JavaScript is disabled in your browser. Please enable JavaScript to view this website.
AB52172

Anti-p53 (acetyl K386) antibody

4

(1 Review)

|

(7 Publications)

Rabbit Polyclonal P53 acetyl K386 antibody. Suitable for IHC-P, ICC/IF and reacts with Human samples. Cited in 7 publications. Immunogen corresponding to Synthetic Peptide within Human TP53 acetyl K386 aa 300 to C-terminus.

View Alternative Names

P53, TP53, Cellular tumor antigen p53, Antigen NY-CO-13, Phosphoprotein p53, Tumor suppressor p53

2 Images
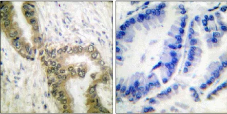
Immunohistochemistry (Formalin/PFA-fixed paraffin-embedded sections) - Anti-p53 (acetyl K386) antibody (AB52172)
  • IHC-P

Unknown

Immunohistochemistry (Formalin/PFA-fixed paraffin-embedded sections) - Anti-p53 (acetyl K386) antibody (AB52172)

ab52172 at 1/50 dilution staining P53 (acetyl K386) in human lung carcinoma by Immunohistochemistry, Paraffin embedded tissue, in the absence (left image) and presence (right image) of the immunising peptide.

Immunocytochemistry/ Immunofluorescence - Anti-p53 (acetyl K386) antibody (AB52172)
  • ICC/IF

Unknown

Immunocytochemistry/ Immunofluorescence - Anti-p53 (acetyl K386) antibody (AB52172)

ICC/IF image of ab52172 stained HeLa cells. The cells were 4% PFA fixed (10 min) and then incubated in 1%BSA / 10% normal goat serum / 0.3M glycine in 0.1% PBS-Tween for 1h to permeabilise the cells and block non-specific protein-protein interactions. The cells were then incubated with the antibody (ab52172, 1μg/ml) overnight at +4°C. The secondary antibody (green)was Alexa Fluor© 488 goat anti-rabbit IgG (H+L) used at a 1/1000 dilution for 1h. Alexa Fluor© 594 WGA was used to label plasma membranes (red) at a 1/200 dilution for 1h. DAPI was used to stain the cell nuclei (blue) at a concentration of 1.43μM.

Key facts

Host species

Rabbit

Clonality

Polyclonal

Isotype

IgG

Carrier free

No

Reacts with

Human

Applications

IHC-P, ICC/IF

applications

Immunogen

Synthetic Peptide within Human TP53 acetyl K386 aa 300 to C-terminus. The exact immunogen used to generate this antibody is proprietary information.

P04637

Reactivity data

{ "title": "Reactivity Data", "filters": { "stats": ["", "Species", "Dilution Info", "Notes"], "tabs": { "all-applications": {"fullname" : "All Applications", "shortname": "All Applications"}, "IHCP" : {"fullname" : "Immunohistochemistry (Formalin/PFA-fixed paraffin-embedded sections)", "shortname":"IHC-P"}, "ICCIF" : {"fullname" : "Immunocytochemistry/ Immunofluorescence", "shortname":"ICC/IF"} }, "product-promise": { "all": "all", "testedAndGuaranteed": "tested", "guaranteed": "expected", "predicted": "predicted", "notRecommended": "not-recommended" } }, "values": { "Human": { "IHCP-species-checked": "testedAndGuaranteed", "IHCP-species-dilution-info": "1/50 - 1/100", "IHCP-species-notes": "<p></p>", "ICCIF-species-checked": "testedAndGuaranteed", "ICCIF-species-dilution-info": "1/100 - 1/500", "ICCIF-species-notes": "<p></p>" } } }

Properties and storage information

Form
Liquid
Purification technique
Affinity purification Immunogen
Purification notes
ab52172 was affinity-purified from rabbit antiserum by affinity-chromatography using epitope-specific acetylated peptide. The antibody against non-acetylated peptide was removed by chromatography using non-acetylated peptide corresponding to the acetylation site.
Storage buffer
pH: 7.4 Preservative: 0.02% Sodium azide Constituents: PBS, 50% Glycerol (glycerin, glycerine), 0.87% Sodium chloride
Shipped at conditions
Blue Ice
Appropriate short-term storage conditions
+4°C
Appropriate long-term storage conditions
-20°C
Storage information
Stable for 12 months at -20°C

Supplementary information

This supplementary information is collated from multiple sources and compiled automatically.

