JavaScript is disabled in your browser. Please enable JavaScript to view this website.
AB189896

Anti-p73 antibody [EPR18409(T)(MIX)]

4

(3 Reviews)

|

(4 Publications)

Rabbit Recombinant Monoclonal P73 antibody. Suitable for IP, WB, ICC/IF, Flow Cyt (Intra), IHC-P and reacts with Human, Mouse, Rat, Recombinant fragment - Human samples. Cited in 4 publications.

View Alternative Names

P73, TP73, Tumor protein p73, p53-like transcription factor, p53-related protein

15 Images
Flow Cytometry (Intracellular) - Anti-p73 antibody [EPR18409(T)(MIX)] (AB189896)
  • Flow Cyt (Intra)

Supplier Data

Flow Cytometry (Intracellular) - Anti-p73 antibody [EPR18409(T)(MIX)] (AB189896)

Intracellular flow cytometric analysis of 4% paraformaldehyde-fixed K562 (Human chronic myelogenous leukemia cell line from bone marrow) cells labeling p73 alpha+betawith ab189896 at 1/300 dilution (red) compared with a rabbit monoclonal IgG isotype control (ab172730; black) and an unlabelled control (cells without incubation with primary antibody and secondary antibody; blue). Goat anti rabbit IgG (FITC) at 1/500 dilution was used as the secondary antibody.

Immunohistochemistry (Formalin/PFA-fixed paraffin-embedded sections) - Anti-p73 antibody [EPR18409(T)(MIX)] (AB189896)
  • IHC-P

Supplier Data

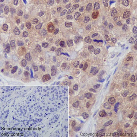
Immunohistochemistry (Formalin/PFA-fixed paraffin-embedded sections) - Anti-p73 antibody [EPR18409(T)(MIX)] (AB189896)

Immunohistochemical analysis of paraffin-embedded Human glioma tissue labeling p73 alpha+beta with ab189896 at 1/1000 dilution followed by Goat Anti-Rabbit IgG H&L (HRP) (ab97051) at 1/500 dilution.

Nucleus and cytoplasmic staining on Human glioma is observed.

Counter stained with Hematoxylin.

Secondary antibody only control : Used PBS instead of primary antibody secondary antibody is ab97051 at 1/500 dilution.

Perform heat mediated antigen retrieval with Tris/EDTA buffer pH 9.0 before commencing with IHC staining protocol.

Immunohistochemistry (Formalin/PFA-fixed paraffin-embedded sections) - Anti-p73 antibody [EPR18409(T)(MIX)] (AB189896)
  • IHC-P

Supplier Data

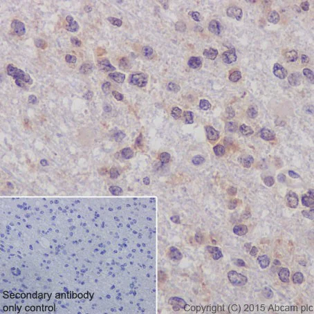
Immunohistochemistry (Formalin/PFA-fixed paraffin-embedded sections) - Anti-p73 antibody [EPR18409(T)(MIX)] (AB189896)

Immunohistochemical analysis of paraffin-embedded Human cerebral cortex tissue labeling p73 alpha+beta with ab189896 at 1/1000 dilution followed by Goat Anti-Rabbit IgG H&L (HRP) (ab97051) at 1/500 dilution.

Negative staining on Human cerebral cortex.

Counter stained with Hematoxylin.

Secondary antibody only control : Used PBS instead of primary antibody secondary antibody is ab97051 at 1/500 dilution.

Perform heat mediated antigen retrieval with Tris/EDTA buffer pH 9.0 before commencing with IHC staining protocol.

Flow Cytometry (Intracellular) - Anti-p73 antibody [EPR18409(T)(MIX)] (AB189896)
  • Flow Cyt (Intra)

Supplier Data

Flow Cytometry (Intracellular) - Anti-p73 antibody [EPR18409(T)(MIX)] (AB189896)

Intracellular flow cytometric analysis of 4% paraformaldehyde-fixed Jurkat (Human T cell leukemia cell line from peripheral blood) cells labeling p73 alpha+beta with ab189896 at 1/300 dilution (red) compared with a rabbit monoclonal IgG isotype control (ab172730; black) and an unlabelled control (cells without incubation with primary antibody and secondary antibody; blue). Goat anti rabbit IgG (FITC) at 1/500 dilution was used as the secondary antibody.

