JavaScript is disabled in your browser. Please enable JavaScript to view this website.
AB47363

Anti-p38 (phospho Y182) antibody

3

(2 Reviews)

|

(155 Publications)

Rabbit Polyclonal MK14 phospho Y182 antibody. Suitable for WB, IHC-P and reacts with Human samples. Cited in 155 publications. Immunogen corresponding to Synthetic Peptide within Human MAPK14 phospho Y182.

View Alternative Names

CSBP, CSBP1, CSBP2, CSPB1, MXI2, SAPK2A, MAPK14, Mitogen-activated protein kinase 14, MAP kinase 14, MAPK 14, Cytokine suppressive anti-inflammatory drug-binding protein, MAP kinase MXI2, MAX-interacting protein 2, Mitogen-activated protein kinase p38 alpha, Stress-activated protein kinase 2a, CSAID-binding protein, MAP kinase p38 alpha, SAPK2a

2 Images
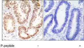
Immunohistochemistry (Formalin/PFA-fixed paraffin-embedded sections) - Anti-p38 (phospho Y182) antibody (AB47363)
  • IHC-P

Unknown

Immunohistochemistry (Formalin/PFA-fixed paraffin-embedded sections) - Anti-p38 (phospho Y182) antibody (AB47363)

Immunohistochemical analysis of paraffin-embedded human colon carcinoma tissue using ab47363. Left hand image without immunising peptide; right hand image with immunising peptide.

Western blot - Anti-p38 (phospho Y182) antibody (AB47363)
  • WB

Unknown

Western blot - Anti-p38 (phospho Y182) antibody (AB47363)

All lanes:

Western blot - Anti-p38 (phospho Y182) antibody (ab47363)

Lane 1:

K562 cells, treated with UV

Lane 2:

K562 cells, untreated

Predicted band size: 41 kDa

false

Key facts

Host species

Rabbit

Clonality

Polyclonal

Isotype

IgG

Carrier free

No

Reacts with

Human

Applications

IHC-P, WB

applications

Immunogen

Synthetic Peptide within Human MAPK14 phospho Y182. The exact immunogen used to generate this antibody is proprietary information.

Q16539

Reactivity data

{ "title": "Reactivity Data", "filters": { "stats": ["", "Species", "Dilution Info", "Notes"], "tabs": { "all-applications": {"fullname" : "All Applications", "shortname": "All Applications"}, "WB" : {"fullname" : "Western blot", "shortname":"WB"}, "IHCP" : {"fullname" : "Immunohistochemistry (Formalin/PFA-fixed paraffin-embedded sections)", "shortname":"IHC-P"} }, "product-promise": { "all": "all", "testedAndGuaranteed": "tested", "guaranteed": "expected", "predicted": "predicted", "notRecommended": "not-recommended" } }, "values": { "Human": { "WB-species-checked": "testedAndGuaranteed", "WB-species-dilution-info": "1/500 - 1/1000", "WB-species-notes": "<p></p>", "IHCP-species-checked": "testedAndGuaranteed", "IHCP-species-dilution-info": "", "IHCP-species-notes": "<p></p>" } } }

Properties and storage information

Form
Liquid
Purification technique
Affinity purification Immunogen
Purification notes
The antibody was affinity-purified using epitope-specific phosphopeptide. The antibody against non-phosphopeptide was removed by chromatography using non-phosphopeptide corresponding to the phosphorylation site.
Storage buffer
pH: 7 Preservative: 0.02% Sodium azide Constituents: PBS, 50% Glycerol (glycerin, glycerine), 0.87% Sodium chloride
Shipped at conditions
Blue Ice
Appropriate short-term storage conditions
+4°C
Appropriate long-term storage conditions
-20°C
Storage information
Stable for 12 months at -20°C

Supplementary information

This supplementary information is collated from multiple sources and compiled automatically.

