JavaScript is disabled in your browser. Please enable JavaScript to view this website.
AB133492

Anti-p50 dynamitin antibody [EPR5095]

Be the first to review this product! Submit a review

|

(7 Publications)

Rabbit Recombinant Monoclonal p50 dynamitin antibody. Suitable for IHC-P, WB, ICC/IF and reacts with Human samples. Cited in 7 publications.

View Alternative Names

DCTN50, DCTN2, Dynactin subunit 2, 50 kDa dynein-associated polypeptide, Dynactin complex 50 kDa subunit, p50 dynamitin, DCTN-50

4 Images
Immunocytochemistry/ Immunofluorescence - Anti-p50 dynamitin antibody [EPR5095] (AB133492)
  • ICC/IF

Unknown

Immunocytochemistry/ Immunofluorescence - Anti-p50 dynamitin antibody [EPR5095] (AB133492)

Immunofluorescence analysis of p50 dynamitin in SH-SY5Y cells using ab133492 at a dilution of 1/100.

Immunohistochemistry (Formalin/PFA-fixed paraffin-embedded sections) - Anti-p50 dynamitin antibody [EPR5095] (AB133492)
  • IHC-P

Supplier Data

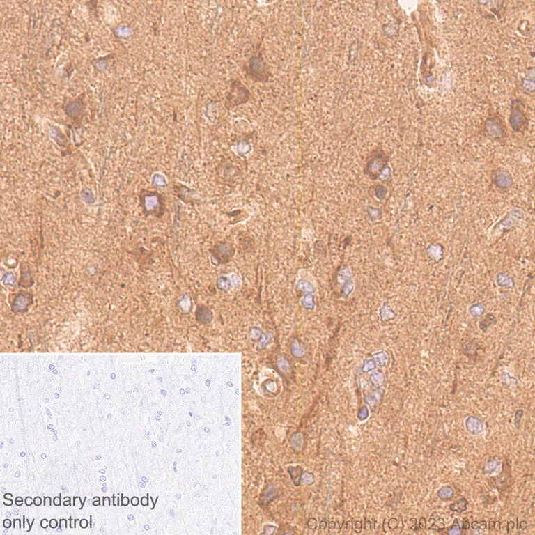
Immunohistochemistry (Formalin/PFA-fixed paraffin-embedded sections) - Anti-p50 dynamitin antibody [EPR5095] (AB133492)

Immunohistochemical analysis of paraffin-embedded Human cerebrum  tissue labelling p50 dynamitin with ab133492 at 1/400 dilution followed by a LeicaDS9800 (Bond™ Polymer Refine Detection) at Ready to use dilution. Positive staining on human cerebrum. The section was incubated with ab133492 for 30 mins at room temperature. The immunostaining was performed on a Leica Biosystems BOND® RX instrument Counterstained with Hematoxylin. Secondary antibody only control : Secondary antibody is LeicaDS9800 (Bond™ Polymer Refine Detection) at Ready to use dilution. Heat mediated antigen retrieval was performed with Tris-EDTA buffer (pH 9.0, Epitope Retrieval Solution2) for 20 mins.

Western blot - Anti-p50 dynamitin antibody [EPR5095] (AB133492)
  • WB

Unknown

Western blot - Anti-p50 dynamitin antibody [EPR5095] (AB133492)

All lanes:

Western blot - Anti-p50 dynamitin antibody [EPR5095] (ab133492) at 1/1000 dilution

Lane 1:

MCF7 cell lysate at 10 µg

Lane 2:

A375 cell lysate at 10 µg

Lane 3:

Saos2 cell lysate at 10 µg

Lane 4:

SH SY5Y cell lysate at 10 µg

Secondary

All lanes:

HRP labelled goat anti-rabbit at 1/2000 dilution

Predicted band size: 44 kDa

Observed band size: 44 kDa

false

Western blot - Anti-p50 dynamitin antibody [EPR5095] (AB133492)
  • WB

CiteAb

Western blot - Anti-p50 dynamitin antibody [EPR5095] (AB133492)

p50 dynamitin western blot using anti-p50 dynamitin antibody [EPR5095] ab133492. Publication image and figure legend from Dwivedi, D., Kumari, A., et al., 2019, J Cell Biol, PubMed 30674580.

ab133492 was used in this publication in western blot. This may not be the same as the application(s) guaranteed by Abcam. For a full list of applications guaranteed by Abcam for ab133492 please see the product overview.

