JavaScript is disabled in your browser. Please enable JavaScript to view this website.
AB245740

Anti-p53 antibody [SP161] - BSA and Azide free

Be the first to review this product! Submit a review

|

(1 Publication)

Rabbit Recombinant Monoclonal P53 antibody. Carrier free. Suitable for IHC-P, ICC/IF, Flow Cyt (Intra) and reacts with Human samples. Cited in 1 publication.

View Alternative Names

P53, TP53, Cellular tumor antigen p53, Antigen NY-CO-13, Phosphoprotein p53, Tumor suppressor p53

10 Images
Immunohistochemistry (Formalin/PFA-fixed paraffin-embedded sections) - Anti-p53 antibody [SP161] - BSA and Azide free (AB245740)
  • IHC-P

Supplier Data

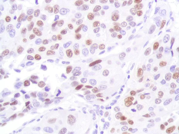
Immunohistochemistry (Formalin/PFA-fixed paraffin-embedded sections) - Anti-p53 antibody [SP161] - BSA and Azide free (AB245740)

Formalin-fixed, paraffin-embedded human B-cell lymphoma tissue stained for p53 using ab227655 at 1/100 dilution in immunohistochemical analysis.

This data was developed using the same antibody clone in a different buffer formulation containing PBS#44; BSA#44; and sodium azide (ab227655)

Immunocytochemistry/ Immunofluorescence - Anti-p53 antibody [SP161] - BSA and Azide free (AB245740)
  • ICC/IF

Unknown

Immunocytochemistry/ Immunofluorescence - Anti-p53 antibody [SP161] - BSA and Azide free (AB245740)

Immunocytochemistry/ Immunofluorescence analysis of MCF7 (human breast adenocarcinoma epithelial cell) cells labeling p53 with purified ab227655 at 1/20 (7.25μg/ml). Cells were fixed in 100% Methanol and permeabilized with None. Cells were counterstained with ab195889 Anti-alpha Tubulin antibody [DM1A] - Microtubule Marker (Alexa Fluor® 594) 1/200 (2.5 μg/ml). Goat anti rabbit IgG (Alexa Fluor® 488, ab150077) was used as the secondary antibody at 1/1000 (2 μg/ml) dilution. DAPI (blue) was used as nuclear counterstain. PBS instead of the primary antibody was used as the secondary antibody only control.

This data was developed using the same antibody clone in a different buffer formulation containing PBS, BSA, glycerol, and sodium azide (ab227655).

Immunohistochemistry (Formalin/PFA-fixed paraffin-embedded sections) - Anti-p53 antibody [SP161] - BSA and Azide free (AB245740)
  • IHC-P

Unknown

Immunohistochemistry (Formalin/PFA-fixed paraffin-embedded sections) - Anti-p53 antibody [SP161] - BSA and Azide free (AB245740)

Formalin-fixed, paraffin-embedded human colon adenocarcinoma tissue stained for p53 using ab227655 at 1/100 dilution in immunohistochemical analysis.

This data was developed using the same antibody clone in a different buffer formulation containing PBS, BSA and sodium azide (ab227655).

Flow Cytometry (Intracellular) - Anti-p53 antibody [SP161] - BSA and Azide free (AB245740)
  • Flow Cyt (Intra)

Unknown

Flow Cytometry (Intracellular) - Anti-p53 antibody [SP161] - BSA and Azide free (AB245740)

Intracellular Flow Cytometry analysis of MCF7 (human breast adenocarcinoma epithelial cell) cells labeling p53 with purified ab227655 at 1/20 dilution (7.5μg/ml) (red). Cells were fixed with 4% paraformaldehyde and permeabilised with 90% methanol. A Goat anti rabbit IgG (Alexa Fluor® 488, ab150077) secondary antibody was used at 1/2000 dilution. Isotype control - Rabbit monoclonal IgG (ab172730) / Black. Unlabeled control - Unlabelled cells / blue.

This data was developed using the same antibody clone in a different buffer formulation containing PBS, BSA, glycerol, and sodium azide (ab227655).

