JavaScript is disabled in your browser. Please enable JavaScript to view this website.
AB248832

Anti-P4HB antibody [EPR9498] - BSA and Azide free

Be the first to review this product! Submit a review

|

(0 Publication)

Rabbit Recombinant Monoclonal P4HB antibody. Carrier free. Suitable for IHC-P, WB and reacts with Human samples.

View Alternative Names

ERBA2L, PDI, PDIA1, PO4DB, P4HB, Protein disulfide-isomerase, Cellular thyroid hormone-binding protein, Prolyl 4-hydroxylase subunit beta, p55

3 Images
Immunohistochemistry (Formalin/PFA-fixed paraffin-embedded sections) - Anti-P4HB antibody [EPR9498] - BSA and Azide free (AB248832)
  • IHC-P

Unknown

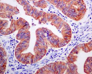
Immunohistochemistry (Formalin/PFA-fixed paraffin-embedded sections) - Anti-P4HB antibody [EPR9498] - BSA and Azide free (AB248832)

This data was developed using ab137119, the same antibody clone in a different buffer formulation.

Immunohistochemical analysis of paraffin embedded Human colon adenocarcinoma tissue labelling P4HB with ab137119 antibody at a dilution of 1/50.

Perform heat mediated antigen retrieval with citrate buffer pH 6 before commencing with IHC staining protocol.

Western blot - Anti-P4HB antibody [EPR9498] - BSA and Azide free (AB248832)
  • WB

Unknown

Western blot - Anti-P4HB antibody [EPR9498] - BSA and Azide free (AB248832)

This data was developed using ab137119, the same antibody clone in a different buffer formulation.

All lanes:

Western blot - Anti-P4HB antibody [EPR9498] (<a href='/en-us/products/primary-antibodies/p4hb-antibody-epr9498-ab137119'>ab137119</a>) at 1/1000 dilution

Lane 1:

HeLa cell lysate at 10 µg

Lane 2:

HepG2 cell lysate at 10 µg

Lane 3:

A431 cell lysate at 10 µg

Lane 4:

MCF7 cell lysate at 10 µg

Secondary

All lanes:

HRP labelled goat anti-rabbit at 1/2000 dilution

Predicted band size: 57 kDa

Observed band size: 57 kDa

false

Western blot - Anti-P4HB antibody [EPR9498] - BSA and Azide free (AB248832)
  • WB

Lab

Western blot - Anti-P4HB antibody [EPR9498] - BSA and Azide free (AB248832)

This data was developed using ab137119, the same antibody clone in a different buffer formulation.

Lanes 1 - 3 : Merged signal (red and green). Green - ab137119 observed at 57 kDa. Red - loading control, ab9484, observed at 37 kDa.

ab137119 was shown to specifically react with P4HB (Protein disulfide-isomerase) in wild-type HeLa cells as signal was lost in P4HB knockout cells. Wild-type and P4HB knockout samples were subjected to SDS-PAGE. The membrane was blocked with 3% milk. ab137119 and ab9484 (Mouse anti-GAPDH loading control) were incubated overnight at 4°C at 1 μg/ml and 1/20000 dilution respectively. Blots were developed with Goat anti-Rabbit IgG H&L (IRDye® 800CW) preabsorbed ab216773 and Goat anti-Mouse IgG H&L (IRDye® 680RD) preabsorbed ab216776 secondary antibodies at 1/20000 dilution for 1 hour at room temperature before imaging.

All lanes:

Western blot - Anti-P4HB antibody [EPR9498] (<a href='/en-us/products/primary-antibodies/p4hb-antibody-epr9498-ab137119'>ab137119</a>) at 1 µg/mL

Lane 1:

Wild-type HeLa whole cell lysate at 20 µg

Lane 2:

P4HB knockout HeLa whole cell lysate at 20 µg

Lane 3:

HEP G2 whole cell lysate at 20 µg

Predicted band size: 57 kDa

false

Key facts

Host species

Rabbit

Clonality

Monoclonal

Clone number

EPR9498

Isotype

IgG

Carrier free

Yes

Reacts with

Human

Applications

WB, IHC-P

applications

Immunogen

The exact immunogen used to generate this antibody is proprietary information.

