JavaScript is disabled in your browser. Please enable JavaScript to view this website.
AB308610

Anti-p53 antibody [G59-12] - BSA and Azide free

Be the first to review this product! Submit a review

|

(0 Publication)

Knockout Tested Mouse Recombinant Monoclonal P53 antibody. Carrier free. Suitable for WB, IHC-P, Flow Cyt (Intra), IP and reacts with Human samples.

View Alternative Names

P53, TP53, Cellular tumor antigen p53, Antigen NY-CO-13, Phosphoprotein p53, Tumor suppressor p53

7 Images
Immunohistochemistry (Formalin/PFA-fixed paraffin-embedded sections) - Anti-p53 antibody [G59-12] - BSA and Azide free (AB308610)
  • IHC-P

Supplier Data

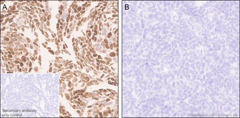
Immunohistochemistry (Formalin/PFA-fixed paraffin-embedded sections) - Anti-p53 antibody [G59-12] - BSA and Azide free (AB308610)

This data was produced using ab308609, the same antibody clone but in a different buffer. Immunohistochemical analysis of paraffin-embedded human endometrial cancer tissue labeling p53 with ab308609 at 1/100 (10.28 ug/ml) followed by a ready to use LeicaDS9800 (Bond™ Polymer Refine Detection). Mainly nuclear staining on human endometrial cancer. The section was incubated with ab308609 for 30 mins at room temperature, followed by anti-mouse IgG1 antibody (ab125913) for 8 mins during the LeicaDS9800 kit staining procedure. The immunostaining was performed on a Leica Biosystems BOND® RX instrument. Counterstained with Hematoxylin. Secondary antibody only control : Secondary antibody is a ready to use LeicaDS9800 (Bond™ Polymer Refine Detection). Heat mediated antigen retrieval was performed with Tris-EDTA buffer (pH 9.0, Epitope Retrieval Solution2) for 20 mins.

Immunohistochemistry (Formalin/PFA-fixed paraffin-embedded sections) - Anti-p53 antibody [G59-12] - BSA and Azide free (AB308610)
  • IHC-P

Supplier Data

Immunohistochemistry (Formalin/PFA-fixed paraffin-embedded sections) - Anti-p53 antibody [G59-12] - BSA and Azide free (AB308610)

This data was produced using ab308609, the same antibody clone but in a different buffer. Immunohistochemical analysis of paraffin-embedded human cardiac muscle tissue labeling p53 with ab308609 at 1/100 (10.28 ug/ml) followed by a ready to use LeicaDS9800 (Bond™ Polymer Refine Detection). Negative control : No staining on human cardiac muscle. The section was incubated with ab308609 for 30 mins at room temperature, followed by anti-mouse IgG1 antibody (ab125913) for 8 mins during the LeicaDS9800 kit staining procedure. The immunostaining was performed on a Leica Biosystems BOND® RX instrument. Counterstained with Hematoxylin. Heat mediated antigen retrieval was performed with Tris-EDTA buffer (pH 9.0, Epitope Retrieval Solution2) for 20 mins.

Immunohistochemistry (Formalin/PFA-fixed paraffin-embedded sections) - Anti-p53 antibody [G59-12] - BSA and Azide free (AB308610)
  • IHC-P

Supplier Data

Immunohistochemistry (Formalin/PFA-fixed paraffin-embedded sections) - Anti-p53 antibody [G59-12] - BSA and Azide free (AB308610)

This data was produced using ab308609, the same antibody clone but in a different buffer. Immunohistochemical analysis of paraffin-embedded cells labeling p53 with ab308609 at 1/100 (10.28 ug/ml) followed by a ready to use LeicaDS9800 (Bond™ Polymer Refine Detection). Mainly nuclear staining on (A) wild-type HAP1 cell pellet, no staining on (B) p53 knockout HAP1 cell pellet. The section was incubated with ab308609 for 30 mins at room temperature, followed by anti-mouse IgG1 antibody (ab125913) for 8 mins during the LeicaDS9800 kit staining procedure. The immunostaining was performed on a Leica Biosystems BOND® RX instrument. Counterstained with Hematoxylin. Secondary antibody only control : Secondary antibody is a ready to use LeicaDS9800 (Bond™ Polymer Refine Detection). Heat mediated antigen retrieval was performed with Tris-EDTA buffer (pH 9.0, Epitope Retrieval Solution2) for 20 mins.

