JavaScript is disabled in your browser. Please enable JavaScript to view this website.
AB2792

Anti-P4HB antibody [RL90]

4

(48 Reviews)

|

(251 Publications)

Anti-P4HB antibody [RL90] (ab2792) is a mouse monoclonal antibody detecting P4HB in Western Blot, Flow Cytometry, IP, IHC-P, IHC-Fr, ICC/IF, ELISA, EM. Suitable for African green monkey, Dog, Hamster, Human, Monkey, Mouse, Pig, Rat.

- Over 220 publications
- Trusted since 2003

View Alternative Names

ERBA2L, PDI, PDIA1, PO4DB, P4HB, Protein disulfide-isomerase, Cellular thyroid hormone-binding protein, Prolyl 4-hydroxylase subunit beta, p55

19 Images
Immunocytochemistry/ Immunofluorescence - Anti-P4HB antibody [RL90] (AB2792)
  • ICC/IF

Lab

Immunocytochemistry/ Immunofluorescence - Anti-P4HB antibody [RL90] (AB2792)

ab2792 staining P4HB in wild-type A431 cells (top panel) and P4HB knockout A431 cells (bottom panel). The cells were fixed with 100% methanol (5 min), permeabilized with 0.1% PBS-Triton X-100 for 5 minutes and then blocked with 1% BSA/10% normal goat serum/0.3M glycine in 0.1%PBS-Tween for 1h. The cells were then incubated overnight at 4°C with ab2792 at 1µg/ml and ab6046, Rabbit polyclonal to beta Tubulin - Loading Control. Cells were then incubated with ab150117, Goat polyclonal Secondary Antibody to Mouse IgG H&L (Alexa Fluor® 488) preadsorbed at 1/1000 dilution (shown in green) and ab150084, Goat Anti-Rabbit IgG H&L (Alexa Fluor® 594) preadsorbed at 1/1000 dilution (shown in pseudocolour red). Nuclear DNA was labelled with DAPI (shown in blue). Also suitable in cells fixed with 4% paraformaldehyde (10 min). Image was acquired with a high-content analyser (Operetta CLS, Perkin Elmer) and a maximum intensity projection of confocal sections is shown.

Flow Cytometry - Anti-P4HB antibody [RL90] (AB2792)
  • Flow Cyt

Unknown

Flow Cytometry - Anti-P4HB antibody [RL90] (AB2792)

Overlay histogram showing HeLa cells stained with ab2792 (red line). The cells were fixed with 80% methanol (5 min) and then permeabilized with 0.1% PBS-Tween for 20 min. The cells were then incubated in 1x PBS / 10% normal goat serum / 0.3M glycine to block non-specific protein-protein interactions followed by the antibody (ab2792, 0.5μg/1x106 cells) for 30 min at 22°C. The secondary antibody used was DyLight® 488 goat anti-mouse IgG (H+L) (ab96879) at 1/500 dilution for 30 min at 22°C. Isotype control antibody (black line) was mouse IgG2a [ICIGG2A] (ab91361, 1μg/1x106 cells) used under the same conditions. Acquisition of >5,000 events was performed.

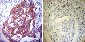
Immunohistochemistry (Formalin/PFA-fixed paraffin-embedded sections) - Anti-P4HB antibody [RL90] (AB2792)
  • IHC-P

Unknown

Immunohistochemistry (Formalin/PFA-fixed paraffin-embedded sections) - Anti-P4HB antibody [RL90] (AB2792)

Immunohistochemistry was performed on both normal and cancer biopsies of deparaffinized Human tonsil tissue tissues. To expose target proteins heat induced antigen retrieval was performed using 10mM sodium citrate (pH6.0) buffer microwaved for 8-15 minutes. Following antigen retrieval tissues were blocked in 3% BSA-PBS for 30 minutes at room temperature. Tissues were then probed at a dilution of 1 : 200 with a mouse monoclonal antibody recognizing P4HB (PDIA1) ab2792 or without primary antibody (negative control) overnight at 4°C in a humidified chamber. Tissues were washed extensively with PBST and endogenous peroxidase activity was quenched with a peroxidase suppressor. Detection was performed using a biotin-conjugated secondary antibody and SA-HRP followed by colorimetric detection using DAB. Tissues were counterstained with hematoxylin and prepped for mounting.

Flow Cytometry - Anti-P4HB antibody [RL90] (AB2792)
  • Flow Cyt

Unknown

Flow Cytometry - Anti-P4HB antibody [RL90] (AB2792)

Flow cytometry analysis of P4HB (PDIA1) showing positive staining in the membrane and cytoplasm of Hela cells compared to an isotype control (blue). Cells were harvested and adjusted to a concentration of 1-5x10^6 cells/ml. Cells were then fixed with 2% paraformaldehyde and washed with PBS. Cells were blocked with a 2% solution of BSA-PBS for 30 min at room temperature and incubated with ab2792 at 1 ug/test for 60 min at room temperature. Cells were then incubated for 40 min at room temperature in the dark using a Dylight 488-conjugated goat anti-mouse IgG (H+L) secondary antibody and re-suspended in PBS for FACS analysis.

Flow Cytometry - Anti-P4HB antibody [RL90] (AB2792)
  • Flow Cyt

Unknown

Flow Cytometry - Anti-P4HB antibody [RL90] (AB2792)

Flow cytometry analysis of P4HB (PDIA1) showing positive staining in the membrane and cytoplasm of K562 cells compared to an isotype control (blue). Cells were harvested and adjusted to a concentration of 1-5x10^6 cells/ml. Cells were then fixed with 2% paraformaldehyde and washed with PBS. Cells were blocked with a 2% solution of BSA-PBS for 30 min at room temperature and incubated with ab2792 at 1 ug/test for 60 min at room temperature. Cells were then incubated for 40 min at room temperature in the dark using a Dylight 488-conjugated goat anti-mouse IgG (H+L) secondary antibody and re-suspended in PBS for FACS analysis.

