JavaScript is disabled in your browser. Please enable JavaScript to view this website.
AB1101

Anti-p53 antibody [DO-1]

4

(14 Reviews)

|

(196 Publications)

Anti-p53 antibody [DO-1] (ab1101) is a mouse monoclonal antibody detecting p53 in Western Blot, Flow Cytometry (Intra), Flow Cytometry, IP, IHC-P, ICC/IF. Suitable for Human.

- KO validated for confirmed specificity
- Over 160 publications
- Trusted since 2002

View Alternative Names

P53, TP53, Cellular tumor antigen p53, Antigen NY-CO-13, Phosphoprotein p53, Tumor suppressor p53

16 Images
Western blot - Anti-p53 antibody [DO-1] (AB1101)
  • WB

Lab

Western blot - Anti-p53 antibody [DO-1] (AB1101)

False colour image of Western blot : Anti-p53 antibody [DO-1] - ChIP Grade staining at 1/1000 dilution, shown in green; Rabbit Anti-GAPDH antibody [EPR16891] (ab181602) loading control staining at 1/20000 dilution, shown in red. In Western blot, ab1101 was shown to bind specifically to p53. A band was observed at 50 kDa in wild-type HAP1 cell lysate with no signal observed at this size in tp53 knockout cell line. To generate this image, wild-type and tp53 knockout HAP1 cell lysates were analysed. First, samples were run on an SDS-PAGE gel then transferred onto a nitrocellulose membrane. Membranes were blocked in 3 % milk in TBS-0.1 % Tween® 20 (TBS-T) before incubation with primary antibodies overnight at 4 °C. Blots were washed four times in TBS-T, incubated with secondary antibodies for 1 h at room temperature, washed again four times then imaged. Secondary antibodies used were Goat anti-Mouse IgG H&L (IRDye® 800CW) preabsorbed (ab216772) and Goat anti-Rabbit IgG H&L (IRDye® 680RD) preabsorbed (ab216777) at 1/20000 dilution.

All lanes:

Western blot - Anti-p53 antibody [DO-1] (ab1101) at 1/1000 dilution

Lane 1:

Saos-2 cell lysate at 20 µg

Lane 2:

A431 cell lysate

Lane 3:

Wild-type HAP1 cell lysate at 20 µg

Lane 4:

TP53 knockout HAP1 cell lysate at 20 µg

Lane 5:

MCF7 cell lysate at 20 µg

Lane 6:

HEK-293T cell lysate at 20 µg

Secondary

Lanes 1 - 6:

Western blot - Goat Anti-Rabbit IgG H&L (IRDye® 680RD) preadsorbed (<a href='/en-us/products/secondary-antibodies/goat-rabbit-igg-h-l-irdye-680rd-preadsorbed-ab216777'>ab216777</a>) at 1/20000 dilution

Lanes 1 - 6:

Western blot - Goat anti-Mouse IgG H&L (IRDye® 800CW) preadsorbed (<a href='/en-us/products/secondary-antibodies/goat-mouse-igg-h-l-irdye-800cw-preadsorbed-ab216772'>ab216772</a>) at 1/20000 dilution

Predicted band size: 43 kDa

Observed band size: 50 kDa

false

Immunohistochemistry (Formalin/PFA-fixed paraffin-embedded sections) - Anti-p53 antibody [DO-1] (AB1101)
  • IHC-P

Lab

Immunohistochemistry (Formalin/PFA-fixed paraffin-embedded sections) - Anti-p53 antibody [DO-1] (AB1101)

IHC image of ab1101 staining p53 in human colon adenocarcinoma formalin-fixed paraffin-embedded tissue sections*, performed on a Leica Bond. The section was pre-treated using heat mediated antigen retrieval with sodium citrate buffer (pH 6, epitope retrieval solution 1) for 20 minutes. The section was then incubated with ab1101, 1/500 dilution, for 15 minutes at room temperature and detected using an HRP conjugated compact polymer system. DAB was used as the chromogen. The section was then counterstained with haematoxylin and mounted with DPX. High magnification of the tumor region - T (lower right panel) and adjacent normal crypts - N (lower left panel) are shown.
For other IHC staining systems (automated and non-automated) customers should optimize variable parameters such as antigen retrieval conditions, primary antibody concentration and antibody incubation times.
*Tissue obtained from the Human Research Tissue Bank, supported by the NIHR Cambridge Biomedical Research Centre

Immunocytochemistry/ Immunofluorescence - Anti-p53 antibody [DO-1] (AB1101)
  • ICC/IF

Lab

Immunocytochemistry/ Immunofluorescence - Anti-p53 antibody [DO-1] (AB1101)

ab1101 staining wild-type p53 in MCF7 cells (a low expressing cell line). The cells were fixed with 100% methanol (5 min), permeabilized with 0.1% PBS-Triton X-100 for 5 minutes and then blocked with 1% BSA/10% normal goat serum/0.3M glycine in 0.1%PBS-Tween for 1h. The cells were then incubated overnight at 4°C with ab1101 at 0.2µg/ml and ab6046, Rabbit polyclonal to beta Tubulin - Loading Control. Cells were then incubated with ab150117, Goat polyclonal Secondary Antibody to Mouse IgG H&L (Alexa Fluor® 488) preadsorbed at 1/1000 dilution (shown in green) and ab150080, Goat polyclonal Secondary Antibody to Rabbit IgG - H&L (Alexa Fluor® 594) at 1/1000 dilution (shown in pseudocolour red). Nuclear DNA was labelled with DAPI (shown in blue). Also suitable in cells fixed with 4% paraformaldehyde (10 min). Image was acquired with a high-content analyser (Operetta CLS, Perkin Elmer) and a maximum intensity projection of confocal sections is shown.

