JavaScript is disabled in your browser. Please enable JavaScript to view this website.
AB31828

Anti-p38 delta/MAPK13 + p38 alpha/MAPK14 antibody [M138]

5

(16 Reviews)

|

(224 Publications)

Knockout Tested Mouse Monoclonal MK14 antibody. Suitable for WB, ICC/IF, ELISA, IHC-P, Flow Cyt (Intra) and reacts with Human, Recombinant full length protein - Human, Syrian hamster, Vervet monkey, Dog, Cow, Rat, Mouse, African green monkey, Synthetic peptide samples. Cited in 224 publications. Immunogen corresponding to Recombinant Fragment Protein within Rat Mapk14.

View Alternative Names

CSBP, CSBP1, CSBP2, CSPB1, MXI2, SAPK2A, MAPK14, Mitogen-activated protein kinase 14, MAP kinase 14, MAPK 14, Cytokine suppressive anti-inflammatory drug-binding protein, MAP kinase MXI2, MAX-interacting protein 2, Mitogen-activated protein kinase p38 alpha, Stress-activated protein kinase 2a, CSAID-binding protein, MAP kinase p38 alpha, SAPK2a

9 Images
Flow Cytometry (Intracellular) - Anti-p38 delta/MAPK13 + p38 alpha/MAPK14 antibody [M138] (AB31828)
  • Flow Cyt (Intra)

Unknown

Flow Cytometry (Intracellular) - Anti-p38 delta/MAPK13 + p38 alpha/MAPK14 antibody [M138] (AB31828)

Overlay histogram showing A431 cells stained with ab31828 (red line). The cells were fixed with methanol (5 min) and then permeabilized with 0.1% PBS-Tween for 20 min. The cells were then incubated in 1x PBS / 10% normal goat serum / 0.3M glycine to block non-specific protein-protein interactions followed by the antibody (ab21828, 1 : 100 dilution) for 30 min at 22°C. The secondary antibody used was DyLight® 488 goat anti-mouse IgG (H+L) (ab96879) at 1 : 500 dilution for 30 min at 22°C. Isotype control antibody (black line) was mouse IgG1 [ICIGG1] (ab91353, 2μg/1x106 cells) used under the same conditions. Acquisition of >5,000 events was performed. This antibody gave a decreased signal in A431 cells fixed with 4% paraformaldehyde (10 min)/permeabilized in 0.1% PBS-Tween used under the same conditions.

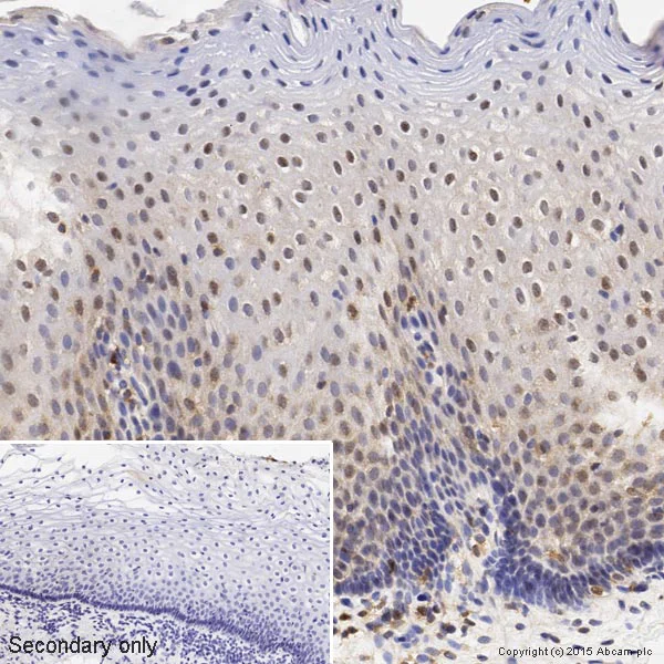
Immunohistochemistry (Formalin/PFA-fixed paraffin-embedded sections) - Anti-p38 delta/MAPK13 + p38 alpha/MAPK14 antibody [M138] (AB31828)
  • IHC-P

Lab

Immunohistochemistry (Formalin/PFA-fixed paraffin-embedded sections) - Anti-p38 delta/MAPK13 + p38 alpha/MAPK14 antibody [M138] (AB31828)

IHC image of ab31828 staining p38 in normal human esophagus formalin-fixed paraffin-embedded tissue sections*, performed on a Leica Bond. The section was pre-treated using heat mediated antigen retrieval with sodium citrate buffer (pH6, epitope retrieval solution 1) for 20 mins. The section was then incubated with ab31828, 1/50 dilution, for 15 mins at room temperature and detected using an HRP conjugated compact polymer system. DAB was used as the chromogen. The section was then counterstained with haematoxylin and mounted with DPX. No primary antibody was used in the negative control (shown on the inset).

