JavaScript is disabled in your browser. Please enable JavaScript to view this website.
AB236527

Anti-p38 (phospho T180) antibody [EPR16587] - BSA and Azide free

5

(1 Review)

|

(4 Publications)

Rabbit Recombinant Monoclonal MK14 phospho T180 antibody. Carrier free. Suitable for Dot, WB, Flow Cyt (Intra), IHC-P, I-ELISA and reacts with Human, Synthetic peptide - Human samples. Cited in 4 publications.

View Alternative Names

CSBP, CSBP1, CSBP2, CSPB1, MXI2, SAPK2A, MAPK14, Mitogen-activated protein kinase 14, MAP kinase 14, MAPK 14, Cytokine suppressive anti-inflammatory drug-binding protein, MAP kinase MXI2, MAX-interacting protein 2, Mitogen-activated protein kinase p38 alpha, Stress-activated protein kinase 2a, CSAID-binding protein, MAP kinase p38 alpha, SAPK2a

6 Images
Flow Cytometry (Intracellular) - Anti-p38 (phospho T180) antibody [EPR16587] - BSA and Azide free (AB236527)
  • Flow Cyt (Intra)

Supplier Data

Flow Cytometry (Intracellular) - Anti-p38 (phospho T180) antibody [EPR16587] - BSA and Azide free (AB236527)

Intracellular flow cytometric analysis of 2% paraformaldehyde-fixed Jurkat (Human T cell leukemia cells from peripheral blood) cells treated with Anisomycin (250ng/ml for 30min) labeling p38 (phospho T180) with ab178867 at 1/340 dilution followed by Goat anti rabbit IgG (FITC) at 1/150 (red).

Controls : -

Blue - Unlabelled (Cells without incubation with primary antibody and secondary antibody)

Black - Rabbit monoclonal IgG Isotype control

Orange - Jurkat cells treated with Anisomycin (250ng/ml for 30min) labeling p38 (phospho T180) with ab178867 at 1/340 preincubated with 1mg/ml p38 (phospho T180) peptide

This data was developed using the same antibody clone in a different buffer formulation containing PBS, BSA, glycerol, and sodium azide (ab178867).

Immunohistochemistry (Formalin/PFA-fixed paraffin-embedded sections) - Anti-p38 (phospho T180) antibody [EPR16587] - BSA and Azide free (AB236527)
  • IHC-P

Supplier Data

Immunohistochemistry (Formalin/PFA-fixed paraffin-embedded sections) - Anti-p38 (phospho T180) antibody [EPR16587] - BSA and Azide free (AB236527)

Immunohistochemical analysis of paraffin-embedded Human squamous cell cervical carcinoma tissue labeling p38 (phospho T180) with ab178867 at 1/500 dilution followed by Goat Anti-Rabbit IgG H&L (HRP) (ab97051) at 1/500 dilution. Nuclear and cytoplasmic staining on cancer cells of cervix is observed. Counter stained with Hematoxylin.

Negative control : Used PBS instead of primary antibody followed by Goat Anti-Rabbit IgG H&L (HRP) (ab97051) at 1/500 dilution.

This data was developed using the same antibody clone in a different buffer formulation containing PBS, BSA, glycerol, and sodium azide (ab178867).

Perform heat mediated antigen retrieval with Tris/EDTA buffer pH 9.0 before commencing with IHC staining protocol.

