JavaScript is disabled in your browser. Please enable JavaScript to view this website.
AB241566

Anti-p53 antibody [POE316A]

5

(1 Review)

|

(6 Publications)

Rat Recombinant Monoclonal P53 antibody. Suitable for WB, IHC-P and reacts with Mouse samples. Cited in 6 publications.

View Alternative Names

P53, Trp53, Tp53, Cellular tumor antigen p53, Tumor suppressor p53

4 Images
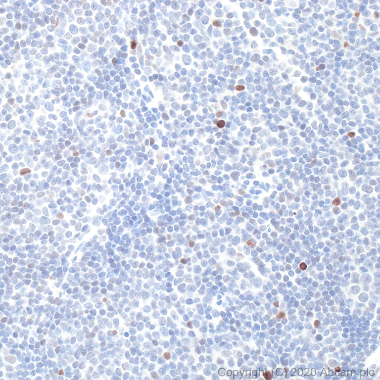
Immunohistochemistry (Formalin/PFA-fixed paraffin-embedded sections) - Anti-p53 antibody [POE316A] (AB241566)
  • IHC-P

Collaborator

Immunohistochemistry (Formalin/PFA-fixed paraffin-embedded sections) - Anti-p53 antibody [POE316A] (AB241566)

Immunohistochemistry (Formalin/PFA-fixed paraffin-embedded sections) analysis of mouse thymus labeling p53 with ab241566 at 1/50 dilution.

The experiment was done in Discovery XT, Ventana-Roche machine using the CC1 standard buffer. The secondary antibody was a Rabbit a-Rat Biotinylated followed by OmniMap anti rabbit. Counterstained with Hematoxylin.

Giovanna Roncador, Spanish Nacional Cancer Research Centre (CNIO)

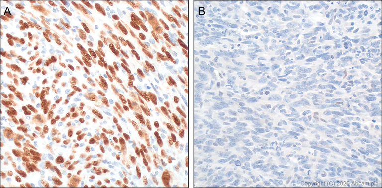
Immunohistochemistry (Formalin/PFA-fixed paraffin-embedded sections) - Anti-p53 antibody [POE316A] (AB241566)
  • IHC-P

Collaborator

Immunohistochemistry (Formalin/PFA-fixed paraffin-embedded sections) - Anti-p53 antibody [POE316A] (AB241566)

Immunohistochemistry (Formalin/PFA-fixed paraffin-embedded sections) analysis of Wild type mouse fibrosarcoma labeling p53 with ab241566 at 1/50 dilution.

Image A : nuclear staining on Wild type mouse fibrosarcoma

Image B : nearly no staining on p53 knock-out mouse fibrosarcoma

The experiment was done in Discovery XT, Ventana-Roche machine using the CC1 standard buffer. The secondary antibody was a Rabbit a-Rat Biotinylated followed by OmniMap anti rabbit. Counterstained with Hematoxylin.

Giovanna Roncador, Spanish Nacional Cancer Research Centre (CNIO)

Western blot - Anti-p53 antibody [POE316A] (AB241566)
  • WB

Supplier Data

Western blot - Anti-p53 antibody [POE316A] (AB241566)

Blocking/Dilution buffer : 5% NFDM/TBST.

Exposure time : 103 secs.

All lanes:

Western blot - Anti-p53 antibody [POE316A] (ab241566) at 1/1000 dilution

Lane 1:

LLC1 (mouse lung carcinoma), whole cell lysate at 20 µg

Lane 2:

RAW264.7 (mouse Abelson murine leukemia virus-induced tumor macrophage), whole cell at 20 µg

Secondary

All lanes:

Western blot - Goat Anti-Rat IgG H&L (HRP) (<a href='/en-us/products/secondary-antibodies/goat-rat-igg-h-l-hrp-ab205720'>ab205720</a>) at 1/10000 dilution

Predicted band size: 43 kDa

false

Western blot - Anti-p53 antibody [POE316A] (AB241566)
  • WB

Lab

Western blot - Anti-p53 antibody [POE316A] (AB241566)

In Western blot, Anti-GAPDH antibody [EPR16891] - Loading Control (ab181602) staining at 1/1000000 dilution.

Low or negative sample : normal brain (PMID : 32778161); normal liver (PMID : 10949934); NIH/3T3 (PMID : 10628835).