Immunocytochemistry/ Immunofluorescence - Anti-p53 antibody [DO-1] (AB1101)
  • ICC/IF

Lab

Immunocytochemistry/ Immunofluorescence - Anti-p53 antibody [DO-1] (AB1101)

ab1101 staining wild-type p53 in Hek293 cells (a high expressing cell line). The cells were fixed with 100% methanol (5 min), permeabilized with 0.1% PBS-Triton X-100 for 5 minutes and then blocked with 1% BSA/10% normal goat serum/0.3M glycine in 0.1%PBS-Tween for 1h. The cells were then incubated overnight at 4°C with ab1101 at 0.2µg/ml and ab6046, Rabbit polyclonal to beta Tubulin - Loading Control. Cells were then incubated with ab150117, Goat polyclonal Secondary Antibody to Mouse IgG H&L (Alexa Fluor® 488) preadsorbed at 1/1000 dilution (shown in green) and ab150080, Goat polyclonal Secondary Antibody to Rabbit IgG - H&L (Alexa Fluor® 594) at 1/1000 dilution (shown in pseudocolour red). Nuclear DNA was labelled with DAPI (shown in blue). Also suitable in cells fixed with 4% paraformaldehyde (10 min). Image was acquired with a high-content analyser (Operetta CLS, Perkin Elmer) and a maximum intensity projection of confocal sections is shown.

Flow Cytometry (Intracellular) - Anti-p53 antibody [DO-1] (AB1101)
  • Flow Cyt (Intra)

Supplier Data

Flow Cytometry (Intracellular) - Anti-p53 antibody [DO-1] (AB1101)

Flow cytometry overlay histogram showing mutant p53 in A-431 cells stained with ab1101 (red line). The cells were fixed with 4% paraformaldehyde (10 min) and then permeabilised with 0.1% PBS-Triton X-100 for 15 min. The cells were incubated in 1x PBS containing 10% normal goat serum to block non-specific protein-protein interaction followed by the antibody (ab1101) (1x 106 cells in 100μl at 0.04μg/ml (1/25000)) for 30min at 22°C. The secondary antibody Goat Anti-Mouse IgG H&L (Alexa Fluor® 488) preadsorbed (ab150117) was incubated at 1/4000 for 30min at 22°C. Isotype control antibody (black line) Mouse IgG2a, Kappa Monoclonal [MOPC-173] - Isotype Control - ChIP Grade (ab18413) was used at the same concentration and conditions as the primary antibody. Unlabelled sample (blue line) was also used as a control. Acquisition of >5000 events were collected using a 50 mW Blue laser (488nm) and 525/40 bandpass filter. This antibody gave a positive signal in A-431 fixed with 80% methanol (5 min) / permeabilised with 0.1% PBS-Triton X-100 for 15 min under the same conditions.

Flow Cytometry (Intracellular) - Anti-p53 antibody [DO-1] (AB1101)
  • Flow Cyt (Intra)

Supplier Data

Flow Cytometry (Intracellular) - Anti-p53 antibody [DO-1] (AB1101)

Flow cytometry overlay histogram showing wild-type p53 in Hek-293 positive cells (left) and MCF7 negative cells (right) stained with ab1101 (red line). The cells were fixed with 4% paraformaldehyde (10 min) and then permeabilised with 0.1% PBS-Triton X-100 for 15 min. The cells were then incubated in 1x PBS containing 10% normal goat serum to block non-specific protein-protein interaction followed by the antibody (ab1101) (1x 106 cells in 100μl at 0.2μg/ml (1/5000)) for 30min at 22°C. The secondary antibody Goat Anti-Mouse IgG H&L (Alexa Fluor® 488) preadsorbed (ab150117) was incubated at 1/4000 for 30min at 22°C. Isotype control antibody (black line) Mouse IgG2a, Kappa Monoclonal [MOPC-173] - Isotype Control - ChIP Grade (ab18413) was used at the same concentration and conditions as the primary antibody. Unlabelled sample (blue line) was also used as a control. Acquisition of >5000 events were collected using a 50 mW Blue laser (488nm) and 525/40 bandpass filter. This antibody gave a positive signal in Hek-293 fixed with 80% methanol (5 min) / permeabilised with 0.1% PBS-Triton X-100 for 15 min under the same conditions.

Immunocytochemistry/ Immunofluorescence - Anti-p53 antibody [DO-1] (AB1101)
  • ICC/IF

Lab

Immunocytochemistry/ Immunofluorescence - Anti-p53 antibody [DO-1] (AB1101)

ab1101 staining p53 in wild-type Hap1 cells (top panel) and p53 knockout Hap1 cells (bottom panel). The cells were fixed with 100% methanol (5 min), permeabilized with 0.1% Triton X-100 for 5 minutes and then blocked with 1% BSA/10% normal goat serum/0.3M glycine in 0.1% PBS-Tween for 1h. The cells were then incubated with ab1101 at 1μg/ml concentration and ab6046 (Rabbit polyclonal to beta Tubulin) at 1/1000 dilution overnight at +4°C, followed by a further incubation at room temperature for 1h with a goat secondary antibody to mouse IgG (Alexa Fluor® 488) (ab150117) at 2 μg/ml (shown in green) and a goat secondary antibody to rabbit IgG (Alexa Fluor® 594) (ab150080) at 2 μg/ml (shown in pseudo color red). Nuclear DNA was labelled in blue with DAPI.

Image was taken with a high-content analysis system (Perkin Elmer, Operetta CLS™).