Immunohistochemistry (Formalin/PFA-fixed paraffin-embedded sections) - Anti-p53 antibody [SP161] - BSA and Azide free (AB245740)
  • IHC-P

Unknown

Immunohistochemistry (Formalin/PFA-fixed paraffin-embedded sections) - Anti-p53 antibody [SP161] - BSA and Azide free (AB245740)

Formalin-fixed, paraffin-embedded human stomach adenocarcinoma tissue stained for p53 using ab227655 at 1/100 dilution in immunohistochemical analysis.

This data was developed using the same antibody clone in a different buffer formulation containing PBS, BSA and sodium azide (ab227655).

Immunohistochemistry (Formalin/PFA-fixed paraffin-embedded sections) - Anti-p53 antibody [SP161] - BSA and Azide free (AB245740)
  • IHC-P

Supplier Data

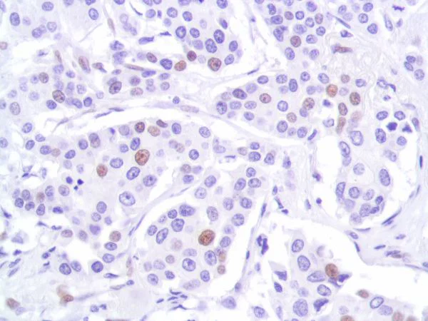
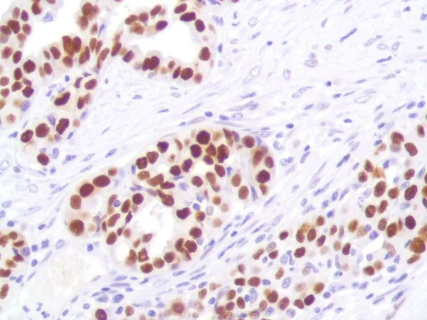
Immunohistochemistry (Formalin/PFA-fixed paraffin-embedded sections) - Anti-p53 antibody [SP161] - BSA and Azide free (AB245740)

Formalin-fixed, paraffin-embedded human colon adenocarcinoma tissue stained for p53 using ab227655 at 1/100 dilution in immunohistochemical analysis.

This data was developed using the same antibody clone in a different buffer formulation containing PBS#44; BSA#44; and sodium azide (ab227655)

Immunohistochemistry (Formalin/PFA-fixed paraffin-embedded sections) - Anti-p53 antibody [SP161] - BSA and Azide free (AB245740)
  • IHC-P

Supplier Data

Immunohistochemistry (Formalin/PFA-fixed paraffin-embedded sections) - Anti-p53 antibody [SP161] - BSA and Azide free (AB245740)

Formalin-fixed, paraffin-embedded human B-cell lymphoma tissue stained for p53 using ab227655 at 1/100 dilution in immunohistochemical analysis.

This data was developed using the same antibody clone in a different buffer formulation containing PBS, BSA and sodium azide (ab227655).

Immunohistochemistry (Formalin/PFA-fixed paraffin-embedded sections) - Anti-p53 antibody [SP161] - BSA and Azide free (AB245740)
  • IHC-P

Supplier Data

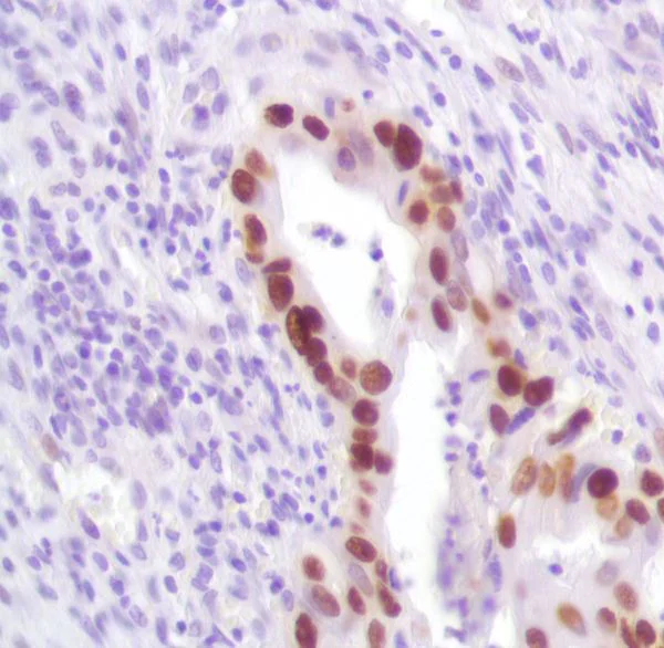
Immunohistochemistry (Formalin/PFA-fixed paraffin-embedded sections) - Anti-p53 antibody [SP161] - BSA and Azide free (AB245740)

