JavaScript is disabled in your browser. Please enable JavaScript to view this website.
AB227995

Anti-p38 beta/MAPK11 + p38 alpha/MAPK14 antibody [Y122] - BSA and Azide free

Be the first to review this product! Submit a review

|

(8 Publications)

Rabbit Recombinant Monoclonal p38 beta/MAPK11 antibody. Carrier free. Suitable for WB, IHC-P, ICC/IF and reacts with Recombinant full length protein - Human, Human, Mouse, Rat samples. Cited in 8 publications.

View Alternative Names

PRKM11, SAPK2, SAPK2B, MAPK11, Mitogen-activated protein kinase 11, MAP kinase 11, MAPK 11, Mitogen-activated protein kinase p38 beta, Stress-activated protein kinase 2b, p38-2, MAP kinase p38 beta, p38b, SAPK2b

5 Images
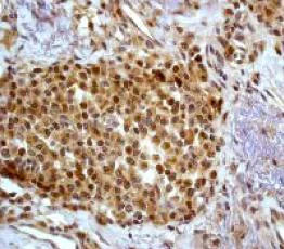
Immunohistochemistry (Formalin/PFA-fixed paraffin-embedded sections) - Anti-p38 beta/MAPK11 + p38 alpha/MAPK14 antibody [Y122] - BSA and Azide free (AB227995)
  • IHC-P

Unknown

Immunohistochemistry (Formalin/PFA-fixed paraffin-embedded sections) - Anti-p38 beta/MAPK11 + p38 alpha/MAPK14 antibody [Y122] - BSA and Azide free (AB227995)

This IHC data was generated using the same anti-p38 antibody clone, Y122, in a different buffer formulation (cat# ab32142).

ab32142, at a 1/100 dilution, staining p38 in paraffin embedded human skin carcinoma tissue by immunohistochemistry.

Perform heat mediated antigen retrieval with citrate buffer pH 6 before commencing with IHC staining protocol.

Immunocytochemistry/ Immunofluorescence - Anti-p38 beta/MAPK11 + p38 alpha/MAPK14 antibody [Y122] - BSA and Azide free (AB227995)
  • ICC/IF

Unknown

Immunocytochemistry/ Immunofluorescence - Anti-p38 beta/MAPK11 + p38 alpha/MAPK14 antibody [Y122] - BSA and Azide free (AB227995)

Immunocytochemistry/Immunofluorescence analysis of MCF-7 (human breast carcinoma) cells labelling p38 (green) with purified ab32142 at 1/250. Cells were fixed with 4% Paraformaldehyde and permeabilized with 0.1% Triton X-100. ab150077, Alexa Fluor® 488-conjugated goat anti-rabbit IgG (1/1000) was used as the secondary antibody. Nuclei were counterstained with DAPI (blue).

Secondary Only Control : PBS was used instead of the primary antibody as the negative control.

This data was developed using the same antibody clone in a different buffer formulation containing PBS, BSA, glycerol, and sodium azide (ab32142).

Western blot - Anti-p38 beta/MAPK11 + p38 alpha/MAPK14 antibody [Y122] - BSA and Azide free (AB227995)
  • WB

Lab

Western blot - Anti-p38 beta/MAPK11 + p38 alpha/MAPK14 antibody [Y122] - BSA and Azide free (AB227995)

This data was developed using the same antibody clone in a different buffer formulation (ab32142).

Lanes 1 - 4 : Merged signal (red and green). Green - ab32142 observed at 40 kDa. Red - loading control, ab130007 observed at 125 kDa.

ab32142 was shown to react with p38 in wild-type HEK-293T cells. Loss of signal was observed when knockout cell line ab255406 (knockout cell lysate ab263787) was used. Wild-type and p38 knockout samples were subjected to SDS-PAGE. ab32142 and Anti-Vinculin antibody [VIN-54] (ab130007) were incubated overnight at 4°C at 1 in 1000 dilution and 1 in 20000 dilution respectively. Blots were developed with Goat anti-Rabbit IgG H&L (IRDye® 800CW) preadsorbed (ab216773) and Goat anti-Mouse IgG H&L (IRDye® 680RD) preadsorbed (ab216776) secondary antibodies at 1 in 20000 dilution for 1 hour at room temperature before imaging.