Flow Cytometry (Intracellular) - Anti-p53 antibody [G59-12] - BSA and Azide free (AB308610)
  • Flow Cyt (Intra)

Supplier Data

Flow Cytometry (Intracellular) - Anti-p53 antibody [G59-12] - BSA and Azide free (AB308610)

This data was produced using ab308609, the same antibody clone but in a different buffer. Flow cytometric analysis of 4% paraformaldehyde fixed 90% methanol permeabilized p53 KO HAP1 (human p53 knockout chronic myelogenous leukemia near-haploid cell, Left) / Parental HAP1 (Right) cells labelling p53 with ab308609 at 1/1000 dilution (0.1 ug) (Red) compared with a Mouse monoclonal IgG (Black) isotype control and an unlabelled control (cells without incubation with primary antibody and secondary antibody) (Blue). A Goat Anti-Mouse IgG (Alexa Fluor® 647, ab150119) at 1/5000 dilution was used as the secondary antibody.

Immunoprecipitation - Anti-p53 antibody [G59-12] - BSA and Azide free (AB308610)
  • IP

Supplier Data

Immunoprecipitation - Anti-p53 antibody [G59-12] - BSA and Azide free (AB308610)

This data was produced using ab308609, the same antibody clone but in a different buffer. p53 was immunoprecipitated from 0.35 mg HEK-293 (human embryonic kidney epithelial cell) whole cell lysate with ab308609 at 1/30 dilution (2ug in 0.35mg lysates). Western blot was performed on the immunoprecipitate using ab308609 at 1/1000 dilution. mouse IgG for IP (HRP) (ab131368) was used at 1/5000 dilution. Lane 1 : HEK-293 whole cell lysate Lane 2 : ab308609 IP in HEK-293 whole cell lysate Lane 3 : Mouse IgG1 monoclonal isotype control (ab18443) instead of ab308609 in HEK-293 whole cell lysate Blocking and dilution buffer and concentration : 5% NFDM/TBST. Exposure time : 23 seconds. The binding pattern observed is consistent with what has been described in the literature (PMID : 31045216; PMID : 16131611).

All lanes:

Immunoprecipitation - Anti-p53 antibody [G59-12] (<a href='/en-us/products/primary-antibodies/p53-antibody-g59-12-ab308609'>ab308609</a>) at 1/1000 dilution

All lanes:

HEK-293 whole cell lysate at 10 µg

Secondary

All lanes:

Immunoprecipitation - Anti-mouse IgG for IP (HRP) (<a href='/en-us/products/secondary-antibodies/mouse-igg-for-ip-hrp-ab131368'>ab131368</a>) at 1/5000 dilution

false

Western blot - Anti-p53 antibody [G59-12] - BSA and Azide free (AB308610)
  • WB

Supplier Data

Western blot - Anti-p53 antibody [G59-12] - BSA and Azide free (AB308610)

This data was produced using ab308609, the same antibody clone but in a different buffer. Blocking and diluting buffer and concentration : 5% NFDM/TBST. Negative control : Saos-2 (PMID : 17202229; PMID : 9786925). In Western blot, anti- Vinculin antibody (ab129002) loading control staining at 1/10000 dilution. Exposure time : 180 seconds.