For other IHC staining systems (automated and non-automated) customers should optimize variable parameters such as antigen retrieval conditions, primary antibody concentration and antibody incubation times.

*Tissue obtained from the Human Research Tissue Bank, supported by the NIHR Cambridge Biomedical Research Centre

Immunocytochemistry/ Immunofluorescence - Anti-p38 delta/MAPK13 + p38 alpha/MAPK14 antibody [M138] (AB31828)
  • ICC/IF

AbReview51449****

Immunocytochemistry/ Immunofluorescence - Anti-p38 delta/MAPK13 + p38 alpha/MAPK14 antibody [M138] (AB31828)

Immunocytochemical analysis of mouse embryo fibroblast cells (NIH-3T3), labelling p38 with ab31828. Sample fixed in paraformaldehyde and blocked with 1% Donkey Serum + 1% BSA + 0.1% Triton X-100, in PBS for 30 minutes at 22°C. Incubated with ab31828 diluted 1/500 in 1% Donkey Serum + 1% BSA + 0.1% Triton X for 1 hour at 22°C. Secondary antibody was a Donkey anti-Mouse polyclonal conjugated to Alexa Fluor® 488, diluted 1/500.

This image is courtesy of an anonymous Abreview.

Immunocytochemistry/ Immunofluorescence - Anti-p38 delta/MAPK13 + p38 alpha/MAPK14 antibody [M138] (AB31828)
  • ICC/IF

Supplier Data

Immunocytochemistry/ Immunofluorescence - Anti-p38 delta/MAPK13 + p38 alpha/MAPK14 antibody [M138] (AB31828)

Immunocytochemical labeling of activated p38 MAPK in pervanadate-treated mouse with ab31828. The cells were labeled with mouse monoclonal p38α MAPK and p38 MAPK antibodies, then the antibodies were detected using appropriate secondary antibodies conjugated to Cy3.

Western blot - Anti-p38 delta/MAPK13 + p38 alpha/MAPK14 antibody [M138] (AB31828)
  • WB

Lab

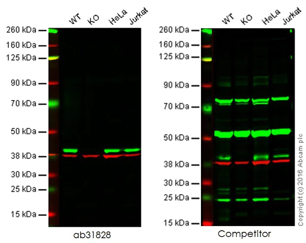
Western blot - Anti-p38 delta/MAPK13 + p38 alpha/MAPK14 antibody [M138] (AB31828)

Lane 1 : Wild-type HAP1 cell lysate (20 μg)
Lane 2 : p38 knockout HAP1 cell lysate (20 μg)
Lane 3 : HeLa cell lysate (20 μg)
Lane 4 : Jurkat cell lysate (20 μg)

Lanes 1 - 4 : Merged signal (red and green). Green - ab31828 observed at 40 kDa. Red - loading control, ab8245, observed at 37 kDa.

This western blot image is a comparison between ab31828 and a competitor's top cited rabbit polyclonal antibody.

All lanes:

Western blot - Anti-p38 delta/MAPK13 + p38 alpha/MAPK14 antibody [M138] (ab31828)

false

Western blot - Anti-p38 delta/MAPK13 + p38 alpha/MAPK14 antibody [M138] (AB31828)
  • WB

Lab

Western blot - Anti-p38 delta/MAPK13 + p38 alpha/MAPK14 antibody [M138] (AB31828)

Lane 1 : Wild-type HAP1 cell lysate (20 μg)
Lane 2 : p38 knockout HAP1 cell lysate (20 μg)
Lane 3 : HeLa cell lysate (20 μg)
Lane 4 : Jurkat cell lysate (20 μg)
Lanes 1 - 4 : Merged signal (red and green). Green - ab31828 observed at 40 kDa. Red - loading control, ab181602, observed at 37 kDa.

ab31828 was shown to specifically react with p38 when p38 knockout samples were used. Wild-type and p38 knockout samples were subjected to SDS-PAGE. ab31828 and ab181602 (loading control to GAPDH) were diluted 1/1000 and 1/2000 respectively and incubated overnight at 4°C. Blots were developed with Goat anti-Mouse IgG H&L (IRDye® 800CW) preadsorbed (ab216772) and Goat Anti-Rabbit IgG H&L (IRDye® 680RD) preadsorbed (ab216777) secondary antibodies at 1/10,000 dilution for 1 h at room temperature before imaging.

