JavaScript is disabled in your browser. Please enable JavaScript to view this website.
AB315817

Anti-P5CS antibody [EPR28827-56] - BSA and Azide free

  • BOND RX™ Validated
  • RabMAb
  • Recombinant
  • KO Validated
  • What is this?

Be the first to review this product! Submit a review

|

(0 Publication)

Knockout Tested Rabbit Recombinant Monoclonal P5CS antibody. Carrier free. Suitable for WB, IP, IHC-P, Flow Cyt (Intra) and reacts with Human, Mouse, Rat samples.

View Alternative Names

GSAS, P5CS, PYCS, ALDH18A1, Delta-1-pyrroline-5-carboxylate synthase, Aldehyde dehydrogenase family 18 member A1

9 Images
Immunohistochemistry (Formalin/PFA-fixed paraffin-embedded sections) - Anti-P5CS antibody [EPR28827-56] - BSA and Azide free (AB315817)
  • IHC-P

Supplier Data

Immunohistochemistry (Formalin/PFA-fixed paraffin-embedded sections) - Anti-P5CS antibody [EPR28827-56] - BSA and Azide free (AB315817)

This data was developed using ab315816, the same antibody clone in a different buffer formulation.

Immunohistochemical analysis of paraffin-embedded Human kidney tissue labeling P5CS with ab315816 at 1/100 (4.98 ug/ml) dilution, followed by a ready to use LeicaDS9800 (Bond™ Polymer Refine Detection).

Positive staining on human kidney. The section was incubated with ab315816 for 30 mins at room temperature.
The immunostaining was performed on a Leica Biosystems BOND® RX instrument.

Counterstained with Hematoxylin.

Secondary antibody only control : Secondary antibody is a ready to use LeicaDS9800 (Bond™ Polymer Refine Detection).

Heat mediated antigen retrieval was performed with Tris-EDTA buffer (pH 9.0, Epitope Retrieval Solution2) for 20 mins.

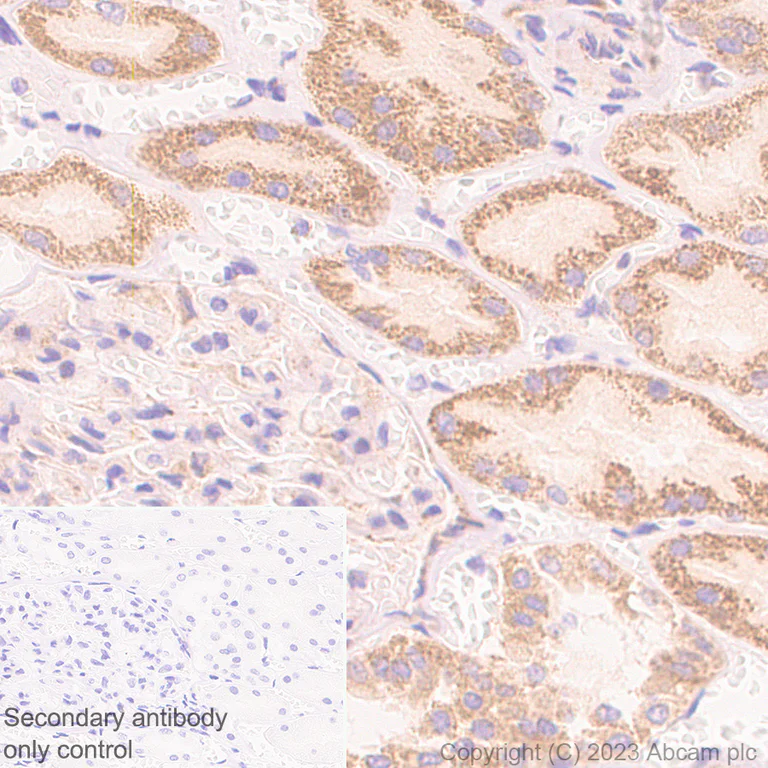
Immunohistochemistry (Formalin/PFA-fixed paraffin-embedded sections) - Anti-P5CS antibody [EPR28827-56] - BSA and Azide free (AB315817)
  • IHC-P

Supplier Data

Immunohistochemistry (Formalin/PFA-fixed paraffin-embedded sections) - Anti-P5CS antibody [EPR28827-56] - BSA and Azide free (AB315817)

This data was developed using ab315816, the same antibody clone in a different buffer formulation.

