JavaScript is disabled in your browser. Please enable JavaScript to view this website.
AB40658

Anti-p73 antibody [EP436Y]

4

(2 Reviews)

|

(63 Publications)

Anti-p73 antibody [EP436Y] (ab40658) is a rabbit monoclonal antibody detecting p73 in Western Blot, Flow Cytometry (Intra), Flow Cytometry, IHC-P, ICC/IF. Suitable for Human, Mouse.

- Biophysical QC for unrivalled batch-batch consistency
- Over 60 publications
- Trusted since 2006

View Alternative Names

P73, TP73, Tumor protein p73, p53-like transcription factor, p53-related protein

9 Images
Western blot - Anti-p73 antibody [EP436Y] (AB40658)
  • WB

Lab

Western blot - Anti-p73 antibody [EP436Y] (AB40658)

Blocking and dilution buffer : 5% NFDM/TBST.

All lanes:

Western blot - Anti-p73 antibody [EP436Y] (ab40658) at 1/1000 dilution

All lanes:

NIH/3T3 whole cell lysate at 10 µg

Secondary

All lanes:

Western blot - Goat Anti-Rabbit IgG H&L (HRP) (<a href='/en-us/products/secondary-antibodies/goat-rabbit-igg-h-l-hrp-ab97051'>ab97051</a>) at 1/20000 dilution

Predicted band size: 69 kDa

Observed band size: 60 kDa

false

Flow Cytometry (Intracellular) - Anti-p73 antibody [EP436Y] (AB40658)
  • Flow Cyt (Intra)

Unknown

Flow Cytometry (Intracellular) - Anti-p73 antibody [EP436Y] (AB40658)

Intracellular Flow Cytometry analysis of 293 (human embryonic kidney) cells labeling p73 with purified ab40658 at 1/120 dilution (10ug/ml) (red). Cells were fixed with 4% paraformaldehyde and permeabilised with 90% methanol. A Goat anti rabbit IgG (Alexa Fluor® 488) (1/2000 dilution) was used as the secondary antibody. Rabbit monoclonal IgG (Black) was used as the isotype control, cells without incubation with primary antibody and secondary antibody (Blue) was used as the unlabeled control.

Immunohistochemistry (Formalin/PFA-fixed paraffin-embedded sections) - Anti-p73 antibody [EP436Y] (AB40658)
  • IHC-P

Unknown

Immunohistochemistry (Formalin/PFA-fixed paraffin-embedded sections) - Anti-p73 antibody [EP436Y] (AB40658)

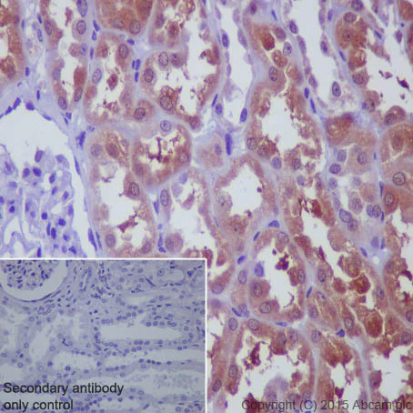
Immunohistochemistry (Formalin/PFA-fixed paraffin-embedded sections) analysis of human kidney tissue labelling p73 with purified ab40658 at a dilution of 1/100. Heat mediated antigen retrieval was performed using Tris/EDTA buffer pH 9. ab97051, a HRP-conjugated goat anti-rabbit IgG (H+L) was used as the secondary antibody (1/500). Negative control using PBS instead of primary antibody. Counterstained with hematoxylin.

Immunohistochemistry (Formalin/PFA-fixed paraffin-embedded sections) - Anti-p73 antibody [EP436Y] (AB40658)
  • IHC-P

Unknown

Immunohistochemistry (Formalin/PFA-fixed paraffin-embedded sections) - Anti-p73 antibody [EP436Y] (AB40658)

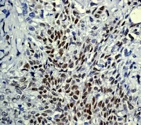
Immunohistochemistry (Formalin/PFA-fixed paraffin-embedded sections) analysis of human urinary bladder carcinoma tissue labelling p73 with unpurified ab40658 at a dilution of 1/100.

Perform heat mediated antigen retrieval before commencing with IHC staining protocol.