Immunocytochemistry/ Immunofluorescence - Anti-p73 antibody [EPR18409(T)(MIX)] (AB189896)
  • ICC/IF

Supplier Data

Immunocytochemistry/ Immunofluorescence - Anti-p73 antibody [EPR18409(T)(MIX)] (AB189896)

Immunofluorescent analysis of 4% paraformaldehyde-fixed 0.1% Triton X-100 permeabilized HeLa (Human epithelial cell line from cervix adenocarcinoma) cells labeling p73 alpha+beta with ab189896 at 1/1000 dilution followed by Goat anti-rabbit IgG (Alexa Fluor® 488) (ab150077) secondary antibody at 1/1000 dilution (green).

Confocal image showing cytoplasmic and weakly nuclear staining on HeLa cell line.

The nuclear counterstain is DAPI (blue).

Tubulin is detected with Anti-alpha Tubulin antibody - Loading Control (ab7291) at 1/1000 dilution and Goat Anti-Mouse IgG H&L (AlexaFluor®594) preadsorbed (ab150120) at 1/1000 dilution (red).

The negative controls are as follows : -

-ve control 1 : ab189896 at 1/1000 dilution followed by ab150120 at 1/1000 dilution.

-ve control 2 : ab7291 at 1/1000 dilution followed by ab150077 at 1/1000 dilution.

Immunohistochemistry (Formalin/PFA-fixed paraffin-embedded sections) - Anti-p73 antibody [EPR18409(T)(MIX)] (AB189896)
  • IHC-P

Supplier Data

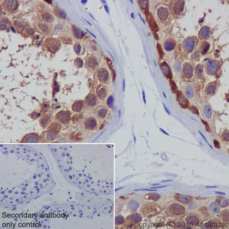
Immunohistochemistry (Formalin/PFA-fixed paraffin-embedded sections) - Anti-p73 antibody [EPR18409(T)(MIX)] (AB189896)

Immunohistochemical analysis of paraffin-embedded Human testis tissue labeling p73 alpha+beta with ab189896 at 1/1000 dilution followed by Goat Anti-Rabbit IgG H&L (HRP) (ab97051) at 1/500 dilution.

Cytoplasmic and weak nucleus staining on Human spermatogonial cells is observed.

Counter stained with Hematoxylin.

Secondary antibody only control : Used PBS instead of primary antibody secondary antibody is ab97051 at 1/500 dilution.

Perform heat mediated antigen retrieval with Tris/EDTA buffer pH 9.0 before commencing with IHC staining protocol.

Immunocytochemistry/ Immunofluorescence - Anti-p73 antibody [EPR18409(T)(MIX)] (AB189896)
  • ICC/IF

Supplier Data

Immunocytochemistry/ Immunofluorescence - Anti-p73 antibody [EPR18409(T)(MIX)] (AB189896)

Immunofluorescent analysis of 4% paraformaldehyde-fixed 0.1% Triton X-100 permeabilized MCF7 (Human breast adenocarcinoma cell line) cells labeling p73 alpha+beta with ab189896 at 1/1000 dilution followed by Goat anti-rabbit IgG H&L (Alexa Fluor® 488) (ab150077) secondary antibody at 1/1000 dilution (green).

Confocal image showing nuclear and cytoplasm staining on MCF7 cell line.

The nuclear counterstain is DAPI (blue).

Tubulin is detected with Anti-alpha Tubulin antibody-Loading Control (ab7291) at 1/1000 dilution and Goat Anti-Mouse IgG H&L (AlexaFluor®594) preadsorbed (ab150120) at 1/1000 dilution (red).

The negative controls are as follows : -

-ve control 1 : ab189896 at 1/1000 dilution followed by ab150120 at 1/1000 dilution.

-ve control 2 : ab7291at 1/1000 dilution followed by ab150077 at 1/1000 dilution.

Immunohistochemistry (Formalin/PFA-fixed paraffin-embedded sections) - Anti-p73 antibody [EPR18409(T)(MIX)] (AB189896)
  • IHC-P

Supplier Data

Immunohistochemistry (Formalin/PFA-fixed paraffin-embedded sections) - Anti-p73 antibody [EPR18409(T)(MIX)] (AB189896)

Immunohistochemical analysis of paraffin-embedded Human gastric carcinoma tissue labeling p73 alpha+beta with ab189896 at 1/1000 dilution followed by Goat Anti-Rabbit IgG H&L (HRP) (ab97051) at 1/500 dilution.