All lanes:

Western blot - Anti-p53 antibody [G59-12] (<a href='/en-us/products/primary-antibodies/p53-antibody-g59-12-ab308609'>ab308609</a>) at 1/1000 dilution

Lane 1:

HEK-293 (human embryonic kidney epithelial cell) whole cell lysate at 20 µg

Lane 2:

Saos-2 (human osteosarcoma epithelial cell) whole cell lysate at 20 µg

Secondary

All lanes:

Peroxidase-Conjugated Goat anti-Mouse IgG (H+L) at 1/10000 dilution

Observed band size: 53 kDa

false

Exposure time: 180s

Western blot - Anti-p53 antibody [G59-12] - BSA and Azide free (AB308610)
  • WB

Supplier Data

Western blot - Anti-p53 antibody [G59-12] - BSA and Azide free (AB308610)

This data was produced using ab308609, the same antibody clone but in a different buffer. Blocking and diluting buffer and concentration : Intercept® (TBS) Blocking Buffer diluted with an equal volume of TBS. Lysates at 20 µg per lane. The samples were run on a Bis-Tris gel under reducing conditions. Western blot : Anti-p53 antibody (ab308609) staining at 1/1000 dilution, shown in green; Mouse anti-GAPDH antibody (ab181602) loading control staining at 1/2000 dilution, shown in red. In Western blot, ab308609 was shown to bind specifically to p53. Target of interest was observed at 53 kDa in wild-type HAP1 cell lysates (lane 1) with no signal observed at this size in p53 knockout cell lysates (lane 2). To generate this image, samples were first run on an SDS-PAGE gel then transferred onto an immobilon-FL PVDF membrane.  Membranes were blocked in a fluorescent western blot (TBS-based) blocking solution before incubation with primary antibodies overnight at 4 °C.  Blots were washed in TBS-T, incubated with secondary antibodies Goat Anti-Mouse IgG H&L (IRDye® 800CW) and Goat Anti-Rabbit IgG H&L (IRDye® 680RD) at 1/20000 dilution for 1 h at room temperature, washed again then imaged.

All lanes:

Western blot - Anti-p53 antibody [G59-12] (<a href='/en-us/products/primary-antibodies/p53-antibody-g59-12-ab308609'>ab308609</a>) at 1/1000 dilution

Lane 1:

Wild-type HAP1 whole cell lysate at 20 µg

Lane 2:

p53 knockout HAP1 whole cell lysate at 20 µg

Secondary

All lanes:

Western blot - Goat anti-Mouse IgG H&L (IRDye® 800CW) preadsorbed (<a href='/en-us/products/secondary-antibodies/goat-mouse-igg-h-l-irdye-800cw-preadsorbed-ab216772'>ab216772</a>) at 1/20000 dilution

Observed band size: 53 kDa

false

Key facts

Host species

Mouse

Clonality

Monoclonal

Clone number

G59-12

Isotype

IgG1

Carrier free

Yes

Reacts with

Human

Applications

Flow Cyt (Intra), IHC-P, IP, WB

applications

Immunogen

The exact immunogen used to generate this antibody is proprietary information.

Reactivity data

{ "title": "Reactivity Data", "filters": { "stats": ["", "Species", "Dilution Info", "Notes"], "tabs": { "all-applications": {"fullname" : "All Applications", "shortname": "All Applications"}, "WB" : {"fullname" : "Western blot", "shortname":"WB"}, "IHCP" : {"fullname" : "Immunohistochemistry (Formalin/PFA-fixed paraffin-embedded sections)", "shortname":"IHC-P"}, "FlowCytIntra" : {"fullname" : "Flow Cytometry (Intracellular)", "shortname":"Flow Cyt (Intra)"}, "IP" : {"fullname" : "Immunoprecipitation", "shortname":"IP"} }, "product-promise": { "all": "all", "testedAndGuaranteed": "tested", "guaranteed": "expected", "predicted": "predicted", "notRecommended": "not-recommended" } }, "values": { "Human": { "WB-species-checked": "testedAndGuaranteed", "WB-species-dilution-info": "", "WB-species-notes": "<p></p>", "IHCP-species-checked": "testedAndGuaranteed", "IHCP-species-dilution-info": "", "IHCP-species-notes": "<p></p>", "FlowCytIntra-species-checked": "testedAndGuaranteed", "FlowCytIntra-species-dilution-info": "", "FlowCytIntra-species-notes": "<p></p>", "IP-species-checked": "testedAndGuaranteed", "IP-species-dilution-info": "", "IP-species-notes": "<p></p>" }, "Mouse": { "WB-species-checked": "notRecommended", "WB-species-dilution-info": "", "WB-species-notes": "<p></p>", "IHCP-species-checked": "notRecommended", "IHCP-species-dilution-info": "", "IHCP-species-notes": "", "FlowCytIntra-species-checked": "notRecommended", "FlowCytIntra-species-dilution-info": "", "FlowCytIntra-species-notes": "", "IP-species-checked": "notRecommended", "IP-species-dilution-info": "", "IP-species-notes": "" }, "Rat": { "WB-species-checked": "notRecommended", "WB-species-dilution-info": "", "WB-species-notes": "<p></p>", "IHCP-species-checked": "notRecommended", "IHCP-species-dilution-info": "", "IHCP-species-notes": "", "FlowCytIntra-species-checked": "notRecommended", "FlowCytIntra-species-dilution-info": "", "FlowCytIntra-species-notes": "", "IP-species-checked": "notRecommended", "IP-species-dilution-info": "", "IP-species-notes": "" } } }

