JavaScript is disabled in your browser. Please enable JavaScript to view this website.
AB178867

Anti-p38 (phospho T180) antibody [EPR16587]

5

(2 Reviews)

|

(123 Publications)

Rabbit Recombinant Monoclonal MK14 phospho T180 antibody. Suitable for I-ELISA, Dot, WB, Flow Cyt (Intra), IHC-P and reacts with Synthetic peptide - Human, Human samples. Cited in 123 publications.

View Alternative Names

CSBP, CSBP1, CSBP2, CSPB1, MXI2, SAPK2A, MAPK14, Mitogen-activated protein kinase 14, MAP kinase 14, MAPK 14, Cytokine suppressive anti-inflammatory drug-binding protein, MAP kinase MXI2, MAX-interacting protein 2, Mitogen-activated protein kinase p38 alpha, Stress-activated protein kinase 2a, CSAID-binding protein, MAP kinase p38 alpha, SAPK2a

7 Images
Flow Cytometry (Intracellular) - Anti-p38 (phospho T180) antibody [EPR16587] (AB178867)
  • Flow Cyt (Intra)

Supplier Data

Flow Cytometry (Intracellular) - Anti-p38 (phospho T180) antibody [EPR16587] (AB178867)

Intracellular flow cytometric analysis of 2% paraformaldehyde-fixed Jurkat (Human T cell leukemia cells from peripheral blood) cells treated with Anisomycin (250ng/ml for 30min)labeling p38 (phospho T180) with ab178867 at 1/340 dilution followed byGoat anti rabbit IgG (FITC) at 1/150 (red).

Controls : -

Blue - Unlabelled (Cells without incubation with primary antibody and secondary antibody)

Black - Rabbit monoclonal IgG Isotype control

Orange - Jurkat cells treated with Anisomycin (250ng/ml for 30min) labeling p38 (phospho T180) with ab178867 at 1/340preincubated with 1mg/ml p38 (phospho T180) peptide

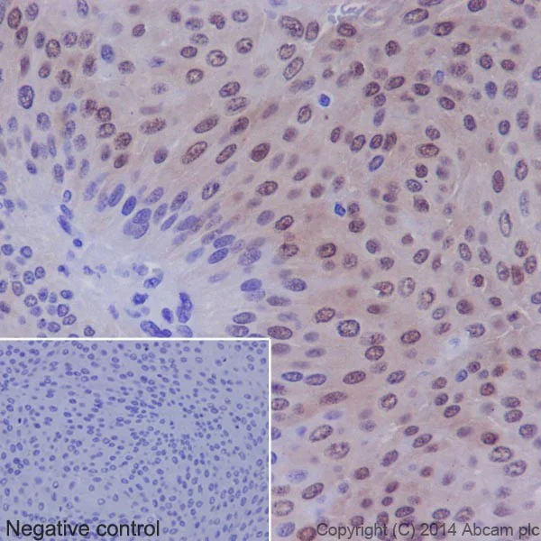
Immunohistochemistry (Formalin/PFA-fixed paraffin-embedded sections) - Anti-p38 (phospho T180) antibody [EPR16587] (AB178867)
  • IHC-P

Supplier Data

Immunohistochemistry (Formalin/PFA-fixed paraffin-embedded sections) - Anti-p38 (phospho T180) antibody [EPR16587] (AB178867)

Immunohistochemical analysis of paraffin-embedded Human squamous cell cervical carcinoma tissue labeling p38 (phospho T180) with ab178867 at 1/500 dilution followed by Goat Anti-Rabbit IgG H&L (HRP) (ab97051) at 1/500 dilution. Nuclear and cytoplasmic staining on cancer cells of cervix is observed. Counter stained with Hematoxylin.

Negative control : Used PBS instead of primary antibody followed by Goat Anti-Rabbit IgG H&L (HRP) (ab97051) at 1/500 dilution.

Perform heat mediated antigen retrieval with Tris/EDTA buffer pH 9.0 before commencing with IHC staining protocol.

