JavaScript is disabled in your browser. Please enable JavaScript to view this website.
AB32353

Anti-p63 antibody [Y289]

5

(1 Review)

|

(5 Publications)

Rabbit Recombinant Monoclonal P63 antibody. Suitable for WB, ICC/IF, Flow Cyt (Intra), IHC-P and reacts with Human samples. Cited in 5 publications.

View Alternative Names

KET, P63, P73H, P73L, TP73L, TP63, Tumor protein 63, p63, Chronic ulcerative stomatitis protein, Keratinocyte transcription factor KET, Transformation-related protein 63, Tumor protein p73-like, p40, p51, CUSP, p73L

6 Images
Western blot - Anti-p63 antibody [Y289] (AB32353)
  • WB

Lab

Western blot - Anti-p63 antibody [Y289] (AB32353)

Blocking buffer and concentration : 5% NFDM/TBST.

Diluting buffer and concentration : 5% NFDM /TBST.

All lanes:

Western blot - Anti-p63 antibody [Y289] (ab32353) at 1/10000 dilution

All lanes:

A431 cell lysate at 10 µg

Secondary

All lanes:

Peroxidase-conjugated goat anti-rabbit IgG (H+L) at 1/1000 dilution

Predicted band size: 77 kDa

Observed band size: 73 kDa

false

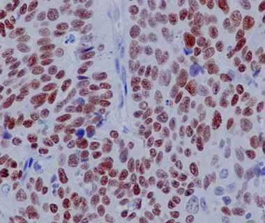
Immunohistochemistry (Formalin/PFA-fixed paraffin-embedded sections) - Anti-p63 antibody [Y289] (AB32353)
  • IHC-P

Unknown

Immunohistochemistry (Formalin/PFA-fixed paraffin-embedded sections) - Anti-p63 antibody [Y289] (AB32353)

Immunohistochemistry (Formalin/PFA-fixed paraffin-embedded sections) analysis of human hepatocellular skin tissue labelling p63 with purified ab32353 at 1/50. Heat mediated antigen retrieval was performed using Tris/EDTA buffer pH 9. A prediluted HRP-polymer conjugated anti-rabbit IgG was used as the secondary antibody. Counterstained with Hematoxylin.

Flow Cytometry (Intracellular) - Anti-p63 antibody [Y289] (AB32353)
  • Flow Cyt (Intra)

Lab

Flow Cytometry (Intracellular) - Anti-p63 antibody [Y289] (AB32353)

Intracellular Flow Cytometry analysis of A431 (human epidermoid carcinoma) cells labeling p63 with purified ab32353at 1/500 dilution (1ug/ml) (red). Cells were fixed with 4% paraformaldehyde and permeabilised with 90% methanol. A Goat anti rabbit IgG (Alexa Fluorr® 488) (1/2000 dilution) was used as the secondary antibody. Rabbit monoclonal IgG (Black) was used as the isotype control, cells without incubation with primary antibody and secondary antibody (Blue) were used as the unlabeled control.

Immunocytochemistry/ Immunofluorescence - Anti-p63 antibody [Y289] (AB32353)
  • ICC/IF

Unknown

Immunocytochemistry/ Immunofluorescence - Anti-p63 antibody [Y289] (AB32353)

Immunocytochemistry/Immunofluorescence analysis of A431 cells labelling p63 with unpurified ab32353 at 1/250 dilution.

Immunocytochemistry/ Immunofluorescence - Anti-p63 antibody [Y289] (AB32353)
  • ICC/IF

Unknown

Immunocytochemistry/ Immunofluorescence - Anti-p63 antibody [Y289] (AB32353)

Immunocytochemsitry/Immunofluorescence analysis of A431 cells labelling p63 (red) with purified ab32353 at 1/200. Cells were fixed with 4% paraformaldehyde. An Alexa Fluor® 555-conjugated goat anti-rabbit IgG (1/200) was used as the secondary antibody. Counterstained with DAPI (blue).