Flow Cytometry (Intracellular) - Anti-p53 antibody [DO-1] (AB1101)
  • Flow Cyt (Intra)

Supplier Data

Flow Cytometry (Intracellular) - Anti-p53 antibody [DO-1] (AB1101)

Flow cytometry overlay histogram showing mutant p53 in wild-type HAP1 (green line) and TP53 knockout HAP1 cells (red line) stained with ab1101. The cells were fixed with 4% paraformaldehyde (10 min) and then permeabilised with 0.1% PBS-Triton X-100 for 15 min. The cells were then incubated in 1x PBS containing 10% normal goat serum to block non-specific protein-protein interaction followed by the antibody (ab1101) (1x 106 cells in 100μl at 0.04 μg/ml (1/25000)) for 30min at 22°C.The secondary antibody Goat Anti-Mouse IgG H&L (Alexa Fluor® 488) preadsorbed (ab150117) was incubated at 1/4000 for 30min at 22°C. Isotype control antibody Mouse IgG2a, Kappa Monoclonal [MOPC-173] - Isotype Control - ChIP Grade (ab18413) was used at the same concentration and conditions as the primary antibody (wild-type HAP1 - black line, TP53 knockout HAP1 - grey line). Unlabelled sample was also used as a control (this line is not shown for the purpose of simplicity). Acquisition of >5000 events were collected using a 50 mW Blue laser (488nm) and 525/40 bandpass filter. This antibody gave a positive signal in HAP1 fixed with 80% methanol (5 min) / permeabilised with 0.1% PBS-Triton X-100 for 15 min under the same conditions.

Immunocytochemistry/ Immunofluorescence - Anti-p53 antibody [DO-1] (AB1101)
  • ICC/IF

Lab

Immunocytochemistry/ Immunofluorescence - Anti-p53 antibody [DO-1] (AB1101)

ab1101 staining mutant p53 in A431 cells. The cells were fixed with 4% paraformaldehyde (10 min), permeabilized with 0.1% PBS-Triton X-100 for 5 minutes and then blocked with 1% BSA/10% normal goat serum/0.3M glycine in 0.1%PBS-Tween for 1h. The cells were then incubated overnight at 4°C with ab1101 at 0.2µg/ml and ab6046, Rabbit polyclonal to beta Tubulin - Loading Control. Cells were then incubated with ab150117, Goat polyclonal Secondary Antibody to Mouse IgG H&L (Alexa Fluor® 488) preadsorbed at 1/1000 dilution (shown in green) and ab150080, Goat polyclonal Secondary Antibody to Rabbit IgG - H&L (Alexa Fluor® 594) at 1/1000 dilution (shown in pseudocolour red). Nuclear DNA was labelled with DAPI (shown in blue). Also suitable in cells fixed with 100% methanol (5 min). Image was acquired with a high-content analyser (Operetta CLS, Perkin Elmer) and a maximum intensity projection of confocal sections is shown.

ChIP - Anti-p53 antibody [DO-1] (AB1101)
  • ChIP

Lab

ChIP - Anti-p53 antibody [DO-1] (AB1101)

Chromatin was prepared from HEK-293 (human epithelial cell line from embryonic kidney) cells according to the Abcam X-ChIP protocol. Cells were fixed with formaldehyde for 10 minutes. The ChIP was performed with 25 μg of chromatin, 2 μg of ab1101, and 10 ml of protein A sepharose beads,10 ml of protein G sepharose beads. No IgG was added to the beads control. The immunoprecipitated DNA was quantified by real time PCR. Primers were as follows :

Bax-1, forward : GGGTTATCTCTTGGGCTCACAA.

Bax-1, reverse : GAGCTCTCCCCAGCGCA.

Bax-2, forward : TGG AGC TGC AGA GGA TGA TTG

Bax-2, reverse : CCA GTT GAA GTT GCC GTC AGA

PUMA, forward : ATG CCT GCC TCA CCT TCA TC

PUMA, reverse : TCA CAC GTC GCT CTC TCT AAA CC

p21-1, forward : GCT GTG GCT CTG ATT GGC TTT

p21-1, reverse : ACA GGC AGC CCA AGG ACA AA

p21-2, forward : CAT CCC CAC AGC AGA GGA GAA

p21-2, reverse : ACC CAG GCT TGG AGC AGC TA

p21-3, forward : GAG TCC TGT TTG CTT CTG GGC A

p21-3, reverse : CTG CAT TGG GGC TGC CTA TGT A

PCNA, forward : CCA CCA TAA AGC TGG GGC TT

PCNA, reverse : TCT CCC CGC CTC TTT GAC TC

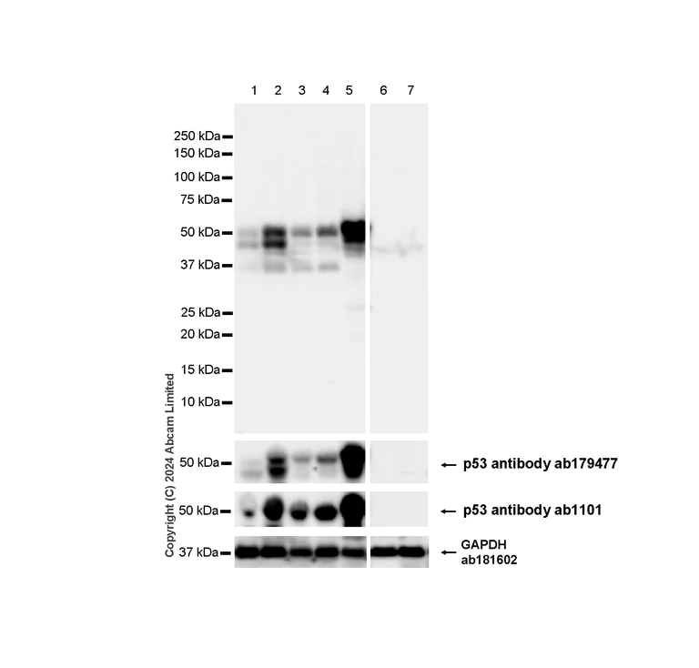
Western blot - Anti-p53 antibody [DO-1] (AB1101)
  • WB

Supplier Data

Western blot - Anti-p53 antibody [DO-1] (AB1101)

Blocking and diluting buffer and concentration : 5% NFDM/TBST.

Negative control : HL-60 (p53 null), NCI-H1299 (p53 null).

