JavaScript is disabled in your browser. Please enable JavaScript to view this website.
AB269956

Anti-p40 - DeltaNp63 antibody [EPR17863-47] - BSA and Azide free

Be the first to review this product! Submit a review

|

(0 Publication)

Rabbit Recombinant Monoclonal P63 antibody. Carrier free. Suitable for IP, WB, IHC-P, ICC/IF, Flow Cyt (Intra) and reacts with Human, Mouse, Rat samples.

View Alternative Names

KET, P63, P73H, P73L, TP73L, TP63, Tumor protein 63, p63, Chronic ulcerative stomatitis protein, Keratinocyte transcription factor KET, Transformation-related protein 63, Tumor protein p73-like, p40, p51, CUSP, p73L

8 Images
Immunohistochemistry (Formalin/PFA-fixed paraffin-embedded sections) - Anti-p40 - DeltaNp63 antibody [EPR17863-47] - BSA and Azide free (AB269956)
  • IHC-P

Unknown

Immunohistochemistry (Formalin/PFA-fixed paraffin-embedded sections) - Anti-p40 - DeltaNp63 antibody [EPR17863-47] - BSA and Azide free (AB269956)

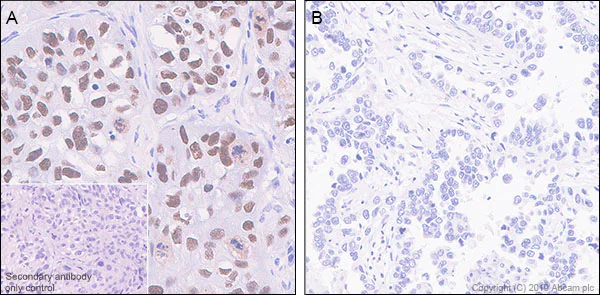
Immunohistochemical analysis of paraffin-embedded human lung squamous cell carcinoma and adenocarcinoma tissue labeling p40 - DeltaNp63 with ab203826 at a 1/1000 dilution followed by ready to use Rabbit specific IHC polymer detection kit HRP/DAB (ab209101). Counterstained with hematoxylin.

Nuclear staining on the squamous cell carcinoma (Panel A), negative staining on the adenocarcinoma (Panel B) is observed (PMID : 23486764).

The section was incubated with ab203826 for 10 mins at room temperature. The immunostaining staining was performed on a Leica Biosystems BOND® RX instrument.

Heat mediated antigen retrieval with citrate buffer (pH 6.0, epitope retrieval solution 1) for 20 mins.

This data was developed using the same antibody clone in a different buffer formulation containing PBS, BSA, glycerol, and sodium azide (ab203826).

Flow Cytometry (Intracellular) - Anti-p40 - DeltaNp63 antibody [EPR17863-47] - BSA and Azide free (AB269956)
  • Flow Cyt (Intra)

Unknown

Flow Cytometry (Intracellular) - Anti-p40 - DeltaNp63 antibody [EPR17863-47] - BSA and Azide free (AB269956)

Intracellular flow cytometric analysis of 4% paraformaldehyde fixed 90% methanol permeabilized HeLa (Human cervix adenocarcinoma epithelial cell, Left) / HaCaT (Human skin keratinocyte, Right) cells labeling p40 - DeltaNp63 with ab203826 at 1/400 (Red) compared with a Rabbit monoclonal IgG (ab172730) / Black isotype control and an unlabeled control (cells without incubation with primary antibody and secondary antibody) (Blue). A Goat anti rabbit IgG (Alexa Fluor® 488, ab150077) at 1/2000 was used as the secondary antibody.

Negative control : HeLa. (PMID : 21631996).

This data was developed using the same antibody clone in a different buffer formulation containing PBS, BSA, glycerol, and sodium azide (ab203826).

Immunohistochemistry (Formalin/PFA-fixed paraffin-embedded sections) - Anti-p40 - DeltaNp63 antibody [EPR17863-47] - BSA and Azide free (AB269956)
  • IHC-P

Unknown

Immunohistochemistry (Formalin/PFA-fixed paraffin-embedded sections) - Anti-p40 - DeltaNp63 antibody [EPR17863-47] - BSA and Azide free (AB269956)

