JavaScript is disabled in your browser. Please enable JavaScript to view this website.
AB232347

Anti-P4HB antibody [EPR9499] - BSA and Azide free

Be the first to review this product! Submit a review

|

(1 Publication)

Rabbit Recombinant Monoclonal P4HB antibody. Carrier free. Suitable for ICC/IF, Flow Cyt (Intra), IHC-P, WB and reacts with Human, Rat, Mouse samples. Cited in 1 publication.

View Alternative Names

ERBA2L, PDI, PDIA1, PO4DB, P4HB, Protein disulfide-isomerase, Cellular thyroid hormone-binding protein, Prolyl 4-hydroxylase subunit beta, p55

13 Images
Flow Cytometry (Intracellular) - Anti-P4HB antibody [EPR9499] - BSA and Azide free (AB232347)
  • Flow Cyt (Intra)

Lab

Flow Cytometry (Intracellular) - Anti-P4HB antibody [EPR9499] - BSA and Azide free (AB232347)

Intracellular Flow Cytometry analysis of HeLa cells labelling P4HB with purified ab137110 at a dilution of 1/300 (red). Cells were fixed with 4% paraformaldehyde. An Alexa Fluor® 488-conjugated goat anti-rabbit IgG (1/500) was used as the secondary antibody. Black - Isotype control, rabbit monoclonal IgG. Blue - Unlabelled control, cells without incubation with primary and secondary antibodies.

This data was developed using the same antibody clone in a different buffer formulation containing PBS, BSA, glycerol, and sodium azide (ab137110).

Immunohistochemistry (Formalin/PFA-fixed paraffin-embedded sections) - Anti-P4HB antibody [EPR9499] - BSA and Azide free (AB232347)
  • IHC-P

Unknown

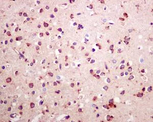
Immunohistochemistry (Formalin/PFA-fixed paraffin-embedded sections) - Anti-P4HB antibody [EPR9499] - BSA and Azide free (AB232347)

Immunohistochemistry (Formalin/PFA-fixed paraffin-embedded sections) analysis of human brain tissue labelling P4HB with unpurified ab137110 at a dilution of 1/100.

This data was developed using the same antibody clone in a different buffer formulation containing PBS, BSA, glycerol, and sodium azide (ab137110).

Perform heat mediated antigen retrieval before commencing with IHC staining protocol.

Immunohistochemistry (Formalin/PFA-fixed paraffin-embedded sections) - Anti-P4HB antibody [EPR9499] - BSA and Azide free (AB232347)
  • IHC-P

Unknown

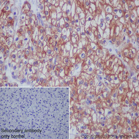
Immunohistochemistry (Formalin/PFA-fixed paraffin-embedded sections) - Anti-P4HB antibody [EPR9499] - BSA and Azide free (AB232347)

Immunohistochemistry (Formalin/PFA-fixed paraffin-embedded sections) analysis of human breast carcinoma tissue labelling P4HB with unpurified ab137110 at a dilution of 1/100.

This data was developed using the same antibody clone in a different buffer formulation containing PBS, BSA, glycerol, and sodium azide (ab137110).

Perform heat mediated antigen retrieval before commencing with IHC staining protocol.

Flow Cytometry (Intracellular) - Anti-P4HB antibody [EPR9499] - BSA and Azide free (AB232347)
  • Flow Cyt (Intra)

Unknown

Flow Cytometry (Intracellular) - Anti-P4HB antibody [EPR9499] - BSA and Azide free (AB232347)

Overlay histogram showing HepG2 cells stained with unpurified ab137110 (red line). The cells were fixed with 80% methanol (5 min) and then permeabilized with 0.1% PBS-Tween for 20 min. The cells were then incubated in 1x PBS / 10% normal goat serum / 0.3M glycine to block non-specific protein-protein interactions followed by the antibody (unpurified ab137110, 1/1000 dilution) for 30 min at 22°C. The secondary antibody used was a goat anti-rabbit Alexa Fluor® 488 (IgG H&L) (ab150077) at 1/2000 dilution for 30 min at 22°C. Isotype control antibody (black line) was rabbit IgG (monoclonal) (0.1μg/1x106 cells) used under the same conditions. Unlabelled sample (blue line) was also used as a control. Acquisition of >5,000 events were collected using a 20mW Argon ion laser (488nm) and 525/30 bandpass filter. This antibody gave a positive signal in HepG2 cells fixed with 4% paraformaldehyde (10 min)/permeabilized with 0.1% PBS-Tween for 20 min used under the same conditions.