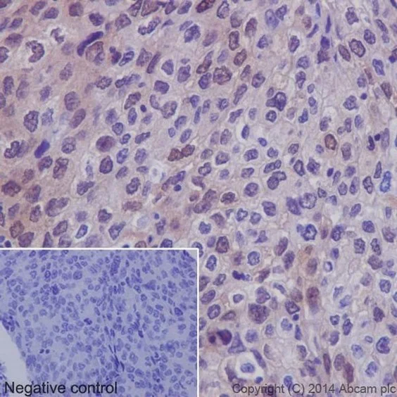
Immunohistochemistry (Formalin/PFA-fixed paraffin-embedded sections) - Anti-p38 (phospho T180) antibody [EPR16587] (AB178867)
  • IHC-P

Supplier Data

Immunohistochemistry (Formalin/PFA-fixed paraffin-embedded sections) - Anti-p38 (phospho T180) antibody [EPR16587] (AB178867)

Immunohistochemical analysis of paraffin-embedded Human transitional cell carcinoma of bladder tissue labeling p38 (phospho T180) with ab178867 at 1/500 dilution followed by Goat Anti-Rabbit IgG H&L (HRP) (ab97051) at 1/500 dilution. Nuclear with additional cytoplasmic staining on cancer cells of bladder is observed. Counter stained with Hematoxylin.

Negative control : Used PBS instead of primary antibody followed by Goat Anti-Rabbit IgG H&L (HRP) (ab97051) at 1/500 dilution.

Perform heat mediated antigen retrieval with Tris/EDTA buffer pH 9.0 before commencing with IHC staining protocol.

Indirect ELISA - Anti-p38 (phospho T180) antibody [EPR16587] (AB178867)
  • I-ELISA

Supplier Data

Indirect ELISA - Anti-p38 (phospho T180) antibody [EPR16587] (AB178867)

Indirect ELISA showing primary antibody ab178867 binding to Human MPK11, MPK12, MPK13, and MPK14 phosphorylated and non-phosphorylated peptides. Antigen concentration is 100 ng/ml.

Binding of ab178867 was assessed in a serial dilution range 1000-0 ng/ml.

Binding was detected using the secondary antibody, Alkaline Phosphatase-conjugated AffiniPure Goat Anti-Rabbit IgG (H+L) at 1/2500 dilution.

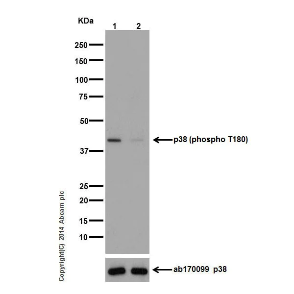
Western blot - Anti-p38 (phospho T180) antibody [EPR16587] (AB178867)
  • WB

Supplier Data

Western blot - Anti-p38 (phospho T180) antibody [EPR16587] (AB178867)

Blocking/Dilution buffer : 5% NFDM/TBST.

Lane 1:

Western blot - Anti-p38 (phospho T180) antibody [EPR16587] (ab178867) at 1/1000 dilution

Lane 2:

Western blot - Anti-p38 (phospho T180) antibody [EPR16587] (ab178867) at 1/10000 dilution

Lane 1:

HeLa (Human epithelial cells from cervix adenocarcinoma) whole cell lysates treated with 250ng/ml anisomycin for 30 minutes at 10 µg

Lane 2:

Untreated Hela whole cell lysates at 10 µg

Secondary

All lanes:

Goat Anti-Rabbit IgG, (H+L),Peroxidase conjugated at 1/1000 dilution

Predicted band size: 41 kDa

Observed band size: 41 kDa

false

Dot Blot - Anti-p38 (phospho T180) antibody [EPR16587] (AB178867)
  • Dot

Supplier Data

Dot Blot - Anti-p38 (phospho T180) antibody [EPR16587] (AB178867)

Dot blot analysis of p38 peptides using ab178867 at 1/1000 dilution followed by Goat Anti-Rabbit IgG, (H+L),Peroxidase conjugated secondary antibody at 1/1000 dilution. Blocking and diluting buffer was 5% NFDM/TBST.

Lane 1 : Single phospho peptide pT180
Lane 2 : Single phospho peptide pY182
Lane 3 : Double phospho peptide pT180/pY182
Lane 4 : Non-phospho peptide

Dot Blot - Anti-p38 (phospho T180) antibody [EPR16587] (AB178867)
  • Dot

Supplier Data

Dot Blot - Anti-p38 (phospho T180) antibody [EPR16587] (AB178867)

Dot blot analysis of p38 (phospho T180) using ab178867 at 1 : 2000 (1 μg/ml) followed by a Goat Anti-Rabbit IgG, (H+L), Peroxidase conjugated (ab97051) at 1 : 100,000 dilution. Exposure time : 3 minutes. Blocking and diluting buffer and concentration : 5% NFDM/TBST.

