JavaScript is disabled in your browser. Please enable JavaScript to view this website.
AB38497

Anti-p53 (phospho S15) antibody

3

(3 Reviews)

|

(10 Publications)

Rabbit Polyclonal P53 phospho S15 antibody. Suitable for WB, IHC-P and reacts with Human samples. Cited in 10 publications. Immunogen corresponding to Synthetic Peptide within Human TP53 phospho S15.

View Alternative Names

P53, TP53, Cellular tumor antigen p53, Antigen NY-CO-13, Phosphoprotein p53, Tumor suppressor p53

2 Images
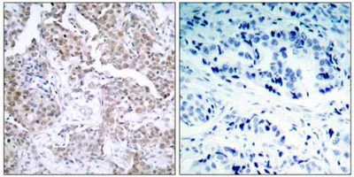
Immunohistochemistry (Formalin/PFA-fixed paraffin-embedded sections) - Anti-p53 (phospho S15) antibody (AB38497)
  • IHC-P

Unknown

Immunohistochemistry (Formalin/PFA-fixed paraffin-embedded sections) - Anti-p53 (phospho S15) antibody (AB38497)

ab38497 (1/100) staining p53 (phospho S15) in paraffin-embedded human breast carcinoma sections. Right-hand panel corresponds to a negative control where ab38497 was pre-incubated with the immunizing (blocking) peptide.

Western blot - Anti-p53 (phospho S15) antibody (AB38497)
  • WB

Unknown

Western blot - Anti-p53 (phospho S15) antibody (AB38497)

All lanes:

Western blot - Anti-p53 (phospho S15) antibody (ab38497)

Lane 1:

HeLa cells extract (5-30ug of total protein).

Lane 2:

HeLa cells extract (5-30ug of total protein). Treated with hydroxyurea

Predicted band size: 43 kDa

Observed band size: 57 kDa

false

Key facts

Host species

Rabbit

Clonality

Polyclonal

Isotype

IgG

Carrier free

No

Reacts with

Human

Applications

IHC-P, WB

applications

Immunogen

Synthetic Peptide within Human TP53 phospho S15. The exact immunogen used to generate this antibody is proprietary information.

P04637

Reactivity data

{ "title": "Reactivity Data", "filters": { "stats": ["", "Species", "Dilution Info", "Notes"], "tabs": { "all-applications": {"fullname" : "All Applications", "shortname": "All Applications"}, "WB" : {"fullname" : "Western blot", "shortname":"WB"}, "IHCP" : {"fullname" : "Immunohistochemistry (Formalin/PFA-fixed paraffin-embedded sections)", "shortname":"IHC-P"} }, "product-promise": { "all": "all", "testedAndGuaranteed": "tested", "guaranteed": "expected", "predicted": "predicted", "notRecommended": "not-recommended" } }, "values": { "Human": { "WB-species-checked": "testedAndGuaranteed", "WB-species-dilution-info": "1/500 - 1/1000", "WB-species-notes": "<p>Induction of phosphorylation required</p>", "IHCP-species-checked": "testedAndGuaranteed", "IHCP-species-dilution-info": "", "IHCP-species-notes": "<p></p>" } } }

Properties and storage information

Form
Liquid
Purification technique
Affinity purification Immunogen
Purification notes
The antibody was affinity purified from rabbit antiserum by affinity chromatography using epitope-specific phosphopeptide. The antibody against non-phosphopeptide was removed by chromatography using non-phosphopeptide corresponding to the phosphorylation site.
Storage buffer
pH: 7.4 Preservative: 0.02% Sodium azide Constituents: PBS, 50% Glycerol (glycerin, glycerine), 0.87% Sodium chloride
Shipped at conditions
Blue Ice
Appropriate short-term storage conditions
+4°C
Appropriate long-term storage conditions
-20°C
Aliquoting information
Upon delivery aliquot
Storage information
Avoid freeze / thaw cycle

Supplementary information

This supplementary information is collated from multiple sources and compiled automatically.

The protein p53 also known as TP53 or tumor protein p53 has a molecular weight of approximately 53 kDa. It acts as a transcription factor and plays a major role in cell cycle regulation apoptosis and maintaining genomic stability. This protein mainly expresses in the nucleus of cells and acts as a critical regulator of cellular responses to stress signals including DNA damage. Scientists commonly use p53 antibodies in various assays like western blot and p53 immunofluorescence to detect and study its expression and functional status in cells.
Biological function summary

P53 functions to control cell division and apoptosis serving as a guardian of the genome by preventing mutation accumulation. It does not form part of a larger complex under normal conditions but interacts with various other molecules to execute its functions. p53 can activate or suppress the transcription of numerous genes involved in cell cycle arrest DNA repair and programmed cell death allowing it to halt the progression of damaged cells and trigger repair mechanisms or eliminate those that cannot be repaired.

