JavaScript is disabled in your browser. Please enable JavaScript to view this website.
AB308342

Anti-p53 R175H Mutant antibody [HL1129]

Be the first to review this product! Submit a review

|

(0 Publication)

Rabbit Recombinant Monoclonal P53 mutated R175H antibody. Carrier free. Suitable for IHC-P, ICC/IF, WB and reacts with Human, Transfected cell line samples. Immunogen corresponding to Synthetic Peptide within Human Cellular tumor antigen p53 mutated R175H.

View Alternative Names

P53, Cellular tumor antigen p53, Antigen NY-CO-13, Phosphoprotein p53, Tumor suppressor p53

5 Images
Immunocytochemistry/ Immunofluorescence - Anti-p53 R175H Mutant antibody [HL1129] (AB308342)
  • ICC/IF

Supplier Data

Immunocytochemistry/ Immunofluorescence - Anti-p53 R175H Mutant antibody [HL1129] (AB308342)

For immunofluorescence analysis, mock and transfected HEK293T cells were fixed in 4% paraformaldehyde at room temperature for 15 minutes and permeabilized for detection of p53 R175H Mutant using ab308342 at 1/1900 dilution (green). Blue : Fluoroshield with DAPI.

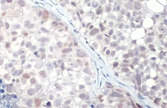
Immunohistochemistry (Formalin/PFA-fixed paraffin-embedded sections) - Anti-p53 R175H Mutant antibody [HL1129] (AB308342)
  • IHC-P

Supplier Data

Immunohistochemistry (Formalin/PFA-fixed paraffin-embedded sections) - Anti-p53 R175H Mutant antibody [HL1129] (AB308342)

Immunohistochemical analysis of AU565 Xenograft tissue labeling p53 R175H Mutant using ab308342 at 1/100 dilution. Antigen retrival was performed using Citrate buffer, pH 6.0, 15 min.

Western blot - Anti-p53 R175H Mutant antibody [HL1129] (AB308342)
  • WB

Supplier Data

Western blot - Anti-p53 R175H Mutant antibody [HL1129] (AB308342)

Separated by 10% SDS-PAGE.

Lane 1:

Western blot - Anti-p53 R175H Mutant antibody [HL1129] (ab308342) at 30 µg

Lane 1:

AU565 whole cell extract at 1/1000 dilution

Secondary

All lanes:

HRP-conjugated anti-rabbit IgG antibody

Predicted band size: 44 kDa

true

Western blot - Anti-p53 R175H Mutant antibody [HL1129] (AB308342)
  • WB

Supplier Data

Western blot - Anti-p53 R175H Mutant antibody [HL1129] (AB308342)

Non-transfected (–) and transfected (+) 293T whole cell extracts (30 μg) were separated by 10% SDS-PAGE, and the membrane was blotted with p53 (R175H Mutant) antibody [HL1129] (ab308342) diluted at 1/5000. The HRP-conjugated anti-rabbit IgG antibody was used to detect the primary antibody.

All lanes:

Western blot - Anti-p53 R175H Mutant antibody [HL1129] (ab308342) at 1/5000 dilution

Lanes 1 - 2:

Non-transfected (–) 293T whole cell extracts at 30 µg

Lane 3:

Transfected (+) 293T whole cell extracts at 30 µg

false

Western blot - Anti-p53 R175H Mutant antibody [HL1129] (AB308342)
  • WB

Supplier Data

Western blot - Anti-p53 R175H Mutant antibody [HL1129] (AB308342)

The signal was developed with Trident ECL plus-Enhanced

All lanes:

Western blot - Anti-p53 R175H Mutant antibody [HL1129] (ab308342) at 1/1000 dilution

Lane 1:

Wild-type HCT116 whole cell extract at 30 µg

Lane 2:

AU565 (R175H Mutant) whole cell extract at 30 µg

Secondary

All lanes:

HRP-conjugated anti-rabbit IgG antibody

Predicted band size: 44 kDa

false

Key facts

Host species

Rabbit

Clonality

Monoclonal

Clone number

HL1129

Isotype

IgG

Carrier free

Yes

Reacts with

Human

Applications

ICC/IF, WB, IHC-P

applications

Immunogen

Synthetic Peptide within Human Cellular tumor antigen p53 mutated R175H. The exact immunogen used to generate this antibody is proprietary information.