Lane 1 : MPK11/beta (T180) phospho peptide
Lane 2 : MPK11/beta non-phospho peptide
Lane 3 : MPK12/gamma (T183) phospho peptide
Lane 4 : MPK12/gamma non-phospho peptide
Lane 5 : MPK13/delta (T180) phospho peptide
Lane 6 : MPK13/delta non-phospho peptide
Lane 7 : MPK14/alpha (T180) phospho peptide
Lane 8 : MPK14/alpha non-phospho peptide

  • Carrier free

    Anti-p38 (phospho T180) antibody [EPR16587] - BSA and Azide free

Key facts

Host species

Rabbit

Clonality

Monoclonal

Clone number

EPR16587

Isotype

IgG

Carrier free

No

Reacts with

Human

Applications

I-ELISA, Dot, Flow Cyt (Intra), WB, IHC-P

applications

Immunogen

The exact immunogen used to generate this antibody is proprietary information.

Specificity

ab178867 recognizes alpha, beta, gamma and delta isoforms of (T180) phospho p38. ab178867 weakly cross-reacts with phosphorylated Y182.

Reactivity data

{ "title": "Reactivity Data", "filters": { "stats": ["", "Species", "Dilution Info", "Notes"], "tabs": { "all-applications": {"fullname" : "All Applications", "shortname": "All Applications"}, "IELISA" : {"fullname" : "Indirect ELISA", "shortname":"I-ELISA"}, "Dot" : {"fullname" : "Dot Blot", "shortname":"Dot"}, "WB" : {"fullname" : "Western blot", "shortname":"WB"}, "FlowCytIntra" : {"fullname" : "Flow Cytometry (Intracellular)", "shortname":"Flow Cyt (Intra)"}, "IHCP" : {"fullname" : "Immunohistochemistry (Formalin/PFA-fixed paraffin-embedded sections)", "shortname":"IHC-P"} }, "product-promise": { "all": "all", "testedAndGuaranteed": "tested", "guaranteed": "expected", "predicted": "predicted", "notRecommended": "not-recommended" } }, "values": { "Human": { "IELISA-species-checked": "guaranteed", "IELISA-species-dilution-info": "", "IELISA-species-notes": "", "Dot-species-checked": "testedAndGuaranteed", "Dot-species-dilution-info": "1/1000", "Dot-species-notes": "<p></p>", "WB-species-checked": "testedAndGuaranteed", "WB-species-dilution-info": "1/1000", "WB-species-notes": "<p></p>", "FlowCytIntra-species-checked": "testedAndGuaranteed", "FlowCytIntra-species-dilution-info": "1/340", "FlowCytIntra-species-notes": "<p><a href='/en-us/products/primary-antibodies/rabbit-igg-monoclonal-epr25a-isotype-control-ab172730'>ab172730</a> - Rabbit monoclonal IgG, is suitable for use as an isotype control with this antibody.</p>", "IHCP-species-checked": "testedAndGuaranteed", "IHCP-species-dilution-info": "1/500", "IHCP-species-notes": "<p></p> Perform heat-mediated antigen retrieval with Tris/EDTA buffer pH 9.0 before commencing with IHC staining protocol." }, "Synthetic peptide - Human": { "IELISA-species-checked": "testedAndGuaranteed", "IELISA-species-dilution-info": "", "IELISA-species-notes": "<p></p>", "Dot-species-checked": "notRecommended", "Dot-species-dilution-info": "", "Dot-species-notes": "", "WB-species-checked": "notRecommended", "WB-species-dilution-info": "", "WB-species-notes": "", "FlowCytIntra-species-checked": "notRecommended", "FlowCytIntra-species-dilution-info": "", "FlowCytIntra-species-notes": "", "IHCP-species-checked": "notRecommended", "IHCP-species-dilution-info": "", "IHCP-species-notes": "" } } }

Product details

Patented technology
Our RabMAb® technology is a patented hybridoma-based technology for making rabbit monoclonal antibodies. For details on our patents, please refer to RabMAb® patents.

What are the advantages of a recombinant monoclonal antibody?
This product is a recombinant monoclonal antibody, which offers several advantages including:

  • - High batch-to-batch consistency and reproducibility
  • - Improved sensitivity and specificity
  • - Long-term security of supply
  • - Animal-free batch production

For more information, read more on recombinant antibodies.