All lanes:

Western blot - Anti-p38 delta/MAPK13 + p38 alpha/MAPK14 antibody [M138] (ab31828)

false

Western blot - Anti-p38 delta/MAPK13 + p38 alpha/MAPK14 antibody [M138] (AB31828)
  • WB

Unknown

Western blot - Anti-p38 delta/MAPK13 + p38 alpha/MAPK14 antibody [M138] (AB31828)

Western blot analysis of A431 cells serum starved overnight (lanes 1 & 3) or treated with pervanadate (1 mM) for 30 minutes (lanes 2 & 4). The blot was probed with anti-p38alpha (lanes 1 & 2) or anti-p38 (T180/Y182) (lanes 3-4). Lanes 5-7 shows a blot of A431 cells treated with pervanadate and probed with anti-p38 (T180/Y182) in the presence of no peptide (lane 5), phospho-ERK1 (T202/Y204) peptide (lane 6) or phoshpo-p38 (T180/Y182) peptide (lane 7).

All lanes:

Western blot - Anti-p38 delta/MAPK13 + p38 alpha/MAPK14 antibody [M138] (ab31828)

false

Western blot - Anti-p38 delta/MAPK13 + p38 alpha/MAPK14 antibody [M138] (AB31828)
  • WB

Unknown

Western blot - Anti-p38 delta/MAPK13 + p38 alpha/MAPK14 antibody [M138] (AB31828)

All lanes:

Western blot - Anti-p38 delta/MAPK13 + p38 alpha/MAPK14 antibody [M138] (ab31828) at 1/1000 dilution

Lane 1:

Western blot - Recombinant Human p38 beta/MAPK11 protein (His tag N-Terminus) (<a href='/en-us/products/proteins-peptides/recombinant-human-p38-beta-mapk11-protein-ab117219'>ab117219</a>)

Lane 2:

Western blot - Recombinant Human p38 gamma/MAPK12 protein (His tag N-Terminus) (<a href='/en-us/products/proteins-peptides/recombinant-human-p38-gamma-mapk12-protein-ab117221'>ab117221</a>)

Lane 3:

Western blot - Recombinant Human p38 delta/MAPK13 protein (His tag N-Terminus) (<a href='/en-us/products/proteins-peptides/recombinant-human-p38-delta-mapk13-protein-ab113869'>ab113869</a>)

Lane 4:

Western blot - Recombinant Human p38 alpha/MAPK14 protein (<a href='/en-us/products/proteins-peptides/recombinant-human-p38-alpha-mapk14-protein-ab82188'>ab82188</a>)

false

Western blot - Anti-p38 delta/MAPK13 + p38 alpha/MAPK14 antibody [M138] (AB31828)
  • WB

Lab

Western blot - Anti-p38 delta/MAPK13 + p38 alpha/MAPK14 antibody [M138] (AB31828)

Lanes 1 - 4 : Green - ab31828 observed at 43 kDa.

ab31828 was shown to react with Anti-p38 antibody [M138] in Western blot. Membranes were blocked in 100% Licor before incubation with ab31828 and overnight at 4 °C at a 1 in 1000 dilution. Blots were incubated with Goat anti-Mouse IgG H&L (IRDye® 800CW) preabsorbed (ab216772) secondary antibody at 1 in 20000 dilution for 1 h at room temperature before imaging.

All lanes:

Western blot - Anti-p38 delta/MAPK13 + p38 alpha/MAPK14 antibody [M138] (ab31828) at 1/1000 dilution

Lane 1:

MAPK11 recombinant (<a href='/en-us/products/proteins-peptides/recombinant-human-p38-beta-mapk11-protein-ab117219'>ab117219</a>) at 0.5 µg

Lane 2:

MAPK12 recombinant(ab 117221) at 0.5 µg

Lane 3:

MAPK13 recombinant (<a href='/en-us/products/proteins-peptides/recombinant-human-p38-delta-mapk13-protein-ab113869'>ab113869</a>) at 0.5 µg

Lane 4:

MAPK14 (p38) recombinant (<a href='/en-us/products/proteins-peptides/recombinant-human-p38-alpha-mapk14-protein-ab82188'>ab82188</a>) at 0.5 µg

Observed band size: 43 kDa

false

Key facts

Host species

Mouse

Clonality

Monoclonal

Clone number

M138

Isotype

IgG1

Carrier free

No

Reacts with

Mouse, Human, Cow, Rat, Dog, Syrian hamster, African green monkey

Applications

WB, Flow Cyt (Intra), IHC-P, ICC/IF, ELISA

applications

Immunogen

Recombinant Fragment Protein within Rat Mapk14. The exact immunogen used to generate this antibody is proprietary information.

P70618

Epitope

ab31828 recognises an epitope located in the C terminal region of p38.

