JavaScript is disabled in your browser. Please enable JavaScript to view this website.
AB75754

Anti-p53 (acetyl K382) antibody [EPR358(2)]

  • RabMAb
  • Recombinant
  • Lab Essentials
  • 20ul selling size
  • What is this?

5

(4 Reviews)

|

(67 Publications)

Rabbit Recombinant Monoclonal P53 acetyl K382 antibody. Suitable for WB, ICC/IF, Flow Cyt (Intra) and reacts with Human samples. Cited in 67 publications.

View Alternative Names

P53, TP53, Cellular tumor antigen p53, Antigen NY-CO-13, Phosphoprotein p53, Tumor suppressor p53

5 Images
Flow Cytometry (Intracellular) - Anti-p53 (acetyl K382) antibody [EPR358(2)] (AB75754)
  • Flow Cyt (Intra)

Unknown

Flow Cytometry (Intracellular) - Anti-p53 (acetyl K382) antibody [EPR358(2)] (AB75754)

Intracellular Flow Cytometry analysis of HepG2 (Human hepatocellular carcinoma epithelial cell) starved overnight, then treated with 30ug/ml etoposide for 8 hours followed by 500ng/ml TSA for 4 hours cells labeling p53 with purified ab75754 at 1/20 dilution (10μg/ml) (red). Cells were fixed with 4% Paraformaldehyde and permeabilised with 90% Methanol. A Goat anti rabbit IgG (Alexa Fluorr® 488, ab150077) secondary antibody was used at 1/2000. Isotype control - Rabbit monoclonal IgG (Black). Unlabeled control - Cell without incubation with primary antibody and secondary antibody (Blue).

Immunocytochemistry/ Immunofluorescence - Anti-p53 (acetyl K382) antibody [EPR358(2)] (AB75754)
  • ICC/IF

Unknown

Immunocytochemistry/ Immunofluorescence - Anti-p53 (acetyl K382) antibody [EPR358(2)] (AB75754)

Immunocytochemistry/ Immunofluorescence analysis of HeLa (Human cervix adenocarcinoma epithelial cell) treated with 500ng/ml Trichostatin A for 4 hours cells labeling p53 with purified ab75754 at 1/250 dilution (0.5 μg/ml). Cells were fixed in 4% Paraformaldehyde and permeabilized with 0.1% tritonX-100. Cells were counterstained with ab195889 Anti-alpha Tubulin antibody [DM1A] - Microtubule Marker (Alexa Fluor® 594) at 1/200 (2.5 μg/ml) dilution. Goat anti rabbit IgG (Alexa Fluor® 488, ab150077) was used as the secondary antibody at 1/1000 (2 μg/ml) dilution. DAPI (blue) was used as nuclear counterstain. PBS instead of the primary antibody was used as the secondary antibody only control.

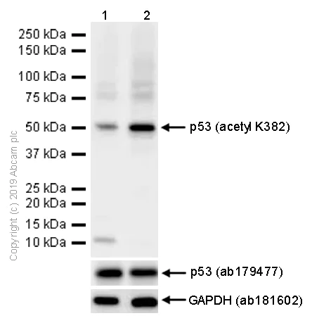
Western blot - Anti-p53 (acetyl K382) antibody [EPR358(2)] (AB75754)
  • WB

Lab

Western blot - Anti-p53 (acetyl K382) antibody [EPR358(2)] (AB75754)

p53 K382 acetylation is responsed to cell stress such as DNA damage caused by ultraviolet or ionizing radiation as was described in PMID 9744860 and 11250899

All lanes:

Western blot - Anti-p53 (acetyl K382) antibody [EPR358(2)] (ab75754) at 1/1000 dilution

Lane 1:

HepG2 (Human hepatocellular carcinoma epithelial cell) whole cell lysates at 15 µg

Lane 2:

HepG2 (Human hepatocellular carcinoma epithelial cell) was starved overnight, then treatment with 30ug/ml etoposide for 8 hours followed by 500ng/ml Trichostatin A for 4 hours whole cell lysates at 15 µg