Immunocytochemistry/ Immunofluorescence - Anti-P4HB antibody [RL90] (AB2792)
  • ICC/IF

AbReview47055****

Immunocytochemistry/ Immunofluorescence - Anti-P4HB antibody [RL90] (AB2792)

ab2792 staining P4HB (PDIA1) in MDA MB 231 cells by ICC/IF (Immunocytochemistry/immunofluorescence). Cells were fixed with formaldehyde, permeabilized with 1% Triton X-100 and blocked with 10% BSA for 1 hour at 21°C. Samples were incubated with primary antibody (1/100 in BSA + 0.02% Tween 20) for 1 hour at 16°C. A DyLight® 550-conjugated goat anti-mouse IgG polyclonal (1/500) was used as the secondary antibody.

This image is courtesy of an anonymous Abreview

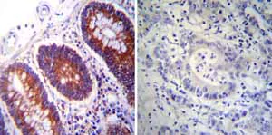
Immunohistochemistry (Formalin/PFA-fixed paraffin-embedded sections) - Anti-P4HB antibody [RL90] (AB2792)
  • IHC-P

Unknown

Immunohistochemistry (Formalin/PFA-fixed paraffin-embedded sections) - Anti-P4HB antibody [RL90] (AB2792)

Immunohistochemistry was performed on both normal and cancer biopsies of deparaffinized Human colon tissue tissues. To expose target proteins heat induced antigen retrieval was performed using 10mM sodium citrate (pH6.0) buffer microwaved for 8-15 minutes. Following antigen retrieval tissues were blocked in 3% BSA-PBS for 30 minutes at room temperature. Tissues were then probed at a dilution of 1 : 200 with a mouse monoclonal antibody recognizing P4HB (PDIA1) ab2792 or without primary antibody (negative control) overnight at 4°C in a humidified chamber. Tissues were washed extensively with PBST and endogenous peroxidase activity was quenched with a peroxidase suppressor. Detection was performed using a biotin-conjugated secondary antibody and SA-HRP followed by colorimetric detection using DAB. Tissues were counterstained with hematoxylin and prepped for mounting.

Immunocytochemistry/ Immunofluorescence - Anti-P4HB antibody [RL90] (AB2792)
  • ICC/IF

AbReview14511****

Immunocytochemistry/ Immunofluorescence - Anti-P4HB antibody [RL90] (AB2792)

ab2792 staining P4HB (PDIA1) from human HaCaT keratinocyte cells by Immunocytochemistry/ Immunofluorescence. Cells were fixed with paraformaldehyde, permeabilized with 0.25 % Triton ×100 and blocking with 2.5% BSA plus 1% goat serum for 1 hour at 4°C was performed. Samples were incubated with primary antibody, diluted 1/100, for 1 hour at 240C. An Alexa Fluor® 488-conjugated goat polyclonal to mouse IgG was used at dilution at 1/1000 as secondary antibody.

This image is a courtesy of Anonymous Abreview

Immunocytochemistry/ Immunofluorescence - Anti-P4HB antibody [RL90] (AB2792)
  • ICC/IF

Lab

Immunocytochemistry/ Immunofluorescence - Anti-P4HB antibody [RL90] (AB2792)

ab2792 staining P4HB in MCF7 cells. The cells were fixed with 100% methanol (5 min), permeabilized with 0.1% PBS-Triton X-100 for 5 minutes and then blocked with 1% BSA/10% normal goat serum/0.3M glycine in 0.1%PBS-Tween for 1h. The cells were then incubated overnight at 4°C with ab2792 at 1µg/ml and ab6046, Rabbit polyclonal to beta Tubulin - Loading Control. Cells were then incubated with ab150117, Goat polyclonal Secondary Antibody to Mouse IgG H&L (Alexa Fluor® 488) preadsorbed at 1/1000 dilution (shown in green) and ab150084, Goat Anti-Rabbit IgG H&L (Alexa Fluor® 594) preadsorbed at 1/1000 dilution (shown in pseudocolour red). Nuclear DNA was labelled with DAPI (shown in blue). Also suitable in cells fixed with 4% paraformaldehyde (10 min). Image was acquired with a high-content analyser (Operetta CLS, Perkin Elmer) and a maximum intensity projection of confocal sections is shown.

Immunocytochemistry/ Immunofluorescence - Anti-P4HB antibody [RL90] (AB2792)
  • ICC/IF

Lab

Immunocytochemistry/ Immunofluorescence - Anti-P4HB antibody [RL90] (AB2792)

ab2792 staining P4HB in U2OS cells. The cells were fixed with 100% methanol (5 min), permeabilized with 0.1% PBS-Triton X-100 for 5 minutes and then blocked with 1% BSA/10% normal goat serum/0.3M glycine in 0.1%PBS-Tween for 1h. The cells were then incubated overnight at 4°C with ab2792 at 0.2µg/ml and ab6046, Rabbit polyclonal to beta Tubulin - Loading Control. Cells were then incubated with ab150117, Goat polyclonal Secondary Antibody to Mouse IgG H&L (Alexa Fluor® 488) preadsorbed at 1/1000 dilution (shown in green) and ab150084, Goat Anti-Rabbit IgG H&L (Alexa Fluor® 594) preadsorbed at 1/1000 dilution (shown in pseudocolour red). Nuclear DNA was labelled with DAPI (shown in blue). Also suitable in cells fixed with 4% paraformaldehyde (10 min). Image was acquired with a high-content analyser (Operetta CLS, Perkin Elmer) and a maximum intensity projection of confocal sections is shown.