All lanes:

Western blot - Anti-p38 beta/MAPK11 + p38 alpha/MAPK14 antibody [Y122] (<a href='/en-us/products/primary-antibodies/p38-beta-mapk11-p38-alpha-mapk14-antibody-y122-ab32142'>ab32142</a>) at 1/1000 dilution

Lane 1:

HeLa cell lysate at 20 µg

Lane 2:

Jurkat cell lysate at 20 µg

Lane 2:

Western blot - Human MAPK14 (p38) knockout HEK-293T cell line (<a href='/en-us/products/cell-lines/human-mapk14-p38-knockout-hek-293t-cell-line-ab255406'>ab255406</a>)

Lane 3:

Wild-type HEK-293T cell lysate at 20 µg

Lane 4:

MAPK14 knockout HEK-293T cell lysate at 20 µg

Secondary

All lanes:

Western blot - Goat anti-Rabbit IgG H&L (IRDye® 800CW) preadsorbed (<a href='/en-us/products/secondary-antibodies/goat-rabbit-igg-h-l-irdye-800cw-preadsorbed-ab216773'>ab216773</a>) at 1/20000 dilution

Predicted band size: 41 kDa

Observed band size: 124 kDa,42 kDa

false

Western blot - Anti-p38 beta/MAPK11 + p38 alpha/MAPK14 antibody [Y122] - BSA and Azide free (AB227995)
  • WB

Unknown

Western blot - Anti-p38 beta/MAPK11 + p38 alpha/MAPK14 antibody [Y122] - BSA and Azide free (AB227995)

This data was developed using the same antibody clone in a different buffer formulation (ab32142).

All lanes:

Western blot - Anti-p38 beta/MAPK11 + p38 alpha/MAPK14 antibody [Y122] (<a href='/en-us/products/primary-antibodies/p38-beta-mapk11-p38-alpha-mapk14-antibody-y122-ab32142'>ab32142</a>) at 1/1000 dilution

Lane 1:

Western blot - Recombinant Human p38 beta/MAPK11 protein (<a href='/en-us/products/proteins-peptides/recombinant-human-p38-beta-mapk11-protein-ab117219'>ab117219</a>)

Lane 2:

Western blot - Recombinant Human p38 gamma/MAPK12 protein (<a href='/en-us/products/proteins-peptides/recombinant-human-p38-gamma-mapk12-protein-ab117221'>ab117221</a>)

Lane 3:

Western blot - Recombinant Human p38 delta/MAPK13 protein (<a href='/en-us/products/proteins-peptides/recombinant-human-p38-delta-mapk13-protein-ab113869'>ab113869</a>)

Lane 4:

Western blot - Recombinant Human p38 alpha/MAPK14 protein (<a href='/en-us/products/proteins-peptides/recombinant-human-p38-alpha-mapk14-protein-ab82188'>ab82188</a>)

false

Western blot - Anti-p38 beta/MAPK11 + p38 alpha/MAPK14 antibody [Y122] - BSA and Azide free (AB227995)
  • WB

Lab

Western blot - Anti-p38 beta/MAPK11 + p38 alpha/MAPK14 antibody [Y122] - BSA and Azide free (AB227995)

This WB data was generated using the same anti-p38 antibody clone, Y122, in a different buffer formulation (cat# ab32142).

Lanes 1 - 4 : Merged signal (red and green). Green - ab32142 observed at 40 kDa. Red - loading control, ab8245, observed at 37 kDa.

ab32142 was shown to specifically react with p38 when p38 knockout samples were used. Wild-type and p38 knockout samples were subjected to SDS-PAGE. ab32142 and ab8245 (loading control to GAPDH) were diluted 1/1000 and 1/2000 respectively and incubated overnight at 4°C. Blots were developed with Goat anti-Rabbit IgG H&L (IRDye® 800CW) preadsorbed (ab216773) and Goat anti-Mouse IgG H&L (IRDye® 680RD) preadsorbed (ab216776) secondary antibodies at 1/10 000 dilution for 1 h at room temperature before imaging.

