JavaScript is disabled in your browser. Please enable JavaScript to view this website.
AB90363

Anti-p53 antibody [pAb122]

4

(1 Review)

|

(26 Publications)

Mouse Monoclonal P53 antibody. Suitable for WB, ICC/IF and reacts with Human, Mouse, Rat samples. Cited in 26 publications. Immunogen corresponding to Cell preparation containing Tp53 protein.

View Alternative Names

P53, Trp53, Tp53, Cellular tumor antigen p53, Tumor suppressor p53

3 Images
Immunocytochemistry/ Immunofluorescence - Anti-p53 antibody [pAb122] (AB90363)
  • ICC/IF

Lab

Immunocytochemistry/ Immunofluorescence - Anti-p53 antibody [pAb122] (AB90363)

ab90363 staining p53 in wild-type Hap1 cells (top panel) and p53 knockout Hap1 cells (bottom panel). The cells were fixed with 100% methanol (5 min), permeabilized with 0.1% Triton X-100 for 5 minutes and then blocked with 1% BSA/10% normal goat serum/0.3M glycine in 0.1% PBS-Tween for 1h. The cells were then incubated with ab90363 at 1/500 dilution and ab6046 (Rabbit polyclonal to beta Tubulin) at 1/1000 dilution overnight at +4°C, followed by a further incubation at room temperature for 1h with a goat secondary antibody to mouse IgG (Alexa Fluor® 488) (ab150117) at 2 μg/ml (shown in green) and a goat secondary antibody to rabbit IgG (Alexa Fluor® 594) (ab150080) at 2 μg/ml (shown in pseudo color red). Nuclear DNA was labelled in blue with DAPI.

Image was taken with a high-content analysis system (Perkin Elmer, Operetta CLS™).

Western blot - Anti-p53 antibody [pAb122] (AB90363)
  • WB

AbReview56174****

Western blot - Anti-p53 antibody [pAb122] (AB90363)

Blocked with 5% milk for 1 hour at 21oC.

All lanes:

Western blot - Anti-p53 antibody [pAb122] (ab90363) at 1/2000 dilution

Lane 1:

HCT-116 cell lysate, untreated at 30 µg

Lane 2:

HCT-116 cell lysate + 10 µM CPT-11 for 24 hrs at 30 µg

Lane 3:

Negative control: HCT-116 cell lysate, untreated at 30 µg

Lane 4:

Negative control: HCT-116 cell lysate + 10 µM CPT-11 for 24 hrs at 30 µg

Secondary

All lanes:

HRP-conjugated rabbit anti-mouse polyclonal at 1/5000 dilution

Predicted band size: 43 kDa

Observed band size: 130 kDa,35 kDa,55 kDa

true

Exposure time: 5min

This image is courtesy of an Abreview by Anke Rauch.

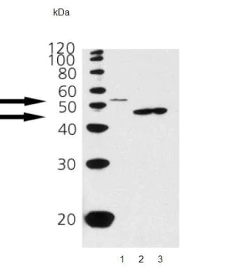
Western blot - Anti-p53 antibody [pAb122] (AB90363)
  • WB

Unknown

Western blot - Anti-p53 antibody [pAb122] (AB90363)

All lanes:

Western blot - Anti-p53 antibody [pAb122] (ab90363) at 1/250 dilution

Lane 1:

A431

Lane 2:

Rat brain tissue extract

Lane 3:

Mouse brain tissue extract

Predicted band size: 43 kDa

true

Key facts

Host species

Mouse

Clonality

Monoclonal

Clone number

pAb122

Isotype

IgG2b

Carrier free

No

Reacts with

Mouse, Rat, Human

Applications

ICC/IF, WB

applications

Immunogen

Cell preparation containing Tp53 protein. The exact immunogen used to generate this antibody is proprietary information.

P02340

Reactivity data

{ "title": "Reactivity Data", "filters": { "stats": ["", "Species", "Dilution Info", "Notes"], "tabs": { "all-applications": {"fullname" : "All Applications", "shortname": "All Applications"}, "WB" : {"fullname" : "Western blot", "shortname":"WB"}, "ICCIF" : {"fullname" : "Immunocytochemistry/ Immunofluorescence", "shortname":"ICC/IF"} }, "product-promise": { "all": "all", "testedAndGuaranteed": "tested", "guaranteed": "expected", "predicted": "predicted", "notRecommended": "not-recommended" } }, "values": { "Human": { "WB-species-checked": "testedAndGuaranteed", "WB-species-dilution-info": "1/250", "WB-species-notes": "<p></p>", "ICCIF-species-checked": "testedAndGuaranteed", "ICCIF-species-dilution-info": "1/100 - 1/500", "ICCIF-species-notes": "<p>Signal can be observed in cells fixed with either methanol or paraformaldehyde</p>" }, "Mouse": { "WB-species-checked": "testedAndGuaranteed", "WB-species-dilution-info": "1/250", "WB-species-notes": "<p></p>", "ICCIF-species-checked": "guaranteed", "ICCIF-species-dilution-info": "", "ICCIF-species-notes": "" }, "Rat": { "WB-species-checked": "testedAndGuaranteed", "WB-species-dilution-info": "1/250", "WB-species-notes": "<p></p>", "ICCIF-species-checked": "guaranteed", "ICCIF-species-dilution-info": "", "ICCIF-species-notes": "" } } }