Immunohistochemistry (Formalin/PFA-fixed paraffin-embedded sections) - Anti-p73 antibody [EP436Y] (AB40658)
  • IHC-P

Unknown

Immunohistochemistry (Formalin/PFA-fixed paraffin-embedded sections) - Anti-p73 antibody [EP436Y] (AB40658)

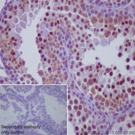
Immunohistochemistry (Formalin/PFA-fixed paraffin-embedded sections) analysis of mouse testis tissue labelling p73 with purified ab40658 at a dilution of 1/100. Heat mediated antigen retrieval was performed using Tris/EDTA buffer pH 9. ab97051, a HRP-conjugated goat anti-rabbit IgG (H+L) was used as the secondary antibody (1/500). Negative control using PBS instead of primary antibody. Counterstained with hematoxylin.

Immunohistochemistry (Formalin/PFA-fixed paraffin-embedded sections) - Anti-p73 antibody [EP436Y] (AB40658)
  • IHC-P

Unknown

Immunohistochemistry (Formalin/PFA-fixed paraffin-embedded sections) - Anti-p73 antibody [EP436Y] (AB40658)

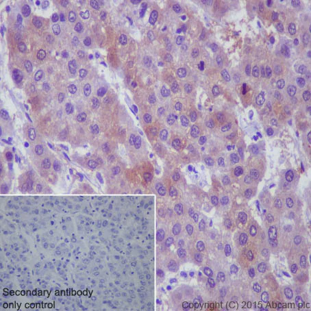
Immunohistochemistry (Formalin/PFA-fixed paraffin-embedded sections) analysis of human liver carcinoma tissue labelling p73 with purified ab40658 at a dilution of 1/100. Heat mediated antigen retrieval was performed using Tris/EDTA buffer pH 9. ab97051, a HRP-conjugated goat anti-rabbit IgG (H+L) was used as the secondary antibody (1/500). Negative control using PBS instead of primary antibody. Counterstained with hematoxylin.

Immunocytochemistry/ Immunofluorescence - Anti-p73 antibody [EP436Y] (AB40658)
  • ICC/IF

Unknown

Immunocytochemistry/ Immunofluorescence - Anti-p73 antibody [EP436Y] (AB40658)

Immunocytochemistry/Immunofluorescence analysis of HeLa cells labelling p73 with purified ab40658 at a dilution of 1/300. Cells were fixed with 4% paraformaldehyde and permeabilized with 0.1% Triton X-100. ab150077, an Alexa Fluor® 488-conjugated goat anti-rabbit IgG (1/1000) was used as the secondary antibody. DAPI (blue) was used as the nuclear counterstain. ab7291, a mouse anti-tubulin (1/1000) and ab150120, an Alexa Fluor® 594-conjugated goat anti-mouse IgG (1/1000) were also used.

Control 1 : primary antibody (1/300) and secondary antibody, ab150120, an Alexa Fluor® 594-conjugated goat anti-mouse IgG (1/1000).

Control 2 : ab7291 (1/1000) and secondary antibody, ab150077, an Alexa Fluor® 488-conjugated goat anti-rabbit IgG (1/1000).

Western blot - Anti-p73 antibody [EP436Y] (AB40658)
  • WB

Lab

Western blot - Anti-p73 antibody [EP436Y] (AB40658)

Blocking and dilution buffer : 5% NFDM/TBST.

All lanes:

Western blot - Anti-p73 antibody [EP436Y] (ab40658) at 1/5000 dilution

Lane 1:

HeLa whole cell lysate at 10 µg

Lane 2:

HEK293 whole cell lysate at 10 µg

Secondary

All lanes:

Western blot - Goat Anti-Rabbit IgG H&L (HRP) (<a href='/en-us/products/secondary-antibodies/goat-rabbit-igg-h-l-hrp-ab97051'>ab97051</a>) at 1/20000 dilution

Predicted band size: 69 kDa

Observed band size: 60 kDa,75 kDa

false

Western blot - Anti-p73 antibody [EP436Y] (AB40658)
  • WB

Unknown

Western blot - Anti-p73 antibody [EP436Y] (AB40658)

All lanes:

Western blot - Anti-p73 antibody [EP436Y] (ab40658) at 1/2000 dilution

Lane 1:

HeLa cell lysate at 10 µg

Lane 2:

Jurkat cell lysate at 10 µg

Lane 3:

NIH/3T3 cell lysate at 10 µg

Predicted band size: 69 kDa

Observed band size: 63 kDa

false

Key facts

Host species

Rabbit

Clonality

Monoclonal

Clone number

EP436Y

Isotype

IgG

Carrier free

No

Reacts with

Mouse, Human

Applications

WB, Flow Cyt (Intra), ICC/IF, IHC-P

applications

Immunogen

The exact immunogen used to generate this antibody is proprietary information.

