JavaScript is disabled in your browser. Please enable JavaScript to view this website.
AB250753

Anti-P70 S6 Kinase beta/SRK antibody [EPR14956] - BSA and Azide free

Be the first to review this product! Submit a review

|

(2 Publications)

Rabbit Recombinant Monoclonal P70 S6 Kinase beta/SRK antibody. Carrier free. Suitable for ICC/IF, WB, Flow Cyt (Intra), IHC-P and reacts with Human samples. Cited in 2 publications.

View Alternative Names

STK14B, RPS6KB2, Ribosomal protein S6 kinase beta-2, S6K-beta-2, S6K2, 70 kDa ribosomal protein S6 kinase 2, S6 kinase-related kinase, Serine/threonine-protein kinase 14B, p70 ribosomal S6 kinase beta, P70S6K2, p70-S6K 2, SRK, S6K-beta, p70 S6 kinase beta, p70 S6K-beta, p70 S6KB, p70-beta

6 Images
Flow Cytometry (Intracellular) - Anti-P70 S6 Kinase beta/SRK antibody [EPR14956] - BSA and Azide free (AB250753)
  • Flow Cyt (Intra)

Supplier Data

Flow Cytometry (Intracellular) - Anti-P70 S6 Kinase beta/SRK antibody [EPR14956] - BSA and Azide free (AB250753)

This data was developed using ab184551, the same antibody clone in a different buffer formulation.

Intracellular Flow Cytometry analysis of 2% paraformaldehyde fixed HeLa cells labeling P70 S6 Kinase beta/SRK using ab184551 at a 1/100 dilution (red) or a Rabbit monoclonal IgG (green). Goat anti rabbit IgG (FITC) secondary at a 1/150 dilution

Immunocytochemistry/ Immunofluorescence - Anti-P70 S6 Kinase beta/SRK antibody [EPR14956] - BSA and Azide free (AB250753)
  • ICC/IF

Supplier Data

Immunocytochemistry/ Immunofluorescence - Anti-P70 S6 Kinase beta/SRK antibody [EPR14956] - BSA and Azide free (AB250753)

This data was developed using ab184551, the same antibody clone in a different buffer formulation.

Immunofluorescent staining of 4% paraformaldehyde fixed HeLa cells labeling P70 S6 Kinase beta/SRK using ab184551 at a 1/250 dilution and a Goat anti rabbit IgG (Alexa Fluor® 488) secondary at a 1/200 dilution (green) costained with Dapi (blue).

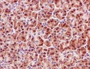
Immunohistochemistry (Formalin/PFA-fixed paraffin-embedded sections) - Anti-P70 S6 Kinase beta/SRK antibody [EPR14956] - BSA and Azide free (AB250753)
  • IHC-P

Supplier Data

Immunohistochemistry (Formalin/PFA-fixed paraffin-embedded sections) - Anti-P70 S6 Kinase beta/SRK antibody [EPR14956] - BSA and Azide free (AB250753)

This data was developed using ab184551, the same antibody clone in a different buffer formulation.

Immunohistochemical analysis of paraffin-embedded Human pancreas labeling P70 S6 Kinase beta/SRK using ab184551 at a 1/50 dilution, counterstained with Hematoxylin.

Perform heat mediated antigen retrieval with EDTA buffer pH 9 before commencing with IHC staining protocol.

Western blot - Anti-P70 S6 Kinase beta/SRK antibody [EPR14956] - BSA and Azide free (AB250753)
  • WB

Lab

Western blot - Anti-P70 S6 Kinase beta/SRK antibody [EPR14956] - BSA and Azide free (AB250753)

This data was developed using ab184551, the same antibody clone in a different buffer formulation.

Lane 1 : Wild-type HAP1 whole cell lysate (20 Âμg)

Lane 2 : RPS6KB2 knockout HAP1 whole cell lysate (20 Âμg)

Lane 3 : HeLa whole cell lysate (20 Âμg)

Lane 4 : Jurkat whole cell lysate (20 Âμg)

Lanes 1 - 4 : Merged signal (red and green). Green - ab184551 observed at 53 kDa. Red - loading control, ab8245, observed at 37 kDa.

ab184551 was shown to specifically react with P70 S6 Kinase beta/SRK in wild-type HAP1 cells. No band was observed when RPS6KB2 knockout samples were used. Wild-type and RPS6KB2 knockout samples were subjected to SDS-PAGE. ab184551 and ab8245 (Mouse anti GAPDH loading control) were incubated overnight at 4°C at 1/1000 dilution and 1/10,000 dilution respectively. Blots were developed with Goat anti-Rabbit IgG H&L (IRDye® 800CW) preabsorbed ab216773 and Goat anti-Mouse IgG H&L (IRDye® 680RD) preabsorbed ab216776 secondary antibodies at 1/20,000 dilution for 1 hour at room temperature before imaging.