Reactivity data

{ "title": "Reactivity Data", "filters": { "stats": ["", "Species", "Dilution Info", "Notes"], "tabs": { "all-applications": {"fullname" : "All Applications", "shortname": "All Applications"}, "WB" : {"fullname" : "Western blot", "shortname":"WB"}, "ICCIF" : {"fullname" : "Immunocytochemistry/ Immunofluorescence", "shortname":"ICC/IF"}, "ELISA" : {"fullname" : "ELISA", "shortname":"ELISA"}, "IHCP" : {"fullname" : "Immunohistochemistry (Formalin/PFA-fixed paraffin-embedded sections)", "shortname":"IHC-P"}, "FlowCytIntra" : {"fullname" : "Flow Cytometry (Intracellular)", "shortname":"Flow Cyt (Intra)"} }, "product-promise": { "all": "all", "testedAndGuaranteed": "tested", "guaranteed": "expected", "predicted": "predicted", "notRecommended": "not-recommended" } }, "values": { "Human": { "WB-species-checked": "testedAndGuaranteed", "WB-species-dilution-info": "1/1000", "WB-species-notes": "<p></p>", "ICCIF-species-checked": "guaranteed", "ICCIF-species-dilution-info": "1/200", "ICCIF-species-notes": "<p></p>", "ELISA-species-checked": "predicted", "ELISA-species-dilution-info": "", "ELISA-species-notes": "", "IHCP-species-checked": "testedAndGuaranteed", "IHCP-species-dilution-info": "1/20 - 1/200", "IHCP-species-notes": "<p></p> Perform heat-mediated antigen retrieval with citrate buffer pH 6 before commencing with IHC staining protocol.", "FlowCytIntra-species-checked": "testedAndGuaranteed", "FlowCytIntra-species-dilution-info": "1/1000", "FlowCytIntra-species-notes": "<p><a href='/en-us/products/primary-antibodies/mouse-igg1-kappa-monoclonal-15-6e10a7-isotype-control-ab170190'>ab170190</a> - Mouse monoclonal IgG1, is suitable for use as an isotype control with this antibody.</p>" }, "Mouse": { "WB-species-checked": "guaranteed", "WB-species-dilution-info": "1/1000", "WB-species-notes": "<p></p>", "ICCIF-species-checked": "testedAndGuaranteed", "ICCIF-species-dilution-info": "1/200", "ICCIF-species-notes": "<p></p>", "ELISA-species-checked": "predicted", "ELISA-species-dilution-info": "", "ELISA-species-notes": "", "IHCP-species-checked": "guaranteed", "IHCP-species-dilution-info": "1/20 - 1/200", "IHCP-species-notes": "<p></p> Perform heat-mediated antigen retrieval with citrate buffer pH 6 before commencing with IHC staining protocol.", "FlowCytIntra-species-checked": "guaranteed", "FlowCytIntra-species-dilution-info": "1/1000", "FlowCytIntra-species-notes": "<p><a href='/en-us/products/primary-antibodies/mouse-igg1-kappa-monoclonal-15-6e10a7-isotype-control-ab170190'>ab170190</a> - Mouse monoclonal IgG1, is suitable for use as an isotype control with this antibody.</p>" }, "Rat": { "WB-species-checked": "guaranteed", "WB-species-dilution-info": "1/1000", "WB-species-notes": "<p></p>", "ICCIF-species-checked": "guaranteed", "ICCIF-species-dilution-info": "1/200", "ICCIF-species-notes": "<p></p>", "ELISA-species-checked": "predicted", "ELISA-species-dilution-info": "", "ELISA-species-notes": "", "IHCP-species-checked": "guaranteed", "IHCP-species-dilution-info": "1/20 - 1/200", "IHCP-species-notes": "<p></p> Perform heat-mediated antigen retrieval with citrate buffer pH 6 before commencing with IHC staining protocol.", "FlowCytIntra-species-checked": "guaranteed", "FlowCytIntra-species-dilution-info": "1/1000", "FlowCytIntra-species-notes": "<p><a href='/en-us/products/primary-antibodies/mouse-igg1-kappa-monoclonal-15-6e10a7-isotype-control-ab170190'>ab170190</a> - Mouse monoclonal IgG1, is suitable for use as an isotype control with this antibody.</p>" }, "African green monkey": { "WB-species-checked": "predicted", "WB-species-dilution-info": "", "WB-species-notes": "", "ICCIF-species-checked": "guaranteed", "ICCIF-species-dilution-info": "1/200", "ICCIF-species-notes": "<p></p>", "ELISA-species-checked": "predicted", "ELISA-species-dilution-info": "", "ELISA-species-notes": "", "IHCP-species-checked": "predicted", "IHCP-species-dilution-info": "", "IHCP-species-notes": "", "FlowCytIntra-species-checked": "predicted", "FlowCytIntra-species-dilution-info": "", "FlowCytIntra-species-notes": "" }, "Cow": { "WB-species-checked": "guaranteed", "WB-species-dilution-info": "1/1000", "WB-species-notes": "<p></p>", "ICCIF-species-checked": "guaranteed", "ICCIF-species-dilution-info": "1/200", "ICCIF-species-notes": "<p></p>", "ELISA-species-checked": "predicted", "ELISA-species-dilution-info": "", "ELISA-species-notes": "", "IHCP-species-checked": "guaranteed", "IHCP-species-dilution-info": "1/20 - 1/200", "IHCP-species-notes": "<p></p> Perform heat-mediated antigen retrieval with citrate buffer pH 6 before commencing with IHC staining protocol.", "FlowCytIntra-species-checked": "guaranteed", "FlowCytIntra-species-dilution-info": "1/1000", "FlowCytIntra-species-notes": "<p><a href='/en-us/products/primary-antibodies/mouse-igg1-kappa-monoclonal-15-6e10a7-isotype-control-ab170190'>ab170190</a> - Mouse monoclonal IgG1, is suitable for use as an isotype control with this antibody.