Nucleus and cytoplasmic staining on Human gastric carcinoma is observed.

Counter stained with Hematoxylin.

Secondary antibody only control : Used PBS instead of primary antibody secondary antibody is ab97051 at 1/500 dilution.

Perform heat mediated antigen retrieval with Tris/EDTA buffer pH 9.0 before commencing with IHC staining protocol.

Immunoprecipitation - Anti-p73 antibody [EPR18409(T)(MIX)] (AB189896)
  • IP

Supplier Data

Immunoprecipitation - Anti-p73 antibody [EPR18409(T)(MIX)] (AB189896)

p73 alpha+beta was immunoprecipitated from 1mg of HeLa (Human epithelial cell line from cervix adenocarcinoma) whole cell lysate with ab189896 at 1/80 dilution.

Western blot was performed from the immunoprecipitate using ab189896 at 1/1000 dilution.

Anti-Rabbit IgG (HRP), specific to the non-reduced form of IgG, was used as secondary antibody at 1/1500.

Lane 1 : HeLa whole cell lysate 10ug (Input).

Lane 2 : ab189896 IP in HeLa whole cell lysate.

Lane 3 : Rabbit monoclonal IgG (ab172730) instead of ab189896 in HeLa whole cell lysate.

Blocking and dilution buffer and concentration : 5% NFDM/TBST.

Exposure time : 10 seconds.

All lanes:

Immunoprecipitation - Anti-p73 antibody [EPR18409(T)(MIX)] (ab189896)

Predicted band size: 69 kDa

false

Immunoprecipitation - Anti-p73 antibody [EPR18409(T)(MIX)] (AB189896)
  • IP

Supplier Data

Immunoprecipitation - Anti-p73 antibody [EPR18409(T)(MIX)] (AB189896)

p73 alpha+beta was immunoprecipitated from 1mg of MCF7 (Human breast adenocarcinoma cell line) whole cell lysate with ab189896 at 1/80 dilution.

Western blot was performed from the immunoprecipitate using ab189896 at 1/1000 dilution.

Anti-Rabbit IgG (HRP), specific to the non-reduced form of IgG, was used as secondary antibody at 1/1500.

Lane 1 : MCF7 whole cell lysate 10ug (Input).

Lane 2 : ab189896 IP in MCF7 whole cell lysate.

Lane 3 : Rabbit monoclonal IgG (ab172730) instead of ab189896 in MCF7 whole cell lysate.

Blocking and dilution buffer and concentration : 5% NFDM/TBST.

Exposure time : 10 seconds.

All lanes:

Immunoprecipitation - Anti-p73 antibody [EPR18409(T)(MIX)] (ab189896)

Predicted band size: 69 kDa

false

Western blot - Anti-p73 antibody [EPR18409(T)(MIX)] (AB189896)
  • WB

Supplier Data

Western blot - Anti-p73 antibody [EPR18409(T)(MIX)] (AB189896)

Blocking/Dilution buffer : 5% NFDM/TBST.

All lanes:

Western blot - Anti-p73 antibody [EPR18409(T)(MIX)] (ab189896) at 1/5000 dilution

Lane 1:

Human fetal brain lysate at 10 µg

Lane 2:

Human fetal kidney lysate at 10 µg

Secondary

All lanes:

Anti-Rabbit IgG (HRP), specific to the non-reduced form of IgG at 1/50000 dilution

Predicted band size: 69 kDa

Observed band size: 70 kDa

false

Exposure time: 3min

Western blot - Anti-p73 antibody [EPR18409(T)(MIX)] (AB189896)
  • WB

Supplier Data

Western blot - Anti-p73 antibody [EPR18409(T)(MIX)] (AB189896)

Blocking/Dilution buffer : 5% NFDM/TBST.

