JavaScript is disabled in your browser. Please enable JavaScript to view this website.
AB32509

Anti-p53 antibody [E47]

  • KO Validated
  • RabMAb
  • Recombinant
  • Lab Essentials
  • 20ul selling size
  • What is this?

3

(2 Reviews)

|

(16 Publications)

Rabbit Recombinant Monoclonal P53 antibody. Suitable for IP, WB, ICC/IF, Flow Cyt (Intra), IHC-P and reacts with Human samples. Cited in 16 publications.

View Alternative Names

P53, TP53, Cellular tumor antigen p53, Antigen NY-CO-13, Phosphoprotein p53, Tumor suppressor p53

13 Images
Immunocytochemistry/ Immunofluorescence - Anti-p53 antibody [E47] (AB32509)
  • ICC/IF

Lab

Immunocytochemistry/ Immunofluorescence - Anti-p53 antibody [E47] (AB32509)

ab32509 staining mutant p53 in wild-type Hap1 cells (top panel) and p53 knockout Hap1 cells (bottom panel). The cells were fixed with 4% paraformaldehyde (10 min), permeabilized with 0.1% PBS-Triton X-100 for 5 minutes and then blocked with 1% BSA/10% normal goat serum/0.3M glycine in 0.1%PBS-Tween for 1h. The cells were then incubated overnight at 4°C with ab32509 at 0.2µg/ml and ab7291, Mouse monoclonal [DM1A] to alpha Tubulin - Loading Control. Cells were then incubated with ab150081, Goat polyclonal Secondary Antibody to Rabbit IgG - H&L (Alexa Fluor® 488), pre-adsorbed at 1/1000 dilution (shown in green) and ab150120, Goat polyclonal Secondary Antibody to Mouse IgG - H&L (Alexa Fluor® 594), pre-adsorbed at 1/1000 dilution (shown in pseudocolour red). Nuclear DNA was labelled with DAPI (shown in blue). Also suitable in cells fixed with 100% methanol (5 min). Image was acquired with a high-content analyser (Operetta CLS, Perkin Elmer) and a maximum intensity projection of confocal sections is shown.

Flow Cytometry (Intracellular) - Anti-p53 antibody [E47] (AB32509)
  • Flow Cyt (Intra)

Lab

Flow Cytometry (Intracellular) - Anti-p53 antibody [E47] (AB32509)

Intracellular Flow Cytometry analysis of HEK-293 (Human embryonic kidney epithelial cell) cells labeling p53 with purified ab32509 at 1/100 dilution (10 μg/mL) (Red). Cells were fixed with 4% Paraformaldehyde and permeabilised with 90% Methanol. A Goat anti rabbit IgG (Alexa Fluor® 488, ab150077) secondary antibody was used at 1/2000. Isotype control - Rabbit monoclonal IgG (Black). Unlabeled control - Cells without incubation with primary antibody and secondary antibody (Blue).

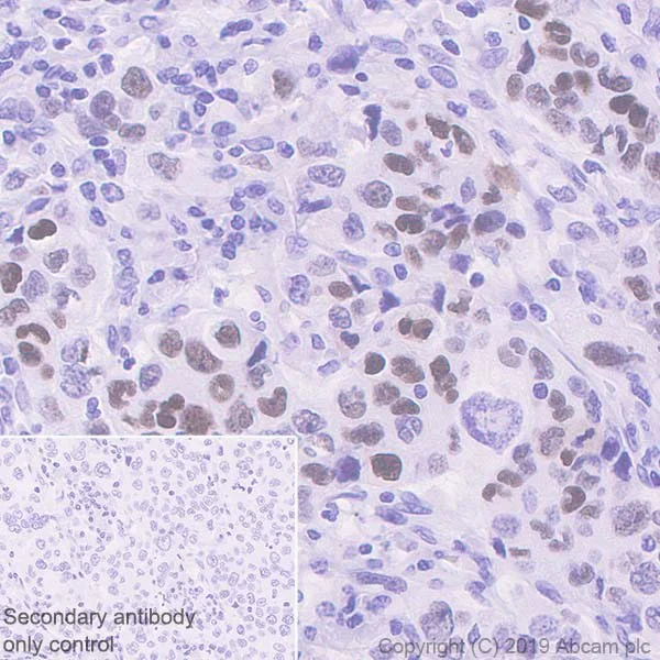
Immunohistochemistry (Formalin/PFA-fixed paraffin-embedded sections) - Anti-p53 antibody [E47] (AB32509)
  • IHC-P

Unknown

Immunohistochemistry (Formalin/PFA-fixed paraffin-embedded sections) - Anti-p53 antibody [E47] (AB32509)

Immunohistochemical analysis of paraffin-embedded human lung carcinoma sections labeling mutant p53 with ab32509 at 1/2000 dilution (0.49 μg/mL). Sections were counterstained with Hematoxylin. Goat Anti-Rabbit IgG H&L (HRP Polymer) was used as the secondary antibody. Heat mediated antigen retrieval was performed using ab93684 (Tris/EDTA buffer, pH 9.0).