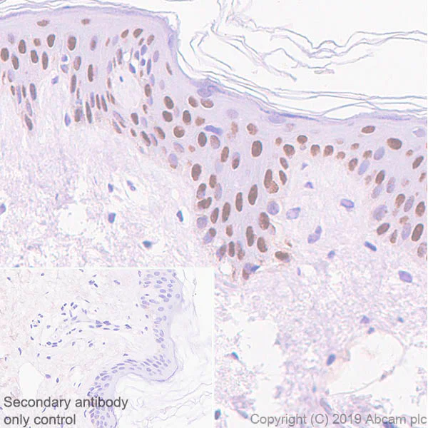
Immunohistochemical analysis of paraffin-embedded human skin tissue labeling p40 - DeltaNp63 with ab203826 at 1/1000 followed by a ready to use Rabbit specific IHC polymer detection kit HRP/DAB (ab209101). Nuclear staining on the epidermis of the human skin is observed (PMID : 11839669). The section was incubated with ab203826 for 10 mins at room temperature. The immunostaining staining was performed on a Leica Biosystems BOND® RX instrument. Counterstained with hematoxylin.

Secondary antibody only control : Secondary antibody is a ready to use Rabbit specific IHC polymer detection kit HRP/DAB (ab209101).

Heat mediated antigen retrieval with citrate buffer (pH 6.0, epitope retrieval solution 1) for 20 mins.

This data was developed using the same antibody clone in a different buffer formulation containing PBS, BSA, glycerol, and sodium azide (ab203826).

Immunohistochemistry (Formalin/PFA-fixed paraffin-embedded sections) - Anti-p40 - DeltaNp63 antibody [EPR17863-47] - BSA and Azide free (AB269956)
  • IHC-P

Unknown

Immunohistochemistry (Formalin/PFA-fixed paraffin-embedded sections) - Anti-p40 - DeltaNp63 antibody [EPR17863-47] - BSA and Azide free (AB269956)

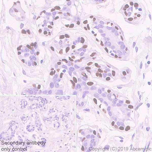
Immunohistochemical analysis of paraffin-embedded human breast tissue labeling p40 - DeltaNp63 with ab203826 at 1/1000 followed by a ready to use Rabbit specific IHC polymer detection kit HRP/DAB (ab209101). Positive staining on the basal cells of the human breast tissue is observed (PMID : 11839669; PMID : 28303349) The section was incubated with ab203826 for 10 mins at room temperature. The immunostaining staining was performed on a Leica Biosystems BOND® RX instrument. Counterstained with hematoxylin.

Secondary antibody only control : Secondary antibody is a ready to use Rabbit specific IHC polymer detection kit HRP/DAB (ab209101).

Heat mediated antigen retrieval with citrate buffer (pH 6.0, epitope retrieval solution 1) for 20 mins.

This data was developed using the same antibody clone in a different buffer formulation containing PBS, BSA, glycerol, and sodium azide (ab203826).

Immunocytochemistry/ Immunofluorescence - Anti-p40 - DeltaNp63 antibody [EPR17863-47] - BSA and Azide free (AB269956)
  • ICC/IF

Unknown

Immunocytochemistry/ Immunofluorescence - Anti-p40 - DeltaNp63 antibody [EPR17863-47] - BSA and Azide free (AB269956)

Immunofluorescent analysis of 4% paraformaldehyde-fixed, 0.1% Triton X-100 permeabilized HaCaT (human skin keratinocyte) HeLa (human cervix adenocarcinoma epithelial cell) cells labeling p40 - DeltaNp63 with ab203826 at 1/50 dilution, followed by ab150077 AlexaFluor®488 Goat anti-Rabbit secondary antibody at 1/1000 dilution (Green). Confocal image showing strong nuclear and weak cytoplasmic staining in HaCaT cells.

Negative control : HeLa (PMID : 21631996).

ab195889 Anti-alpha Tubulin antibody [DM1A] - Microtubule Marker (Alexa Fluor® 594) was used to counterstain tubulin at 1/200 dilution (Red). The nuclear counterstain was DAPI (Blue).

Secondary antibody only control : Secondary antibody is ab150077 AlexaFluor®488 Goat anti-Rabbit secondary at 1/1000 dilution.

This data was developed using the same antibody clone in a different buffer formulation containing PBS, BSA, glycerol, and sodium azide (ab203826).