All lanes:

Western blot - Anti-p73 antibody [EPR18409(T)(MIX)] (ab189896) at 1/5000 dilution

Lane 1:

HeLa (Human epithelial cell line from cervix adenocarcinoma) whole cell lysate at 10 µg

Lane 2:

Jurkat (Human T cell leukemia cell line from peripheral blood) whole cell lysate at 10 µg

Lane 3:

K562 (Human chronic myelogenous leukemia cell line from bone marrow) whole cell lysate at 10 µg

Lane 4:

WEHI-3 (Mouse leukemia cell line) whole cell lysate at 10 µg

Secondary

All lanes:

Western blot - Goat Anti-Rabbit IgG H&L (HRP) (<a href='/en-us/products/secondary-antibodies/goat-rabbit-igg-h-l-hrp-ab97051'>ab97051</a>) at 1/50000 dilution

Predicted band size: 69 kDa

Observed band size: 70 kDa

false

Exposure time: 3min

Western blot - Anti-p73 antibody [EPR18409(T)(MIX)] (AB189896)
  • WB

Supplier Data

Western blot - Anti-p73 antibody [EPR18409(T)(MIX)] (AB189896)

Blocking/Dilution buffer : 5% NFDM/TBST.

Recombinant fragment of human p73 protein contains aa380-636 with His-Tag®.

All lanes:

Western blot - Anti-p73 antibody [EPR18409(T)(MIX)] (ab189896) at 1/5000 dilution

All lanes:

Recombinant fragment of human p73 protein at 0.005 µg

Secondary

All lanes:

Western blot - Goat Anti-Rabbit IgG H&L (HRP) (<a href='/en-us/products/secondary-antibodies/goat-rabbit-igg-h-l-hrp-ab97051'>ab97051</a>) at 1/100000 dilution

Predicted band size: 69 kDa

Observed band size: 28 kDa

false

Exposure time: 10s

Western blot - Anti-p73 antibody [EPR18409(T)(MIX)] (AB189896)
  • WB

Supplier Data

Western blot - Anti-p73 antibody [EPR18409(T)(MIX)] (AB189896)

Blocking/Dilution buffer : 5% NFDM/TBST.

All lanes:

Western blot - Anti-p73 antibody [EPR18409(T)(MIX)] (ab189896) at 1/5000 dilution

Lane 1:

Mouse brain lysate at 10 µg

Lane 2:

Mouse heart lysate at 10 µg

Lane 3:

Mouse kidney lysate at 10 µg

Lane 4:

Mouse spleen lysate at 10 µg

Lane 5:

Rat brain lysate at 10 µg

Lane 6:

Rat spleen lysate at 10 µg

Secondary

All lanes:

Western blot - Goat Anti-Rabbit IgG H&L (HRP) (<a href='/en-us/products/secondary-antibodies/goat-rabbit-igg-h-l-hrp-ab97051'>ab97051</a>) at 1/50000 dilution

Predicted band size: 69 kDa

Observed band size: 70 kDa

false

Exposure time: 3min

Western blot - Anti-p73 antibody [EPR18409(T)(MIX)] (AB189896)
  • WB

Supplier Data

Western blot - Anti-p73 antibody [EPR18409(T)(MIX)] (AB189896)

Blocking/Dilution buffer : 5% NFDM/TBST.

All lanes:

Western blot - Anti-p73 antibody [EPR18409(T)(MIX)] (ab189896) at 1/5000 dilution

Lane 1:

C6 (Rat glial tumor cell line) whole cell lysate at 10 µg

Lane 2:

RAW 264.7 (Mouse macrophage cell line transformed with Abelson murine leukemia virus) whole cell lysate at 10 µg

Lane 3:

PC-12 (Rat adrenal gland pheochromocytoma cell line) whole cell lysate at 10 µg

Lane 4:

NIH/3T3 (Mouse embryonic fibroblast cell line) whole cell lysate at 10 µg

Secondary

All lanes:

Western blot - Goat Anti-Rabbit IgG H&L (HRP) (<a href='/en-us/products/secondary-antibodies/goat-rabbit-igg-h-l-hrp-ab97051'>ab97051</a>) at 1/50000 dilution

Predicted band size: 69 kDa

Observed band size: 70 kDa

false

Exposure time: 5s

Key facts

Host species

Rabbit

Clonality

Monoclonal

Clone number

EPR18409(T)(MIX)

Isotype

IgG

Carrier free

No

Reacts with

Mouse, Rat, Human

Applications

WB, Flow Cyt (Intra), IP, IHC-P, ICC/IF

applications

Immunogen

The exact immunogen used to generate this antibody is proprietary information.

Specificity

The immunogen used for this product shares 76% homology with p63. Cross-reactivity with this protein has not been confirmed experimentally.