Properties and storage information

Form
Liquid
Purification technique
Affinity purification Protein A
Storage buffer
Preservative: 0.01% Sodium azide Constituents: PBS, 40% Glycerol (glycerin, glycerine), 0.05% BSA
Shipped at conditions
Blue Ice
Appropriate short-term storage duration
1-2 weeks
Appropriate short-term storage conditions
+4°C
Appropriate long-term storage conditions
-20°C
Aliquoting information
Upon delivery aliquot
Storage information
Avoid freeze / thaw cycle

Supplementary information

This supplementary information is collated from multiple sources and compiled automatically.

P38 also known as MAPK14 is a member of the mitogen-activated protein kinase (MAPK) family. It functions by phosphorylating various downstream substrates and plays a role in cellular responses. The molecular weight of p38 is approximately 38 kDa. This protein is widely expressed across many tissues including heart brain and lungs. Its activation by stimuli such as cytokines and stress factors helps regulate inflammation and cell cycle control.
Biological function summary

P38 is involved in several cellular processes such as inflammation cell differentiation and apoptosis. It often functions as part of a MAPK signaling complex where it serves a critical role in transmitting signals from the cell surface to the nucleus. It interacts with upstream kinases for activation and affects cellular responses by phosphorylating transcription factors and other protein kinases. Through experiments using techniques like p38 western blot and alpha ELISA scientists can monitor its activity and understand its role in cellular physiology.

Pathways

P38 signaling is integral to both the MAPK and NF-kB pathways. It helps mediate several cellular responses including inflammation and stress responses. Within these pathways p38 interacts with other proteins such as JNK and ERK which helps regulate adaptive and innate immune responses. These interactions ensure distinct yet overlapping signaling responses necessary for cellular homeostasis.

P38 plays a role in conditions such as rheumatoid arthritis and cancer. In rheumatoid arthritis p38 contributes to inflammatory processes promoting the production of pro-inflammatory cytokines. In cancer its role varies; while sometimes promoting cancer cell apoptosis it may also aid in tumor survival and proliferation. The protein TNF-alpha often connects indirectly with p38 through inflammatory pathways highlighting its involvement in these diseases.

Product protocols

For this product, it's our understanding that no specific protocols are required. You can visit:

Target data

Serine/threonine kinase which acts as an essential component of the MAP kinase signal transduction pathway. MAPK14 is one of the four p38 MAPKs which play an important role in the cascades of cellular responses evoked by extracellular stimuli such as pro-inflammatory cytokines or physical stress leading to direct activation of transcription factors. Accordingly, p38 MAPKs phosphorylate a broad range of proteins and it has been estimated that they may have approximately 200 to 300 substrates each. Some of the targets are downstream kinases which are activated through phosphorylation and further phosphorylate additional targets. RPS6KA5/MSK1 and RPS6KA4/MSK2 can directly phosphorylate and activate transcription factors such as CREB1, ATF1, the NF-kappa-B isoform RELA/NFKB3, STAT1 and STAT3, but can also phosphorylate histone H3 and the nucleosomal protein HMGN1 (PubMed : 9687510, PubMed : 9792677). RPS6KA5/MSK1 and RPS6KA4/MSK2 play important roles in the rapid induction of immediate-early genes in response to stress or mitogenic stimuli, either by inducing chromatin remodeling or by recruiting the transcription machinery (PubMed : 9687510, PubMed : 9792677). On the other hand, two other kinase targets, MAPKAPK2/MK2 and MAPKAPK3/MK3, participate in the control of gene expression mostly at the post-transcriptional level, by phosphorylating ZFP36 (tristetraprolin) and ELAVL1, and by regulating EEF2K, which is important for the elongation of mRNA during translation. MKNK1/MNK1 and MKNK2/MNK2, two other kinases activated by p38 MAPKs, regulate protein synthesis by phosphorylating the initiation factor EIF4E2 (PubMed : 11154262). MAPK14 also interacts with casein kinase II, leading to its activation through autophosphorylation and further phosphorylation of TP53/p53 (PubMed : 10747897). In the cytoplasm, the p38 MAPK pathway is an important regulator of protein turnover. For example, CFLAR is an inhibitor of TNF-induced apoptosis whose proteasome-mediated degradation is regulated by p38 MAPK phosphorylation. In a similar way, MAPK14 phosphorylates the ubiquitin ligase SIAH2, regulating its activity towards EGLN3 (PubMed : 17003045). MAPK14 may also inhibit the lysosomal degradation pathway of autophagy by interfering with the intracellular trafficking of the transmembrane protein ATG9 (PubMed : 19893488). Another function of MAPK14 is to regulate the endocytosis of membrane receptors by different mechanisms that impinge on the small GTPase RAB5A. In addition, clathrin-mediated EGFR internalization induced by inflammatory cytokines and UV irradiation depends on MAPK14-mediated phosphorylation of EGFR itself as well as of RAB5A effectors (PubMed : 16932740). Ectodomain shedding of transmembrane proteins is regulated by p38 MAPKs as well. In response to inflammatory stimuli, p38 MAPKs phosphorylate the membrane-associated metalloprotease ADAM17 (PubMed : 20188673). Such phosphorylation is required for ADAM17-mediated ectodomain shedding of TGF-alpha family ligands, which results in the activation of EGFR signaling and cell proliferation. Another p38 MAPK substrate is FGFR1. FGFR1 can be translocated from the extracellular space into the cytosol and nucleus of target cells, and regulates processes such as rRNA synthesis and cell growth. FGFR1 translocation requires p38 MAPK activation. In the nucleus, many transcription factors are phosphorylated and activated by p38 MAPKs in response to different stimuli. Classical examples include ATF1, ATF2, ATF6, ELK1, PTPRH, DDIT3, TP53/p53 and MEF2C and MEF2A (PubMed : 10330143, PubMed : 9430721, PubMed : 9858528). The p38 MAPKs are emerging as important modulators of gene expression by regulating chromatin modifiers and remodelers. The promoters of several genes involved in the inflammatory response, such as IL6, IL8 and IL12B, display a p38 MAPK-dependent enrichment of histone H3 phosphorylation on 'Ser-10' (H3S10ph) in LPS-stimulated myeloid cells. This phosphorylation enhances the accessibility of the cryptic NF-kappa-B-binding sites marking promoters for increased NF-kappa-B recruitment. Phosphorylates CDC25B and CDC25C which is required for binding to 14-3-3 proteins and leads to initiation of a G2 delay after ultraviolet radiation (PubMed : 11333986). Phosphorylates TIAR following DNA damage, releasing TIAR from GADD45A mRNA and preventing mRNA degradation (PubMed : 20932473). The p38 MAPKs may also have kinase-independent roles, which are thought to be due to the binding to targets in the absence of phosphorylation. Protein O-Glc-N-acylation catalyzed by the OGT is regulated by MAPK14, and, although OGT does not seem to be phosphorylated by MAPK14, their interaction increases upon MAPK14 activation induced by glucose deprivation. This interaction may regulate OGT activity by recruiting it to specific targets such as neurofilament H, stimulating its O-Glc-N-acylation. Required in mid-fetal development for the growth of embryo-derived blood vessels in the labyrinth layer of the placenta. Also plays an essential role in developmental and stress-induced erythropoiesis, through regulation of EPO gene expression (PubMed : 10943842). Isoform MXI2 activation is stimulated by mitogens and oxidative stress and only poorly phosphorylates ELK1 and ATF2. Isoform EXIP may play a role in the early onset of apoptosis. Phosphorylates S100A9 at 'Thr-113' (PubMed : 15905572). Phosphorylates NLRP1 downstream of MAP3K20/ZAK in response to UV-B irradiation and ribosome collisions, promoting activation of the NLRP1 inflammasome and pyroptosis (PubMed : 35857590).. (Microbial infection) Activated by phosphorylation by M.tuberculosis EsxA in T-cells leading to inhibition of IFN-gamma production; phosphorylation is apparent within 15 minutes and is inhibited by kinase-specific inhibitors SB203580 and siRNA (PubMed : 21586573).
See full target information MAPK14 phospho T180

Publications (123)

Recent publications for all applications. Explore the full list and refine your search

Journal of inflammation research 18:13433-13452 PubMed41049072

2025

Dual Effects of Sodium Houttuyfonate Against Acute Rhinosinusitis: Antibacterial Action and Epithelial Barrier Repair Through the p38 MAPK/ERK Pathway.

