JavaScript is disabled in your browser. Please enable JavaScript to view this website.
AB225531

Anti-p53 antibody [E26] - BSA and Azide free

  • BOND RX™ Validated
  • RabMAb
  • Recombinant
  • KO Validated
  • What is this?

3

(2 Reviews)

|

(1 Publication)

Rabbit Recombinant Monoclonal P53 antibody. Carrier free. Suitable for ICC/IF, Flow Cyt, IHC-P, WB and reacts with Human samples. Cited in 1 publication.

View Alternative Names

P53, TP53, Cellular tumor antigen p53, Antigen NY-CO-13, Phosphoprotein p53, Tumor suppressor p53

8 Images
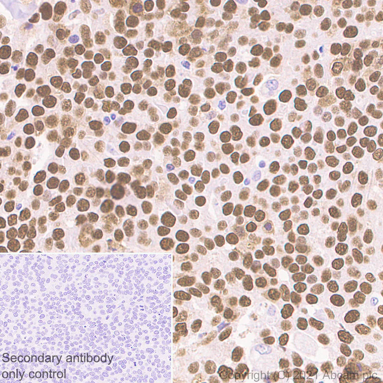
Immunohistochemistry (Formalin/PFA-fixed paraffin-embedded sections) - Anti-p53 antibody [E26] - BSA and Azide free (AB225531)
  • IHC-P

Lab

Immunohistochemistry (Formalin/PFA-fixed paraffin-embedded sections) - Anti-p53 antibody [E26] - BSA and Azide free (AB225531)

This data was developed using ab32389, the same antibody clone in a different buffer formulation.
Immunohistochemistry (Formalin/PFA-fixed paraffin-embedded sections) analysis of human endometrium cancer tissue sections labeling p53 with purified ab32389 at 1/5000 dilution (0.09 μg/ml). Heat mediated antigen retrieval was performed using Heat mediated antigen retrieval using Bond™ Epitope Retrieval Solution 2 (pH 9.0) . Tissue was counterstained with Hematoxylin. Rabbit specific IHC polymer detection kit HRP/DAB (ab209101) secondary antibody was used. PBS instead of the primary antibody was used as the negative control.

Immunocytochemistry/ Immunofluorescence - Anti-p53 antibody [E26] - BSA and Azide free (AB225531)
  • ICC/IF

Lab

Immunocytochemistry/ Immunofluorescence - Anti-p53 antibody [E26] - BSA and Azide free (AB225531)

This data was developed using the same antibody clone in a different buffer formulation containing PBS, BSA, glycerol, and sodium azide (ab32389).

ab32389 staining p53 in wild-type Hap1 cells (top panel) and p53 knockout Hap1 cells (bottom panel). The cells were fixed with 100% methanol (5 min), permeabilized with 0.1% Triton X-100 for 5 minutes and then blocked with 1% BSA/10% normal goat serum/0.3M glycine in 0.1% PBS-Tween for 1h. The cells were then incubated with ab32389 at 1μg/ml concentration and ab7291 (Mouse monoclonal to alpha Tubulin) at 1/1000 dilution overnight at +4°C, followed by a further incubation at room temperature for 1h with a goat secondary antibody to rabbit IgG (Alexa Fluor® 488) (ab150081) at 2 μg/ml (shown in green) and a goat secondary antibody to mouse IgG (Alexa Fluor® 594) (ab150120) at 2 μg/ml (shown in pseudo color red). Nuclear DNA was labelled in blue with DAPI.

Image was taken with a high-content analysis system (Perkin Elmer, Operetta CLS™).

Immunocytochemistry/ Immunofluorescence - Anti-p53 antibody [E26] - BSA and Azide free (AB225531)
  • ICC/IF

Lab

Immunocytochemistry/ Immunofluorescence - Anti-p53 antibody [E26] - BSA and Azide free (AB225531)

This data was developed using ab32389, the same antibody clone in a different buffer formulation.

Immunocytochemistry analysis of A431 (Human epidermoid carcinoma epithelial cell) cells labeling p53 with purified ab32389 at 1/50 dilution (8.7 μg/mL). Cells were fixed in 4% Paraformaldehyde and permeabilized with 0.1% tritonX-100. Cells were counterstained with ab195889 Anti-alpha Tubulin antibody [DM1A] - Microtubule Marker (Alexa Fluor® 594) 1/200 (2.5 μg/mL). Goat anti rabbit IgG (Alexa Fluor® 488, ab150077) was used as the secondary antibody at 1/1000 (2 μg/mL) dilution. DAPI (blue) was used as nuclear counterstain. PBS instead of the primary antibody was used as the secondary antibody only control.