The expression profile/ molecular weight observed is consistent with what has been described in the literature (PMID : 21941372, PMID : 21779513, PMID : 25996291).

In Western blot, Anti-GAPDH antibody [EPR16891] - Loading Control (ab181602) staining at 1/200000 dilution.

In Western blot, Anti-p53 antibody [DO-1] - ChIP Grade (ab1101) staining at 1/1000 dilution.

In Western blot, Anti-p53 antibody [EPR17343] (ab179477) staining at 1/1000 dilution.

All lanes:

Western blot - Anti-TP53 (phospho S376+S377+S392) antibody [RM1161] (<a href='/en-us/products/primary-antibodies/tp53-phospho-s376s377s392-antibody-rm1161-ab322465'>ab322465</a>) at 1/1000 dilution

Lane 1:

Untreated HCT 116 (human colorectal carcinoma epithelial cell) whole cell lysate at 20 µg

Lane 2:

HCT 116 treated with 20uM etoposide for 15 hours whole cell lysate at 20 µg

Lane 3:

Untreated A549 (human lung carcinoma epithelial cell) whole cell lysate at 20 µg

Lane 4:

A549 treated with 500nM doxorubicin for 24 hours whole cell lysate at 20 µg

Lane 5:

A431 (human epidermoid carcinoma epithelial cell) whole cell lysate at 20 µg

Lane 6:

HL-60 (human acute promyelocytic leukemia promyeloblast) whole cell lysate at 20 µg

Lane 7:

NCI-H1299 (human lung carcinoma epithelial cell) whole cell lysate at 20 µg

Secondary

All lanes:

Western blot - Goat Anti-Rabbit IgG H&L (HRP) (<a href='/en-us/products/secondary-antibodies/goat-rabbit-igg-h-l-hrp-ab97051'>ab97051</a>) at 1/100000 dilution

Observed band size: 53 kDa,26-48 kDa,36 kDa

false

Exposure time: 10s

Western blot - Anti-p53 antibody [DO-1] (AB1101)
  • WB

Lab

Western blot - Anti-p53 antibody [DO-1] (AB1101)

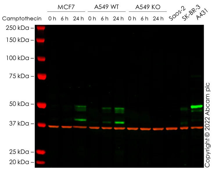
False colour image of Western blot : Anti-p53 antibody [DO-1] - ChIP Grade staining at 1/1000 dilution, shown in green; Rabbit Anti-GAPDH antibody [EPR16891] (ab181602) loading control staining at 1/20000 dilution, shown in red. In Western blot, ab1101 was shown to bind specifically to p53. A band was observed at 40/50 kDa in treated wild-type A549 cell lysates with no signal observed at this size in tp53 knockout cell line ab276092. To generate this image, wild-type and tp53 knockout A549 cell lysates were analysed. First, samples were run on an SDS-PAGE gel then transferred onto a nitrocellulose membrane. Membranes were blocked in 3 % milk in TBS-0.1 % Tween® 20 (TBS-T) before incubation with primary antibodies overnight at 4 °C. Blots were washed four times in TBS-T, incubated with secondary antibodies for 1 h at room temperature, washed again four times then imaged. Secondary antibodies used were Goat anti-Mouse IgG H&L (IRDye® 800CW) preabsorbed (ab216772) and Goat anti-Rabbit IgG H&L (IRDye® 680RD) preabsorbed (ab216777) at 1/20000 dilution.

Lanes 1 - 12:

Western blot - Anti-p53 antibody [DO-1] (ab1101) at 1/1000 dilution

Lanes 1 - 12:

Western blot - Anti-p53 antibody [DO-1] - BSA and Azide free (<a href='/en-us/products/primary-antibodies/p53-antibody-do-1-bsa-and-azide-free-ab237976'>ab237976</a>)

Lane 1:

MCF7 Treated Camptothecin (20 ug/ml, 0 h) cell lysate at 15 µg

Lane 2:

MCF7 Treated Camptothecin (20 ug/ml, 6 h) cell lysate at 15 µg

Lane 3:

MCF7 Treated Camptothecin (20 ug/ml, 24 h) cell lysate at 15 µg

Lane 4:

Wild-type A549 Treated Camptothecin (20 ug/ml, 0 h) cell lysate at 15 µg

Lane 5:

Wild-type A549 Treated Camptothecin (20 ug/ml, 6 h) cell lysate at 15 µg

Lane 6:

Wild-type A549 Treated Camptothecin (20 ug/ml, 24 h) cell lysate at 15 µg

Lane 7:

TP53 knockout A549 Treated Camptothecin (20 ug/ml, 0 h) cell lysate at 15 µg

Lane 8:

TP53 knockout A549 Treated Camptothecin (20 ug/ml, 6 h) cell lysate at 15 µg

Lane 9:

TP53 knockout A549 Treated Camptothecin (20 ug/ml, 24 h) cell lysate at 15 µg

Lane 10:

Saos-2 cell lysate at 15 µg

Lane 11:

SK-BR-3 cell lysate at 15 µg

Lane 12:

A431 cell lysate at 15 µg

Secondary

All lanes:

Western blot - Goat anti-Mouse IgG H&L (IRDye® 800CW) preadsorbed (<a href='/en-us/products/secondary-antibodies/goat-mouse-igg-h-l-irdye-800cw-preadsorbed-ab216772'>ab216772</a>) at 1/20000 dilution

false

Western blot - Anti-p53 antibody [DO-1] (AB1101)
  • WB

Lab

Western blot - Anti-p53 antibody [DO-1] (AB1101)

This blot was produced using a 4-12% Bis-tris gel under the MOPS buffer system. The gel was run at 200V for 50 minutes before being transferred onto a Nitrocellulose membrane at 30V for 70 minutes. The membrane was then blocked for an hour using 5% Milk before being incubated with ab1101 overnight at 4°C. Antibody binding was detected using ab175783 at a 1/10,000 dilution for 1 hour at room temperature and then imaged using the Licor Odyssey CLx.