Immunohistochemical analysis of paraffin-embedded Human stomach tissue labeling P5CS with ab315816 at 1/100 (4.98 ug/ml) dilution, followed by a ready to use LeicaDS9800 (Bond™ Polymer Refine Detection).

Positive staining on human stomach. The section was incubated with ab315816 for 30 mins at room temperature.
The immunostaining was performed on a Leica Biosystems BOND® RX instrument.

Counterstained with Hematoxylin.

Secondary antibody only control : Secondary antibody is a ready to use LeicaDS9800 (Bond™ Polymer Refine Detection).

Heat mediated antigen retrieval was performed with Tris-EDTA buffer (pH 9.0, Epitope Retrieval Solution2) for 20 mins.

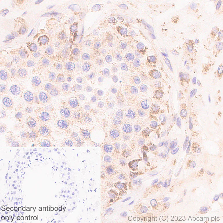
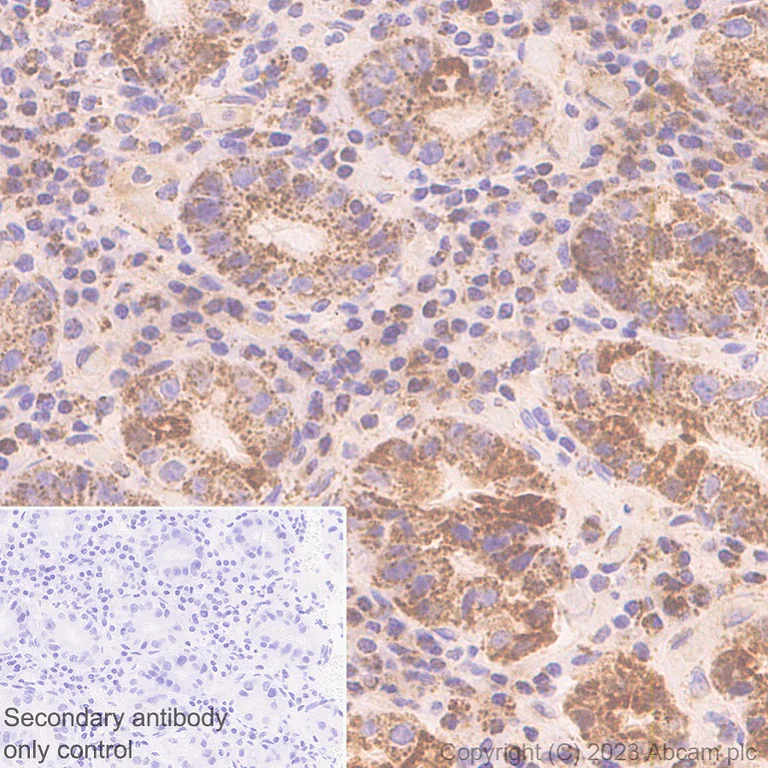
Immunohistochemistry (Formalin/PFA-fixed paraffin-embedded sections) - Anti-P5CS antibody [EPR28827-56] - BSA and Azide free (AB315817)
  • IHC-P

Supplier Data

Immunohistochemistry (Formalin/PFA-fixed paraffin-embedded sections) - Anti-P5CS antibody [EPR28827-56] - BSA and Azide free (AB315817)

This data was developed using ab315816, the same antibody clone in a different buffer formulation.

Immunohistochemical analysis of paraffin-embedded Human testis tissue labeling P5CS with ab315816 at 1/100 (4.98 ug/ml) dilution, followed by a ready to use LeicaDS9800 (Bond™ Polymer Refine Detection).

Positive staining on human testis. The section was incubated with ab315816 for 30 mins at room temperature.
The immunostaining was performed on a Leica Biosystems BOND® RX instrument.

Counterstained with Hematoxylin.

Secondary antibody only control : Secondary antibody is a ready to use LeicaDS9800 (Bond™ Polymer Refine Detection).

Heat mediated antigen retrieval was performed with Tris-EDTA buffer (pH 9.0, Epitope Retrieval Solution2) for 20 mins.

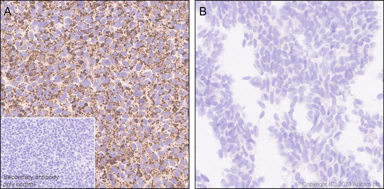
Immunohistochemistry (Formalin/PFA-fixed paraffin-embedded sections) - Anti-P5CS antibody [EPR28827-56] - BSA and Azide free (AB315817)
  • IHC-P

Supplier Data

Immunohistochemistry (Formalin/PFA-fixed paraffin-embedded sections) - Anti-P5CS antibody [EPR28827-56] - BSA and Azide free (AB315817)

This data was developed using ab315816, the same antibody clone in a different buffer formulation.