All lanes:

Western blot - Anti-p53 antibody [POE316A] (ab241566) at 1/1000 dilution

Lane 1:

Mouse thymus tissue lysate at 20 µg

Lane 2:

Mouse brain tissue lysate at 20 µg

Lane 3:

Mouse liver tissue lysate at 20 µg

Lane 4:

NIH/3T3 whole cell lysate at 20 µg

Lane 5:

MEF whole cell lysate at 20 µg

Secondary

Lanes 1 - 5:

Western blot - Goat Anti-Rat IgG H&L (HRP) (<a href='/en-us/products/secondary-antibodies/goat-rat-igg-h-l-hrp-ab205720'>ab205720</a>) at 1/10000 dilution

Lanes 1 - 5:

Western blot - Goat Anti-Rabbit IgG H&L (HRP) (<a href='/en-us/products/secondary-antibodies/goat-rabbit-igg-h-l-hrp-ab97051'>ab97051</a>) at 1/20000 dilution

Predicted band size: 43 kDa

Observed band size: 43 kDa

false

Exposure time: 180s

  • Carrier free

    Anti-p53 antibody [POE316A] - BSA and Azide free

Key facts

Host species

Rat

Clonality

Monoclonal

Clone number

POE316A

Isotype

IgG2a

Carrier free

No

Reacts with

Mouse

Applications

IHC-P, WB

applications

Immunogen

The exact immunogen used to generate this antibody is proprietary information.

Reactivity data

{ "title": "Reactivity Data", "filters": { "stats": ["", "Species", "Dilution Info", "Notes"], "tabs": { "all-applications": {"fullname" : "All Applications", "shortname": "All Applications"}, "WB" : {"fullname" : "Western blot", "shortname":"WB"}, "IHCP" : {"fullname" : "Immunohistochemistry (Formalin/PFA-fixed paraffin-embedded sections)", "shortname":"IHC-P"} }, "product-promise": { "all": "all", "testedAndGuaranteed": "tested", "guaranteed": "expected", "predicted": "predicted", "notRecommended": "not-recommended" } }, "values": { "Mouse": { "WB-species-checked": "testedAndGuaranteed", "WB-species-dilution-info": "1/1000", "WB-species-notes": "<p></p>", "IHCP-species-checked": "testedAndGuaranteed", "IHCP-species-dilution-info": "1/50", "IHCP-species-notes": "<p></p>" } } }

Product details

What are the advantages of a recombinant monoclonal antibody?
This product is a recombinant monoclonal antibody, which offers several advantages including:

  • - High batch-to-batch consistency and reproducibility
  • - Improved sensitivity and specificity
  • - Long-term security of supply
  • - Animal-free batch production

For more information, read more on recombinant antibodies.

Want a custom formulation?
This antibody clone is manufactured by Abcam. If you require a custom buffer formulation or conjugation for your experiments, please contact orders@abcam.com

Properties and storage information

Form
Liquid
Purification technique
Ion exchange chromatography
Storage buffer
pH: 7.2 - 7.4 Preservative: 0.01% Sodium azide Constituents: PBS, 40% Glycerol (glycerin, glycerine), 0.05% BSA
Shipped at conditions
Blue Ice
Appropriate short-term storage duration
1-2 weeks
Appropriate short-term storage conditions
+4°C
Appropriate long-term storage conditions
-20°C
Aliquoting information
Upon delivery aliquot
Storage information
Avoid freeze / thaw cycle

Supplementary information

This supplementary information is collated from multiple sources and compiled automatically.

The protein p53 also known as TP53 or tumor protein p53 has a molecular weight of approximately 53 kDa. It acts as a transcription factor and plays a major role in cell cycle regulation apoptosis and maintaining genomic stability. This protein mainly expresses in the nucleus of cells and acts as a critical regulator of cellular responses to stress signals including DNA damage. Scientists commonly use p53 antibodies in various assays like western blot and p53 immunofluorescence to detect and study its expression and functional status in cells.
Biological function summary

P53 functions to control cell division and apoptosis serving as a guardian of the genome by preventing mutation accumulation. It does not form part of a larger complex under normal conditions but interacts with various other molecules to execute its functions. p53 can activate or suppress the transcription of numerous genes involved in cell cycle arrest DNA repair and programmed cell death allowing it to halt the progression of damaged cells and trigger repair mechanisms or eliminate those that cannot be repaired.

Pathways

P53 acts within several key biological pathways such as the p53 signaling pathway and the intrinsic apoptotic pathway. Its activity involves interaction with proteins like MDM2 which regulates p53 through ubiquitin-mediated degradation and ATM kinase which phosphorylates p53 in response to DNA damage. These interactions ensure appropriate cellular responses during stress and are vital for maintaining homeostasis.

P53 mutation or inactivation is often associated with the development of cancer given its role in controlling cell division and preventing tumor formation. Specifically its dysfunction has been linked to cancers such as breast cancer and lung cancer. Additionally p53 can interact with other mutant proteins like Ras compounding mutations that contribute to tumor progression and aggressive cancer phenotypes. Understanding these interactions and the status of p53 can be important in developing targeted cancer therapies.