Secondary

All lanes:

Western blot - Goat Anti-Rabbit IgG H&L (HRP) (<a href='/en-us/products/secondary-antibodies/goat-rabbit-igg-h-l-hrp-ab97051'>ab97051</a>) at 1/20000 dilution

Predicted band size: 43 kDa

Observed band size: 53 kDa

false

Western blot - Anti-p53 (acetyl K382) antibody [EPR358(2)] (AB75754)
  • WB

Unknown

Western blot - Anti-p53 (acetyl K382) antibody [EPR358(2)] (AB75754)

All lanes:

Western blot - Anti-p53 (acetyl K382) antibody [EPR358(2)] (ab75754) at 1/5000 dilution

Lane 1:

HepG2 cell lysates un-treated at 10 µg

Lane 2:

HepG2 cell lysates treated with etopside and TSA at 10 µg

Secondary

All lanes:

HRP labelled goat anti-rabbit at 1/2000 dilution

Predicted band size: 43 kDa

Observed band size: 53 kDa

false

Western blot - Anti-p53 (acetyl K382) antibody [EPR358(2)] (AB75754)
  • WB

Lab

Western blot - Anti-p53 (acetyl K382) antibody [EPR358(2)] (AB75754)

p53 K382 acetylation is responsed to cell stress such as DNA damage caused by ultraviolet or ionizing radiation as was described in PMID 9744860 and 11250899

All lanes:

Western blot - Anti-p53 (acetyl K382) antibody [EPR358(2)] (ab75754) at 1/1000 dilution

Lane 1:

T-47D (Human ductal breast epithelial tumor epithelial cell) whole cell lysates at 15 µg

Lane 2:

T-47D (Human ductal breast epithelial tumor epithelial cell) was starved overnight, then treatment with 30ug/ml etoposide for 8 hours followed by 500ng/ml Trichostatin A for 4 hours whole cell lysates at 15 µg

Secondary

All lanes:

Western blot - Goat Anti-Rabbit IgG H&L (HRP) (<a href='/en-us/products/secondary-antibodies/goat-rabbit-igg-h-l-hrp-ab97051'>ab97051</a>) at 1/20000 dilution

Predicted band size: 43 kDa

Observed band size: 53 kDa

false

  • Carrier free

    Anti-p53 (acetyl K382) antibody [EPR358(2)] - BSA and Azide free

  • 665 Alexa Fluor® 647

    Alexa Fluor® 647 Anti-p53 (acetyl K382) antibody [EPR358(2)]

Key facts

Host species

Rabbit

Clonality

Monoclonal

Clone number

EPR358(2)

Isotype

IgG

Carrier free

No

Reacts with

Human

Applications

Flow Cyt (Intra), ICC/IF, WB

applications

Immunogen

The exact immunogen used to generate this antibody is proprietary information.

Reactivity data

{ "title": "Reactivity Data", "filters": { "stats": ["", "Species", "Dilution Info", "Notes"], "tabs": { "all-applications": {"fullname" : "All Applications", "shortname": "All Applications"}, "WB" : {"fullname" : "Western blot", "shortname":"WB"}, "IHCP" : {"fullname" : "Immunohistochemistry (Formalin/PFA-fixed paraffin-embedded sections)", "shortname":"IHC-P"}, "ICCIF" : {"fullname" : "Immunocytochemistry/ Immunofluorescence", "shortname":"ICC/IF"}, "FlowCytIntra" : {"fullname" : "Flow Cytometry (Intracellular)", "shortname":"Flow Cyt (Intra)"} }, "product-promise": { "all": "all", "testedAndGuaranteed": "tested", "guaranteed": "expected", "predicted": "predicted", "notRecommended": "not-recommended" } }, "values": { "Human": { "WB-species-checked": "testedAndGuaranteed", "WB-species-dilution-info": "1/250 - 1/5000", "WB-species-notes": "<p></p>", "IHCP-species-checked": "notRecommended", "IHCP-species-dilution-info": "", "IHCP-species-notes": "<p></p>", "ICCIF-species-checked": "testedAndGuaranteed", "ICCIF-species-dilution-info": "1/100 - 1/250", "ICCIF-species-notes": "<p></p>", "FlowCytIntra-species-checked": "testedAndGuaranteed", "FlowCytIntra-species-dilution-info": "1/20", "FlowCytIntra-species-notes": "<p></p>" } } }

