JavaScript is disabled in your browser. Please enable JavaScript to view this website.
AB284805

Anti-p57 Kip2 antibody [EP2718(2)] - BSA and Azide free

Be the first to review this product! Submit a review

|

(0 Publication)

Rabbit Monoclonal p57 Kip2 antibody. Carrier free. Suitable for IP, WB, IHC-P and reacts with Human samples.

View Alternative Names

KIP2, CDKN1C, Cyclin-dependent kinase inhibitor 1C, Cyclin-dependent kinase inhibitor p57, p57Kip2

6 Images
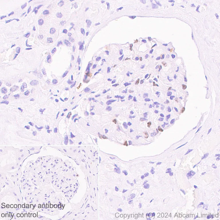
Immunohistochemistry (Formalin/PFA-fixed paraffin-embedded sections) - Anti-p57 Kip2 antibody [EP2718(2)] - BSA and Azide free (AB284805)
  • IHC-P

Lab

Immunohistochemistry (Formalin/PFA-fixed paraffin-embedded sections) - Anti-p57 Kip2 antibody [EP2718(2)] - BSA and Azide free (AB284805)

This data was developed using ab133531, the same antibody clone in a different buffer formulation.

Immunohistochemical analysis of paraffin-embedded Human kidney tissue labeling p57 Kip2 with ab133531 at 1/20000 (0.02 µg/ml) dilution, followed by a ready to use Rabbit specific IHC polymer detection kit HRP/DAB (ab209101).

Nuclear staining on human kidney.
The section was incubated with ab133531 for 30 mins at room temperature.
The immunostaining was performed on a Leica Biosystems BOND® RX instrument

Counterstained with Hematoxylin.

Secondary antibody only control : Secondary antibody is a ready to use Rabbit specific IHC polymer detection kit HRP/DAB (ab209101).

Heat mediated antigen retrieval using Bond™ Epitope Retrieval Solution 2 (pH 9.0) for 20 minutes.

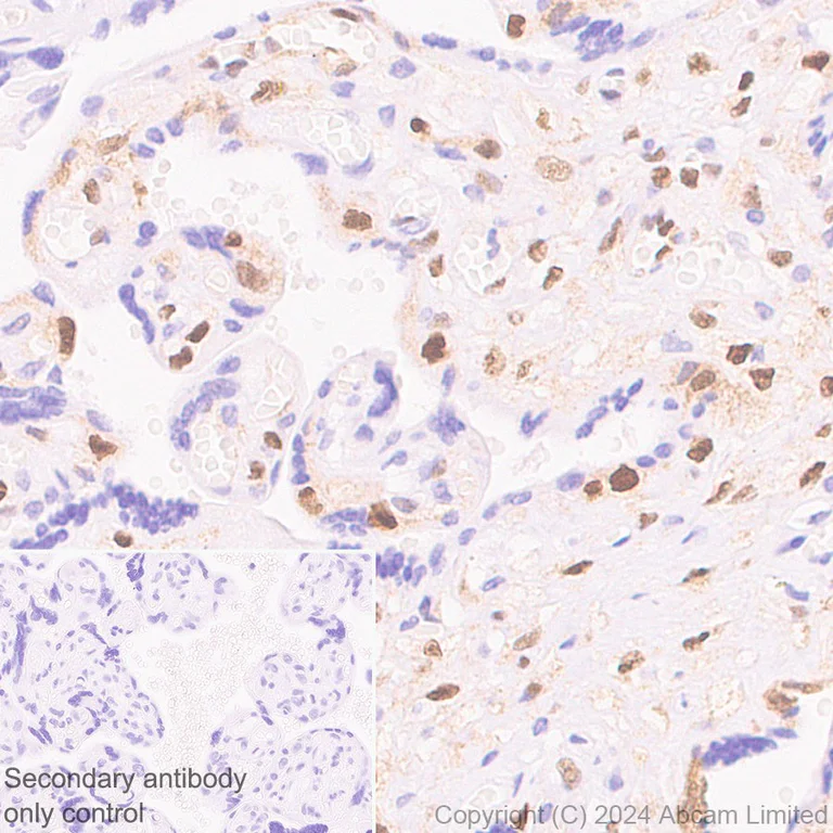
Immunohistochemistry (Formalin/PFA-fixed paraffin-embedded sections) - Anti-p57 Kip2 antibody [EP2718(2)] - BSA and Azide free (AB284805)
  • IHC-P