This data was developed using the same antibody clone in a different buffer formulation containing PBS, BSA, glycerol, and sodium azide (ab137110).

Immunocytochemistry/ Immunofluorescence - Anti-P4HB antibody [EPR9499] - BSA and Azide free (AB232347)
  • ICC/IF

Lab

Immunocytochemistry/ Immunofluorescence - Anti-P4HB antibody [EPR9499] - BSA and Azide free (AB232347)

This data was developed using the same antibody clone in a different buffer formulation containing PBS and sodium azide (ab137110). ab137110 staining P4HB in A549 cells. The cells were fixed with 100% methanol (5 min), permeabilized with 0.1% PBS-Triton X-100 for 5 minutes and then blocked with 1% BSA/10% normal goat serum/0.3M glycine in 0.1%PBS-Tween for 1h. The cells were then incubated overnight at 4°C with ab137110 at 0.2µg/ml and ab7291, Mouse monoclonal [DM1A] to alpha Tubulin - Loading Control. Cells were then incubated with ab150081, Goat polyclonal Secondary Antibody to Rabbit IgG - H&L (Alexa Fluor® 488), pre-adsorbed at 1/1000 dilution (shown in green) and ab150120, Goat polyclonal Secondary Antibody to Mouse IgG - H&L (Alexa Fluor® 594), pre-adsorbed at 1/1000 dilution (shown in pseudocolour red). Nuclear DNA was labelled with DAPI (shown in blue). Also suitable in cells fixed with 4% paraformaldehyde (10 min). Image was acquired with a high-content analyser (Operetta CLS, Perkin Elmer) and a maximum intensity projection of confocal sections is shown.

Immunocytochemistry/ Immunofluorescence - Anti-P4HB antibody [EPR9499] - BSA and Azide free (AB232347)
  • ICC/IF

Lab

Immunocytochemistry/ Immunofluorescence - Anti-P4HB antibody [EPR9499] - BSA and Azide free (AB232347)

This data was developed using the same antibody clone in a different buffer formulation containing PBS and sodium azide (ab137110). ab137110 staining P4HB in MCF7 cells. The cells were fixed with 100% methanol (5 min), permeabilized with 0.1% PBS-Triton X-100 for 5 minutes and then blocked with 1% BSA/10% normal goat serum/0.3M glycine in 0.1%PBS-Tween for 1h. The cells were then incubated overnight at 4°C with ab137110 at 1µg/ml and ab7291, Mouse monoclonal [DM1A] to alpha Tubulin - Loading Control. Cells were then incubated with ab150081, Goat polyclonal Secondary Antibody to Rabbit IgG - H&L (Alexa Fluor® 488), pre-adsorbed at 1/1000 dilution (shown in green) and ab150120, Goat polyclonal Secondary Antibody to Mouse IgG - H&L (Alexa Fluor® 594), pre-adsorbed at 1/1000 dilution (shown in pseudocolour red). Nuclear DNA was labelled with DAPI (shown in blue). Also suitable in cells fixed with 4% paraformaldehyde (10 min). Image was acquired with a high-content analyser (Operetta CLS, Perkin Elmer) and a maximum intensity projection of confocal sections is shown.

Immunocytochemistry/ Immunofluorescence - Anti-P4HB antibody [EPR9499] - BSA and Azide free (AB232347)
  • ICC/IF

Lab

Immunocytochemistry/ Immunofluorescence - Anti-P4HB antibody [EPR9499] - BSA and Azide free (AB232347)