All lanes:

Western blot - Anti-p53 antibody [DO-1] (ab1101) at 1/1000 dilution

Lane 1:

HEK-293 (human embryonic kidney cell line) whole cell lysate at 20 µg

Lane 2:

DU 145 (human prostate carcinoma cell line) whole cell lysate at 20 µg

Secondary

All lanes:

Western blot - Goat Anti-Rabbit IgG H&L (HRP) (<a href='/en-us/products/secondary-antibodies/goat-rabbit-igg-h-l-hrp-ab97051'>ab97051</a>) at 1/10000 dilution

Predicted band size: 43 kDa

Observed band size: 50 kDa

false

Western blot - Anti-p53 antibody [DO-1] (AB1101)
  • WB

Lab

Western blot - Anti-p53 antibody [DO-1] (AB1101)

False colour image of Western blot : Anti-p53 antibody [DO-1] - ChIP Grade staining at 1/1000 dilution, shown in green; Rabbit anti-alpha Tubulin antibody [EP1332Y] (ab52866) loading control staining at 1/20000 dilution, shown in red. In Western blot, ab1101 was shown to bind specifically to p53. A band was observed at 49 kDa in wild-type A549 and Jurkat cell lysates with no signal observed at this size in tp53 knockout cell lines ab276092, ab276112 (knockout cell lysates ab282999, ab283832). To generate this image, wild-type and tp53 knockout A549 and Jurkat cell lysates were analysed. First, samples were run on an SDS-PAGE gel then transferred onto a nitrocellulose membrane. Membranes were blocked in 3% milk in TBS-0.1 % Tween® 20 (TBS-T) before incubation with primary antibodies overnight at 4°C. Blots were washed four times in TBS-T, incubated with secondary antibodies for 1 h at room temperature, washed again four times then imaged. Secondary antibodies used were Goat anti-Mouse IgG H&L (IRDye® 800CW) preabsorbed (ab216772) and Goat anti-Rabbit IgG H&L (IRDye® 680RD) preabsorbed (ab216777) at 1/20000 dilution.

All lanes:

Western blot - Anti-p53 antibody [DO-1] (ab1101) at 1/1000 dilution

Lane 1:

Wild-type A549 cell lysate at 20 µg

Lane 2:

Western blot - Human TP53 (p53) knockout A549 cell line (<a href='/en-us/products/cell-lines/human-tp53-p53-knockout-a549-cell-line-ab276092'>ab276092</a>) at 20 µg

Lane 3:

Wild-type Jurkat cell lysate at 20 µg

Lane 4:

Western blot - Human TP53 (p53) knockout Jurkat cell line (<a href='/en-us/products/cell-lines/human-tp53-p53-knockout-jurkat-cell-line-ab276112'>ab276112</a>) at 20 µg

Lane 5:

A431 cell lysate at 20 µg

Lane 6:

Saos-2 cell lysate at 20 µg

Predicted band size: 43 kDa

Observed band size: 49 kDa

false

Western blot - Anti-p53 antibody [DO-1] (AB1101)
  • WB

Lab

Western blot - Anti-p53 antibody [DO-1] (AB1101)

This blot was produced using a 4-12% Bis-tris gel under the MES buffer system. The gel was run at 200V for 50 minutes before being transferred onto a Nitrocellulose membrane at 30V for 70 minutes. The membrane was then blocked for an hour before being incubated with ab1101 overnight at 4°C. Antibody binding was detected using the Goat anti-Mouse IgG H&L (IRDye® 800CW) preabsorbed ab216772 at a 1/10,000 dilution for 1hr at room temperature and then imaged using the Licor Odyssey CLx.

Image shows merged signal (red and green). Green - ab1101 observed at 53 kDa. Red - GAPDH loading control, ab181602, observed at 37 kDa using as secondary Goat Anti-Rabbit IgG H&L (IRDye® 680RD)- ab216777

All lanes:

Western blot - Anti-p53 antibody [DO-1] (ab1101) at 1/1000 dilution

Lane 1:

Wild-type HAP1 cell lysate (20 µg)

Lane 2:

p53 knockout HAP1 cell lysate (20 µg)

Lane 3:

A431 cell lysate (20 µg)

Lane 4:

Saos-2 cell lysate (20 µg)

Secondary

All lanes:

Western blot - Goat anti-Mouse IgG H&L (IRDye® 800CW) preadsorbed (<a href='/en-us/products/secondary-antibodies/goat-mouse-igg-h-l-irdye-800cw-preadsorbed-ab216772'>ab216772</a>) at 1/10000 dilution

Predicted band size: 36 kDa

false

Western blot - Anti-p53 antibody [DO-1] (AB1101)
  • WB

Lab

Western blot - Anti-p53 antibody [DO-1] (AB1101)

Developed using the ECL technique with 30 second exposure.
Blocking : 5% milk in PBS for 3 hours at RT.
Primary antibody in 5% BSA + PBS was incubated overnight at 4°C.
Secondary antibody in 5% milk + PBS was incubated for 2 hours at RT.