Formalin-fixed, paraffin-embedded human stomach adenocarcinoma tissue stained for p53 using ab227655 at 1/100 dilution in immunohistochemical analysis.

This data was developed using the same antibody clone in a different buffer formulation containing PBS#44; BSA#44; and sodium azide (ab227655)

Immunohistochemistry (Formalin/PFA-fixed paraffin-embedded sections) - Anti-p53 antibody [SP161] - BSA and Azide free (AB245740)
  • IHC-P

Supplier Data

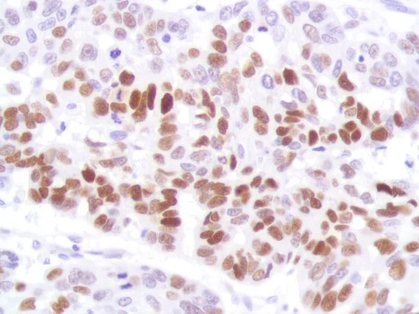
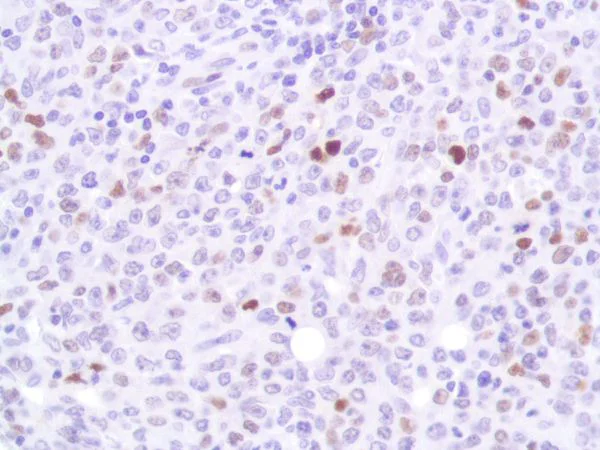
Immunohistochemistry (Formalin/PFA-fixed paraffin-embedded sections) - Anti-p53 antibody [SP161] - BSA and Azide free (AB245740)

Formalin-fixed, paraffin-embedded human lung squamous cell carcinoma tissue stained for p53 using ab227655 at 1/100 dilution in immunohistochemical analysis.

This data was developed using the same antibody clone in a different buffer formulation containing PBS#44; BSA#44; and sodium azide (ab227655)

Flow Cytometry (Intracellular) - Anti-p53 antibody [SP161] - BSA and Azide free (AB245740)
  • Flow Cyt (Intra)

Lab

Flow Cytometry (Intracellular) - Anti-p53 antibody [SP161] - BSA and Azide free (AB245740)

This data was developed using the same antibody clone in a different buffer formulation (ab227655).

Flow cytometry overlay histogram showing wild-type HAP1 (green line) and TP53 knockout HAP1 cells stained with ab227655 (red line). The cells were fixed with 4% formaldehyde (10 min) and then permeabilized with 0.1% PBS-Triton X-100 for 15 min. The cells were then incubated in 1x PBS containing 10% normal goat serum to block non-specific protein-protein interaction followed by the antibody (ab227655) (1x106 in 100 μl at 0.008 μg/ml) for 30 min at 22°C.

The secondary antibody Goat anti-Rabbit IgG H&L (Alexa Fluor® 488, pre-adsorbed) (ab150081) was used at 1/2000 for 30 min at 22°C.