</p>" }, "Dog": { "WB-species-checked": "guaranteed", "WB-species-dilution-info": "1/1000", "WB-species-notes": "<p></p>", "ICCIF-species-checked": "guaranteed", "ICCIF-species-dilution-info": "1/200", "ICCIF-species-notes": "<p></p>", "ELISA-species-checked": "predicted", "ELISA-species-dilution-info": "", "ELISA-species-notes": "", "IHCP-species-checked": "guaranteed", "IHCP-species-dilution-info": "1/20 - 1/200", "IHCP-species-notes": "<p></p> Perform heat-mediated antigen retrieval with citrate buffer pH 6 before commencing with IHC staining protocol.", "FlowCytIntra-species-checked": "guaranteed", "FlowCytIntra-species-dilution-info": "1/1000", "FlowCytIntra-species-notes": "<p><a href='/en-us/products/primary-antibodies/mouse-igg1-kappa-monoclonal-15-6e10a7-isotype-control-ab170190'>ab170190</a> - Mouse monoclonal IgG1, is suitable for use as an isotype control with this antibody.</p>" }, "Recombinant full length protein - Human": { "WB-species-checked": "testedAndGuaranteed", "WB-species-dilution-info": "1/1000", "WB-species-notes": "<p></p>", "ICCIF-species-checked": "notRecommended", "ICCIF-species-dilution-info": "", "ICCIF-species-notes": "", "ELISA-species-checked": "notRecommended", "ELISA-species-dilution-info": "", "ELISA-species-notes": "", "IHCP-species-checked": "notRecommended", "IHCP-species-dilution-info": "", "IHCP-species-notes": "", "FlowCytIntra-species-checked": "notRecommended", "FlowCytIntra-species-dilution-info": "", "FlowCytIntra-species-notes": "" }, "Synthetic peptide": { "WB-species-checked": "notRecommended", "WB-species-dilution-info": "", "WB-species-notes": "", "ICCIF-species-checked": "notRecommended", "ICCIF-species-dilution-info": "", "ICCIF-species-notes": "", "ELISA-species-checked": "guaranteed", "ELISA-species-dilution-info": "", "ELISA-species-notes": "<p>Peptide ELISA only.</p>", "IHCP-species-checked": "notRecommended", "IHCP-species-dilution-info": "", "IHCP-species-notes": "", "FlowCytIntra-species-checked": "notRecommended", "FlowCytIntra-species-dilution-info": "", "FlowCytIntra-species-notes": "" }, "Syrian hamster": { "WB-species-checked": "guaranteed", "WB-species-dilution-info": "1/1000", "WB-species-notes": "<p></p>", "ICCIF-species-checked": "guaranteed", "ICCIF-species-dilution-info": "1/200", "ICCIF-species-notes": "<p></p>", "ELISA-species-checked": "predicted", "ELISA-species-dilution-info": "", "ELISA-species-notes": "", "IHCP-species-checked": "guaranteed", "IHCP-species-dilution-info": "1/20 - 1/200", "IHCP-species-notes": "<p></p> Perform heat-mediated antigen retrieval with citrate buffer pH 6 before commencing with IHC staining protocol.", "FlowCytIntra-species-checked": "guaranteed", "FlowCytIntra-species-dilution-info": "1/1000", "FlowCytIntra-species-notes": "<p><a href='/en-us/products/primary-antibodies/mouse-igg1-kappa-monoclonal-15-6e10a7-isotype-control-ab170190'>ab170190</a> - Mouse monoclonal IgG1, is suitable for use as an isotype control with this antibody.</p>" }, "Vervet monkey": { "WB-species-checked": "guaranteed", "WB-species-dilution-info": "1/1000", "WB-species-notes": "<p></p>", "ICCIF-species-checked": "notRecommended", "ICCIF-species-dilution-info": "", "ICCIF-species-notes": "", "ELISA-species-checked": "notRecommended", "ELISA-species-dilution-info": "", "ELISA-species-notes": "", "IHCP-species-checked": "guaranteed", "IHCP-species-dilution-info": "1/20 - 1/200", "IHCP-species-notes": "<p></p> Perform heat-mediated antigen retrieval with citrate buffer pH 6 before commencing with IHC staining protocol.", "FlowCytIntra-species-checked": "guaranteed", "FlowCytIntra-species-dilution-info": "1/1000", "FlowCytIntra-species-notes": "<p><a href='/en-us/products/primary-antibodies/mouse-igg1-kappa-monoclonal-15-6e10a7-isotype-control-ab170190'>ab170190</a> - Mouse monoclonal IgG1, is suitable for use as an isotype control with this antibody.</p>" } } }