Reactivity data

{ "title": "Reactivity Data", "filters": { "stats": ["", "Species", "Dilution Info", "Notes"], "tabs": { "all-applications": {"fullname" : "All Applications", "shortname": "All Applications"}, "IHCP" : {"fullname" : "Immunohistochemistry (Formalin/PFA-fixed paraffin-embedded sections)", "shortname":"IHC-P"}, "IP" : {"fullname" : "Immunoprecipitation", "shortname":"IP"}, "WB" : {"fullname" : "Western blot", "shortname":"WB"}, "FluorescenceMicroscopy" : {"fullname" : "Fluorescence Microscopy", "shortname":"Fluorescence Microscopy"}, "ICCIF" : {"fullname" : "Immunocytochemistry/ Immunofluorescence", "shortname":"ICC/IF"} }, "product-promise": { "all": "all", "testedAndGuaranteed": "tested", "guaranteed": "expected", "predicted": "predicted", "notRecommended": "not-recommended" } }, "values": { "Human": { "IHCP-species-checked": "testedAndGuaranteed", "IHCP-species-dilution-info": "", "IHCP-species-notes": "<p></p>", "IP-species-checked": "notRecommended", "IP-species-dilution-info": "", "IP-species-notes": "<p></p>", "WB-species-checked": "testedAndGuaranteed", "WB-species-dilution-info": "", "WB-species-notes": "<p></p>", "FluorescenceMicroscopy-species-checked": "notRecommended", "FluorescenceMicroscopy-species-dilution-info": "", "FluorescenceMicroscopy-species-notes": "<p></p>", "ICCIF-species-checked": "notRecommended", "ICCIF-species-dilution-info": "", "ICCIF-species-notes": "<p></p>" }, "Mouse": { "IHCP-species-checked": "predicted", "IHCP-species-dilution-info": "", "IHCP-species-notes": "", "IP-species-checked": "notRecommended", "IP-species-dilution-info": "", "IP-species-notes": "", "WB-species-checked": "predicted", "WB-species-dilution-info": "", "WB-species-notes": "", "FluorescenceMicroscopy-species-checked": "notRecommended", "FluorescenceMicroscopy-species-dilution-info": "", "FluorescenceMicroscopy-species-notes": "", "ICCIF-species-checked": "notRecommended", "ICCIF-species-dilution-info": "", "ICCIF-species-notes": "" }, "Rat": { "IHCP-species-checked": "predicted", "IHCP-species-dilution-info": "", "IHCP-species-notes": "", "IP-species-checked": "notRecommended", "IP-species-dilution-info": "", "IP-species-notes": "", "WB-species-checked": "predicted", "WB-species-dilution-info": "", "WB-species-notes": "", "FluorescenceMicroscopy-species-checked": "notRecommended", "FluorescenceMicroscopy-species-dilution-info": "", "FluorescenceMicroscopy-species-notes": "", "ICCIF-species-checked": "notRecommended", "ICCIF-species-dilution-info": "", "ICCIF-species-notes": "" } } }

Product details

ab248832 is the carrier-free version of ab137119.

Patented technology
Our RabMAb® technology is a patented hybridoma-based technology for making rabbit monoclonal antibodies. For details on our patents, please refer to RabMAb® patents.

What are the advantages of a recombinant monoclonal antibody?
This product is a recombinant monoclonal antibody, which offers several advantages including:

  • - High batch-to-batch consistency and reproducibility
  • - Improved sensitivity and specificity
  • - Long-term security of supply
  • - Animal-free batch production

For more information, read more on recombinant antibodies.

