JavaScript is disabled in your browser. Please enable JavaScript to view this website.
AB237921

Anti-p53 antibody [TP53/1799R] - BSA and Azide free

Be the first to review this product! Submit a review

|

(0 Publication)

Rabbit Recombinant Monoclonal P53 antibody. Carrier free. Suitable for WB, Protein Array, IHC-P and reacts with Human, Recombinant full length protein - Human samples. Immunogen corresponding to Recombinant Full Length Protein corresponding to Human TP53.

View Alternative Names

P53, TP53, Cellular tumor antigen p53, Antigen NY-CO-13, Phosphoprotein p53, Tumor suppressor p53

3 Images
Immunohistochemistry (Formalin/PFA-fixed paraffin-embedded sections) - Anti-p53 antibody [TP53/1799R] - BSA and Azide free (AB237921)
  • IHC-P

Supplier Data

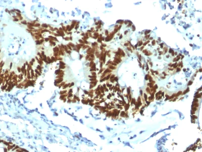
Immunohistochemistry (Formalin/PFA-fixed paraffin-embedded sections) - Anti-p53 antibody [TP53/1799R] - BSA and Azide free (AB237921)

Formalin-fixed, paraffin-embedded human colon carcinoma tissue stained for p53 with ab238070 at 1 μg/ml in immunohistochemical analysis.

This data was produced with ab238070, the same antibody clone in a different formulation containing PBS, BSA and Azide.

Western blot - Anti-p53 antibody [TP53/1799R] - BSA and Azide free (AB237921)
  • WB

Supplier Data

Western blot - Anti-p53 antibody [TP53/1799R] - BSA and Azide free (AB237921)

This data was produced with ab238070, the same antibody clone in a different formulation containing PBS, BSA and Azide.

All lanes:

Western blot - Anti-p53 antibody [TP53/1799R] - BSA and Azide free (ab237921) at 1 µg/mL

All lanes:

HeLa (Human epithelial cell line from cervix adenocarcinoma) cell lysate

Predicted band size: 43 kDa

false

Protein Array - Anti-p53 antibody [TP53/1799R] - BSA and Azide free (AB237921)
  • Protein Array

Unknown

Protein Array - Anti-p53 antibody [TP53/1799R] - BSA and Azide free (AB237921)

This data was produced with ab238070, the same antibody in a different formulation with BSA and Azide.
ab238070 was tested in protein array against over 19000 different full-length human proteins.
Z- and S- Score : The Z-score represents the strength of a signal that a monoclonal antibody (MAb) (in combination with a fluorescently-tagged anti-IgG secondary antibody) produces when binding to a particular protein on the HuProtTM array. Z-scores are described in units of standard deviations (SD's) above the mean value of all signals generated on that array. If targets on HuProtTM are arranged in descending order of the Z-score, the S-score is the difference (also in units of SD's) between the Z-score. S-score therefore represents the relative target specificity of a MAb to its intended target.
A MAb is specific to its intended target if the MAb has an S-score of at least 2.5. For example, if a MAb binds to protein X with a Z-score of 43 and to protein Y with a Z-score of 14, then the S-score for the binding of that MAb to protein X is equal to 29.

Key facts

Host species

Rabbit

Clonality

Monoclonal

Clone number

TP53/1799R

Isotype

IgG

Carrier free

Yes

Reacts with

Human

Applications

WB, Protein Array, IHC-P

applications

Immunogen

Recombinant Full Length Protein corresponding to Human TP53.