All lanes:

Western blot - Anti-p53 antibody [DO-1] (ab1101) at 0.4 µg/mL

Lane 1:

Extract of HEK-293T (human epithelial cell line from embryonic kidney transformed with large T antigen) cells incubated with vehicle at 20 µg

Lane 2:

Extract of HEK-293T cells incubated with etoposide at 20 µg

Lane 3:

Extract of HEK-293T cells incubated with etoposide at 7.5 µg

Lane 4:

Lambda phosphatase (diluted 1/400)-treated extract of HEK-293T cells incubated with etoposide at 7.5 µg

Lane 5:

Lambda phosphatase (diluted 1/100)-treated extract of HEK-293T cells incubated with etoposide at 7.5 µg

Lane 6:

Lambda phosphatase (diluted 1/25)-treated extract of HEK-293T cells incubated with etoposide at 7.5 µg

Lane 7:

Extract of MCF7 (human breast adenocarcinoma cell line) cells incubated with vehicle at 20 µg

Lane 8:

Extract of MCF7 cells incubated 6 hours with camptothecin at 20 µg

Lane 9:

Extract of MCF7 cells incubated 16 hours with camptothecin at 20 µg

Lane 10:

Extract of MCF7 cells incubated 24 hours with camptothecin at 20 µg

Secondary

All lanes:

Goat anti mouse IgG(H&L)-HRP at 1/10000 dilution

Predicted band size: 43 kDa

Observed band size: 53 kDa

false

  • HRP

    HRP Anti-p53 antibody [DO-1]

  • Carrier free

    Anti-p53 antibody [DO-1] - BSA and Azide free

Key facts

Host species

Mouse

Clonality

Monoclonal

Clone number

DO-1

Isotype

IgG2a

Light chain type

kappa

Carrier free

No

Reacts with

Human

Applications

Flow Cyt (Intra), IHC-P, ChIP, WB, ICC/IF

applications

Immunogen

The exact immunogen used to generate this antibody is proprietary information.

Epitope

The epitope maps to within aa 20-25.

Specificity

This antibody clone recognises both wild-type and mutant forms of p53 in human samples. It is not designed to recognise any specific p53 mutation.

We have confirmed this experimentally and have been able to detect p53 in different cell lines using various applications and treatments.

Important note: p53 expression levels vary greatly between cell lines. It has been reported that p53 mutations render the protein more stable, hence mutated cell lines often express higher levels of the p53 protein compared to wild-type cell lines. For low expressing wild type cell lines, p53 expression can be increased with cell treatments such as camptothecin or irinotecan.

Reactivity data

{ "title": "Reactivity Data", "filters": { "stats": ["", "Species", "Dilution Info", "Notes"], "tabs": { "all-applications": {"fullname" : "All Applications", "shortname": "All Applications"}, "ICCIF" : {"fullname" : "Immunocytochemistry/ Immunofluorescence", "shortname":"ICC/IF"}, "ChIP" : {"fullname" : "ChIP", "shortname":"ChIP"}, "FlowCytIntra" : {"fullname" : "Flow Cytometry (Intracellular)", "shortname":"Flow Cyt (Intra)"}, "WB" : {"fullname" : "Western blot", "shortname":"WB"}, "IHCP" : {"fullname" : "Immunohistochemistry (Formalin/PFA-fixed paraffin-embedded sections)", "shortname":"IHC-P"} }, "product-promise": { "all": "all", "testedAndGuaranteed": "tested", "guaranteed": "expected", "predicted": "predicted", "notRecommended": "not-recommended" } }, "values": { "Human": { "ICCIF-species-checked": "testedAndGuaranteed", "ICCIF-species-dilution-info": "", "ICCIF-species-notes": "<p></p>", "ChIP-species-checked": "guaranteed", "ChIP-species-dilution-info": "", "ChIP-species-notes": "<p></p>", "FlowCytIntra-species-checked": "testedAndGuaranteed", "FlowCytIntra-species-dilution-info": "", "FlowCytIntra-species-notes": "<p></p>", "WB-species-checked": "testedAndGuaranteed", "WB-species-dilution-info": "", "WB-species-notes": "<p></p>", "IHCP-species-checked": "testedAndGuaranteed", "IHCP-species-dilution-info": "1-5 µg/mL", "IHCP-species-notes": "<p></p> Perform heat-mediated antigen retrieval with citrate buffer pH 6 before commencing with IHC staining protocol." }, "Mouse": { "ICCIF-species-checked": "notRecommended", "ICCIF-species-dilution-info": "", "ICCIF-species-notes": "<p></p>", "ChIP-species-checked": "notRecommended", "ChIP-species-dilution-info": "", "ChIP-species-notes": "<p></p>", "FlowCytIntra-species-checked": "notRecommended", "FlowCytIntra-species-dilution-info": "", "FlowCytIntra-species-notes": "", "WB-species-checked": "notRecommended", "WB-species-dilution-info": "", "WB-species-notes": "<p></p>", "IHCP-species-checked": "notRecommended", "IHCP-species-dilution-info": "", "IHCP-species-notes": "" }, "Rat": { "ICCIF-species-checked": "notRecommended", "ICCIF-species-dilution-info": "", "ICCIF-species-notes": "<p></p>", "ChIP-species-checked": "notRecommended", "ChIP-species-dilution-info": "", "ChIP-species-notes": "<p></p>", "FlowCytIntra-species-checked": "notRecommended", "FlowCytIntra-species-dilution-info": "", "FlowCytIntra-species-notes": "", "WB-species-checked": "notRecommended", "WB-species-dilution-info": "", "WB-species-notes": "<p></p>", "IHCP-species-checked": "notRecommended", "IHCP-species-dilution-info": "1-5 µg/mL", "IHCP-species-notes": "<p></p> Perform heat-mediated antigen retrieval with citrate buffer pH 6 before commencing with IHC staining protocol." } } }

Product details

What is this antibody validated in?
Anti-p53 antibody [DO-1] (ab1101) is a mouse monoclonal antibody and is validated for use in Western Blot (WB), Flow Cytometry (Intra), Flow Cytometry (Flow Cyt), Immunoprecipitation (IP), Immunohistochemistry (IHC-P), Immunocytochemistry/immunofluorescence (ICC/IF) in Human samples.

What is the molecular weight of p53?
Anti-p53 [DO-1] (ab1101) specifically detects a band for p53 (UniProt: P04637) at a molecular weight of 43kDa.

Trusted by the scientific community
Anti-p53 [DO-1] (ab1101) was first used in a scientific publication in 2002 and has been cited over 160 times in peer-reviewed journals.

Reviewed by scientists
Anti-p53 [DO-1] (ab1101) has over 10 independent reviews from customers.

