JavaScript is disabled in your browser. Please enable JavaScript to view this website.
AB272891

Anti-P2Y2 antibody

Be the first to review this product! Submit a review

|

(4 Publications)

Rabbit Polyclonal P2Y2 antibody. Suitable for ICC/IF, WB and reacts with Human, Recombinant fragment samples. Cited in 4 publications. Immunogen corresponding to Recombinant Fragment Protein within Human P2RY2.

View Alternative Names

P2RU1, P2RY2, P2Y purinoceptor 2, P2Y2, ATP receptor, P2U purinoceptor 1, P2U receptor 1, Purinergic receptor, P2U1

3 Images
Immunocytochemistry/ Immunofluorescence - Anti-P2Y2 antibody (AB272891)
  • ICC/IF

Supplier Data

Immunocytochemistry/ Immunofluorescence - Anti-P2Y2 antibody (AB272891)

Immunofluorescence analysis of K562 cells fixed in 4% paraformaldehyde at RT for 15 min labelling P2Y2 protein at cell membrane using ab272891 at a 1/500 dilution (Green). Hoechst 33342 was used for nuclear staining (Blue).

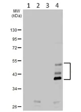
Western blot - Anti-P2Y2 antibody (AB272891)
  • WB

Supplier Data

Western blot - Anti-P2Y2 antibody (AB272891)

Samples were separated by 10% SDS-PAGE.

All lanes:

Western blot - Anti-P2Y2 antibody (ab272891) at 1/5000 dilution

Lane 1:

Boiled HL-60 whole cell extracts at 30 µg

Lane 2:

Boiled HL-60 membrane extracts at 30 µg

Lane 3:

Unboiled HL-60 whole cell extracts at 30 µg

Lane 4:

Unboiled HL-60 membrane extracts at 30 µg

Secondary

All lanes:

HRP-conjugated anti-rabbit IgG antibody

Predicted band size: 42 kDa

false

Western blot - Anti-P2Y2 antibody (AB272891)
  • WB

Supplier Data

Western blot - Anti-P2Y2 antibody (AB272891)

Samples were separated by 10% SDS-PAGE.

All lanes:

Western blot - Anti-P2Y2 antibody (ab272891) at 1/5000 dilution

Lane 1:

Boiled 293T cell lysates at 30 µg

Lane 2:

Boiled DDDDK tagged P2Y2 transfected 293T cell lysates at 30 µg

Lane 3:

Unboiled 293T cell lysates at 30 µg

Lane 4:

Unboiled DDDDK tagged P2Y2 transfected 293T cell lysates at 30 µg

Secondary

All lanes:

HRP-conjugated anti-rabbit IgG antibody

Predicted band size: 42 kDa

false

Key facts

Host species

Rabbit

Clonality

Polyclonal

Isotype

IgG

Carrier free

No

Reacts with

Human

Applications

WB, ICC/IF

applications

Immunogen

Recombinant Fragment Protein within Human P2RY2. The exact immunogen used to generate this antibody is proprietary information.

P41231

Reactivity data

{ "title": "Reactivity Data", "filters": { "stats": ["", "Species", "Dilution Info", "Notes"], "tabs": { "all-applications": {"fullname" : "All Applications", "shortname": "All Applications"}, "ICCIF" : {"fullname" : "Immunocytochemistry/ Immunofluorescence", "shortname":"ICC/IF"}, "WB" : {"fullname" : "Western blot", "shortname":"WB"} }, "product-promise": { "all": "all", "testedAndGuaranteed": "tested", "guaranteed": "expected", "predicted": "predicted", "notRecommended": "not-recommended" } }, "values": { "Human": { "ICCIF-species-checked": "testedAndGuaranteed", "ICCIF-species-dilution-info": "1/100 - 1/1000", "ICCIF-species-notes": "<p></p>", "WB-species-checked": "testedAndGuaranteed", "WB-species-dilution-info": "1/500 - 1/3000", "WB-species-notes": "<p></p>" }, "Recombinant fragment": { "ICCIF-species-checked": "notRecommended", "ICCIF-species-dilution-info": "", "ICCIF-species-notes": "", "WB-species-checked": "testedAndGuaranteed", "WB-species-dilution-info": "1/500 - 1/3000", "WB-species-notes": "<p></p>" } } }

Properties and storage information

Form
Liquid
Purification technique
Affinity purification Immunogen
Storage buffer
pH: 7 Preservative: 0.01% Thimerosal (merthiolate) Constituents: 20% Glycerol (glycerin, glycerine), 1.21% Tris, 0.75% Glycine
Shipped at conditions
Blue Ice
Appropriate short-term storage duration
1-2 weeks
Appropriate short-term storage conditions
+4°C
Appropriate long-term storage conditions
-20°C
Aliquoting information
Upon delivery aliquot
Storage information
Avoid freeze / thaw cycle

Supplementary information

This supplementary information is collated from multiple sources and compiled automatically.

