JavaScript is disabled in your browser. Please enable JavaScript to view this website.
AB17990

Anti-p53 antibody

Be the first to review this product! Submit a review

|

(12 Publications)

Rabbit Polyclonal P53 antibody. Suitable for IHC-P, IP, Flow Cyt, Flow Cyt (Intra), WB and reacts with Human samples. Cited in 12 publications. Immunogen corresponding to Synthetic Peptide within Human TP53 aa 50-100.

View Alternative Names

P53, TP53, Cellular tumor antigen p53, Antigen NY-CO-13, Phosphoprotein p53, Tumor suppressor p53

4 Images
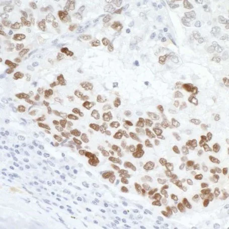
Immunohistochemistry (Formalin/PFA-fixed paraffin-embedded sections) - Anti-p53 antibody (AB17990)
  • IHC-P

Supplier Data

Immunohistochemistry (Formalin/PFA-fixed paraffin-embedded sections) - Anti-p53 antibody (AB17990)

Immunohistochemical (Formalin/PFA-fixed paraffin-embedded sections) analysis of human lung cancer tissue labelling p53 with ab17990 at 1/5000 dilution. Detection : DAB.

Flow Cytometry (Intracellular) - Anti-p53 antibody (AB17990)
  • Flow Cyt (Intra)

Unknown

Flow Cytometry (Intracellular) - Anti-p53 antibody (AB17990)

ab17990 at 1.5ug/ml staining p53 in human Jurkat cell line by Flow Cytometery. Cells were fixed in 1.5% paraformaldehyde, and permeabilized in 90% methanol. A FITC-conjugated goat anti rabbit was used as secondary. The black line indicates control anti KLH IgG and the red line repersents ab17990 staining.

Immunoprecipitation - Anti-p53 antibody (AB17990)
  • IP

Supplier Data

Immunoprecipitation - Anti-p53 antibody (AB17990)

p53 was immunoprecipitated from 1 mg of HEK-293T (Human epithelial cell line from embryonic kidney transformed with large T antigen) whole cell lysate with ab17990 at 3 μg/ml. Western blot was performed from the immunoprecipitate using ab17990 at 1 μg/ml.

Lane 1 : ab17990 IP in HEK-293T whole cell lysate.

Lane 2 : Ctrl IgG instead of ab17990.

All lanes:

Immunoprecipitation - Anti-p53 antibody (ab17990)

Predicted band size: 43 kDa

false

Exposure time: 30s

Western blot - Anti-p53 antibody (AB17990)
  • WB

Supplier Data

Western blot - Anti-p53 antibody (AB17990)

All lanes:

Western blot - Anti-p53 antibody (ab17990) at 0.1 µg/mL

Lane 1:

HEK-293T (Human epithelial cell line from embryonic kidney transformed with large T antigen) whole cell lysate at 50 µg

Lane 2:

HEK-293T (Human epithelial cell line from embryonic kidney transformed with large T antigen) whole cell lysate at 15 µg

Lane 3:

HEK-293T (Human epithelial cell line from embryonic kidney transformed with large T antigen) whole cell lysate at 5 µg

Predicted band size: 43 kDa

false

Exposure time: 30s

Key facts

Host species

Rabbit

Clonality

Polyclonal

Isotype

IgG

Carrier free

No

Reacts with

Human

Applications

Flow Cyt, WB, IHC-P, IP, Flow Cyt (Intra)

applications

Immunogen

Synthetic Peptide within Human TP53 aa 50-100. The exact immunogen used to generate this antibody is proprietary information.