Immunohistochemical analysis of paraffin-embedded (A) Wild-type HEK293T (human epithelial cell line from embryonic kidney) cell pellet (B) ALDH18A1 knockout HEK293T cell pellet tissue labeling P5CS with ab315816 at 1/100 (4.98 ug/ml) dilution, followed by a ready to use LeicaDS9800 (Bond™ Polymer Refine Detection).

Positive staining on (A) Wild-type HEK293T cell pellet, negative staining on (B) ALDH18A1 knockout HEK293T cell pellet. The section was incubated with ab315816 for 30 mins at room temperature.
The immunostaining was performed on a Leica Biosystems BOND® RX instrument.

Counterstained with Hematoxylin.

Secondary antibody only control : Secondary antibody is a ready to use LeicaDS9800 (Bond™ Polymer Refine Detection).

Heat mediated antigen retrieval was performed with Tris-EDTA buffer (pH 9.0, Epitope Retrieval Solution2) for 20 mins.

Flow Cytometry (Intracellular) - Anti-P5CS antibody [EPR28827-56] - BSA and Azide free (AB315817)
  • Flow Cyt (Intra)

Supplier Data

Flow Cytometry (Intracellular) - Anti-P5CS antibody [EPR28827-56] - BSA and Azide free (AB315817)

This data was developed using ab315816, the same antibody clone in a different buffer formulation.

Flow cytometric analysis of 4% paraformaldehyde fixed 90% methanol permeabilized ALDH18A1 KO HEK293T (human ALDH18A1 knockout embryonic kidney epithelial cell, Left) / Parental HEK293T (Right) cells labelling P5CS with ab315816 at 1/500 dilution (0.1 ug)/Red compared with a Rabbit monoclonal IgG (ab172730) (Black) isotype control and an unlabelled control (cells without incubation with primary antibody and secondary antibody) (Blue).

Goat Anti-Rabbit IgG (Alexa Fluor® 488, ab150081) at 1/5000 dilution was used as the secondary antibody.

Immunoprecipitation - Anti-P5CS antibody [EPR28827-56] - BSA and Azide free (AB315817)
  • IP

Supplier Data

Immunoprecipitation - Anti-P5CS antibody [EPR28827-56] - BSA and Azide free (AB315817)

This data was developed using ab315816, the same antibody clone in a different buffer formulation.

P5CS was immunoprecipitated from 0.35 mg HepG2 (human hepatocellular carcinoma epithelial cell) whole cell lysate with ab315816 at 1/30 dilution (2ug in 0.35mg lysates). Western blot was performed on the immunoprecipitate using ab315816 at 1/1000 dilution. VeriBlot for IP secondary antibody(HRP)(ab131366) was used at 1/5000 dilution.

Blocking and diluting buffer and concentration : 5% NFDM/TBST.

All lanes:

Immunoprecipitation - Anti-P5CS antibody [EPR28827-56] (<a href='/en-us/products/primary-antibodies/p5cs-antibody-epr28827-56-ab315816'>ab315816</a>) at 1/1000 dilution

Lane 1:

HepG2 (human hepatocellular carcinoma epithelial cell) whole cell lysate

Lane 2:

<a href='/en-us/products/primary-antibodies/p5cs-antibody-epr28827-56-ab315816'>ab315816</a> at 1/30 IP in HepG2 (human hepatocellular carcinoma epithelial cell) whole cell lysate

Lane 3:

Rabbit monoclonal IgG (<a href='/en-us/products/primary-antibodies/rabbit-igg-monoclonal-epr25a-isotype-control-ab172730'>ab172730</a>) instead of <a href='/en-us/products/primary-antibodies/p5cs-antibody-epr28827-56-ab315816'>ab315816</a> in HepG2 whole cell lysate

Secondary

All lanes:

Immunoprecipitation - VeriBlot for IP Detection Reagent (HRP) (<a href='/en-us/products/reagents/veriblot-for-ip-detection-reagent-hrp-ab131366'>ab131366</a>) at 1/5000 dilution

false

Exposure time: 3s

Immunoprecipitation - Anti-P5CS antibody [EPR28827-56] - BSA and Azide free (AB315817)
  • IP

Supplier Data

Immunoprecipitation - Anti-P5CS antibody [EPR28827-56] - BSA and Azide free (AB315817)

This data was developed using ab315816, the same antibody clone in a different buffer formulation.