Immunocytochemistry/ Immunofluorescence - Anti-P4HB antibody [RL90] (AB2792)
  • ICC/IF

Lab

Immunocytochemistry/ Immunofluorescence - Anti-P4HB antibody [RL90] (AB2792)

ab2792 staining P4HB in A549 cells. The cells were fixed with 4% paraformaldehyde (10 min), permeabilized with 0.1% PBS-Triton X-100 for 5 minutes and then blocked with 1% BSA/10% normal goat serum/0.3M glycine in 0.1%PBS-Tween for 1h. The cells were then incubated overnight at 4°C with ab2792 at 0.2µg/ml and ab6046, Rabbit polyclonal to beta Tubulin - Loading Control. Cells were then incubated with ab150117, Goat polyclonal Secondary Antibody to Mouse IgG H&L (Alexa Fluor® 488) preadsorbed at 1/1000 dilution (shown in green) and ab150084, Goat Anti-Rabbit IgG H&L (Alexa Fluor® 594) preadsorbed at 1/1000 dilution (shown in pseudocolour red). Nuclear DNA was labelled with DAPI (shown in blue). Also suitable in cells fixed with 100% methanol (5 min). Image was acquired with a high-content analyser (Operetta CLS, Perkin Elmer) and a maximum intensity projection of confocal sections is shown.

Immunocytochemistry/ Immunofluorescence - Anti-P4HB antibody [RL90] (AB2792)
  • ICC/IF

Lab

Immunocytochemistry/ Immunofluorescence - Anti-P4HB antibody [RL90] (AB2792)

ab2792 staining P4HB in HeLa cells. The cells were fixed with 4% paraformaldehyde (10 min), permeabilized with 0.1% PBS-Triton X-100 for 5 minutes and then blocked with 1% BSA/10% normal goat serum/0.3M glycine in 0.1%PBS-Tween for 1h. The cells were then incubated overnight at 4°C with ab2792 at 0.2µg/ml and ab6046, Rabbit polyclonal to beta Tubulin - Loading Control. Cells were then incubated with ab150117, Goat polyclonal Secondary Antibody to Mouse IgG H&L (Alexa Fluor® 488) preadsorbed at 1/1000 dilution (shown in green) and ab150084, Goat Anti-Rabbit IgG H&L (Alexa Fluor® 594) preadsorbed at 1/1000 dilution (shown in pseudocolour red). Nuclear DNA was labelled with DAPI (shown in blue). Also suitable in cells fixed with 100% methanol (5 min). Image was acquired with a high-content analyser (Operetta CLS, Perkin Elmer) and a maximum intensity projection of confocal sections is shown.

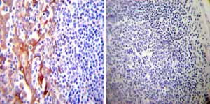
Immunohistochemistry (Formalin/PFA-fixed paraffin-embedded sections) - Anti-P4HB antibody [RL90] (AB2792)
  • IHC-P

Unknown

Immunohistochemistry (Formalin/PFA-fixed paraffin-embedded sections) - Anti-P4HB antibody [RL90] (AB2792)

Immunohistochemistry was performed on both normal and cancer biopsies of deparaffinized Human lung adenocarcinoma tissues. To expose target proteins heat induced antigen retrieval was performed using 10mM sodium citrate (pH6.0) buffer microwaved for 8-15 minutes. Following antigen retrieval tissues were blocked in 3% BSA-PBS for 30 minutes at room temperature. Tissues were then probed at a dilution of 1 : 200 with a mouse monoclonal antibody recognizing P4HB (PDIA1) ab2792 or without primary antibody (negative control) overnight at 4°C in a humidified chamber. Tissues were washed extensively with PBST and endogenous peroxidase activity was quenched with a peroxidase suppressor. Detection was performed using a biotin-conjugated secondary antibody and SA-HRP followed by colorimetric detection using DAB. Tissues were counterstained with hematoxylin and prepped for mounting.

Immunocytochemistry/ Immunofluorescence - Anti-P4HB antibody [RL90] (AB2792)
  • ICC/IF

Supplier Data

Immunocytochemistry/ Immunofluorescence - Anti-P4HB antibody [RL90] (AB2792)

Immunocytochemistry/Immunofluorescence analysis of P4HB (PDIA1) (green) in NIH 3T3 cells. Formalin fixed cells were permeabilized with 0.1% Triton X-100 in PBS for 10 minutes at room temperature and blocked with 2% BSA in PBS + 0.1% Triton X-100 for 30 minutes at room temperature. Cells were probed with ab2792 (1 : 75) for at least 1 hour at room temperature and incubated with Dylight 488 goat anti-mouse IgG secondary antibody (1 : 250) for 30 minutes at room temperature. Actin was stained with Dylight 350 Phalloidin at a dilution of 1 : 120 (2.5units/ml final concentration) and nuclei (red) were stained with DRAQ5 at a concentration of 1ug/ml for 30 minutes. Images were taken at 20X magnification.

Flow Cytometry - Anti-P4HB antibody [RL90] (AB2792)
  • Flow Cyt

Unknown

Flow Cytometry - Anti-P4HB antibody [RL90] (AB2792)

Flow cytometry analysis of P4HB (PDIA1) showing positive staining in the membrane and cytoplasm of NIH/3T3 cells compared to an isotype control (blue). Cells were harvested and adjusted to a concentration of 1-5x10^6 cells/ml. Cells were then fixed with 2% paraformaldehyde and washed with PBS. Cells were blocked with a 2% solution of BSA-PBS for 30 min at room temperature and incubated with ab2792 at 0.5 ug/test for 60 min at room temperature. Cells were then incubated for 40 min at room temperature in the dark using a Dylight 488-conjugated goat anti-mouse IgG (H+L) secondary antibody and re-suspended in PBS for FACS analysis.

