JavaScript is disabled in your browser. Please enable JavaScript to view this website.
AB308376

Anti-p63 antibody [HL1027]

Be the first to review this product! Submit a review

|

(0 Publication)

Rabbit Recombinant Monoclonal P63 antibody. Carrier free. Suitable for IHC-P, ICC/IF, WB and reacts with Zebrafish, Mouse, Human samples. Immunogen corresponding to Recombinant Fragment Protein within Human TP63.

View Alternative Names

KET, P63, P73H, P73L, TP73L, TP63, Tumor protein 63, p63, Chronic ulcerative stomatitis protein, Keratinocyte transcription factor KET, Transformation-related protein 63, Tumor protein p73-like, p40, p51, CUSP, p73L

6 Images
Immunocytochemistry/ Immunofluorescence - Anti-p63 antibody [HL1027] (AB308376)
  • ICC/IF

Supplier Data

Immunocytochemistry/ Immunofluorescence - Anti-p63 antibody [HL1027] (AB308376)

For immunofluorescence analysis, A431 cells were fixed in 4% paraformaldehyde at room temperature for 15 minutes and permeabilized for detection of p63 protein using ab308376 at 1/500 dilution (green). Alpha Tubulin stained by alpha Tubulin antibody (red).

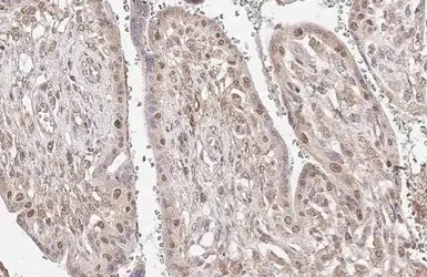
Immunohistochemistry (Formalin/PFA-fixed paraffin-embedded sections) - Anti-p63 antibody [HL1027] (AB308376)
  • IHC-P

Supplier Data

Immunohistochemistry (Formalin/PFA-fixed paraffin-embedded sections) - Anti-p63 antibody [HL1027] (AB308376)

Paraffin-embedded human placenta tissue stained for p63 protein at nucleus with ab308376 at a 1/100 dilution in immunohistochemical analysis.

Antigen Retrieval : Citrate buffer, pH 6.0, 15 min.

Immunohistochemistry paraffin embedded sections - Anti-p63 antibody [HL1027] (AB308376)
  • IHC-P

Supplier Data

Immunohistochemistry paraffin embedded sections - Anti-p63 antibody [HL1027] (AB308376)

Immunohistochemical analysis of mouse testis tissue labeling p63 using ab308376 at 1/100 dilution. Antigen retrival was performed using Citrate buffer, pH 6.0, 15 min

Western blot - Anti-p63 antibody [HL1027] (AB308376)
  • WB

Supplier Data

Western blot - Anti-p63 antibody [HL1027] (AB308376)

The signal was developed with Trident ECL plus-Enhanced

All lanes:

Western blot - Anti-p63 antibody [HL1027] (ab308376) at 1/50000 dilution

Lane 1:

Non-transfected A431 whole cell extract at 30 µg

Lane 2:

Transfected A431 whole cell extract with TP63 shRNA at 30 µg

Secondary

All lanes:

HRP-conjugated anti-rabbit IgG antibody

Predicted band size: 77 kDa

true

Immunohistochemistry (Formalin/PFA-fixed paraffin-embedded sections) - Anti-p63 antibody [HL1027] (AB308376)
  • IHC-P

Supplier Data

Immunohistochemistry (Formalin/PFA-fixed paraffin-embedded sections) - Anti-p63 antibody [HL1027] (AB308376)

Immunohistochemical analysis of paraffin-embedded 2 days-post-fertilization zebrafish embryo labelling p63 with ab308343 at 1/100 dilution.

Antigen Retrieval : Tris-HCl buffer, pH 9.0, 20 min at 70°C

Western blot - Anti-p63 antibody [HL1027] (AB308376)
  • WB

Supplier Data

Western blot - Anti-p63 antibody [HL1027] (AB308376)

Separated by 7.5% SDS-PAGE.

All lanes:

Western blot - Anti-p63 antibody [HL1027] (ab308376) at 1/1000 dilution

All lanes:

Whole zebrafish lysate at 30 µg

Secondary

All lanes:

HRP-conjugated anti-rabbit IgG antibody

Predicted band size: 76.8 kDa

true

Key facts

Host species

Rabbit

Clonality

Monoclonal

Clone number

HL1027

Isotype

IgG

Carrier free

Yes

Reacts with

Human, Mouse, Zebrafish

Applications

WB, IHC-P, ICC/IF

applications

Immunogen

Recombinant Fragment Protein within Human TP63. The exact immunogen used to generate this antibody is proprietary information.