P5CS was immunoprecipitated from 0.35 mg NIH/3T3 (mouse embryonic fibroblast) whole cell lysate with ab315816 at 1/30 dilution (2ug in 0.35mg lysates). Western blot was performed on the immunoprecipitate using ab315816 at 1/1000 dilution. VeriBlot for IP secondary antibody(HRP)(ab131366) was used at 1/5000 dilution.

Blocking and diluting buffer and concentration : 5% NFDM/TBST.

All lanes:

Immunoprecipitation - Anti-P5CS antibody [EPR28827-56] (<a href='/en-us/products/primary-antibodies/p5cs-antibody-epr28827-56-ab315816'>ab315816</a>) at 1/1000 dilution

Lane 1:

NIH/3T3 (mouse embryonic fibroblast) whole cell lysate

Lane 2:

<a href='/en-us/products/primary-antibodies/p5cs-antibody-epr28827-56-ab315816'>ab315816</a> at 1/30 IP in NIH/3T3 (mouse embryonic fibroblast) whole cell lysate

Lane 3:

Rabbit monoclonal IgG (<a href='/en-us/products/primary-antibodies/rabbit-igg-monoclonal-epr25a-isotype-control-ab172730'>ab172730</a>) instead of <a href='/en-us/products/primary-antibodies/p5cs-antibody-epr28827-56-ab315816'>ab315816</a> in NIH/3T3 whole cell lysate

Secondary

All lanes:

Immunoprecipitation - VeriBlot for IP Detection Reagent (HRP) (<a href='/en-us/products/reagents/veriblot-for-ip-detection-reagent-hrp-ab131366'>ab131366</a>) at 1/5000 dilution

false

Exposure time: 6s

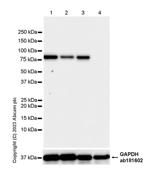
Western blot - Anti-P5CS antibody [EPR28827-56] - BSA and Azide free (AB315817)
  • WB

Supplier Data

Western blot - Anti-P5CS antibody [EPR28827-56] - BSA and Azide free (AB315817)

This data was developed using ab315816, the same antibody clone in a different buffer formulation.

Blocking and diluting buffer and concentration : 5% NFDM/TBST.

In Western blot, ab315816 was shown to bind specifically to P5CS.

Target of interest was observed at 90 KD in wild-type HEK293T cell lysates (lane 3, wild-type cell line ab255449) with no signal observed at this size in ALDH18A1(P5CS) knockout cell line (lane 4, knockout cell line ab266378/ knockout cell lysate ab258300).

In Western blot, Anti-GAPDH antibody [EPR16891] - Loading Control (ab181602) staining at 1/200000 dilution.

All lanes:

Western blot - Anti-P5CS antibody [EPR28827-56] (<a href='/en-us/products/primary-antibodies/p5cs-antibody-epr28827-56-ab315816'>ab315816</a>) at 1/1000 dilution

Lane 1:

HepG2 (human hepatocellar carcinoma epithelial cell) transfected with scrambled siRNA control whole cell lysate at 10 µg

Lane 2:

HepG2 transfected with siRNA specifically targeting P5CS whole cell lysate at 10 µg

Lane 3:

Wild-type HEK293T (human embryonic kidney epithelial cell) whole cell lysate at 10 µg

Lane 4:

ALDH18A1(P5CS) knockout HEK293T whole cell lysate at 10 µg

Secondary

All lanes:

Western blot - Goat Anti-Rabbit IgG H&L (HRP) (<a href='/en-us/products/secondary-antibodies/goat-rabbit-igg-h-l-hrp-ab97051'>ab97051</a>) at 1/100000 dilution

Observed band size: 90 kDa,36 kDa

false

Exposure time: 26s

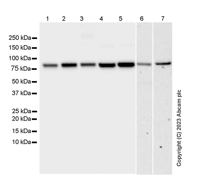
Western blot - Anti-P5CS antibody [EPR28827-56] - BSA and Azide free (AB315817)
  • WB

Supplier Data

Western blot - Anti-P5CS antibody [EPR28827-56] - BSA and Azide free (AB315817)

This data was developed using ab315816, the same antibody clone in a different buffer formulation.