Specificity confirmed
The specificity of Anti-p53 antibody [DO-1] (ab1101) has been confirmed by Western blot testing in TP53 Knockout HAP1 cells.

Other related products
We have a range of other formats of antibody clone [DO-1] also available for your convenience: ab1101, HRP - ab204452, Carrier free - ab237976

Want a custom formulation?
This antibody clone is manufactured by Abcam. If you require a custom buffer formulation or conjugation for your experiments, please contact orders@abcam.com

Properties and storage information

Form
Liquid
Purification technique
Affinity purification Protein G
Storage buffer
pH: 7.4 Preservative: 0.02% Sodium azide Constituents: PBS, 6.97% L-Arginine
Shipped at conditions
Blue Ice
Appropriate short-term storage duration
1-2 weeks
Appropriate short-term storage conditions
+4°C
Appropriate long-term storage conditions
-20°C
Aliquoting information
Upon delivery aliquot
Storage information
Avoid freeze / thaw cycle

Supplementary information

This supplementary information is collated from multiple sources and compiled automatically.

The protein p53 also known as TP53 or tumor protein p53 has a molecular weight of approximately 53 kDa. It acts as a transcription factor and plays a major role in cell cycle regulation apoptosis and maintaining genomic stability. This protein mainly expresses in the nucleus of cells and acts as a critical regulator of cellular responses to stress signals including DNA damage. Scientists commonly use p53 antibodies in various assays like western blot and p53 immunofluorescence to detect and study its expression and functional status in cells.
Biological function summary

P53 functions to control cell division and apoptosis serving as a guardian of the genome by preventing mutation accumulation. It does not form part of a larger complex under normal conditions but interacts with various other molecules to execute its functions. p53 can activate or suppress the transcription of numerous genes involved in cell cycle arrest DNA repair and programmed cell death allowing it to halt the progression of damaged cells and trigger repair mechanisms or eliminate those that cannot be repaired.

Pathways

P53 acts within several key biological pathways such as the p53 signaling pathway and the intrinsic apoptotic pathway. Its activity involves interaction with proteins like MDM2 which regulates p53 through ubiquitin-mediated degradation and ATM kinase which phosphorylates p53 in response to DNA damage. These interactions ensure appropriate cellular responses during stress and are vital for maintaining homeostasis.

P53 mutation or inactivation is often associated with the development of cancer given its role in controlling cell division and preventing tumor formation. Specifically its dysfunction has been linked to cancers such as breast cancer and lung cancer. Additionally p53 can interact with other mutant proteins like Ras compounding mutations that contribute to tumor progression and aggressive cancer phenotypes. Understanding these interactions and the status of p53 can be important in developing targeted cancer therapies.

Product protocols

For this product, it's our understanding that no specific protocols are required. You can visit:

Target data

Multifunctional transcription factor that induces cell cycle arrest, DNA repair or apoptosis upon binding to its target DNA sequence (PubMed : 11025664, PubMed : 12524540, PubMed : 12810724, PubMed : 15186775, PubMed : 15340061, PubMed : 17317671, PubMed : 17349958, PubMed : 19556538, PubMed : 20673990, PubMed : 20959462, PubMed : 22726440, PubMed : 24051492, PubMed : 24652652, PubMed : 35618207, PubMed : 36634798, PubMed : 38653238, PubMed : 9840937). Acts as a tumor suppressor in many tumor types; induces growth arrest or apoptosis depending on the physiological circumstances and cell type (PubMed : 11025664, PubMed : 12524540, PubMed : 12810724, PubMed : 15186775, PubMed : 15340061, PubMed : 17189187, PubMed : 17317671, PubMed : 17349958, PubMed : 19556538, PubMed : 20673990, PubMed : 20959462, PubMed : 22726440, PubMed : 24051492, PubMed : 24652652, PubMed : 38653238, PubMed : 9840937). Negatively regulates cell division by controlling expression of a set of genes required for this process (PubMed : 11025664, PubMed : 12524540, PubMed : 12810724, PubMed : 15186775, PubMed : 15340061, PubMed : 17317671, PubMed : 17349958, PubMed : 19556538, PubMed : 20673990, PubMed : 20959462, PubMed : 22726440, PubMed : 24051492, PubMed : 24652652, PubMed : 9840937). One of the activated genes is an inhibitor of cyclin-dependent kinases. Apoptosis induction seems to be mediated either by stimulation of BAX and FAS antigen expression, or by repression of Bcl-2 expression (PubMed : 12524540, PubMed : 17189187). Its pro-apoptotic activity is activated via its interaction with PPP1R13B/ASPP1 or TP53BP2/ASPP2 (PubMed : 12524540). However, this activity is inhibited when the interaction with PPP1R13B/ASPP1 or TP53BP2/ASPP2 is displaced by PPP1R13L/iASPP (PubMed : 12524540). In cooperation with mitochondrial PPIF is involved in activating oxidative stress-induced necrosis; the function is largely independent of transcription. Induces the transcription of long intergenic non-coding RNA p21 (lincRNA-p21) and lincRNA-Mkln1. LincRNA-p21 participates in TP53-dependent transcriptional repression leading to apoptosis and seems to have an effect on cell-cycle regulation. Implicated in Notch signaling cross-over. Prevents CDK7 kinase activity when associated to CAK complex in response to DNA damage, thus stopping cell cycle progression. Isoform 2 enhances the transactivation activity of isoform 1 from some but not all TP53-inducible promoters. Isoform 4 suppresses transactivation activity and impairs growth suppression mediated by isoform 1. Isoform 7 inhibits isoform 1-mediated apoptosis. Regulates the circadian clock by repressing CLOCK-BMAL1-mediated transcriptional activation of PER2 (PubMed : 24051492).
See full target information TP53

Publications (196)

Recent publications for all applications. Explore the full list and refine your search

Nature communications 16:6585 PubMed40721574

2025

DynaTag for efficient mapping of transcription factors in low-input samples and at single-cell resolution.

