JavaScript is disabled in your browser. Please enable JavaScript to view this website.
AB97865

Anti-p63 antibody

5

(1 Review)

|

(8 Publications)

Rabbit Polyclonal P63 antibody. Suitable for WB, ICC/IF, IP and reacts with Human, Rat, Mouse samples. Cited in 8 publications. Immunogen corresponding to Recombinant Fragment Protein within Human TP63 aa 100-400.

View Alternative Names

KET, P63, P73H, P73L, TP73L, TP63, Tumor protein 63, p63, Chronic ulcerative stomatitis protein, Keratinocyte transcription factor KET, Transformation-related protein 63, Tumor protein p73-like, p40, p51, CUSP, p73L

7 Images
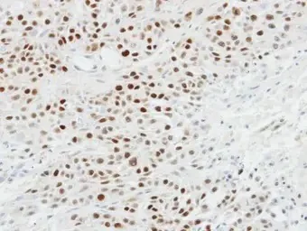
Immunohistochemistry (Formalin/PFA-fixed paraffin-embedded sections) - Anti-p63 antibody (AB97865)
  • IHC-P

Supplier Data

Immunohistochemistry (Formalin/PFA-fixed paraffin-embedded sections) - Anti-p63 antibody (AB97865)

Immunohistochemical analysis of paraffin-embedded SCC4 xenograft, using ab97865 at 1/100 dilution. Antigen Retrieval : (EDTA based, pH 8.0) buffer, 15min

Immunocytochemistry/ Immunofluorescence - Anti-p63 antibody (AB97865)
  • ICC/IF

Supplier Data

Immunocytochemistry/ Immunofluorescence - Anti-p63 antibody (AB97865)

Immunofluorescence analysis of 4% paraformaldehyde fixed A431 cells labelling p63 protein at nucleus using ab97865 at a 1/500 dilution at RT for 15 min (Green). alpha Tubulin, a cytoskeleton marker was stained with anti-alpha Tubulin antibody at a 1/500 dilution (Red).

Immunoprecipitation - Anti-p63 antibody (AB97865)
  • IP

Supplier Data

Immunoprecipitation - Anti-p63 antibody (AB97865)

All lanes:

Immunoprecipitation - Anti-p63 antibody (ab97865)

All lanes:

A431 Whole cell extracts at 5 µg

Secondary

All lanes:

anti-Rabbit IgG

Predicted band size: 76 kDa

false

Western blot - Anti-p63 antibody (AB97865)
  • WB

Supplier Data

Western blot - Anti-p63 antibody (AB97865)

Samples were separated by 7.5% SDS-PAGE.

All lanes:

Western blot - Anti-p63 antibody (ab97865) at 1/2000 dilution

Lane 1:

Non-transfected (–) A431 whole cell extracts at 30 µg

Lane 2:

Transfected (+) A431 whole cell extracts at 30 µg

Secondary

All lanes:

HRP-conjugated anti-rabbit IgG antibody

Predicted band size: 76 kDa

false

Western blot - Anti-p63 antibody (AB97865)
  • WB

Supplier Data

Western blot - Anti-p63 antibody (AB97865)

Samples were separated by 7.5% SDS-PAGE.

All lanes:

Western blot - Anti-p63 antibody (ab97865) at 1/1000 dilution

Lane 1:

A431 Whole cell extracts at 30 µg

Lane 2:

MCF-7 whole cell extracts at 30 µg

Secondary

All lanes:

HRP-conjugated anti-rabbit IgG antibody

Predicted band size: 76 kDa

false

Western blot - Anti-p63 antibody (AB97865)
  • WB

Supplier Data

Western blot - Anti-p63 antibody (AB97865)

Samples were separated by 7.5% SDS-PAGE.

All lanes:

Western blot - Anti-p63 antibody (ab97865) at 1/500 dilution

All lanes:

Rat brain lysates at 50 µg

Secondary

All lanes:

HRP-conjugated anti-rabbit IgG antibody

Predicted band size: 76 kDa

false

Western blot - Anti-p63 antibody (AB97865)
  • WB

Supplier Data

Western blot - Anti-p63 antibody (AB97865)

Samples were separated by 7.5% SDS-PAGE.

All lanes:

Western blot - Anti-p63 antibody (ab97865) at 1/500 dilution

All lanes:

Mouse brain lysate/extract at 50 µg

Secondary

All lanes:

HRP-conjugated anti-rabbit IgG antibody

Predicted band size: 76 kDa

false

Key facts

Host species

Rabbit

Clonality

Polyclonal

Isotype

IgG

Carrier free

No

Reacts with

Mouse, Rat, Human

Applications

ICC/IF, IP, WB

applications

Immunogen

Recombinant Fragment Protein within Human TP63 aa 100-400. The exact immunogen used to generate this antibody is proprietary information.