P04637

Reactivity data

{ "title": "Reactivity Data", "filters": { "stats": ["", "Species", "Dilution Info", "Notes"], "tabs": { "all-applications": {"fullname" : "All Applications", "shortname": "All Applications"}, "IHCP" : {"fullname" : "Immunohistochemistry (Formalin/PFA-fixed paraffin-embedded sections)", "shortname":"IHC-P"}, "IP" : {"fullname" : "Immunoprecipitation", "shortname":"IP"}, "FlowCyt" : {"fullname" : "Flow Cytometry", "shortname":"Flow Cyt"}, "FlowCytIntra" : {"fullname" : "Flow Cytometry (Intracellular)", "shortname":"Flow Cyt (Intra)"}, "WB" : {"fullname" : "Western blot", "shortname":"WB"} }, "product-promise": { "all": "all", "testedAndGuaranteed": "tested", "guaranteed": "expected", "predicted": "predicted", "notRecommended": "not-recommended" } }, "values": { "Human": { "IHCP-species-checked": "testedAndGuaranteed", "IHCP-species-dilution-info": "1/1000 - 1/5000", "IHCP-species-notes": "<p></p> Perform heat-mediated antigen retrieval with citrate buffer pH 6 before commencing with IHC staining protocol.", "IP-species-checked": "testedAndGuaranteed", "IP-species-dilution-info": "2-5 µg/mg of lysate", "IP-species-notes": "<p></p>", "FlowCyt-species-checked": "guaranteed", "FlowCyt-species-dilution-info": "1.5 µg for 10^5 Cells", "FlowCyt-species-notes": "<p>1.5 μg per 1 million cells in a 150 μl reaction.</p>", "FlowCytIntra-species-checked": "testedAndGuaranteed", "FlowCytIntra-species-dilution-info": "1.5 µg for 10^5 Cells", "FlowCytIntra-species-notes": "<p>1.5 μg per 1 million cells in a 150 μl reaction.</p><p><a href='/en-us/products/primary-antibodies/rabbit-igg-polyclonal-isotype-control-chip-grade-ab171870'>ab171870</a> - Rabbit polyclonal IgG, is suitable for use as an isotype control with this antibody</p>", "WB-species-checked": "testedAndGuaranteed", "WB-species-dilution-info": "1/2000 - 1/10000", "WB-species-notes": "<p></p>" }, "Chimpanzee": { "IHCP-species-checked": "predicted", "IHCP-species-dilution-info": "", "IHCP-species-notes": "", "IP-species-checked": "predicted", "IP-species-dilution-info": "", "IP-species-notes": "", "FlowCyt-species-checked": "predicted", "FlowCyt-species-dilution-info": "", "FlowCyt-species-notes": "", "FlowCytIntra-species-checked": "predicted", "FlowCytIntra-species-dilution-info": "", "FlowCytIntra-species-notes": "", "WB-species-checked": "predicted", "WB-species-dilution-info": "", "WB-species-notes": "" }, "Gorilla": { "IHCP-species-checked": "predicted", "IHCP-species-dilution-info": "", "IHCP-species-notes": "", "IP-species-checked": "predicted", "IP-species-dilution-info": "", "IP-species-notes": "", "FlowCyt-species-checked": "predicted", "FlowCyt-species-dilution-info": "", "FlowCyt-species-notes": "", "FlowCytIntra-species-checked": "predicted", "FlowCytIntra-species-dilution-info": "", "FlowCytIntra-species-notes": "", "WB-species-checked": "predicted", "WB-species-dilution-info": "", "WB-species-notes": "" } } }

Properties and storage information

Form
Liquid
Purification technique
Affinity purification Immunogen
Storage buffer
pH: 7 - 8 Preservative: 0.1% Sodium azide Constituents: PBS, 1.815% Tris, 1.764% Sodium citrate
Shipped at conditions
Blue Ice
Appropriate short-term storage conditions
+4°C
Appropriate long-term storage conditions
+4°C
Aliquoting information
Upon delivery aliquot
Storage information
Avoid freeze / thaw cycle

Supplementary information

This supplementary information is collated from multiple sources and compiled automatically.

The protein p53 also known as TP53 or tumor protein p53 has a molecular weight of approximately 53 kDa. It acts as a transcription factor and plays a major role in cell cycle regulation apoptosis and maintaining genomic stability. This protein mainly expresses in the nucleus of cells and acts as a critical regulator of cellular responses to stress signals including DNA damage. Scientists commonly use p53 antibodies in various assays like western blot and p53 immunofluorescence to detect and study its expression and functional status in cells.
Biological function summary

P53 functions to control cell division and apoptosis serving as a guardian of the genome by preventing mutation accumulation. It does not form part of a larger complex under normal conditions but interacts with various other molecules to execute its functions. p53 can activate or suppress the transcription of numerous genes involved in cell cycle arrest DNA repair and programmed cell death allowing it to halt the progression of damaged cells and trigger repair mechanisms or eliminate those that cannot be repaired.