Product details

What are the advantages of a recombinant monoclonal antibody?
This product is a recombinant monoclonal antibody, which offers several advantages including:

  • - High batch-to-batch consistency and reproducibility
  • - Improved sensitivity and specificity
  • - Long-term security of supply
  • - Animal-free batch production

For more information, read more on recombinant antibodies.

Conjugation ready
Our carrier-free antibodies are typically supplied in a PBS-only formulation, purified and free of BSA, sodium azide and glycerol. This conjugation-ready format is designed for use with fluorochromes, metal isotopes, oligonucleotides, and enzymes, which makes them ideal for antibody labelling, functional and cell-based assays, flow-based assays (e.g. mass cytometry) and Multiplex Imaging applications.

Use our conjugation kits for antibody conjugates that are ready-to-use in as little as 20 minutes with 1 minute hands-on-time and 100% antibody recovery: available for fluorescent dyes, HRP, biotin and gold.

Compatibility
This product is compatible with the Maxpar® Antibody Labeling Kit from Fluidigm, without the need for antibody preparation. Maxpar® is a trademark of Fluidigm Canada Inc.

Want a custom formulation?
This antibody clone is manufactured by Abcam. If you require a custom buffer formulation or conjugation for your experiments, please contact orders@abcam.com

Properties and storage information

Form
Liquid
Purification technique
Affinity purification Protein A
Storage buffer
pH: 7.2 - 7.4 Constituents: PBS
Shipped at conditions
Blue Ice
Appropriate short-term storage conditions
+4°C
Appropriate long-term storage conditions
+4°C

Supplementary information

This supplementary information is collated from multiple sources and compiled automatically.

The protein p53 also known as TP53 or tumor protein p53 has a molecular weight of approximately 53 kDa. It acts as a transcription factor and plays a major role in cell cycle regulation apoptosis and maintaining genomic stability. This protein mainly expresses in the nucleus of cells and acts as a critical regulator of cellular responses to stress signals including DNA damage. Scientists commonly use p53 antibodies in various assays like western blot and p53 immunofluorescence to detect and study its expression and functional status in cells.
Biological function summary

P53 functions to control cell division and apoptosis serving as a guardian of the genome by preventing mutation accumulation. It does not form part of a larger complex under normal conditions but interacts with various other molecules to execute its functions. p53 can activate or suppress the transcription of numerous genes involved in cell cycle arrest DNA repair and programmed cell death allowing it to halt the progression of damaged cells and trigger repair mechanisms or eliminate those that cannot be repaired.

Pathways

P53 acts within several key biological pathways such as the p53 signaling pathway and the intrinsic apoptotic pathway. Its activity involves interaction with proteins like MDM2 which regulates p53 through ubiquitin-mediated degradation and ATM kinase which phosphorylates p53 in response to DNA damage. These interactions ensure appropriate cellular responses during stress and are vital for maintaining homeostasis.