Pathways

P53 acts within several key biological pathways such as the p53 signaling pathway and the intrinsic apoptotic pathway. Its activity involves interaction with proteins like MDM2 which regulates p53 through ubiquitin-mediated degradation and ATM kinase which phosphorylates p53 in response to DNA damage. These interactions ensure appropriate cellular responses during stress and are vital for maintaining homeostasis.

P53 mutation or inactivation is often associated with the development of cancer given its role in controlling cell division and preventing tumor formation. Specifically its dysfunction has been linked to cancers such as breast cancer and lung cancer. Additionally p53 can interact with other mutant proteins like Ras compounding mutations that contribute to tumor progression and aggressive cancer phenotypes. Understanding these interactions and the status of p53 can be important in developing targeted cancer therapies.

Product protocols

For this product, it's our understanding that no specific protocols are required. You can visit:

Target data

Multifunctional transcription factor that induces cell cycle arrest, DNA repair or apoptosis upon binding to its target DNA sequence (PubMed : 11025664, PubMed : 12524540, PubMed : 12810724, PubMed : 15186775, PubMed : 15340061, PubMed : 17317671, PubMed : 17349958, PubMed : 19556538, PubMed : 20673990, PubMed : 20959462, PubMed : 22726440, PubMed : 24051492, PubMed : 24652652, PubMed : 35618207, PubMed : 36634798, PubMed : 38653238, PubMed : 9840937). Acts as a tumor suppressor in many tumor types; induces growth arrest or apoptosis depending on the physiological circumstances and cell type (PubMed : 11025664, PubMed : 12524540, PubMed : 12810724, PubMed : 15186775, PubMed : 15340061, PubMed : 17189187, PubMed : 17317671, PubMed : 17349958, PubMed : 19556538, PubMed : 20673990, PubMed : 20959462, PubMed : 22726440, PubMed : 24051492, PubMed : 24652652, PubMed : 38653238, PubMed : 9840937). Negatively regulates cell division by controlling expression of a set of genes required for this process (PubMed : 11025664, PubMed : 12524540, PubMed : 12810724, PubMed : 15186775, PubMed : 15340061, PubMed : 17317671, PubMed : 17349958, PubMed : 19556538, PubMed : 20673990, PubMed : 20959462, PubMed : 22726440, PubMed : 24051492, PubMed : 24652652, PubMed : 9840937). One of the activated genes is an inhibitor of cyclin-dependent kinases. Apoptosis induction seems to be mediated either by stimulation of BAX and FAS antigen expression, or by repression of Bcl-2 expression (PubMed : 12524540, PubMed : 17189187). Its pro-apoptotic activity is activated via its interaction with PPP1R13B/ASPP1 or TP53BP2/ASPP2 (PubMed : 12524540). However, this activity is inhibited when the interaction with PPP1R13B/ASPP1 or TP53BP2/ASPP2 is displaced by PPP1R13L/iASPP (PubMed : 12524540). In cooperation with mitochondrial PPIF is involved in activating oxidative stress-induced necrosis; the function is largely independent of transcription. Induces the transcription of long intergenic non-coding RNA p21 (lincRNA-p21) and lincRNA-Mkln1. LincRNA-p21 participates in TP53-dependent transcriptional repression leading to apoptosis and seems to have an effect on cell-cycle regulation. Implicated in Notch signaling cross-over. Prevents CDK7 kinase activity when associated to CAK complex in response to DNA damage, thus stopping cell cycle progression. Isoform 2 enhances the transactivation activity of isoform 1 from some but not all TP53-inducible promoters. Isoform 4 suppresses transactivation activity and impairs growth suppression mediated by isoform 1. Isoform 7 inhibits isoform 1-mediated apoptosis. Regulates the circadian clock by repressing CLOCK-BMAL1-mediated transcriptional activation of PER2 (PubMed : 24051492).
See full target information TP53 phospho S15

Publications (10)

Recent publications for all applications. Explore the full list and refine your search

Cardiovascular diabetology 24:295 PubMed40682056

2025

C-C chemokine ligand 5 from women subcutaneous adipose tissue has a central role in vascular aging.