Western blot - Anti-P4HB antibody [RL90] (AB2792)
  • WB

Unknown

Western blot - Anti-P4HB antibody [RL90] (AB2792)

Western blot analysis of P4HB (PDIA1) was performed by loading 25 ug of HepG2 (Lane 1) Hela (Lane 2) and NIH-3T3 (Lane 3) cell lysates onto an SDS polyacrylamide gel. Proteins were transferred to a PVDF membrane and blocked at 4°C overnight. The membrane was probed with ab2792 at 1 : 1000 overnight at 4°C and washed in TBST. The membrane was then probed with a HRP-conjugated secondary antibody for 1 hr at room temperature in the dark. Chemiluminescent detection was performed using a ECL Plus Western Blotting Substrate. Results show a band at approx. 57 kDa.

All lanes:

Western blot - Anti-P4HB antibody [RL90] (ab2792)

Predicted band size: 57 kDa

false

Western blot - Anti-P4HB antibody [RL90] (AB2792)
  • WB

AbReview17092****

Western blot - Anti-P4HB antibody [RL90] (AB2792)

10% SDS-PAGE.

Blocked with 5% milk for 1 hour at 22°C.

Incubated with the primary for 16 hours at 4°C in PBS + 2.5% milk + 0.05% Tween20.

All lanes:

Western blot - Anti-P4HB antibody [RL90] (ab2792) at 1/1000 dilution

All lanes:

HT1080 whole cell lysate at 20000 Cells

Secondary

All lanes:

HRP-conjugated sheep anti-mouse IgG at 1/5000 dilution

Predicted band size: 57 kDa

Observed band size: 57 kDa

true

Exposure time: 20s

Western blot - Anti-P4HB antibody [RL90] (AB2792)
  • WB

AbReview15709****

Western blot - Anti-P4HB antibody [RL90] (AB2792)

All lanes:

Western blot - Anti-P4HB antibody [RL90] (ab2792) at 1/2000 dilution

Secondary

All lanes:

Donkey anti mouse IgG2a at 1/10000 dilution

Predicted band size: 57 kDa

Observed band size: 57 kDa

true

Exposure time: 20s

This image is courtesy of an anonymous Abreview

Western blot - Anti-P4HB antibody [RL90] (AB2792)
  • WB

Supplier Data

Western blot - Anti-P4HB antibody [RL90] (AB2792)

All lanes:

Western blot - Anti-P4HB antibody [RL90] (ab2792) at 1/2000 dilution

Lane 1:

HeLa (human epithelial cell line from cervix adenocarcinoma) whole cell lysate at 30 µg

Lane 2:

A431 (human epidermoid carcinoma cell line) whole cell lysate at 30 µg

Lane 3:

NIH/3T3 (mouse embryo fibroblast cell line) whole cell lysate at 30 µg

Lane 4:

A-375 (human malignant melanoma cell line) whole cell lysate at 30 µg

Lane 5:

HepG2 (human liver hepatocellular carcinoma cell line) whole cell lysate at 30 µg

Lane 6:

HL-60 (human promyelocytic leukemia cell line) whole cell lysate at 30 µg

Lane 7:

PC-12 (rat adrenal gland pheochromocytoma cell line) whole cell lysate at 30 µg

Secondary

All lanes:

Goat anti-Mouse IgG H+L (HRP) at 1/4000 dilution

Predicted band size: 57 kDa

Observed band size: 57 kDa

false

Key facts

Host species

Mouse

Clonality

Monoclonal

Clone number

RL90

Isotype

IgG2a

Carrier free

No

Reacts with

Mouse, Rat, Dog, Human, Monkey, Hamster, African green monkey, Pig

Applications

EM, Flow Cyt, IP, IHC-Fr, WB, ELISA, FuncS (Neut/Block), IHC-P, ICC/IF

applications

Immunogen

Native Full Length Protein corresponding to Rat P4hb.