Pathways

P53 acts within several key biological pathways such as the p53 signaling pathway and the intrinsic apoptotic pathway. Its activity involves interaction with proteins like MDM2 which regulates p53 through ubiquitin-mediated degradation and ATM kinase which phosphorylates p53 in response to DNA damage. These interactions ensure appropriate cellular responses during stress and are vital for maintaining homeostasis.

P53 mutation or inactivation is often associated with the development of cancer given its role in controlling cell division and preventing tumor formation. Specifically its dysfunction has been linked to cancers such as breast cancer and lung cancer. Additionally p53 can interact with other mutant proteins like Ras compounding mutations that contribute to tumor progression and aggressive cancer phenotypes. Understanding these interactions and the status of p53 can be important in developing targeted cancer therapies.

Product protocols

For this product, it's our understanding that no specific protocols are required. You can visit:

Target data

Multifunctional transcription factor that induces cell cycle arrest, DNA repair or apoptosis upon binding to its target DNA sequence (PubMed : 11025664, PubMed : 12524540, PubMed : 12810724, PubMed : 15186775, PubMed : 15340061, PubMed : 17317671, PubMed : 17349958, PubMed : 19556538, PubMed : 20673990, PubMed : 20959462, PubMed : 22726440, PubMed : 24051492, PubMed : 24652652, PubMed : 35618207, PubMed : 36634798, PubMed : 38653238, PubMed : 9840937). Acts as a tumor suppressor in many tumor types; induces growth arrest or apoptosis depending on the physiological circumstances and cell type (PubMed : 11025664, PubMed : 12524540, PubMed : 12810724, PubMed : 15186775, PubMed : 15340061, PubMed : 17189187, PubMed : 17317671, PubMed : 17349958, PubMed : 19556538, PubMed : 20673990, PubMed : 20959462, PubMed : 22726440, PubMed : 24051492, PubMed : 24652652, PubMed : 38653238, PubMed : 9840937). Negatively regulates cell division by controlling expression of a set of genes required for this process (PubMed : 11025664, PubMed : 12524540, PubMed : 12810724, PubMed : 15186775, PubMed : 15340061, PubMed : 17317671, PubMed : 17349958, PubMed : 19556538, PubMed : 20673990, PubMed : 20959462, PubMed : 22726440, PubMed : 24051492, PubMed : 24652652, PubMed : 9840937). One of the activated genes is an inhibitor of cyclin-dependent kinases. Apoptosis induction seems to be mediated either by stimulation of BAX and FAS antigen expression, or by repression of Bcl-2 expression (PubMed : 12524540, PubMed : 17189187). Its pro-apoptotic activity is activated via its interaction with PPP1R13B/ASPP1 or TP53BP2/ASPP2 (PubMed : 12524540). However, this activity is inhibited when the interaction with PPP1R13B/ASPP1 or TP53BP2/ASPP2 is displaced by PPP1R13L/iASPP (PubMed : 12524540). In cooperation with mitochondrial PPIF is involved in activating oxidative stress-induced necrosis; the function is largely independent of transcription. Induces the transcription of long intergenic non-coding RNA p21 (lincRNA-p21) and lincRNA-Mkln1. LincRNA-p21 participates in TP53-dependent transcriptional repression leading to apoptosis and seems to have an effect on cell-cycle regulation. Implicated in Notch signaling cross-over. Prevents CDK7 kinase activity when associated to CAK complex in response to DNA damage, thus stopping cell cycle progression. Isoform 2 enhances the transactivation activity of isoform 1 from some but not all TP53-inducible promoters. Isoform 4 suppresses transactivation activity and impairs growth suppression mediated by isoform 1. Isoform 7 inhibits isoform 1-mediated apoptosis. Regulates the circadian clock by repressing CLOCK-BMAL1-mediated transcriptional activation of PER2 (PubMed : 24051492).
See full target information TP53

Publications (12)

Recent publications for all applications. Explore the full list and refine your search

International journal of molecular sciences 26: PubMed40141421

2025

PAR Serves an Indispensable Role in Controlling PAR Oncogenicity: The β-Catenin-p53 Axis.

Applications

Unspecified application

Species

Unspecified reactive species

Priyanga Appasamy,Jeetendra Kumar Nag,Hodaya Malka,Rachel Bar-Shavit

Journal of nanobiotechnology 21:117 PubMed37005668

2023

Precise pancreatic cancer therapy through targeted degradation of mutant p53 protein by cerium oxide nanoparticles.