Isotype control antibody was Rabbit IgG (monoclonal) (ab172730) used at the same concentration and conditions as the primary antibody (wild-type HAP1 - black line TP53 knockout HAP1 - grey line). Unlabelled sample was also used as a control (this line is not shown for the purpose of simplicity).

Acquisition of >5000 events were collected using a 50 mW Blue laser (488nm) and 525/40 bandpass filter.

This antibody gave a positive signal in TP53 HAP1 knockout cells fixed with 80% methanol (5 min) / permeabilized with 0.1% PBS-Triton X-100 for 15 min used under the same conditions.

Key facts

Host species

Rabbit

Clonality

Monoclonal

Clone number

SP161

Isotype

IgG

Carrier free

Yes

Reacts with

Human

Applications

Flow Cyt (Intra), ICC/IF, IHC-P

applications

Immunogen

The exact immunogen used to generate this antibody is proprietary information.

Reactivity data

{ "title": "Reactivity Data", "filters": { "stats": ["", "Species", "Dilution Info", "Notes"], "tabs": { "all-applications": {"fullname" : "All Applications", "shortname": "All Applications"}, "IHCP" : {"fullname" : "Immunohistochemistry (Formalin/PFA-fixed paraffin-embedded sections)", "shortname":"IHC-P"}, "ICCIF" : {"fullname" : "Immunocytochemistry/ Immunofluorescence", "shortname":"ICC/IF"}, "FlowCytIntra" : {"fullname" : "Flow Cytometry (Intracellular)", "shortname":"Flow Cyt (Intra)"} }, "product-promise": { "all": "all", "testedAndGuaranteed": "tested", "guaranteed": "expected", "predicted": "predicted", "notRecommended": "not-recommended" } }, "values": { "Human": { "IHCP-species-checked": "testedAndGuaranteed", "IHCP-species-dilution-info": "", "IHCP-species-notes": "<p>Boil tissue section in Citrate buffer, pH 6.0 for 10 minutes followed by cooling at room temperature for 20 minutes.Incubate with primary antibody for 10 minutes at room temperature.</p>", "ICCIF-species-checked": "testedAndGuaranteed", "ICCIF-species-dilution-info": "", "ICCIF-species-notes": "<p></p>", "FlowCytIntra-species-checked": "testedAndGuaranteed", "FlowCytIntra-species-dilution-info": "", "FlowCytIntra-species-notes": "<p></p>" }, "Mouse": { "IHCP-species-checked": "predicted", "IHCP-species-dilution-info": "", "IHCP-species-notes": "", "ICCIF-species-checked": "predicted", "ICCIF-species-dilution-info": "", "ICCIF-species-notes": "", "FlowCytIntra-species-checked": "predicted", "FlowCytIntra-species-dilution-info": "", "FlowCytIntra-species-notes": "" }, "Rat": { "IHCP-species-checked": "predicted", "IHCP-species-dilution-info": "", "IHCP-species-notes": "", "ICCIF-species-checked": "predicted", "ICCIF-species-dilution-info": "", "ICCIF-species-notes": "", "FlowCytIntra-species-checked": "predicted", "FlowCytIntra-species-dilution-info": "", "FlowCytIntra-species-notes": "" }, "Cow": { "IHCP-species-checked": "predicted", "IHCP-species-dilution-info": "", "IHCP-species-notes": "", "ICCIF-species-checked": "predicted", "ICCIF-species-dilution-info": "", "ICCIF-species-notes": "", "FlowCytIntra-species-checked": "predicted", "FlowCytIntra-species-dilution-info": "", "FlowCytIntra-species-notes": "" }, "Dog": { "IHCP-species-checked": "predicted", "IHCP-species-dilution-info": "", "IHCP-species-notes": "", "ICCIF-species-checked": "predicted", "ICCIF-species-dilution-info": "", "ICCIF-species-notes": "", "FlowCytIntra-species-checked": "predicted", "FlowCytIntra-species-dilution-info": "", "FlowCytIntra-species-notes": "" }, "Pig": { "IHCP-species-checked": "predicted", "IHCP-species-dilution-info": "", "IHCP-species-notes": "", "ICCIF-species-checked": "predicted", "ICCIF-species-dilution-info": "", "ICCIF-species-notes": "", "FlowCytIntra-species-checked": "predicted", "FlowCytIntra-species-dilution-info": "", "FlowCytIntra-species-notes": "" }, "Rabbit": { "IHCP-species-checked": "predicted", "IHCP-species-dilution-info": "", "IHCP-species-notes": "", "ICCIF-species-checked": "predicted", "ICCIF-species-dilution-info": "", "ICCIF-species-notes": "", "FlowCytIntra-species-checked": "predicted", "FlowCytIntra-species-dilution-info": "", "FlowCytIntra-species-notes": "" } } }