Reactivity data

{ "title": "Reactivity Data", "filters": { "stats": ["", "Species", "Dilution Info", "Notes"], "tabs": { "all-applications": {"fullname" : "All Applications", "shortname": "All Applications"}, "IHCP" : {"fullname" : "Immunohistochemistry (Formalin/PFA-fixed paraffin-embedded sections)", "shortname":"IHC-P"}, "IP" : {"fullname" : "Immunoprecipitation", "shortname":"IP"}, "WB" : {"fullname" : "Western blot", "shortname":"WB"}, "ICCIF" : {"fullname" : "Immunocytochemistry/ Immunofluorescence", "shortname":"ICC/IF"}, "FlowCytIntra" : {"fullname" : "Flow Cytometry (Intracellular)", "shortname":"Flow Cyt (Intra)"} }, "product-promise": { "all": "all", "testedAndGuaranteed": "tested", "guaranteed": "expected", "predicted": "predicted", "notRecommended": "not-recommended" } }, "values": { "Human": { "IHCP-species-checked": "testedAndGuaranteed", "IHCP-species-dilution-info": "1/100", "IHCP-species-notes": "<p></p>", "IP-species-checked": "notRecommended", "IP-species-dilution-info": "1/50", "IP-species-notes": "<p></p>", "WB-species-checked": "testedAndGuaranteed", "WB-species-dilution-info": "1/500 - 1/2000", "WB-species-notes": "<p></p>", "ICCIF-species-checked": "testedAndGuaranteed", "ICCIF-species-dilution-info": "1/150 - 1/300", "ICCIF-species-notes": "<p></p>", "FlowCytIntra-species-checked": "testedAndGuaranteed", "FlowCytIntra-species-dilution-info": "", "FlowCytIntra-species-notes": "<p></p>" }, "Mouse": { "IHCP-species-checked": "testedAndGuaranteed", "IHCP-species-dilution-info": "1/100", "IHCP-species-notes": "<p></p>", "IP-species-checked": "notRecommended", "IP-species-dilution-info": "1/50", "IP-species-notes": "<p></p>", "WB-species-checked": "testedAndGuaranteed", "WB-species-dilution-info": "1/500 - 1/2000", "WB-species-notes": "<p></p>", "ICCIF-species-checked": "guaranteed", "ICCIF-species-dilution-info": "", "ICCIF-species-notes": "", "FlowCytIntra-species-checked": "guaranteed", "FlowCytIntra-species-dilution-info": "", "FlowCytIntra-species-notes": "" } } }

Product details

What is this antibody validated in?
Anti-p73 antibody [EP436Y] (ab40658) is a rabbit recombinant monoclonal antibody and is validated for use in Western Blot (WB), Flow Cytometry (Intra), Flow Cytometry (Flow Cyt), Immunohistochemistry (IHC-P), Immunocytochemistry/immunofluorescence (ICC/IF) in Human, Mouse samples.

What is the molecular weight of p73?
Anti-p73 [EP436Y] (ab40658) specifically detects a band for p73 (UniProt: O15350) at a molecular weight of 70kDa.

Trusted by the scientific community
Anti-p73 [EP436Y] (ab40658) was first used in a scientific publication in 2006 and has been cited over 60 times in peer-reviewed journals.

Trial sizes available!
Test your antibody or perform pre-screening before committing to a larger quantity. Sold in 10µl. Discover our selection of trial-size antibodies.

Other related products
We have a range of other formats of antibody clone [EP436Y] also available for your convenience: ab40658, Alexa Fluor® 647 - ab197039, HRP - ab197040, Carrier free - ab219594, Alexa Fluor® 594 - ab311699, Alexa Fluor® 568 - ab312974, Alexa Fluor® 555 - ab313183

Patented technology
Our RabMAb® technology is a patented hybridoma-based technology for making rabbit monoclonal antibodies. For details on our patents, please refer to RabMAb® patents.

What are the advantages of a recombinant monoclonal antibody?
This product is a recombinant monoclonal antibody, which offers several advantages including:

  • - High batch-to-batch consistency and reproducibility
  • - Improved sensitivity and specificity
  • - Long-term security of supply
  • - Animal-free batch production

For more information, read more on recombinant antibodies.

Properties and storage information

Form
Liquid
Purification technique
Affinity purification Protein A
Storage buffer
pH: 7.2 - 7.4 Preservative: 0.01% Sodium azide Constituents: 59% PBS, 40% Glycerol (glycerin, glycerine), 0.05% BSA
Shipped at conditions
Blue Ice
Appropriate short-term storage duration
1-2 weeks
Appropriate short-term storage conditions
+4°C
Appropriate long-term storage conditions
-20°C
Aliquoting information
Upon delivery aliquot
Storage information
Avoid freeze / thaw cycle

Supplementary information

This supplementary information is collated from multiple sources and compiled automatically.

