JavaScript is disabled in your browser. Please enable JavaScript to view this website.
AB235271

Anti-p35 antibody

Be the first to review this product! Submit a review

|

(1 Publication)

Rabbit Polyclonal CD5R1 antibody. Suitable for IHC, WB and reacts with Mouse, Human samples. Cited in 1 publication.

View Alternative Names

CDK5R, NCK5A, CDK5R1, Cyclin-dependent kinase 5 activator 1, CDK5 activator 1, Cyclin-dependent kinase 5 regulatory subunit 1, TPKII regulatory subunit

3 Images
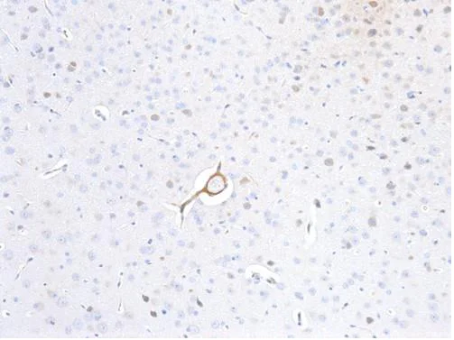
Immunohistochemistry - Anti-p35 antibody (AB235271)
  • IHC

Supplier Data

Immunohistochemistry - Anti-p35 antibody (AB235271)

Mouse brain tissue stained for p35 using ab235271 at 1/100 dilution in immunohistochemical analysis. Counterstained with hematoxylin.

HIER antigen retrieval.

ab235271 developed a specific staining of neurons and neurophil in brain tissue.

Western blot - Anti-p35 antibody (AB235271)
  • WB

Supplier Data

Western blot - Anti-p35 antibody (AB235271)

All lanes:

Western blot - Anti-p35 antibody (ab235271) at 1/1000 dilution

All lanes:

Mouse brain lysate at 35 µg

Secondary

All lanes:

Donkey anti Rabbit IgG peroxidase conjugate at 1/70000 dilution

Predicted band size: 34 kDa

false

Exposure time: 10s

Western blot - Anti-p35 antibody (AB235271)
  • WB

Supplier Data

Western blot - Anti-p35 antibody (AB235271)

All lanes:

Western blot - Anti-p35 antibody (ab235271) at 1/1000 dilution

Lane 1:

Human CDK5 overexpressing HEK293T lysate

Lane 2:

Human CDK5 empty vector HEK293T lysate

Lane 3:

NIH/3T3 (mouse embyro fibroblast cell line) lysate

Secondary

All lanes:

Goat-anti-Rabbit IgG [H&L] at 1/70000 dilution

Predicted band size: 34 kDa

false

Exposure time: 30s

Key facts

Host species

Rabbit

Clonality

Polyclonal

Isotype

IgG

Carrier free

No

Reacts with

Mouse, Human

Applications

WB, IHC

applications

Immunogen

The exact immunogen used to generate this antibody is proprietary information.

Reactivity data

{ "title": "Reactivity Data", "filters": { "stats": ["", "Species", "Dilution Info", "Notes"], "tabs": { "all-applications": {"fullname" : "All Applications", "shortname": "All Applications"}, "IHC" : {"fullname" : "Immunohistochemistry", "shortname":"IHC"}, "WB" : {"fullname" : "Western blot", "shortname":"WB"} }, "product-promise": { "all": "all", "testedAndGuaranteed": "tested", "guaranteed": "expected", "predicted": "predicted", "notRecommended": "not-recommended" } }, "values": { "Human": { "IHC-species-checked": "guaranteed", "IHC-species-dilution-info": "", "IHC-species-notes": "", "WB-species-checked": "testedAndGuaranteed", "WB-species-dilution-info": "1/1000", "WB-species-notes": "<p></p>" }, "Mouse": { "IHC-species-checked": "testedAndGuaranteed", "IHC-species-dilution-info": "1/100", "IHC-species-notes": "<p>Perform heat mediated antigen retrieval before commencing with IHC staining protocol.</p>", "WB-species-checked": "testedAndGuaranteed", "WB-species-dilution-info": "1/1000", "WB-species-notes": "<p></p>" }, "Rat": { "IHC-species-checked": "predicted", "IHC-species-dilution-info": "", "IHC-species-notes": "", "WB-species-checked": "predicted", "WB-species-dilution-info": "", "WB-species-notes": "" }, "Cow": { "IHC-species-checked": "predicted", "IHC-species-dilution-info": "", "IHC-species-notes": "", "WB-species-checked": "predicted", "WB-species-dilution-info": "", "WB-species-notes": "" } } }