Flow Cytometry - Anti-p53 antibody [E26] - BSA and Azide free (AB225531)
  • Flow Cyt

Supplier Data

Flow Cytometry - Anti-p53 antibody [E26] - BSA and Azide free (AB225531)

This data was developed using ab32389 the same antibody clone in a different buffer formulation.

Flow cytometric analysis of 4% Paraformaldehyde fixed 90% Methanol permeabilized HEK-293 (Human embryonic kidney epithelial cell) cells labelling p53 with ab32389 at 1/500 dilution (1 μg/ml) compared with a Rabbit monoclonal IgG (Black) isotype control and an unlabelled control (cells without incubation with primary antibody and secondary antibody) (Blue). A Goat anti rabbit IgG (Alexa Fluor® 488, ab150077) at 1/2000 was used as the secondary antibody.

Western blot - Anti-p53 antibody [E26] - BSA and Azide free (AB225531)
  • WB

Lab

Western blot - Anti-p53 antibody [E26] - BSA and Azide free (AB225531)

False colour image of Western blot : Anti-p53 antibody [E26] staining at 1/1000 dilution, shown in green; Mouse anti-Alpha Tubulin [DM1A] (ab7291) loading control staining at 1/20000 dilution, shown in red. In Western blot, ab32389 was shown to bind specifically to p53. A band was observed at 49 kDa in wild-type A549 cell lysates with no signal observed at this size in tp53 knockout cell line ab276092 (knockout cell lysate ab282999). To generate this image, wild-type and tp53 knockout A549 cell lysates were analysed. First, samples were run on an SDS-PAGE gel then transferred onto a nitrocellulose membrane. Membranes were blocked in 3 % milk in TBS-0.1 % Tween® 20 (TBS-T) before incubation with primary antibodies overnight at 4 °C. Blots were washed four times in TBS-T, incubated with secondary antibodies for 1 h at room temperature, washed again four times then imaged. Secondary antibodies used were Goat anti-Rabbit IgG H&L (IRDye® 800CW) preabsorbed (ab216773) and Goat anti-Mouse IgG H&L (IRDye® 680RD) preabsorbed (ab216776) at 1/20000 dilution.

All lanes:

Western blot - Anti-p53 antibody [E26] (<a href='/en-us/products/primary-antibodies/p53-antibody-e26-ab32389'>ab32389</a>) at 1/1000 dilution

Lane 1:

Wild-type A549 cell lysate at 20 µg

Lane 2:

TP53 knockout A549 cell lysate at 20 µg

Lane 2:

Western blot - Human TP53 (p53) knockout Jurkat cell line (<a href='/en-us/products/cell-lines/human-tp53-p53-knockout-jurkat-cell-line-ab276112'>ab276112</a>)

Lane 3:

Wild-type Jurkat cell lysate at 20 µg

Lane 4:

TP53 knockout Jurkat cell lysate at 20 µg

Lane 5:

A431 cell lysate at 20 µg

Lane 6:

Saos-2 cell lysate at 20 µg

Predicted band size: 43 kDa

Observed band size: 49 kDa

false

Western blot - Anti-p53 antibody [E26] - BSA and Azide free (AB225531)
  • WB

Lab

Western blot - Anti-p53 antibody [E26] - BSA and Azide free (AB225531)

This WB data was generated using the same antibody clone in a different buffer formulation (ab32389).

The isoforms of p53 produced by alternative splicing of the intron 9 have been described by the literatures (PMID : 16131611, 29235495 and 22647703).

All lanes:

Western blot - Anti-p53 antibody [E26] (<a href='/en-us/products/primary-antibodies/p53-antibody-e26-ab32389'>ab32389</a>) at 1/10000 dilution

All lanes:

HEK-293 (Human embryonic kidney epithelial cell) whole cell lysate at 15 µg

Secondary

All lanes:

Western blot - Goat Anti-Rabbit IgG H&L (HRP) (<a href='/en-us/products/secondary-antibodies/goat-rabbit-igg-h-l-hrp-ab97051'>ab97051</a>) at 1/20000 dilution

Predicted band size: 43 kDa

Observed band size: 46 kDa,53 kDa

false

Western blot - Anti-p53 antibody [E26] - BSA and Azide free (AB225531)
  • WB

Unknown

Western blot - Anti-p53 antibody [E26] - BSA and Azide free (AB225531)

This WB data was generated using the same anti-p53 antibody clone [E26] in a different buffer formulation (cat# ab32389).