Product details

Isotype: IgG2B, IgG1k

Properties and storage information

Form
Liquid
Purification technique
Affinity purification Protein G
Purification notes
Purified from TCS by Protein G Affinity
Storage buffer
Preservative: 0.09% Sodium azide Constituents: PBS, 50% Glycerol (glycerin, glycerine)
Shipped at conditions
Blue Ice
Appropriate short-term storage conditions
+4°C
Appropriate long-term storage conditions
-20°C

Supplementary information

This supplementary information is collated from multiple sources and compiled automatically.

The protein p53 also known as TP53 or tumor protein p53 has a molecular weight of approximately 53 kDa. It acts as a transcription factor and plays a major role in cell cycle regulation apoptosis and maintaining genomic stability. This protein mainly expresses in the nucleus of cells and acts as a critical regulator of cellular responses to stress signals including DNA damage. Scientists commonly use p53 antibodies in various assays like western blot and p53 immunofluorescence to detect and study its expression and functional status in cells.
Biological function summary

P53 functions to control cell division and apoptosis serving as a guardian of the genome by preventing mutation accumulation. It does not form part of a larger complex under normal conditions but interacts with various other molecules to execute its functions. p53 can activate or suppress the transcription of numerous genes involved in cell cycle arrest DNA repair and programmed cell death allowing it to halt the progression of damaged cells and trigger repair mechanisms or eliminate those that cannot be repaired.

Pathways

P53 acts within several key biological pathways such as the p53 signaling pathway and the intrinsic apoptotic pathway. Its activity involves interaction with proteins like MDM2 which regulates p53 through ubiquitin-mediated degradation and ATM kinase which phosphorylates p53 in response to DNA damage. These interactions ensure appropriate cellular responses during stress and are vital for maintaining homeostasis.

P53 mutation or inactivation is often associated with the development of cancer given its role in controlling cell division and preventing tumor formation. Specifically its dysfunction has been linked to cancers such as breast cancer and lung cancer. Additionally p53 can interact with other mutant proteins like Ras compounding mutations that contribute to tumor progression and aggressive cancer phenotypes. Understanding these interactions and the status of p53 can be important in developing targeted cancer therapies.

Product protocols

For this product, it's our understanding that no specific protocols are required. You can visit:

Target data

Multifunctional transcription factor that induces cell cycle arrest, DNA repair or apoptosis upon binding to its target DNA sequence (PubMed : 19556538, PubMed : 20673990, PubMed : 22726440). Acts as a tumor suppressor in many tumor types; induces growth arrest or apoptosis depending on the physiological circumstances and cell type. Negatively regulates cell division by controlling expression of a set of genes required for this process. One of the activated genes is an inhibitor of cyclin-dependent kinases. Apoptosis induction seems to be mediated either by stimulation of BAX and FAS antigen expression, or by repression of Bcl-2 expression. Its pro-apoptotic activity is activated via its interaction with PPP1R13B/ASPP1 or TP53BP2/ASPP2 (By similarity). However, this activity is inhibited when the interaction with PPP1R13B/ASPP1 or TP53BP2/ASPP2 is displaced by PPP1R13L/iASPP (By similarity). In cooperation with mitochondrial PPIF is involved in activating oxidative stress-induced necrosis; the function is largely independent of transcription. Prevents CDK7 kinase activity when associated to CAK complex in response to DNA damage, thus stopping cell cycle progression (By similarity). Induces the transcription of long intergenic non-coding RNA p21 (lincRNA-p21) and lincRNA-Mkln1. LincRNA-p21 participates in TP53-dependent transcriptional repression leading to apoptosis, but seems to have to effect on cell-cycle regulation. Regulates the circadian clock by repressing CLOCK-BMAL1-mediated transcriptional activation of PER2 (PubMed : 24051492).
See full target information Tp53

Publications (26)

Recent publications for all applications. Explore the full list and refine your search

Frontiers in immunology 16:1633163 PubMed40837585

2025

miR-210 promotes the anti-inflammatory phenotype and M2 polarization in murine macrophages.

Applications

Unspecified application

Species

Unspecified reactive species

Carmen Alexandra Neculachi,Evelyn-Gabriela Nastase-Rusu,Laudy Cherry,Catalina Iolanda Marinescu-Colan,Spyros Tastsoglou,Bogdan Paul Cosman,Alina Madalina Popa,Cristina Panciuc,Germana Zaccagnini,Sergiu Bogdan Catrina,Maya Simionescu,Fabio Martelli,Mihai Bogdan Preda,Alexandrina Burlacu

Nature communications 16:5326 PubMed40527886

2025

Nuclear deformability increases PARPi sensitivity in BRCA1-deficient cells by increasing microtubule-dependent DNA break mobility.