Product details

Species reactivity
Mouse, Rat: We have preliminary internal testing data to indicate this antibody may not react with these species.
Please contact us for more information.

Patented technology
Our RabMAb® technology is a patented hybridoma-based technology for making rabbit monoclonal antibodies. For details on our patents, please refer to RabMAb® patents.

What are the advantages of a recombinant monoclonal antibody?
This product is a recombinant monoclonal antibody, which offers several advantages including:

  • - High batch-to-batch consistency and reproducibility
  • - Improved sensitivity and specificity
  • - Long-term security of supply
  • - Animal-free batch production

For more information, read more on recombinant antibodies.

Properties and storage information

Form
Liquid
Purification technique
Affinity purification Protein A
Storage buffer
pH: 7.2 - 7.4 Preservative: 0.01% Sodium azide Constituents: PBS, 40% Glycerol (glycerin, glycerine), 0.05% BSA
Shipped at conditions
Blue Ice
Appropriate short-term storage duration
1-2 weeks
Appropriate short-term storage conditions
+4°C
Appropriate long-term storage conditions
-20°C
Aliquoting information
Upon delivery aliquot
Storage information
Avoid freeze / thaw cycle

Supplementary information

This supplementary information is collated from multiple sources and compiled automatically.

The protein p53 also known as TP53 or tumor protein p53 has a molecular weight of approximately 53 kDa. It acts as a transcription factor and plays a major role in cell cycle regulation apoptosis and maintaining genomic stability. This protein mainly expresses in the nucleus of cells and acts as a critical regulator of cellular responses to stress signals including DNA damage. Scientists commonly use p53 antibodies in various assays like western blot and p53 immunofluorescence to detect and study its expression and functional status in cells.
Biological function summary

P53 functions to control cell division and apoptosis serving as a guardian of the genome by preventing mutation accumulation. It does not form part of a larger complex under normal conditions but interacts with various other molecules to execute its functions. p53 can activate or suppress the transcription of numerous genes involved in cell cycle arrest DNA repair and programmed cell death allowing it to halt the progression of damaged cells and trigger repair mechanisms or eliminate those that cannot be repaired.

Pathways

P53 acts within several key biological pathways such as the p53 signaling pathway and the intrinsic apoptotic pathway. Its activity involves interaction with proteins like MDM2 which regulates p53 through ubiquitin-mediated degradation and ATM kinase which phosphorylates p53 in response to DNA damage. These interactions ensure appropriate cellular responses during stress and are vital for maintaining homeostasis.

P53 mutation or inactivation is often associated with the development of cancer given its role in controlling cell division and preventing tumor formation. Specifically its dysfunction has been linked to cancers such as breast cancer and lung cancer. Additionally p53 can interact with other mutant proteins like Ras compounding mutations that contribute to tumor progression and aggressive cancer phenotypes. Understanding these interactions and the status of p53 can be important in developing targeted cancer therapies.