Nuclear staining on human lung carcinoma.

Flow Cytometry (Intracellular) - Anti-p53 antibody [E47] (AB32509)
  • Flow Cyt (Intra)

Supplier Data

Flow Cytometry (Intracellular) - Anti-p53 antibody [E47] (AB32509)

Flow cytometry overlay histogram showing wild-type p53 in Hek-293 positive cells (left) and MCF7 negative cells (right) stained with ab32509 (red line). The cells were fixed with 4% paraformaldehyde (10 min) and then permeabilised with 0.1% PBS-Triton X-100 for 15 min. The cells were then incubated in 1x PBS containing 10% normal goat serum to block non-specific protein-protein interaction followed by the antibody (ab32509) (1x 106 cells in 100μl at 0.2μg/ml (1/11865)) for 30min at 22°C. The secondary antibody Goat Anti-Rabbit IgG H&L (Alexa Fluor® 488) preadsorbed (ab150081) was incubated at 1/4000 for 30min at 22°C. Isotype control antibody (black line) Recombinant Rabbit IgG, monoclonal [EPR25A] - Isotype Control (ab172730) was used at the same concentration and conditions as the primary antibody. Unlabelled sample (blue line) was also used as a control. Acquisition of >5000 events were collected using a 50 mW Blue laser (488nm) and 525/40 bandpass filter. This antibody gave a positive signal in Hek-293 fixed with 80% methanol (5 min) / permeabilised with 0.1% PBS-Triton X-100 for 15 min under the same conditions.

Flow Cytometry (Intracellular) - Anti-p53 antibody [E47] (AB32509)
  • Flow Cyt (Intra)

Supplier Data

Flow Cytometry (Intracellular) - Anti-p53 antibody [E47] (AB32509)

Flow cytometry overlay histogram showing mutant p53 in wild-type HAP1 cells (green line) and TP53 knockout HAP1 cells (red line) stained with ab32509. The cells were fixed with 4% paraformaldehyde (10 min) and then permeabilised with 0.1% PBS-Triton X-100 for 15 min. The cells were then incubated in 1x PBS containing 10% normal goat serum to block non-specific protein-protein interaction followed by the antibody (ab32509) (1x 106 cells in 100μl at 0.2 μg/ml (1/550)) for 30min at 22°C. The secondary antibody Goat Anti-Rabbit IgG H&L (Alexa Fluor® 488) preadsorbed (ab150081) was incubated at 1/4000 for 30min at 22°C. Isotype control antibody Recombinant Rabbit IgG, monoclonal [EPR25A] - Isotype Control (ab172730) was used at the same concentration and conditions as the primary antibody (wild-type HAP1 - black line, TP53 knockout HAP1 - grey line). Unlabelled sample was also used as a control (this line is not shown for the purpose of simplicity). Acquisition of >5000 events were collected using a 50 mW Blue laser (488nm) and 525/40 bandpass filter. This antibody gave a positive signal in HAP1 fixed with 80% methanol (5 min) / permeabilised with 0.1% PBS-Triton X-100 for 15 min under the same conditions.

Flow Cytometry (Intracellular) - Anti-p53 antibody [E47] (AB32509)
  • Flow Cyt (Intra)

Supplier Data

Flow Cytometry (Intracellular) - Anti-p53 antibody [E47] (AB32509)

Flow cytometry overlay histogram showing mutant p53 in A-431 cells stained with ab32509 (red line). The cells were fixed with 4% paraformaldehyde (10 min) and then permeabilised with 0.1% PBS-Triton X-100 for 15 min. The cells were incubated in 1x PBS containing 10% normal goat serum to block non-specific protein-protein interaction followed by the antibody (ab32509) (1x 106 cells in 100μl at 0.2μg/ml (1/550)) for 30min at 22°C. The secondary antibody Goat Anti-Rabbit IgG H&L (Alexa Fluor® 488) preadsorbed (ab150081) was incubated at 1/4000 for 30min at 22°C. Isotype control antibody (black line) Recombinant Rabbit IgG, monoclonal [EPR25A] - Isotype Control (ab172730) was used at the same concentration and conditions as the primary antibody. Unlabelled sample (blue line) was also used as a control. Acquisition of >5000 events were collected using a 50 mW Blue laser (488nm) and 525/40 bandpass filter. This antibody gave a positive signal in A-431 fixed with 80% methanol (5 min) / permeabilised with 0.1% PBS-Triton X-100 for 15 min under the same conditions.