Western blot - Anti-p63 antibody [Y289] (AB32353)
  • WB

Lab

Western blot - Anti-p63 antibody [Y289] (AB32353)

Blocking buffer and concentration : 5% NFDM/TBST.

Diluting buffer and concentration : 5% NFDM /TBST.

All lanes:

Western blot - Anti-p63 antibody [Y289] (ab32353) at 1/4000 dilution

All lanes:

A431 cell lysate at 10 µg

Secondary

All lanes:

Peroxidase-conjugated goat anti-rabbit IgG (H+L) at 1/1000 dilution

Predicted band size: 77 kDa

Observed band size: 73 kDa

false

Key facts

Host species

Rabbit

Clonality

Monoclonal

Clone number

Y289

Isotype

IgG

Carrier free

No

Reacts with

Human

Applications

Flow Cyt (Intra), ICC/IF, IHC-P, WB

applications

Immunogen

The exact immunogen used to generate this antibody is proprietary information.

Epitope

ab32353 reacts with an epitope located in the C terminal region of p63.

Specificity

This antibody should detect both isoforms 2,9,10,11 and 12 of p63.

Reactivity data

{ "title": "Reactivity Data", "filters": { "stats": ["", "Species", "Dilution Info", "Notes"], "tabs": { "all-applications": {"fullname" : "All Applications", "shortname": "All Applications"}, "IP" : {"fullname" : "Immunoprecipitation", "shortname":"IP"}, "WB" : {"fullname" : "Western blot", "shortname":"WB"}, "ICCIF" : {"fullname" : "Immunocytochemistry/ Immunofluorescence", "shortname":"ICC/IF"}, "FlowCytIntra" : {"fullname" : "Flow Cytometry (Intracellular)", "shortname":"Flow Cyt (Intra)"}, "IHCP" : {"fullname" : "Immunohistochemistry (Formalin/PFA-fixed paraffin-embedded sections)", "shortname":"IHC-P"} }, "product-promise": { "all": "all", "testedAndGuaranteed": "tested", "guaranteed": "expected", "predicted": "predicted", "notRecommended": "not-recommended" } }, "values": { "Human": { "IP-species-checked": "notRecommended", "IP-species-dilution-info": "1/50", "IP-species-notes": "<p></p>", "WB-species-checked": "testedAndGuaranteed", "WB-species-dilution-info": "1/10000", "WB-species-notes": "<p><strong>For unpurified use at 1/4000.</strong></p>", "ICCIF-species-checked": "testedAndGuaranteed", "ICCIF-species-dilution-info": "1/100", "ICCIF-species-notes": "<p><strong>For unpurified use at 1/250 - 1/500.</strong></p>", "FlowCytIntra-species-checked": "testedAndGuaranteed", "FlowCytIntra-species-dilution-info": "", "FlowCytIntra-species-notes": "<p></p>", "IHCP-species-checked": "testedAndGuaranteed", "IHCP-species-dilution-info": "1/50", "IHCP-species-notes": "<p></p> Perform heat-mediated antigen retrieval with Tris/EDTA buffer pH 9.0 before commencing with IHC staining protocol." } } }

You may be interested in:

AB234564

Human P63 ELISA Kit

0

0 Reviews

View product

We recommend this product because it’s often used in the same experiment or related research.

We advise that you always check the datasheet to ensure it fits your experiments, or contact ourtechnical teamfor help.

Product details

Properties and storage information

Form
Liquid
Purification technique
Affinity purification Protein A
Storage buffer
pH: 7.2 - 7.4 Preservative: 0.01% Sodium azide Constituents: 59% PBS, 40% Glycerol (glycerin, glycerine), 0.05% BSA
Shipped at conditions
Blue Ice
Appropriate short-term storage duration
1-2 weeks
Appropriate short-term storage conditions
+4°C
Appropriate long-term storage conditions
-20°C
Aliquoting information
Upon delivery aliquot
Storage information
Avoid freeze / thaw cycle

Supplementary information

This supplementary information is collated from multiple sources and compiled automatically.