Conjugation ready
Our carrier-free antibodies are typically supplied in a PBS-only formulation, purified and free of BSA, sodium azide and glycerol. This conjugation-ready format is designed for use with fluorochromes, metal isotopes, oligonucleotides, and enzymes, which makes them ideal for antibody labelling, functional and cell-based assays, flow-based assays (e.g. mass cytometry) and Multiplex Imaging applications.

Use our conjugation kits for antibody conjugates that are ready-to-use in as little as 20 minutes with 1 minute hands-on-time and 100% antibody recovery: available for fluorescent dyes, HRP, biotin and gold.

Compatibility
This product is compatible with the Maxpar® Antibody Labeling Kit from Fluidigm, without the need for antibody preparation. Maxpar® is a trademark of Fluidigm Canada Inc.

Properties and storage information

Form
Liquid
Purification technique
Affinity purification Protein A
Storage buffer
pH: 7.2 - 7.4 Constituents: PBS
Shipped at conditions
Blue Ice
Appropriate short-term storage conditions
+4°C
Appropriate long-term storage conditions
+4°C
Storage information
Do Not Freeze

Supplementary information

This supplementary information is collated from multiple sources and compiled automatically.

P4HB is a protein known as Protein Disulfide Isomerase (PDI). It plays a significant role in catalyzing the formation of disulfide bonds. This protein helps to fold newly synthesized proteins by shuffling disulfide bonds. It has a molecular mass of around 57 kDa. P4HB is mainly expressed in the endoplasmic reticulum of cells. While its alternative name is ERp59 P4HB is integral to the protein folding machinery inside cells.
Biological function summary

P4HB functions in protein folding and assembly. By acting as a chaperone it protects proteins from misfolding and aggregation. P4HB operates as part of a larger multi-protein complex that assists in maintaining protein structure under stress conditions in the cell. Its activity ensures protein stability and proper cellular function important for cell viability and health.

Pathways

P4HB plays a central role in the unfolded protein response (UPR) and oxidative protein folding pathway. It interacts with proteins such as calnexin and calreticulin through its involvement in these pathways. During oxidative protein folding P4HB introduces disulfide bonds into nascent proteins while removing incorrect ones ensuring efficient protein quality control.

P4HB alteration has connections to diseases like cancer and neurodegenerative disorders. Its overexpression and activity can promote tumor growth by aiding cancerous cell survival through protein homeostasis. Moreover P4HB's association with amyloid precursor protein impacts the progression of Alzheimer's disease. These connections make P4HB a relevant target for research into therapeutic interventions.

Product protocols

For this product, it's our understanding that no specific protocols are required. You can visit:

Target data

This multifunctional protein catalyzes the formation, breakage and rearrangement of disulfide bonds. At the cell surface, seems to act as a reductase that cleaves disulfide bonds of proteins attached to the cell. May therefore cause structural modifications of exofacial proteins. Inside the cell, seems to form/rearrange disulfide bonds of nascent proteins. At high concentrations and following phosphorylation by FAM20C, functions as a chaperone that inhibits aggregation of misfolded proteins (PubMed : 32149426). At low concentrations, facilitates aggregation (anti-chaperone activity). May be involved with other chaperones in the structural modification of the TG precursor in hormone biogenesis. Also acts as a structural subunit of various enzymes such as prolyl 4-hydroxylase and microsomal triacylglycerol transfer protein MTTP. Receptor for LGALS9; the interaction retains P4HB at the cell surface of Th2 T helper cells, increasing disulfide reductase activity at the plasma membrane, altering the plasma membrane redox state and enhancing cell migration (PubMed : 21670307).
See full target information P4HB

Product promise

We are committed to supporting your work with high-quality reagents, and we're here for you every step of the way. In the unlikely event that one of our products does not perform as expected, you're protected by our Product Promise.
For full details, please see our Terms & Conditions

Please note: All products are 'FOR RESEARCH USE ONLY. NOT FOR USE IN DIAGNOSTIC OR THERAPEUTIC PROCEDURES'.

For licensing inquiries, please contact partnerships@abcam.com