JavaScript is disabled in your browser. Please enable JavaScript to view this website.
AB76242

Anti-p53 (phospho S46) antibody [EP42Y]

  • RabMAb
  • Recombinant
  • Lab Essentials
  • 20ul selling size
  • What is this?

Be the first to review this product! Submit a review

|

(16 Publications)

Rabbit Recombinant Monoclonal P53 phospho S46 antibody. Suitable for IHC-P, IP, WB, ICC/IF and reacts with Human samples. Cited in 16 publications.

View Alternative Names

P53, TP53, Cellular tumor antigen p53, Antigen NY-CO-13, Phosphoprotein p53, Tumor suppressor p53

5 Images
Immunocytochemistry/ Immunofluorescence - Anti-p53 (phospho S46) antibody [EP42Y] (AB76242)
  • ICC/IF

Lab

Immunocytochemistry/ Immunofluorescence - Anti-p53 (phospho S46) antibody [EP42Y] (AB76242)

Immunocytochemistry/immunofluorescence staining of 4% PFA fixed; 0.1% Triton-X permeabilized A431 (human epidermoid carcinoma) cells with ab76242 at dilution of 1/500. The secondary antibody used was Alexa Fluor® 488; goat anti-rabbit IgG (ab150077) at a dilution of 1/1000. Nucleus was counter-stained with DAPI (blue). ab7291, a mouse anti-tubulin antibody (1/500) was used to stain tubulin along with ab150120 (AlexaFluor®594 goat anti-mouse secondary, 1/1000).

Confocal image showed increased nuclear staining after ETP (etoposide; 25 μM, 5h) treatment on A431 cells. The LP treatment decreased the increased nuclear staining caused by ETP.

ab179477 (1/500) was used as a Pan control for ab76242. The results showed nuclear staining on untreated, ETP and ETP+LP treated Hela cells.

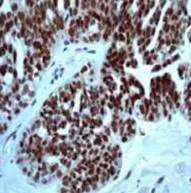
Immunohistochemistry (Formalin/PFA-fixed paraffin-embedded sections) - Anti-p53 (phospho S46) antibody [EP42Y] (AB76242)
  • IHC-P

Unknown

Immunohistochemistry (Formalin/PFA-fixed paraffin-embedded sections) - Anti-p53 (phospho S46) antibody [EP42Y] (AB76242)

Immunohistochemical analysis of human ovarian adenocarcinoma using ab76242 at 1/100 dilution.

Perform heat mediated antigen retrieval before commencing with IHC staining protocol.

Western blot - Anti-p53 (phospho S46) antibody [EP42Y] (AB76242)
  • WB

Lab

Western blot - Anti-p53 (phospho S46) antibody [EP42Y] (AB76242)

Blocking buffer 5% NFDM/TBST

Diluting buffer 5% NFDM/TBST

All lanes:

Western blot - Anti-p53 (phospho S46) antibody [EP42Y] (ab76242) at 1/5000 dilution

Lane 1:

HEK293 cells were treated with Etoposide whole cell lysates at 10 µg with p53 phospho S46 peptide

Lane 2:

HEK293 cells were treated with Etoposide whole cell lysates at 10 µg with p53 non-phospho peptide

Lane 3:

HEK293 cells were treated with Etoposide whole cell lysates at 10 µg

Secondary

All lanes:

Western blot - Goat Anti-Rabbit IgG H&L (HRP) (<a href='/en-us/products/secondary-antibodies/goat-rabbit-igg-h-l-hrp-ab97051'>ab97051</a>) at 1/20000 dilution

Predicted band size: 43 kDa

Observed band size: 53 kDa

false

Exposure time: 8s

Western blot - Anti-p53 (phospho S46) antibody [EP42Y] (AB76242)
  • WB

Lab

Western blot - Anti-p53 (phospho S46) antibody [EP42Y] (AB76242)

Blocking and dilution buffer : 5% NFDM/TBST.

All lanes:

Western blot - Anti-p53 (phospho S46) antibody [EP42Y] (ab76242) at 1/5000 dilution

Lane 1:

HepG2 whole cell lysate - treated with etopside at 10 µg

Lane 2:

HepG2 whole cell lysate - untreated at 10 µg

Secondary

All lanes:

Peroxidase-conjugated goat anti-rabbit IgG (H+L) at 1/1000 dilution

Predicted band size: 43 kDa

Observed band size: 53 kDa

false

Exposure time: 3min

Western blot - Anti-p53 (phospho S46) antibody [EP42Y] (AB76242)
  • WB

Unknown

Western blot - Anti-p53 (phospho S46) antibody [EP42Y] (AB76242)

Blocking buffer : 2% BSA/TBST
Dilution buffer : 2% BSA/TBST

All lanes:

Western blot - Anti-p53 (phospho S46) antibody [EP42Y] (ab76242) at 1/5000 dilution

Lane 1:

Untreated HepG2 whole cell lysate at 10 µg

Lane 2:

HepG2 whole cell lysate, treated with etoposide at 10 µg

Lane 3:

HepG2 whole cell lysate, treated with etoposide, then the membrane was treated with alkaline phosphatase at 10 µg

Secondary

All lanes:

Western blot - Goat Anti-Rabbit IgG H&L (HRP) (<a href='/en-us/products/secondary-antibodies/goat-rabbit-igg-h-l-hrp-ab97051'>ab97051</a>) at 1/20000 dilution

Predicted band size: 43 kDa

Observed band size: 53 kDa

false

Exposure time: 1min

  • Carrier free

    Anti-p53 (phospho S46) antibody [EP42Y] - BSA and Azide free

  • 665 Alexa Fluor® 647

    Alexa Fluor® 647 Anti-p53 (phospho S46) antibody [EP42Y]

Key facts

Host species

Rabbit

Clonality

Monoclonal

Clone number

EP42Y

Isotype

IgG

Carrier free

No

Reacts with

Human

Applications

IP, WB, IHC-P, ICC/IF

applications

Immunogen

The exact immunogen used to generate this antibody is proprietary information.

Reactivity data

{ "title": "Reactivity Data", "filters": { "stats": ["", "Species", "Dilution Info", "Notes"], "tabs": { "all-applications": {"fullname" : "All Applications", "shortname": "All Applications"}, "IHCP" : {"fullname" : "Immunohistochemistry (Formalin/PFA-fixed paraffin-embedded sections)", "shortname":"IHC-P"}, "IP" : {"fullname" : "Immunoprecipitation", "shortname":"IP"}, "FlowCyt" : {"fullname" : "Flow Cytometry", "shortname":"Flow Cyt"}, "WB" : {"fullname" : "Western blot", "shortname":"WB"}, "ICCIF" : {"fullname" : "Immunocytochemistry/ Immunofluorescence", "shortname":"ICC/IF"} }, "product-promise": { "all": "all", "testedAndGuaranteed": "tested", "guaranteed": "expected", "predicted": "predicted", "notRecommended": "not-recommended" } }, "values": { "Human": { "IHCP-species-checked": "testedAndGuaranteed", "IHCP-species-dilution-info": "1/100 - 1/250", "IHCP-species-notes": "<p></p>", "IP-species-checked": "guaranteed", "IP-species-dilution-info": "1/40", "IP-species-notes": "<p></p>", "FlowCyt-species-checked": "notRecommended", "FlowCyt-species-dilution-info": "", "FlowCyt-species-notes": "<p></p>", "WB-species-checked": "testedAndGuaranteed", "WB-species-dilution-info": "1/1000 - 1/2000", "WB-species-notes": "<p></p>", "ICCIF-species-checked": "testedAndGuaranteed", "ICCIF-species-dilution-info": "1/500", "ICCIF-species-notes": "<p></p>" } } }

Product details

Species reactivity
Mouse, Rat: We have preliminary internal testing data to indicate this antibody may not react with these species.
Please contact us for more information.

Patented technology
Our RabMAb® technology is a patented hybridoma-based technology for making rabbit monoclonal antibodies. For details on our patents, please refer to RabMAb® patents.

What are the advantages of a recombinant monoclonal antibody?
This product is a recombinant monoclonal antibody, which offers several advantages including:

  • - High batch-to-batch consistency and reproducibility
  • - Improved sensitivity and specificity
  • - Long-term security of supply
  • - Animal-free batch production

For more information, read more on recombinant antibodies.

Properties and storage information

Form
Liquid
Purification technique
Affinity purification Protein A
Storage buffer
pH: 7.2 - 7.4 Preservative: 0.01% Sodium azide Constituents: PBS, 50% Tissue culture supernatant, 40% Glycerol (glycerin, glycerine), 0.05% BSA
Shipped at conditions
Blue Ice
Appropriate short-term storage duration
1-2 weeks
Appropriate short-term storage conditions
+4°C
Appropriate long-term storage conditions
-20°C
Aliquoting information
Upon delivery aliquot
Storage information
Avoid freeze / thaw cycle

Supplementary information

This supplementary information is collated from multiple sources and compiled automatically.