Product details

ab245740 is the carrier-free version of ab227655.

Patented technology
Our RabMAb® technology is a patented hybridoma-based technology for making rabbit monoclonal antibodies. For details on our patents, please refer to RabMAb® patents.

What are the advantages of a recombinant monoclonal antibody?
This product is a recombinant monoclonal antibody, which offers several advantages including:

  • - High batch-to-batch consistency and reproducibility
  • - Improved sensitivity and specificity
  • - Long-term security of supply
  • - Animal-free batch production

For more information, read more on recombinant antibodies.

Conjugation ready
Our carrier-free antibodies are typically supplied in a PBS-only formulation, purified and free of BSA, sodium azide and glycerol. This conjugation-ready format is designed for use with fluorochromes, metal isotopes, oligonucleotides, and enzymes, which makes them ideal for antibody labelling, functional and cell-based assays, flow-based assays (e.g. mass cytometry) and Multiplex Imaging applications.

Use our conjugation kits for antibody conjugates that are ready-to-use in as little as 20 minutes with 1 minute hands-on-time and 100% antibody recovery: available for fluorescent dyes, HRP, biotin and gold.

Compatibility
This product is compatible with the Maxpar® Antibody Labeling Kit from Fluidigm, without the need for antibody preparation. Maxpar® is a trademark of Fluidigm Canada Inc.

Properties and storage information

Form
Liquid
Purification technique
Affinity purification Protein A/G
Purification notes
Purified from TCS by protein A/G.
Storage buffer
pH: 7.2 - 7.4 Constituents: PBS
Shipped at conditions
Blue Ice
Appropriate short-term storage conditions
+4°C
Appropriate long-term storage conditions
+4°C
Storage information
Do Not Freeze

Supplementary information

This supplementary information is collated from multiple sources and compiled automatically.

The protein p53 also known as TP53 or tumor protein p53 has a molecular weight of approximately 53 kDa. It acts as a transcription factor and plays a major role in cell cycle regulation apoptosis and maintaining genomic stability. This protein mainly expresses in the nucleus of cells and acts as a critical regulator of cellular responses to stress signals including DNA damage. Scientists commonly use p53 antibodies in various assays like western blot and p53 immunofluorescence to detect and study its expression and functional status in cells.
Biological function summary

P53 functions to control cell division and apoptosis serving as a guardian of the genome by preventing mutation accumulation. It does not form part of a larger complex under normal conditions but interacts with various other molecules to execute its functions. p53 can activate or suppress the transcription of numerous genes involved in cell cycle arrest DNA repair and programmed cell death allowing it to halt the progression of damaged cells and trigger repair mechanisms or eliminate those that cannot be repaired.

Pathways

P53 acts within several key biological pathways such as the p53 signaling pathway and the intrinsic apoptotic pathway. Its activity involves interaction with proteins like MDM2 which regulates p53 through ubiquitin-mediated degradation and ATM kinase which phosphorylates p53 in response to DNA damage. These interactions ensure appropriate cellular responses during stress and are vital for maintaining homeostasis.

P53 mutation or inactivation is often associated with the development of cancer given its role in controlling cell division and preventing tumor formation. Specifically its dysfunction has been linked to cancers such as breast cancer and lung cancer. Additionally p53 can interact with other mutant proteins like Ras compounding mutations that contribute to tumor progression and aggressive cancer phenotypes. Understanding these interactions and the status of p53 can be important in developing targeted cancer therapies.

