JavaScript is disabled in your browser. Please enable JavaScript to view this website.
AB154036

Anti-p53 antibody [9D3DE3]

  • BOND RX™ Validated
  • KO Validated
  • Recombinant
  • Lab Essentials
  • What is this?

4

(3 Reviews)

|

(12 Publications)

Mouse Recombinant Monoclonal P53 antibody. Suitable for IHC-P, IP, Flow Cyt, WB, In-Cell ELISA, ICC/IF and reacts with Human samples. Cited in 12 publications.

View Alternative Names

P53, TP53, Cellular tumor antigen p53, Antigen NY-CO-13, Phosphoprotein p53, Tumor suppressor p53

7 Images
Immunohistochemistry (Formalin/PFA-fixed paraffin-embedded sections) - Anti-p53 antibody [9D3DE3] (AB154036)
  • IHC-P

Lab

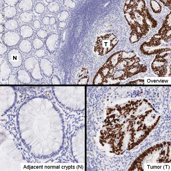
Immunohistochemistry (Formalin/PFA-fixed paraffin-embedded sections) - Anti-p53 antibody [9D3DE3] (AB154036)

IHC image of ab154036 staining beta Catenin in human colon adenocarcinoma formalin-fixed paraffin-embedded tissue sections*, performed on a Leica Bond. The section was pre-treated using heat mediated antigen retrieval with sodium citrate buffer (pH6, epitope retrieval solution 1) for 20 mins. The section was then incubated with ab154036, 1/500 dilution, for 15 mins at room temperature and detected using an HRP conjugated compact polymer system. DAB was used as the chromogen. The section was then counterstained with haematoxylin and mounted with DPX. High magnification of the tumor region - T (lower right panel) and adjacent normal crypts - N (lower left panel) are shown.
For other IHC staining systems (automated and non-automated) customers should optimize variable parameters such as antigen retrieval conditions, primary antibody concentration and antibody incubation times.
*Tissue obtained from the Human Research Tissue Bank, supported by the NIHR Cambridge Biomedical Research Centre

Flow Cytometry - Anti-p53 antibody [9D3DE3] (AB154036)
  • Flow Cyt

Unknown

Flow Cytometry - Anti-p53 antibody [9D3DE3] (AB154036)

Figure 5 : Flow Cytometry with anti-p53 antibody (ab154036) using Hek293 cells
Standard flow cytometry procedure was performed on Hek293 cells that were fixed and permeabilized with methanol and stained with 1 µg/mL of anti-p53 antibody (red) or a negative isotype control antibody (black). 1% BSA in PBS was used as the blocking reagent for all the blocking steps.

Immunocytochemistry/ Immunofluorescence - Anti-p53 antibody [9D3DE3] (AB154036)
  • ICC/IF

Lab

Immunocytochemistry/ Immunofluorescence - Anti-p53 antibody [9D3DE3] (AB154036)

ab154036 staining p53 in wild-type HAP1 cells (top panel) and p53 knockout HAP1 cells (bottom panel). The cells were fixed with 4% formaldehyde (10min), permeabilized with 0.1% Triton X-100 for 5 minutes and then blocked with 1% BSA/10% normal goat serum/0.3M glycine in 0.1% PBS-Tween for 1h. The cells were then incubated with ab154036 at 1μg/ml concentration and ab202272 at 1/250 dilution (shown in pseudo colour red) overnight at +4°C, followed by a further incubation at room temperature for 1h with a goat secondary antibody to Mouse IgG (Alexa Fluor® 488) (ab150117) at 2 μg/ml (shown in green). Nuclear DNA was labelled in blue with DAPI.

In-Cell ELISA - Anti-p53 antibody [9D3DE3] (AB154036)
  • In-Cell ELISA

Unknown

In-Cell ELISA - Anti-p53 antibody [9D3DE3] (AB154036)

Figure 4 : In-cell ELISA with anti-p53 antibody (ab154036)

Standard In-Cell ELISA protocol was performed on vehicle- and camptothecin-treated MCF7 cells using 1 µg/mL anti-p53 primary antibody and IR800-conjugated goat anti-mouse IgG secondary antibody. Cells were imaged using a LI-COR® Odyssey near-infrared scanner. The data is presented as background-subtracted IR800 signals (A) or Janus green-normalized signals (B).