P38 also known as MAPK14 is a member of the mitogen-activated protein kinase (MAPK) family. It functions by phosphorylating various downstream substrates and plays a role in cellular responses. The molecular weight of p38 is approximately 38 kDa. This protein is widely expressed across many tissues including heart brain and lungs. Its activation by stimuli such as cytokines and stress factors helps regulate inflammation and cell cycle control.
Biological function summary

P38 is involved in several cellular processes such as inflammation cell differentiation and apoptosis. It often functions as part of a MAPK signaling complex where it serves a critical role in transmitting signals from the cell surface to the nucleus. It interacts with upstream kinases for activation and affects cellular responses by phosphorylating transcription factors and other protein kinases. Through experiments using techniques like p38 western blot and alpha ELISA scientists can monitor its activity and understand its role in cellular physiology.

Pathways

P38 signaling is integral to both the MAPK and NF-kB pathways. It helps mediate several cellular responses including inflammation and stress responses. Within these pathways p38 interacts with other proteins such as JNK and ERK which helps regulate adaptive and innate immune responses. These interactions ensure distinct yet overlapping signaling responses necessary for cellular homeostasis.

P38 plays a role in conditions such as rheumatoid arthritis and cancer. In rheumatoid arthritis p38 contributes to inflammatory processes promoting the production of pro-inflammatory cytokines. In cancer its role varies; while sometimes promoting cancer cell apoptosis it may also aid in tumor survival and proliferation. The protein TNF-alpha often connects indirectly with p38 through inflammatory pathways highlighting its involvement in these diseases.

Product protocols

For this product, it's our understanding that no specific protocols are required. You can visit:

Target data

Serine/threonine kinase which acts as an essential component of the MAP kinase signal transduction pathway. MAPK14 is one of the four p38 MAPKs which play an important role in the cascades of cellular responses evoked by extracellular stimuli such as pro-inflammatory cytokines or physical stress leading to direct activation of transcription factors. Accordingly, p38 MAPKs phosphorylate a broad range of proteins and it has been estimated that they may have approximately 200 to 300 substrates each. Some of the targets are downstream kinases which are activated through phosphorylation and further phosphorylate additional targets. RPS6KA5/MSK1 and RPS6KA4/MSK2 can directly phosphorylate and activate transcription factors such as CREB1, ATF1, the NF-kappa-B isoform RELA/NFKB3, STAT1 and STAT3, but can also phosphorylate histone H3 and the nucleosomal protein HMGN1 (PubMed : 9687510, PubMed : 9792677). RPS6KA5/MSK1 and RPS6KA4/MSK2 play important roles in the rapid induction of immediate-early genes in response to stress or mitogenic stimuli, either by inducing chromatin remodeling or by recruiting the transcription machinery (PubMed : 9687510, PubMed : 9792677). On the other hand, two other kinase targets, MAPKAPK2/MK2 and MAPKAPK3/MK3, participate in the control of gene expression mostly at the post-transcriptional level, by phosphorylating ZFP36 (tristetraprolin) and ELAVL1, and by regulating EEF2K, which is important for the elongation of mRNA during translation. MKNK1/MNK1 and MKNK2/MNK2, two other kinases activated by p38 MAPKs, regulate protein synthesis by phosphorylating the initiation factor EIF4E2 (PubMed : 11154262). MAPK14 interacts also with casein kinase II, leading to its activation through autophosphorylation and further phosphorylation of TP53/p53 (PubMed : 10747897). In the cytoplasm, the p38 MAPK pathway is an important regulator of protein turnover. For example, CFLAR is an inhibitor of TNF-induced apoptosis whose proteasome-mediated degradation is regulated by p38 MAPK phosphorylation. In a similar way, MAPK14 phosphorylates the ubiquitin ligase SIAH2, regulating its activity towards EGLN3 (PubMed : 17003045). MAPK14 may also inhibit the lysosomal degradation pathway of autophagy by interfering with the intracellular trafficking of the transmembrane protein ATG9 (PubMed : 19893488). Another function of MAPK14 is to regulate the endocytosis of membrane receptors by different mechanisms that impinge on the small GTPase RAB5A. In addition, clathrin-mediated EGFR internalization induced by inflammatory cytokines and UV irradiation depends on MAPK14-mediated phosphorylation of EGFR itself as well as of RAB5A effectors (PubMed : 16932740). Ectodomain shedding of transmembrane proteins is regulated by p38 MAPKs as well. In response to inflammatory stimuli, p38 MAPKs phosphorylate the membrane-associated metalloprotease ADAM17 (PubMed : 20188673). Such phosphorylation is required for ADAM17-mediated ectodomain shedding of TGF-alpha family ligands, which results in the activation of EGFR signaling and cell proliferation. Another p38 MAPK substrate is FGFR1. FGFR1 can be translocated from the extracellular space into the cytosol and nucleus of target cells, and regulates processes such as rRNA synthesis and cell growth. FGFR1 translocation requires p38 MAPK activation. In the nucleus, many transcription factors are phosphorylated and activated by p38 MAPKs in response to different stimuli. Classical examples include ATF1, ATF2, ATF6, ELK1, PTPRH, DDIT3, TP53/p53 and MEF2C and MEF2A (PubMed : 10330143, PubMed : 9430721, PubMed : 9858528). The p38 MAPKs are emerging as important modulators of gene expression by regulating chromatin modifiers and remodelers. The promoters of several genes involved in the inflammatory response, such as IL6, IL8 and IL12B, display a p38 MAPK-dependent enrichment of histone H3 phosphorylation on 'Ser-10' (H3S10ph) in LPS-stimulated myeloid cells. This phosphorylation enhances the accessibility of the cryptic NF-kappa-B-binding sites marking promoters for increased NF-kappa-B recruitment. Phosphorylates CDC25B and CDC25C which is required for binding to 14-3-3 proteins and leads to initiation of a G2 delay after ultraviolet radiation (PubMed : 11333986). Phosphorylates TIAR following DNA damage, releasing TIAR from GADD45A mRNA and preventing mRNA degradation (PubMed : 20932473). The p38 MAPKs may also have kinase-independent roles, which are thought to be due to the binding to targets in the absence of phosphorylation. Protein O-Glc-N-acylation catalyzed by the OGT is regulated by MAPK14, and, although OGT does not seem to be phosphorylated by MAPK14, their interaction increases upon MAPK14 activation induced by glucose deprivation. This interaction may regulate OGT activity by recruiting it to specific targets such as neurofilament H, stimulating its O-Glc-N-acylation. Required in mid-fetal development for the growth of embryo-derived blood vessels in the labyrinth layer of the placenta. Also plays an essential role in developmental and stress-induced erythropoiesis, through regulation of EPO gene expression (PubMed : 10943842). Isoform MXI2 activation is stimulated by mitogens and oxidative stress and only poorly phosphorylates ELK1 and ATF2. Isoform EXIP may play a role in the early onset of apoptosis. Phosphorylates S100A9 at 'Thr-113' (PubMed : 15905572). Phosphorylates NLRP1 downstream of MAP3K20/ZAK in response to UV-B irradiation and ribosome collisions, promoting activation of the NLRP1 inflammasome and pyroptosis (PubMed : 35857590).. (Microbial infection) Activated by phosphorylation by M.tuberculosis EsxA in T-cells leading to inhibition of IFN-gamma production; phosphorylation is apparent within 15 minutes and is inhibited by kinase-specific inhibitors SB203580 and siRNA (PubMed : 21586573).
See full target information MAPK14 phospho Y182

Publications (155)

Recent publications for all applications. Explore the full list and refine your search

Veterinary research 55:93 PubMed39075605

2024

HbpA from Glaesserella parasuis induces an inflammatory response in 3D4/21 cells by activating the MAPK and NF-κB signalling pathways and protects mice against G. parasuis when used as an immunogen.

Applications

Unspecified application

Species

Unspecified reactive species

Zhen Yang,Yiwen Zhang,Qin Zhao,Senyan Du,Xiaobo Huang,Rui Wu,Qigui Yan,Xinfeng Han,Yiping Wen,San-Jie Cao

ACS pharmacology & translational science 6:1129-1142 PubMed37588762

2023

β-Caryophyllene, a Dietary Phytocannabinoid, Alleviates Diabetic Cardiomyopathy in Mice by Inhibiting Oxidative Stress and Inflammation Activating Cannabinoid Type-2 Receptors.