The P2Y2 receptor also known as P2RY2 or purinergic receptor P2Y G-protein coupled 2 is a receptor protein with a molecular mass of approximately 41 kDa. It belongs to the family of G-protein coupled receptors (GPCRs) and responds to extracellular nucleotides such as ATP and UTP. P2Y2 is mainly expressed in tissues including the lung kidney heart and immune cells. It plays a significant role in mediating cellular responses to external stimuli through nucleotide binding.
Biological function summary

The P2Y2 receptor serves key functions in cellular signaling especially in processes like inflammation and tissue repair. It acts by coupling with G-protein complexes to initiate intracellular signaling cascades. Activation of P2Y2 can lead to the release of calcium from intracellular stores and activation of protein kinase pathways contributing to the regulation of cell proliferation migration and cytokine release. This receptor does not exist as part of a larger protein complex but interacts dynamically with other cellular machinery to regulate physiological functions.

Pathways

P2Y2 receptor engagement triggers responses in the phosphoinositide pathway and the mitogen-activated protein kinase (MAPK) pathway. These pathways modulate cell growth and stress responses. P2Y2 receptor activity is interlinked with other receptors like P2Y1 and P2Y4 sharing similar downstream signaling effects. This interaction system allows for integrated cellular responses to various extracellular nucleotide concentrations making it critical for coordinated cellular responses.

Altered P2Y2 expression or function associates with conditions like cystic fibrosis and atherosclerosis. In cystic fibrosis abnormal P2Y2 activity impacts chloride ion transport and mucus clearance due to its role in epithelial cell signaling. During atherosclerosis P2Y2 receptor modulates inflammatory response and vascular remodelling contributing to plaque formation. Its interaction with proteins such as CFTR (Cystic Fibrosis Transmembrane Conductance Regulator) in cystic fibrosis and integrins in atherosclerosis exemplifies its involvement in disease mechanisms.

Product protocols

For this product, it's our understanding that no specific protocols are required. You can visit:

Target data

Receptor for ATP and UTP coupled to G-proteins that activate a phosphatidylinositol-calcium second messenger system. The affinity range is UTP = ATP > ATP-gamma-S >> 2-methylthio-ATP = ADP.
See full target information P2RY2

Publications (4)

Recent publications for all applications. Explore the full list and refine your search

Kidney diseases (Basel, Switzerland) 11:416-438 PubMed40551875

2025

Inhibition of P2Y2 Attenuates Cisplatin-Induced AKI via Reduced Oxidative Stress, Inflammation and Cell Death.

Applications

Unspecified application

Species

Unspecified reactive species

Fengyu Su,Ting Wang,Xiuli Lin,Yang Du,Yan Guo,Weidong Cao,Yaqiong Shang,Anning Zhou,Songming Huang,Zhanjun Jia,Yue Zhang,Aihua Zhang,Xiaomei Tang,Shuang Chen

Drug development research 85:e70032 PubMed39670965

2024

AEBP1 Silencing Protects Against Cerebral Ischemia/Reperfusion Injury by Regulating Neuron Ferroptosis and Microglia M2 Polarization Through PRKCA-PI3K-Akt Axis.

Applications

Unspecified application

Species

Unspecified reactive species

Yafen Zhang,Yan Li,Fengli Liu

International journal of medical sciences 21:1929-1944 PubMed39113893

2024

PM Exposure Inhibits Transepithelial Anion Short-circuit Current by Downregulating P2Y2 Receptor/CFTR Pathway.

Applications

Unspecified application

Species

Unspecified reactive species

Xiaolong Liu,Zhangwen Li,Jiajie Shan,Fang Wang,Zhongpeng Li,Shaohua Luo,Jian Wu

3 Biotech 13:312 PubMed37637003

2023

Silencing of purinergic receptor P2Y2 inhibited enteric neural crest cell proliferation, invasion and migration via suppressing ERK signaling pathway in Hirschsprung disease.

Applications

Unspecified application

Species

Unspecified reactive species

Dengrui Liu,Hongxia Kang,Mingtai Gao,Wei Pei,Shimo Wang,Zhou Chen
View all publications

Product promise

We are committed to supporting your work with high-quality reagents, and we're here for you every step of the way. In the unlikely event that one of our products does not perform as expected, you're protected by our Product Promise.
For full details, please see our Terms & Conditions

Please note: All products are 'FOR RESEARCH USE ONLY. NOT FOR USE IN DIAGNOSTIC OR THERAPEUTIC PROCEDURES'.

For licensing inquiries, please contact partnerships@abcam.com