JavaScript is disabled in your browser. Please enable JavaScript to view this website.
AB216493

Anti-p63 antibody

Be the first to review this product! Submit a review

|

(1 Publication)

Rabbit Polyclonal P63 antibody. Suitable for IHC-P, WB and reacts with Rat, Human samples. Cited in 1 publication. Immunogen corresponding to Synthetic Peptide within Human TP63 aa 350-450 conjugated to Keyhole Limpet Haemocyanin.

View Alternative Names

KET, P63, P73H, P73L, TP73L, TP63, Tumor protein 63, p63, Chronic ulcerative stomatitis protein, Keratinocyte transcription factor KET, Transformation-related protein 63, Tumor protein p73-like, p40, p51, CUSP, p73L

2 Images
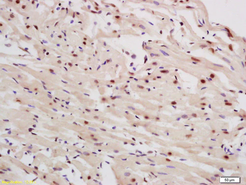
Immunohistochemistry (Formalin/PFA-fixed paraffin-embedded sections) - Anti-p63 antibody (AB216493)
  • IHC-P

Supplier Data

Immunohistochemistry (Formalin/PFA-fixed paraffin-embedded sections) - Anti-p63 antibody (AB216493)

Immunohistochemical analysis of formalin-fixed paraffin-embedded rat heart tissue labeling p63 with ab216493 at 1/200 dilution, followed by conjugation to the secondary antibody and DAB staining.

Western blot - Anti-p63 antibody (AB216493)
  • WB

Supplier Data

Western blot - Anti-p63 antibody (AB216493)

All lanes:

Western blot - Anti-p63 antibody (ab216493) at 1/1000 dilution

All lanes:

A431 cell lysate

Predicted band size: 77 kDa

false

Key facts

Host species

Rabbit

Clonality

Polyclonal

Isotype

IgG

Carrier free

No

Reacts with

Rat, Human

Applications

WB, IHC-P

applications

Immunogen

Synthetic Peptide within Human TP63 aa 350-450 conjugated to Keyhole Limpet Haemocyanin. The exact immunogen used to generate this antibody is proprietary information.

Q9H3D4

Reactivity data

{ "title": "Reactivity Data", "filters": { "stats": ["", "Species", "Dilution Info", "Notes"], "tabs": { "all-applications": {"fullname" : "All Applications", "shortname": "All Applications"}, "IHCP" : {"fullname" : "Immunohistochemistry (Formalin/PFA-fixed paraffin-embedded sections)", "shortname":"IHC-P"}, "WB" : {"fullname" : "Western blot", "shortname":"WB"} }, "product-promise": { "all": "all", "testedAndGuaranteed": "tested", "guaranteed": "expected", "predicted": "predicted", "notRecommended": "not-recommended" } }, "values": { "Human": { "IHCP-species-checked": "guaranteed", "IHCP-species-dilution-info": "", "IHCP-species-notes": "", "WB-species-checked": "testedAndGuaranteed", "WB-species-dilution-info": "1/1000", "WB-species-notes": "<p></p>" }, "Mouse": { "IHCP-species-checked": "predicted", "IHCP-species-dilution-info": "", "IHCP-species-notes": "", "WB-species-checked": "predicted", "WB-species-dilution-info": "", "WB-species-notes": "" }, "Rat": { "IHCP-species-checked": "testedAndGuaranteed", "IHCP-species-dilution-info": "1/100 - 1/500", "IHCP-species-notes": "<p></p>", "WB-species-checked": "guaranteed", "WB-species-dilution-info": "", "WB-species-notes": "" } } }

Properties and storage information

Form
Liquid
Purification technique
Affinity purification Protein A
Storage buffer
pH: 7.4 Preservative: 0.02% Proclin 300 Constituents: 50% Glycerol (glycerin, glycerine), 48.98% TBS, 1X, 1% BSA
Shipped at conditions
Blue Ice
Appropriate short-term storage duration
1-2 weeks
Appropriate short-term storage conditions
+4°C
Appropriate long-term storage conditions
-20°C
Aliquoting information
Upon delivery aliquot
Storage information
Avoid freeze / thaw cycle

Supplementary information

This supplementary information is collated from multiple sources and compiled automatically.