Immunoprecipitation - Anti-p53 antibody [9D3DE3] (AB154036)
  • IP

Unknown

Immunoprecipitation - Anti-p53 antibody [9D3DE3] (AB154036)

Figure 2 : p53 (ab154036) antibody specificity demonstrated by immunoprecipitation, followed by Western blot

Lane 1 : Hek293 whole cell extract
Lane 2 : anti-p53 (ab154036) IP using Hek293 cells extracted with RIPA buffer
Lane 3 : anti-p53 (ab154036) IP using Hek293 cells extracted with Lauryl Maltoside (ab109857)

Western blot with anti-p53 (ab32389) 1/1000.

Secondary goat anti-rabbit IgG 1/5000.

All lanes:

Immunoprecipitation - Anti-p53 antibody [9D3DE3] (ab154036)

Predicted band size: 43 kDa

Observed band size: 53 kDa

false

Western blot - Anti-p53 antibody [9D3DE3] (AB154036)
  • WB

Lab

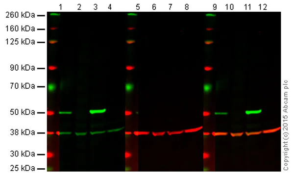
Western blot - Anti-p53 antibody [9D3DE3] (AB154036)

Lanes 1, 5 and 9 : Wild-type HAP1 cell lysate (20 μg)
Lanes 2, 6 and 10 : p53 knockout HAP1 cell lysate (20 μg)
Lanes 3, 7 and 11 : A431 cell lysate (20 μg)
Lanes 4, 8 and 12 : Saos-2 cell lysate (20 μg)
Lanes 1, 2, 3 and 4 : Green signal from target – ab154036 observed at 53 kDa
Lanes 5, 6, 7 and 8 : Red signal from loading control – ab181602 observed at 37 kDa
Lanes 9, 10, 11 and 12 : Merged (red and green) signal

ab154036 was shown to specifically react with p53 in wild type HAP1 cells. No band was observed when p53 knockout samples were used. Wild-type and p53 knockout samples were subjected to SDS-PAGE. ab154036 and ab181602 (loading control to GAPDH) were diluted 2 μg/mL and 1/10000 respectively and incubated overnight at 4°C. Blots were developed with Goat anti-Mouse IgG H&L (IRDye® 800CW) preadsorbed ab216772 and Goat Anti-Rabbit IgG H&L (IRDye® 680RD) preadsorbed ab216777 secondary antibodies at 1/10000 dilution for 1 h at room temperature before imaging.

All lanes:

Western blot - Anti-p53 antibody [9D3DE3] (ab154036)

Predicted band size: 43 kDa

false

Western blot - Anti-p53 antibody [9D3DE3] (AB154036)
  • WB

Unknown

Western blot - Anti-p53 antibody [9D3DE3] (AB154036)

All lanes:

Western blot - Anti-p53 antibody [9D3DE3] (ab154036) at 2 µg/mL

Lane 1:

Western blot - Recombinant Human p53 protein (<a href='/en-us/products/proteins-peptides/recombinant-human-p53-protein-ab43615'>ab43615</a>) at 0.002 µg

Lane 2:

Hek293 cells at 40 µg

Lane 3:

6 hour vehicle-treated MCF7 cells at 40 µg

Lane 4:

6 hour camptothecin-treated MCF7 cells at 40 µg

Secondary

All lanes:

Goat polyclonal to Mouse IgG - HRP at 1/5000 dilution

Predicted band size: 43 kDa

Observed band size: 53 kDa

false

Key facts

Host species

Mouse

Clonality

Monoclonal

Clone number

9D3DE3

Isotype

IgG2a

Carrier free

No

Reacts with

Human

Applications

ICC/IF, Flow Cyt, In-Cell ELISA, IP, IHC-P, WB

applications

Immunogen

The exact immunogen used to generate this antibody is proprietary information.