All lanes:

Western blot - Anti-p38 beta/MAPK11 + p38 alpha/MAPK14 antibody [Y122] (<a href='/en-us/products/primary-antibodies/p38-beta-mapk11-p38-alpha-mapk14-antibody-y122-ab32142'>ab32142</a>)

Lane 1:

Wild-type HAP1 cell lysate at 20 µg

Lane 2:

p38 knockout HAP1 cell lysate at 20 µg

Lane 3:

HeLa cell lysate at 20 µg

Lane 4:

Jurkat cell lysate at 20 µg

false

  • Unconjugated

    Anti-p38 beta/MAPK11 + p38 alpha/MAPK14 antibody [Y122]

  • 617 Alexa Fluor® 594

    Alexa Fluor® 594 Anti-p38 beta/MAPK11 + p38 alpha/MAPK14 antibody [Y122]

  • 665 Alexa Fluor® 647

    Alexa Fluor® 647 Anti-p38 beta/MAPK11 + p38 alpha/MAPK14 antibody [Y122]

Key facts

Host species

Rabbit

Clonality

Monoclonal

Clone number

Y122

Isotype

IgG

Carrier free

Yes

Reacts with

Mouse, Human

Applications

IHC-P, ICC/IF, WB

applications

Immunogen

The exact immunogen used to generate this antibody is proprietary information.

Specificity

This antibody recognises p38. It is predicted to react with splice isoform CSBP1 according to sequence homology. Mouse cross reactivity has been tested by WB and IHC, Rat cross reactivity by WB only.

Reactivity data

{ "title": "Reactivity Data", "filters": { "stats": ["", "Species", "Dilution Info", "Notes"], "tabs": { "all-applications": {"fullname" : "All Applications", "shortname": "All Applications"}, "WB" : {"fullname" : "Western blot", "shortname":"WB"}, "IHCP" : {"fullname" : "Immunohistochemistry (Formalin/PFA-fixed paraffin-embedded sections)", "shortname":"IHC-P"}, "ICCIF" : {"fullname" : "Immunocytochemistry/ Immunofluorescence", "shortname":"ICC/IF"}, "IP" : {"fullname" : "Immunoprecipitation", "shortname":"IP"}, "FlowCyt" : {"fullname" : "Flow Cytometry", "shortname":"Flow Cyt"} }, "product-promise": { "all": "all", "testedAndGuaranteed": "tested", "guaranteed": "expected", "predicted": "predicted", "notRecommended": "not-recommended" } }, "values": { "Human": { "WB-species-checked": "testedAndGuaranteed", "WB-species-dilution-info": "", "WB-species-notes": "<p></p>", "IHCP-species-checked": "testedAndGuaranteed", "IHCP-species-dilution-info": "", "IHCP-species-notes": "<p></p> Perform heat-mediated antigen retrieval with citrate buffer pH 6 before commencing with IHC staining protocol.", "ICCIF-species-checked": "testedAndGuaranteed", "ICCIF-species-dilution-info": "", "ICCIF-species-notes": "<p></p>", "IP-species-checked": "notRecommended", "IP-species-dilution-info": "", "IP-species-notes": "<p></p>", "FlowCyt-species-checked": "notRecommended", "FlowCyt-species-dilution-info": "", "FlowCyt-species-notes": "<p></p>" }, "Mouse": { "WB-species-checked": "guaranteed", "WB-species-dilution-info": "", "WB-species-notes": "<p></p>", "IHCP-species-checked": "guaranteed", "IHCP-species-dilution-info": "", "IHCP-species-notes": "<p></p> Perform heat-mediated antigen retrieval with citrate buffer pH 6 before commencing with IHC staining protocol.", "ICCIF-species-checked": "guaranteed", "ICCIF-species-dilution-info": "", "ICCIF-species-notes": "<p></p>", "IP-species-checked": "notRecommended", "IP-species-dilution-info": "", "IP-species-notes": "<p></p>", "FlowCyt-species-checked": "notRecommended", "FlowCyt-species-dilution-info": "", "FlowCyt-species-notes": "<p></p>" }, "Rat": { "WB-species-checked": "guaranteed", "WB-species-dilution-info": "", "WB-species-notes": "<p></p>", "IHCP-species-checked": "predicted", "IHCP-species-dilution-info": "", "IHCP-species-notes": "", "ICCIF-species-checked": "predicted", "ICCIF-species-dilution-info": "", "ICCIF-species-notes": "", "IP-species-checked": "notRecommended", "IP-species-dilution-info": "", "IP-species-notes": "", "FlowCyt-species-checked": "notRecommended", "FlowCyt-species-dilution-info": "", "FlowCyt-species-notes": "" }, "Recombinant full length protein - Human": { "WB-species-checked": "testedAndGuaranteed", "WB-species-dilution-info": "", "WB-species-notes": "<p></p>", "IHCP-species-checked": "notRecommended", "IHCP-species-dilution-info": "", "IHCP-species-notes": "", "ICCIF-species-checked": "notRecommended", "ICCIF-species-dilution-info": "", "ICCIF-species-notes": "", "IP-species-checked": "notRecommended", "IP-species-dilution-info": "", "IP-species-notes": "", "FlowCyt-species-checked": "notRecommended", "FlowCyt-species-dilution-info": "", "FlowCyt-species-notes": "" } } }