This data was developed using the same antibody clone in a different buffer formulation containing PBS and sodium azide (ab137110). ab137110 staining P4HB in HeLa cells. The cells were fixed with 100% methanol (5 min), permeabilized with 0.1% PBS-Triton X-100 for 5 minutes and then blocked with 1% BSA/10% normal goat serum/0.3M glycine in 0.1%PBS-Tween for 1h. The cells were then incubated overnight at 4°C with ab137110 at 0.2µg/ml and ab7291, Mouse monoclonal [DM1A] to alpha Tubulin - Loading Control. Cells were then incubated with ab150081, Goat polyclonal Secondary Antibody to Rabbit IgG - H&L (Alexa Fluor® 488), pre-adsorbed at 1/1000 dilution (shown in green) and ab150120, Goat polyclonal Secondary Antibody to Mouse IgG - H&L (Alexa Fluor® 594), pre-adsorbed at 1/1000 dilution (shown in pseudocolour red). Nuclear DNA was labelled with DAPI (shown in blue). Also suitable in cells fixed with 4% paraformaldehyde (10 min). Image was acquired with a high-content analyser (Operetta CLS, Perkin Elmer) and a maximum intensity projection of confocal sections is shown.

Immunocytochemistry/ Immunofluorescence - Anti-P4HB antibody [EPR9499] - BSA and Azide free (AB232347)
  • ICC/IF

Lab

Immunocytochemistry/ Immunofluorescence - Anti-P4HB antibody [EPR9499] - BSA and Azide free (AB232347)

This data was developed using the same antibody clone in a different buffer formulation containing PBS and sodium azide (ab137110). ab137110 staining P4HB in wild-type A431 cells (top panel) and P4HB knockout A431 cells (bottom panel). The cells were fixed with 100% methanol (5 min), permeabilized with 0.1% PBS-Triton X-100 for 5 minutes and then blocked with 1% BSA/10% normal goat serum/0.3M glycine in 0.1%PBS-Tween for 1h. The cells were then incubated overnight at 4°C with ab137110 at 1µg/ml and ab7291, Mouse monoclonal [DM1A] to alpha Tubulin - Loading Control. Cells were then incubated with ab150081, Goat polyclonal Secondary Antibody to Rabbit IgG - H&L (Alexa Fluor® 488), pre-adsorbed at 1/1000 dilution (shown in green) and ab150120, Goat polyclonal Secondary Antibody to Mouse IgG - H&L (Alexa Fluor® 594), pre-adsorbed at 1/1000 dilution (shown in pseudocolour red). Nuclear DNA was labelled with DAPI (shown in blue). Also suitable in cells fixed with 4% paraformaldehyde (10 min). Image was acquired with a high-content analyser (Operetta CLS, Perkin Elmer) and a maximum intensity projection of confocal sections is shown.

Immunocytochemistry/ Immunofluorescence - Anti-P4HB antibody [EPR9499] - BSA and Azide free (AB232347)
  • ICC/IF

Lab

Immunocytochemistry/ Immunofluorescence - Anti-P4HB antibody [EPR9499] - BSA and Azide free (AB232347)

This data was developed using the same antibody clone in a different buffer formulation containing PBS and sodium azide (ab137110). ab137110 staining P4HB in U2OS cells. The cells were fixed with 100% methanol (5 min), permeabilized with 0.1% PBS-Triton X-100 for 5 minutes and then blocked with 1% BSA/10% normal goat serum/0.3M glycine in 0.1%PBS-Tween for 1h. The cells were then incubated overnight at 4°C with ab137110 at 0.2µg/ml and ab7291, Mouse monoclonal [DM1A] to alpha Tubulin - Loading Control. Cells were then incubated with ab150081, Goat polyclonal Secondary Antibody to Rabbit IgG - H&L (Alexa Fluor® 488), pre-adsorbed at 1/1000 dilution (shown in green) and ab150120, Goat polyclonal Secondary Antibody to Mouse IgG - H&L (Alexa Fluor® 594), pre-adsorbed at 1/1000 dilution (shown in pseudocolour red). Nuclear DNA was labelled with DAPI (shown in blue). Also suitable in cells fixed with 4% paraformaldehyde (10 min). Image was acquired with a high-content analyser (Operetta CLS, Perkin Elmer) and a maximum intensity projection of confocal sections is shown.

Immunocytochemistry/ Immunofluorescence - Anti-P4HB antibody [EPR9499] - BSA and Azide free (AB232347)
  • ICC/IF

Lab

Immunocytochemistry/ Immunofluorescence - Anti-P4HB antibody [EPR9499] - BSA and Azide free (AB232347)

Immunocytochemistry/Immunofluorescence analysis of HeLa cells labelling P4HB with purified ab137110 at a dilution of 1/150. Cells were fixed with 100% methanol and permeabilized with 0.1% Triton X-100. ab150077, an Alexa Fluor® 488-conjugated goat anti-rabbit IgG (1/1000) was used as the secondary antibody. DAPI (blue) was used as the nuclear counterstain. ab7291, a mouse anti-tubulin (1/1000) and ab150120, an Alexa Fluor® 594-conjugated goat anti-mouse IgG (1/1000) were also used.