Reactivity data

{ "title": "Reactivity Data", "filters": { "stats": ["", "Species", "Dilution Info", "Notes"], "tabs": { "all-applications": {"fullname" : "All Applications", "shortname": "All Applications"}, "IHCP" : {"fullname" : "Immunohistochemistry (Formalin/PFA-fixed paraffin-embedded sections)", "shortname":"IHC-P"}, "IP" : {"fullname" : "Immunoprecipitation", "shortname":"IP"}, "FlowCyt" : {"fullname" : "Flow Cytometry", "shortname":"Flow Cyt"}, "WB" : {"fullname" : "Western blot", "shortname":"WB"}, "InCellELISA" : {"fullname" : "In-Cell ELISA", "shortname":"In-Cell ELISA"}, "ICCIF" : {"fullname" : "Immunocytochemistry/ Immunofluorescence", "shortname":"ICC/IF"} }, "product-promise": { "all": "all", "testedAndGuaranteed": "tested", "guaranteed": "expected", "predicted": "predicted", "notRecommended": "not-recommended" } }, "values": { "Human": { "IHCP-species-checked": "testedAndGuaranteed", "IHCP-species-dilution-info": "1 µg/mL", "IHCP-species-notes": "<p></p>", "IP-species-checked": "testedAndGuaranteed", "IP-species-dilution-info": "", "IP-species-notes": "<p></p>", "FlowCyt-species-checked": "testedAndGuaranteed", "FlowCyt-species-dilution-info": "", "FlowCyt-species-notes": "<p><a href='/en-us/products/primary-antibodies/mouse-igg2c-kappa-monoclonal-18c8bc7ad10-isotype-control-ab170191'>ab170191</a> - Mouse monoclonal IgG2a, is suitable for use as an isotype control with this antibody.</p>", "WB-species-checked": "testedAndGuaranteed", "WB-species-dilution-info": "2 µg/mL", "WB-species-notes": "<p></p>", "InCellELISA-species-checked": "testedAndGuaranteed", "InCellELISA-species-dilution-info": "", "InCellELISA-species-notes": "<p></p>", "ICCIF-species-checked": "testedAndGuaranteed", "ICCIF-species-dilution-info": "1 µg/mL", "ICCIF-species-notes": "<p></p>" }, "Mouse": { "IHCP-species-checked": "notRecommended", "IHCP-species-dilution-info": "1 µg/mL", "IHCP-species-notes": "<p></p>", "IP-species-checked": "notRecommended", "IP-species-dilution-info": "", "IP-species-notes": "<p></p>", "FlowCyt-species-checked": "notRecommended", "FlowCyt-species-dilution-info": "", "FlowCyt-species-notes": "<p><a href='/en-us/products/primary-antibodies/mouse-igg2c-kappa-monoclonal-18c8bc7ad10-isotype-control-ab170191'>ab170191</a> - Mouse monoclonal IgG2a, is suitable for use as an isotype control with this antibody.</p>", "WB-species-checked": "notRecommended", "WB-species-dilution-info": "2 µg/mL", "WB-species-notes": "<p></p>", "InCellELISA-species-checked": "notRecommended", "InCellELISA-species-dilution-info": "", "InCellELISA-species-notes": "<p></p>", "ICCIF-species-checked": "notRecommended", "ICCIF-species-dilution-info": "1 µg/mL", "ICCIF-species-notes": "<p></p>" }, "Rat": { "IHCP-species-checked": "notRecommended", "IHCP-species-dilution-info": "1 µg/mL", "IHCP-species-notes": "<p></p>", "IP-species-checked": "notRecommended", "IP-species-dilution-info": "", "IP-species-notes": "<p></p>", "FlowCyt-species-checked": "notRecommended", "FlowCyt-species-dilution-info": "", "FlowCyt-species-notes": "<p><a href='/en-us/products/primary-antibodies/mouse-igg2c-kappa-monoclonal-18c8bc7ad10-isotype-control-ab170191'>ab170191</a> - Mouse monoclonal IgG2a, is suitable for use as an isotype control with this antibody.</p>", "WB-species-checked": "notRecommended", "WB-species-dilution-info": "2 µg/mL", "WB-species-notes": "<p></p>", "InCellELISA-species-checked": "notRecommended", "InCellELISA-species-dilution-info": "", "InCellELISA-species-notes": "<p></p>", "ICCIF-species-checked": "notRecommended", "ICCIF-species-dilution-info": "1 µg/mL", "ICCIF-species-notes": "<p></p>" }, "Chimpanzee": { "IHCP-species-checked": "notRecommended", "IHCP-species-dilution-info": "", "IHCP-species-notes": "", "IP-species-checked": "notRecommended", "IP-species-dilution-info": "", "IP-species-notes": "", "FlowCyt-species-checked": "notRecommended", "FlowCyt-species-dilution-info": "", "FlowCyt-species-notes": "", "WB-species-checked": "notRecommended", "WB-species-dilution-info": "", "WB-species-notes": "", "InCellELISA-species-checked": "notRecommended", "InCellELISA-species-dilution-info": "", "InCellELISA-species-notes": "", "ICCIF-species-checked": "notRecommended", "ICCIF-species-dilution-info": "", "ICCIF-species-notes": "" }, "Cynomolgus monkey": { "IHCP-species-checked": "notRecommended", "IHCP-species-dilution-info": "", "IHCP-species-notes": "", "IP-species-checked": "notRecommended", "IP-species-dilution-info": "", "IP-species-notes": "", "FlowCyt-species-checked": "notRecommended", "FlowCyt-species-dilution-info": "", "FlowCyt-species-notes": "", "WB-species-checked": "notRecommended", "WB-species-dilution-info": "", "WB-species-notes": "", "InCellELISA-species-checked": "notRecommended", "InCellELISA-species-dilution-info": "", "InCellELISA-species-notes": "", "ICCIF-species-checked": "notRecommended", "ICCIF-species-dilution-info": "", "ICCIF-species-notes": "" }, "Rhesus monkey": { "IHCP-species-checked": "notRecommended", "IHCP-species-dilution-info": "", "IHCP-species-notes": "", "IP-species-checked": "notRecommended", "IP-species-dilution-info": "", "IP-species-notes": "", "FlowCyt-species-checked": "notRecommended", "FlowCyt-species-dilution-info": "", "FlowCyt-species-notes": "", "WB-species-checked": "notRecommended", "WB-species-dilution-info": "", "WB-species-notes": "", "InCellELISA-species-checked": "notRecommended", "InCellELISA-species-dilution-info": "", "InCellELISA-species-notes": "", "ICCIF-species-checked": "notRecommended", "ICCIF-species-dilution-info": "", "ICCIF-species-notes": "" } } }