Reactivity data

{ "title": "Reactivity Data", "filters": { "stats": ["", "Species", "Dilution Info", "Notes"], "tabs": { "all-applications": {"fullname" : "All Applications", "shortname": "All Applications"}, "IP" : {"fullname" : "Immunoprecipitation", "shortname":"IP"}, "WB" : {"fullname" : "Western blot", "shortname":"WB"}, "ICCIF" : {"fullname" : "Immunocytochemistry/ Immunofluorescence", "shortname":"ICC/IF"}, "FlowCytIntra" : {"fullname" : "Flow Cytometry (Intracellular)", "shortname":"Flow Cyt (Intra)"}, "IHCP" : {"fullname" : "Immunohistochemistry (Formalin/PFA-fixed paraffin-embedded sections)", "shortname":"IHC-P"} }, "product-promise": { "all": "all", "testedAndGuaranteed": "tested", "guaranteed": "expected", "predicted": "predicted", "notRecommended": "not-recommended" } }, "values": { "Human": { "IP-species-checked": "testedAndGuaranteed", "IP-species-dilution-info": "1/80", "IP-species-notes": "<p></p>", "WB-species-checked": "testedAndGuaranteed", "WB-species-dilution-info": "1/5000", "WB-species-notes": "<p></p>", "ICCIF-species-checked": "testedAndGuaranteed", "ICCIF-species-dilution-info": "1/1000", "ICCIF-species-notes": "<p></p>", "FlowCytIntra-species-checked": "testedAndGuaranteed", "FlowCytIntra-species-dilution-info": "1/300", "FlowCytIntra-species-notes": "<p></p>", "IHCP-species-checked": "testedAndGuaranteed", "IHCP-species-dilution-info": "1/1000", "IHCP-species-notes": "<p></p>" }, "Mouse": { "IP-species-checked": "guaranteed", "IP-species-dilution-info": "", "IP-species-notes": "", "WB-species-checked": "testedAndGuaranteed", "WB-species-dilution-info": "1/5000", "WB-species-notes": "<p></p>", "ICCIF-species-checked": "guaranteed", "ICCIF-species-dilution-info": "", "ICCIF-species-notes": "", "FlowCytIntra-species-checked": "guaranteed", "FlowCytIntra-species-dilution-info": "", "FlowCytIntra-species-notes": "", "IHCP-species-checked": "guaranteed", "IHCP-species-dilution-info": "", "IHCP-species-notes": "" }, "Rat": { "IP-species-checked": "guaranteed", "IP-species-dilution-info": "", "IP-species-notes": "", "WB-species-checked": "testedAndGuaranteed", "WB-species-dilution-info": "1/5000", "WB-species-notes": "<p></p>", "ICCIF-species-checked": "guaranteed", "ICCIF-species-dilution-info": "", "ICCIF-species-notes": "", "FlowCytIntra-species-checked": "guaranteed", "FlowCytIntra-species-dilution-info": "", "FlowCytIntra-species-notes": "", "IHCP-species-checked": "guaranteed", "IHCP-species-dilution-info": "", "IHCP-species-notes": "" }, "Recombinant fragment - Human": { "IP-species-checked": "notRecommended", "IP-species-dilution-info": "", "IP-species-notes": "", "WB-species-checked": "testedAndGuaranteed", "WB-species-dilution-info": "1/5000", "WB-species-notes": "<p></p>", "ICCIF-species-checked": "notRecommended", "ICCIF-species-dilution-info": "", "ICCIF-species-notes": "", "FlowCytIntra-species-checked": "notRecommended", "FlowCytIntra-species-dilution-info": "", "FlowCytIntra-species-notes": "", "IHCP-species-checked": "notRecommended", "IHCP-species-dilution-info": "", "IHCP-species-notes": "" } } }

Product details

Patented technology
Our RabMAb® technology is a patented hybridoma-based technology for making rabbit monoclonal antibodies. For details on our patents, please refer to RabMAb® patents.

What are the advantages of a recombinant monoclonal antibody?
This product is a recombinant monoclonal antibody, which offers several advantages including:

  • - High batch-to-batch consistency and reproducibility
  • - Improved sensitivity and specificity
  • - Long-term security of supply
  • - Animal-free batch production

For more information, read more on recombinant antibodies.