Applications

Unspecified application

Species

Unspecified reactive species

Elena Faustini,Angela Dello Stritto,Andrea Panza,Ylli Doksani,Francisca Lottersberger

Brain sciences 14: PubMed38248238

2024

New Insight into the Possible Roles of L-Carnitine in a Rat Model of Multiple Sclerosis.

Applications

Unspecified application

Species

Unspecified reactive species

Sally M Safwat,Moutasem Salih Aboonq,Mahmoud El Tohamy,Moaz Mojaddidi,Saeed Awad M Al-Qahtani,Madaniah Omar Zakari,Ahmed A ElGendy,Abdelaziz M Hussein

Nature communications 14:6208 PubMed37798264

2023

Acetylation-dependent coupling between G6PD activity and apoptotic signaling.

Applications

Unspecified application

Species

Unspecified reactive species

Fang Wu,Natali H Muskat,Inbar Dvilansky,Omri Koren,Anat Shahar,Roi Gazit,Natalie Elia,Eyal Arbely

Folia histochemica et cytobiologica 61:98-108 PubMed37435897

2023

Myricetin alleviates H2O2-induced senescence and apoptosis in rat nucleus pulposus-derived mesenchymal stem cells.

Applications

Unspecified application

Species

Unspecified reactive species

Tian Xie,Ruijie Pan,Wenzhuo Huang,Sheng Dong,Shizhen Wu,Yuhui Ye

Open medicine (Warsaw, Poland) 18:20220567 PubMed36852267

2023

UBE2J1 knockdown promotes cell apoptosis in endometrial cancer via regulating PI3K/AKT and MDM2/p53 signaling.

Applications

Unspecified application

Species

Unspecified reactive species

Ping Zhang,Huiping Guo,Fang Zhao,Ke Jia,Fei Yang,Xiaoli Liu

Archives of dermatological research 315:1355-1365 PubMed36585988

2023

Isotretinoin treatment upregulates the expression of p53 in the skin and sebaceous glands of patients with acne vulgaris.

Applications

Unspecified application

Species

Unspecified reactive species

Naglaa Fathi Agamia,Khalid Fawzi El Mulla,Naglaa Mohamed Alsayed,Rasha Mohamed Ghazala,Rania Elsayed Abdel El Maksoud,Iman Mohamed Abdelmeniem,Iman Mamdouh Talaat,Inass Ibrahim Zaki,Rana Mohamed Sabah,Bodo Clemens Melnik

Cells 11: PubMed36429043

2022

Depletion of R270C Mutant p53 in Osteosarcoma Attenuates Cell Growth but Does Not Prevent Invasion and Metastasis In Vivo.

Applications

Unspecified application

Species

Unspecified reactive species

Takatsune Shimizu,Eiji Sugihara,Hideyuki Takeshima,Hiroyuki Nobusue,Rui Yamaguchi,Sayaka Yamaguchi-Iwai,Yumi Fukuchi,Toshikazu Ushijima,Akihiro Muto,Hideyuki Saya

Molecules (Basel, Switzerland) 27: PubMed36431990

2022

Polysaccharide and Polysaccharide Accelerate Liver Regeneration by Enhanced Glycolysis via Activation of JAK2/STAT3/HK2 Pathway.

Applications

Unspecified application

Species

Unspecified reactive species

Xu-Dong Wen,Yao-Lei Zhang,Ling Yang,Zhen Ye,Guo-Chuan Fu,Yong-He Hu,Tao Pan,Qiao-Bo Ye

Technology in cancer research & treatment 21:15330338221119745 PubMed35971329

2022

Treatment with b-AP15 to Inhibit UCHL5 and USP14 Deubiquitinating Activity and Enhance p27 and Cyclin E1 for Tumors with Deficiency.

Applications

Unspecified application

Species

Unspecified reactive species

Zong-Yuan Jiang,Jiang Hong,Ju-Hua Zhang,Xiao-Feng Wang,Yu-Shui Ma,Zhang-Xia Xiong,Hao-Ran Sun,Cong Cheng,Bang-Zhu Xie,Ji-Bin Liu,Yang-Gang Ouyang,Da Fu
View all publications

Product promise

We are committed to supporting your work with high-quality reagents, and we're here for you every step of the way. In the unlikely event that one of our products does not perform as expected, you're protected by our Product Promise.
For full details, please see our Terms & Conditions

Please note: All products are 'FOR RESEARCH USE ONLY. NOT FOR USE IN DIAGNOSTIC OR THERAPEUTIC PROCEDURES'.

For licensing inquiries, please contact partnerships@abcam.com