JavaScript is disabled in your browser. Please enable JavaScript to view this website.
AB167017

Anti-P311 antibody

5

(2 Reviews)

|

(1 Publication)

Rabbit Polyclonal P311 antibody. Suitable for IHC-P and reacts with Human samples. Cited in 1 publication. Immunogen corresponding to Synthetic Peptide within Human NREP.

View Alternative Names

C5orf13, P311, NREP, Neuronal regeneration-related protein, Neuronal protein 3.1, Protein p311

1 Images
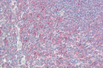
Immunohistochemistry (Formalin/PFA-fixed paraffin-embedded sections) - Anti-P311 antibody (AB167017)
  • IHC-P

Unknown

Immunohistochemistry (Formalin/PFA-fixed paraffin-embedded sections) - Anti-P311 antibody (AB167017)

Immunohistochemical analysis of formalin-fixed, paraffin-embedded Human spleen tissue labeling P311 with ab167017 at 5 µg/ml.

Key facts

Host species

Rabbit

Clonality

Polyclonal

Isotype

IgG

Carrier free

No

Reacts with

Human

Applications

IHC-P

applications

Immunogen

Synthetic Peptide within Human NREP. The exact immunogen used to generate this antibody is proprietary information.

Q16612

Reactivity data

{ "title": "Reactivity Data", "filters": { "stats": ["", "Species", "Dilution Info", "Notes"], "tabs": { "all-applications": {"fullname" : "All Applications", "shortname": "All Applications"}, "IHCP" : {"fullname" : "Immunohistochemistry (Formalin/PFA-fixed paraffin-embedded sections)", "shortname":"IHC-P"} }, "product-promise": { "all": "all", "testedAndGuaranteed": "tested", "guaranteed": "expected", "predicted": "predicted", "notRecommended": "not-recommended" } }, "values": { "Human": { "IHCP-species-checked": "testedAndGuaranteed", "IHCP-species-dilution-info": "5 µg/mL", "IHCP-species-notes": "<p></p>" } } }

Properties and storage information

Form
Liquid
Purification technique
Affinity purification Immunogen
Storage buffer
pH: 7.4 Preservative: 0.02% Sodium azide Constituents: PBS, 50% Glycerol (glycerin, glycerine), 0.88% Sodium chloride
Shipped at conditions
Blue Ice
Appropriate short-term storage conditions
+4°C
Appropriate long-term storage conditions
-20°C

Supplementary information

This supplementary information is collated from multiple sources and compiled automatically.

The protein P311 also known as PTZ17 or NREP (neuronal regeneration-related protein) plays a role in cell migration and tissue repair. It has a molecular mass of approximately 8 kDa. You can find P311 mainly in the brain though it is also present in other tissues like skin and lung. This protein acts by modulating the cytoskeletal organization which is essential for its functions in different types of cells.
Biological function summary

P311 affects cellular processes such as muscle regeneration and neuronal development. It does not form part of a larger protein complex but interacts directly with different signaling pathways aiding cell motility and growth. P311 keeps a high expression during the early stages of cell differentiation further showing its role in developmental biology.

Pathways

P311 fits into the transforming growth factor-beta (TGF-β) signaling pathway influencing wound healing and inflammatory responses. It interacts with proteins involved in this pathway such as TGF-β1 and SMAD proteins. P311 also modulates the Rho GTPase signaling pathway which controls actin cytoskeletal dynamics suggesting its importance in cell motility and morphology.

P311 shows relevance to conditions like cancer metastasis and fibrosis. Its upregulation links with increased metastatic potential in various cancer types. Furthermore P311 connects with TGF-β an important player in fibrotic diseases such as pulmonary fibrosis highlighting its impact on disease processes. Understanding P311's role in these conditions could provide new therapeutic targets for disease intervention and management.

Product protocols

For this product, it's our understanding that no specific protocols are required. You can visit:

Target data

May have roles in neural function. Ectopic expression augments motility of gliomas. Promotes also axonal regeneration (By similarity). May also have functions in cellular differentiation (By similarity). Induces differentiation of fibroblast into myofibroblast and myofibroblast ameboid migration. Increases retinoic-acid regulation of lipid-droplet biogenesis (By similarity). Down-regulates the expression of TGFB1 and TGFB2 but not of TGFB3 (By similarity). May play a role in the regulation of alveolar generation.
See full target information NREP

Publications (1)

Recent publications for all applications. Explore the full list and refine your search

BMC medicine 22:502 PubMed39482663

2024

TM9SF1 expression correlates with autoimmune disease activity and regulates antibody production through mTOR-dependent autophagy.

Applications

Unspecified application

Species

Unspecified reactive species

Juan Xiao,Zhenwang Zhao,Fengqiao Zhou,Jinsong Xiong,Zean Yang,Baoxian Gong,Lei Xiang,Mingming Liu,Fengsheng Cao,Hong Xiao,Huabo Chen,Anbing Zhang,Ke Wang
View all publications

Product promise

We are committed to supporting your work with high-quality reagents, and we're here for you every step of the way. In the unlikely event that one of our products does not perform as expected, you're protected by our Product Promise.
For full details, please see our Terms & Conditions

Please note: All products are 'FOR RESEARCH USE ONLY. NOT FOR USE IN DIAGNOSTIC OR THERAPEUTIC PROCEDURES'.

For licensing inquiries, please contact partnerships@abcam.com