Lane 1 : Wild type HAP1 whole cell lysate (20 μg)
Lane 2 : p53 knockout HAP1 whole cell lysate (20 μg)
Lane 3 : HEK293 whole cell lysate (20 μg)
Lane 4 : A431 whole cell lysate (20 μg)

Lanes 1 - 4 : Merged signal (red and green). Green - ab32389 observed at 50 kDa. Red - loading control, ab9484, observed at 37 kDa.

ab32389 was shown to specifically react with p53 in wild type cells as signal was lost in p53 knockout cells. Wild-type and p53 knockout samples were subjected to SDS-PAGE. ab32389 and ab9484 (Mouse anti-GAPDH loading control) were incubated overnight at 4°C at 1/1000 dilution and 1/20000 dilution respectively. Blots were developed with Goat anti-Rabbit IgG H&L (IRDye® 800CW) preabsorbed ab216773 and Goat anti-Mouse IgG H&L (IRDye® 680RD) preabsorbed ab216776 secondary antibodies at 1/20000 dilution for 1 hour at room temperature before imaging.

All lanes:

Western blot - Anti-p53 antibody [E26] (<a href='/en-us/products/primary-antibodies/p53-antibody-e26-ab32389'>ab32389</a>)

Predicted band size: 43 kDa

false

Western blot - Anti-p53 antibody [E26] - BSA and Azide free (AB225531)
  • WB

Lab

Western blot - Anti-p53 antibody [E26] - BSA and Azide free (AB225531)

This data was developed using the same antibody clone in a different buffer formulation containing PBS, BSA, glycerol, and sodium azide (ab32389).

Western blot : Anti-p53 antibody [E26] ab32389 staining at 1/1000 dilution, shown in green; Mouse anti-CANX ab238078 loading control staining at 1/20000 dilution, shown in magenta. A band was observed at 50 kDa in Wild-type MCF7 cell lysates with no signal observed at this size in TP53 knockout MCF7 cell line. To generate this image, samples were run on an SDS-PAGE gel then transferred onto a nitrocellulose membrane. Membranes were blocked in 5pc Milk in TBS-0.1 % Tween 20 (TBS-T) before incubation with primary antibodies overnight at 4 °C. Blots were washed four times in TBS-T, incubated with secondary antibodies for 1 h at room temperature, washed again four times then imaged. Secondary antibodies used were Goat anti-Rabbit 800CW and Goat anti-Mouse 680RD at 1/20,000 dilution.

All lanes:

Western blot - Anti-p53 antibody [E26] (<a href='/en-us/products/primary-antibodies/p53-antibody-e26-ab32389'>ab32389</a>) at 1/1000 dilution

Lane 1:

Wild-type MCF7 whole cell lysate at 20 µg

Lane 2:

Western blot - Human TP53 knockout MCF7 cell line (<a href='/en-us/products/cell-lines/human-tp53-knockout-mcf7-cell-line-ab286440'>ab286440</a>) at 20 µg

Lane 3:

Wild-type A549 whole cell lysate at 20 µg

Lane 4:

TP53 knockout A549 whole cell lysate at 20 µg

Secondary

All lanes:

Goat anti-Rabbit 800CW & Goat anti-Mouse 680RD at 1/20000 dilution

Predicted band size: 50 kDa

Observed band size: 50 kDa

false

Key facts

Host species

Rabbit

Clonality

Monoclonal

Clone number

E26

Isotype

IgG

Carrier free

Yes

Reacts with

Human

Applications

Flow Cyt, IHC-P, ICC/IF, WB

applications

Immunogen

The exact immunogen used to generate this antibody is proprietary information.

Specificity

The antibody should recognize human wild-type and mutant p53.