Hook2 acts as a dynein–dynactin linker. (A) Domain architecture of Hook2 and its domain deletion fragments/mutants used in the study. (B) GST or GST-tagged LIC1 (389–523 aa) bound to glutathione beads were incubated with MBP-tagged Hook2 N427 (WT, Q143A, and I150A), and immunoblotted (IB) with an anti-MBP antibody for Hook2 (WT/mutants). LIC1 in the pelleted beads was detected using Ponceau S staining of the membrane. The asterisk indicates BSA protein band used for blocking glutathione beads. (C) Ratio of band intensity of pulldown to input Hook2 fragment signals in B (n = 3). (D) HEK293T cell lysates were incubated with MBP alone or MBP-tagged Hook2 N427 (WT, Q143A, and I150A) bound to amylose beads, and IB for DIC and p150glued. The amount of recombinant Hook2 (WT/mutants) protein was analyzed by Coomassie staining. (E) Ratio of band intensity of pulldown to input Hook2 (WT/mutants) signal in D (n = 3). (F) Protein-A/G beads bound to control IgG or anti-Hook2 antibody were incubated with HEK293T lysates; the interactome IP was IB to check the presence of different dynein subunits. (G) Protein-A/G beads bound to antibodies against DIC, p150glued, Arp1, and p50/dynamitin were incubated with HEK293T lysate; the interactome IP was IB to check the presence of Hook2. (H) Lysates from HEK293T cells treated with control or Hook2 siRNA and transfected with indicated plasmids were incubated with protein-G beads bound to antibodies against DIC and p150glued, and IP were IB with the indicated antibodies. Arrows mark Hook2 (WT) transfected lanes. (I) Ratio of normalized band intensity (EV) of IP DIC to p150glued and vice versa in H (n = 2). (J) Representative images of FRB-FKBP12-rapamycin dimerization assay in fixed HeLa cells. Bars, 10 μm. (K and L) Mitochondrial distribution quantified as intensity with respect to relative distance from the nucleus (n = 3; 10 cells/experiment). Data represent mean ± SD (***, p < 0.001; Student's t test).

false

Key facts

Host species

Rabbit

Clonality

Monoclonal

Clone number

EPR5095

Isotype

IgG

Carrier free

No

Reacts with

Human

Applications

ICC/IF, IHC-P, WB

applications

Immunogen

The exact immunogen used to generate this antibody is proprietary information.

Reactivity data

{ "title": "Reactivity Data", "filters": { "stats": ["", "Species", "Dilution Info", "Notes"], "tabs": { "all-applications": {"fullname" : "All Applications", "shortname": "All Applications"}, "IHCP" : {"fullname" : "Immunohistochemistry (Formalin/PFA-fixed paraffin-embedded sections)", "shortname":"IHC-P"}, "FlowCyt" : {"fullname" : "Flow Cytometry", "shortname":"Flow Cyt"}, "WB" : {"fullname" : "Western blot", "shortname":"WB"}, "ICCIF" : {"fullname" : "Immunocytochemistry/ Immunofluorescence", "shortname":"ICC/IF"} }, "product-promise": { "all": "all", "testedAndGuaranteed": "tested", "guaranteed": "expected", "predicted": "predicted", "notRecommended": "not-recommended" } }, "values": { "Human": { "IHCP-species-checked": "testedAndGuaranteed", "IHCP-species-dilution-info": "1/400", "IHCP-species-notes": "<p></p>", "FlowCyt-species-checked": "notRecommended", "FlowCyt-species-dilution-info": "", "FlowCyt-species-notes": "<p></p>", "WB-species-checked": "testedAndGuaranteed", "WB-species-dilution-info": "1/1000 - 1/10000", "WB-species-notes": "<p></p>", "ICCIF-species-checked": "testedAndGuaranteed", "ICCIF-species-dilution-info": "1/100 - 1/250", "ICCIF-species-notes": "<p></p>" } } }

Product details

Species reactivity
Mouse, Rat: We have preliminary internal testing data to indicate this antibody may not react with these species.
Please contact us for more information.

Patented technology
Our RabMAb® technology is a patented hybridoma-based technology for making rabbit monoclonal antibodies. For details on our patents, please refer to RabMAb® patents.

What are the advantages of a recombinant monoclonal antibody?
This product is a recombinant monoclonal antibody, which offers several advantages including:

  • - High batch-to-batch consistency and reproducibility
  • - Improved sensitivity and specificity
  • - Long-term security of supply
  • - Animal-free batch production

For more information, read more on recombinant antibodies.

Properties and storage information

Form
Liquid
Purification technique
Affinity purification Protein A
Storage buffer
pH: 7.2 - 7.4 Preservative: 0.05% Sodium azide Constituents: 50% Tissue culture supernatant, 40% Glycerol (glycerin, glycerine), 9.85% Tris glycine, 0.1% BSA
Shipped at conditions
Blue Ice
Appropriate short-term storage conditions
+4°C
Appropriate long-term storage conditions
-20°C
Storage information
Stable for 12 months at -20°C

Supplementary information

This supplementary information is collated from multiple sources and compiled automatically.

P50 dynamitin also known as DCTN2 or dynactin subunit 2 is a protein component of the dynactin complex with a molecular mass of approximately 50 kDa. This protein is expressed in various tissues where it plays an important role in intracellular transport mechanisms. p50 dynamitin is essential for the proper functioning of the dynein-dynactin motor protein complex which is important for the transport of organelles and vesicles along microtubules within cells.
Biological function summary

P50 dynamitin serves as a regulator within the dynactin complex ensuring its structural integrity and facilitating interaction with dynein motor proteins. It is part of the larger dynactin complex which consists of over 20 subunits. p50 dynamitin's role in this complex directly impacts cytoplasmic and nuclear activities including the trafficking of endosomes lysosomes and other cargo within cells. The proper functioning of this complex is necessary for maintaining the correct intracellular transport which affects various cellular processes.