Q9H3D4

Reactivity data

{ "title": "Reactivity Data", "filters": { "stats": ["", "Species", "Dilution Info", "Notes"], "tabs": { "all-applications": {"fullname" : "All Applications", "shortname": "All Applications"}, "WB" : {"fullname" : "Western blot", "shortname":"WB"}, "ICCIF" : {"fullname" : "Immunocytochemistry/ Immunofluorescence", "shortname":"ICC/IF"}, "IP" : {"fullname" : "Immunoprecipitation", "shortname":"IP"} }, "product-promise": { "all": "all", "testedAndGuaranteed": "tested", "guaranteed": "expected", "predicted": "predicted", "notRecommended": "not-recommended" } }, "values": { "Human": { "WB-species-checked": "testedAndGuaranteed", "WB-species-dilution-info": "1/500 - 1/3000", "WB-species-notes": "<p></p>", "ICCIF-species-checked": "testedAndGuaranteed", "ICCIF-species-dilution-info": "1/100 - 1/1000", "ICCIF-species-notes": "<p></p>", "IP-species-checked": "testedAndGuaranteed", "IP-species-dilution-info": "1/100 - 1/500", "IP-species-notes": "<p></p>" }, "Mouse": { "WB-species-checked": "testedAndGuaranteed", "WB-species-dilution-info": "1/500 - 1/3000", "WB-species-notes": "<p></p>", "ICCIF-species-checked": "guaranteed", "ICCIF-species-dilution-info": "", "ICCIF-species-notes": "", "IP-species-checked": "guaranteed", "IP-species-dilution-info": "", "IP-species-notes": "" }, "Rat": { "WB-species-checked": "testedAndGuaranteed", "WB-species-dilution-info": "1/500 - 1/3000", "WB-species-notes": "<p></p>", "ICCIF-species-checked": "guaranteed", "ICCIF-species-dilution-info": "", "ICCIF-species-notes": "", "IP-species-checked": "guaranteed", "IP-species-dilution-info": "", "IP-species-notes": "" }, "Zebrafish": { "WB-species-checked": "predicted", "WB-species-dilution-info": "", "WB-species-notes": "", "ICCIF-species-checked": "predicted", "ICCIF-species-dilution-info": "", "ICCIF-species-notes": "", "IP-species-checked": "predicted", "IP-species-dilution-info": "", "IP-species-notes": "" } } }

Properties and storage information

Form
Liquid
Purification technique
Affinity purification Immunogen
Storage buffer
pH: 7 Preservative: 0.025% Proclin 300 Constituents: PBS, 20% Glycerol (glycerin, glycerine), 1% BSA
Shipped at conditions
Blue Ice
Appropriate short-term storage conditions
+4°C
Appropriate long-term storage conditions
-20°C
Aliquoting information
Upon delivery aliquot
Storage information
Avoid freeze / thaw cycle

Supplementary information

This supplementary information is collated from multiple sources and compiled automatically.

The p63 protein also known as TP63 or KET is a transcription factor that plays a role in the regulation of cell cycle and apoptosis. With a molecular mass of approximately 77 kDa it expresses predominantly in epithelial tissues such as those in the skin breast and prostate. The expression pattern of p63 makes it a useful marker in developmental biology and cancer diagnosis. Antibodies like '4A4' specifically recognize p63 in various assays including immunohistochemistry.
Biological function summary

P63 participates in the control of epithelial cell differentiation and proliferation. It functions as a member of the p53 family which includes p53 and p73. This family forms an important part of the complex regulatory network that maintains genomic stability. Research using methods like p63 staining in immunohistochemistry highlights its critical role in stratified epithelia. The gene encodes several isoforms with different biological activities impacting processes such as cellular senescence and development.

Pathways

P63 integrates into various signaling pathways that influence cellular growth and adherence. It notably impacts the Notch and Wnt pathways both of which are critical for developmental processes and cancer progression. Through these pathways p63 interacts with proteins like β-catenin and Notch receptors facilitating cross-talk that influences cell fate decisions. Its function relates closely to other transcription factors forming feedback loops that reinforce its regulatory impact.

P63 shows strong associations with ectodermal dysplasia and different types of cancers like squamous cell carcinoma. Mutations and altered expressions of p63 contribute to these pathologies by disrupting normal cell proliferation and differentiation. The protein interacts closely with p73 in cancer suggesting a compensatory role when p63 function is compromised. Understanding these connections can guide the development of targeted therapies and improve diagnostic accuracy.