Immunocytochemistry/ Immunofluorescence - Anti-p53 antibody [E47] (AB32509)
  • ICC/IF

Lab

Immunocytochemistry/ Immunofluorescence - Anti-p53 antibody [E47] (AB32509)

ab32509 staining mutant p53 in A431 cells. The cells were fixed with 100% methanol (5 min), permeabilized with 0.1% PBS-Triton X-100 for 5 minutes and then blocked with 1% BSA/10% normal goat serum/0.3M glycine in 0.1%PBS-Tween for 1h. The cells were then incubated overnight at 4°C with ab32509 at 0.2µg/ml and ab7291, Mouse monoclonal [DM1A] to alpha Tubulin - Loading Control. Cells were then incubated with ab150081, Goat polyclonal Secondary Antibody to Rabbit IgG - H&L (Alexa Fluor® 488), pre-adsorbed at 1/1000 dilution (shown in green) and ab150120, Goat polyclonal Secondary Antibody to Mouse IgG - H&L (Alexa Fluor® 594), pre-adsorbed at 1/1000 dilution (shown in pseudocolour red). Nuclear DNA was labelled with DAPI (shown in blue). Also suitable in cells fixed with 4% paraformaldehyde (10 min). Image was acquired with a high-content analyser (Operetta CLS, Perkin Elmer) and a maximum intensity projection of confocal sections is shown.

Immunocytochemistry/ Immunofluorescence - Anti-p53 antibody [E47] (AB32509)
  • ICC/IF

Lab

Immunocytochemistry/ Immunofluorescence - Anti-p53 antibody [E47] (AB32509)

ab32509 staining wild-type p53 inMCF7 cells (a low expressing cell line). The cells were fixed with 100% methanol (5 min), permeabilized with 0.1% PBS-Triton X-100 for 5 minutes and then blocked with 1% BSA/10% normal goat serum/0.3M glycine in 0.1%PBS-Tween for 1h. The cells were then incubated overnight at 4°C with ab32509 at 0.2µg/ml and ab7291, Mouse monoclonal [DM1A] to alpha Tubulin - Loading Control. Cells were then incubated with ab150081, Goat polyclonal Secondary Antibody to Rabbit IgG - H&L (Alexa Fluor® 488), pre-adsorbed at 1/1000 dilution (shown in green) and ab150120, Goat polyclonal Secondary Antibody to Mouse IgG - H&L (Alexa Fluor® 594), pre-adsorbed at 1/1000 dilution (shown in pseudocolour red). Nuclear DNA was labelled with DAPI (shown in blue). Also suitable in cells fixed with 4% paraformaldehyde (10 min). Image was acquired with a high-content analyser (Operetta CLS, Perkin Elmer) and a maximum intensity projection of confocal sections is shown.

Immunocytochemistry/ Immunofluorescence - Anti-p53 antibody [E47] (AB32509)
  • ICC/IF

Lab

Immunocytochemistry/ Immunofluorescence - Anti-p53 antibody [E47] (AB32509)

ab32509 staining wild-type p53 in Hek293 cells (a high expressing cell line). The cells were fixed with 100% methanol (5 min), permeabilized with 0.1% PBS-Triton X-100 for 5 minutes and then blocked with 1% BSA/10% normal goat serum/0.3M glycine in 0.1%PBS-Tween for 1h. The cells were then incubated overnight at 4°C with ab32509 at 0.2µg/ml and ab7291, Mouse monoclonal [DM1A] to alpha Tubulin - Loading Control. Cells were then incubated with ab150081, Goat polyclonal Secondary Antibody to Rabbit IgG - H&L (Alexa Fluor® 488), pre-adsorbed at 1/1000 dilution (shown in green) and ab150120, Goat polyclonal Secondary Antibody to Mouse IgG - H&L (Alexa Fluor® 594), pre-adsorbed at 1/1000 dilution (shown in pseudocolour red). Nuclear DNA was labelled with DAPI (shown in blue). Also suitable in cells fixed with 4% paraformaldehyde (10 min). Image was acquired with a high-content analyser (Operetta CLS, Perkin Elmer) and a maximum intensity projection of confocal sections is shown.