Applications

Unspecified application

Species

Unspecified reactive species

Yang Fang,Huixia Zhou,WeiYi Li,Lu Bai,Xinchen Sun,KaiYuan He,Shanshan Xue,Yongjun Wu

American journal of translational research 17:3898-3907 PubMed40535640

2025

Dectin-1 participates in β-glucan- or PMA-induced neutrophil extracellular trap formation during antifungal defense.

Applications

Unspecified application

Species

Unspecified reactive species

Shoude Zhang,Ying Lu,Yuan Zhao,Zhanwei Dong,Mao Jin,Mina Xu,Hong Pan,Mang Xiao

Scientific reports 15:16205 PubMed40346122

2025

SHP1 and its downstream p38/SP1/PI3K/YAP/Notch-1 signaling in trophoblast cells suppressed the progression of Preeclampsia via inhibiting proliferation of SMCs.

Applications

Unspecified application

Species

Unspecified reactive species

Yan An,Chenyuan Cao,Shaosong Sun,Hongli Wu,Jinzhi Zhang,Rui Li,Yakun Zhao

Scientific reports 14:31875 PubMed39738348

2025

Total glucosides of paeony ameliorates chemotherapy-induced neuropathic pain by suppressing microglia pyroptosis through the inhibition of KAT2A-mediated p38 pathway activation and succinylation.

Applications

Unspecified application

Species

Unspecified reactive species

Rong Chen,Jiantao Hu,Yang Zhang,Yang Liu,Jingsong Zhu,Zheng Pan,Hua Yang,Qin Wang,Ying Chen,Songjiang Tang,Baojun Min

Journal of inflammation research 17:9453-9467 PubMed39600682

2024

Network Pharmacology and Machine Learning Reveal Salidroside's Mechanisms in Idiopathic Pulmonary Fibrosis Treatment.

Applications

Unspecified application

Species

Unspecified reactive species

Chenchun Ding,Zhenzhen Guo,Quan Liao,Renjie Zuo,Junjie He,Ziwei Ye,Weibin Chen

BMC cancer 24:1189 PubMed39333927

2024

RPS6KA1 is a histone acetylation-related oncoprotein in acute myeloid leukemia which is targeted by afzelin.

Applications

Unspecified application

Species

Unspecified reactive species

Xiaojuan Guo,Guinian Huang,Dafa Qiu,Huiqing He,Xiaomin Niu,Ziwen Guo,Yongbin Ye

Science signaling 17:eadn8936 PubMed39078919

2024

Peripheral macrophages contribute to nociceptor priming in mice with chronic intermittent hypoxia.

Applications

Unspecified application

Species

Unspecified reactive species

Samuel B Chivers,Mary Ann Andrade,Robert J Hammack,John Shannonhouse,Ruben Gomez,Yan Zhang,Brian Nguyen,Pankil Shah,Yu Shin Kim,Glenn M Toney,Nathaniel A Jeske

Scientific reports 14:17241 PubMed39060348

2024

Progesterone modulates the immune microenvironment to suppress ovalbumin-induced airway inflammation by inhibiting NETosis.

Applications

Unspecified application

Species

Unspecified reactive species

Lin Wang,Feng-Ying Huang,Shu-Zhen Dai,Yongshu Fu,Xiangdong Zhou,Cai-Chun Wang,Guang-Hong Tan,Qi Li

Heliyon 10:e32969 PubMed38994041

2024

Hsa_circRNA_101036 aggravates hypoxic-induced endoplasmic reticulum stress via the miR-21-3p/TMTC1 axis in oral squamous cell carcinoma.

Applications

Unspecified application

Species

Unspecified reactive species

Wei Deng,Juan Fu,Shigeng Lin,Qitao Wen,Liangbin Fu,Xiaoze Chen

3 Biotech 14:182 PubMed38947734

2024

miR-338-5p regulated the NF-κB/MAPK pathway to alleviate inflammation and oxidative stress by targeting IL-6 in rats with atrial fibrillation.

Applications

Unspecified application

Species

Unspecified reactive species

Yujie Zhang,Yali Yao,Jia Wei,Zhen Zhang
View all publications

Product promise

We are committed to supporting your work with high-quality reagents, and we're here for you every step of the way. In the unlikely event that one of our products does not perform as expected, you're protected by our Product Promise.
For full details, please see our Terms & Conditions

Please note: All products are 'FOR RESEARCH USE ONLY. NOT FOR USE IN DIAGNOSTIC OR THERAPEUTIC PROCEDURES'.

For licensing inquiries, please contact partnerships@abcam.com