Reactivity data

{ "title": "Reactivity Data", "filters": { "stats": ["", "Species", "Dilution Info", "Notes"], "tabs": { "all-applications": {"fullname" : "All Applications", "shortname": "All Applications"}, "ICCIF" : {"fullname" : "Immunocytochemistry/ Immunofluorescence", "shortname":"ICC/IF"}, "FlowCyt" : {"fullname" : "Flow Cytometry", "shortname":"Flow Cyt"}, "IHCP" : {"fullname" : "Immunohistochemistry (Formalin/PFA-fixed paraffin-embedded sections)", "shortname":"IHC-P"}, "WB" : {"fullname" : "Western blot", "shortname":"WB"} }, "product-promise": { "all": "all", "testedAndGuaranteed": "tested", "guaranteed": "expected", "predicted": "predicted", "notRecommended": "not-recommended" } }, "values": { "Human": { "ICCIF-species-checked": "testedAndGuaranteed", "ICCIF-species-dilution-info": "", "ICCIF-species-notes": "<p></p>", "FlowCyt-species-checked": "testedAndGuaranteed", "FlowCyt-species-dilution-info": "", "FlowCyt-species-notes": "<p></p>", "IHCP-species-checked": "testedAndGuaranteed", "IHCP-species-dilution-info": "", "IHCP-species-notes": "<p></p>", "WB-species-checked": "testedAndGuaranteed", "WB-species-dilution-info": "", "WB-species-notes": "<p></p>" }, "Mouse": { "ICCIF-species-checked": "notRecommended", "ICCIF-species-dilution-info": "", "ICCIF-species-notes": "<p></p>", "FlowCyt-species-checked": "notRecommended", "FlowCyt-species-dilution-info": "", "FlowCyt-species-notes": "<p></p>", "IHCP-species-checked": "notRecommended", "IHCP-species-dilution-info": "", "IHCP-species-notes": "<p></p>", "WB-species-checked": "notRecommended", "WB-species-dilution-info": "", "WB-species-notes": "<p></p>" }, "Rat": { "ICCIF-species-checked": "notRecommended", "ICCIF-species-dilution-info": "", "ICCIF-species-notes": "<p></p>", "FlowCyt-species-checked": "notRecommended", "FlowCyt-species-dilution-info": "", "FlowCyt-species-notes": "<p></p>", "IHCP-species-checked": "notRecommended", "IHCP-species-dilution-info": "", "IHCP-species-notes": "<p></p>", "WB-species-checked": "notRecommended", "WB-species-dilution-info": "", "WB-species-notes": "<p></p>" } } }

Product details

ab225531 is the carrier-free version of ab32389.

Patented technology
Our RabMAb® technology is a patented hybridoma-based technology for making rabbit monoclonal antibodies. For details on our patents, please refer to RabMAb® patents.

What are the advantages of a recombinant monoclonal antibody?
This product is a recombinant monoclonal antibody, which offers several advantages including:

  • - High batch-to-batch consistency and reproducibility
  • - Improved sensitivity and specificity
  • - Long-term security of supply
  • - Animal-free batch production

For more information, read more on recombinant antibodies.

Conjugation ready
Our carrier-free antibodies are typically supplied in a PBS-only formulation, purified and free of BSA, sodium azide and glycerol. This conjugation-ready format is designed for use with fluorochromes, metal isotopes, oligonucleotides, and enzymes, which makes them ideal for antibody labelling, functional and cell-based assays, flow-based assays (e.g. mass cytometry) and Multiplex Imaging applications.

Use our conjugation kits for antibody conjugates that are ready-to-use in as little as 20 minutes with 1 minute hands-on-time and 100% antibody recovery: available for fluorescent dyes, HRP, biotin and gold.

Compatibility
This product is compatible with the Maxpar® Antibody Labeling Kit from Fluidigm, without the need for antibody preparation. Maxpar® is a trademark of Fluidigm Canada Inc.

Properties and storage information

Form
Liquid
Purification technique
Affinity purification Protein A
Storage buffer
pH: 7.2 - 7.4 Constituents: PBS
Shipped at conditions
Blue Ice
Appropriate short-term storage conditions
+4°C
Appropriate long-term storage conditions
+4°C
Storage information
Do Not Freeze

Supplementary information

This supplementary information is collated from multiple sources and compiled automatically.

The protein p53 also known as TP53 or tumor protein p53 has a molecular weight of approximately 53 kDa. It acts as a transcription factor and plays a major role in cell cycle regulation apoptosis and maintaining genomic stability. This protein mainly expresses in the nucleus of cells and acts as a critical regulator of cellular responses to stress signals including DNA damage. Scientists commonly use p53 antibodies in various assays like western blot and p53 immunofluorescence to detect and study its expression and functional status in cells.
Biological function summary

P53 functions to control cell division and apoptosis serving as a guardian of the genome by preventing mutation accumulation. It does not form part of a larger complex under normal conditions but interacts with various other molecules to execute its functions. p53 can activate or suppress the transcription of numerous genes involved in cell cycle arrest DNA repair and programmed cell death allowing it to halt the progression of damaged cells and trigger repair mechanisms or eliminate those that cannot be repaired.

Pathways

P53 acts within several key biological pathways such as the p53 signaling pathway and the intrinsic apoptotic pathway. Its activity involves interaction with proteins like MDM2 which regulates p53 through ubiquitin-mediated degradation and ATM kinase which phosphorylates p53 in response to DNA damage. These interactions ensure appropriate cellular responses during stress and are vital for maintaining homeostasis.