Properties and storage information

Form
Liquid
Purification technique
Affinity purification Protein A
Purification notes
Purified with protein A affinity chromatography.
Storage buffer
Preservative: 0.05% Sodium azide Constituents: PBS, 50% Glycerol (glycerin, glycerine), 0.1% BSA
Shipped at conditions
Blue Ice
Appropriate short-term storage duration
1-2 weeks
Appropriate short-term storage conditions
+4°C
Appropriate long-term storage conditions
-20°C
Aliquoting information
Upon delivery aliquot
Storage information
Avoid freeze / thaw cycle

Supplementary information

This supplementary information is collated from multiple sources and compiled automatically.

P38 delta (MAPK13) and p38 alpha (MAPK14) are important members of the mitogen-activated protein kinase (MAPK) family. These proteins act as serine/threonine kinases and mediate signal transduction for various cellular processes including stress response cell differentiation and apoptosis. p38 delta typically weighs about 43 kDa. Both kinases are widely expressed in different tissues—such as the heart liver and immune cells—indicating their broad role in normal cellular functions and responses to external stimuli.
Biological function summary

These kinases participate in the cellular stress response and inflammation. They do not form part of a stable protein complex but instead interact dynamically with other proteins including upstream MAPK kinases. Both p38 delta and p38 alpha get activated by environmental stressors like UV radiation and pro-inflammatory cytokines leading to the phosphorylation of target substrates like transcription factors. Through this interaction they regulate gene expression critical for survival and adaptation to stress.

Pathways

P38 delta and alpha integrate into MAPK signaling pathways. Within these pathways they modulate responses to stress and growth signals. Specifically they relate to the JNK and ERK signaling routes albeit having distinct yet overlapping functions. Both kinases coexist relationally with other proteins; for instance they share upstream activators like MKK3 and MKK6 which further connects them to signal amplification and target divergence in cellular responses.

P38 delta and alpha have roles in inflammatory diseases and cancer. For instance overactivity of these kinases contributes to chronic inflammatory conditions like rheumatoid arthritis and is implicated in tumorigenesis affecting cellular proliferation and survival mechanisms. Through these conditions p38 delta and alpha connect with pro-inflammatory cytokines and oncogenes respectively magnifying their pathological footprint in disturbed cellular environments.

Product protocols

For this product, it's our understanding that no specific protocols are required. You can visit:

Target data

Serine/threonine kinase which acts as an essential component of the MAP kinase signal transduction pathway. MAPK14 is one of the four p38 MAPKs which play an important role in the cascades of cellular responses evoked by extracellular stimuli such as pro-inflammatory cytokines or physical stress leading to direct activation of transcription factors. Accordingly, p38 MAPKs phosphorylate a broad range of proteins and it has been estimated that they may have approximately 200 to 300 substrates each. Some of the targets are downstream kinases which are activated through phosphorylation and further phosphorylate additional targets. RPS6KA5/MSK1 and RPS6KA4/MSK2 can directly phosphorylate and activate transcription factors such as CREB1, ATF1, the NF-kappa-B isoform RELA/NFKB3, STAT1 and STAT3, but can also phosphorylate histone H3 and the nucleosomal protein HMGN1 (PubMed : 9687510, PubMed : 9792677). RPS6KA5/MSK1 and RPS6KA4/MSK2 play important roles in the rapid induction of immediate-early genes in response to stress or mitogenic stimuli, either by inducing chromatin remodeling or by recruiting the transcription machinery (PubMed : 9687510, PubMed : 9792677). On the other hand, two other kinase targets, MAPKAPK2/MK2 and MAPKAPK3/MK3, participate in the control of gene expression mostly at the post-transcriptional level, by phosphorylating ZFP36 (tristetraprolin) and ELAVL1, and by regulating EEF2K, which is important for the elongation of mRNA during translation. MKNK1/MNK1 and MKNK2/MNK2, two other kinases activated by p38 MAPKs, regulate protein synthesis by phosphorylating the initiation factor EIF4E2 (PubMed : 11154262). MAPK14 interacts also with casein kinase II, leading to its activation through autophosphorylation and further phosphorylation of TP53/p53 (PubMed : 10747897). In the cytoplasm, the p38 MAPK pathway is an important regulator of protein turnover. For example, CFLAR is an inhibitor of TNF-induced apoptosis whose proteasome-mediated degradation is regulated by p38 MAPK phosphorylation. In a similar way, MAPK14 phosphorylates the ubiquitin ligase SIAH2, regulating its activity towards EGLN3 (PubMed : 17003045). MAPK14 may also inhibit the lysosomal degradation pathway of autophagy by interfering with the intracellular trafficking of the transmembrane protein ATG9 (PubMed : 19893488). Another function of MAPK14 is to regulate the endocytosis of membrane receptors by different mechanisms that impinge on the small GTPase RAB5A. In addition, clathrin-mediated EGFR internalization induced by inflammatory cytokines and UV irradiation depends on MAPK14-mediated phosphorylation of EGFR itself as well as of RAB5A effectors (PubMed : 16932740). Ectodomain shedding of transmembrane proteins is regulated by p38 MAPKs as well. In response to inflammatory stimuli, p38 MAPKs phosphorylate the membrane-associated metalloprotease ADAM17 (PubMed : 20188673). Such phosphorylation is required for ADAM17-mediated ectodomain shedding of TGF-alpha family ligands, which results in the activation of EGFR signaling and cell proliferation. Another p38 MAPK substrate is FGFR1. FGFR1 can be translocated from the extracellular space into the cytosol and nucleus of target cells, and regulates processes such as rRNA synthesis and cell growth. FGFR1 translocation requires p38 MAPK activation. In the nucleus, many transcription factors are phosphorylated and activated by p38 MAPKs in response to different stimuli. Classical examples include ATF1, ATF2, ATF6, ELK1, PTPRH, DDIT3, TP53/p53 and MEF2C and MEF2A (PubMed : 10330143, PubMed : 9430721, PubMed : 9858528). The p38 MAPKs are emerging as important modulators of gene expression by regulating chromatin modifiers and remodelers. The promoters of several genes involved in the inflammatory response, such as IL6, IL8 and IL12B, display a p38 MAPK-dependent enrichment of histone H3 phosphorylation on 'Ser-10' (H3S10ph) in LPS-stimulated myeloid cells. This phosphorylation enhances the accessibility of the cryptic NF-kappa-B-binding sites marking promoters for increased NF-kappa-B recruitment. Phosphorylates CDC25B and CDC25C which is required for binding to 14-3-3 proteins and leads to initiation of a G2 delay after ultraviolet radiation (PubMed : 11333986). Phosphorylates TIAR following DNA damage, releasing TIAR from GADD45A mRNA and preventing mRNA degradation (PubMed : 20932473). The p38 MAPKs may also have kinase-independent roles, which are thought to be due to the binding to targets in the absence of phosphorylation. Protein O-Glc-N-acylation catalyzed by the OGT is regulated by MAPK14, and, although OGT does not seem to be phosphorylated by MAPK14, their interaction increases upon MAPK14 activation induced by glucose deprivation. This interaction may regulate OGT activity by recruiting it to specific targets such as neurofilament H, stimulating its O-Glc-N-acylation. Required in mid-fetal development for the growth of embryo-derived blood vessels in the labyrinth layer of the placenta. Also plays an essential role in developmental and stress-induced erythropoiesis, through regulation of EPO gene expression (PubMed : 10943842). Isoform MXI2 activation is stimulated by mitogens and oxidative stress and only poorly phosphorylates ELK1 and ATF2. Isoform EXIP may play a role in the early onset of apoptosis. Phosphorylates S100A9 at 'Thr-113' (PubMed : 15905572). Phosphorylates NLRP1 downstream of MAP3K20/ZAK in response to UV-B irradiation and ribosome collisions, promoting activation of the NLRP1 inflammasome and pyroptosis (PubMed : 35857590).. (Microbial infection) Activated by phosphorylation by M.tuberculosis EsxA in T-cells leading to inhibition of IFN-gamma production; phosphorylation is apparent within 15 minutes and is inhibited by kinase-specific inhibitors SB203580 and siRNA (PubMed : 21586573).
See full target information MAPK14

Additional targets

MAPK13

Publications (224)

Recent publications for all applications. Explore the full list and refine your search

BMC cardiovascular disorders 25:492 PubMed40618025

2025

Klotho modulation by tempol: a potential therapeutic axis in sepsis.

Applications

Unspecified application

Species

Unspecified reactive species

Alaa Al-Kadi,Aliaa F Anter,Remon Roshdy Rofaeil,Mohamed M Sayed-Ahmed,Sara Mohamed Naguib Abdel Hafez,Al-Shaimaa F Ahmed

Journal of biomedical research :1-14 PubMed40441854

2025

Remote neuromuscular electrical stimulation upregulates MDK to enhance macrophage efferocytosis LRP1 in wound healing.