Exposure time : Lane1-5 : 26 seconds, lane 6-7 : 180 seconds

Blocking and diluting buffer and concentration : 5% NFDM/TBST.

All lanes:

Western blot - Anti-P5CS antibody [EPR28827-56] (<a href='/en-us/products/primary-antibodies/p5cs-antibody-epr28827-56-ab315816'>ab315816</a>) at 1/1000 dilution

Lane 1:

MCF7 (human breast adenocarcinoma epithelial cell) whole cell lysate at 20 µg

Lane 2:

A431 (human epidermoid carcinoma epithelial cell) whole cell lysate at 20 µg

Lane 3:

A549 (human lung carcinoma epithelial cell) whole cell lysate at 20 µg

Lane 4:

NIH/3T3 (mouse embryonic fibroblast) whole cell lysate at 20 µg

Lane 5:

4T1 (mouse mammary gland carcinoma epithelial cell) whole cell lysate at 20 µg

Lane 6:

Mouse brain tissue lysate at 20 µg

Lane 7:

Rat testis tissue lysate at 20 µg

Secondary

All lanes:

Western blot - Goat Anti-Rabbit IgG H&L (HRP) (<a href='/en-us/products/secondary-antibodies/goat-rabbit-igg-h-l-hrp-ab97051'>ab97051</a>) at 1/100000 dilution

Observed band size: 90 kDa

false

Key facts

Host species

Rabbit

Clonality

Monoclonal

Clone number

EPR28827-56

Isotype

IgG

Carrier free

Yes

Reacts with

Human, Mouse, Rat

Applications

IHC-P, WB, IP, Flow Cyt (Intra)

applications

Immunogen

The exact immunogen used to generate this antibody is proprietary information.

Specificity

Unsuitable for mouse and rat IHC.

Reactivity data

{ "title": "Reactivity Data", "filters": { "stats": ["", "Species", "Dilution Info", "Notes"], "tabs": { "all-applications": {"fullname" : "All Applications", "shortname": "All Applications"}, "WB" : {"fullname" : "Western blot", "shortname":"WB"}, "IP" : {"fullname" : "Immunoprecipitation", "shortname":"IP"}, "IHCP" : {"fullname" : "Immunohistochemistry (Formalin/PFA-fixed paraffin-embedded sections)", "shortname":"IHC-P"}, "FlowCytIntra" : {"fullname" : "Flow Cytometry (Intracellular)", "shortname":"Flow Cyt (Intra)"}, "ICCIF" : {"fullname" : "Immunocytochemistry/ Immunofluorescence", "shortname":"ICC/IF"} }, "product-promise": { "all": "all", "testedAndGuaranteed": "tested", "guaranteed": "expected", "predicted": "predicted", "notRecommended": "not-recommended" } }, "values": { "Human": { "WB-species-checked": "testedAndGuaranteed", "WB-species-dilution-info": "", "WB-species-notes": "<p></p>", "IP-species-checked": "testedAndGuaranteed", "IP-species-dilution-info": "", "IP-species-notes": "<p></p>", "IHCP-species-checked": "testedAndGuaranteed", "IHCP-species-dilution-info": "", "IHCP-species-notes": "<p></p>", "FlowCytIntra-species-checked": "testedAndGuaranteed", "FlowCytIntra-species-dilution-info": "", "FlowCytIntra-species-notes": "<p></p>", "ICCIF-species-checked": "notRecommended", "ICCIF-species-dilution-info": "", "ICCIF-species-notes": "<p></p>" }, "Mouse": { "WB-species-checked": "testedAndGuaranteed", "WB-species-dilution-info": "", "WB-species-notes": "<p></p>", "IP-species-checked": "testedAndGuaranteed", "IP-species-dilution-info": "", "IP-species-notes": "<p></p>", "IHCP-species-checked": "notRecommended", "IHCP-species-dilution-info": "", "IHCP-species-notes": "<p></p>", "FlowCytIntra-species-checked": "guaranteed", "FlowCytIntra-species-dilution-info": "", "FlowCytIntra-species-notes": "", "ICCIF-species-checked": "notRecommended", "ICCIF-species-dilution-info": "", "ICCIF-species-notes": "" }, "Rat": { "WB-species-checked": "testedAndGuaranteed", "WB-species-dilution-info": "", "WB-species-notes": "<p></p>", "IP-species-checked": "guaranteed", "IP-species-dilution-info": "", "IP-species-notes": "", "IHCP-species-checked": "notRecommended", "IHCP-species-dilution-info": "", "IHCP-species-notes": "<p></p>", "FlowCytIntra-species-checked": "guaranteed", "FlowCytIntra-species-dilution-info": "", "FlowCytIntra-species-notes": "", "ICCIF-species-checked": "notRecommended", "ICCIF-species-dilution-info": "", "ICCIF-species-notes": "" } } }

Product details

ab315817 is the carrier-free version of ab315816.