Pathways

P50 dynamitin is involved in the cytoskeletal network through its interaction with the dynein motor protein pathway and is closely related to microtubule dynamics. Dynactin of which p50 is a part functions with dynein to mediate minus-end-directed movement along microtubules necessary for processes such as mitotic spindle formation and chromosome alignment. This relationship with dynein highlights its role in cell division and intracellular transport impacting neurological pathway regulation.

P50 dynamitin has been linked to neurological disorders like motor neuron disease and amyotrophic lateral sclerosis (ALS). The dysfunction of the dynactin-dynein complex where p50 dynamitin plays a regulatory role can lead to disrupted neuronal transport processes contributing to these diseases. Additionally its association with the protein TDP-43 points to a connection with neurodegenerative conditions further illustrating its clinical significance in the pathology of ALS and related disorders.

Product protocols

For this product, it's our understanding that no specific protocols are required. You can visit:

Target data

Part of the dynactin complex that activates the molecular motor dynein for ultra-processive transport along microtubules. In the dynactin soulder domain, binds the ACTR1A filament and acts as a molecular ruler to determine the length (By similarity). Modulates cytoplasmic dynein binding to an organelle, and plays a role in prometaphase chromosome alignment and spindle organization during mitosis. Involved in anchoring microtubules to centrosomes. May play a role in synapse formation during brain development (By similarity).
See full target information DCTN2

Publications (7)

Recent publications for all applications. Explore the full list and refine your search

The Journal of cell biology 222: PubMed36946995

2023

The meiotic LINC complex component KASH5 is an activating adaptor for cytoplasmic dynein.

Applications

Unspecified application

Species

Unspecified reactive species

Kirsten E L Garner,Anna Salter,Clinton K Lau,Manickam Gurusaran,Cécile M Villemant,Elizabeth P Granger,Gavin McNee,Philip G Woodman,Owen R Davies,Brian E Burke,Victoria J Allan

Brain pathology (Zurich, Switzerland) 32:e13070 PubMed35338543

2022

lncRNA MEG3 restrained the M1 polarization of microglia in acute spinal cord injury through the HuR/A20/NF-κB axis.

Applications

Unspecified application

Species

Unspecified reactive species

Heng-Jun Zhou,Li-Qing Wang,Ren-Ya Zhan,Xiu-Jue Zheng,Jie-Sheng Zheng

Genes & genomics 43:847-855 PubMed34021857

2021

Glabridin attenuates atopic dermatitis progression through downregulating the TLR4/MyD88/NF-κB signaling pathway.

Applications

Unspecified application

Species

Unspecified reactive species

Jing Chang,Lin Wang,Minna Zhang,Zengjiao Lai

The EMBO journal :e103661 PubMed33215754

2020

Distinct retrograde microtubule motor sets drive early and late endosome transport.

Applications

Unspecified application

Species

Unspecified reactive species

Giulia Villari,Chiara Enrico Bena,Marco Del Giudice,Noemi Gioelli,Chiara Sandri,Chiara Camillo,Alessandra Fiorio Pla,Carla Bosia,Guido Serini

BMC cardiovascular disorders 19:306 PubMed31856737

2019

Heat shock protein 90 is downregulated in calcific aortic valve disease.

Applications

Unspecified application

Species

Unspecified reactive species

Jonna Weisell,Pauli Ohukainen,Juha Näpänkangas,Steffen Ohlmeier,Ulrich Bergmann,Tuomas Peltonen,Panu Taskinen,Heikki Ruskoaho,Jaana Rysä

The Journal of cell biology 218:871-894 PubMed30674580

2019

The dynein adaptor Hook2 plays essential roles in mitotic progression and cytokinesis.

Applications

Unspecified application

Species

Unspecified reactive species

Devashish Dwivedi,Amrita Kumari,Siddhi Rathi,Sivaram V S Mylavarapu,Mahak Sharma

Frontiers in neuroscience 10:494 PubMed27857681

2016

Early Cytoskeletal Protein Modifications Precede Overt Structural Degeneration in the DBA/2J Mouse Model of Glaucoma.

Applications

IP

Species

Unspecified reactive species

Gina N Wilson,Matthew A Smith,Denise M Inman,Christine M Dengler-Crish,Samuel D Crish
View all publications

Product promise

We are committed to supporting your work with high-quality reagents, and we're here for you every step of the way. In the unlikely event that one of our products does not perform as expected, you're protected by our Product Promise.
For full details, please see our Terms & Conditions

Please note: All products are 'FOR RESEARCH USE ONLY. NOT FOR USE IN DIAGNOSTIC OR THERAPEUTIC PROCEDURES'.

For licensing inquiries, please contact partnerships@abcam.com