JavaScript is disabled in your browser. Please enable JavaScript to view this website.
AB308331

Anti-p70 S6K phospho Thr421 Ser424 antibody [HL129]

Be the first to review this product! Submit a review

|

(2 Publications)

Rabbit Recombinant Monoclonal KS6B1 phospho T421 + S424 antibody. Carrier free. Suitable for IHC-P, WB and reacts with Mouse, Rat, Human samples. Cited in 2 publications. Immunogen corresponding to Synthetic Peptide within Human RPS6KB1 phospho T421 + S424.

View Alternative Names

STK14A, RPS6KB1, Ribosomal protein S6 kinase beta-1, S6K-beta-1, S6K1, 70 kDa ribosomal protein S6 kinase 1, Ribosomal protein S6 kinase I, Serine/threonine-protein kinase 14A, p70 ribosomal S6 kinase alpha, P70S6K1, p70-S6K 1, p70 S6 kinase alpha, p70 S6K-alpha, p70 S6KA

6 Images
Immunohistochemistry paraffin embedded sections - Anti-p70 S6K phospho Thr421 Ser424 antibody [HL129] (AB308331)
  • IHC-P

Supplier Data

Immunohistochemistry paraffin embedded sections - Anti-p70 S6K phospho Thr421 Ser424 antibody [HL129] (AB308331)

Immunohistochemical analysis of mouse intestine and heart tissue labeling p70 S6K phospho Thr421 Ser424 using ab308331 at 1/100 dilution. Antigen retrival was performed using Citrate buffer, pH 6.0, 15 min

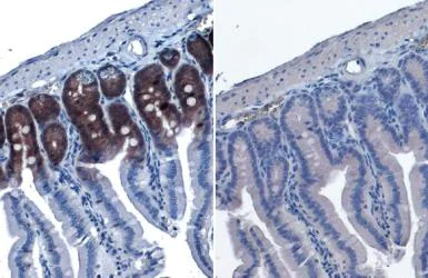
Immunohistochemistry paraffin embedded sections - Anti-p70 S6K phospho Thr421 Ser424 antibody [HL129] (AB308331)
  • IHC-P

Supplier Data

Immunohistochemistry paraffin embedded sections - Anti-p70 S6K phospho Thr421 Ser424 antibody [HL129] (AB308331)

Immunohistochemical analysis of mouse intestine tissue labeling p70 S6K phospho Thr421 Ser424 (right) using ab308331 at 1/100 dilution. Control peptide (left). Antigen retrival was performed using Citrate buffer, pH 6.0, 15 min

Immunohistochemistry paraffin embedded sections - Anti-p70 S6K phospho Thr421 Ser424 antibody [HL129] (AB308331)
  • IHC-P

Supplier Data

Immunohistochemistry paraffin embedded sections - Anti-p70 S6K phospho Thr421 Ser424 antibody [HL129] (AB308331)

Immunohistochemical analysis of rat pancreas tissue labeling p70 S6K phospho Thr421 Ser424 using ab308331 at 1/100 dilution. Antigen retrival was performed using Citrate buffer, pH 6.0, 15 min

Western blot - Anti-p70 S6K phospho Thr421 Ser424 antibody [HL129] (AB308331)
  • WB

Supplier Data

Western blot - Anti-p70 S6K phospho Thr421 Ser424 antibody [HL129] (AB308331)

Samples were separated by 10% SDS-PAGE.

All lanes:

Western blot - Anti-p70 S6K phospho Thr421 Ser424 antibody [HL129] (ab308331) at 1/500 dilution

Lane 1:

Wild-type (WT) HeLa cell extracts at 30 µg

Lane 2:

p70 S6K (phospho Thr421/Ser424) knockout (KO) HeLa cell extracts at 30 µg

Secondary

All lanes:

HRP-conjugated anti-rabbit IgG antibody

Predicted band size: 59 kDa

false

Western blot - Anti-p70 S6K phospho Thr421 Ser424 antibody [HL129] (AB308331)
  • WB

Supplier Data

Western blot - Anti-p70 S6K phospho Thr421 Ser424 antibody [HL129] (AB308331)

Untreated (–) and treated (+) Rat2 whole cell extracts (30 μg) were separated by 10% SDS-PAGE, and the membrane was blotted with p70 S6K (phospho Thr421/Ser424) antibody [HL129] (ab308331) diluted at 1/500. A HRP-conjugated anti-rabbit IgG antibody was used to detect the primary antibody.