Applications

Unspecified application

Species

Unspecified reactive species

Pascal Hunold,Giulia Pizzolato,Nadia Heramvand,Laura Kaiser,Giulia Barbiera,Olivia van Ray,Roman Thomas,Julie George,Martin Peifer,Robert Hänsel-Hertsch

Communications medicine 5:195 PubMed40410530

2025

Detection of p53 aggregates in plasma of glioma patients.

Applications

Unspecified application

Species

Unspecified reactive species

Yunzhao Wu,Jeff Y L Lam,Matthaios Pitoulias,Dorothea Böken,Ziwei Zhang,Renuka Chintapalli,Emre Fertan,Zengjie Xia,John S H Danial,Gemma Tsang-Pells,Emily Fysh,Linda Julian,Kevin M Brindle,Richard Mair,David Klenerman

Nanoscale 17:11401-11412 PubMed40231544

2025

Bioconjugates of photon-upconversion nanoparticles with antibodies for the detection of prostate-specific antigen and p53 in heterogeneous and homogeneous immunoassays.

Applications

Unspecified application

Species

Unspecified reactive species

Ekaterina Makhneva,Pavel Špaček,Antonín Hlaváček,Julie Weisová,Hans H Gorris,Petr Skládal,Zdeněk Farka

Nucleic acids research 53: PubMed40219968

2025

Nuclear AGO2 supports influenza A virus replication through type-I interferon regulation.

Applications

Unspecified application

Species

Unspecified reactive species

Hsiang-Chi Huang,Michelle Fong,Iwona Nowak,Evgeniia Shcherbinina,Vivian Lobo,Danica F Besavilla,Hang T Huynh,Karin Schön,Jakub O Westholm,Carola Fernandez,Angana A H Patel,Clotilde Wiel,Volkan I Sayin,Dimitrios G Anastasakis,Davide Angeletti,Aishe A Sarshad

Journal of nanobiotechnology 23:180 PubMed40050959

2025

Efficient delivery of anlotinib and radioiodine by long circulating nano-capsules for active enhanced suppression of anaplastic thyroid carcinoma.

Applications

Unspecified application

Species

Unspecified reactive species

Linlin Zhang,Chuanying Zhu,Shuo Huang,Miaomiao Xu,Chao Li,Hongliang Fu,Yafu Yin,Sheng Liang,Hui Wang,Zhilei Cui,Lei Huang

Pharmaceuticals (Basel, Switzerland) 17: PubMed39598347

2024

Unite and Conquer: Association of Two G-Quadruplex Aptamers Provides Antiproliferative and Antimigration Activity for Cells from High-Grade Glioma Patients.

Applications

Unspecified application

Species

Unspecified reactive species

Svetlana Pavlova,Lika Fab,Fatima Dzarieva,Anastasia Ryabova,Alexander Revishchin,Dmitriy Panteleev,Olga Antipova,Dmitry Usachev,Alexey Kopylov,Galina Pavlova

Nature communications 15:9614 PubMed39511190

2024

The BAF complex enhances transcription through interaction with H3K56ac in the histone globular domain.

Applications

Unspecified application

Species

Unspecified reactive species

Kwangbeom Hyun,Jihye Ahn,Hyoungmin Kim,Jihyun Kim,Yong-In Kim,Hee-Sung Park,Robert G Roeder,J Eugene Lee,Jaehoon Kim

International journal of oncology 65: PubMed39450547

2024

is a novel gene of colorectal cancer that promotes tumor growth potentially via inhibition of p53 expression.

Applications

Unspecified application

Species

Unspecified reactive species

Yusuke Nakano,Takaaki Masuda,Takeharu Sakamoto,Noritaka Tanaka,Taro Tobo,Masahiro Hashimoto,Takanari Tatsumi,Hideyuki Saito,Junichi Takahashi,Kensuke Koike,Tadashi Abe,Yuki Ando,Yuki Ozato,Kiyotaka Hosoda,Kosuke Hirose,Satoshi Higuchi,Tomohiko Ikehara,Yuichi Hisamatsu,Takeo Toshima,Yusuke Yonemura,Takayuki Ogino,Mamoru Uemura,Hidetoshi Eguchi,Yuichiro Doki,Koshi Mimori

International journal of molecular sciences 25: PubMed39409068

2024

Modulatory Effects of Chalcone Thio-Derivatives on NF-κB and STAT3 Signaling Pathways in Hepatocellular Carcinoma Cells: A Study on Selected Active Compounds.

Applications

Unspecified application

Species

Unspecified reactive species

Katarzyna Papierska,Eliza Judasz,Wiktoria Tonińska,Maciej Kubicki,Violetta Krajka-Kuźniak

Nature communications 15:5985 PubMed39013850

2024

Aging aggravates aortic aneurysm and dissection via miR-1204-MYLK signaling axis in mice.

Applications

Unspecified application

Species

Unspecified reactive species

Ze-Long Liu,Yan Li,Yi-Jun Lin,Mao-Mao Shi,Meng-Xia Fu,Zhi-Qing Li,Da-Sheng Ning,Xiang-Ming Zeng,Xiang Liu,Qing-Hua Cui,Yue-Ming Peng,Xin-Min Zhou,Ye-Rong Hu,Jia-Sheng Liu,Yu-Jia Liu,Mian Wang,Chun-Xiang Zhang,Wei Kong,Zhi-Jun Ou,Jing-Song Ou
View all publications

Product promise

We are committed to supporting your work with high-quality reagents, and we're here for you every step of the way. In the unlikely event that one of our products does not perform as expected, you're protected by our Product Promise.
For full details, please see our Terms & Conditions

Please note: All products are 'FOR RESEARCH USE ONLY. NOT FOR USE IN DIAGNOSTIC OR THERAPEUTIC PROCEDURES'.

For licensing inquiries, please contact partnerships@abcam.com