The p63 protein also known as TP63 or KET is a transcription factor that plays a role in the regulation of cell cycle and apoptosis. With a molecular mass of approximately 77 kDa it expresses predominantly in epithelial tissues such as those in the skin breast and prostate. The expression pattern of p63 makes it a useful marker in developmental biology and cancer diagnosis. Antibodies like '4A4' specifically recognize p63 in various assays including immunohistochemistry.
Biological function summary

P63 participates in the control of epithelial cell differentiation and proliferation. It functions as a member of the p53 family which includes p53 and p73. This family forms an important part of the complex regulatory network that maintains genomic stability. Research using methods like p63 staining in immunohistochemistry highlights its critical role in stratified epithelia. The gene encodes several isoforms with different biological activities impacting processes such as cellular senescence and development.

Pathways

P63 integrates into various signaling pathways that influence cellular growth and adherence. It notably impacts the Notch and Wnt pathways both of which are critical for developmental processes and cancer progression. Through these pathways p63 interacts with proteins like β-catenin and Notch receptors facilitating cross-talk that influences cell fate decisions. Its function relates closely to other transcription factors forming feedback loops that reinforce its regulatory impact.

P63 shows strong associations with ectodermal dysplasia and different types of cancers like squamous cell carcinoma. Mutations and altered expressions of p63 contribute to these pathologies by disrupting normal cell proliferation and differentiation. The protein interacts closely with p73 in cancer suggesting a compensatory role when p63 function is compromised. Understanding these connections can guide the development of targeted therapies and improve diagnostic accuracy.

Product protocols

For this product, it's our understanding that no specific protocols are required. You can visit:

Target data

Acts as a sequence specific DNA binding transcriptional activator or repressor. The isoforms contain a varying set of transactivation and auto-regulating transactivation inhibiting domains thus showing an isoform specific activity. Isoform 2 activates RIPK4 transcription. May be required in conjunction with TP73/p73 for initiation of p53/TP53 dependent apoptosis in response to genotoxic insults and the presence of activated oncogenes. Involved in Notch signaling by probably inducing JAG1 and JAG2. Plays a role in the regulation of epithelial morphogenesis. The ratio of DeltaN-type and TA*-type isoforms may govern the maintenance of epithelial stem cell compartments and regulate the initiation of epithelial stratification from the undifferentiated embryonal ectoderm. Required for limb formation from the apical ectodermal ridge. Activates transcription of the p21 promoter.
See full target information TP63

Publications (1)

Recent publications for all applications. Explore the full list and refine your search

Materials today. Bio 34:102234 PubMed40893347

2025

Cationic microbubble loading hSIRT3 and hTIMP3 optimize cardiac-targeted delivery and myocardial protection in the porcine MI/R model.

Applications

Unspecified application

Species

Unspecified reactive species

Peian Cai,Kegong Chen,Xionghai Qin,Xingpei Jiang,Xuan Jiao,Kexun Liu,Erliang Guo,Zipeng Li,Xianxin Qiu,Chang Liu,Lu Sun,Junbo Chuai,Jie Wu,Wei Chen,Hai Tian
View all publications

Product promise

We are committed to supporting your work with high-quality reagents, and we're here for you every step of the way. In the unlikely event that one of our products does not perform as expected, you're protected by our Product Promise.
For full details, please see our Terms & Conditions

Please note: All products are 'FOR RESEARCH USE ONLY. NOT FOR USE IN DIAGNOSTIC OR THERAPEUTIC PROCEDURES'.

For licensing inquiries, please contact partnerships@abcam.com