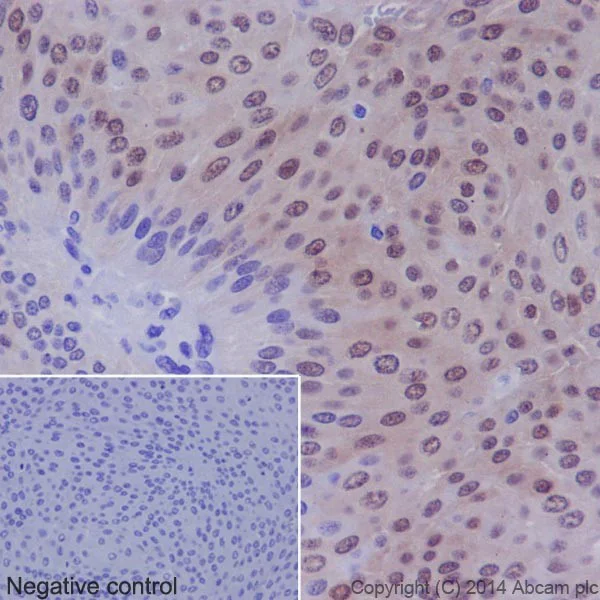
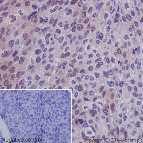
Immunohistochemistry (Formalin/PFA-fixed paraffin-embedded sections) - Anti-p38 (phospho T180) antibody [EPR16587] - BSA and Azide free (AB236527)
  • IHC-P

Supplier Data

Immunohistochemistry (Formalin/PFA-fixed paraffin-embedded sections) - Anti-p38 (phospho T180) antibody [EPR16587] - BSA and Azide free (AB236527)

Immunohistochemical analysis of paraffin-embedded Human transitional cell carcinoma of bladder tissue labeling p38 (phospho T180) with ab178867 at 1/500 dilution followed by Goat Anti-Rabbit IgG H&L (HRP) (ab97051) at 1/500 dilution. Nuclear with additional cytoplasmic staining on cancer cells of bladder is observed. Counter stained with Hematoxylin.

Negative control : Used PBS instead of primary antibody followed by Goat Anti-Rabbit IgG H&L (HRP) (ab97051) at 1/500 dilution.

This data was developed using the same antibody clone in a different buffer formulation containing PBS, BSA, glycerol, and sodium azide (ab178867).

Perform heat mediated antigen retrieval with Tris/EDTA buffer pH 9.0 before commencing with IHC staining protocol.

Indirect ELISA - Anti-p38 (phospho T180) antibody [EPR16587] - BSA and Azide free (AB236527)
  • I-ELISA

Supplier Data

Indirect ELISA - Anti-p38 (phospho T180) antibody [EPR16587] - BSA and Azide free (AB236527)

Indirect ELISA showing primary antibody ab178867 binding to Human MPK11, MPK12, MPK13, and MPK14 phosphorylated and non-phosphorylated peptides. Antigen concentration is 100 ng/ml.

Binding of ab178867 was assessed in a serial dilution range 1000-0 ng/ml.

Binding was detected using the secondary antibody, Alkaline Phosphatase-conjugated AffiniPure Goat Anti-Rabbit IgG (H+L) at 1/2500 dilution.

This data was developed using the same antibody clone in a different buffer formulation containing PBS, BSA, glycerol, and sodium azide (ab178867).

Dot Blot - Anti-p38 (phospho T180) antibody [EPR16587] - BSA and Azide free (AB236527)
  • Dot

Supplier Data

Dot Blot - Anti-p38 (phospho T180) antibody [EPR16587] - BSA and Azide free (AB236527)

Dot blot analysis of p38 peptides using ab178867 at 1/1000 dilution followed by Goat Anti-Rabbit IgG, (H+L),Peroxidase conjugated secondary antibody at 1/1000 dilution. Blocking and diluting buffer was 5% NFDM/TBST.

Lane 1 : Single phospho peptide pT180
Lane 2 : Single phospho peptide pY182
Lane 3 : Double phospho peptide pT180/pY182
Lane 4 : Non-phospho peptide

This data was developed using the same antibody clone in a different buffer formulation containing PBS, BSA, glycerol, and sodium azide (ab178867).