The protein p53 also known as TP53 or tumor protein p53 has a molecular weight of approximately 53 kDa. It acts as a transcription factor and plays a major role in cell cycle regulation apoptosis and maintaining genomic stability. This protein mainly expresses in the nucleus of cells and acts as a critical regulator of cellular responses to stress signals including DNA damage. Scientists commonly use p53 antibodies in various assays like western blot and p53 immunofluorescence to detect and study its expression and functional status in cells.
Biological function summary

P53 functions to control cell division and apoptosis serving as a guardian of the genome by preventing mutation accumulation. It does not form part of a larger complex under normal conditions but interacts with various other molecules to execute its functions. p53 can activate or suppress the transcription of numerous genes involved in cell cycle arrest DNA repair and programmed cell death allowing it to halt the progression of damaged cells and trigger repair mechanisms or eliminate those that cannot be repaired.

Pathways

P53 acts within several key biological pathways such as the p53 signaling pathway and the intrinsic apoptotic pathway. Its activity involves interaction with proteins like MDM2 which regulates p53 through ubiquitin-mediated degradation and ATM kinase which phosphorylates p53 in response to DNA damage. These interactions ensure appropriate cellular responses during stress and are vital for maintaining homeostasis.

P53 mutation or inactivation is often associated with the development of cancer given its role in controlling cell division and preventing tumor formation. Specifically its dysfunction has been linked to cancers such as breast cancer and lung cancer. Additionally p53 can interact with other mutant proteins like Ras compounding mutations that contribute to tumor progression and aggressive cancer phenotypes. Understanding these interactions and the status of p53 can be important in developing targeted cancer therapies.

Product protocols

For this product, it's our understanding that no specific protocols are required. You can visit:

Target data

Multifunctional transcription factor that induces cell cycle arrest, DNA repair or apoptosis upon binding to its target DNA sequence (PubMed : 11025664, PubMed : 12524540, PubMed : 12810724, PubMed : 15186775, PubMed : 15340061, PubMed : 17317671, PubMed : 17349958, PubMed : 19556538, PubMed : 20673990, PubMed : 20959462, PubMed : 22726440, PubMed : 24051492, PubMed : 24652652, PubMed : 35618207, PubMed : 36634798, PubMed : 38653238, PubMed : 9840937). Acts as a tumor suppressor in many tumor types; induces growth arrest or apoptosis depending on the physiological circumstances and cell type (PubMed : 11025664, PubMed : 12524540, PubMed : 12810724, PubMed : 15186775, PubMed : 15340061, PubMed : 17189187, PubMed : 17317671, PubMed : 17349958, PubMed : 19556538, PubMed : 20673990, PubMed : 20959462, PubMed : 22726440, PubMed : 24051492, PubMed : 24652652, PubMed : 38653238, PubMed : 9840937). Negatively regulates cell division by controlling expression of a set of genes required for this process (PubMed : 11025664, PubMed : 12524540, PubMed : 12810724, PubMed : 15186775, PubMed : 15340061, PubMed : 17317671, PubMed : 17349958, PubMed : 19556538, PubMed : 20673990, PubMed : 20959462, PubMed : 22726440, PubMed : 24051492, PubMed : 24652652, PubMed : 9840937). One of the activated genes is an inhibitor of cyclin-dependent kinases. Apoptosis induction seems to be mediated either by stimulation of BAX and FAS antigen expression, or by repression of Bcl-2 expression (PubMed : 12524540, PubMed : 17189187). Its pro-apoptotic activity is activated via its interaction with PPP1R13B/ASPP1 or TP53BP2/ASPP2 (PubMed : 12524540). However, this activity is inhibited when the interaction with PPP1R13B/ASPP1 or TP53BP2/ASPP2 is displaced by PPP1R13L/iASPP (PubMed : 12524540). In cooperation with mitochondrial PPIF is involved in activating oxidative stress-induced necrosis; the function is largely independent of transcription. Induces the transcription of long intergenic non-coding RNA p21 (lincRNA-p21) and lincRNA-Mkln1. LincRNA-p21 participates in TP53-dependent transcriptional repression leading to apoptosis and seems to have an effect on cell-cycle regulation. Implicated in Notch signaling cross-over. Prevents CDK7 kinase activity when associated to CAK complex in response to DNA damage, thus stopping cell cycle progression. Isoform 2 enhances the transactivation activity of isoform 1 from some but not all TP53-inducible promoters. Isoform 4 suppresses transactivation activity and impairs growth suppression mediated by isoform 1. Isoform 7 inhibits isoform 1-mediated apoptosis. Regulates the circadian clock by repressing CLOCK-BMAL1-mediated transcriptional activation of PER2 (PubMed : 24051492).
See full target information TP53 phospho S46

Publications (16)

Recent publications for all applications. Explore the full list and refine your search

Frontiers in oncology 14:1433256 PubMed39717750

2024

Neuroblastoma response to RAS-MAPK inhibitors and APR-246 (eprenetapopt) co-treatment is dependent on SLC7A11.