The p63 protein also known as TP63 or KET is a transcription factor that plays a role in the regulation of cell cycle and apoptosis. With a molecular mass of approximately 77 kDa it expresses predominantly in epithelial tissues such as those in the skin breast and prostate. The expression pattern of p63 makes it a useful marker in developmental biology and cancer diagnosis. Antibodies like '4A4' specifically recognize p63 in various assays including immunohistochemistry.
Biological function summary

P63 participates in the control of epithelial cell differentiation and proliferation. It functions as a member of the p53 family which includes p53 and p73. This family forms an important part of the complex regulatory network that maintains genomic stability. Research using methods like p63 staining in immunohistochemistry highlights its critical role in stratified epithelia. The gene encodes several isoforms with different biological activities impacting processes such as cellular senescence and development.

Pathways

P63 integrates into various signaling pathways that influence cellular growth and adherence. It notably impacts the Notch and Wnt pathways both of which are critical for developmental processes and cancer progression. Through these pathways p63 interacts with proteins like β-catenin and Notch receptors facilitating cross-talk that influences cell fate decisions. Its function relates closely to other transcription factors forming feedback loops that reinforce its regulatory impact.

P63 shows strong associations with ectodermal dysplasia and different types of cancers like squamous cell carcinoma. Mutations and altered expressions of p63 contribute to these pathologies by disrupting normal cell proliferation and differentiation. The protein interacts closely with p73 in cancer suggesting a compensatory role when p63 function is compromised. Understanding these connections can guide the development of targeted therapies and improve diagnostic accuracy.

Product protocols

For this product, it's our understanding that no specific protocols are required. You can visit:

Target data

Acts as a sequence specific DNA binding transcriptional activator or repressor. The isoforms contain a varying set of transactivation and auto-regulating transactivation inhibiting domains thus showing an isoform specific activity. Isoform 2 activates RIPK4 transcription. May be required in conjunction with TP73/p73 for initiation of p53/TP53 dependent apoptosis in response to genotoxic insults and the presence of activated oncogenes. Involved in Notch signaling by probably inducing JAG1 and JAG2. Plays a role in the regulation of epithelial morphogenesis. The ratio of DeltaN-type and TA*-type isoforms may govern the maintenance of epithelial stem cell compartments and regulate the initiation of epithelial stratification from the undifferentiated embryonal ectoderm. Required for limb formation from the apical ectodermal ridge. Activates transcription of the p21 promoter.
See full target information TP63

Publications (5)

Recent publications for all applications. Explore the full list and refine your search

Journal of inflammation research 14:2979-2991 PubMed34262323

2021

Overexpression of Neutrophil MMP-9 and HIF-1α May Contribute to the Finger-Like Projections Formation and Histo-Pathogenesis in Nasal Inverted Papilloma.

Applications

Unspecified application

Species

Unspecified reactive species

Tao Li,Kai Sen Tan,Yan Yi Tu,Li Zhao,Jing Liu,Hsiao Hui Ong,De Yun Wang,Li Shi

Molecular cancer 20:70 PubMed33874956

2021

CircLIFR synergizes with MSH2 to attenuate chemoresistance via MutSα/ATM-p73 axis in bladder cancer.

Applications

Unspecified application

Species

Unspecified reactive species

Hui Zhang,Xingyuan Xiao,Wenjie Wei,Chao Huang,Miao Wang,Liang Wang,Yuanqiao He,Jiayin Sun,Yangkai Jiang,Guosong Jiang,Xiaoping Zhang

Bio-protocol 10:e3754 PubMed33659413

2020

Isolation and Expansion of Human Limbal Epithelial Progenitor Cells.

Applications

Unspecified application

Species

Unspecified reactive species

Naresh Polisetti,Günther Schlunck,Thomas Reinhard,Friedrich E Kruse,Ursula Schlötzer-Schrehardt

Nature protocols 10:363-81 PubMed25654755

2015

Efficient generation of functional CFTR-expressing airway epithelial cells from human pluripotent stem cells.