Control 1 : primary antibody (1/150) and secondary antibody, ab150120, an Alexa Fluor® 594-conjugated goat anti-mouse IgG (1/1000).

Control 2 : ab7291 (1/1000) and secondary antibody, ab150077, an Alexa Fluor® 488-conjugated goat anti-rabbit IgG (1/1000).

This data was developed using the same antibody clone in a different buffer formulation containing PBS, BSA, glycerol, and sodium azide (ab137110).

Immunohistochemistry (Formalin/PFA-fixed paraffin-embedded sections) - Anti-P4HB antibody [EPR9499] - BSA and Azide free (AB232347)
  • IHC-P

Lab

Immunohistochemistry (Formalin/PFA-fixed paraffin-embedded sections) - Anti-P4HB antibody [EPR9499] - BSA and Azide free (AB232347)

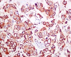
Immunohistochemistry (Formalin/PFA-fixed paraffin-embedded sections) analysis of human kidney carcinoma tissue labelling P4HB with purified ab137110 at a dilution of 1/1000. Heat mediated antigen retrieval was performed using Tris/EDTA buffer pH 9. ab97051, a HRP-conjugated goat anti-rabbit IgG (H+L) was used as the secondary antibody (1/500). Negative control using PBS instead of primary antibody. Counterstained with hematoxylin.

This data was developed using the same antibody clone in a different buffer formulation containing PBS, BSA, glycerol, and sodium azide (ab137110).

Immunohistochemistry (Formalin/PFA-fixed paraffin-embedded sections) - Anti-P4HB antibody [EPR9499] - BSA and Azide free (AB232347)
  • IHC-P

Lab

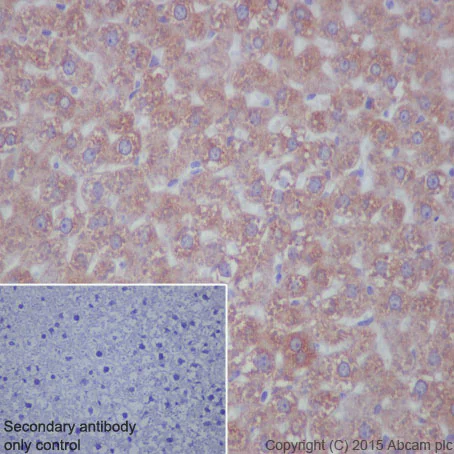
Immunohistochemistry (Formalin/PFA-fixed paraffin-embedded sections) - Anti-P4HB antibody [EPR9499] - BSA and Azide free (AB232347)

Immunohistochemistry (Formalin/PFA-fixed paraffin-embedded sections) analysis of rat liver tissue labelling P4HB with purified ab137110 at a dilution of 1/1000. Heat mediated antigen retrieval was performed using Tris/EDTA buffer pH 9. ab97051, a HRP-conjugated goat anti-rabbit IgG (H+L) was used as the secondary antibody (1/500). Negative control using PBS instead of primary antibody. Counterstained with hematoxylin.

This data was developed using the same antibody clone in a different buffer formulation containing PBS, BSA, glycerol, and sodium azide (ab137110).

Immunohistochemistry (Formalin/PFA-fixed paraffin-embedded sections) - Anti-P4HB antibody [EPR9499] - BSA and Azide free (AB232347)
  • IHC-P

Lab

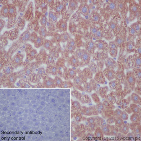
Immunohistochemistry (Formalin/PFA-fixed paraffin-embedded sections) - Anti-P4HB antibody [EPR9499] - BSA and Azide free (AB232347)

Immunohistochemistry (Formalin/PFA-fixed paraffin-embedded sections) analysis of mouse liver tissue labelling P4HB with purified ab137110 at a dilution of 1/1000. Heat mediated antigen retrieval was performed using Tris/EDTA buffer pH 9. ab97051, a HRP-conjugated goat anti-rabbit IgG (H+L) was used as the secondary antibody (1/500). Negative control using PBS instead of primary antibody. Counterstained with hematoxylin.