Product protocols

For this product, it's our understanding that no specific protocols are required. You can visit:

Target data

Multifunctional transcription factor that induces cell cycle arrest, DNA repair or apoptosis upon binding to its target DNA sequence (PubMed : 11025664, PubMed : 12524540, PubMed : 12810724, PubMed : 15186775, PubMed : 15340061, PubMed : 17317671, PubMed : 17349958, PubMed : 19556538, PubMed : 20673990, PubMed : 20959462, PubMed : 22726440, PubMed : 24051492, PubMed : 24652652, PubMed : 35618207, PubMed : 36634798, PubMed : 38653238, PubMed : 9840937). Acts as a tumor suppressor in many tumor types; induces growth arrest or apoptosis depending on the physiological circumstances and cell type (PubMed : 11025664, PubMed : 12524540, PubMed : 12810724, PubMed : 15186775, PubMed : 15340061, PubMed : 17189187, PubMed : 17317671, PubMed : 17349958, PubMed : 19556538, PubMed : 20673990, PubMed : 20959462, PubMed : 22726440, PubMed : 24051492, PubMed : 24652652, PubMed : 38653238, PubMed : 9840937). Negatively regulates cell division by controlling expression of a set of genes required for this process (PubMed : 11025664, PubMed : 12524540, PubMed : 12810724, PubMed : 15186775, PubMed : 15340061, PubMed : 17317671, PubMed : 17349958, PubMed : 19556538, PubMed : 20673990, PubMed : 20959462, PubMed : 22726440, PubMed : 24051492, PubMed : 24652652, PubMed : 9840937). One of the activated genes is an inhibitor of cyclin-dependent kinases. Apoptosis induction seems to be mediated either by stimulation of BAX and FAS antigen expression, or by repression of Bcl-2 expression (PubMed : 12524540, PubMed : 17189187). Its pro-apoptotic activity is activated via its interaction with PPP1R13B/ASPP1 or TP53BP2/ASPP2 (PubMed : 12524540). However, this activity is inhibited when the interaction with PPP1R13B/ASPP1 or TP53BP2/ASPP2 is displaced by PPP1R13L/iASPP (PubMed : 12524540). In cooperation with mitochondrial PPIF is involved in activating oxidative stress-induced necrosis; the function is largely independent of transcription. Induces the transcription of long intergenic non-coding RNA p21 (lincRNA-p21) and lincRNA-Mkln1. LincRNA-p21 participates in TP53-dependent transcriptional repression leading to apoptosis and seems to have an effect on cell-cycle regulation. Implicated in Notch signaling cross-over. Prevents CDK7 kinase activity when associated to CAK complex in response to DNA damage, thus stopping cell cycle progression. Isoform 2 enhances the transactivation activity of isoform 1 from some but not all TP53-inducible promoters. Isoform 4 suppresses transactivation activity and impairs growth suppression mediated by isoform 1. Isoform 7 inhibits isoform 1-mediated apoptosis. Regulates the circadian clock by repressing CLOCK-BMAL1-mediated transcriptional activation of PER2 (PubMed : 24051492).
See full target information TP53 acetyl K382

Publications (67)

Recent publications for all applications. Explore the full list and refine your search

American journal of translational research 17:4187-4197 PubMed40672597

2025

Sirtuin 3 modulation by high phosphates: a potential mechanism in muscle aging and sarcopenia.

Applications

Unspecified application

Species

Unspecified reactive species

Chao Xu,Ling Xiong,Junhu Chen,Qingcheng Liu,Fang Wang,Xianxian Fu,Juan Huo,Yufei Bu,Shiyu Chen,Qian Liu

Frontiers in cell and developmental biology 13:1603603 PubMed40584962

2025

Decoding stimulus-specific regulation of promoter activity of p53 target genes.

Applications

Unspecified application

Species

Unspecified reactive species

Flavia Vigliotti,Nicolai Engelmann,Mark Sinzger-D'Angelo,Heinz Koeppl,Alexander Loewer

Translational lung cancer research 14:1351-1370 PubMed40386722

2025

was stabilized through N-methyladenosine methylation and exerted its anticancer effects in lung squamous cell carcinoma by inhibiting SIRT1 activity via CCAR2.