The protein p53 also known as TP53 or tumor protein p53 has a molecular weight of approximately 53 kDa. It acts as a transcription factor and plays a major role in cell cycle regulation apoptosis and maintaining genomic stability. This protein mainly expresses in the nucleus of cells and acts as a critical regulator of cellular responses to stress signals including DNA damage. Scientists commonly use p53 antibodies in various assays like western blot and p53 immunofluorescence to detect and study its expression and functional status in cells.
Biological function summary

P53 functions to control cell division and apoptosis serving as a guardian of the genome by preventing mutation accumulation. It does not form part of a larger complex under normal conditions but interacts with various other molecules to execute its functions. p53 can activate or suppress the transcription of numerous genes involved in cell cycle arrest DNA repair and programmed cell death allowing it to halt the progression of damaged cells and trigger repair mechanisms or eliminate those that cannot be repaired.

Pathways

P53 acts within several key biological pathways such as the p53 signaling pathway and the intrinsic apoptotic pathway. Its activity involves interaction with proteins like MDM2 which regulates p53 through ubiquitin-mediated degradation and ATM kinase which phosphorylates p53 in response to DNA damage. These interactions ensure appropriate cellular responses during stress and are vital for maintaining homeostasis.

P53 mutation or inactivation is often associated with the development of cancer given its role in controlling cell division and preventing tumor formation. Specifically its dysfunction has been linked to cancers such as breast cancer and lung cancer. Additionally p53 can interact with other mutant proteins like Ras compounding mutations that contribute to tumor progression and aggressive cancer phenotypes. Understanding these interactions and the status of p53 can be important in developing targeted cancer therapies.

Product protocols

For this product, it's our understanding that no specific protocols are required. You can visit:

Target data

Multifunctional transcription factor that induces cell cycle arrest, DNA repair or apoptosis upon binding to its target DNA sequence (PubMed : 11025664, PubMed : 12524540, PubMed : 12810724, PubMed : 15186775, PubMed : 15340061, PubMed : 17317671, PubMed : 17349958, PubMed : 19556538, PubMed : 20673990, PubMed : 20959462, PubMed : 22726440, PubMed : 24051492, PubMed : 24652652, PubMed : 35618207, PubMed : 36634798, PubMed : 38653238, PubMed : 9840937). Acts as a tumor suppressor in many tumor types; induces growth arrest or apoptosis depending on the physiological circumstances and cell type (PubMed : 11025664, PubMed : 12524540, PubMed : 12810724, PubMed : 15186775, PubMed : 15340061, PubMed : 17189187, PubMed : 17317671, PubMed : 17349958, PubMed : 19556538, PubMed : 20673990, PubMed : 20959462, PubMed : 22726440, PubMed : 24051492, PubMed : 24652652, PubMed : 38653238, PubMed : 9840937). Negatively regulates cell division by controlling expression of a set of genes required for this process (PubMed : 11025664, PubMed : 12524540, PubMed : 12810724, PubMed : 15186775, PubMed : 15340061, PubMed : 17317671, PubMed : 17349958, PubMed : 19556538, PubMed : 20673990, PubMed : 20959462, PubMed : 22726440, PubMed : 24051492, PubMed : 24652652, PubMed : 9840937). One of the activated genes is an inhibitor of cyclin-dependent kinases. Apoptosis induction seems to be mediated either by stimulation of BAX and FAS antigen expression, or by repression of Bcl-2 expression (PubMed : 12524540, PubMed : 17189187). Its pro-apoptotic activity is activated via its interaction with PPP1R13B/ASPP1 or TP53BP2/ASPP2 (PubMed : 12524540). However, this activity is inhibited when the interaction with PPP1R13B/ASPP1 or TP53BP2/ASPP2 is displaced by PPP1R13L/iASPP (PubMed : 12524540). In cooperation with mitochondrial PPIF is involved in activating oxidative stress-induced necrosis; the function is largely independent of transcription. Induces the transcription of long intergenic non-coding RNA p21 (lincRNA-p21) and lincRNA-Mkln1. LincRNA-p21 participates in TP53-dependent transcriptional repression leading to apoptosis and seems to have an effect on cell-cycle regulation. Implicated in Notch signaling cross-over. Prevents CDK7 kinase activity when associated to CAK complex in response to DNA damage, thus stopping cell cycle progression. Isoform 2 enhances the transactivation activity of isoform 1 from some but not all TP53-inducible promoters. Isoform 4 suppresses transactivation activity and impairs growth suppression mediated by isoform 1. Isoform 7 inhibits isoform 1-mediated apoptosis. Regulates the circadian clock by repressing CLOCK-BMAL1-mediated transcriptional activation of PER2 (PubMed : 24051492).
See full target information TP53 acetyl K386