P04637

Reactivity data

{ "title": "Reactivity Data", "filters": { "stats": ["", "Species", "Dilution Info", "Notes"], "tabs": { "all-applications": {"fullname" : "All Applications", "shortname": "All Applications"}, "IHCP" : {"fullname" : "Immunohistochemistry (Formalin/PFA-fixed paraffin-embedded sections)", "shortname":"IHC-P"}, "ICCIF" : {"fullname" : "Immunocytochemistry/ Immunofluorescence", "shortname":"ICC/IF"}, "WB" : {"fullname" : "Western blot", "shortname":"WB"} }, "product-promise": { "all": "all", "testedAndGuaranteed": "tested", "guaranteed": "expected", "predicted": "predicted", "notRecommended": "not-recommended" } }, "values": { "Human": { "IHCP-species-checked": "testedAndGuaranteed", "IHCP-species-dilution-info": "1/100", "IHCP-species-notes": "<p></p>", "ICCIF-species-checked": "guaranteed", "ICCIF-species-dilution-info": "", "ICCIF-species-notes": "", "WB-species-checked": "testedAndGuaranteed", "WB-species-dilution-info": "1/1000 - 1/5000", "WB-species-notes": "<p></p>" }, "Transfected cell line": { "IHCP-species-checked": "notRecommended", "IHCP-species-dilution-info": "", "IHCP-species-notes": "", "ICCIF-species-checked": "testedAndGuaranteed", "ICCIF-species-dilution-info": "1/1900", "ICCIF-species-notes": "<p></p>", "WB-species-checked": "testedAndGuaranteed", "WB-species-dilution-info": "1/1000 - 1/5000", "WB-species-notes": "<p></p>" } } }

Product details

What are the advantages of a recombinant monoclonal antibody?
This product is a recombinant monoclonal antibody, which offers several advantages including:

  • - High batch-to-batch consistency and reproducibility
  • - Improved sensitivity and specificity
  • - Long-term security of supply
  • - Animal-free batch production

For more information, read more on recombinant antibodies.

Conjugation ready
Our carrier-free antibodies are typically supplied in a PBS-only formulation, purified and free of BSA, sodium azide and glycerol. This conjugation-ready format is designed for use with fluorochromes, metal isotopes, oligonucleotides, and enzymes, which makes them ideal for antibody labelling, functional and cell-based assays, flow-based assays (e.g. mass cytometry) and Multiplex Imaging applications.

Use our conjugation kits for antibody conjugates that are ready-to-use in as little as 20 minutes with 1 minute hands-on-time and 100% antibody recovery: available for fluorescent dyes, HRP, biotin and gold.

Properties and storage information

Form
Liquid
Purification technique
Affinity purification Protein A
Storage buffer
pH: 7.4 Constituents: PBS
Shipped at conditions
Blue Ice
Appropriate short-term storage duration
1-2 weeks
Appropriate short-term storage conditions
+4°C
Appropriate long-term storage conditions
+4°C
Aliquoting information
Upon delivery aliquot
Storage information
Avoid freeze / thaw cycle

Supplementary information

This supplementary information is collated from multiple sources and compiled automatically.

Mutant p53 also known as tumor protein p53 or TP53 is a variant of the p53 protein which usually acts as a guardian of the genome. The regular p53 functions as a transcription factor and has a molecular mass of approximately 53 kDa. It is expressed in various tissues throughout the body. In its mutant form p53 loses its ability to ensure genomic stability and becomes dysfunctional leading to abnormal cellular processes.
Biological function summary

Mutant p53 impacts several cellular mechanisms beyond its usual role in DNA repair and cell cycle regulation. It can form part of various protein complexes that disrupt normal cellular functions promoting oncogenic transformation. Mutant p53 often accumulates to higher levels within the cell compared to its wild-type counterpart leading to gain-of-function properties which contribute to cancer development.