This data was developed using the same antibody clone in a different buffer formulation containing PBS, BSA, glycerol, and sodium azide (ab137110).

Key facts

Host species

Rabbit

Clonality

Monoclonal

Clone number

EPR9499

Isotype

IgG

Carrier free

Yes

Reacts with

Rat, Human, Mouse

Applications

IHC-P, Flow Cyt (Intra), ICC/IF, WB

applications

Immunogen

The exact immunogen used to generate this antibody is proprietary information.

Reactivity data

{ "title": "Reactivity Data", "filters": { "stats": ["", "Species", "Dilution Info", "Notes"], "tabs": { "all-applications": {"fullname" : "All Applications", "shortname": "All Applications"}, "ICCIF" : {"fullname" : "Immunocytochemistry/ Immunofluorescence", "shortname":"ICC/IF"}, "FlowCytIntra" : {"fullname" : "Flow Cytometry (Intracellular)", "shortname":"Flow Cyt (Intra)"}, "IHCP" : {"fullname" : "Immunohistochemistry (Formalin/PFA-fixed paraffin-embedded sections)", "shortname":"IHC-P"}, "WB" : {"fullname" : "Western blot", "shortname":"WB"} }, "product-promise": { "all": "all", "testedAndGuaranteed": "tested", "guaranteed": "expected", "predicted": "predicted", "notRecommended": "not-recommended" } }, "values": { "Human": { "ICCIF-species-checked": "testedAndGuaranteed", "ICCIF-species-dilution-info": "", "ICCIF-species-notes": "<p></p>", "FlowCytIntra-species-checked": "testedAndGuaranteed", "FlowCytIntra-species-dilution-info": "", "FlowCytIntra-species-notes": "<p><a href='/en-us/products/primary-antibodies/rabbit-igg-monoclonal-epr25a-isotype-control-ab172730'>ab172730</a> - Rabbit monoclonal IgG, is suitable for use as an isotype control with this antibody.</p>", "IHCP-species-checked": "testedAndGuaranteed", "IHCP-species-dilution-info": "", "IHCP-species-notes": "<p></p>", "WB-species-checked": "testedAndGuaranteed", "WB-species-dilution-info": "", "WB-species-notes": "<p></p>" }, "Mouse": { "ICCIF-species-checked": "guaranteed", "ICCIF-species-dilution-info": "", "ICCIF-species-notes": "", "FlowCytIntra-species-checked": "guaranteed", "FlowCytIntra-species-dilution-info": "", "FlowCytIntra-species-notes": "", "IHCP-species-checked": "testedAndGuaranteed", "IHCP-species-dilution-info": "", "IHCP-species-notes": "<p></p>", "WB-species-checked": "guaranteed", "WB-species-dilution-info": "", "WB-species-notes": "" }, "Rat": { "ICCIF-species-checked": "guaranteed", "ICCIF-species-dilution-info": "", "ICCIF-species-notes": "", "FlowCytIntra-species-checked": "guaranteed", "FlowCytIntra-species-dilution-info": "", "FlowCytIntra-species-notes": "", "IHCP-species-checked": "testedAndGuaranteed", "IHCP-species-dilution-info": "", "IHCP-species-notes": "<p></p>", "WB-species-checked": "guaranteed", "WB-species-dilution-info": "", "WB-species-notes": "" } } }

Product details

ab232347 is the carrier-free version of ab137110.

Patented technology
Our RabMAb® technology is a patented hybridoma-based technology for making rabbit monoclonal antibodies. For details on our patents, please refer to RabMAb® patents.

What are the advantages of a recombinant monoclonal antibody?
This product is a recombinant monoclonal antibody, which offers several advantages including:

  • - High batch-to-batch consistency and reproducibility
  • - Improved sensitivity and specificity
  • - Long-term security of supply
  • - Animal-free batch production

For more information, read more on recombinant antibodies.

Conjugation ready
Our carrier-free antibodies are typically supplied in a PBS-only formulation, purified and free of BSA, sodium azide and glycerol. This conjugation-ready format is designed for use with fluorochromes, metal isotopes, oligonucleotides, and enzymes, which makes them ideal for antibody labelling, functional and cell-based assays, flow-based assays (e.g. mass cytometry) and Multiplex Imaging applications.