Product details

This monoclonal antibody to p53 has been knockout validated in Western blot and ICC/IF. The expected signal for p53 was observed in wild type cells and the signal was not seen in knockout cells.

Want a custom formulation?
This antibody clone is manufactured by Abcam. If you require a custom buffer formulation or conjugation for your experiments, please contact orders@abcam.com

Properties and storage information

Form
Liquid
Purification technique
Precipitation Ammonium Sulphate
Purification notes
Near homogeneity as judged by SDS-PAGE. ab154036 was produced in vitro using hybridomas grown in serum-free medium, and then concentrated by ammonium sulfate precipitation.
Storage buffer
pH: 7.5 Preservative: 0.02% Sodium azide Constituents: 0.88% Sodium chloride, 0.36% HEPES
Shipped at conditions
Blue Ice
Appropriate short-term storage duration
1-2 weeks
Appropriate short-term storage conditions
+4°C
Appropriate long-term storage conditions
-20°C

Supplementary information

This supplementary information is collated from multiple sources and compiled automatically.

The protein p53 also known as TP53 or tumor protein p53 has a molecular weight of approximately 53 kDa. It acts as a transcription factor and plays a major role in cell cycle regulation apoptosis and maintaining genomic stability. This protein mainly expresses in the nucleus of cells and acts as a critical regulator of cellular responses to stress signals including DNA damage. Scientists commonly use p53 antibodies in various assays like western blot and p53 immunofluorescence to detect and study its expression and functional status in cells.
Biological function summary

P53 functions to control cell division and apoptosis serving as a guardian of the genome by preventing mutation accumulation. It does not form part of a larger complex under normal conditions but interacts with various other molecules to execute its functions. p53 can activate or suppress the transcription of numerous genes involved in cell cycle arrest DNA repair and programmed cell death allowing it to halt the progression of damaged cells and trigger repair mechanisms or eliminate those that cannot be repaired.

Pathways

P53 acts within several key biological pathways such as the p53 signaling pathway and the intrinsic apoptotic pathway. Its activity involves interaction with proteins like MDM2 which regulates p53 through ubiquitin-mediated degradation and ATM kinase which phosphorylates p53 in response to DNA damage. These interactions ensure appropriate cellular responses during stress and are vital for maintaining homeostasis.