Applications

Unspecified application

Species

Unspecified reactive species

Hebaallah Mamdouh Hashiesh,Azimullah Sheikh,Mohamed Fizur Nagoor Meeran,Dhanya Saraswathiamma,Niraj Kumar Jha,Bassem Sadek,Ernest Adeghate,Saeed Tariq,Saeeda Al Marzooqi,Shreesh Ojha

Frontiers in cellular neuroscience 17:1141339 PubMed37056710

2023

-induced periodontitis could contribute to cognitive impairment in Sprague-Dawley rats via the P38 MAPK signaling pathway.

Applications

Unspecified application

Species

Unspecified reactive species

Ru Jin,Xiaoqiao Ning,Xiang Liu,Yueyang Zhao,Guo Ye

Oncology letters 25:144 PubMed36936027

2023

PSKH1 affects proliferation and invasion of osteosarcoma cells via the p38/MAPK signaling pathway.

Applications

Unspecified application

Species

Unspecified reactive species

Xingfei Zhu,Chao Jiang,Zhiyuang Wang,Xiaozhong Zhu,Feng Yuan,Yi Yang

Frontiers in pharmacology 14:1104153 PubMed36778009

2023

Sesquiterpene lactones-enriched fractions from Kitag alleviate RA by regulating M1 macrophage polarization NF-κB and MAPK signaling pathway.

Applications

Unspecified application

Species

Unspecified reactive species

Jing Han,Jingwen Wang,Yicun Wang,Zhiqi Zhu,Siwang Zhang,Bingrong Wu,Mingsong Meng,Jianning Zhao,Dongsheng Wang

BMC nephrology 23:413 PubMed36575400

2022

Ntrk1 promotes mesangial cell proliferation and inflammation in rat glomerulonephritis model by activating the STAT3 and p38/ERK MAPK signaling pathways.

Applications

Unspecified application

Species

Unspecified reactive species

Xiongjun Dong,Yingchun Tang

Allergy, asthma, and clinical immunology : official journal of the Canadian Society of Allergy and Clinical Immunology 18:88 PubMed36184652

2022

Anti-asthmatic miR-224-5p inhibits the FHL1/MAPK pathway to repress airway smooth muscle cell proliferation in a murine model of asthma-like airway inflammation.

Applications

Unspecified application

Species

Unspecified reactive species

Zhifang Zhuang,Yanjuan Zhou,Jiao Xu,Leying Pan

International journal of molecular sciences 23: PubMed36077023

2022

Metal Ion Periplasmic-Binding Protein YfeA of Induces the Secretion of Pro-Inflammatory Cytokines of Macrophages via MAPK and NF-κB Signaling through TLR2 and TLR4.

Applications

Unspecified application

Species

Unspecified reactive species

Zhen Yang,Xinwei Tang,Kang Wang,Ke Dai,Yung-Fu Chang,Senyan Du,Qin Zhao,Xiaobo Huang,Rui Wu,Qigui Yan,Sanjie Cao,Yiping Wen

Evidence-based complementary and alternative medicine : eCAM 2022:1612829 PubMed35990822

2022

Protective Effects of Platycodin D3 on Airway Remodeling and Inflammation via Modulating MAPK/NF-B Signaling Pathway in Asthma Mice.

Applications

Unspecified application

Species

Unspecified reactive species

Feng Peng,Fengchun Xiao,Long Lin

Drug design, development and therapy 16:2545-2557 PubMed35959422

2022

The Flavagline Compound 1-(2-(dimethylamino)acetyl)-Rocaglaol Induces Apoptosis in K562 Cells by Regulating the PI3K/Akt/mTOR, JAK2/STAT3, and MAPK Pathways.

Applications

Unspecified application

Species

Unspecified reactive species

Xinmei Yang,Xijun Wu,Xiaosen Wu,Lei Huang,Jingrui Song,Chunmao Yuan,Zhixu He,Yanmei Li
View all publications

Product promise

We are committed to supporting your work with high-quality reagents, and we're here for you every step of the way. In the unlikely event that one of our products does not perform as expected, you're protected by our Product Promise.
For full details, please see our Terms & Conditions

Please note: All products are 'FOR RESEARCH USE ONLY. NOT FOR USE IN DIAGNOSTIC OR THERAPEUTIC PROCEDURES'.

For licensing inquiries, please contact partnerships@abcam.com