Western blot - Anti-p53 antibody [E47] (AB32509)
  • WB

Unknown

Western blot - Anti-p53 antibody [E47] (AB32509)

Blocking/Diluting buffer and concentration : 5% NFDM/TBST

Exposure time : 180 seconds

Lane 1-3 : Wildtype p53 cell lines

Lane 4-5 : Mutant p53 cell lines

Observed MW : 50kDa, 39kDa

All lanes:

Western blot - Anti-p53 antibody [E47] (ab32509) at 1/200 dilution

Lane 1:

A549 (Human lung carcinoma epithelial cell), Whole cell lysate at 20 µg

Lane 2:

HepG2 (Human hepatocellular carcinoma epithelial cell), Whole cell lysate at 20 µg

Lane 3:

MCF-7 (Human breast adenocarcinoma epithelial cell), Whole cell lysate at 20 µg

Lane 4:

T-47D (Human ductal breast epithelial tumor epithelial cell), Whole cell lysate at 20 µg

Lane 5:

A431 (Human epidermoid carcinoma epithelial cell), Whole cell lysate at 20 µg

Secondary

All lanes:

Western blot - Goat Anti-Rabbit IgG H&L (HRP) (<a href='/en-us/products/secondary-antibodies/goat-rabbit-igg-h-l-hrp-ab97051'>ab97051</a>) at 1/20000 dilution

Predicted band size: 43 kDa

false

Western blot - Anti-p53 antibody [E47] (AB32509)
  • WB

Lab

Western blot - Anti-p53 antibody [E47] (AB32509)

False colour image of Western blot : Anti-p53 antibody [E47] staining at 1/1000 dilution, shown in green; Mouse anti-GAPDH antibody [6C5] (ab8245) loading control staining at 1/20000 dilution, shown in red. In Western blot, ab32509 was shown to bind specifically to p53. A band was observed at 50 kDa in wild-type HAP1 cell lysate with no signal observed at this size in tp53 knockout cell line. To generate this image, wild-type and tp53 knockout HAP1 cell lysates were analysed. First, samples were run on an SDS-PAGE gel then transferred onto a nitrocellulose membrane. Membranes were blocked in 3 % milk in TBS-0.1 % Tween® 20 (TBS-T) before incubation with primary antibodies overnight at 4 °C. Blots were washed four times in TBS-T, incubated with secondary antibodies for 1 h at room temperature, washed again four times then imaged. Secondary antibodies used were Goat anti-Rabbit IgG H&L (IRDye® 800CW) preabsorbed (ab216773) and Goat anti-Mouse IgG H&L (IRDye® 680RD) preabsorbed (ab216776) at 1/20000 dilution.

All lanes:

Western blot - Anti-p53 antibody [E47] (ab32509) at 1/1000 dilution

Lane 1:

Saos-2 cell lysate at 20 µg

Lane 2:

A431 cell lysate at 20 µg

Lane 3:

Wild-type HAP1 cell lysate at 20 µg

Lane 4:

TP53 knockout HAP1 cell lysate at 20 µg

Lane 5:

MCF7 cell lysate at 20 µg

Lane 6:

HEK-293T cell lysate at 20 µg

Secondary

Lanes 1 - 6:

Western blot - Goat anti-Mouse IgG H&L (IRDye® 680RD) preadsorbed (<a href='/en-us/products/secondary-antibodies/goat-mouse-igg-h-l-irdye-680rd-preadsorbed-ab216776'>ab216776</a>) at 1/20000 dilution

Lanes 1 - 6:

Western blot - Goat anti-Rabbit IgG H&L (IRDye® 800CW) preadsorbed (<a href='/en-us/products/secondary-antibodies/goat-rabbit-igg-h-l-irdye-800cw-preadsorbed-ab216773'>ab216773</a>) at 1/20000 dilution

Predicted band size: 43 kDa

Observed band size: 50 kDa

false

Immunoprecipitation - Anti-p53 antibody [E47] (AB32509)
  • IP

Lab

Immunoprecipitation - Anti-p53 antibody [E47] (AB32509)

