JavaScript is disabled in your browser. Please enable JavaScript to view this website.
AB219594

Anti-p73 antibody [EP436Y] - BSA and Azide free

Be the first to review this product! Submit a review

|

(1 Publication)

Rabbit Recombinant Monoclonal P73 antibody. Carrier free. Suitable for IHC-P, WB, ICC/IF, Flow Cyt (Intra) and reacts with Human, Mouse samples. Cited in 1 publication.

View Alternative Names

P73, TP73, Tumor protein p73, p53-like transcription factor, p53-related protein

6 Images
Flow Cytometry (Intracellular) - Anti-p73 antibody [EP436Y] - BSA and Azide free (AB219594)
  • Flow Cyt (Intra)

Unknown

Flow Cytometry (Intracellular) - Anti-p73 antibody [EP436Y] - BSA and Azide free (AB219594)

Intracellular Flow Cytometry analysis of 293 (human embryonic kidney) cells labeling p73 with purified ab40658 at 1/120 dilution (10ug/ml) (red). Cells were fixed with 4% paraformaldehyde and permeabilised with 90% methanol. A Goat anti rabbit IgG (Alexa Fluor® 488) (1/2000 dilution) was used as the secondary antibody. Rabbit monoclonal IgG (Black) was used as the isotype control, cells without incubation with primary antibody and secondary antibody (Blue) was used as the unlabeled control.

This data was developed using the same antibody clone in a different buffer formulation containing PBS, BSA, glycerol, and sodium azide (ab40658).

Immunohistochemistry (Formalin/PFA-fixed paraffin-embedded sections) - Anti-p73 antibody [EP436Y] - BSA and Azide free (AB219594)
  • IHC-P

Unknown

Immunohistochemistry (Formalin/PFA-fixed paraffin-embedded sections) - Anti-p73 antibody [EP436Y] - BSA and Azide free (AB219594)

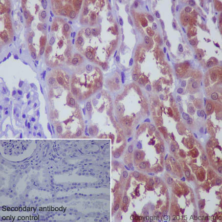
Immunohistochemistry (Formalin/PFA-fixed paraffin-embedded sections) analysis of human kidney tissue labelling p73 with purified ab40658 at a dilution of 1/100. Heat mediated antigen retrieval was performed using Tris/EDTA buffer pH 9. ab97051, a HRP-conjugated goat anti-rabbit IgG (H+L) was used as the secondary antibody (1/500). Negative control using PBS instead of primary antibody. Counterstained with hematoxylin.

This data was developed using the same antibody clone in a different buffer formulation containing PBS, BSA, glycerol, and sodium azide (ab40658).

Immunohistochemistry (Formalin/PFA-fixed paraffin-embedded sections) - Anti-p73 antibody [EP436Y] - BSA and Azide free (AB219594)
  • IHC-P

Unknown

Immunohistochemistry (Formalin/PFA-fixed paraffin-embedded sections) - Anti-p73 antibody [EP436Y] - BSA and Azide free (AB219594)

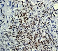
Immunohistochemistry (Formalin/PFA-fixed paraffin-embedded sections) analysis of human urinary bladder carcinoma tissue labelling p73 with unpurified ab40658 at a dilution of 1/100.

This data was developed using the same antibody clone in a different buffer formulation containing PBS, BSA, glycerol, and sodium azide (ab40658).

Perform heat mediated antigen retrieval before commencing with IHC staining protocol.

Immunohistochemistry (Formalin/PFA-fixed paraffin-embedded sections) - Anti-p73 antibody [EP436Y] - BSA and Azide free (AB219594)
  • IHC-P

Unknown

Immunohistochemistry (Formalin/PFA-fixed paraffin-embedded sections) - Anti-p73 antibody [EP436Y] - BSA and Azide free (AB219594)

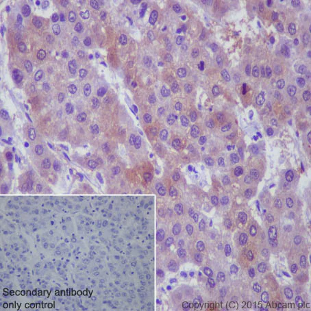
Immunohistochemistry (Formalin/PFA-fixed paraffin-embedded sections) analysis of human liver carcinoma tissue labelling p73 with purified ab40658 at a dilution of 1/100. Heat mediated antigen retrieval was performed using Tris/EDTA buffer pH 9. ab97051, a HRP-conjugated goat anti-rabbit IgG (H+L) was used as the secondary antibody (1/500). Negative control using PBS instead of primary antibody. Counterstained with hematoxylin.

This data was developed using the same antibody clone in a different buffer formulation containing PBS, BSA, glycerol, and sodium azide (ab40658).