Use our conjugation kits for antibody conjugates that are ready-to-use in as little as 20 minutes with 1 minute hands-on-time and 100% antibody recovery: available for fluorescent dyes, HRP, biotin and gold.

Compatibility
This product is compatible with the Maxpar® Antibody Labeling Kit from Fluidigm, without the need for antibody preparation. Maxpar® is a trademark of Fluidigm Canada Inc.

Properties and storage information

Form
Liquid
Purification technique
Affinity purification Protein A
Storage buffer
pH: 7.2 - 7.4 Constituents: PBS
Shipped at conditions
Blue Ice
Appropriate short-term storage conditions
+4°C
Appropriate long-term storage conditions
+4°C
Storage information
Do Not Freeze

Supplementary information

This supplementary information is collated from multiple sources and compiled automatically.

P4HB is a protein known as Protein Disulfide Isomerase (PDI). It plays a significant role in catalyzing the formation of disulfide bonds. This protein helps to fold newly synthesized proteins by shuffling disulfide bonds. It has a molecular mass of around 57 kDa. P4HB is mainly expressed in the endoplasmic reticulum of cells. While its alternative name is ERp59 P4HB is integral to the protein folding machinery inside cells.
Biological function summary

P4HB functions in protein folding and assembly. By acting as a chaperone it protects proteins from misfolding and aggregation. P4HB operates as part of a larger multi-protein complex that assists in maintaining protein structure under stress conditions in the cell. Its activity ensures protein stability and proper cellular function important for cell viability and health.

Pathways

P4HB plays a central role in the unfolded protein response (UPR) and oxidative protein folding pathway. It interacts with proteins such as calnexin and calreticulin through its involvement in these pathways. During oxidative protein folding P4HB introduces disulfide bonds into nascent proteins while removing incorrect ones ensuring efficient protein quality control.

P4HB alteration has connections to diseases like cancer and neurodegenerative disorders. Its overexpression and activity can promote tumor growth by aiding cancerous cell survival through protein homeostasis. Moreover P4HB's association with amyloid precursor protein impacts the progression of Alzheimer's disease. These connections make P4HB a relevant target for research into therapeutic interventions.

Product protocols

For this product, it's our understanding that no specific protocols are required. You can visit:

Target data

This multifunctional protein catalyzes the formation, breakage and rearrangement of disulfide bonds. At the cell surface, seems to act as a reductase that cleaves disulfide bonds of proteins attached to the cell. May therefore cause structural modifications of exofacial proteins. Inside the cell, seems to form/rearrange disulfide bonds of nascent proteins. At high concentrations and following phosphorylation by FAM20C, functions as a chaperone that inhibits aggregation of misfolded proteins (PubMed : 32149426). At low concentrations, facilitates aggregation (anti-chaperone activity). May be involved with other chaperones in the structural modification of the TG precursor in hormone biogenesis. Also acts as a structural subunit of various enzymes such as prolyl 4-hydroxylase and microsomal triacylglycerol transfer protein MTTP. Receptor for LGALS9; the interaction retains P4HB at the cell surface of Th2 T helper cells, increasing disulfide reductase activity at the plasma membrane, altering the plasma membrane redox state and enhancing cell migration (PubMed : 21670307).
See full target information P4HB

Publications (1)

Recent publications for all applications. Explore the full list and refine your search

Acta neuropathologica communications 12:37 PubMed38429841

2024

Prophylactic nicotinamide treatment protects from rotenone-induced neurodegeneration by increasing mitochondrial content and volume.

Applications

Unspecified application

Species

Unspecified reactive species

Amin Otmani,Gauti Jóhannesson,Rune Brautaset,James R Tribble,Pete A Williams
View all publications

Product promise

We are committed to supporting your work with high-quality reagents, and we're here for you every step of the way. In the unlikely event that one of our products does not perform as expected, you're protected by our Product Promise.
For full details, please see our Terms & Conditions

Please note: All products are 'FOR RESEARCH USE ONLY. NOT FOR USE IN DIAGNOSTIC OR THERAPEUTIC PROCEDURES'.

For licensing inquiries, please contact partnerships@abcam.com