Dot Blot - Anti-p38 (phospho T180) antibody [EPR16587] - BSA and Azide free (AB236527)
  • Dot

Supplier Data

Dot Blot - Anti-p38 (phospho T180) antibody [EPR16587] - BSA and Azide free (AB236527)

Dot blot analysis of p38 (phospho T180) using ab178867 at 1 : 2000 (1 μg/ml) followed by a Goat Anti-Rabbit IgG, (H+L), Peroxidase conjugated (ab97051) at 1 : 100,000 dilution. Exposure time : 3 minutes. Blocking and diluting buffer and concentration : 5% NFDM/TBST.

Lane 1 : MPK11/beta (T180) phospho peptide
Lane 2 : MPK11/beta non-phospho peptide
Lane 3 : MPK12/gamma (T183) phospho peptide
Lane 4 : MPK12/gamma non-phospho peptide
Lane 5 : MPK13/delta (T180) phospho peptide
Lane 6 : MPK13/delta non-phospho peptide
Lane 7 : MPK14/alpha (T180) phospho peptide
Lane 8 : MPK14/alpha non-phospho peptide

This data was developed using ab178867, the same antibody clone in a different buffer formulation.

Key facts

Host species

Rabbit

Clonality

Monoclonal

Clone number

EPR16587

Isotype

IgG

Carrier free

Yes

Reacts with

Human

Applications

I-ELISA, WB, IHC-P, Dot, Flow Cyt (Intra)

applications

Immunogen

The exact immunogen used to generate this antibody is proprietary information.

Specificity

ab178867 recognizes alpha, beta, gamma and delta isoforms of (T180) phospho p38. ab178867 weakly cross-reacts with phosphorylated Y182.

Reactivity data

{ "title": "Reactivity Data", "filters": { "stats": ["", "Species", "Dilution Info", "Notes"], "tabs": { "all-applications": {"fullname" : "All Applications", "shortname": "All Applications"}, "Dot" : {"fullname" : "Dot Blot", "shortname":"Dot"}, "WB" : {"fullname" : "Western blot", "shortname":"WB"}, "FlowCytIntra" : {"fullname" : "Flow Cytometry (Intracellular)", "shortname":"Flow Cyt (Intra)"}, "IHCP" : {"fullname" : "Immunohistochemistry (Formalin/PFA-fixed paraffin-embedded sections)", "shortname":"IHC-P"}, "IELISA" : {"fullname" : "Indirect ELISA", "shortname":"I-ELISA"} }, "product-promise": { "all": "all", "testedAndGuaranteed": "tested", "guaranteed": "expected", "predicted": "predicted", "notRecommended": "not-recommended" } }, "values": { "Human": { "Dot-species-checked": "testedAndGuaranteed", "Dot-species-dilution-info": "", "Dot-species-notes": "<p></p>", "WB-species-checked": "guaranteed", "WB-species-dilution-info": "", "WB-species-notes": "<p></p>", "FlowCytIntra-species-checked": "testedAndGuaranteed", "FlowCytIntra-species-dilution-info": "", "FlowCytIntra-species-notes": "<p><a href='/en-us/products/primary-antibodies/rabbit-igg-monoclonal-epr25a-isotype-control-low-endotoxin-azide-free-ab199376'>ab199376</a> - Rabbit monoclonal IgG, is suitable for use as an isotype control with this antibody.</p>", "IHCP-species-checked": "testedAndGuaranteed", "IHCP-species-dilution-info": "", "IHCP-species-notes": "<p></p>", "IELISA-species-checked": "guaranteed", "IELISA-species-dilution-info": "", "IELISA-species-notes": "" }, "Synthetic peptide - Human": { "Dot-species-checked": "notRecommended", "Dot-species-dilution-info": "", "Dot-species-notes": "", "WB-species-checked": "notRecommended", "WB-species-dilution-info": "", "WB-species-notes": "", "FlowCytIntra-species-checked": "notRecommended", "FlowCytIntra-species-dilution-info": "", "FlowCytIntra-species-notes": "", "IHCP-species-checked": "notRecommended", "IHCP-species-dilution-info": "", "IHCP-species-notes": "", "IELISA-species-checked": "testedAndGuaranteed", "IELISA-species-dilution-info": "", "IELISA-species-notes": "<p></p>" } } }

Product details

ab236527 is the carrier-free version of ab178867.