P53 mutation or inactivation is often associated with the development of cancer given its role in controlling cell division and preventing tumor formation. Specifically its dysfunction has been linked to cancers such as breast cancer and lung cancer. Additionally p53 can interact with other mutant proteins like Ras compounding mutations that contribute to tumor progression and aggressive cancer phenotypes. Understanding these interactions and the status of p53 can be important in developing targeted cancer therapies.

Product protocols

For this product, it's our understanding that no specific protocols are required. You can visit:

Target data

Multifunctional transcription factor that induces cell cycle arrest, DNA repair or apoptosis upon binding to its target DNA sequence (PubMed : 11025664, PubMed : 12524540, PubMed : 12810724, PubMed : 15186775, PubMed : 15340061, PubMed : 17317671, PubMed : 17349958, PubMed : 19556538, PubMed : 20673990, PubMed : 20959462, PubMed : 22726440, PubMed : 24051492, PubMed : 24652652, PubMed : 35618207, PubMed : 36634798, PubMed : 38653238, PubMed : 9840937). Acts as a tumor suppressor in many tumor types; induces growth arrest or apoptosis depending on the physiological circumstances and cell type (PubMed : 11025664, PubMed : 12524540, PubMed : 12810724, PubMed : 15186775, PubMed : 15340061, PubMed : 17189187, PubMed : 17317671, PubMed : 17349958, PubMed : 19556538, PubMed : 20673990, PubMed : 20959462, PubMed : 22726440, PubMed : 24051492, PubMed : 24652652, PubMed : 38653238, PubMed : 9840937). Negatively regulates cell division by controlling expression of a set of genes required for this process (PubMed : 11025664, PubMed : 12524540, PubMed : 12810724, PubMed : 15186775, PubMed : 15340061, PubMed : 17317671, PubMed : 17349958, PubMed : 19556538, PubMed : 20673990, PubMed : 20959462, PubMed : 22726440, PubMed : 24051492, PubMed : 24652652, PubMed : 9840937). One of the activated genes is an inhibitor of cyclin-dependent kinases. Apoptosis induction seems to be mediated either by stimulation of BAX and FAS antigen expression, or by repression of Bcl-2 expression (PubMed : 12524540, PubMed : 17189187). Its pro-apoptotic activity is activated via its interaction with PPP1R13B/ASPP1 or TP53BP2/ASPP2 (PubMed : 12524540). However, this activity is inhibited when the interaction with PPP1R13B/ASPP1 or TP53BP2/ASPP2 is displaced by PPP1R13L/iASPP (PubMed : 12524540). In cooperation with mitochondrial PPIF is involved in activating oxidative stress-induced necrosis; the function is largely independent of transcription. Induces the transcription of long intergenic non-coding RNA p21 (lincRNA-p21) and lincRNA-Mkln1. LincRNA-p21 participates in TP53-dependent transcriptional repression leading to apoptosis and seems to have an effect on cell-cycle regulation. Implicated in Notch signaling cross-over. Prevents CDK7 kinase activity when associated to CAK complex in response to DNA damage, thus stopping cell cycle progression. Isoform 2 enhances the transactivation activity of isoform 1 from some but not all TP53-inducible promoters. Isoform 4 suppresses transactivation activity and impairs growth suppression mediated by isoform 1. Isoform 7 inhibits isoform 1-mediated apoptosis. Regulates the circadian clock by repressing CLOCK-BMAL1-mediated transcriptional activation of PER2 (PubMed : 24051492).
See full target information TP53

Publications (12)

Recent publications for all applications. Explore the full list and refine your search

Redox report : communications in free radical research 30:2511458 PubMed40489575

2025

Fucoxanthin alleviates renal aging by regulating the oxidative stress process and the inflammatory response and models.

Applications

Unspecified application

Species

Unspecified reactive species

Xiaomei Zhang,Weidong Qiang,Yongxin Guo,Jingli Gong,Huan Yu,Di Wu,Pengxiang Tang,Ma Yidan,Huifeng Zhang,Xin Sun

Frontiers in cell and developmental biology 13:1561815 PubMed40376613

2025

Cellular effects of splenectomy on liver regeneration after 70% resection.