Applications

Unspecified application

Species

Unspecified reactive species

Lijuan Zong,Chong Liu,Li Zhang,Xueyou Tao,Qingyan Tian,Xiaokai Zhou,Yu Wang,Na Shen,Jiaming Gong,Qingyuan Zhuang,Tong Wang,Wentao Liu,Ying Shen,Liang Hu

Metabolites 15: PubMed40422873

2025

Compound 3d Attenuates Metabolic Dysfunction-Associated Steatohepatitis via Peroxisome Proliferator-Activated Receptor Pathway Activation and Inhibition of Inflammatory and Apoptotic Signaling.

Applications

Unspecified application

Species

Unspecified reactive species

Shouqing Zhang,Jiajia Yu,Sule Bai,Shuhan Li,Quanyuan Qiu,Xiangshun Kong,Cen Xiang,Zhen Liu,Peng Yu,Yuou Teng

American journal of reproductive immunology (New York, N.Y. : 1989) 92:e70017 PubMed39575501

2024

Circ-ADAM9 Knockdown Reduces Insulin Resistance and Placental Injury in Diabetic Mice via MAPK Pathway Inactivation.

Applications

Unspecified application

Species

Unspecified reactive species

Ai Zhao,Yawen Yang,Yijun Yang,Zhenjing Chi,Yanlan Sun

Veterinary research 55:93 PubMed39075605

2024

HbpA from Glaesserella parasuis induces an inflammatory response in 3D4/21 cells by activating the MAPK and NF-κB signalling pathways and protects mice against G. parasuis when used as an immunogen.

Applications

Unspecified application

Species

Unspecified reactive species

Zhen Yang,Yiwen Zhang,Qin Zhao,Senyan Du,Xiaobo Huang,Rui Wu,Qigui Yan,Xinfeng Han,Yiping Wen,San-Jie Cao

Cellular and molecular biology (Noisy-le-Grand, France) 70:85-91 PubMed38836676

2024

The combination of tetramethylpyrazine and vitamin A acid in the treatment of skin photoaging by activating the HIF-1α pathway.

Applications

Unspecified application

Species

Unspecified reactive species

Weijun Chen,Jianyong Fan,Xuelian Zou,Yuansheng Wu

Cell death & disease 15:366 PubMed38806469

2024

Targeting ARNT attenuates chemoresistance through destabilizing p38α-MAPK signaling in glioblastoma.

Applications

Unspecified application

Species

Unspecified reactive species

Wahafu Alafate,Gen Lv,Jiantao Zheng,Haiping Cai,Wei Wu,Yong Yang,Shichao Du,Dong Zhou,Peng Wang

Cell death & disease 15:365 PubMed38806451

2024

Autophagy caused by oxidative stress promotes TGF-β1-induced epithelial-to-mesenchymal transition in human peritoneal mesothelial cells.

Applications

Unspecified application

Species

Unspecified reactive species

Se-Hyun Oh,Ju-Min Yook,Hee-Yeon Jung,Ji-Young Choi,Jang-Hee Cho,Sun-Hee Park,Chan-Duck Kim,Yong-Lim Kim,Jeong-Hoon Lim

Immunity, inflammation and disease 12:e1077 PubMed38722267

2024

Tectorigenin inhibits inflammatory responses in murine inflammatory bowel disease and LPS-stimulated macrophages via inactivating MAPK signaling pathway.

Applications

Unspecified application

Species

Unspecified reactive species

Hong Huang,Sanhui Tang,Yanghong Zhou,Yi Cai

The Journal of experimental medicine 221: PubMed38630025

2024

Dominant negative OTULIN-related autoinflammatory syndrome.

Applications

Unspecified application

Species

Unspecified reactive species

Sophia Davidson,Yuri Shibata,Sophie Collard,Hongyu Zheng,Klara Kong,June M Sun,Pawat Laohamonthonkul,Anthony Cerra,Tobias Kratina,Margaret W Y Li,Carolyn Russell,Anna van Beek,Edwin P Kirk,Rebecca Walsh,Jubran Alqanatish,Abdullah Almojali,Wafaa Alsuwairi,Abdulrahman Alrasheed,Najoua Lalaoui,Paul E Gray,David Komander,Seth L Masters
View all publications

Product promise

We are committed to supporting your work with high-quality reagents, and we're here for you every step of the way. In the unlikely event that one of our products does not perform as expected, you're protected by our Product Promise.
For full details, please see our Terms & Conditions

Please note: All products are 'FOR RESEARCH USE ONLY. NOT FOR USE IN DIAGNOSTIC OR THERAPEUTIC PROCEDURES'.

For licensing inquiries, please contact partnerships@abcam.com