Product protocols

For this product, it's our understanding that no specific protocols are required. You can visit:

Target data

Multifunctional transcription factor that induces cell cycle arrest, DNA repair or apoptosis upon binding to its target DNA sequence (PubMed : 19556538, PubMed : 20673990, PubMed : 22726440). Acts as a tumor suppressor in many tumor types; induces growth arrest or apoptosis depending on the physiological circumstances and cell type. Negatively regulates cell division by controlling expression of a set of genes required for this process. One of the activated genes is an inhibitor of cyclin-dependent kinases. Apoptosis induction seems to be mediated either by stimulation of BAX and FAS antigen expression, or by repression of Bcl-2 expression. Its pro-apoptotic activity is activated via its interaction with PPP1R13B/ASPP1 or TP53BP2/ASPP2 (By similarity). However, this activity is inhibited when the interaction with PPP1R13B/ASPP1 or TP53BP2/ASPP2 is displaced by PPP1R13L/iASPP (By similarity). In cooperation with mitochondrial PPIF is involved in activating oxidative stress-induced necrosis; the function is largely independent of transcription. Prevents CDK7 kinase activity when associated to CAK complex in response to DNA damage, thus stopping cell cycle progression (By similarity). Induces the transcription of long intergenic non-coding RNA p21 (lincRNA-p21) and lincRNA-Mkln1. LincRNA-p21 participates in TP53-dependent transcriptional repression leading to apoptosis, but seems to have to effect on cell-cycle regulation. Regulates the circadian clock by repressing CLOCK-BMAL1-mediated transcriptional activation of PER2 (PubMed : 24051492).
See full target information Tp53

Publications (6)

Recent publications for all applications. Explore the full list and refine your search

Advanced science (Weinheim, Baden-Wurttemberg, Germany) 11:e2400502 PubMed39418070

2024

Insufficient Mechanical Loading Downregulates Piezo1 in Chondrocytes and Impairs Fracture Healing Through ApoE-Induced Senescence.

Applications

Unspecified application

Species

Unspecified reactive species

Siming Jia,Weijian Liu,Mo Zhang,Lijun Wang,Chuan Ren,Chen Feng,Tao Zhang,Hongzhi Lv,Zhiyong Hou,Weiguo Zou,Yingze Zhang,Wei Tong,Juan Wang,Wei Chen

Journal of vascular research 61:109-121 PubMed38615660

2024

Uncoupling Protein 2 Alleviates Myocardial Ischemia/Reperfusion Injury by Inhibiting Cardiomyocyte Ferroptosis.

Applications

Unspecified application

Species

Unspecified reactive species

Peiting Zhou,Yaolei Zhang,Kewei Xu,Yunchuan Liu,Jing Huang,Quanzhou Yao,Xin Chen,Longfu Zhou

Molecular systems biology 20:719-740 PubMed38580884

2024

Genome-wide CRISPR screens identify novel regulators of wild-type and mutant p53 stability.

Applications

Unspecified application

Species

Unspecified reactive species

YiQing Lü,Tiffany Cho,Saptaparna Mukherjee,Carmen Florencia Suarez,Nicolas S Gonzalez-Foutel,Ahmad Malik,Sebastien Martinez,Dzana Dervovic,Robin Hyunseo Oh,Ellen Langille,Khalid N Al-Zahrani,Lisa Hoeg,Zhen Yuan Lin,Ricky Tsai,Geraldine Mbamalu,Varda Rotter,Patricia Ashton-Prolla,Jason Moffat,Lucia Beatriz Chemes,Anne-Claude Gingras,Moshe Oren,Daniel Durocher,Daniel Schramek

Cell death discovery 8:121 PubMed35296654

2022

The possible involvement of circRNA DMNT1/p53/JAK/STAT in gestational diabetes mellitus and preeclampsia.

Applications

Unspecified application

Species

Unspecified reactive species

Dongqin Bao,Chaohui Zhuang,Yan Jiao,Li Yang

Translational oncology 14:101172 PubMed34243014

2021

Synergic radiosensitization of sinomenine hydrochloride and radioiodine on human papillary thyroid carcinoma cells.

Applications

Unspecified application

Species

Unspecified reactive species

Aomei Zhao,Jing Zhang,Yan Liu,Xi Jia,Xueni Lu,Qi Wang,Ting Ji,Lulu Yang,Jianjun Xue,Rui Gao,Yan Yu,Aimin Yang

OncoTargets and therapy 13:12015-12025 PubMed33244243

2020

Huaier Suppresses the Hepatocellular Carcinoma Cell Cycle by Regulating Minichromosome Maintenance Proteins.

Applications

Unspecified application

Species

Unspecified reactive species

Yongjie Niu,Liang Shan,Han Gao,Congcong Zhang,Zijun Qian,Zhixian Wang,Xin Xu,Xiao Zhang,Jiayi Wang,Lifang Ma,Liyun Chen,Yongchun Yu
View all publications

Product promise

We are committed to supporting your work with high-quality reagents, and we're here for you every step of the way. In the unlikely event that one of our products does not perform as expected, you're protected by our Product Promise.
For full details, please see our Terms & Conditions

Please note: All products are 'FOR RESEARCH USE ONLY. NOT FOR USE IN DIAGNOSTIC OR THERAPEUTIC PROCEDURES'.

For licensing inquiries, please contact partnerships@abcam.com