Applications

Unspecified application

Species

Unspecified reactive species

Andrey Elchaninov,Polina Vishnyakova,Elena Gantsova,Miroslava Chirkova,Victoria Karyagina,Larkin Anatoliy,Evgeniya Kananykhina,Maria Kuznetsova,Ibrahim Atabekov,Evgeny Karpulevich,Silachev Denis,Dmitry Trofimov,Dmitry Goldshtein,Timur Fatkhudinov,Gennady Sukhikh

Life (Basel, Switzerland) 14: PubMed38255715

2024

Special Staining and Protein Expression of VEGF/EGFR and P53/NF-κB in Cryptorchid Tissue of Erhualian Pigs.

Applications

Unspecified application

Species

Unspecified reactive species

Penggang Liu,Yiming Shao,Caihong Liu,Xiaoyang Lv,Seth Yaw Afedo,Wenbin Bao

Frontiers in oncology 13:1178021 PubMed37483514

2023

Cystathionine β-synthase affects organization of cytoskeleton and modulates carcinogenesis in colorectal carcinoma cells.

Applications

Unspecified application

Species

Unspecified reactive species

Veronika Liskova,Barbora Chovancova,Petr Babula,Ingeborg Rezuchova,Kristina Ploth Pavlov,Miroslava Matuskova,Olga Krizanova

Cellular and molecular life sciences : CMLS 80:156 PubMed37208565

2023

CSNK1D-mediated phosphorylation of HNRNPA2B1 induces miR-25-3p/miR-93-5p maturation to promote prostate cancer cell proliferation and migration through mA-dependent manner.

Applications

Unspecified application

Species

Unspecified reactive species

Feng Qi,Wenyi Shen,Xiyi Wei,Yifei Cheng,Fan Xu,Yuxiao Zheng,Lu Li,Chao Qin,Xiao Li

Environmental toxicology 38:1011-1021 PubMed36840722

2023

Lead intoxication-induced exosomes promote autophagy and apoptosis in renal proximal tubule cells by activating the adenosine 5'-monophosphate-activated protein kinase signaling.

Applications

Unspecified application

Species

Unspecified reactive species

Qian Jiang,Xuefang Feng,Jie Shen,Yanan Wang,Yinghui Zhang,Rong Zhou

Molecules (Basel, Switzerland) 27: PubMed35566044

2022

Anticancer Efficacy of 6-Gingerol with Paclitaxel against Wild Type of Human Breast Adenocarcinoma.

Applications

Unspecified application

Species

Unspecified reactive species

Kamila Wala,Wojciech Szlasa,Natalia Sauer,Paulina Kasperkiewicz-Wasilewska,Anna Szewczyk,Jolanta Saczko,Nina Rembiałkowska,Julita Kulbacka,Dagmara Baczyńska

Neoplasma 69:361-369 PubMed35103478

2022

ASF1B enhances migration and invasion of lung cancers cell via regulating the P53-mediated epithelial-mesenchymal transformation (EMT) signaling pathway.

Applications

Unspecified application

Species

Unspecified reactive species

Wei Wang,Lina Xiao,Deng Pan,Lingzhi Hu

International journal of molecular sciences 22: PubMed34948290

2021

Transient Activation of Hedgehog Signaling Inhibits Cellular Senescence and Inflammation in Radiated Swine Salivary Glands through Preserving Resident Macrophages.

Applications

Unspecified application

Species

Unspecified reactive species

Liang Hu,Conglin Du,Zi Yang,Yang Yang,Zhao Zhu,Zhaochen Shan,Chunmei Zhang,Songlin Wang,Fei Liu

The Journal of biological chemistry 297:101337 PubMed34688655

2021

The sialidase NEU1 directly interacts with the juxtamembranous segment of the cytoplasmic domain of mucin-1 to inhibit downstream PI3K-Akt signaling.

Applications

Unspecified application

Species

Unspecified reactive species

Sang W Hyun,Akihiro Imamura,Hideharu Ishida,Kurt H Piepenbrink,Simeon E Goldblum,Erik P Lillehoj
View all publications

Product promise

We are committed to supporting your work with high-quality reagents, and we're here for you every step of the way. In the unlikely event that one of our products does not perform as expected, you're protected by our Product Promise.
For full details, please see our Terms & Conditions

Please note: All products are 'FOR RESEARCH USE ONLY. NOT FOR USE IN DIAGNOSTIC OR THERAPEUTIC PROCEDURES'.

For licensing inquiries, please contact partnerships@abcam.com