P53 mutation or inactivation is often associated with the development of cancer given its role in controlling cell division and preventing tumor formation. Specifically its dysfunction has been linked to cancers such as breast cancer and lung cancer. Additionally p53 can interact with other mutant proteins like Ras compounding mutations that contribute to tumor progression and aggressive cancer phenotypes. Understanding these interactions and the status of p53 can be important in developing targeted cancer therapies.

Product protocols

For this product, it's our understanding that no specific protocols are required. You can visit:

Target data

Multifunctional transcription factor that induces cell cycle arrest, DNA repair or apoptosis upon binding to its target DNA sequence (PubMed : 11025664, PubMed : 12524540, PubMed : 12810724, PubMed : 15186775, PubMed : 15340061, PubMed : 17317671, PubMed : 17349958, PubMed : 19556538, PubMed : 20673990, PubMed : 20959462, PubMed : 22726440, PubMed : 24051492, PubMed : 24652652, PubMed : 35618207, PubMed : 36634798, PubMed : 38653238, PubMed : 9840937). Acts as a tumor suppressor in many tumor types; induces growth arrest or apoptosis depending on the physiological circumstances and cell type (PubMed : 11025664, PubMed : 12524540, PubMed : 12810724, PubMed : 15186775, PubMed : 15340061, PubMed : 17189187, PubMed : 17317671, PubMed : 17349958, PubMed : 19556538, PubMed : 20673990, PubMed : 20959462, PubMed : 22726440, PubMed : 24051492, PubMed : 24652652, PubMed : 38653238, PubMed : 9840937). Negatively regulates cell division by controlling expression of a set of genes required for this process (PubMed : 11025664, PubMed : 12524540, PubMed : 12810724, PubMed : 15186775, PubMed : 15340061, PubMed : 17317671, PubMed : 17349958, PubMed : 19556538, PubMed : 20673990, PubMed : 20959462, PubMed : 22726440, PubMed : 24051492, PubMed : 24652652, PubMed : 9840937). One of the activated genes is an inhibitor of cyclin-dependent kinases. Apoptosis induction seems to be mediated either by stimulation of BAX and FAS antigen expression, or by repression of Bcl-2 expression (PubMed : 12524540, PubMed : 17189187). Its pro-apoptotic activity is activated via its interaction with PPP1R13B/ASPP1 or TP53BP2/ASPP2 (PubMed : 12524540). However, this activity is inhibited when the interaction with PPP1R13B/ASPP1 or TP53BP2/ASPP2 is displaced by PPP1R13L/iASPP (PubMed : 12524540). In cooperation with mitochondrial PPIF is involved in activating oxidative stress-induced necrosis; the function is largely independent of transcription. Induces the transcription of long intergenic non-coding RNA p21 (lincRNA-p21) and lincRNA-Mkln1. LincRNA-p21 participates in TP53-dependent transcriptional repression leading to apoptosis and seems to have an effect on cell-cycle regulation. Implicated in Notch signaling cross-over. Prevents CDK7 kinase activity when associated to CAK complex in response to DNA damage, thus stopping cell cycle progression. Isoform 2 enhances the transactivation activity of isoform 1 from some but not all TP53-inducible promoters. Isoform 4 suppresses transactivation activity and impairs growth suppression mediated by isoform 1. Isoform 7 inhibits isoform 1-mediated apoptosis. Regulates the circadian clock by repressing CLOCK-BMAL1-mediated transcriptional activation of PER2 (PubMed : 24051492).
See full target information TP53

Product promise

We are committed to supporting your work with high-quality reagents, and we're here for you every step of the way. In the unlikely event that one of our products does not perform as expected, you're protected by our Product Promise.
For full details, please see our Terms & Conditions

Please note: All products are 'FOR RESEARCH USE ONLY. NOT FOR USE IN DIAGNOSTIC OR THERAPEUTIC PROCEDURES'.

For licensing inquiries, please contact partnerships@abcam.com