P53 mutation or inactivation is often associated with the development of cancer given its role in controlling cell division and preventing tumor formation. Specifically its dysfunction has been linked to cancers such as breast cancer and lung cancer. Additionally p53 can interact with other mutant proteins like Ras compounding mutations that contribute to tumor progression and aggressive cancer phenotypes. Understanding these interactions and the status of p53 can be important in developing targeted cancer therapies.

Product protocols

For this product, it's our understanding that no specific protocols are required. You can visit:

Target data

Multifunctional transcription factor that induces cell cycle arrest, DNA repair or apoptosis upon binding to its target DNA sequence (PubMed : 11025664, PubMed : 12524540, PubMed : 12810724, PubMed : 15186775, PubMed : 15340061, PubMed : 17317671, PubMed : 17349958, PubMed : 19556538, PubMed : 20673990, PubMed : 20959462, PubMed : 22726440, PubMed : 24051492, PubMed : 24652652, PubMed : 35618207, PubMed : 36634798, PubMed : 38653238, PubMed : 9840937). Acts as a tumor suppressor in many tumor types; induces growth arrest or apoptosis depending on the physiological circumstances and cell type (PubMed : 11025664, PubMed : 12524540, PubMed : 12810724, PubMed : 15186775, PubMed : 15340061, PubMed : 17189187, PubMed : 17317671, PubMed : 17349958, PubMed : 19556538, PubMed : 20673990, PubMed : 20959462, PubMed : 22726440, PubMed : 24051492, PubMed : 24652652, PubMed : 38653238, PubMed : 9840937). Negatively regulates cell division by controlling expression of a set of genes required for this process (PubMed : 11025664, PubMed : 12524540, PubMed : 12810724, PubMed : 15186775, PubMed : 15340061, PubMed : 17317671, PubMed : 17349958, PubMed : 19556538, PubMed : 20673990, PubMed : 20959462, PubMed : 22726440, PubMed : 24051492, PubMed : 24652652, PubMed : 9840937). One of the activated genes is an inhibitor of cyclin-dependent kinases. Apoptosis induction seems to be mediated either by stimulation of BAX and FAS antigen expression, or by repression of Bcl-2 expression (PubMed : 12524540, PubMed : 17189187). Its pro-apoptotic activity is activated via its interaction with PPP1R13B/ASPP1 or TP53BP2/ASPP2 (PubMed : 12524540). However, this activity is inhibited when the interaction with PPP1R13B/ASPP1 or TP53BP2/ASPP2 is displaced by PPP1R13L/iASPP (PubMed : 12524540). In cooperation with mitochondrial PPIF is involved in activating oxidative stress-induced necrosis; the function is largely independent of transcription. Induces the transcription of long intergenic non-coding RNA p21 (lincRNA-p21) and lincRNA-Mkln1. LincRNA-p21 participates in TP53-dependent transcriptional repression leading to apoptosis and seems to have an effect on cell-cycle regulation. Implicated in Notch signaling cross-over. Prevents CDK7 kinase activity when associated to CAK complex in response to DNA damage, thus stopping cell cycle progression. Isoform 2 enhances the transactivation activity of isoform 1 from some but not all TP53-inducible promoters. Isoform 4 suppresses transactivation activity and impairs growth suppression mediated by isoform 1. Isoform 7 inhibits isoform 1-mediated apoptosis. Regulates the circadian clock by repressing CLOCK-BMAL1-mediated transcriptional activation of PER2 (PubMed : 24051492).
See full target information TP53

Publications (1)

Recent publications for all applications. Explore the full list and refine your search

Cells 12: PubMed37296643

2023

In Situ Identification of Both IL-4 and IL-10 Cytokine-Receptor Interactions during Tissue Regeneration.

Applications

Unspecified application

Species

Unspecified reactive species

Krisztina Nikovics,Anne-Laure Favier,Mathilde Rocher,Céline Mayinga,Johanna Gomez,Frédérique Dufour-Gaume,Diane Riccobono
View all publications

Product promise

We are committed to supporting your work with high-quality reagents, and we're here for you every step of the way. In the unlikely event that one of our products does not perform as expected, you're protected by our Product Promise.
For full details, please see our Terms & Conditions

Please note: All products are 'FOR RESEARCH USE ONLY. NOT FOR USE IN DIAGNOSTIC OR THERAPEUTIC PROCEDURES'.

For licensing inquiries, please contact partnerships@abcam.com