P04785

Reactivity data

{ "title": "Reactivity Data", "filters": { "stats": ["", "Species", "Dilution Info", "Notes"], "tabs": { "all-applications": {"fullname" : "All Applications", "shortname": "All Applications"}, "IP" : {"fullname" : "Immunoprecipitation", "shortname":"IP"}, "EM" : {"fullname" : "Electron Microscopy", "shortname":"EM"}, "FlowCyt" : {"fullname" : "Flow Cytometry", "shortname":"Flow Cyt"}, "ELISA" : {"fullname" : "ELISA", "shortname":"ELISA"}, "WB" : {"fullname" : "Western blot", "shortname":"WB"}, "ICCIF" : {"fullname" : "Immunocytochemistry/ Immunofluorescence", "shortname":"ICC/IF"}, "FuncSNeutBlock" : {"fullname" : "Functional Studies (Neut/Block)", "shortname":"FuncS (Neut/Block)"}, "IHCFr" : {"fullname" : "Immunohistochemistry (Frozen sections)", "shortname":"IHC-Fr"}, "IHCP" : {"fullname" : "Immunohistochemistry (Formalin/PFA-fixed paraffin-embedded sections)", "shortname":"IHC-P"} }, "product-promise": { "all": "all", "testedAndGuaranteed": "tested", "guaranteed": "expected", "predicted": "predicted", "notRecommended": "not-recommended" } }, "values": { "Human": { "IP-species-checked": "guaranteed", "IP-species-dilution-info": "", "IP-species-notes": "<p>This antibody has been shown to inhibit the activity of PDI in vitro. It has also been found to inhibit disulfide bond reduction of the HIV protein, gp120, at the cell surface of CHO cells and human lymphoid cells.</p>", "EM-species-checked": "guaranteed", "EM-species-dilution-info": "", "EM-species-notes": "<p></p>", "FlowCyt-species-checked": "testedAndGuaranteed", "FlowCyt-species-dilution-info": "0.5 µg for 10^6 Cells", "FlowCyt-species-notes": "<p><a href='/en-us/products/primary-antibodies/mouse-igg2c-kappa-monoclonal-18c8bc7ad10-isotype-control-ab170191'>ab170191</a> - Mouse monoclonal IgG2a, is suitable for use as an isotype control with this antibody.</p>", "ELISA-species-checked": "guaranteed", "ELISA-species-dilution-info": "", "ELISA-species-notes": "<p></p>", "WB-species-checked": "testedAndGuaranteed", "WB-species-dilution-info": "1/1000", "WB-species-notes": "<p>If there is no signal or signal is weak, more concentrated antibody could be used in addition to using less stringent blocking conditions (e.g., BSA instead of milk, incubating the antibody in PBST or TBST only, lower milk percentage).</p>", "ICCIF-species-checked": "testedAndGuaranteed", "ICCIF-species-dilution-info": "", "ICCIF-species-notes": "<p></p>", "FuncSNeutBlock-species-checked": "guaranteed", "FuncSNeutBlock-species-dilution-info": "", "FuncSNeutBlock-species-notes": "<p></p>", "IHCFr-species-checked": "guaranteed", "IHCFr-species-dilution-info": "", "IHCFr-species-notes": "<p></p>", "IHCP-species-checked": "testedAndGuaranteed", "IHCP-species-dilution-info": "1/100", "IHCP-species-notes": "<p></p> Perform heat-mediated antigen retrieval via the microwave method before commencing with IHC staining protocol." }, "Mouse": { "IP-species-checked": "guaranteed", "IP-species-dilution-info": "", "IP-species-notes": "<p>This antibody has been shown to inhibit the activity of PDI in vitro. It has also been found to inhibit disulfide bond reduction of the HIV protein, gp120, at the cell surface of CHO cells and human lymphoid cells.</p>", "EM-species-checked": "guaranteed", "EM-species-dilution-info": "", "EM-species-notes": "<p></p>", "FlowCyt-species-checked": "testedAndGuaranteed", "FlowCyt-species-dilution-info": "0.5 µg for 10^6 Cells", "FlowCyt-species-notes": "<p><a href='/en-us/products/primary-antibodies/mouse-igg2c-kappa-monoclonal-18c8bc7ad10-isotype-control-ab170191'>ab170191</a> - Mouse monoclonal IgG2a, is suitable for use as an isotype control with this antibody.</p>", "ELISA-species-checked": "guaranteed", "ELISA-species-dilution-info": "", "ELISA-species-notes": "<p></p>", "WB-species-checked": "testedAndGuaranteed", "WB-species-dilution-info": "1/1000", "WB-species-notes": "<p>If there is no signal or signal is weak, more concentrated antibody could be used in addition to using less stringent blocking conditions (e.g., BSA instead of milk, incubating the antibody in PBST or TBST only, lower milk percentage).</p>", "ICCIF-species-checked": "testedAndGuaranteed", "ICCIF-species-dilution-info": "", "ICCIF-species-notes": "<p></p>", "FuncSNeutBlock-species-checked": "guaranteed", "FuncSNeutBlock-species-dilution-info": "", "FuncSNeutBlock-species-notes": "<p></p>", "IHCFr-species-checked": "guaranteed", "IHCFr-species-dilution-info": "", "IHCFr-species-notes": "<p></p>", "IHCP-species-checked": "guaranteed", "IHCP-species-dilution-info": "", "IHCP-species-notes": "" }, "Rat": { "IP-species-checked": "guaranteed", "IP-species-dilution-info": "", "IP-species-notes": "<p>This antibody has been shown to inhibit the activity of PDI in vitro. It has also been found to inhibit disulfide bond reduction of the HIV protein, gp120, at the cell surface of CHO cells and human lymphoid cells.</p>", "EM-species-checked": "guaranteed", "EM-species-dilution-info": "", "EM-species-notes": "<p></p>", "FlowCyt-species-checked": "guaranteed", "FlowCyt-species-dilution-info": "", "FlowCyt-species-notes": "", "ELISA-species-checked": "guaranteed", "ELISA-species-dilution-info": "", "ELISA-species-notes": "<p></p>", "WB-species-checked": "testedAndGuaranteed", "WB-species-dilution-info": "1/1000", "WB-species-notes": "<p>If there is no signal or signal is weak, more concentrated antibody could be used in addition to using less stringent blocking conditions (e.g., BSA instead of milk, incubating the antibody in PBST or TBST only, lower milk percentage).</p>", "ICCIF-species-checked": "guaranteed", "ICCIF-species-dilution-info": "", "ICCIF-species-notes": "", "FuncSNeutBlock-species-checked": "guaranteed", "FuncSNeutBlock-species-dilution-info": "", "FuncSNeutBlock-species-notes": "<p></p>", "IHCFr-species-checked": "guaranteed", "IHCFr-species-dilution-info": "", "IHCFr-species-notes": "<p></p>", "IHCP-species-checked": "guaranteed", "IHCP-species-dilution-info": "", "IHCP-species-notes": "" }, "African green monkey": { "IP-species-checked": "guaranteed", "IP-species-dilution-info": "", "IP-species-notes": "<p>This antibody has been shown to inhibit the activity of PDI in vitro. It has also been found to inhibit disulfide bond reduction of the HIV protein, gp120, at the cell surface of CHO cells and human lymphoid cells.