Purified ab32509 at 1/50 dilution (2μg) immunoprecipitating p53 in HEK-293 whole cell lysate.
Lane 1 (input) : HEK-293 (Human embryonic kidney epithelial cell) whole cell lysate 10μg
Lane 2 (+) : ab32509 + HEK-293 whole cell lysate.
Lane 3 (-) : Rabbit monoclonal IgG (ab172730) instead of ab32509 in HEK-293 whole cell lysate.
VeriBlot for IP Detection Reagent (HRP) (ab131366) (1/1000 dilution) was used for Western blotting.
Blocking Buffer and concentration : 5% NFDM/TBST.
Diluting buffer and concentration : 5% NFDM/TBST.
Observed band size : 53 kDa

All lanes:

Immunoprecipitation - Anti-p53 antibody [E47] (ab32509)

Predicted band size: 43 kDa

false

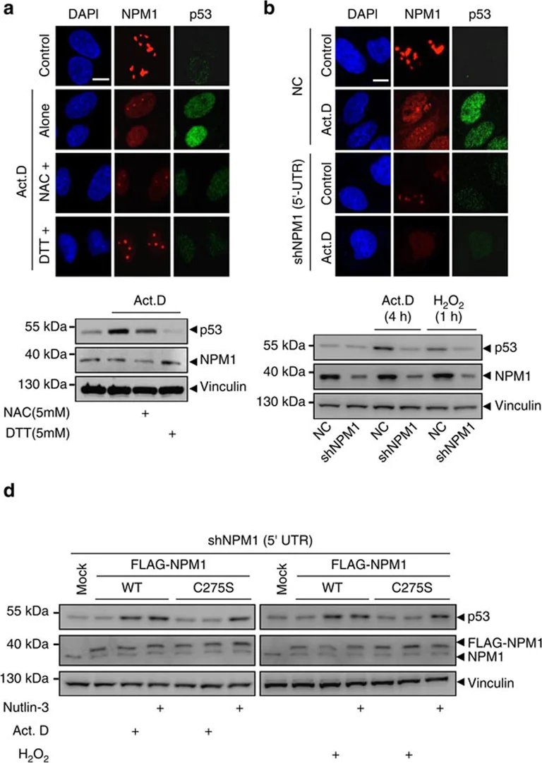
Western blot - Anti-p53 antibody [E47] (AB32509)
  • WB

CiteAb

Western blot - Anti-p53 antibody [E47] (AB32509)

p53 western blot using anti-p53 antibody [E47] ab32509. Publication image and figure legend from Yang, K., Wang, M., et al., 2016, Nat Commun, PubMed 27886181.

ab32509 was used in this publication in western blot. This may not be the same as the application(s) guaranteed by Abcam. For a full list of applications guaranteed by Abcam for ab32509 please see the product overview.

NPM1 translocation is required for p53 activation.(a,b) Endogenous NPM1 translocation and p53 accumulation cells under nucleolar stress with western blot validation. (a) Cells were pretreated with NAC (5 mM) for 4 h before Act.D (8 nM) treatment, or co-treated with DTT (5 mM) and Act.D (8 nM). Nucleolar line profiles of NPM1 in representative cells are shown in Supplementary Fig. 6a. (b) NPM1 was silenced with shRNA (shNPM1 5'-untranslated region (UTR)) before Act.D treatment or H2O2 (500 μM). (c) Immunofluorescence for endogenous p53 accumulation in NPM1-silenced cells (shNPM1 5'-UTR) that added back FLAG-NPM1 WT, C275S or WW mutants before treatment with Act.D. Line profiles of p53 in representative cells were showed in Supplementary Fig. 6c. (d) p53 accumulation after Act.D (left) or H2O2 (right) treatment in NPM1-silenced cells which were added back WT or C275S mutant of NPM1. Endogenous and exogenous FLAG-NPM1 were blotted with anti-NPM1 antibody. Nutlin-3 was used as a positive control for p53 inducer. (e) Relative mRNA level changes of p21 and PUMA after Act.D treatments in NPM1-silenced cells (shNPM1 5'-UTR) that added back FLAG-NPM1 WT or C275S mutants. Unpaired t-test. *p<0.05 or showed above the bars. Data were represented as mean±s.e.m. Scale bars, 10 μm. WW, W280/290A. All of the experiments were performed in U2OS cells.

false

Key facts

Host species

Rabbit

Clonality

Monoclonal

Clone number

E47

Isotype

IgG

Carrier free

No

Reacts with

Human

Applications

Flow Cyt (Intra), IHC-P, WB, ICC/IF, IP

applications

Immunogen

The exact immunogen used to generate this antibody is proprietary information.

Specificity

This antibody clone recognises both wild-type and mutant forms of p53 in human samples. It is not designed to recognise any specific p53 mutation.