All lanes:

Western blot - Anti-P70 S6 Kinase beta/SRK antibody [EPR14956] - N-terminal (<a href='/en-us/products/primary-antibodies/p70-s6-kinase-beta-srk-antibody-epr14956-n-terminal-ab184551'>ab184551</a>)

Predicted band size: 53 kDa

false

Western blot - Anti-P70 S6 Kinase beta/SRK antibody [EPR14956] - BSA and Azide free (AB250753)
  • WB

Supplier Data

Western blot - Anti-P70 S6 Kinase beta/SRK antibody [EPR14956] - BSA and Azide free (AB250753)

This data was developed using ab184551, the same antibody clone in a different buffer formulation.

All lanes:

Western blot - Anti-P70 S6 Kinase beta/SRK antibody [EPR14956] - N-terminal (<a href='/en-us/products/primary-antibodies/p70-s6-kinase-beta-srk-antibody-epr14956-n-terminal-ab184551'>ab184551</a>) at 1/10000 dilution

All lanes:

Human fetal liver lysate at 10 µg

Secondary

All lanes:

Anti-Rabbit IgG (HRP), specific to the non-reduced form of IgG at 1/1000 dilution

Predicted band size: 53 kDa

false

Western blot - Anti-P70 S6 Kinase beta/SRK antibody [EPR14956] - BSA and Azide free (AB250753)
  • WB

Supplier Data

Western blot - Anti-P70 S6 Kinase beta/SRK antibody [EPR14956] - BSA and Azide free (AB250753)

This data was developed using ab184551, the same antibody clone in a different buffer formulation.

All lanes:

Western blot - Anti-P70 S6 Kinase beta/SRK antibody [EPR14956] - N-terminal (<a href='/en-us/products/primary-antibodies/p70-s6-kinase-beta-srk-antibody-epr14956-n-terminal-ab184551'>ab184551</a>) at 1/50000 dilution

Lane 1:

Jurkat cell lysate at 20 µg

Lane 2:

K562 cell lysate at 20 µg

Secondary

All lanes:

Goat Anti-Rabbit IgG, (H+L), Peroxidase conjugated at 1/1000 dilution

Predicted band size: 53 kDa

false

Key facts

Host species

Rabbit

Clonality

Monoclonal

Clone number

EPR14956

Isotype

IgG

Carrier free

Yes

Reacts with

Human

Applications

IHC-P, ICC/IF, WB, Flow Cyt (Intra)

applications

Immunogen

The exact immunogen used to generate this antibody is proprietary information.

Reactivity data

{ "title": "Reactivity Data", "filters": { "stats": ["", "Species", "Dilution Info", "Notes"], "tabs": { "all-applications": {"fullname" : "All Applications", "shortname": "All Applications"}, "ICCIF" : {"fullname" : "Immunocytochemistry/ Immunofluorescence", "shortname":"ICC/IF"}, "WB" : {"fullname" : "Western blot", "shortname":"WB"}, "FlowCytIntra" : {"fullname" : "Flow Cytometry (Intracellular)", "shortname":"Flow Cyt (Intra)"}, "IHCP" : {"fullname" : "Immunohistochemistry (Formalin/PFA-fixed paraffin-embedded sections)", "shortname":"IHC-P"} }, "product-promise": { "all": "all", "testedAndGuaranteed": "tested", "guaranteed": "expected", "predicted": "predicted", "notRecommended": "not-recommended" } }, "values": { "Human": { "ICCIF-species-checked": "testedAndGuaranteed", "ICCIF-species-dilution-info": "", "ICCIF-species-notes": "<p></p>", "WB-species-checked": "testedAndGuaranteed", "WB-species-dilution-info": "", "WB-species-notes": "<p></p>", "FlowCytIntra-species-checked": "testedAndGuaranteed", "FlowCytIntra-species-dilution-info": "", "FlowCytIntra-species-notes": "<p></p>", "IHCP-species-checked": "testedAndGuaranteed", "IHCP-species-dilution-info": "", "IHCP-species-notes": "<p></p>" }, "Mouse": { "ICCIF-species-checked": "predicted", "ICCIF-species-dilution-info": "", "ICCIF-species-notes": "", "WB-species-checked": "predicted", "WB-species-dilution-info": "", "WB-species-notes": "", "FlowCytIntra-species-checked": "predicted", "FlowCytIntra-species-dilution-info": "", "FlowCytIntra-species-notes": "", "IHCP-species-checked": "predicted", "IHCP-species-dilution-info": "", "IHCP-species-notes": "" }, "Rat": { "ICCIF-species-checked": "predicted", "ICCIF-species-dilution-info": "", "ICCIF-species-notes": "", "WB-species-checked": "predicted", "WB-species-dilution-info": "", "WB-species-notes": "", "FlowCytIntra-species-checked": "predicted", "FlowCytIntra-species-dilution-info": "", "FlowCytIntra-species-notes": "", "IHCP-species-checked": "predicted", "IHCP-species-dilution-info": "", "IHCP-species-notes": "" } } }

Product details

ab250753 is the carrier-free version of ab184551.

Patented technology
Our RabMAb® technology is a patented hybridoma-based technology for making rabbit monoclonal antibodies. For details on our patents, please refer to RabMAb® patents.