Patented technology
Our RabMAb® technology is a patented hybridoma-based technology for making rabbit monoclonal antibodies. For details on our patents, please refer to RabMAb® patents.

What are the advantages of a recombinant monoclonal antibody?
This product is a recombinant monoclonal antibody, which offers several advantages including:

  • - High batch-to-batch consistency and reproducibility
  • - Improved sensitivity and specificity
  • - Long-term security of supply
  • - Animal-free batch production

For more information, read more on recombinant antibodies.

Conjugation ready
Our carrier-free antibodies are typically supplied in a PBS-only formulation, purified and free of BSA, sodium azide and glycerol. This conjugation-ready format is designed for use with fluorochromes, metal isotopes, oligonucleotides, and enzymes, which makes them ideal for antibody labelling, functional and cell-based assays, flow-based assays (e.g. mass cytometry) and Multiplex Imaging applications.

Use our conjugation kits for antibody conjugates that are ready-to-use in as little as 20 minutes with 1 minute hands-on-time and 100% antibody recovery: available for fluorescent dyes, HRP, biotin and gold.

Compatibility
This product is compatible with the Maxpar® Antibody Labeling Kit from Fluidigm, without the need for antibody preparation. Maxpar® is a trademark of Fluidigm Canada Inc.

Properties and storage information

Form
Liquid
Purification technique
Affinity purification Protein A
Storage buffer
pH: 7.2 - 7.4 Constituents: PBS
Shipped at conditions
Blue Ice
Appropriate short-term storage conditions
+4°C
Appropriate long-term storage conditions
+4°C
Storage information
Do Not Freeze

Supplementary information

This supplementary information is collated from multiple sources and compiled automatically.

P38 also known as MAPK14 is a member of the mitogen-activated protein kinase (MAPK) family. It functions by phosphorylating various downstream substrates and plays a role in cellular responses. The molecular weight of p38 is approximately 38 kDa. This protein is widely expressed across many tissues including heart brain and lungs. Its activation by stimuli such as cytokines and stress factors helps regulate inflammation and cell cycle control.
Biological function summary

P38 is involved in several cellular processes such as inflammation cell differentiation and apoptosis. It often functions as part of a MAPK signaling complex where it serves a critical role in transmitting signals from the cell surface to the nucleus. It interacts with upstream kinases for activation and affects cellular responses by phosphorylating transcription factors and other protein kinases. Through experiments using techniques like p38 western blot and alpha ELISA scientists can monitor its activity and understand its role in cellular physiology.

Pathways

P38 signaling is integral to both the MAPK and NF-kB pathways. It helps mediate several cellular responses including inflammation and stress responses. Within these pathways p38 interacts with other proteins such as JNK and ERK which helps regulate adaptive and innate immune responses. These interactions ensure distinct yet overlapping signaling responses necessary for cellular homeostasis.

P38 plays a role in conditions such as rheumatoid arthritis and cancer. In rheumatoid arthritis p38 contributes to inflammatory processes promoting the production of pro-inflammatory cytokines. In cancer its role varies; while sometimes promoting cancer cell apoptosis it may also aid in tumor survival and proliferation. The protein TNF-alpha often connects indirectly with p38 through inflammatory pathways highlighting its involvement in these diseases.