All lanes:

Western blot - Anti-p70 S6K phospho Thr421 Ser424 antibody [HL129] (ab308331) at 1/500 dilution

All lanes:

Treated (+) Rat2 whole cell lysate at 30 µg

Secondary

All lanes:

HRP-conjugated anti-rabbit IgG antibody

Predicted band size: 59.1 kDa

false

ELISA - Anti-p70 S6K phospho Thr421 Ser424 antibody [HL129] (AB308331)
  • ELISA

Supplier Data

ELISA - Anti-p70 S6K phospho Thr421 Ser424 antibody [HL129] (AB308331)

Specificity test was performed by coating the plate with recombinant p70 S6K peptide and p70 S6K (phospho Thr421) peptide (1000-15.63 ng/mL). Coated protein was probed with ab308331 (1 µg/mL). Goat anti-rabbit IgG antibody (HRP) (1 : 10000 dilution) was used to detect the bound primary antibody.

Key facts

Host species

Rabbit

Clonality

Monoclonal

Clone number

HL129

Isotype

IgG

Carrier free

Yes

Reacts with

Mouse, Rat, Human

Applications

WB, IHC-P

applications

Immunogen

Synthetic Peptide within Human RPS6KB1 phospho T421 + S424. The exact immunogen used to generate this antibody is proprietary information.

P23443

Reactivity data

{ "title": "Reactivity Data", "filters": { "stats": ["", "Species", "Dilution Info", "Notes"], "tabs": { "all-applications": {"fullname" : "All Applications", "shortname": "All Applications"}, "IHCP" : {"fullname" : "Immunohistochemistry (Formalin/PFA-fixed paraffin-embedded sections)", "shortname":"IHC-P"}, "WB" : {"fullname" : "Western blot", "shortname":"WB"} }, "product-promise": { "all": "all", "testedAndGuaranteed": "tested", "guaranteed": "expected", "predicted": "predicted", "notRecommended": "not-recommended" } }, "values": { "Human": { "IHCP-species-checked": "guaranteed", "IHCP-species-dilution-info": "", "IHCP-species-notes": "", "WB-species-checked": "testedAndGuaranteed", "WB-species-dilution-info": "1/500 - 1/3000", "WB-species-notes": "<p></p>" }, "Mouse": { "IHCP-species-checked": "testedAndGuaranteed", "IHCP-species-dilution-info": "1/100", "IHCP-species-notes": "<p></p>", "WB-species-checked": "guaranteed", "WB-species-dilution-info": "", "WB-species-notes": "" }, "Rat": { "IHCP-species-checked": "testedAndGuaranteed", "IHCP-species-dilution-info": "1/100", "IHCP-species-notes": "<p></p>", "WB-species-checked": "testedAndGuaranteed", "WB-species-dilution-info": "1/500 - 1/3000", "WB-species-notes": "<p></p>" } } }

Product details

What are the advantages of a recombinant monoclonal antibody?
This product is a recombinant monoclonal antibody, which offers several advantages including:

  • - High batch-to-batch consistency and reproducibility
  • - Improved sensitivity and specificity
  • - Long-term security of supply
  • - Animal-free batch production

For more information, read more on recombinant antibodies.

Conjugation ready
Our carrier-free antibodies are typically supplied in a PBS-only formulation, purified and free of BSA, sodium azide and glycerol. This conjugation-ready format is designed for use with fluorochromes, metal isotopes, oligonucleotides, and enzymes, which makes them ideal for antibody labelling, functional and cell-based assays, flow-based assays (e.g. mass cytometry) and Multiplex Imaging applications.

Use our conjugation kits for antibody conjugates that are ready-to-use in as little as 20 minutes with 1 minute hands-on-time and 100% antibody recovery: available for fluorescent dyes, HRP, biotin and gold.

Properties and storage information

Form
Liquid
Purification technique
Affinity purification Protein A
Storage buffer
pH: 7.4 Constituents: PBS
Shipped at conditions
Blue Ice
Appropriate short-term storage duration
1-2 weeks
Appropriate short-term storage conditions
+4°C
Appropriate long-term storage conditions
+4°C
Aliquoting information
Upon delivery aliquot
Storage information
Avoid freeze / thaw cycle

Product protocols

For this product, it's our understanding that no specific protocols are required. You can visit:

Target data

Serine/threonine-protein kinase that acts downstream of mTOR signaling in response to growth factors and nutrients to promote cell proliferation, cell growth and cell cycle progression (PubMed : 11500364, PubMed : 12801526, PubMed : 14673156, PubMed : 15071500, PubMed : 15341740, PubMed : 16286006, PubMed : 17052453, PubMed : 17053147, PubMed : 17936702, PubMed : 18952604, PubMed : 19085255, PubMed : 19720745, PubMed : 19935711, PubMed : 19995915, PubMed : 22017876, PubMed : 23429703, PubMed : 28178239). Regulates protein synthesis through phosphorylation of EIF4B, RPS6 and EEF2K, and contributes to cell survival by repressing the pro-apoptotic function of BAD (PubMed : 11500364, PubMed : 12801526, PubMed : 14673156, PubMed : 15071500, PubMed : 15341740, PubMed : 16286006, PubMed : 17052453, PubMed : 17053147, PubMed : 17936702, PubMed : 18952604, PubMed : 19085255, PubMed : 19720745, PubMed : 19935711, PubMed : 19995915, PubMed : 22017876, PubMed : 23429703, PubMed : 28178239). Under conditions of nutrient depletion, the inactive form associates with the EIF3 translation initiation complex (PubMed : 16286006). Upon mitogenic stimulation, phosphorylation by the mechanistic target of rapamycin complex 1 (mTORC1) leads to dissociation from the EIF3 complex and activation (PubMed : 16286006). The active form then phosphorylates and activates several substrates in the pre-initiation complex, including the EIF2B complex and the cap-binding complex component EIF4B (PubMed : 16286006). Also controls translation initiation by phosphorylating a negative regulator of EIF4A, PDCD4, targeting it for ubiquitination and subsequent proteolysis (PubMed : 17053147). Promotes initiation of the pioneer round of protein synthesis by phosphorylating POLDIP3/SKAR (PubMed : 15341740). In response to IGF1, activates translation elongation by phosphorylating EEF2 kinase (EEF2K), which leads to its inhibition and thus activation of EEF2 (PubMed : 11500364). Also plays a role in feedback regulation of mTORC2 by mTORC1 by phosphorylating MAPKAP1/SIN1, MTOR and RICTOR, resulting in the inhibition of mTORC2 and AKT1 signaling (PubMed : 15899889, PubMed : 19720745, PubMed : 19935711, PubMed : 19995915). Also involved in feedback regulation of mTORC1 and mTORC2 by phosphorylating DEPTOR (PubMed : 22017876). Mediates cell survival by phosphorylating the pro-apoptotic protein BAD and suppressing its pro-apoptotic function (By similarity). Phosphorylates mitochondrial URI1 leading to dissociation of a URI1-PPP1CC complex (PubMed : 17936702). The free mitochondrial PPP1CC can then dephosphorylate RPS6KB1 at Thr-412, which is proposed to be a negative feedback mechanism for the RPS6KB1 anti-apoptotic function (PubMed : 17936702). Mediates TNF-induced insulin resistance by phosphorylating IRS1 at multiple serine residues, resulting in accelerated degradation of IRS1 (PubMed : 18952604). In cells lacking functional TSC1-2 complex, constitutively phosphorylates and inhibits GSK3B (PubMed : 17052453). May be involved in cytoskeletal rearrangement through binding to neurabin (By similarity). Phosphorylates and activates the pyrimidine biosynthesis enzyme CAD, downstream of MTOR (PubMed : 23429703). Following activation by mTORC1, phosphorylates EPRS and thereby plays a key role in fatty acid uptake by adipocytes and also most probably in interferon-gamma-induced translation inhibition (PubMed : 28178239).
See full target information RPS6KB1 phospho T421 + S424

Publications (2)

Recent publications for all applications. Explore the full list and refine your search

Journal of translational medicine 23:527 PubMed40346630

2025

ESPN activates ZEB1-mediated EMT through the PI3K/AKT/mTOR axis to promote osteosarcoma metastasis.

Applications

Unspecified application

Species

Unspecified reactive species

Ruikai Zhou,Hongyu Wu,Hao You,Xiaofei Wang,Xiuchen Yuan,Zhengyi Sun,Dong Zhou,Yuqing Jiang,Yifei Shen

In vivo (Athens, Greece) 38:1546-1556 PubMed38936937

2024

SARS-CoV-2 Spike Protein Induces Oxidative Stress and Senescence in Mouse and Human Lung.

Applications

Unspecified application

Species

Unspecified reactive species

Joel S Greenberger,Wen Hou,Donna Shields,Renee Fisher,Michael W Epperly,Inderpal Sarkaria,Peter Wipf,Hong Wang
View all publications

Product promise

We are committed to supporting your work with high-quality reagents, and we're here for you every step of the way. In the unlikely event that one of our products does not perform as expected, you're protected by our Product Promise.
For full details, please see our Terms & Conditions

Please note: All products are 'FOR RESEARCH USE ONLY. NOT FOR USE IN DIAGNOSTIC OR THERAPEUTIC PROCEDURES'.

For licensing inquiries, please contact partnerships@abcam.com