Applications

Unspecified application

Species

Unspecified reactive species

Laura Le Pelletier,Kenza Ngono Ayissi,Jennifer Gorwood,Emilie Capel,Romain Morichon,Matthieu Mantecon,Martine Auclair,Rohia Alili,Christine Katlama,Lise Cuzin,Michael Atlan,Carine Beaupère,Christine Poitou,Franck Boccara,Bruno Fève,Jacqueline Capeau,Claire Lagathu,Véronique Béréziat

BMC medicine 20:95 PubMed35341481

2022

Loss of thymidine phosphorylase activity disrupts adipocyte differentiation and induces insulin-resistant lipoatrophic diabetes.

Applications

Unspecified application

Species

Unspecified reactive species

Jérémie Gautheron,Lara Lima,Baris Akinci,Jamila Zammouri,Martine Auclair,Sema Kalkan Ucar,Samim Ozen,Canan Altay,Bridget E Bax,Ivan Nemazanyy,Véronique Lenoir,Carina Prip-Buus,Cécile Acquaviva-Bourdain,Olivier Lascols,Bruno Fève,Corinne Vigouroux,Esther Noel,Isabelle Jéru

eLife 10: PubMed34342583

2021

mutations cause a lipoatrophic diabetes syndrome due to impaired epoxide hydrolysis and increased cellular senescence.

Applications

Unspecified application

Species

Unspecified reactive species

Jeremie Gautheron,Christophe Morisseau,Wendy K Chung,Jamila Zammouri,Martine Auclair,Genevieve Baujat,Emilie Capel,Celia Moulin,Yuxin Wang,Jun Yang,Bruce D Hammock,Barbara Cerame,Franck Phan,Bruno Fève,Corinne Vigouroux,Fabrizio Andreelli,Isabelle Jeru

Canadian journal of gastroenterology & hepatology 2019:9015453 PubMed30881947

2019

Phosphorylation of p53 Serine 15 Is a Predictor of Survival for Patients with Hepatocellular Carcinoma.

Applications

Unspecified application

Species

Unspecified reactive species

Taewoo Yang,Yegyun Choi,Jae Won Joh,Steve K Cho,Dae-Shick Kim,Sung-Gyoo Park

Molecular medicine reports 18:1345-1352 PubMed29901196

2018

Telomerase reverse transcriptase induced thyroid carcinoma cell proliferation through PTEN/AKT signaling pathway.

Applications

Unspecified application

Species

Unspecified reactive species

Hao Zhang,Ning Hu

American journal of translational research 9:1521-1529 PubMed28386377

2017

Hypoxia inducible factor 1α promotes survival of mesenchymal stem cells under hypoxia.

Applications

WB

Species

Rat

Bingke Lv,Feng Li,Jie Fang,Limin Xu,Chengmei Sun,Jianbang Han,Tian Hua,Zhongfei Zhang,Zhiming Feng,Xiaodan Jiang

British journal of cancer 111:1293-304 PubMed25051404

2014

Chromatin structure, transcriptional activity and DNA repair efficiency affect the outcome of chemotherapy in multiple myeloma.

Applications

Unspecified application

Species

Unspecified reactive species

M Gkotzamanidou,P P Sfikakis,S A Kyrtopoulos,C Bamia,M A Dimopoulos,V L Souliotis

eLife 3:e02482 PubMed24843002

2014

SETD2 is required for DNA double-strand break repair and activation of the p53-mediated checkpoint.

Applications

WB

Species

Human

Sílvia Carvalho,Alexandra C Vítor,Sreerama C Sridhara,Filipa B Martins,Ana C Raposo,Joana M P Desterro,João Ferreira,Sérgio F de Almeida

Proceedings of the National Academy of Sciences of 110:18650-5 PubMed24127581

2013

DIM (3,3'-diindolylmethane) confers protection against ionizing radiation by a unique mechanism.

Applications

WB

Species

Rat

Saijun Fan,Qinghui Meng,Jiaying Xu,Yang Jiao,Lin Zhao,Xiaodong Zhang,Fazlul H Sarkar,Milton L Brown,Anatoly Dritschilo,Eliot M Rosen

Leukemia 28:1113-21 PubMed24089038

2013

Progressive changes in chromatin structure and DNA damage response signals in bone marrow and peripheral blood during myelomagenesis.

Applications

WB

Species

Human

M Gkotzamanidou,E Terpos,C Bamia,S A Kyrtopoulos,P P Sfikakis,M A Dimopoulos,V L Souliotis
View all publications

Product promise

We are committed to supporting your work with high-quality reagents, and we're here for you every step of the way. In the unlikely event that one of our products does not perform as expected, you're protected by our Product Promise.
For full details, please see our Terms & Conditions

Please note: All products are 'FOR RESEARCH USE ONLY. NOT FOR USE IN DIAGNOSTIC OR THERAPEUTIC PROCEDURES'.

For licensing inquiries, please contact partnerships@abcam.com