Product protocols

For this product, it's our understanding that no specific protocols are required. You can visit:

Target data

Serine/threonine kinase which acts as an essential component of the MAP kinase signal transduction pathway. MAPK14 is one of the four p38 MAPKs which play an important role in the cascades of cellular responses evoked by extracellular stimuli such as pro-inflammatory cytokines or physical stress leading to direct activation of transcription factors. Accordingly, p38 MAPKs phosphorylate a broad range of proteins and it has been estimated that they may have approximately 200 to 300 substrates each. Some of the targets are downstream kinases which are activated through phosphorylation and further phosphorylate additional targets. RPS6KA5/MSK1 and RPS6KA4/MSK2 can directly phosphorylate and activate transcription factors such as CREB1, ATF1, the NF-kappa-B isoform RELA/NFKB3, STAT1 and STAT3, but can also phosphorylate histone H3 and the nucleosomal protein HMGN1 (PubMed : 9687510, PubMed : 9792677). RPS6KA5/MSK1 and RPS6KA4/MSK2 play important roles in the rapid induction of immediate-early genes in response to stress or mitogenic stimuli, either by inducing chromatin remodeling or by recruiting the transcription machinery (PubMed : 9687510, PubMed : 9792677). On the other hand, two other kinase targets, MAPKAPK2/MK2 and MAPKAPK3/MK3, participate in the control of gene expression mostly at the post-transcriptional level, by phosphorylating ZFP36 (tristetraprolin) and ELAVL1, and by regulating EEF2K, which is important for the elongation of mRNA during translation. MKNK1/MNK1 and MKNK2/MNK2, two other kinases activated by p38 MAPKs, regulate protein synthesis by phosphorylating the initiation factor EIF4E2 (PubMed : 11154262). MAPK14 interacts also with casein kinase II, leading to its activation through autophosphorylation and further phosphorylation of TP53/p53 (PubMed : 10747897). In the cytoplasm, the p38 MAPK pathway is an important regulator of protein turnover. For example, CFLAR is an inhibitor of TNF-induced apoptosis whose proteasome-mediated degradation is regulated by p38 MAPK phosphorylation. In a similar way, MAPK14 phosphorylates the ubiquitin ligase SIAH2, regulating its activity towards EGLN3 (PubMed : 17003045). MAPK14 may also inhibit the lysosomal degradation pathway of autophagy by interfering with the intracellular trafficking of the transmembrane protein ATG9 (PubMed : 19893488). Another function of MAPK14 is to regulate the endocytosis of membrane receptors by different mechanisms that impinge on the small GTPase RAB5A. In addition, clathrin-mediated EGFR internalization induced by inflammatory cytokines and UV irradiation depends on MAPK14-mediated phosphorylation of EGFR itself as well as of RAB5A effectors (PubMed : 16932740). Ectodomain shedding of transmembrane proteins is regulated by p38 MAPKs as well. In response to inflammatory stimuli, p38 MAPKs phosphorylate the membrane-associated metalloprotease ADAM17 (PubMed : 20188673). Such phosphorylation is required for ADAM17-mediated ectodomain shedding of TGF-alpha family ligands, which results in the activation of EGFR signaling and cell proliferation. Another p38 MAPK substrate is FGFR1. FGFR1 can be translocated from the extracellular space into the cytosol and nucleus of target cells, and regulates processes such as rRNA synthesis and cell growth. FGFR1 translocation requires p38 MAPK activation. In the nucleus, many transcription factors are phosphorylated and activated by p38 MAPKs in response to different stimuli. Classical examples include ATF1, ATF2, ATF6, ELK1, PTPRH, DDIT3, TP53/p53 and MEF2C and MEF2A (PubMed : 10330143, PubMed : 9430721, PubMed : 9858528). The p38 MAPKs are emerging as important modulators of gene expression by regulating chromatin modifiers and remodelers. The promoters of several genes involved in the inflammatory response, such as IL6, IL8 and IL12B, display a p38 MAPK-dependent enrichment of histone H3 phosphorylation on 'Ser-10' (H3S10ph) in LPS-stimulated myeloid cells. This phosphorylation enhances the accessibility of the cryptic NF-kappa-B-binding sites marking promoters for increased NF-kappa-B recruitment. Phosphorylates CDC25B and CDC25C which is required for binding to 14-3-3 proteins and leads to initiation of a G2 delay after ultraviolet radiation (PubMed : 11333986). Phosphorylates TIAR following DNA damage, releasing TIAR from GADD45A mRNA and preventing mRNA degradation (PubMed : 20932473). The p38 MAPKs may also have kinase-independent roles, which are thought to be due to the binding to targets in the absence of phosphorylation. Protein O-Glc-N-acylation catalyzed by the OGT is regulated by MAPK14, and, although OGT does not seem to be phosphorylated by MAPK14, their interaction increases upon MAPK14 activation induced by glucose deprivation. This interaction may regulate OGT activity by recruiting it to specific targets such as neurofilament H, stimulating its O-Glc-N-acylation. Required in mid-fetal development for the growth of embryo-derived blood vessels in the labyrinth layer of the placenta. Also plays an essential role in developmental and stress-induced erythropoiesis, through regulation of EPO gene expression (PubMed : 10943842). Isoform MXI2 activation is stimulated by mitogens and oxidative stress and only poorly phosphorylates ELK1 and ATF2. Isoform EXIP may play a role in the early onset of apoptosis. Phosphorylates S100A9 at 'Thr-113' (PubMed : 15905572). Phosphorylates NLRP1 downstream of MAP3K20/ZAK in response to UV-B irradiation and ribosome collisions, promoting activation of the NLRP1 inflammasome and pyroptosis (PubMed : 35857590).. (Microbial infection) Activated by phosphorylation by M.tuberculosis EsxA in T-cells leading to inhibition of IFN-gamma production; phosphorylation is apparent within 15 minutes and is inhibited by kinase-specific inhibitors SB203580 and siRNA (PubMed : 21586573).
See full target information MAPK14 phospho T180