Lab

Immunohistochemistry (Formalin/PFA-fixed paraffin-embedded sections) - Anti-p57 Kip2 antibody [EP2718(2)] - BSA and Azide free (AB284805)

This data was developed using ab133531, the same antibody clone in a different buffer formulation.

Immunohistochemical analysis of paraffin-embedded Human placenta tissue labeling p57 Kip2 with ab133531 at 1/20000 (0.02 µg/ml) dilution, followed by a ready to use Rabbit specific IHC polymer detection kit HRP/DAB (ab209101).

Nuclear staining on human placenta.
The section was incubated with ab133531 for 30 mins at room temperature.
The immunostaining was performed on a Leica Biosystems BOND® RX instrument

Counterstained with Hematoxylin.

Secondary antibody only control : Secondary antibody is a ready to use Rabbit specific IHC polymer detection kit HRP/DAB (ab209101).

Heat mediated antigen retrieval using Bond™ Epitope Retrieval Solution 2 (pH 9.0) for 20 minutes.

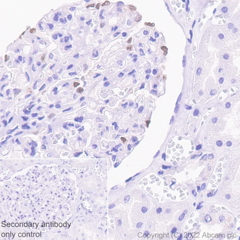
Immunohistochemistry (Formalin/PFA-fixed paraffin-embedded sections) - Anti-p57 Kip2 antibody [EP2718(2)] - BSA and Azide free (AB284805)
  • IHC-P

Lab

Immunohistochemistry (Formalin/PFA-fixed paraffin-embedded sections) - Anti-p57 Kip2 antibody [EP2718(2)] - BSA and Azide free (AB284805)

Immunohistochemical analysis of paraffin-embedded Human placenta tissue labeling p57 Kip2 with ab284805 at 1/40000 dilution. Heat mediated antigen retrieval was performed with Tris-EDTA buffer (pH 9.0, epitope retrieval solution 2) for 20 mins. Counterstained with hematoxylin. The immunostaining was performed on a Leica Biosystems BOND® RX instrument.

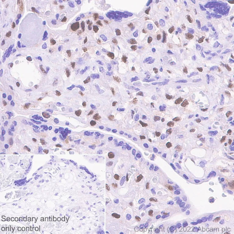
Immunohistochemistry (Formalin/PFA-fixed paraffin-embedded sections) - Anti-p57 Kip2 antibody [EP2718(2)] - BSA and Azide free (AB284805)
  • IHC-P

Lab

Immunohistochemistry (Formalin/PFA-fixed paraffin-embedded sections) - Anti-p57 Kip2 antibody [EP2718(2)] - BSA and Azide free (AB284805)

Immunohistochemical analysis of paraffin-embedded Human kidney tissue labeling p57 Kip2 with ab284805 at 1/40000 dilution. Heat mediated antigen retrieval was performed with Tris-EDTA buffer (pH 9.0, epitope retrieval solution 2) for 20 mins. Counterstained with hematoxylin. The immunostaining was performed on a Leica Biosystems BOND® RX instrument.

Immunoprecipitation - Anti-p57 Kip2 antibody [EP2718(2)] - BSA and Azide free (AB284805)
  • IP

Lab

Immunoprecipitation - Anti-p57 Kip2 antibody [EP2718(2)] - BSA and Azide free (AB284805)

p57 Kip2 was immunoprecipitated from 0.35 mg of HeLa cell lysate with ab133531 at 1/50 dilution. Western blot was performed from the immunoprecipitated using ab133531 at 1/1000 dilution. VeriBlot for IP Detection Reagent (HRP) (ab131366), was used as secondary antibody at 1/5000 dilution.

Lane 1 : HeLa (Human cervix adenocarcinoma epithelial cell) whole cell lysate 10 ?g.