Immunohistochemistry (Formalin/PFA-fixed paraffin-embedded sections) - Anti-p73 antibody [EP436Y] - BSA and Azide free (AB219594)
  • IHC-P

Unknown

Immunohistochemistry (Formalin/PFA-fixed paraffin-embedded sections) - Anti-p73 antibody [EP436Y] - BSA and Azide free (AB219594)

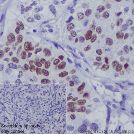
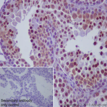
Immunohistochemistry (Formalin/PFA-fixed paraffin-embedded sections) analysis of mouse testis tissue labelling p73 with purified ab40658 at a dilution of 1/100. Heat mediated antigen retrieval was performed using Tris/EDTA buffer pH 9. ab97051, a HRP-conjugated goat anti-rabbit IgG (H+L) was used as the secondary antibody (1/500). Negative control using PBS instead of primary antibody. Counterstained with hematoxylin.

This data was developed using the same antibody clone in a different buffer formulation containing PBS, BSA, glycerol, and sodium azide (ab40658).

Immunocytochemistry/ Immunofluorescence - Anti-p73 antibody [EP436Y] - BSA and Azide free (AB219594)
  • ICC/IF

Unknown

Immunocytochemistry/ Immunofluorescence - Anti-p73 antibody [EP436Y] - BSA and Azide free (AB219594)

Immunocytochemistry/Immunofluorescence analysis of HeLa cells labelling p73 with purified ab40658 at a dilution of 1/300. Cells were fixed with 4% paraformaldehyde and permeabilized with 0.1% Triton X-100. ab150077, an Alexa Fluor® 488-conjugated goat anti-rabbit IgG (1/1000) was used as the secondary antibody. DAPI (blue) was used as the nuclear counterstain. ab7291, a mouse anti-tubulin (1/1000) and ab150120, an Alexa Fluor® 594-conjugated goat anti-mouse IgG (1/1000) were also used.

Control 1 : primary antibody (1/300) and secondary antibody, ab150120, an Alexa Fluor® 594-conjugated goat anti-mouse IgG (1/1000).

Control 2 : ab7291 (1/1000) and secondary antibody, ab150077, an Alexa Fluor® 488-conjugated goat anti-rabbit IgG (1/1000).

This data was developed using the same antibody clone in a different buffer formulation containing PBS, BSA, glycerol, and sodium azide (ab40658).

Key facts

Host species

Rabbit

Clonality

Monoclonal

Clone number

EP436Y

Isotype

IgG

Carrier free

Yes

Reacts with

Mouse, Human

Applications

WB, Flow Cyt (Intra), IHC-P, ICC/IF

applications

Immunogen

The exact immunogen used to generate this antibody is proprietary information.

Reactivity data

{ "title": "Reactivity Data", "filters": { "stats": ["", "Species", "Dilution Info", "Notes"], "tabs": { "all-applications": {"fullname" : "All Applications", "shortname": "All Applications"}, "IHCP" : {"fullname" : "Immunohistochemistry (Formalin/PFA-fixed paraffin-embedded sections)", "shortname":"IHC-P"}, "IP" : {"fullname" : "Immunoprecipitation", "shortname":"IP"}, "WB" : {"fullname" : "Western blot", "shortname":"WB"}, "ICCIF" : {"fullname" : "Immunocytochemistry/ Immunofluorescence", "shortname":"ICC/IF"}, "FlowCytIntra" : {"fullname" : "Flow Cytometry (Intracellular)", "shortname":"Flow Cyt (Intra)"} }, "product-promise": { "all": "all", "testedAndGuaranteed": "tested", "guaranteed": "expected", "predicted": "predicted", "notRecommended": "not-recommended" } }, "values": { "Human": { "IHCP-species-checked": "testedAndGuaranteed", "IHCP-species-dilution-info": "", "IHCP-species-notes": "<p></p> Perform heat-mediated antigen retrieval before commencing with IHC staining protocol.", "IP-species-checked": "notRecommended", "IP-species-dilution-info": "", "IP-species-notes": "<p></p>", "WB-species-checked": "guaranteed", "WB-species-dilution-info": "", "WB-species-notes": "<p></p>", "ICCIF-species-checked": "testedAndGuaranteed", "ICCIF-species-dilution-info": "", "ICCIF-species-notes": "<p></p>", "FlowCytIntra-species-checked": "testedAndGuaranteed", "FlowCytIntra-species-dilution-info": "", "FlowCytIntra-species-notes": "<p><a href='/en-us/products/primary-antibodies/rabbit-igg-monoclonal-epr25a-isotype-control-low-endotoxin-azide-free-ab199376'>ab199376</a> - Rabbit monoclonal IgG, is suitable for use as an isotype control with this antibody.</p>" }, "Mouse": { "IHCP-species-checked": "predicted", "IHCP-species-dilution-info": "", "IHCP-species-notes": "", "IP-species-checked": "notRecommended", "IP-species-dilution-info": "", "IP-species-notes": "<p></p>", "WB-species-checked": "guaranteed", "WB-species-dilution-info": "", "WB-species-notes": "<p></p>", "ICCIF-species-checked": "predicted", "ICCIF-species-dilution-info": "", "ICCIF-species-notes": "", "FlowCytIntra-species-checked": "predicted", "FlowCytIntra-species-dilution-info": "", "FlowCytIntra-species-notes": "" } } }

Product details

ab219594 is the carrier-free version of ab40658.