Patented technology
Our RabMAb® technology is a patented hybridoma-based technology for making rabbit monoclonal antibodies. For details on our patents, please refer to RabMAb® patents.

What are the advantages of a recombinant monoclonal antibody?
This product is a recombinant monoclonal antibody, which offers several advantages including:

  • - High batch-to-batch consistency and reproducibility
  • - Improved sensitivity and specificity
  • - Long-term security of supply
  • - Animal-free batch production

For more information, read more on recombinant antibodies.

Conjugation ready
Our carrier-free antibodies are typically supplied in a PBS-only formulation, purified and free of BSA, sodium azide and glycerol. This conjugation-ready format is designed for use with fluorochromes, metal isotopes, oligonucleotides, and enzymes, which makes them ideal for antibody labelling, functional and cell-based assays, flow-based assays (e.g. mass cytometry) and Multiplex Imaging applications.

Use our conjugation kits for antibody conjugates that are ready-to-use in as little as 20 minutes with 1 minute hands-on-time and 100% antibody recovery: available for fluorescent dyes, HRP, biotin and gold.

Compatibility
This product is compatible with the Maxpar® Antibody Labeling Kit from Fluidigm, without the need for antibody preparation. Maxpar® is a trademark of Fluidigm Canada Inc.

Properties and storage information

Form
Liquid
Purification technique
Affinity purification Protein A
Storage buffer
pH: 7.2 - 7.4 Constituents: PBS
Shipped at conditions
Blue Ice
Appropriate short-term storage conditions
+4°C
Appropriate long-term storage conditions
+4°C

Supplementary information

This supplementary information is collated from multiple sources and compiled automatically.

Pyrroline-5-carboxylate synthetase (P5CS) also known as ALDH18A1 plays an important role in proline biosynthesis. This enzyme catalyzes the conversion of glutamate to pyrroline-5-carboxylate. The P5CS protein has a molecular mass of approximately 87 kDa and is mainly expressed in tissues with high rates of protein synthesis such as the liver and kidney. It has significant expression in the mitochondria reinforcing its function in energy metabolism and amino acid biosynthesis.
Biological function summary

P5CS influences cellular responses to oxidative stress due to its role in proline metabolism and redox balance. As part of the proline synthesis pathway P5CS contributes to the production of proline a critical amino acid for protein synthesis. Proline acts as an osmoprotectant and plays a role in cellular structure. P5CS operates within a complex pathway regulating amino acids acting cooperatively with other proteins involved in synthesis processes.

Pathways

P5CS is integral to the proline biosynthetic pathway and is linked to the glutamate pathway. Its activity closely coordinates with the functioning of enzymes like pyrroline-5-carboxylate reductase which converts pyrroline-5-carboxylate to proline. This relationship ensures the continuous supply of proline vital for collagen synthesis and also intersects with pathways involving protein metabolism and cellular stress responses.

Altered P5CS function associates with conditions like cutis laxa and hyperprolinemia. Mutations in the P5CS gene can lead to dysfunction in proline metabolism resulting in elastic skin joint and bone issues and mental retardation in some individuals. The enzyme's interaction with proteins such as the collagen metabolism enzymes highlights its relevance in dermatological and connective tissue disorders.

Product protocols

For this product, it's our understanding that no specific protocols are required. You can visit:

Target data

Bifunctional enzyme that converts glutamate to glutamate 5-semialdehyde, an intermediate in the biosynthesis of proline, ornithine and arginine.
See full target information ALDH18A1

Product promise

We are committed to supporting your work with high-quality reagents, and we're here for you every step of the way. In the unlikely event that one of our products does not perform as expected, you're protected by our Product Promise.
For full details, please see our Terms & Conditions

Please note: All products are 'FOR RESEARCH USE ONLY. NOT FOR USE IN DIAGNOSTIC OR THERAPEUTIC PROCEDURES'.

For licensing inquiries, please contact partnerships@abcam.com