</p>", "EM-species-checked": "guaranteed", "EM-species-dilution-info": "", "EM-species-notes": "<p></p>", "FlowCyt-species-checked": "guaranteed", "FlowCyt-species-dilution-info": "", "FlowCyt-species-notes": "<p></p>", "ELISA-species-checked": "guaranteed", "ELISA-species-dilution-info": "", "ELISA-species-notes": "<p></p>", "WB-species-checked": "predicted", "WB-species-dilution-info": "", "WB-species-notes": "", "ICCIF-species-checked": "guaranteed", "ICCIF-species-dilution-info": "", "ICCIF-species-notes": "<p></p>", "FuncSNeutBlock-species-checked": "guaranteed", "FuncSNeutBlock-species-dilution-info": "", "FuncSNeutBlock-species-notes": "<p></p>", "IHCFr-species-checked": "guaranteed", "IHCFr-species-dilution-info": "", "IHCFr-species-notes": "<p></p>", "IHCP-species-checked": "guaranteed", "IHCP-species-dilution-info": "", "IHCP-species-notes": "<p></p>" }, "Dog": { "IP-species-checked": "guaranteed", "IP-species-dilution-info": "", "IP-species-notes": "<p>This antibody has been shown to inhibit the activity of PDI in vitro. It has also been found to inhibit disulfide bond reduction of the HIV protein, gp120, at the cell surface of CHO cells and human lymphoid cells.</p>", "EM-species-checked": "guaranteed", "EM-species-dilution-info": "", "EM-species-notes": "<p></p>", "FlowCyt-species-checked": "guaranteed", "FlowCyt-species-dilution-info": "", "FlowCyt-species-notes": "", "ELISA-species-checked": "guaranteed", "ELISA-species-dilution-info": "", "ELISA-species-notes": "<p></p>", "WB-species-checked": "guaranteed", "WB-species-dilution-info": "", "WB-species-notes": "", "ICCIF-species-checked": "testedAndGuaranteed", "ICCIF-species-dilution-info": "", "ICCIF-species-notes": "<p></p>", "FuncSNeutBlock-species-checked": "guaranteed", "FuncSNeutBlock-species-dilution-info": "", "FuncSNeutBlock-species-notes": "<p></p>", "IHCFr-species-checked": "guaranteed", "IHCFr-species-dilution-info": "", "IHCFr-species-notes": "<p></p>", "IHCP-species-checked": "guaranteed", "IHCP-species-dilution-info": "", "IHCP-species-notes": "" }, "Drosophila melanogaster": { "IP-species-checked": "predicted", "IP-species-dilution-info": "", "IP-species-notes": "", "EM-species-checked": "predicted", "EM-species-dilution-info": "", "EM-species-notes": "", "FlowCyt-species-checked": "predicted", "FlowCyt-species-dilution-info": "", "FlowCyt-species-notes": "", "ELISA-species-checked": "predicted", "ELISA-species-dilution-info": "", "ELISA-species-notes": "", "WB-species-checked": "predicted", "WB-species-dilution-info": "", "WB-species-notes": "", "ICCIF-species-checked": "predicted", "ICCIF-species-dilution-info": "", "ICCIF-species-notes": "", "FuncSNeutBlock-species-checked": "predicted", "FuncSNeutBlock-species-dilution-info": "", "FuncSNeutBlock-species-notes": "", "IHCFr-species-checked": "predicted", "IHCFr-species-dilution-info": "", "IHCFr-species-notes": "", "IHCP-species-checked": "predicted", "IHCP-species-dilution-info": "", "IHCP-species-notes": "" }, "Hamster": { "IP-species-checked": "guaranteed", "IP-species-dilution-info": "", "IP-species-notes": "<p>This antibody has been shown to inhibit the activity of PDI in vitro. It has also been found to inhibit disulfide bond reduction of the HIV protein, gp120, at the cell surface of CHO cells and human lymphoid cells.</p>", "EM-species-checked": "guaranteed", "EM-species-dilution-info": "", "EM-species-notes": "<p></p>", "FlowCyt-species-checked": "guaranteed", "FlowCyt-species-dilution-info": "", "FlowCyt-species-notes": "<p></p>", "ELISA-species-checked": "guaranteed", "ELISA-species-dilution-info": "", "ELISA-species-notes": "<p></p>", "WB-species-checked": "predicted", "WB-species-dilution-info": "", "WB-species-notes": "", "ICCIF-species-checked": "guaranteed", "ICCIF-species-dilution-info": "", "ICCIF-species-notes": "<p></p>", "FuncSNeutBlock-species-checked": "guaranteed", "FuncSNeutBlock-species-dilution-info": "", "FuncSNeutBlock-species-notes": "<p></p>", "IHCFr-species-checked": "guaranteed", "IHCFr-species-dilution-info": "", "IHCFr-species-notes": "<p></p>", "IHCP-species-checked": "guaranteed", "IHCP-species-dilution-info": "", "IHCP-species-notes": "<p></p>" }, "Monkey": { "IP-species-checked": "guaranteed", "IP-species-dilution-info": "", "IP-species-notes": "<p>This antibody has been shown to inhibit the activity of PDI in vitro. It has also been found to inhibit disulfide bond reduction of the HIV protein, gp120, at the cell surface of CHO cells and human lymphoid cells.</p>", "EM-species-checked": "guaranteed", "EM-species-dilution-info": "", "EM-species-notes": "<p></p>", "FlowCyt-species-checked": "guaranteed", "FlowCyt-species-dilution-info": "", "FlowCyt-species-notes": "<p></p>", "ELISA-species-checked": "guaranteed", "ELISA-species-dilution-info": "", "ELISA-species-notes": "<p></p>", "WB-species-checked": "predicted", "WB-species-dilution-info": "", "WB-species-notes": "", "ICCIF-species-checked": "guaranteed", "ICCIF-species-dilution-info": "", "ICCIF-species-notes": "<p></p>", "FuncSNeutBlock-species-checked": "guaranteed", "FuncSNeutBlock-species-dilution-info": "", "FuncSNeutBlock-species-notes": "<p></p>", "IHCFr-species-checked": "guaranteed", "IHCFr-species-dilution-info": "", "IHCFr-species-notes": "<p></p>", "IHCP-species-checked": "guaranteed", "IHCP-species-dilution-info": "", "IHCP-species-notes": "<p></p>" }, "Pig": { "IP-species-checked": "guaranteed", "IP-species-dilution-info": "", "IP-species-notes": "<p>This antibody has been shown to inhibit the activity of PDI in vitro. It has also been found to inhibit disulfide bond reduction of the HIV protein, gp120, at the cell surface of CHO cells and human lymphoid cells.</p>", "EM-species-checked": "guaranteed", "EM-species-dilution-info": "", "EM-species-notes": "<p></p>", "FlowCyt-species-checked": "guaranteed", "FlowCyt-species-dilution-info": "", "FlowCyt-species-notes": "<p></p>", "ELISA-species-checked": "guaranteed", "ELISA-species-dilution-info": "", "ELISA-species-notes": "<p></p>", "WB-species-checked": "predicted", "WB-species-dilution-info": "", "WB-species-notes": "", "ICCIF-species-checked": "guaranteed", "ICCIF-species-dilution-info": "", "ICCIF-species-notes": "<p></p>", "FuncSNeutBlock-species-checked": "guaranteed", "FuncSNeutBlock-species-dilution-info": "", "FuncSNeutBlock-species-notes": "<p></p>", "IHCFr-species-checked": "guaranteed", "IHCFr-species-dilution-info": "", "IHCFr-species-notes": "<p></p>", "IHCP-species-checked": "guaranteed", "IHCP-species-dilution-info": "", "IHCP-species-notes": "<p></p>" } } }