Applications

Unspecified application

Species

Unspecified reactive species

Hao Zhang,Wang Zhang,Bochuan Hu,Xiaohua Qin,Tianxiang Yi,Yayi Ye,Xiaowan Huang,Yang Song,Zhenyu Yang,Jieying Qian,Yunjiao Zhang

EMBO molecular medicine 12:e11466 PubMed32150356

2020

A paracrine activin A-mDia2 axis promotes squamous carcinogenesis via fibroblast reprogramming.

Applications

Unspecified application

Species

Unspecified reactive species

Michael Cangkrama,Mateusz Wietecha,Nicolas Mathis,Rin Okumura,Luca Ferrarese,Dunja Al-Nuaimi,Maria Antsiferova,Reinhard Dummer,Metello Innocenti,Sabine Werner

Investigational new drugs 38:634-649 PubMed31240514

2019

Tetra-substituted pyrrole derivatives act as potent activators of p53 in melanoma cells.

Applications

Unspecified application

Species

Unspecified reactive species

Maria Chiara Proto,Donatella Fiore,Giovanni Forte,Paola Cuozzo,Anna Ramunno,Caterina Fattorusso,Patrizia Gazzerro,Maria Pascale,Silvia Franceschelli

Gene 712:143944 PubMed31233763

2019

LncRNA PLAC2 upregulates p53 to induce hepatocellular carcinoma cell apoptosis.

Applications

Unspecified application

Species

Unspecified reactive species

Yujian Zheng,Pengxiang Lv,Shaoping Wang,Qing Cai,Bao Zhang,Feng Huo

Gene 711:143939 PubMed31220581

2019

Inhibition of sirtuin 1 deacetylase by miR-211-5p provides a mechanism for the induction of cell death in breast cancer cells.

Applications

Unspecified application

Species

Unspecified reactive species

Sahar Yarahmadi,Zohreh Abdolvahabi,Zahra Hesari,Masoumeh Tavakoli-Yaraki,Zeynab Yousefi,Parvaneh Seiri,Saman Hosseinkhani,Mitra Nourbakhsh

Experimental and therapeutic medicine 16:4193-4200 PubMed30344694

2018

Sonic hedgehog signaling regulates hypoxia/reoxygenation-induced H9C2 myocardial cell apoptosis.

Applications

Unspecified application

Species

Unspecified reactive species

Rui-Ying Zhang,Zeng-Yong Qiao,Hua-Jin Liu,Jiang-Wei Ma

Cell chemical biology 25:761-774.e5 PubMed29681526

2018

A Designed Peptide Targets Two Types of Modifications of p53 with Anti-cancer Activity.

Applications

Unspecified application

Species

Unspecified reactive species

Lunxi Liang,Huanbin Wang,Hubing Shi,Zhaoli Li,Han Yao,Zhigao Bu,Ningning Song,Chushu Li,Dabin Xiang,Yao Zhang,Jilin Wang,Ye Hu,Qi Xu,Yanlei Ma,Zhongyi Cheng,Yingchao Wang,Shuliang Zhao,Jin Qian,Yingxuan Chen,Jing-Yuan Fang,Jie Xu

Scientific reports 7:40960 PubMed28102346

2017

Human p53 interacts with the elongating RNAPII complex and is required for the release of actinomycin D induced transcription blockage.

Applications

ChIP, IP

Species

Human, Human

Barbara N Borsos,Ildikó Huliák,Hajnalka Majoros,Zsuzsanna Ujfaludi,Ákos Gyenis,Peter Pukler,Imre M Boros,Tibor Pankotai

BMC cancer 15:644 PubMed26400193

2015

Expression profiling of O(6) methylguanine-DNA-methyl transferase in prolactinomas: a correlative study of promoter methylation and pathological features in 136 cases.

Applications

IHC

Species

Unspecified reactive species

Xiao-Bing Jiang,Bin Hu,Dong-Sheng He,Zhi-Gang Mao,Xin Wang,Bing-Bing Song,Yong-Hong Zhu,Hai-Jun Wang
View all publications

Product promise

We are committed to supporting your work with high-quality reagents, and we're here for you every step of the way. In the unlikely event that one of our products does not perform as expected, you're protected by our Product Promise.
For full details, please see our Terms & Conditions

Please note: All products are 'FOR RESEARCH USE ONLY. NOT FOR USE IN DIAGNOSTIC OR THERAPEUTIC PROCEDURES'.

For licensing inquiries, please contact partnerships@abcam.com