Q9H3D4

Reactivity data

{ "title": "Reactivity Data", "filters": { "stats": ["", "Species", "Dilution Info", "Notes"], "tabs": { "all-applications": {"fullname" : "All Applications", "shortname": "All Applications"}, "IHCP" : {"fullname" : "Immunohistochemistry (Formalin/PFA-fixed paraffin-embedded sections)", "shortname":"IHC-P"}, "ICCIF" : {"fullname" : "Immunocytochemistry/ Immunofluorescence", "shortname":"ICC/IF"}, "WB" : {"fullname" : "Western blot", "shortname":"WB"} }, "product-promise": { "all": "all", "testedAndGuaranteed": "tested", "guaranteed": "expected", "predicted": "predicted", "notRecommended": "not-recommended" } }, "values": { "Human": { "IHCP-species-checked": "testedAndGuaranteed", "IHCP-species-dilution-info": "1/100", "IHCP-species-notes": "<p></p>", "ICCIF-species-checked": "testedAndGuaranteed", "ICCIF-species-dilution-info": "1/500", "ICCIF-species-notes": "<p></p>", "WB-species-checked": "testedAndGuaranteed", "WB-species-dilution-info": "1/500 - 1/3000", "WB-species-notes": "<p></p>" }, "Mouse": { "IHCP-species-checked": "testedAndGuaranteed", "IHCP-species-dilution-info": "1/100", "IHCP-species-notes": "<p></p>", "ICCIF-species-checked": "guaranteed", "ICCIF-species-dilution-info": "", "ICCIF-species-notes": "", "WB-species-checked": "guaranteed", "WB-species-dilution-info": "", "WB-species-notes": "" }, "Zebrafish": { "IHCP-species-checked": "testedAndGuaranteed", "IHCP-species-dilution-info": "1/100", "IHCP-species-notes": "<p></p>", "ICCIF-species-checked": "guaranteed", "ICCIF-species-dilution-info": "", "ICCIF-species-notes": "", "WB-species-checked": "testedAndGuaranteed", "WB-species-dilution-info": "1/500 - 1/3000", "WB-species-notes": "<p></p>" } } }

Product details

What are the advantages of a recombinant monoclonal antibody?
This product is a recombinant monoclonal antibody, which offers several advantages including:

  • - High batch-to-batch consistency and reproducibility
  • - Improved sensitivity and specificity
  • - Long-term security of supply
  • - Animal-free batch production

For more information, read more on recombinant antibodies.

Conjugation ready
Our carrier-free antibodies are typically supplied in a PBS-only formulation, purified and free of BSA, sodium azide and glycerol. This conjugation-ready format is designed for use with fluorochromes, metal isotopes, oligonucleotides, and enzymes, which makes them ideal for antibody labelling, functional and cell-based assays, flow-based assays (e.g. mass cytometry) and Multiplex Imaging applications.

Use our conjugation kits for antibody conjugates that are ready-to-use in as little as 20 minutes with 1 minute hands-on-time and 100% antibody recovery: available for fluorescent dyes, HRP, biotin and gold.

Properties and storage information

Form
Liquid
Purification technique
Affinity purification Protein A
Storage buffer
pH: 7.4 Constituents: PBS
Shipped at conditions
Blue Ice
Appropriate short-term storage duration
1-2 weeks
Appropriate short-term storage conditions
+4°C
Appropriate long-term storage conditions
+4°C
Aliquoting information
Upon delivery aliquot
Storage information
Avoid freeze / thaw cycle

Supplementary information

This supplementary information is collated from multiple sources and compiled automatically.

The p63 protein also known as TP63 or KET is a transcription factor that plays a role in the regulation of cell cycle and apoptosis. With a molecular mass of approximately 77 kDa it expresses predominantly in epithelial tissues such as those in the skin breast and prostate. The expression pattern of p63 makes it a useful marker in developmental biology and cancer diagnosis. Antibodies like '4A4' specifically recognize p63 in various assays including immunohistochemistry.
Biological function summary

P63 participates in the control of epithelial cell differentiation and proliferation. It functions as a member of the p53 family which includes p53 and p73. This family forms an important part of the complex regulatory network that maintains genomic stability. Research using methods like p63 staining in immunohistochemistry highlights its critical role in stratified epithelia. The gene encodes several isoforms with different biological activities impacting processes such as cellular senescence and development.

Pathways

P63 integrates into various signaling pathways that influence cellular growth and adherence. It notably impacts the Notch and Wnt pathways both of which are critical for developmental processes and cancer progression. Through these pathways p63 interacts with proteins like β-catenin and Notch receptors facilitating cross-talk that influences cell fate decisions. Its function relates closely to other transcription factors forming feedback loops that reinforce its regulatory impact.

P63 shows strong associations with ectodermal dysplasia and different types of cancers like squamous cell carcinoma. Mutations and altered expressions of p63 contribute to these pathologies by disrupting normal cell proliferation and differentiation. The protein interacts closely with p73 in cancer suggesting a compensatory role when p63 function is compromised. Understanding these connections can guide the development of targeted therapies and improve diagnostic accuracy.

Product protocols

For this product, it's our understanding that no specific protocols are required. You can visit:

Target data

Acts as a sequence specific DNA binding transcriptional activator or repressor. The isoforms contain a varying set of transactivation and auto-regulating transactivation inhibiting domains thus showing an isoform specific activity. Isoform 2 activates RIPK4 transcription. May be required in conjunction with TP73/p73 for initiation of p53/TP53 dependent apoptosis in response to genotoxic insults and the presence of activated oncogenes. Involved in Notch signaling by probably inducing JAG1 and JAG2. Plays a role in the regulation of epithelial morphogenesis. The ratio of DeltaN-type and TA*-type isoforms may govern the maintenance of epithelial stem cell compartments and regulate the initiation of epithelial stratification from the undifferentiated embryonal ectoderm. Required for limb formation from the apical ectodermal ridge. Activates transcription of the p21 promoter.
See full target information TP63

Product promise

We are committed to supporting your work with high-quality reagents, and we're here for you every step of the way. In the unlikely event that one of our products does not perform as expected, you're protected by our Product Promise.
For full details, please see our Terms & Conditions

Please note: All products are 'FOR RESEARCH USE ONLY. NOT FOR USE IN DIAGNOSTIC OR THERAPEUTIC PROCEDURES'.

For licensing inquiries, please contact partnerships@abcam.com