P04637

Reactivity data

{ "title": "Reactivity Data", "filters": { "stats": ["", "Species", "Dilution Info", "Notes"], "tabs": { "all-applications": {"fullname" : "All Applications", "shortname": "All Applications"}, "WB" : {"fullname" : "Western blot", "shortname":"WB"}, "ProteinArray" : {"fullname" : "Protein Array", "shortname":"Protein Array"}, "IHCP" : {"fullname" : "Immunohistochemistry (Formalin/PFA-fixed paraffin-embedded sections)", "shortname":"IHC-P"} }, "product-promise": { "all": "all", "testedAndGuaranteed": "tested", "guaranteed": "expected", "predicted": "predicted", "notRecommended": "not-recommended" } }, "values": { "Human": { "WB-species-checked": "testedAndGuaranteed", "WB-species-dilution-info": "0.5-1 µg/mL", "WB-species-notes": "<p></p>", "ProteinArray-species-checked": "guaranteed", "ProteinArray-species-dilution-info": "", "ProteinArray-species-notes": "", "IHCP-species-checked": "testedAndGuaranteed", "IHCP-species-dilution-info": "0.5-1 µg/mL", "IHCP-species-notes": "<p>Staining of formalin-fixed tissues is enhanced by boiling tissue sections in 10mM Tris with 1mM EDTA, pH 9.0 for 10-20 min followed by cooling at RT for 20 minutes. Incubate with primary antibody for 30 mins at RT.</p>" }, "Recombinant full length protein - Human": { "WB-species-checked": "notRecommended", "WB-species-dilution-info": "", "WB-species-notes": "", "ProteinArray-species-checked": "testedAndGuaranteed", "ProteinArray-species-dilution-info": "", "ProteinArray-species-notes": "<p></p>", "IHCP-species-checked": "notRecommended", "IHCP-species-dilution-info": "", "IHCP-species-notes": "" } } }

Product details

ab237921 is the carrier-free version of ab238070.

Conjugation ready
Our carrier-free antibodies are typically supplied in a PBS-only formulation, purified and free of BSA, sodium azide and glycerol. This conjugation-ready format is designed for use with fluorochromes, metal isotopes, oligonucleotides, and enzymes, which makes them ideal for antibody labelling, functional and cell-based assays, flow-based assays (e.g. mass cytometry) and Multiplex Imaging applications.

Use our conjugation kits for antibody conjugates that are ready-to-use in as little as 20 minutes with 1 minute hands-on-time and 100% antibody recovery: available for fluorescent dyes, HRP, biotin and gold.

Properties and storage information

Form
Liquid
Purification technique
Affinity purification Protein A/G
Purification notes
Purified from bioreactor concentrate.
Storage buffer
pH: 7.2 - 7.4 Constituents: PBS
Shipped at conditions
Blue Ice
Appropriate short-term storage duration
1-2 weeks
Appropriate short-term storage conditions
+4°C
Appropriate long-term storage conditions
-20°C
Aliquoting information
Upon delivery aliquot
Storage information
Avoid freeze / thaw cycle

Supplementary information

This supplementary information is collated from multiple sources and compiled automatically.

The protein p53 also known as TP53 or tumor protein p53 has a molecular weight of approximately 53 kDa. It acts as a transcription factor and plays a major role in cell cycle regulation apoptosis and maintaining genomic stability. This protein mainly expresses in the nucleus of cells and acts as a critical regulator of cellular responses to stress signals including DNA damage. Scientists commonly use p53 antibodies in various assays like western blot and p53 immunofluorescence to detect and study its expression and functional status in cells.
Biological function summary

P53 functions to control cell division and apoptosis serving as a guardian of the genome by preventing mutation accumulation. It does not form part of a larger complex under normal conditions but interacts with various other molecules to execute its functions. p53 can activate or suppress the transcription of numerous genes involved in cell cycle arrest DNA repair and programmed cell death allowing it to halt the progression of damaged cells and trigger repair mechanisms or eliminate those that cannot be repaired.

Pathways

P53 acts within several key biological pathways such as the p53 signaling pathway and the intrinsic apoptotic pathway. Its activity involves interaction with proteins like MDM2 which regulates p53 through ubiquitin-mediated degradation and ATM kinase which phosphorylates p53 in response to DNA damage. These interactions ensure appropriate cellular responses during stress and are vital for maintaining homeostasis.