Applications

Unspecified application

Species

Unspecified reactive species

Qihang Yan,Wingshing Wong,Jinsong Lei,Dachuan Liang,Jie Yang,Li Gong,Rossana Berardi,Shuqin Dai,Junye Wang

Cell death & disease 15:826 PubMed39543094

2024

FXR deficiency induced ferroptosis via modulation of the CBP-dependent p53 acetylation to suppress breast cancer growth and metastasis.

Applications

Unspecified application

Species

Unspecified reactive species

Ping Huang,Han Zhao,Hua Dai,Jinying Li,Xiafang Pan,Wentian Pan,Chunhua Xia,Fanglan Liu

Chemical biology & drug design 104:e14595 PubMed39085939

2024

Structural modification of 2-phenylquinoline-4-carboxylic acid containing SIRT3 inhibitors for the cancer differentiation therapy.

Applications

Unspecified application

Species

Unspecified reactive species

Yanmei Du,Xiaojing Wang,Lihui Zhang,Hongyu Qin,Guangzhao Xu,Fahui Li,Chunyan Fang,Honggang Li,Lei Zhang

World journal of gastroenterology 30:1588-1608 PubMed38617450

2024

Silent information regulator sirtuin 1 ameliorates acute liver failure the p53/glutathione peroxidase 4/gasdermin D axis.

Applications

Unspecified application

Species

Unspecified reactive species

Xing-Nian Zhou,Quan Zhang,Hong Peng,Yu-Jie Qin,Yu-Hong Liu,Lu Wang,Ming-Liang Cheng,Xin-Hua Luo,Hong Li

International journal of biological sciences 20:2008-2026 PubMed38617548

2024

Chk2 Modulates Bmi1-Deficiency-Induced Renal Aging and Fibrosis via Oxidative Stress, DNA Damage, and p53/TGFβ1-Induced Epithelial-Mesenchymal Transition.

Applications

Unspecified application

Species

Unspecified reactive species

Jinhong Lu,Weiwei Sun,Boyang Liu,Jinge Zhang,Rong Wang,David Goltzman,Dengshun Miao

Nature 627:130-136 PubMed38355793

2024

Genetic determinants of micronucleus formation in vivo.

Applications

Unspecified application

Species

Unspecified reactive species

D J Adams,B Barlas,R E McIntyre,I Salguero,L van der Weyden,A Barros,J R Vicente,N Karimpour,A Haider,M Ranzani,G Turner,N A Thompson,V Harle,R Olvera-León,C D Robles-Espinoza,A O Speak,N Geisler,W J Weninger,S H Geyer,J Hewinson,N A Karp,B Fu,F Yang,Z Kozik,J Choudhary,L Yu,M S van Ruiten,B D Rowland,C J Lelliott,M Del Castillo Velasco-Herrera,R Verstraten,L Bruckner,A G Henssen,M A Rooimans,J de Lange,T J Mohun,M J Arends,K A Kentistou,P A Coelho,Y Zhao,H Zecchini,J R B Perry,S P Jackson,G Balmus

Biomedicines 11: PubMed38002059

2023

BZD9L1 Differentially Regulates Sirtuins in Liver-Derived Cells by Inducing Reactive Oxygen Species.

Applications

Unspecified application

Species

Unspecified reactive species

Yeuan Ting Lee,Yi Jer Tan,Chern Ein Oon

Nature communications 14:4820 PubMed37563109

2023

Hdac1 and Hdac2 regulate the quiescent state and survival of hair-follicle mesenchymal niche.

Applications

Unspecified application

Species

Unspecified reactive species

Hadas Sibony-Benyamini,Emil Aamar,David Enshell-Seijffers
View all publications

Product promise

We are committed to supporting your work with high-quality reagents, and we're here for you every step of the way. In the unlikely event that one of our products does not perform as expected, you're protected by our Product Promise.
For full details, please see our Terms & Conditions

Please note: All products are 'FOR RESEARCH USE ONLY. NOT FOR USE IN DIAGNOSTIC OR THERAPEUTIC PROCEDURES'.

For licensing inquiries, please contact partnerships@abcam.com