Product details

ab227995 is the carrier-free version of ab32142.

Conjugation ready
Our carrier-free antibodies are typically supplied in a PBS-only formulation, purified and free of BSA, sodium azide and glycerol. This conjugation-ready format is designed for use with fluorochromes, metal isotopes, oligonucleotides, and enzymes, which makes them ideal for antibody labelling, functional and cell-based assays, flow-based assays (e.g. mass cytometry) and Multiplex Imaging applications.

Use our conjugation kits for antibody conjugates that are ready-to-use in as little as 20 minutes with 1 minute hands-on-time and 100% antibody recovery: available for fluorescent dyes, HRP, biotin and gold.

Compatibility
This product is compatible with the Maxpar® Antibody Labeling Kit from Fluidigm, without the need for antibody preparation. Maxpar® is a trademark of Fluidigm Canada Inc.

Properties and storage information

Form
Liquid
Purification technique
Affinity purification Protein A
Storage buffer
pH: 7.2 - 7.4 Constituents: PBS
Shipped at conditions
Blue Ice
Appropriate short-term storage conditions
+4°C
Appropriate long-term storage conditions
+4°C
Storage information
Do Not Freeze

Supplementary information

This supplementary information is collated from multiple sources and compiled automatically.

The proteins p38 beta (MAPK11) and p38 alpha (MAPK14) are important components in the mitogen-activated protein kinase (MAPK) family. They are involved in cellular responses to stress signals and are key players in signal transduction. p38 alpha also known as SAPK2a has a molecular weight of approximately 38 kDa. These proteins are ubiquitously expressed but show higher activity in tissues like the heart brain and skeletal muscles. They regulate gene expression by phosphorylating various transcription factors and substrates.
Biological function summary

P38 beta and p38 alpha functions include regulation of inflammation cell differentiation and apoptosis. They operate as part of a larger protein kinase complex and are activated by environmental stressors such as cytokines and UV radiation. This activation leads to a cascade of downstream signaling events modulating cellular processes essential for maintaining homeostasis. They have significant roles in immune response and stress-induced transcriptional regulation.

Pathways

These proteins primarily contribute to the MAPK signaling pathway and the stress-activated protein kinase (SAPK) pathway. The MAPK pathway also includes other kinases like JNK and ERK which work together to regulate cellular responses to a diverse array of stimuli. In the context of immune response these proteins play a critical role working in tandem with other kinases to facilitate cellular adaptation to stress and inflammation.

P38 beta and p38 alpha show significant involvement in inflammatory diseases and cancer. Their role in modulating inflammation links them to conditions such as rheumatoid arthritis where they regulate cytokine production and inflammatory response. Additionally dysregulation in the p38 signaling pathway has associations with cancer progression often interacting with proteins like NF-kB to influence tumorigenesis and cancer cell proliferation.