What are the advantages of a recombinant monoclonal antibody?
This product is a recombinant monoclonal antibody, which offers several advantages including:

  • - High batch-to-batch consistency and reproducibility
  • - Improved sensitivity and specificity
  • - Long-term security of supply
  • - Animal-free batch production

For more information, read more on recombinant antibodies.

Conjugation ready
Our carrier-free antibodies are typically supplied in a PBS-only formulation, purified and free of BSA, sodium azide and glycerol. This conjugation-ready format is designed for use with fluorochromes, metal isotopes, oligonucleotides, and enzymes, which makes them ideal for antibody labelling, functional and cell-based assays, flow-based assays (e.g. mass cytometry) and Multiplex Imaging applications.

Use our conjugation kits for antibody conjugates that are ready-to-use in as little as 20 minutes with 1 minute hands-on-time and 100% antibody recovery: available for fluorescent dyes, HRP, biotin and gold.

Compatibility
This product is compatible with the Maxpar® Antibody Labeling Kit from Fluidigm, without the need for antibody preparation. Maxpar® is a trademark of Fluidigm Canada Inc.

Properties and storage information

Form
Liquid
Purification technique
Affinity purification Protein A
Storage buffer
pH: 7.2 - 7.4 Constituents: PBS
Shipped at conditions
Blue Ice
Appropriate short-term storage conditions
+4°C
Appropriate long-term storage conditions
+4°C
Storage information
Do Not Freeze

Supplementary information

This supplementary information is collated from multiple sources and compiled automatically.

P70 S6 Kinase beta also known as SRK is a protein kinase involved in the regulation of cellular growth and metabolism. It has a molecular mass of approximately 70 kDa. This kinase is predominantly expressed in brain liver and muscle tissues. P70 is an important mediator in the process of protein translation acting mechanically by phosphorylating the ribosomal protein S6 which in turn enhances the translation of a subset of mRNAs related to cell growth processes.
Biological function summary

P70 S6 Kinase beta/SRK is a significant component in the cellular signaling complexes that manage cell size and energy regulation. It participates in the mechanistic target of rapamycin (mTOR) pathway. Through its enzymatic activity it helps cells respond to growth factors and nutrients. By motivating the translation of mRNAs p70 sustains ribosome biogenesis and cell growth.

Pathways

P70 operates within the mTOR signaling pathway known for its role in controlling cell growth and proliferation. It interacts with proteins like mTORC1 which is a known regulator of cellular metabolism and protein synthesis. These interactions allow p70 to integrate signals from other kinases like Akt influencing downstream responses including glucose metabolism.

P70 S6 Kinase beta/SRK links to conditions such as cancer and type 2 diabetes. Aberrant activation of P70 through the mTOR pathway contributes significantly to tumorigenesis due to its influence on cell growth and survival. Additionally in type 2 diabetes dysregulated signaling of P70 affects insulin sensitivity often in conjunction with related enzymes such as Akt and mTOR.

Product protocols

For this product, it's our understanding that no specific protocols are required. You can visit:

Target data

Phosphorylates specifically ribosomal protein S6 (PubMed : 29750193). Seems to act downstream of mTOR signaling in response to growth factors and nutrients to promote cell proliferation, cell growth and cell cycle progression in an alternative pathway regulated by MEAK7 (PubMed : 29750193).
See full target information RPS6KB2

Publications (2)

Recent publications for all applications. Explore the full list and refine your search

World journal of gastrointestinal oncology 16:4716-4727 PubMed39678812

2024

Enhancing the radiosensitivity of colorectal cancer cells by reducing spermine synthase through promoting autophagy and DNA damage.

Applications

Unspecified application

Species

Unspecified reactive species

Yu-Bin Guo,Yue-Ming Wu,Zhi-Zhao Lin

Nature cell biology 24:1541-1557 PubMed36192632

2022

Alternative RNA splicing modulates ribosomal composition and determines the spatial phenotype of glioblastoma cells.

Applications

Unspecified application

Species

Unspecified reactive species

Tatyana D Larionova,Soniya Bastola,Tatiana E Aksinina,Ksenia S Anufrieva,Jia Wang,Victoria O Shender,Dmitriy E Andreev,Tatiana F Kovalenko,Georgij P Arapidi,Polina V Shnaider,Anastasia N Kazakova,Yaroslav A Latyshev,Victor V Tatarskiy,Alexander A Shtil,Pascale Moreau,Francis Giraud,Chaoxi Li,Yichan Wang,Maria P Rubtsova,Olga A Dontsova,Michael Condro,Benjamin M Ellingson,Mikhail I Shakhparonov,Harley I Kornblum,Ichiro Nakano,Marat S Pavlyukov
View all publications

Product promise

We are committed to supporting your work with high-quality reagents, and we're here for you every step of the way. In the unlikely event that one of our products does not perform as expected, you're protected by our Product Promise.
For full details, please see our Terms & Conditions

Please note: All products are 'FOR RESEARCH USE ONLY. NOT FOR USE IN DIAGNOSTIC OR THERAPEUTIC PROCEDURES'.

For licensing inquiries, please contact partnerships@abcam.com