Applications

Unspecified application

Species

Unspecified reactive species

Amy P Wong,Stephanie Chin,Sunny Xia,Jodi Garner,Christine E Bear,Janet Rossant

Proceedings of the National Academy of Sciences of 111:E1723-30 PubMed24706852

2014

Generation of multiciliated cells in functional airway epithelia from human induced pluripotent stem cells.

Applications

Unspecified application

Species

Unspecified reactive species

Amy L Firth,Carl T Dargitz,Susan J Qualls,Tushar Menon,Rebecca Wright,Oded Singer,Fred H Gage,Ajai Khanna,Inder M Verma
View all publications

Product promise

We are committed to supporting your work with high-quality reagents, and we're here for you every step of the way. In the unlikely event that one of our products does not perform as expected, you're protected by our Product Promise.
For full details, please see our Terms & Conditions

Associated Products

Select an associated product type
Alternative Product
Primary Antibodies

AB238079

Anti-p63 antibody [TP63/2427]

primary-antibodies

p63-antibody-tp63-2427-ab238079

0

(0 reviews)

Alternative Product
Primary Antibodies

AB53039

Anti-p63 antibody

primary-antibodies

p63-antibody-ab53039

5

(10 reviews)

Alternative Product
Primary Antibodies

AB92581

Anti-p63 (phospho S395) antibody

primary-antibodies

p63-phospho-s395-antibody-ab92581

0

(0 reviews)

Alternative Product
Primary Antibodies

AB110038

Anti-p63 antibody [4E5]

primary-antibodies

p63-antibody-4e5-ab110038

4

(4 reviews)

Alternative Product
Primary Antibodies

AB735

Anti-p63 antibody [4A4]

primary-antibodies

p63-antibody-4a4-ab735

5

(12 reviews)

Alternative Product
Primary Antibodies

AB216493

Anti-p63 antibody

primary-antibodies

p63-antibody-ab216493

0

(0 reviews)

Alternative Product
Primary Antibodies

AB169707

Anti-p63 antibody [I27-I]

primary-antibodies

p63-antibody-i27-i-ab169707

0

(0 reviews)

Alternative Product
Primary Antibodies

AB179874

Anti-p63 antibody [C24-I] - N-terminal

primary-antibodies

p63-antibody-c24-i-n-terminal-ab179874

0

(0 reviews)

Alternative Product
Primary Antibodies

AB246728

Alexa Fluor® 647 Anti-p63 antibody [EPR5701]

primary-antibodies

alexa-fluor-647-p63-antibody-epr5701-ab246728

0

(0 reviews)

Alternative Product
Primary Antibodies

AB202861

Biotin Anti-p63 antibody [EPR5701]

primary-antibodies

biotin-p63-antibody-epr5701-ab202861

0

(0 reviews)

Alternative Product
Primary Antibodies

AB202357

HRP Anti-p63 antibody [EPR5701]

primary-antibodies

hrp-p63-antibody-epr5701-ab202357

0

(0 reviews)

Alternative Product
Primary Antibodies

AB124762

Anti-p63 antibody [EPR5701]

primary-antibodies

p63-antibody-epr5701-ab124762

4

(12 reviews)

Alternative Product
Primary Antibodies

AB214790

Anti-p63 antibody [EPR5701] - BSA and Azide free

primary-antibodies

p63-antibody-epr5701-bsa-and-azide-free-ab214790

0

(0 reviews)

Alternative Product
Primary Antibodies

AB246727

Alexa Fluor® 488 Anti-p63 antibody [EPR5701]

primary-antibodies

alexa-fluor-488-p63-antibody-epr5701-ab246727

0

(0 reviews)

Alternative Product
Primary Antibodies

AB97865

Anti-p63 antibody

primary-antibodies

p63-antibody-ab97865

5

(1 reviews)

Please note: All products are 'FOR RESEARCH USE ONLY. NOT FOR USE IN DIAGNOSTIC OR THERAPEUTIC PROCEDURES'.

For licensing inquiries, please contact partnerships@abcam.com