Product protocols

For this product, it's our understanding that no specific protocols are required. You can visit:

Target data

Serine/threonine kinase which acts as an essential component of the MAP kinase signal transduction pathway (PubMed : 12452429, PubMed : 20626350, PubMed : 35857590). MAPK11 is one of the four p38 MAPKs which play an important role in the cascades of cellular responses evoked by extracellular stimuli such as pro-inflammatory cytokines or physical stress leading to direct activation of transcription factors (PubMed : 12452429, PubMed : 20626350, PubMed : 35857590). Accordingly, p38 MAPKs phosphorylate a broad range of proteins and it has been estimated that they may have approximately 200 to 300 substrates each (PubMed : 12452429, PubMed : 20626350, PubMed : 35857590). MAPK11 functions are mostly redundant with those of MAPK14 (PubMed : 12452429, PubMed : 20626350, PubMed : 35857590). Some of the targets are downstream kinases which are activated through phosphorylation and further phosphorylate additional targets (PubMed : 12452429, PubMed : 20626350). RPS6KA5/MSK1 and RPS6KA4/MSK2 can directly phosphorylate and activate transcription factors such as CREB1, ATF1, the NF-kappa-B isoform RELA/NFKB3, STAT1 and STAT3, but can also phosphorylate histone H3 and the nucleosomal protein HMGN1 (PubMed : 9687510). RPS6KA5/MSK1 and RPS6KA4/MSK2 play important roles in the rapid induction of immediate-early genes in response to stress or mitogenic stimuli, either by inducing chromatin remodeling or by recruiting the transcription machinery. On the other hand, two other kinase targets, MAPKAPK2/MK2 and MAPKAPK3/MK3, participate in the control of gene expression mostly at the post-transcriptional level, by phosphorylating ZFP36 (tristetraprolin) and ELAVL1, and by regulating EEF2K, which is important for the elongation of mRNA during translation. MKNK1/MNK1 and MKNK2/MNK2, two other kinases activated by p38 MAPKs, regulate protein synthesis by phosphorylating the initiation factor EIF4E2 (PubMed : 11154262). In the cytoplasm, the p38 MAPK pathway is an important regulator of protein turnover. For example, CFLAR is an inhibitor of TNF-induced apoptosis whose proteasome-mediated degradation is regulated by p38 MAPK phosphorylation. Ectodomain shedding of transmembrane proteins is regulated by p38 MAPKs as well. In response to inflammatory stimuli, p38 MAPKs phosphorylate the membrane-associated metalloprotease ADAM17. Such phosphorylation is required for ADAM17-mediated ectodomain shedding of TGF-alpha family ligands, which results in the activation of EGFR signaling and cell proliferation. Additional examples of p38 MAPK substrates are the FGFR1. FGFR1 can be translocated from the extracellular space into the cytosol and nucleus of target cells, and regulates processes such as rRNA synthesis and cell growth. FGFR1 translocation requires p38 MAPK activation. In the nucleus, many transcription factors are phosphorylated and activated by p38 MAPKs in response to different stimuli. Classical examples include ATF1, ATF2, ATF6, ELK1, PTPRH, DDIT3, TP53/p53 and MEF2C and MEF2A (PubMed : 10330143, PubMed : 15356147, PubMed : 9430721). The p38 MAPKs are emerging as important modulators of gene expression by regulating chromatin modifiers and remodelers (PubMed : 10330143, PubMed : 15356147, PubMed : 9430721). The promoters of several genes involved in the inflammatory response, such as IL6, IL8 and IL12B, display a p38 MAPK-dependent enrichment of histone H3 phosphorylation on 'Ser-10' (H3S10ph) in LPS-stimulated myeloid cells. This phosphorylation enhances the accessibility of the cryptic NF-kappa-B-binding sites marking promoters for increased NF-kappa-B recruitment. Phosphorylates NLRP1 downstream of MAP3K20/ZAK in response to UV-B irradiation and ribosome collisions, promoting activation of the NLRP1 inflammasome and pyroptosis (PubMed : 35857590). Phosphorylates methyltransferase DOT1L on 'Ser-834', 'Thr-900', 'Ser-902', 'Thr-984', 'Ser-1001', 'Ser-1009' and 'Ser-1104' (PubMed : 38270553).
See full target information MAPK11

Additional targets

MAPK14

Publications (8)

Recent publications for all applications. Explore the full list and refine your search

Oncotarget 8:26702-26717 PubMed28460458

2017

Inactivation of p38 MAPK contributes to stem cell-like properties of non-small cell lung cancer.