Lane 2 : HeLa whole cell lysate.

Lane 3 : Rabbit monoclonal IgG (ab172730) instead of ab133531 in HeLa whole cell lysate.

All lanes:

Immunoprecipitation - Anti-p57 Kip2 antibody [EP2718(2)] - BSA and Azide free (ab284805) at 1/50 dilution

Lane 1:

HeLa (Human cervix adenocarcinoma epithelial cell) whole cell lysate

Lane 2:

HeLa (Human cervix adenocarcinoma epithelial cell) whole cell lysate at 10 µg

Secondary

All lanes:

Immunoprecipitation - VeriBlot for IP Detection Reagent (HRP) (<a href='/en-us/products/reagents/veriblot-for-ip-detection-reagent-hrp-ab131366'>ab131366</a>) at 1/5000 dilution

false

Exposure time: 180s

Western blot - Anti-p57 Kip2 antibody [EP2718(2)] - BSA and Azide free (AB284805)
  • WB

Lab

Western blot - Anti-p57 Kip2 antibody [EP2718(2)] - BSA and Azide free (AB284805)

Blocking and diluting buffer and concentration : 5% NFDM/TBST.

All lanes:

Western blot - Anti-p57 Kip2 antibody [EP2718(2)] - BSA and Azide free (ab284805) at 1/1000 dilution

Lane 1:

Untreated HeLa (Human cervix adenocarcinoma epithelial cell) whole cell lysate at 15 µg

Lane 2:

HeLa treated with 100nM dexamethasone for 24h whole cell lysate at 15 µg

Secondary

All lanes:

Western blot - Goat Anti-Rabbit IgG H&L (HRP) (<a href='/en-us/products/secondary-antibodies/goat-rabbit-igg-h-l-hrp-ab97051'>ab97051</a>) at 1/20000 dilution

Predicted band size: 54 kDa

Observed band size: 54 kDa

false

Exposure time: 3s

Key facts

Host species

Rabbit

Clonality

Monoclonal

Clone number

EP2718(2)

Isotype

IgG

Carrier free

Yes

Reacts with

Human

Applications

WB, IP, IHC-P

applications

Immunogen

The exact immunogen used to generate this antibody is proprietary information.

Reactivity data

{ "title": "Reactivity Data", "filters": { "stats": ["", "Species", "Dilution Info", "Notes"], "tabs": { "all-applications": {"fullname" : "All Applications", "shortname": "All Applications"}, "IP" : {"fullname" : "Immunoprecipitation", "shortname":"IP"}, "FlowCyt" : {"fullname" : "Flow Cytometry", "shortname":"Flow Cyt"}, "WB" : {"fullname" : "Western blot", "shortname":"WB"}, "IHCP" : {"fullname" : "Immunohistochemistry (Formalin/PFA-fixed paraffin-embedded sections)", "shortname":"IHC-P"}, "ICCIF" : {"fullname" : "Immunocytochemistry/ Immunofluorescence", "shortname":"ICC/IF"} }, "product-promise": { "all": "all", "testedAndGuaranteed": "tested", "guaranteed": "expected", "predicted": "predicted", "notRecommended": "not-recommended" } }, "values": { "Human": { "IP-species-checked": "testedAndGuaranteed", "IP-species-dilution-info": "", "IP-species-notes": "<p></p>", "FlowCyt-species-checked": "notRecommended", "FlowCyt-species-dilution-info": "", "FlowCyt-species-notes": "<p></p>", "WB-species-checked": "testedAndGuaranteed", "WB-species-dilution-info": "", "WB-species-notes": "<p></p>", "IHCP-species-checked": "testedAndGuaranteed", "IHCP-species-dilution-info": "", "IHCP-species-notes": "<p></p> Perform heat-mediated antigen retrieval with citrate buffer pH 6 before commencing with IHC staining protocol.", "ICCIF-species-checked": "notRecommended", "ICCIF-species-dilution-info": "", "ICCIF-species-notes": "<p></p>" } } }

Product details

ab284805 is the carrier-free version of ab133531.