P53 mutation or inactivation is often associated with the development of cancer given its role in controlling cell division and preventing tumor formation. Specifically its dysfunction has been linked to cancers such as breast cancer and lung cancer. Additionally p53 can interact with other mutant proteins like Ras compounding mutations that contribute to tumor progression and aggressive cancer phenotypes. Understanding these interactions and the status of p53 can be important in developing targeted cancer therapies.

Product protocols

For this product, it's our understanding that no specific protocols are required. You can visit:

Target data

Multifunctional transcription factor that induces cell cycle arrest, DNA repair or apoptosis upon binding to its target DNA sequence (PubMed : 11025664, PubMed : 12524540, PubMed : 12810724, PubMed : 15186775, PubMed : 15340061, PubMed : 17317671, PubMed : 17349958, PubMed : 19556538, PubMed : 20673990, PubMed : 20959462, PubMed : 22726440, PubMed : 24051492, PubMed : 24652652, PubMed : 35618207, PubMed : 36634798, PubMed : 38653238, PubMed : 9840937). Acts as a tumor suppressor in many tumor types; induces growth arrest or apoptosis depending on the physiological circumstances and cell type (PubMed : 11025664, PubMed : 12524540, PubMed : 12810724, PubMed : 15186775, PubMed : 15340061, PubMed : 17189187, PubMed : 17317671, PubMed : 17349958, PubMed : 19556538, PubMed : 20673990, PubMed : 20959462, PubMed : 22726440, PubMed : 24051492, PubMed : 24652652, PubMed : 38653238, PubMed : 9840937). Negatively regulates cell division by controlling expression of a set of genes required for this process (PubMed : 11025664, PubMed : 12524540, PubMed : 12810724, PubMed : 15186775, PubMed : 15340061, PubMed : 17317671, PubMed : 17349958, PubMed : 19556538, PubMed : 20673990, PubMed : 20959462, PubMed : 22726440, PubMed : 24051492, PubMed : 24652652, PubMed : 9840937). One of the activated genes is an inhibitor of cyclin-dependent kinases. Apoptosis induction seems to be mediated either by stimulation of BAX and FAS antigen expression, or by repression of Bcl-2 expression (PubMed : 12524540, PubMed : 17189187). Its pro-apoptotic activity is activated via its interaction with PPP1R13B/ASPP1 or TP53BP2/ASPP2 (PubMed : 12524540). However, this activity is inhibited when the interaction with PPP1R13B/ASPP1 or TP53BP2/ASPP2 is displaced by PPP1R13L/iASPP (PubMed : 12524540). In cooperation with mitochondrial PPIF is involved in activating oxidative stress-induced necrosis; the function is largely independent of transcription. Induces the transcription of long intergenic non-coding RNA p21 (lincRNA-p21) and lincRNA-Mkln1. LincRNA-p21 participates in TP53-dependent transcriptional repression leading to apoptosis and seems to have an effect on cell-cycle regulation. Implicated in Notch signaling cross-over. Prevents CDK7 kinase activity when associated to CAK complex in response to DNA damage, thus stopping cell cycle progression. Isoform 2 enhances the transactivation activity of isoform 1 from some but not all TP53-inducible promoters. Isoform 4 suppresses transactivation activity and impairs growth suppression mediated by isoform 1. Isoform 7 inhibits isoform 1-mediated apoptosis. Regulates the circadian clock by repressing CLOCK-BMAL1-mediated transcriptional activation of PER2 (PubMed : 24051492).
See full target information TP53

Product promise

We are committed to supporting your work with high-quality reagents, and we're here for you every step of the way. In the unlikely event that one of our products does not perform as expected, you're protected by our Product Promise.
For full details, please see our Terms & Conditions

Please note: All products are 'FOR RESEARCH USE ONLY. NOT FOR USE IN DIAGNOSTIC OR THERAPEUTIC PROCEDURES'.

For licensing inquiries, please contact partnerships@abcam.com