Applications

Unspecified application

Species

Unspecified reactive species

Vid Mlakar,Ina Oehme,Laurence Lesne,Sara Najafi,Marc Ansari,Fabienne Gumy-Pause

Heliyon 10:e31431 PubMed38845972

2024

HMGA2 promotes resistance against paclitaxel by targeting the p53 signaling pathway in colorectal cancer cells.

Applications

Unspecified application

Species

Unspecified reactive species

Haizhong Jiang,Xueying Li,Feng Zhou,Yang Xi,Guoqiang Xu

Nature communications 15:2821 PubMed38561401

2024

p53 rapidly restructures 3D chromatin organization to trigger a transcriptional response.

Applications

Unspecified application

Species

Unspecified reactive species

François Serra,Andrea Nieto-Aliseda,Lucía Fanlo-Escudero,Llorenç Rovirosa,Mónica Cabrera-Pasadas,Aleksey Lazarenkov,Blanca Urmeneta,Alvaro Alcalde-Merino,Emanuele M Nola,Andrei L Okorokov,Peter Fraser,Mariona Graupera,Sandra D Castillo,Jose L Sardina,Alfonso Valencia,Biola M Javierre

Sichuan da xue xue bao. Yi xue ban = Journal of Sichuan University. Medical science edition 53:457-465 PubMed35642155

2022

[Effect of 53 Targeted Co-Inhibitory Pathways Based on Comprehensive Bioinformatics Analysis in Treating Squamous Cell Carcinoma of the Head and Neck].

Applications

Unspecified application

Species

Unspecified reactive species

Yu-Fei Yao,Wei Liu,Mao-Lin Zhou,Ting-Liang Qiu,Kun Wang

Molecular therapy oncolytics 25:288-304 PubMed35663228

2022

Icaritin inhibits PLK1 to activate DNA damage response in NK/T cell lymphoma and increases sensitivity to GELOX regime.

Applications

Unspecified application

Species

Unspecified reactive species

Canjing Zhang,Huiwen Xu,Xianxian Sui,Lina Chen,Bobin Chen,Haozhen Lv,Songmei Wang,Xuanyi Wang

EBioMedicine 74:103713 PubMed34837851

2021

Exercise downregulates HIPK2 and HIPK2 inhibition protects against myocardial infarction.

Applications

Unspecified application

Species

Unspecified reactive species

Qiulian Zhou,Jiali Deng,Jianhua Yao,Jiaxin Song,Danni Meng,Yujiao Zhu,Minjun Xu,Yajun Liang,Jiahong Xu,Joost Pg Sluijter,Junjie Xiao

Cell chemical biology 28:625-635.e5 PubMed33503403

2021

Small-molecule probe reveals a kinase cascade that links stress signaling to TCF/LEF and Wnt responsiveness.

Applications

Unspecified application

Species

Unspecified reactive species

Jiongjia Cheng,Masanao Tsuda,Karl Okolotowicz,Mary Dwyer,Paul J Bushway,Alexandre R Colas,Joseph J Lancman,Dennis Schade,Isaac Perea-Gil,Arne A N Bruyneel,Jaechol Lee,Nirmal Vadgama,Justine Quach,Wesley L McKeithan,Travis L Biechele,Joseph C Wu,Randall T Moon,P Duc Si Dong,Ioannis Karakikes,John R Cashman,Mark Mercola

Turkish journal of biology = Turk biyoloji dergisi 44:264-274 PubMed33110364

2020

Caffeic acid phenethyl ester induces apoptosis in colorectal cancer cells via inhibition of survivin.

Applications

Unspecified application

Species

Unspecified reactive species

Ceren Sari,Ceren SÜmer,Figen Celep EyÜpoĞlu

American journal of cancer research 9:390-405 PubMed30906636

2019

Inhibition of invasive pancreatic cancer: restoring cell apoptosis by activating mitochondrial p53.

Applications

Unspecified application

Species

Unspecified reactive species

Jiongjia Cheng,Karl J Okolotowicz,Daniel Ryan,Evangeline Mose,Andrew M Lowy,John R Cashman

Science advances 4:eaat5077 PubMed30585287

2018

Cell type-dependent bimodal p53 activation engenders a dynamic mechanism of chemoresistance.

Applications

Unspecified application

Species

Unspecified reactive species

Ruizhen Yang,Bo Huang,Yanting Zhu,Yang Li,Feng Liu,Jue Shi
View all publications

Product promise

We are committed to supporting your work with high-quality reagents, and we're here for you every step of the way. In the unlikely event that one of our products does not perform as expected, you're protected by our Product Promise.
For full details, please see our Terms & Conditions

Please note: All products are 'FOR RESEARCH USE ONLY. NOT FOR USE IN DIAGNOSTIC OR THERAPEUTIC PROCEDURES'.

For licensing inquiries, please contact partnerships@abcam.com