Product protocols

For this product, it's our understanding that no specific protocols are required. You can visit:

Target data

Multifunctional transcription factor that induces cell cycle arrest, DNA repair or apoptosis upon binding to its target DNA sequence (PubMed : 11025664, PubMed : 12524540, PubMed : 12810724, PubMed : 15186775, PubMed : 15340061, PubMed : 17317671, PubMed : 17349958, PubMed : 19556538, PubMed : 20673990, PubMed : 20959462, PubMed : 22726440, PubMed : 24051492, PubMed : 24652652, PubMed : 35618207, PubMed : 36634798, PubMed : 38653238, PubMed : 9840937). Acts as a tumor suppressor in many tumor types; induces growth arrest or apoptosis depending on the physiological circumstances and cell type (PubMed : 11025664, PubMed : 12524540, PubMed : 12810724, PubMed : 15186775, PubMed : 15340061, PubMed : 17189187, PubMed : 17317671, PubMed : 17349958, PubMed : 19556538, PubMed : 20673990, PubMed : 20959462, PubMed : 22726440, PubMed : 24051492, PubMed : 24652652, PubMed : 38653238, PubMed : 9840937). Negatively regulates cell division by controlling expression of a set of genes required for this process (PubMed : 11025664, PubMed : 12524540, PubMed : 12810724, PubMed : 15186775, PubMed : 15340061, PubMed : 17317671, PubMed : 17349958, PubMed : 19556538, PubMed : 20673990, PubMed : 20959462, PubMed : 22726440, PubMed : 24051492, PubMed : 24652652, PubMed : 9840937). One of the activated genes is an inhibitor of cyclin-dependent kinases. Apoptosis induction seems to be mediated either by stimulation of BAX and FAS antigen expression, or by repression of Bcl-2 expression (PubMed : 12524540, PubMed : 17189187). Its pro-apoptotic activity is activated via its interaction with PPP1R13B/ASPP1 or TP53BP2/ASPP2 (PubMed : 12524540). However, this activity is inhibited when the interaction with PPP1R13B/ASPP1 or TP53BP2/ASPP2 is displaced by PPP1R13L/iASPP (PubMed : 12524540). In cooperation with mitochondrial PPIF is involved in activating oxidative stress-induced necrosis; the function is largely independent of transcription. Induces the transcription of long intergenic non-coding RNA p21 (lincRNA-p21) and lincRNA-Mkln1. LincRNA-p21 participates in TP53-dependent transcriptional repression leading to apoptosis and seems to have an effect on cell-cycle regulation. Implicated in Notch signaling cross-over. Prevents CDK7 kinase activity when associated to CAK complex in response to DNA damage, thus stopping cell cycle progression. Isoform 2 enhances the transactivation activity of isoform 1 from some but not all TP53-inducible promoters. Isoform 4 suppresses transactivation activity and impairs growth suppression mediated by isoform 1. Isoform 7 inhibits isoform 1-mediated apoptosis. Regulates the circadian clock by repressing CLOCK-BMAL1-mediated transcriptional activation of PER2 (PubMed : 24051492).
See full target information TP53

Publications (1)

Recent publications for all applications. Explore the full list and refine your search

Cancer cell 42:396-412.e5 PubMed38242124

2024

Cancer-associated fibroblast phenotypes are associated with patient outcome in non-small cell lung cancer.

Applications

Unspecified application

Species

Unspecified reactive species

Lena Cords,Stefanie Engler,Martina Haberecker,Jan Hendrik Rüschoff,Holger Moch,Natalie de Souza,Bernd Bodenmiller
View all publications

Product promise

We are committed to supporting your work with high-quality reagents, and we're here for you every step of the way. In the unlikely event that one of our products does not perform as expected, you're protected by our Product Promise.
For full details, please see our Terms & Conditions

Please note: All products are 'FOR RESEARCH USE ONLY. NOT FOR USE IN DIAGNOSTIC OR THERAPEUTIC PROCEDURES'.

For licensing inquiries, please contact partnerships@abcam.com