Product details

What is this antibody validated in?
Anti-P4HB antibody [RL90] (ab2792) is a mouse monoclonal antibody and is validated for use in Western Blot (WB), Flow Cytometry (Flow Cyt), Immunoprecipitation (IP), Immunohistochemistry (IHC-P), Immunohistochemistry (IHC-Fr), Immunocytochemistry/immunofluorescence (ICC/IF), ELISA, Electron microscopy (EM) in African green monkey, Dog, Hamster, Human, Monkey, Mouse, Pig, Rat samples.

What is the molecular weight of P4HB?
Anti-P4HB [RL90] (ab2792) specifically detects a band for P4HB (UniProt: P04785) at a molecular weight of 58kDa.

Trusted by the scientific community
Anti-P4HB [RL90] (ab2792) was first used in a scientific publication in 2003 and has been cited over 220 times in peer-reviewed journals.

Reviewed by scientists
Anti-P4HB [RL90] (ab2792) has over 45 independent reviews from customers.

Properties and storage information

Form
Liquid
Purification technique
Affinity purification Protein A
Storage buffer
Preservative: 0.05% Sodium azide Constituents: PBS, 0.1% BSA
Shipped at conditions
Blue Ice
Appropriate short-term storage duration
1-2 weeks
Appropriate short-term storage conditions
+4°C
Appropriate long-term storage conditions
-20°C
Aliquoting information
Upon delivery aliquot
Storage information
Avoid freeze / thaw cycle

Supplementary information

This supplementary information is collated from multiple sources and compiled automatically.

P4HB is a protein known as Protein Disulfide Isomerase (PDI). It plays a significant role in catalyzing the formation of disulfide bonds. This protein helps to fold newly synthesized proteins by shuffling disulfide bonds. It has a molecular mass of around 57 kDa. P4HB is mainly expressed in the endoplasmic reticulum of cells. While its alternative name is ERp59 P4HB is integral to the protein folding machinery inside cells.
Biological function summary

P4HB functions in protein folding and assembly. By acting as a chaperone it protects proteins from misfolding and aggregation. P4HB operates as part of a larger multi-protein complex that assists in maintaining protein structure under stress conditions in the cell. Its activity ensures protein stability and proper cellular function important for cell viability and health.

Pathways

P4HB plays a central role in the unfolded protein response (UPR) and oxidative protein folding pathway. It interacts with proteins such as calnexin and calreticulin through its involvement in these pathways. During oxidative protein folding P4HB introduces disulfide bonds into nascent proteins while removing incorrect ones ensuring efficient protein quality control.

P4HB alteration has connections to diseases like cancer and neurodegenerative disorders. Its overexpression and activity can promote tumor growth by aiding cancerous cell survival through protein homeostasis. Moreover P4HB's association with amyloid precursor protein impacts the progression of Alzheimer's disease. These connections make P4HB a relevant target for research into therapeutic interventions.

Product protocols

For this product, it's our understanding that no specific protocols are required. You can visit:

Target data

This multifunctional protein catalyzes the formation, breakage and rearrangement of disulfide bonds. At the cell surface, seems to act as a reductase that cleaves disulfide bonds of proteins attached to the cell. May therefore cause structural modifications of exofacial proteins. Inside the cell, seems to form/rearrange disulfide bonds of nascent proteins. At high concentrations and following phosphorylation by FAM20C, functions as a chaperone that inhibits aggregation of misfolded proteins (PubMed : 32149426). At low concentrations, facilitates aggregation (anti-chaperone activity). May be involved with other chaperones in the structural modification of the TG precursor in hormone biogenesis. Also acts as a structural subunit of various enzymes such as prolyl 4-hydroxylase and microsomal triacylglycerol transfer protein MTTP. Receptor for LGALS9; the interaction retains P4HB at the cell surface of Th2 T helper cells, increasing disulfide reductase activity at the plasma membrane, altering the plasma membrane redox state and enhancing cell migration (PubMed : 21670307).
See full target information P4HB

Publications (251)

Recent publications for all applications. Explore the full list and refine your search

Nature 646:218-226 PubMed40836090

2025

A missing enzyme-rescue metabolite as cause of a rare skeletal dysplasia.