The protein p73 also known in scientific literature as p-73 or simply p 73 is a member of the p53 family of transcription factors. Molecular weight of p73 is approximately 80 kDa. It is expressed widely in human tissues with high levels observed in the brain kidneys and heart. Structurally p73 is similar to p53 and shares many functional domains including a DNA-binding domain and an oligomerization domain.
Biological function summary

P73 plays a significant role in regulating cell cycle and apoptosis. It can activate transcription of several genes involved in these processes. p73 does not function alone; it can form complexes with other p53 family members and modulate cellular responses to stress. p73 also contributes to differentiation particularly in neuronal cells where it promotes survival and development.

Pathways

The activity of p73 is involved in important signaling routes such as the DNA damage response and the apoptosis pathway. It interacts with many other proteins including p53 to maintain genomic stability. The pathway connections illustrate that p73 acts as a critical node influencing cell fate and maintaining cellular health.

Research links p73 to conditions such as cancer and neurodevelopmental disorders. Abnormal expression or mutation of p73 is observed in various cancers often associated with altered p53 function. In neurodevelopmental disorders deficits in p73 expression can impair brain development and function. Understanding how p73 interacts with p53 in these contexts is important for developing therapeutic strategies.

Product protocols

For this product, it's our understanding that no specific protocols are required. You can visit:

Target data

Participates in the apoptotic response to DNA damage. Isoforms containing the transactivation domain are pro-apoptotic, isoforms lacking the domain are anti-apoptotic and block the function of p53 and transactivating p73 isoforms. May be a tumor suppressor protein. Is an activator of FOXJ1 expression (By similarity). It is an essential factor for the positive regulation of lung ciliated cell differentiation (PubMed : 34077761).
See full target information TP73

Publications (63)

Recent publications for all applications. Explore the full list and refine your search

eNeuro 10: PubMed37775311

2023

A Versatile Strategy for Genetic Manipulation of Cajal-Retzius Cells in the Adult Mouse Hippocampus.

Applications

Unspecified application

Species

Unspecified reactive species

Rebekah van Bruggen,Zain H Patel,Mi Wang,Terry R Suk,Maxime W C Rousseaux,Qiumin Tan

Cell death & disease 14:674 PubMed37828008

2023

DARPins detect the formation of hetero-tetramers of p63 and p73 in epithelial tissues and in squamous cell carcinoma.

Applications

Unspecified application

Species

Unspecified reactive species

Alexander Strubel,Philipp Münick,Oliver Hartmann,Apirat Chaikuad,Birgit Dreier,Jonas V Schaefer,Jakob Gebel,Christian Osterburg,Marcel Tuppi,Birgit Schäfer,Viktoria Buck,Mathias Rosenfeldt,Stefan Knapp,Andreas Plückthun,Markus E Diefenbacher,Volker Dötsch

International journal of molecular sciences 24: PubMed37373301

2023

Effects of Follicular Fluid on Physiological Characteristics and Differentiation of Fallopian Tube Epithelial Cells Implicating for Ovarian Cancer Pathogenesis.

Applications

Unspecified application

Species

Unspecified reactive species

Maobi Zhu,Na Wang,Sha Wang,Yao Wang,Xiawen Yang,Jianglin Fan,Yajie Chen

Nature communications 14:1531 PubMed36934089

2023

Aberrant survival of hippocampal Cajal-Retzius cells leads to memory deficits, gamma rhythmopathies and susceptibility to seizures in adult mice.

Applications

Unspecified application

Species

Unspecified reactive species

Martina Riva,Stéphanie Moriceau,Annunziato Morabito,Elena Dossi,Candela Sanchez-Bellot,Patrick Azzam,Andrea Navas-Olive,Beatriz Gal,Francesco Dori,Elena Cid,Fanny Ledonne,Sabrina David,Fabrice Trovero,Magali Bartolomucci,Eva Coppola,Nelson Rebola,Antoine Depaulis,Nathalie Rouach,Liset Menendez de la Prida,Franck Oury,Alessandra Pierani

International journal of molecular sciences 24: PubMed36674747

2023

Polyploid/Multinucleated Giant and Slow-Cycling Cancer Cell Enrichment in Response to X-ray Irradiation of Human Glioblastoma Multiforme Cells Differing in Radioresistance and TP53/PTEN Status.