This product has switched from a hybridoma to recombinant production method on 23rd September 2024.

Patented technology
Our RabMAb® technology is a patented hybridoma-based technology for making rabbit monoclonal antibodies. For details on our patents, please refer to RabMAb® patents.

Conjugation ready
Our carrier-free antibodies are typically supplied in a PBS-only formulation, purified and free of BSA, sodium azide and glycerol. This conjugation-ready format is designed for use with fluorochromes, metal isotopes, oligonucleotides, and enzymes, which makes them ideal for antibody labelling, functional and cell-based assays, flow-based assays (e.g. mass cytometry) and Multiplex Imaging applications.

Use our conjugation kits for antibody conjugates that are ready-to-use in as little as 20 minutes with 1 minute hands-on-time and 100% antibody recovery: available for fluorescent dyes, HRP, biotin and gold.

Compatibility
This product is compatible with the Maxpar® Antibody Labeling Kit from Fluidigm, without the need for antibody preparation. Maxpar® is a trademark of Fluidigm Canada Inc.

What are the advantages of a recombinant monoclonal antibody?
This product is a recombinant monoclonal antibody, which offers several advantages including:

  • - High batch-to-batch consistency and reproducibility
  • - Improved sensitivity and specificity
  • - Long-term security of supply
  • - Animal-free batch production

For more information, read more on recombinant antibodies.

Properties and storage information

Form
Liquid
Purification technique
Affinity purification Protein A
Storage buffer
pH: 7.2 - 7.4 Constituents: 100% PBS
Shipped at conditions
Blue Ice
Appropriate short-term storage conditions
+4°C
Appropriate long-term storage conditions
+4°C

Supplementary information

This supplementary information is collated from multiple sources and compiled automatically.

The protein p57^Kip2 also known as CDKN1C plays an important role as a cyclin-dependent kinase inhibitor aligning closely with proteins like p21 and p27. It weighs approximately 57 kiloDaltons. P57^Kip2's expression occurs in various tissues including the placenta muscle brain and kidney. This widespread expression suggests a multitiered function in different tissues. Researchers use p57 immunostain techniques to confirm its presence in tissues.
Biological function summary

P57^Kip2 acts as a regulator of cell cycle progression. It binds directly to cyclin-CDK complexes stopping cell cycle transition from G1 to S phase. This action prevents unregulated cell division and contributes to cellular differentiation. p57^Kip2 forms part of larger protein complexes further influencing various cellular processes. Its activity is important for embryonic development where it controls cell proliferation rates.

Pathways

P57^Kip2 integrates into pathways controlling cell cycle checkpoints and apoptosis. It interacts with proteins like cyclin D and E and the retinoblastoma protein (Rb) within the cell cycle regulation pathway. Additionally its presence in growth signaling pathways intersects with TGF-beta signaling. These pathways hold significant influence over development and cellular responses to DNA damage.

Abnormal expression of p57^Kip2 connects with cancers and growth disorders. Loss of function or downregulation often links to overgrowth syndromes like Beckwith-Wiedemann syndrome. Conversely reduced expression levels associate with cancer proliferation particularly in cases such as Wilms' tumor. This association intertwines with mutations in genes like IGF2 and H19 which are critical in these conditions.

Product protocols

For this product, it's our understanding that no specific protocols are required. You can visit:

Target data

Potent tight-binding inhibitor of several G1 cyclin/CDK complexes (cyclin E-CDK2, cyclin D2-CDK4, and cyclin A-CDK2) and, to lesser extent, of the mitotic cyclin B-CDC2. Negative regulator of cell proliferation. May play a role in maintenance of the non-proliferative state throughout life.
See full target information CDKN1C

Product promise

We are committed to supporting your work with high-quality reagents, and we're here for you every step of the way. In the unlikely event that one of our products does not perform as expected, you're protected by our Product Promise.
For full details, please see our Terms & Conditions

Please note: All products are 'FOR RESEARCH USE ONLY. NOT FOR USE IN DIAGNOSTIC OR THERAPEUTIC PROCEDURES'.

For licensing inquiries, please contact partnerships@abcam.com