We have confirmed this experimentally and have been able to detect p53 in different cell lines using various applications and treatments.

Important note: p53 expression levels vary greatly between cell lines. It has been reported that p53 mutations render the protein more stable, hence mutated cell lines often express higher levels of the p53 protein compared to wild-type cell lines. For low expressing wild type cell lines, p53 expression can be increased with cell treatments such as camptothecin or irinotecan.

Reactivity data

{ "title": "Reactivity Data", "filters": { "stats": ["", "Species", "Dilution Info", "Notes"], "tabs": { "all-applications": {"fullname" : "All Applications", "shortname": "All Applications"}, "IP" : {"fullname" : "Immunoprecipitation", "shortname":"IP"}, "WB" : {"fullname" : "Western blot", "shortname":"WB"}, "ICCIF" : {"fullname" : "Immunocytochemistry/ Immunofluorescence", "shortname":"ICC/IF"}, "FlowCytIntra" : {"fullname" : "Flow Cytometry (Intracellular)", "shortname":"Flow Cyt (Intra)"}, "IHCP" : {"fullname" : "Immunohistochemistry (Formalin/PFA-fixed paraffin-embedded sections)", "shortname":"IHC-P"} }, "product-promise": { "all": "all", "testedAndGuaranteed": "tested", "guaranteed": "expected", "predicted": "predicted", "notRecommended": "not-recommended" } }, "values": { "Human": { "IP-species-checked": "testedAndGuaranteed", "IP-species-dilution-info": "1/50", "IP-species-notes": "<p></p>", "WB-species-checked": "testedAndGuaranteed", "WB-species-dilution-info": "1/1000 - 1/10000", "WB-species-notes": "<p></p>", "ICCIF-species-checked": "testedAndGuaranteed", "ICCIF-species-dilution-info": "1/100 - 1/250", "ICCIF-species-notes": "<p></p>", "FlowCytIntra-species-checked": "testedAndGuaranteed", "FlowCytIntra-species-dilution-info": "1/100", "FlowCytIntra-species-notes": "<p><a href='/en-us/products/primary-antibodies/rabbit-igg-monoclonal-epr25a-isotype-control-ab172730'>ab172730</a> - Rabbit monoclonal IgG, is suitable for use as an isotype control with this antibody.</p>", "IHCP-species-checked": "testedAndGuaranteed", "IHCP-species-dilution-info": "1/2000", "IHCP-species-notes": "<p></p>" } } }

Product details

Species reactivity
Mouse, Rat: We have preliminary internal testing data to indicate this antibody may not react with these species.
Please contact us for more information.

Patented technology
Our RabMAb® technology is a patented hybridoma-based technology for making rabbit monoclonal antibodies. For details on our patents, please refer to RabMAb® patents.

What are the advantages of a recombinant monoclonal antibody?
This product is a recombinant monoclonal antibody, which offers several advantages including:

  • - High batch-to-batch consistency and reproducibility
  • - Improved sensitivity and specificity
  • - Long-term security of supply
  • - Animal-free batch production

For more information, read more on recombinant antibodies.

Properties and storage information

Form
Liquid
Purification technique
Affinity purification Protein A
Storage buffer
pH: 7.2 - 7.4 Preservative: 0.01% Sodium azide Constituents: PBS, 50% Glycerol (glycerin, glycerine), 0.05% BSA
Shipped at conditions
Blue Ice
Appropriate short-term storage duration
1-2 weeks
Appropriate short-term storage conditions
+4°C
Appropriate long-term storage conditions
-20°C
Aliquoting information
Upon delivery aliquot
Storage information
Avoid freeze / thaw cycle

Supplementary information

This supplementary information is collated from multiple sources and compiled automatically.

The protein p53 also known as TP53 or tumor protein p53 has a molecular weight of approximately 53 kDa. It acts as a transcription factor and plays a major role in cell cycle regulation apoptosis and maintaining genomic stability. This protein mainly expresses in the nucleus of cells and acts as a critical regulator of cellular responses to stress signals including DNA damage. Scientists commonly use p53 antibodies in various assays like western blot and p53 immunofluorescence to detect and study its expression and functional status in cells.
Biological function summary

P53 functions to control cell division and apoptosis serving as a guardian of the genome by preventing mutation accumulation. It does not form part of a larger complex under normal conditions but interacts with various other molecules to execute its functions. p53 can activate or suppress the transcription of numerous genes involved in cell cycle arrest DNA repair and programmed cell death allowing it to halt the progression of damaged cells and trigger repair mechanisms or eliminate those that cannot be repaired.