Applications

Unspecified application

Species

Unspecified reactive species

Lina Alhaddad,Roman Chuprov-Netochin,Margarita Pustovalova,Andreyan N Osipov,Sergey Leonov

Cellular and molecular life sciences : CMLS 79:535 PubMed36180740

2022

p73 is required for vessel integrity controlling endothelial junctional dynamics through Angiomotin.

Applications

Unspecified application

Species

Unspecified reactive species

Laura Maeso-Alonso,Hugo Alonso-Olivares,Nicole Martínez-García,Lorena López-Ferreras,Javier Villoch-Fernández,Laura Puente-Santamaría,Natalia Colas-Algora,Alfonso Fernández-Corona,María Elena Lorenzo-Marcos,Benilde Jiménez,Lars Holmgren,Margareta Wilhelm,Jaime Millan,Luis Del Peso,Lena Claesson-Welsh,Margarita M Marques,Maria C Marin

Frontiers in cell and developmental biology 10:906262 PubMed36092698

2022

Tetrodotoxin prevents heat-shock induced granule cell dispersion in hippocampal slice cultures.

Applications

Unspecified application

Species

Unspecified reactive species

Ala Ahrari,Maurice Meseke,Eckart Förster

Cell death and differentiation 29:1596-1610 PubMed35322202

2022

Disruption of GMNC-MCIDAS multiciliogenesis program is critical in choroid plexus carcinoma development.

Applications

Unspecified application

Species

Unspecified reactive species

Qun Li,Zhiyuan Han,Navleen Singh,Berta Terré,Ryann M Fame,Uzayr Arif,Thomas D Page,Tasneem Zahran,Ahmed Abdeltawab,Yuan Huang,Ping Cao,Jun Wang,Hao Lu,Hart G W Lidov,Kameswaran Surendran,Lizhao Wu,James Q Virga,Ying-Tao Zhao,Ulrich Schüller,Robert J Wechsler-Reya,Maria K Lehtinen,Sudipto Roy,Zhongmin Liu,Travis H Stracker,Haotian Zhao

NAR cancer 4:zcac007 PubMed35252869

2022

Synergistic action of WDR5 and HDM2 inhibitors in SMARCB1-deficient cancer cells.

Applications

Unspecified application

Species

Unspecified reactive species

Andrea C Florian,Chase M Woodley,Jing Wang,Brian C Grieb,Macey J Slota,Kiana Guerrazzi,Chih-Yuan Hsu,Brittany K Matlock,David K Flaherty,Shelly L Lorey,Stephen W Fesik,Gregory C Howard,Qi Liu,April M Weissmiller,William P Tansey

Proceedings of the National Academy of Sciences of the United States of America 118: PubMed34716260

2021

MDM2, MDMX, and p73 regulate cell-cycle progression in the absence of wild-type p53.

Applications

Unspecified application

Species

Unspecified reactive species

Alyssa M Klein,Lynn Biderman,David Tong,Bita Alaghebandan,Sakina A Plumber,Helen S Mueller,Anne van Vlimmeren,Chen Katz,Carol Prives
View all publications

Product promise

We are committed to supporting your work with high-quality reagents, and we're here for you every step of the way. In the unlikely event that one of our products does not perform as expected, you're protected by our Product Promise.
For full details, please see our Terms & Conditions

Associated Products

Select an associated product type
Alternative Product
Primary Antibodies

AB137797

Anti-p73 antibody

primary-antibodies

p73-antibody-ab137797

0

(0 reviews)

Alternative Product
Primary Antibodies

AB14430

Anti-p73 antibody

primary-antibodies

p73-antibody-ab14430

4

(4 reviews)

Alternative Product
Primary Antibodies

AB215038

Anti-p73 antibody [EPR19884] - ChIP Grade

primary-antibodies

p73-antibody-epr19884-chip-grade-ab215038

0

(0 reviews)

Alternative Product
Primary Antibodies

AB189896

Anti-p73 antibody [EPR18409(T)(MIX)]

primary-antibodies

p73-antibody-epr18409tmix-ab189896

4

(3 reviews)

Alternative Product
Primary Antibodies

AB202474

Anti-p73 antibody [EPR19560] - ChIP Grade

primary-antibodies

p73-antibody-epr19560-chip-grade-ab202474

0

(0 reviews)

Alternative Product
Primary Antibodies

AB218625

Anti-p73 (phospho Y99) antibody [EPR21751]

primary-antibodies

p73-phospho-y99-antibody-epr21751-ab218625

0

(0 reviews)

Please note: All products are 'FOR RESEARCH USE ONLY. NOT FOR USE IN DIAGNOSTIC OR THERAPEUTIC PROCEDURES'.

For licensing inquiries, please contact partnerships@abcam.com