Publications (7)

Recent publications for all applications. Explore the full list and refine your search

Nature communications 14:4820 PubMed37563109

2023

Hdac1 and Hdac2 regulate the quiescent state and survival of hair-follicle mesenchymal niche.

Applications

Unspecified application

Species

Unspecified reactive species

Hadas Sibony-Benyamini,Emil Aamar,David Enshell-Seijffers

Communications biology 4:1373 PubMed34880421

2021

Loss of peptidase D binding restores the tumor suppressor functions of oncogenic p53 mutants.

Applications

Unspecified application

Species

Unspecified reactive species

Lu Yang,Yun Li,Arup Bhattacharya,Yuesheng Zhang

International journal of molecular sciences 20: PubMed31426515

2019

Stress-Induced, p53-Mediated Tumor Growth Inhibition of Melanoma by Modulated Electrohyperthermia in Mouse Models without Major Immunogenic Effects.

Applications

Unspecified application

Species

Unspecified reactive species

Balázs Besztercei,Tamás Vancsik,Anett Benedek,Enikő Major,Mbuotidem J Thomas,Csaba A Schvarcz,Tibor Krenács,Zoltán Benyó,Andrea Balogh

Development (Cambridge, England) 145: PubMed29712641

2018

Histone deacetylases 1 and 2 regulate the transcriptional programs of nephron progenitors and renal vesicles.

Applications

Unspecified application

Species

Unspecified reactive species

Hongbing Liu,Shaowei Chen,Xiao Yao,Yuwen Li,Chao-Hui Chen,Jiao Liu,Zubaida Saifudeen,Samir S El-Dahr

Development (Cambridge, England) 145: PubMed29490983

2018

The histone acetyltransferase inhibitor Nir regulates epidermis development.

Applications

Unspecified application

Species

Unspecified reactive species

Delphine Duteil,Yves Tourrette,Adrien Eberlin,Dominica Willmann,Dharmeshkumar Patel,Nicolaus Friedrichs,Judith M Müller,Roland Schüle

The Journal of neuroscience : the official journal of the Society for Neuroscience 34:11897-912 PubMed25186738

2014

A critical role for interferon regulatory factor 9 in cerebral ischemic stroke.

Applications

WB

Species

Mouse

Hou-Zao Chen,Sen Guo,Zuo-Zhi Li,Yanyun Lu,Ding-Sheng Jiang,Ran Zhang,Hao Lei,Lu Gao,Xiaofei Zhang,Yan Zhang,Lang Wang,Li-Hua Zhu,Mei Xiang,Yan Zhou,Qi Wan,Hailong Dong,De-Pei Liu,Hongliang Li

American journal of physiology. Renal physiology 302:F928-40 PubMed22237799

2012

Mechanisms of p53 activation and physiological relevance in the developing kidney.

Applications

Unspecified application

Species

Unspecified reactive species

Karam Aboudehen,Sylvia Hilliard,Zubaida Saifudeen,Samir S El-Dahr
View all publications

Product promise

We are committed to supporting your work with high-quality reagents, and we're here for you every step of the way. In the unlikely event that one of our products does not perform as expected, you're protected by our Product Promise.
For full details, please see our Terms & Conditions

Please note: All products are 'FOR RESEARCH USE ONLY. NOT FOR USE IN DIAGNOSTIC OR THERAPEUTIC PROCEDURES'.

For licensing inquiries, please contact partnerships@abcam.com