Properties and storage information

Form
Liquid
Purification technique
Affinity purification Protein A
Storage buffer
pH: 7.2 - 7.4 Preservative: 0.01% Sodium azide Constituents: PBS, 40% Glycerol (glycerin, glycerine), 0.05% BSA
Shipped at conditions
Blue Ice
Appropriate short-term storage duration
1-2 weeks
Appropriate short-term storage conditions
+4°C
Appropriate long-term storage conditions
-20°C
Aliquoting information
Upon delivery aliquot
Storage information
Avoid freeze / thaw cycle

Supplementary information

This supplementary information is collated from multiple sources and compiled automatically.

The protein p73 also known in scientific literature as p-73 or simply p 73 is a member of the p53 family of transcription factors. Molecular weight of p73 is approximately 80 kDa. It is expressed widely in human tissues with high levels observed in the brain kidneys and heart. Structurally p73 is similar to p53 and shares many functional domains including a DNA-binding domain and an oligomerization domain.
Biological function summary

P73 plays a significant role in regulating cell cycle and apoptosis. It can activate transcription of several genes involved in these processes. p73 does not function alone; it can form complexes with other p53 family members and modulate cellular responses to stress. p73 also contributes to differentiation particularly in neuronal cells where it promotes survival and development.

Pathways

The activity of p73 is involved in important signaling routes such as the DNA damage response and the apoptosis pathway. It interacts with many other proteins including p53 to maintain genomic stability. The pathway connections illustrate that p73 acts as a critical node influencing cell fate and maintaining cellular health.

Research links p73 to conditions such as cancer and neurodevelopmental disorders. Abnormal expression or mutation of p73 is observed in various cancers often associated with altered p53 function. In neurodevelopmental disorders deficits in p73 expression can impair brain development and function. Understanding how p73 interacts with p53 in these contexts is important for developing therapeutic strategies.

Product protocols

For this product, it's our understanding that no specific protocols are required. You can visit:

Target data

Participates in the apoptotic response to DNA damage. Isoforms containing the transactivation domain are pro-apoptotic, isoforms lacking the domain are anti-apoptotic and block the function of p53 and transactivating p73 isoforms. May be a tumor suppressor protein. Is an activator of FOXJ1 expression (By similarity). It is an essential factor for the positive regulation of lung ciliated cell differentiation (PubMed : 34077761).
See full target information TP73

Publications (4)

Recent publications for all applications. Explore the full list and refine your search

Cell reports. Medicine 4:101277 PubMed37944531

2023

Personalized drug screening in patient-derived organoids of biliary tract cancer and its clinical application.

Applications

Unspecified application

Species

Unspecified reactive species

Xiaoxue Ren,Mingle Huang,Weixiang Weng,Yubin Xie,Yifan Wu,Shenghua Zhu,Ying Zhang,Dongming Li,Jiaming Lai,Shunli Shen,Jie Lin,Ming Kuang,Xiaoxing Li,Jun Yu,Lixia Xu

Translational cancer research 10:2368-2378 PubMed35116552

2022

The E3 protein ubiquitin ligase Itch is a potential target in myeloid malignancies with marrow fibrosis.

Applications

Unspecified application

Species

Unspecified reactive species

Shuang Han,Yao Zhang,Cha Guo,Chunkang Chang

Cell death & disease 10:263 PubMed30890698

2019

Zika virus infection induces MiR34c expression in glioblastoma stem cells: new perspectives for brain tumor treatments.

Applications

Unspecified application

Species

Unspecified reactive species

Gioacchin Iannolo,Maria Rita Sciuto,Nicola Cuscino,Roberto Pallini,Bruno Douradinha,Lucia Ricci Vitiani,Ruggero De Maria,Pier Giulio Conaldi

Toxicological sciences : an official journal of the Society of Toxicology 162:439-449 PubMed29228353

2017

The Roles of P53 and Its Family Proteins, P63 and P73, in the DNA Damage Stress Response in Organogenesis-Stage Mouse Embryos.

Applications

Unspecified application

Species

Unspecified reactive species

Nazem El Husseini,Barbara F Hales
View all publications

Product promise

We are committed to supporting your work with high-quality reagents, and we're here for you every step of the way. In the unlikely event that one of our products does not perform as expected, you're protected by our Product Promise.
For full details, please see our Terms & Conditions

Please note: All products are 'FOR RESEARCH USE ONLY. NOT FOR USE IN DIAGNOSTIC OR THERAPEUTIC PROCEDURES'.

For licensing inquiries, please contact partnerships@abcam.com