species-checked": "notRecommended", "FlowCyt-species-dilution-info": "", "FlowCyt-species-notes": "", "IP-species-checked": "notRecommended", "IP-species-dilution-info": "", "IP-species-notes": "", "ICCIF-species-checked": "notRecommended", "ICCIF-species-dilution-info": "", "ICCIF-species-notes": "" } } }

Product details

What is this antibody validated in?
Anti-P2Y12 antibody [EPR26298-93] (ab300140) is a rabbit recombinant monoclonal antibody and is validated for use in Immunohistochemistry (IHC-P), Immunohistochemistry (IHC-Fr), Multiplex IHC (mIHC) in Human, Mouse, Rat samples.

Trial sizes available!
Test your antibody or perform pre-screening before committing to a larger quantity. Sold in 10µl. Discover our selection of trial-size antibodies.

Other related products
We have a range of other formats of antibody clone [EPR26298-93] also available for your convenience: ab300140, Alexa Fluor® 647 - ab308432, Alexa Fluor® 488 - ab309607

Patented technology
Our RabMAb® technology is a patented hybridoma-based technology for making rabbit monoclonal antibodies. For details on our patents, please refer to RabMAb® patents.

What are the advantages of a recombinant monoclonal antibody?
This product is a recombinant monoclonal antibody, which offers several advantages including:

  • - High batch-to-batch consistency and reproducibility
  • - Improved sensitivity and specificity
  • - Long-term security of supply
  • - Animal-free batch production

For more information, read more on recombinant antibodies.

Properties and storage information

Form
Liquid
Purification technique
Affinity purification Protein A
Storage buffer
pH: 7.2 - 7.4 Preservative: 0.01% Sodium azide Constituents: PBS, 40% Glycerol (glycerin, glycerine), 0.05% BSA
Shipped at conditions
Blue Ice
Appropriate short-term storage duration
1-2 weeks
Appropriate short-term storage conditions
+4°C
Appropriate long-term storage conditions
-20°C
Aliquoting information
Upon delivery aliquot
Storage information
Avoid freeze / thaw cycle

Supplementary information

This supplementary information is collated from multiple sources and compiled automatically.

P2Y12 also referred to as the P2Y12 receptor is a G-protein coupled receptor with an approximate mass of 39.6 kDa. It plays a distinct role in platelet aggregation through ADP binding which activates intracellular signaling pathways that result in platelet activation. One finds P2Y12 expressed mainly in platelets and the brain. It is an important target of various antiplatelet drugs which highlights its critical role in physiological frameworks involving thrombosis.
Biological function summary

The P2Y12 receptor is an important component of the platelet activation pathway. When activated it contributes to the amplification of platelet responses to injury. P2Y12 does not function in isolation; it forms part of larger multi-protein complexes essential for thrombus formation. This aggregation process requires synchronized activation of several platelet receptors emphasizing the P2Y12 receptor's critical role in maintaining hemostasis through cellular signaling.

Pathways

The P2Y12 receptor is integral to the thrombin and ADP signaling pathways functioning in tandem with other proteins such as the P2Y1 and CXCR4 receptors to execute cellular responses. These pathways facilitate platelet shape change secretion and aggregation therefore solidifying their place within the broader scope of hemostatic responses. Coordination with such protein partners ensures efficient propagation of signals necessary for rapid platelet activation and clot formation.

P2Y12 is closely linked to cardiovascular diseases particularly thrombosis and myocardial infarction. Its involvement in excessive platelet aggregation makes it a significant target for therapeutic agents like the P2Y12 receptor blockers. The receptor also interacts with proteins like glycoprotein IIb/IIIa in the clotting process providing potential pathways for therapeutic intervention. Dysregulation of P2Y12 function presents a risk for unwarranted thrombotic events highlighting the importance of P2Y12 antagonists such as ticagrelor in clinical settings to manage such conditions effectively.

Product protocols

For this product, it's our understanding that no specific protocols are required. You can visit:

Target data

Receptor for ADP and ATP coupled to G-proteins that inhibit the adenylyl cyclase second messenger system. Required for normal platelet aggregation and blood coagulation.
See full target information P2ry12

Product promise

We are committed to supporting your work with high-quality reagents, and we're here for you every step of the way. In the unlikely event that one of our products does not perform as expected, you're protected by our Product Promise.
For full details, please see our Terms & Conditions

Please note: All products are 'FOR RESEARCH USE ONLY. NOT FOR USE IN DIAGNOSTIC OR THERAPEUTIC PROCEDURES'.

For licensing inquiries, please contact partnerships@abcam.com