Product protocols

For this product, it's our understanding that no specific protocols are required. You can visit:

Target data

Acts as a sequence specific DNA binding transcriptional activator or repressor. The isoforms contain a varying set of transactivation and auto-regulating transactivation inhibiting domains thus showing an isoform specific activity. Isoform 2 activates RIPK4 transcription. May be required in conjunction with TP73/p73 for initiation of p53/TP53 dependent apoptosis in response to genotoxic insults and the presence of activated oncogenes. Involved in Notch signaling by probably inducing JAG1 and JAG2. Plays a role in the regulation of epithelial morphogenesis. The ratio of DeltaN-type and TA*-type isoforms may govern the maintenance of epithelial stem cell compartments and regulate the initiation of epithelial stratification from the undifferentiated embryonal ectoderm. Required for limb formation from the apical ectodermal ridge. Activates transcription of the p21 promoter.
See full target information TP63

Publications (8)

Recent publications for all applications. Explore the full list and refine your search

Nucleic acids research 52:13812-13831 PubMed39565223

2024

Crosstalk between paralogs and isoforms influences p63-dependent regulatory element activity.

Applications

Unspecified application

Species

Unspecified reactive species

Gabriele Baniulyte,Abby A McCann,Dana L Woodstock,Morgan A Sammons

Nature 589:448-455 PubMed33328637

2020

Fat1 deletion promotes hybrid EMT state, tumour stemness and metastasis.

Applications

Unspecified application

Species

Unspecified reactive species

Ievgenia Pastushenko,Federico Mauri,Yura Song,Florian de Cock,Bob Meeusen,Benjamin Swedlund,Francis Impens,Delphi Van Haver,Matthieu Opitz,Manuel Thery,Yacine Bareche,Gaelle Lapouge,Marjorie Vermeersch,Yves-Rémi Van Eycke,Cédric Balsat,Christine Decaestecker,Youri Sokolow,Sergio Hassid,Alicia Perez-Bustillo,Beatriz Agreda-Moreno,Luis Rios-Buceta,Pedro Jaen,Pedro Redondo,Ramon Sieira-Gil,Jose F Millan-Cayetano,Onofre Sanmatrtin,Nicky D'Haene,Virginie Moers,Milena Rozzi,Jeremy Blondeau,Sophie Lemaire,Samuel Scozzaro,Veerle Janssens,Magdalena De Troya,Christine Dubois,David Pérez-Morga,Isabelle Salmon,Christos Sotiriou,Francoise Helmbacher,Cédric Blanpain

Stem cells and development 29:1365-1369 PubMed32867617

2020

Human Induced Pluripotent Stem Cell-Derived Lung Epithelial System for SARS-CoV-2 Infection Modeling and Its Potential in Drug Repurposing.

Applications

Unspecified application

Species

Unspecified reactive species

Harshini Surendran,Swapna Nandakumar,Rajarshi Pal

British journal of cancer 115:983-992 PubMed27584665

2016

p63 is required beside p53 for PERP-mediated apoptosis in uveal melanoma.

Applications

WB

Species

Unspecified reactive species

Raheela Awais,David G Spiller,Michael R H White,Luminita Paraoan

Development (Cambridge, England) 143:2920-9 PubMed27402707

2016

Fgf signalling controls diverse aspects of fin regeneration.

Applications

IHC

Species

Zebrafish

Eri Shibata,Yuki Yokota,Natsumi Horita,Akira Kudo,Gembu Abe,Koichi Kawakami,Atsushi Kawakami

Oncotarget 7:28836-48 PubMed26840455

2016

Setdb1, a novel interactor of ΔNp63, is involved in breast tumorigenesis.

Applications

WB

Species

Unspecified reactive species

Carla Regina,Mirco Compagnone,Angelo Peschiaroli,AnnaMaria Lena,Margherita Annicchiarico-Petruzzelli,Maria Cristina Piro,Gerry Melino,Eleonora Candi

PloS one 10:e0122493 PubMed25849374

2015

Transcriptional profiling of ectoderm specification to keratinocyte fate in human embryonic stem cells.

Applications

I-ELISA

Species

Unspecified reactive species

Ana Mafalda Baptista Tadeu,Samantha Lin,Lin Hou,Lisa Chung,Mei Zhong,Hongyu Zhao,Valerie Horsley

Development (Cambridge, England) 140:3777-86 PubMed23924630

2013

Notch signaling represses p63 expression in the developing surface ectoderm.

Applications

Unspecified application

Species

Unspecified reactive species

Ana Mafalda Baptista Tadeu,Valerie Horsley
View all publications

Product promise

We are committed to supporting your work with high-quality reagents, and we're here for you every step of the way. In the unlikely event that one of our products does not perform as expected, you're protected by our Product Promise.
For full details, please see our Terms & Conditions

Please note: All products are 'FOR RESEARCH USE ONLY. NOT FOR USE IN DIAGNOSTIC OR THERAPEUTIC PROCEDURES'.

For licensing inquiries, please contact partnerships@abcam.com