Pathways

Mutant p53 interacts with many cellular pathways such as the p53 signaling pathway and apoptosis regulation. It influences the pathways by altering interactions with other proteins like MDM2 and RB1 modifying normal cellular responses to stress and damage. These modifications can disrupt regular apoptotic processes and cell cycle checkpoints further assisting in tumorigenesis.

Mutant p53 is strongly linked with various cancers including breast and colorectal cancers. Mutations in p53 are among the most common genetic alterations observed in cancerous cells and they enable tumors to bypass growth suppression and evade apoptosis. Through cancerous pathways mutant p53 becomes interconnected with proteins like BRCA1 in breast cancer and APC in colorectal cancer promoting disease progression and resistance to standard therapies.

Product protocols

For this product, it's our understanding that no specific protocols are required. You can visit:

Target data

Multifunctional transcription factor that induces cell cycle arrest, DNA repair or apoptosis upon binding to its target DNA sequence (PubMed : 11025664, PubMed : 12524540, PubMed : 12810724, PubMed : 15186775, PubMed : 15340061, PubMed : 17317671, PubMed : 17349958, PubMed : 19556538, PubMed : 20673990, PubMed : 20959462, PubMed : 22726440, PubMed : 24051492, PubMed : 24652652, PubMed : 35618207, PubMed : 36634798, PubMed : 38653238, PubMed : 9840937). Acts as a tumor suppressor in many tumor types; induces growth arrest or apoptosis depending on the physiological circumstances and cell type (PubMed : 11025664, PubMed : 12524540, PubMed : 12810724, PubMed : 15186775, PubMed : 15340061, PubMed : 17189187, PubMed : 17317671, PubMed : 17349958, PubMed : 19556538, PubMed : 20673990, PubMed : 20959462, PubMed : 22726440, PubMed : 24051492, PubMed : 24652652, PubMed : 38653238, PubMed : 9840937). Negatively regulates cell division by controlling expression of a set of genes required for this process (PubMed : 11025664, PubMed : 12524540, PubMed : 12810724, PubMed : 15186775, PubMed : 15340061, PubMed : 17317671, PubMed : 17349958, PubMed : 19556538, PubMed : 20673990, PubMed : 20959462, PubMed : 22726440, PubMed : 24051492, PubMed : 24652652, PubMed : 9840937). One of the activated genes is an inhibitor of cyclin-dependent kinases. Apoptosis induction seems to be mediated either by stimulation of BAX and FAS antigen expression, or by repression of Bcl-2 expression (PubMed : 12524540, PubMed : 17189187). Its pro-apoptotic activity is activated via its interaction with PPP1R13B/ASPP1 or TP53BP2/ASPP2 (PubMed : 12524540). However, this activity is inhibited when the interaction with PPP1R13B/ASPP1 or TP53BP2/ASPP2 is displaced by PPP1R13L/iASPP (PubMed : 12524540). In cooperation with mitochondrial PPIF is involved in activating oxidative stress-induced necrosis; the function is largely independent of transcription. Induces the transcription of long intergenic non-coding RNA p21 (lincRNA-p21) and lincRNA-Mkln1. LincRNA-p21 participates in TP53-dependent transcriptional repression leading to apoptosis and seems to have an effect on cell-cycle regulation. Implicated in Notch signaling cross-over. Prevents CDK7 kinase activity when associated to CAK complex in response to DNA damage, thus stopping cell cycle progression. Isoform 2 enhances the transactivation activity of isoform 1 from some but not all TP53-inducible promoters. Isoform 4 suppresses transactivation activity and impairs growth suppression mediated by isoform 1. Isoform 7 inhibits isoform 1-mediated apoptosis. Regulates the circadian clock by repressing CLOCK-BMAL1-mediated transcriptional activation of PER2 (PubMed : 24051492).
See full target information Cellular tumor antigen p53 mutated R175H

Product promise

We are committed to supporting your work with high-quality reagents, and we're here for you every step of the way. In the unlikely event that one of our products does not perform as expected, you're protected by our Product Promise.
For full details, please see our Terms & Conditions

Please note: All products are 'FOR RESEARCH USE ONLY. NOT FOR USE IN DIAGNOSTIC OR THERAPEUTIC PROCEDURES'.

For licensing inquiries, please contact partnerships@abcam.com