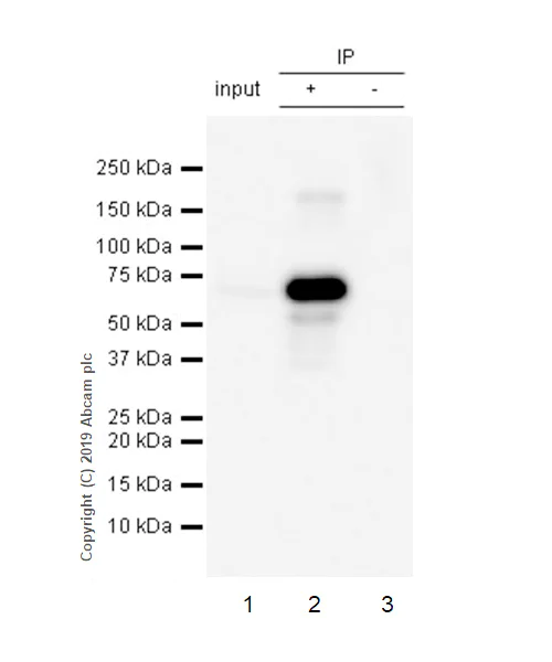
Immunoprecipitation - Anti-p40 - DeltaNp63 antibody [EPR17863-47] - BSA and Azide free (AB269956)
  • IP

Unknown

Immunoprecipitation - Anti-p40 - DeltaNp63 antibody [EPR17863-47] - BSA and Azide free (AB269956)

p40 - DeltaNp63 was immunoprecipitated from 0.35 mg HaCaT (Human skin keratinocyte) whole cell lysate 10μg with ab203826 at 1/30 dilution (2μg in 0.35 mg lysates). Western blot was performed on the immunoprecipitate using ab203826 at 1/1000 dilution. VeriBlot for IP Detection Reagent (HRP) (ab131366) was used at 1/5000 dilution.

Lane 1 : HaCaT whole cell lysate 10μg.

Lane 2 : ab203826 IP in HaCaT whole cell lysate.

Lane 3 : Rabbit monoclonal IgG (ab172730) instead of ab203826 in HaCaT whole cell lysate.

Blocking and dilution buffer and concentration : 5% NFDM/TBST.

Exposure time : 3 seconds.

This data was developed using the same antibody clone in a different buffer formulation containing PBS, BSA, glycerol, and sodium azide (ab203826).

All lanes:

Immunoprecipitation - Anti-p40 - DeltaNp63 antibody [EPR17863-47] (<a href='/en-us/products/primary-antibodies/p40-deltanp63-antibody-epr17863-47-ab203826'>ab203826</a>)

Predicted band size: 53 kDa

Observed band size: 66 kDa

false

Immunohistochemistry (Formalin/PFA-fixed paraffin-embedded sections) - Anti-p40 - DeltaNp63 antibody [EPR17863-47] - BSA and Azide free (AB269956)
  • IHC-P

Unknown

Immunohistochemistry (Formalin/PFA-fixed paraffin-embedded sections) - Anti-p40 - DeltaNp63 antibody [EPR17863-47] - BSA and Azide free (AB269956)

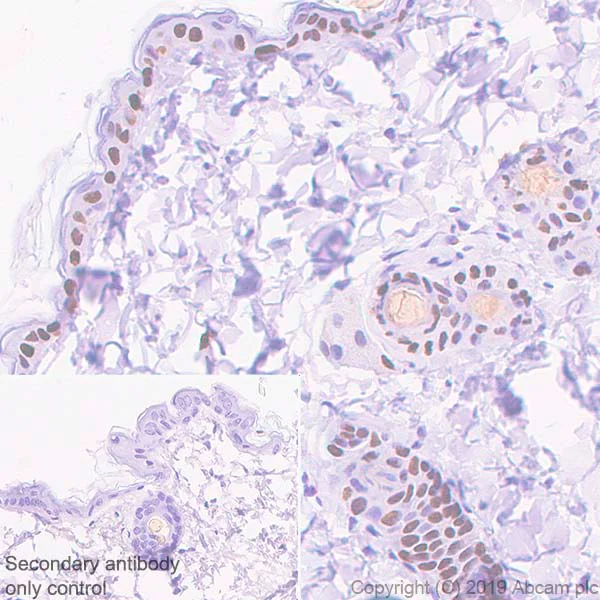
Immunohistochemical analysis of paraffin-embedded rat skin tissue labeling p40 - DeltaNp63 with ab203826 at 1/1000 followed by a ready to use Rabbit specific IHC polymer detection kit HRP/DAB (ab209101). Nuclear staining on the epidermis of the rat skin is observed. The section was incubated with ab203826 for 10 mins at room temperature. The immunostaining staining was performed on a Leica Biosystems BOND® RX instrument. Counterstained with hematoxylin.

Secondary antibody only control : Secondary antibody is a ready to use Rabbit specific IHC polymer detection kit HRP/DAB (ab209101).

Heat mediated antigen retrieval with citrate buffer (pH 6.0, epitope retrieval solution 1) for 20 mins.

This data was developed using the same antibody clone in a different buffer formulation containing PBS, BSA, glycerol, and sodium azide (ab203826).