Applications

WB

Species

Unspecified reactive species

Yan Fang,Juan Wang,Guanwen Wang,Chen Zhou,Peng Wang,Shuangtao Zhao,Shaorong Zhao,Shan Huang,Weijun Su,Pengling Jiang,Antao Chang,Rong Xiang,Peiqing Sun

Evidence-based complementary and alternative medic 2015:307594 PubMed25802536

2015

Comparisons of ethanol extracts of chinese propolis (poplar type) and poplar gums based on the antioxidant activities and molecular mechanism.

Applications

Unspecified application

Species

Mouse

Jianglin Zhang,Xueping Cao,Shun Ping,Kai Wang,Jinhu Shi,Cuiping Zhang,Huoqing Zheng,Fuliang Hu

Cell death & disease 5:e1426 PubMed25255219

2014

MiR-630 inhibits proliferation by targeting CDC7 kinase, but maintains the apoptotic balance by targeting multiple modulators in human lung cancer A549 cells.

Applications

Unspecified application

Species

Unspecified reactive species

J-X Cao,Y Lu,J-J Qi,G-S An,Z-B Mao,H-T Jia,S-Y Li,J-H Ni

Biochimica et biophysica acta 1843:2631-44 PubMed25072751

2014

Protease Nexin-1 affects the migration and invasion of C6 glioma cells through the regulation of urokinase Plasminogen Activator and Matrix Metalloproteinase-9/2.

Applications

WB

Species

Unspecified reactive species

Valentina Pagliara,Annagrazia Adornetto,Maria Mammì,Mariorosario Masullo,Daniela Sarnataro,Concetta Pietropaolo,Rosaria Arcone

PloS one 9:e98981 PubMed24901319

2014

Luteolin inhibits behavioral sensitization by blocking methamphetamine-induced MAPK pathway activation in the caudate putamen in mice.

Applications

WB

Species

Human

Tinglin Yan,Lu Li,Baiyu Sun,Fei Liu,Peng Yang,Teng Chen,Tao Li,Xinshe Liu

Journal of immunology (Baltimore, Md. : 1950) 191:594-607 PubMed23752610

2013

Different modulation of Ptpn22 in effector and regulatory T cells leads to attenuation of autoimmune diabetes in transgenic nonobese diabetic mice.

Applications

Unspecified application

Species

Mouse

Li-Tzu Yeh,Shi-Chuen Miaw,Ming-Hong Lin,Feng-Cheng Chou,Shing-Jia Shieh,Yi-Ping Chuang,Shih-Hua Lin,Deh-Ming Chang,Huey-Kang Sytwu

Biochemical and biophysical research communication 420:17-23 PubMed22390933

2012

An involvement of SR-B1 mediated PI3K-Akt-eNOS signaling in HDL-induced cyclooxygenase 2 expression and prostacyclin production in endothelial cells.

Applications

WB

Species

Human

Qing-Hai Zhang,Xu-Yu Zu,Ren-Xian Cao,Jiang-Hua Liu,Zhong-Cheng Mo,Ying Zeng,Yuan-Bin Li,Sheng-Lin Xiong,Xing Liu,Duan-Fang Liao,Guang-Hui Yi

BMC cell biology 11:10 PubMed20109185

2010

Mechano-transduction in periodontal ligament cells identifies activated states of MAP-kinases p42/44 and p38-stress kinase as a mechanism for MMP-13 expression.

Applications

Unspecified application

Species

Unspecified reactive species

Nelli Ziegler,Angel Alonso,Thorsten Steinberg,Dale Woodnutt,Annette Kohl,Eva Müssig,Simon Schulz,Pascal Tomakidi
View all publications

Product promise

We are committed to supporting your work with high-quality reagents, and we're here for you every step of the way. In the unlikely event that one of our products does not perform as expected, you're protected by our Product Promise.
For full details, please see our Terms & Conditions

Please note: All products are 'FOR RESEARCH USE ONLY. NOT FOR USE IN DIAGNOSTIC OR THERAPEUTIC PROCEDURES'.

For licensing inquiries, please contact partnerships@abcam.com