Pathways

P53 acts within several key biological pathways such as the p53 signaling pathway and the intrinsic apoptotic pathway. Its activity involves interaction with proteins like MDM2 which regulates p53 through ubiquitin-mediated degradation and ATM kinase which phosphorylates p53 in response to DNA damage. These interactions ensure appropriate cellular responses during stress and are vital for maintaining homeostasis.

P53 mutation or inactivation is often associated with the development of cancer given its role in controlling cell division and preventing tumor formation. Specifically its dysfunction has been linked to cancers such as breast cancer and lung cancer. Additionally p53 can interact with other mutant proteins like Ras compounding mutations that contribute to tumor progression and aggressive cancer phenotypes. Understanding these interactions and the status of p53 can be important in developing targeted cancer therapies.

Product protocols

For this product, it's our understanding that no specific protocols are required. You can visit:

Target data

Multifunctional transcription factor that induces cell cycle arrest, DNA repair or apoptosis upon binding to its target DNA sequence (PubMed : 11025664, PubMed : 12524540, PubMed : 12810724, PubMed : 15186775, PubMed : 15340061, PubMed : 17317671, PubMed : 17349958, PubMed : 19556538, PubMed : 20673990, PubMed : 20959462, PubMed : 22726440, PubMed : 24051492, PubMed : 24652652, PubMed : 35618207, PubMed : 36634798, PubMed : 38653238, PubMed : 9840937). Acts as a tumor suppressor in many tumor types; induces growth arrest or apoptosis depending on the physiological circumstances and cell type (PubMed : 11025664, PubMed : 12524540, PubMed : 12810724, PubMed : 15186775, PubMed : 15340061, PubMed : 17189187, PubMed : 17317671, PubMed : 17349958, PubMed : 19556538, PubMed : 20673990, PubMed : 20959462, PubMed : 22726440, PubMed : 24051492, PubMed : 24652652, PubMed : 38653238, PubMed : 9840937). Negatively regulates cell division by controlling expression of a set of genes required for this process (PubMed : 11025664, PubMed : 12524540, PubMed : 12810724, PubMed : 15186775, PubMed : 15340061, PubMed : 17317671, PubMed : 17349958, PubMed : 19556538, PubMed : 20673990, PubMed : 20959462, PubMed : 22726440, PubMed : 24051492, PubMed : 24652652, PubMed : 9840937). One of the activated genes is an inhibitor of cyclin-dependent kinases. Apoptosis induction seems to be mediated either by stimulation of BAX and FAS antigen expression, or by repression of Bcl-2 expression (PubMed : 12524540, PubMed : 17189187). Its pro-apoptotic activity is activated via its interaction with PPP1R13B/ASPP1 or TP53BP2/ASPP2 (PubMed : 12524540). However, this activity is inhibited when the interaction with PPP1R13B/ASPP1 or TP53BP2/ASPP2 is displaced by PPP1R13L/iASPP (PubMed : 12524540). In cooperation with mitochondrial PPIF is involved in activating oxidative stress-induced necrosis; the function is largely independent of transcription. Induces the transcription of long intergenic non-coding RNA p21 (lincRNA-p21) and lincRNA-Mkln1. LincRNA-p21 participates in TP53-dependent transcriptional repression leading to apoptosis and seems to have an effect on cell-cycle regulation. Implicated in Notch signaling cross-over. Prevents CDK7 kinase activity when associated to CAK complex in response to DNA damage, thus stopping cell cycle progression. Isoform 2 enhances the transactivation activity of isoform 1 from some but not all TP53-inducible promoters. Isoform 4 suppresses transactivation activity and impairs growth suppression mediated by isoform 1. Isoform 7 inhibits isoform 1-mediated apoptosis. Regulates the circadian clock by repressing CLOCK-BMAL1-mediated transcriptional activation of PER2 (PubMed : 24051492).
See full target information TP53

Publications (16)

Recent publications for all applications. Explore the full list and refine your search

Oncology letters 30:522 PubMed40995140

2025

ARHGEF6 downregulation as a key mediator of tumor cell apoptosis in breast cancer.

Applications

Unspecified application

Species

Unspecified reactive species

Yang Zhang,Dandan Zhou,Xuting Shen,Qinqin Song,Liuyang Yang,Wenbo Li,Xinxin Zhao,Wenxiang Fang,Bian Liu,Chencen Xing,Jisong Liu,Haoshu Fang,Qilun Zhang

In vitro cellular & developmental biology. Animal 61:1110-1119 PubMed40802134

2025

ALDH4A1 knockdown inhibits in vitro atherosclerosis model by modulating Trim28-mediated P53 ubiquitination to suppress ferroptosis of vascular endothelial cells.