Properties and storage information

Form
Liquid
Purification technique
Affinity purification
Storage buffer
Preservative: 0.01% Sodium azide Constituents: PBS
Shipped at conditions
Blue Ice
Appropriate short-term storage duration
1-2 weeks
Appropriate short-term storage conditions
+4°C
Appropriate long-term storage conditions
-20°C
Aliquoting information
Upon delivery aliquot
Storage information
Avoid freeze / thaw cycle

Supplementary information

This supplementary information is collated from multiple sources and compiled automatically.

The p35 protein also known as p35 form is a regulatory subunit of the cyclin-dependent kinase 5 (Cdk5) complex. It weighs approximately 35 kDa. Expressed predominantly in the central nervous system p35 plays an important role in neural development and synaptic function. It binds to and activates Cdk5 an enzyme involved in various processes critical to neuronal function.
Biological function summary

P35 is essential for the regulation of many aspects of neural development including cell migration and axonal growth. It forms a complex with Cdk5 which then phosphorylates various substrates that are critical for these processes. The p35/Cdk5 complex influences the cytoskeletal dynamics needed for neuronal positioning and dendritic spine formation and it is significant for learning and memory.

Pathways

P35 serves in the neuronal signaling and cell cycle pathways. The Cdk5/p35 complex interfaces with pathways such as those involving the neurofilament proteins important for maintaining neuronal structure and function. In the cell cycle though atypical Cdk5/p35 can affect pathways related to cell cycle arrest highlighting its diverse functional connectivity.

P35 is significantly involved in neurodegenerative diseases like Alzheimer's and amyotrophic lateral sclerosis (ALS). In Alzheimer’s abnormal p35 cleavage to p25 by enzymes like calpain results in hyperactivity of Cdk5 leading to neuronal damage. The similarity in pathways also connects p35 to other neuronal proteins such as tau where misregulation can result in tauopathy a feature observed in several neurodegenerative disorders.

Product protocols

For this product, it's our understanding that no specific protocols are required. You can visit:

Target data

p35 is a neuron specific activator of CDK5. The complex p35/CDK5 is required for neurite outgrowth and cortical lamination. Involved in dendritic spine morphogenesis by mediating the EFNA1-EPHA4 signaling. Activator of TPKII. The complex p35/CDK5 participates in the regulation of the circadian clock by modulating the function of CLOCK protein : phosphorylates CLOCK at 'Thr-451' and 'Thr-461' and regulates the transcriptional activity of the CLOCK-BMAL1 heterodimer in association with altered stability and subcellular distribution.
See full target information CDK5R1

Publications (1)

Recent publications for all applications. Explore the full list and refine your search

Scientific reports 13:18546 PubMed37899376

2023

Tumor-suppressive microRNA-152 inhibits the proliferation of Ewing's sarcoma cells by targeting CDK5R1.

Applications

Unspecified application

Species

Unspecified reactive species

Masanori Kawano,Kazuhiro Tanaka,Ichiro Itonaga,Tatsuya Iwasaki,Yuta Kubota,Hiroshi Tsumura
View all publications

Product promise

We are committed to supporting your work with high-quality reagents, and we're here for you every step of the way. In the unlikely event that one of our products does not perform as expected, you're protected by our Product Promise.
For full details, please see our Terms & Conditions

Please note: All products are 'FOR RESEARCH USE ONLY. NOT FOR USE IN DIAGNOSTIC OR THERAPEUTIC PROCEDURES'.

For licensing inquiries, please contact partnerships@abcam.com