Patented technology
Our RabMAb® technology is a patented hybridoma-based technology for making rabbit monoclonal antibodies. For details on our patents, please refer to RabMAb® patents.

What are the advantages of a recombinant monoclonal antibody?
This product is a recombinant monoclonal antibody, which offers several advantages including:

  • - High batch-to-batch consistency and reproducibility
  • - Improved sensitivity and specificity
  • - Long-term security of supply
  • - Animal-free batch production

For more information, read more on recombinant antibodies.

Conjugation ready
Our carrier-free antibodies are typically supplied in a PBS-only formulation, purified and free of BSA, sodium azide and glycerol. This conjugation-ready format is designed for use with fluorochromes, metal isotopes, oligonucleotides, and enzymes, which makes them ideal for antibody labelling, functional and cell-based assays, flow-based assays (e.g. mass cytometry) and Multiplex Imaging applications.

Use our conjugation kits for antibody conjugates that are ready-to-use in as little as 20 minutes with 1 minute hands-on-time and 100% antibody recovery: available for fluorescent dyes, HRP, biotin and gold.

Compatibility
This product is compatible with the Maxpar® Antibody Labeling Kit from Fluidigm, without the need for antibody preparation. Maxpar® is a trademark of Fluidigm Canada Inc.

Properties and storage information

Form
Liquid
Purification technique
Affinity purification Protein A
Storage buffer
pH: 7.2 - 7.4 Constituents: PBS
Shipped at conditions
Blue Ice
Appropriate short-term storage conditions
+4°C
Appropriate long-term storage conditions
+4°C
Storage information
Do Not Freeze

Supplementary information

This supplementary information is collated from multiple sources and compiled automatically.

The protein p73 also known in scientific literature as p-73 or simply p 73 is a member of the p53 family of transcription factors. Molecular weight of p73 is approximately 80 kDa. It is expressed widely in human tissues with high levels observed in the brain kidneys and heart. Structurally p73 is similar to p53 and shares many functional domains including a DNA-binding domain and an oligomerization domain.
Biological function summary

P73 plays a significant role in regulating cell cycle and apoptosis. It can activate transcription of several genes involved in these processes. p73 does not function alone; it can form complexes with other p53 family members and modulate cellular responses to stress. p73 also contributes to differentiation particularly in neuronal cells where it promotes survival and development.

Pathways

The activity of p73 is involved in important signaling routes such as the DNA damage response and the apoptosis pathway. It interacts with many other proteins including p53 to maintain genomic stability. The pathway connections illustrate that p73 acts as a critical node influencing cell fate and maintaining cellular health.

Research links p73 to conditions such as cancer and neurodevelopmental disorders. Abnormal expression or mutation of p73 is observed in various cancers often associated with altered p53 function. In neurodevelopmental disorders deficits in p73 expression can impair brain development and function. Understanding how p73 interacts with p53 in these contexts is important for developing therapeutic strategies.

Product protocols

For this product, it's our understanding that no specific protocols are required. You can visit:

Target data

Participates in the apoptotic response to DNA damage. Isoforms containing the transactivation domain are pro-apoptotic, isoforms lacking the domain are anti-apoptotic and block the function of p53 and transactivating p73 isoforms. May be a tumor suppressor protein. Is an activator of FOXJ1 expression (By similarity). It is an essential factor for the positive regulation of lung ciliated cell differentiation (PubMed : 34077761).
See full target information TP73

Publications (1)

Recent publications for all applications. Explore the full list and refine your search

Frontiers in immunology 15:1373321 PubMed38596684

2024

IL-22 signaling promotes sorafenib resistance in hepatocellular carcinoma via STAT3/CD155 signaling axis.

Applications

Unspecified application

Species

Unspecified reactive species

Junzhang Chen,Shiran Sun,Hui Li,Xiong Cai,Chidan Wan
View all publications

Product promise

We are committed to supporting your work with high-quality reagents, and we're here for you every step of the way. In the unlikely event that one of our products does not perform as expected, you're protected by our Product Promise.
For full details, please see our Terms & Conditions

Please note: All products are 'FOR RESEARCH USE ONLY. NOT FOR USE IN DIAGNOSTIC OR THERAPEUTIC PROCEDURES'.

For licensing inquiries, please contact partnerships@abcam.com