Applications

Unspecified application

Species

Unspecified reactive species

Xiaoyong Xu,Xiaorong Xu,Wangzhuo Zhou,Wenwen Wang,Bin Lin,Xumei Huang,Shan Chen

Journal of nanobiotechnology 23:536 PubMed40696430

2025

Quercetin combined with shTERT induces apoptosis in ovarian cancer via the P53/Bax pathway, and RGD-MSN/QR/shTERT nanoparticles enhance the therapeutic efficacy.

Applications

Unspecified application

Species

Unspecified reactive species

Guojie Chen,Weiwei Song,Xing Wang,Guangyao Mao,Weifeng Hu,Rongrong Dou,He Zhu,Yongkang Zhang,Xianhua Fu,Mei Lin

Cardiology research and practice 2024:1905996 PubMed39257436

2024

Inhibiting H2AX Can Ameliorate Myocardial Ischemia/Reperfusion Injury by Regulating P53/JNK Signaling Pathway.

Applications

Unspecified application

Species

Unspecified reactive species

Ziyang Yu,Yirong Teng,Hongbo Yang,Yudi Wang,Xichen Li,Lei Feng,Wenbo Xu,Yinglu Hao,Yanping Li

Oncology letters 22:588 PubMed34149899

2021

Combined effects of low-dose gambogic acid and NaI in drug-resistant non-small cell lung cancer cells.

Applications

Unspecified application

Species

Unspecified reactive species

Jing Huang,Xiao-Li Zhu,Ying Wu,Shu-Hua Han,Yan Xie,Su-Fang Yang,Ming Ding,Ping-Sheng Chen

International journal of molecular sciences 22: PubMed34068442

2021

Role of Glycated High Mobility Group Box-1 in Gastric Cancer.

Applications

Unspecified application

Species

Unspecified reactive species

Shingo Kishi,Yukiko Nishiguchi,Kanya Honoki,Shiori Mori,Rina Fujiwara-Tani,Takamitsu Sasaki,Kiyomu Fujii,Isao Kawahara,Kei Goto,Chie Nakashima,Akira Kido,Yasuhito Tanaka,Yi Luo,Hiroki Kuniyasu

Experimental and therapeutic medicine 21:374 PubMed33732347

2021

Piperine protects against myocardial ischemia/reperfusion injury by activating the PI3K/AKT signaling pathway.

Applications

Unspecified application

Species

Unspecified reactive species

Yun-Peng Li,Zhen Chen,Yu-Hua Cai

Journal of cellular physiology 235:8768-8778 PubMed32633026

2020

A Slug-dependent mechanism is responsible for tumor suppression of p53-stabilizing compound CP-31398 in p53-mutated endometrial carcinoma.

Applications

Unspecified application

Species

Unspecified reactive species

Ling Liu,Zhi-Ying Yu,Tan-Tan Yu,Shi-Hong Cui,Li Yang,Hui Chang,Yan-Hong Qu,Xiao-Feng Lv,Xiao-An Zhang,Chen-Chen Ren

International immunopharmacology 73:98-107 PubMed31082728

2019

Nobiletin ameliorates myocardial ischemia and reperfusion injury by attenuating endoplasmic reticulum stress-associated apoptosis through regulation of the PI3K/AKT signal pathway.

Applications

Unspecified application

Species

Unspecified reactive species

Bo-Fang Zhang,Hong Jiang,Jing Chen,Xin Guo,Yue Li,Qi Hu,Shuo Yang

BioMed research international 2019:1613820 PubMed30937308

2019

Leukemia Inhibitory Factor Receptor Is Involved in Apoptosis in Rat Astrocytes Exposed to Oxygen-Glucose Deprivation.

Applications

Unspecified application

Species

Unspecified reactive species

Liang Huo,Yuying Fan,Hua Wang
View all publications

Product promise

We are committed to supporting your work with high-quality reagents, and we're here for you every step of the way. In the unlikely event that one of our products does not perform as expected, you're protected by our Product Promise.
For full details, please see our Terms & Conditions

Please note: All products are 'FOR RESEARCH USE ONLY. NOT FOR USE IN DIAGNOSTIC OR THERAPEUTIC PROCEDURES'.

For licensing inquiries, please contact partnerships@abcam.com