Applications

Unspecified application

Species

Unspecified reactive species

Jean Jacobs,Hristiana Lyubenova,Sven Potelle,Johannes Kopp,Isabelle Gerin,Wing Lee Chan,Miguel Rodriguez de Los Santos,Wiebke Hülsemann,Martin A Mensah,Valérie Cormier-Daire,Marieke Joosten,Hennie T Bruggenwirth,Kyra E Stuurman,Valancy Miranda,Philippe M Campeau,Lars Wittler,Julie Graff,Stefan Mundlos,Daniel M Ibrahim,Emile Van Schaftingen,Björn Fischer-Zirnsak,Uwe Kornak,Nadja Ehmke,Guido T Bommer

Scientific reports 15:26672 PubMed40696131

2025

The P4HB/LGALS3BP/NF-kB axis promotes the progression of MIA to IAC in lung adenocarcinoma.

Applications

Unspecified application

Species

Unspecified reactive species

Guang Mu,Wenhao Zhang,Yan Gu,Hongchang Wang,Jingjing Huang,Chengyu Bian,Ke Wei,Yang Xia,Jun Wang

Journal of biomedical research :1-14 PubMed40441854

2025

Remote neuromuscular electrical stimulation upregulates MDK to enhance macrophage efferocytosis LRP1 in wound healing.

Applications

Unspecified application

Species

Unspecified reactive species

Lijuan Zong,Chong Liu,Li Zhang,Xueyou Tao,Qingyan Tian,Xiaokai Zhou,Yu Wang,Na Shen,Jiaming Gong,Qingyuan Zhuang,Tong Wang,Wentao Liu,Ying Shen,Liang Hu

The Journal of clinical investigation 135: PubMed40392602

2025

Trapα deficiency impairs the early events of insulin biosynthesis and glucose homeostasis.

Applications

Unspecified application

Species

Unspecified reactive species

Xin Li,Jingxin Hu,Yumeng Huang,Hai Zhang,Ning Xu,Yang Liu,Xuan Liu,Yuanyuan Ye,Xinxin Zhang,Xiaoxi Xu,Yuxin Fan,Ziyue Zhang,Weiping J Zhang,Shusen Wang,Wenli Feng,Peter Arvan,Ming Liu

Cell death discovery 11:200 PubMed40280907

2025

The chemical chaperone 4-phenylbutyric acid rescues molecular cell defects of COL3A1 mutations that cause vascular Ehlers Danlos Syndrome.

Applications

Unspecified application

Species

Unspecified reactive species

Ramla Omar,Michelle Aw Lee,Laura Gonzalez-Trueba,Cameron R Thomson,Uwe Hansen,Spyridonas Lianos,Snoopy Hazarika,Omar Hmeh El Abdallah,Malak A Ammar,Jennifer Cassels,Alison M Michie,Neil J Bulleid,Fransiska Malfait,Tom Van Agtmael

Scientific reports 15:13764 PubMed40258849

2025

New imaging tools reveal live cellular collagen secretion, fibril dynamics and network organisation.

Applications

Unspecified application

Species

Unspecified reactive species

Olivia Kent,Eleanor R Casey,Max Brown,Steven Bell,Matthew C Ehrman,Michael J Flagler,Arto Määttä,Adam M Benham,Timothy J Hawkins

Aging cell 24:e70024 PubMed40241256

2025

Targeting ATF6α Attenuates UVB-Induced Senescence and Improves Skin Homeostasis by Regulating IL8 Expression.

Applications

Unspecified application

Species

Unspecified reactive species

Joëlle Giroud,Pauline Delvaux,Laura Carlier,Clémentine De Schutter,Nathalie Martin,Raphaël Rouget,Ayeh Bolouki,Valérie De Glas,Inès Bouriez,Florent Bourdoux,Sophie Burteau,Julien Théry,Gauthier Decanter,Nicolas Penel,Yvan de Launoit,Benjamin Ledoux,Corinne Abbadie,Yves Poumay,Olivier Pluquet,Florence Debacq-Chainiaux

Clinical and translational medicine 15:e70217 PubMed39888275

2025

Histone methyltransferase KMT2A promotes pulmonary fibrogenesis via targeting pro-fibrotic factor PU.1 in fibroblasts.

Applications

Unspecified application

Species

Unspecified reactive species

Wenting Lyu,Hui Wang,Tong Ji,Ling Liu,Haoran Chen,Li Fan,Guanning Zhong,Naihui Wan,Suwan Chen,Jingyu Chen,Hourong Cai,Hongyang Xu,Dongjin Wang,Jinghong Dai

The American journal of pathology 194:2382-2397 PubMed39332673

2024

Endoplasmic Reticulum Stress Delays Choroid Development in the HCAR1 Knockout Mouse.

Applications

Unspecified application

Species

Unspecified reactive species

Monir Modaresinejad,Xiaojuan Yang,Mohammad A Mohammad Nezhady,Tang Zhu,Emmanuel Bajon,Xin Hou,Houda Tahiri,Pierre Hardy,José C Rivera,Pierre Lachapelle,Sylvain Chemtob

The Journal of cell biology 223: PubMed39101946

2024

Small GTPase ActIvitY ANalyzing (SAIYAN) system: A method to detect GTPase activation in living cells.

Applications

Unspecified application

Species

Unspecified reactive species

Miharu Maeda,Masashi Arakawa,Yukie Komatsu,Kota Saito
View all publications

Product promise

We are committed to supporting your work with high-quality reagents, and we're here for you every step of the way. In the unlikely event that one of our products does not perform as expected, you're protected by our Product Promise.
For full details, please see our Terms & Conditions

Please note: All products are 'FOR RESEARCH USE ONLY. NOT FOR USE IN DIAGNOSTIC OR THERAPEUTIC PROCEDURES'.

For licensing inquiries, please contact partnerships@abcam.com