Immunohistochemistry (Formalin/PFA-fixed paraffin-embedded sections) - Anti-p40 - DeltaNp63 antibody [EPR17863-47] - BSA and Azide free (AB269956)
  • IHC-P

Unknown

Immunohistochemistry (Formalin/PFA-fixed paraffin-embedded sections) - Anti-p40 - DeltaNp63 antibody [EPR17863-47] - BSA and Azide free (AB269956)

Immunohistochemical analysis of paraffin-embedded mouse skin tissue labeling p40 - DeltaNp63 with ab203826 at 1/1000 followed by a ready to use Rabbit specific IHC polymer detection kit HRP/DAB (ab209101). Nuclear staining on the epidermis of the mouse skin is observed. The section was incubated with ab203826 for 10 mins at room temperature. The immunostaining staining was performed on a Leica Biosystems BOND® RX instrument. Counterstained with hematoxylin.

Secondary antibody only control : Secondary antibody is a ready to use Rabbit specific IHC polymer detection kit HRP/DAB (ab209101).

Heat mediated antigen retrieval with citrate buffer (pH 6.0, epitope retrieval solution 1) for 20 mins.

This data was developed using the same antibody clone in a different buffer formulation containing PBS, BSA, glycerol, and sodium azide (ab203826).

Key facts

Host species

Rabbit

Clonality

Monoclonal

Clone number

EPR17863-47

Isotype

IgG

Carrier free

Yes

Reacts with

Mouse, Rat, Human

Applications

WB, Flow Cyt (Intra), ICC/IF, IP, IHC-P

applications

Immunogen

The exact immunogen used to generate this antibody is proprietary information.

Reactivity data

{ "title": "Reactivity Data", "filters": { "stats": ["", "Species", "Dilution Info", "Notes"], "tabs": { "all-applications": {"fullname" : "All Applications", "shortname": "All Applications"}, "IP" : {"fullname" : "Immunoprecipitation", "shortname":"IP"}, "WB" : {"fullname" : "Western blot", "shortname":"WB"}, "IHCP" : {"fullname" : "Immunohistochemistry (Formalin/PFA-fixed paraffin-embedded sections)", "shortname":"IHC-P"}, "ICCIF" : {"fullname" : "Immunocytochemistry/ Immunofluorescence", "shortname":"ICC/IF"}, "FlowCytIntra" : {"fullname" : "Flow Cytometry (Intracellular)", "shortname":"Flow Cyt (Intra)"} }, "product-promise": { "all": "all", "testedAndGuaranteed": "tested", "guaranteed": "expected", "predicted": "predicted", "notRecommended": "not-recommended" } }, "values": { "Human": { "IP-species-checked": "testedAndGuaranteed", "IP-species-dilution-info": "", "IP-species-notes": "<p></p>", "WB-species-checked": "guaranteed", "WB-species-dilution-info": "", "WB-species-notes": "<p></p>", "IHCP-species-checked": "testedAndGuaranteed", "IHCP-species-dilution-info": "", "IHCP-species-notes": "<p></p>", "ICCIF-species-checked": "testedAndGuaranteed", "ICCIF-species-dilution-info": "", "ICCIF-species-notes": "<p></p>", "FlowCytIntra-species-checked": "testedAndGuaranteed", "FlowCytIntra-species-dilution-info": "", "FlowCytIntra-species-notes": "<p></p>" }, "Mouse": { "IP-species-checked": "guaranteed", "IP-species-dilution-info": "", "IP-species-notes": "", "WB-species-checked": "guaranteed", "WB-species-dilution-info": "", "WB-species-notes": "<p></p>", "IHCP-species-checked": "testedAndGuaranteed", "IHCP-species-dilution-info": "", "IHCP-species-notes": "<p></p>", "ICCIF-species-checked": "guaranteed", "ICCIF-species-dilution-info": "", "ICCIF-species-notes": "", "FlowCytIntra-species-checked": "guaranteed", "FlowCytIntra-species-dilution-info": "", "FlowCytIntra-species-notes": "" }, "Rat": { "IP-species-checked": "guaranteed", "IP-species-dilution-info": "", "IP-species-notes": "", "WB-species-checked": "guaranteed", "WB-species-dilution-info": "", "WB-species-notes": "<p></p>", "IHCP-species-checked": "testedAndGuaranteed", "IHCP-species-dilution-info": "", "IHCP-species-notes": "<p></p>", "ICCIF-species-checked": "guaranteed", "ICCIF-species-dilution-info": "", "ICCIF-species-notes": "", "FlowCytIntra-species-checked": "guaranteed", "FlowCytIntra-species-dilution-info": "", "FlowCytIntra-species-notes": "" } } }

Product details

ab269956 is the carrier-free version of ab203826.