Publications (4)

Recent publications for all applications. Explore the full list and refine your search

International journal of molecular medicine 53: PubMed38214344

2024

Regulator of G protein signalling 18 promotes osteocyte proliferation by activating the extracellular signal‑regulated kinase signalling pathway.

Applications

Unspecified application

Species

Unspecified reactive species

Yong Meng,Si-Qiang Qiu,Qiang Wang,Jin-Liang Zuo

Clinical science (London, England : 1979) 136:1591-1614 PubMed36250628

2022

Stress signaler p38 mitogen-activated kinase activation: a cause for concern?

Applications

Unspecified application

Species

Unspecified reactive species

Enkhtuya Radnaa,Lauren Richardson,Brett Goldman,Jared K Burks,Tuvshintugs Baljinnyam,Natasha Vora,Hui-Juan Zhang,Elizabeth A Bonney,Arum Han,Ramkumar Menon

Journal of oncology 2022:1515416 PubMed35528239

2022

Cholesterol Promotes Colorectal Cancer Growth by Activating the PI3K/AKT Pathway.

Applications

Unspecified application

Species

Unspecified reactive species

Cheng Wu,Ming Wang,Hui Shi

Haematologica 105:136-147 PubMed31018977

2019

The vascular bone marrow niche influences outcome in chronic myeloid leukemia the E-selectin - SCL/TAL1 - CD44 axis.

Applications

Unspecified application

Species

Unspecified reactive species

Parimala Sonika Godavarthy,Rahul Kumar,Stefanie C Herkt,Raquel S Pereira,Nina Hayduk,Eva S Weissenberger,Djamel Aggoune,Yosif Manavski,Tina Lucas,Kuan-Ting Pan,Jenna M Voutsinas,Qian Wu,Martin C Müller,Susanne Saussele,Thomas Oellerich,Vivian G Oehler,Joern Lausen,Daniela S Krause
View all publications

Product promise

We are committed to supporting your work with high-quality reagents, and we're here for you every step of the way. In the unlikely event that one of our products does not perform as expected, you're protected by our Product Promise.
For full details, please see our Terms & Conditions

Please note: All products are 'FOR RESEARCH USE ONLY. NOT FOR USE IN DIAGNOSTIC OR THERAPEUTIC PROCEDURES'.

For licensing inquiries, please contact partnerships@abcam.com