Patented technology
Our RabMAb® technology is a patented hybridoma-based technology for making rabbit monoclonal antibodies. For details on our patents, please refer to RabMAb® patents.

What are the advantages of a recombinant monoclonal antibody?
This product is a recombinant monoclonal antibody, which offers several advantages including:

  • - High batch-to-batch consistency and reproducibility
  • - Improved sensitivity and specificity
  • - Long-term security of supply
  • - Animal-free batch production

For more information, read more on recombinant antibodies.

Conjugation ready
Our carrier-free antibodies are typically supplied in a PBS-only formulation, purified and free of BSA, sodium azide and glycerol. This conjugation-ready format is designed for use with fluorochromes, metal isotopes, oligonucleotides, and enzymes, which makes them ideal for antibody labelling, functional and cell-based assays, flow-based assays (e.g. mass cytometry) and Multiplex Imaging applications.

Use our conjugation kits for antibody conjugates that are ready-to-use in as little as 20 minutes with 1 minute hands-on-time and 100% antibody recovery: available for fluorescent dyes, HRP, biotin and gold.

Compatibility
This product is compatible with the Maxpar® Antibody Labeling Kit from Fluidigm, without the need for antibody preparation. Maxpar® is a trademark of Fluidigm Canada Inc.

Properties and storage information

Form
Liquid
Purification technique
Affinity purification Protein A
Storage buffer
pH: 7.2 - 7.4 Constituents: PBS
Shipped at conditions
Blue Ice
Appropriate short-term storage conditions
+4°C
Appropriate long-term storage conditions
+4°C
Storage information
Do Not Freeze

Supplementary information

This supplementary information is collated from multiple sources and compiled automatically.

The biological target p40 also known as ΔNp63 is an essential protein isoform of the p63 gene. This target weighs approximately 40 kDa and is expressed predominantly in epithelial tissues such as the basal layer of the skin and select organs. Due to its significant role in development and differentiation researchers often study p40 in the context of specific cancers using techniques like p40 immunostaining p40 IHC and p40 marker assays including the anti-p40 stain.
Biological function summary

The p40 protein acts as a transcription factor regulating epithelial stem cell maintenance and differentiation. It is an integral component of the tetrameric complex of the p63 protein family where it influences the transcription of genes involved in cell cycle control and apoptotic pathways. The ΔNp63 variant lacking the N-terminal transactivation domain plays an important role in blocking premature senescence contributing to cell proliferative capacity.

Pathways

P40 is involved in the Notch signaling and the PI3K/AKT signaling pathways. In Notch signaling p40 interacts alongside related proteins like bcl-2 or B28 impacting the regulation of cell fate and differentiation. The PI3K/AKT pathway involves p40 in processes essential for cell survival and proliferation often overlapping with proteins such as AKT and mTOR.

P40 significantly links to various forms of cancer especially squamous cell carcinoma and lung adenocarcinoma. Aberrant expression of ΔNp63 and its disruption in pathways contribute to the pathogenesis of these cancers. In squamous cell carcinoma p40 expression serves as an important biomarker distinguishing it from other tumor types connecting with proteins like Bcl-2 which are important in managing apoptotic resistance in cancerous cells.

Product protocols

For this product, it's our understanding that no specific protocols are required. You can visit:

Target data

Acts as a sequence specific DNA binding transcriptional activator or repressor. The isoforms contain a varying set of transactivation and auto-regulating transactivation inhibiting domains thus showing an isoform specific activity. Isoform 2 activates RIPK4 transcription. May be required in conjunction with TP73/p73 for initiation of p53/TP53 dependent apoptosis in response to genotoxic insults and the presence of activated oncogenes. Involved in Notch signaling by probably inducing JAG1 and JAG2. Plays a role in the regulation of epithelial morphogenesis. The ratio of DeltaN-type and TA*-type isoforms may govern the maintenance of epithelial stem cell compartments and regulate the initiation of epithelial stratification from the undifferentiated embryonal ectoderm. Required for limb formation from the apical ectodermal ridge. Activates transcription of the p21 promoter.
See full target information TP63

Product promise

We are committed to supporting your work with high-quality reagents, and we're here for you every step of the way. In the unlikely event that one of our products does not perform as expected, you're protected by our Product Promise.
For full details, please see our Terms & Conditions

Please note: All products are 'FOR RESEARCH USE ONLY. NOT FOR USE IN DIAGNOSTIC OR THERAPEUTIC PROCEDURES'.

For licensing inquiries, please contact partnerships@abcam.com