JavaScript is disabled in your browser. Please enable JavaScript to view this website.
AB251550

Anti-p73 antibody [EPR19884] - BSA and Azide free

Be the first to review this product! Submit a review

|

(1 Publication)

Rabbit Recombinant Monoclonal P73 antibody. Carrier free. Suitable for IP, ChIP, WB, IHC-P and reacts with Human samples. Cited in 1 publication.

View Alternative Names

P73, TP73, Tumor protein p73, p53-like transcription factor, p53-related protein

8 Images
Immunohistochemistry (Formalin/PFA-fixed paraffin-embedded sections) - Anti-p73 antibody [EPR19884] - BSA and Azide free (AB251550)
  • IHC-P

Supplier Data

Immunohistochemistry (Formalin/PFA-fixed paraffin-embedded sections) - Anti-p73 antibody [EPR19884] - BSA and Azide free (AB251550)

This data was developed using ab215038, the same antibody clone in a different buffer formulation.

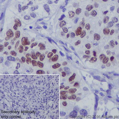
Immunohistochemical analysis of paraffin-embedded human bladder cancer tissue labeling p73 with ab215038 at 1/500 dilution, followed by Goat Anti-Rabbit IgG H&L (HRP) (ab97051) at 1/500 dilution. Nuclear staining on human bladder cancer is observed. Counter stained with Hematoxylin.

Secondary antibody only control : Used PBS instead of primary antibody, secondary antibody is Goat Anti-Rabbit IgG H&L (HRP) (ab97051) at 1/500 dilution.

Perform heat mediated antigen retrieval with Tris/EDTA buffer pH 9.0 before commencing with IHC staining protocol.

Immunohistochemistry (Formalin/PFA-fixed paraffin-embedded sections) - Anti-p73 antibody [EPR19884] - BSA and Azide free (AB251550)
  • IHC-P

Supplier Data

Immunohistochemistry (Formalin/PFA-fixed paraffin-embedded sections) - Anti-p73 antibody [EPR19884] - BSA and Azide free (AB251550)

This data was developed using ab215038, the same antibody clone in a different buffer formulation.

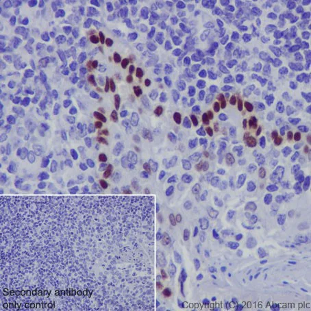
Immunohistochemical analysis of paraffin-embedded human lung squamous carcinoma tissue labeling p73 with ab215038 at 1/500 dilution, followed by Goat Anti-Rabbit IgG H&L (HRP) (ab97051) at 1/500 dilution. Nuclear staining on human lung squamous carcinoma is observed. Counter stained with Hematoxylin.

Secondary antibody only control : Used PBS instead of primary antibody, secondary antibody is Goat Anti-Rabbit IgG H&L (HRP) (ab97051) at 1/500 dilution.

Perform heat mediated antigen retrieval with Tris/EDTA buffer pH 9.0 before commencing with IHC staining protocol.

Immunohistochemistry (Formalin/PFA-fixed paraffin-embedded sections) - Anti-p73 antibody [EPR19884] - BSA and Azide free (AB251550)
  • IHC-P

Supplier Data

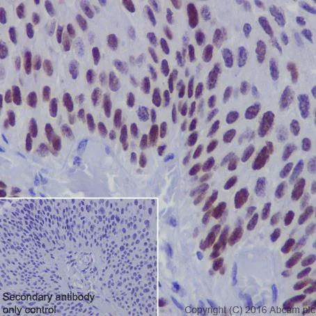
Immunohistochemistry (Formalin/PFA-fixed paraffin-embedded sections) - Anti-p73 antibody [EPR19884] - BSA and Azide free (AB251550)

This data was developed using ab215038, the same antibody clone in a different buffer formulation.

Immunohistochemical analysis of paraffin-embedded human tonsil tissue labeling p73 with ab215038 at 1/500 dilution, followed by Goat Anti-Rabbit IgG H&L (HRP) (ab97051) at 1/500 dilution. Nuclear staining on basal and parabasal layers of squamous epithelium of human tonsil is observed. Counter stained with Hematoxylin.

Secondary antibody only control : Used PBS instead of primary antibody, secondary antibody is Goat Anti-Rabbit IgG H&L (HRP) (ab97051) at 1/500 dilution.

Perform heat mediated antigen retrieval with Tris/EDTA buffer pH 9.0 before commencing with IHC staining protocol.

ChIP - Anti-p73 antibody [EPR19884] - BSA and Azide free (AB251550)
  • ChIP

Supplier Data

ChIP - Anti-p73 antibody [EPR19884] - BSA and Azide free (AB251550)

This data was developed using ab215038, the same antibody clone in a different buffer formulation.

Chromatin was prepared from HCT 116 (Human colorectal carcinoma cell line) cells treated with 1mM Hydroxyurea for 16h and non-treated according to the Abcam X-ChIP protocol. Cells were fixed with formaldehyde for 10 minutes. The ChIP was performed with 25μg of chromatin, 2μg of ab215038 (blue), and 20μl of Anti rabbit IgG sepharose beads. 2μg of rabbit normal IgG was added to the beads control (yellow). The immunoprecipitated DNA was quantified by real time PCR (Sybr green approach).

Immunohistochemistry (Formalin/PFA-fixed paraffin-embedded sections) - Anti-p73 antibody [EPR19884] - BSA and Azide free (AB251550)
  • IHC-P

Supplier Data

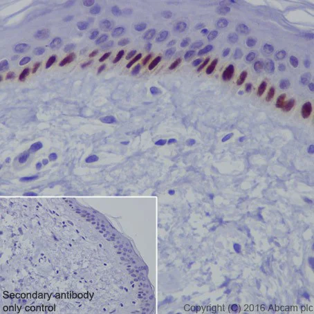
Immunohistochemistry (Formalin/PFA-fixed paraffin-embedded sections) - Anti-p73 antibody [EPR19884] - BSA and Azide free (AB251550)

This data was developed using ab215038, the same antibody clone in a different buffer formulation.

Immunohistochemical analysis of paraffin-embedded human skin tissue labeling p73 with ab215038 at 1/500 dilution, followed by Goat Anti-Rabbit IgG H&L (HRP) (ab97051) at 1/500 dilution. Nuclear staining on basal and parabasal layers of squamous epithelium of human skin is observed. Counter stained with Hematoxylin.

Secondary antibody only control : Used PBS instead of primary antibody, secondary antibody is Goat Anti-Rabbit IgG H&L (HRP) (ab97051) at 1/500 dilution.

Perform heat mediated antigen retrieval with Tris/EDTA buffer pH 9.0 before commencing with IHC staining protocol.

Immunoprecipitation - Anti-p73 antibody [EPR19884] - BSA and Azide free (AB251550)
  • IP

Supplier Data

Immunoprecipitation - Anti-p73 antibody [EPR19884] - BSA and Azide free (AB251550)

This data was developed using ab215038, the same antibody clone in a different buffer formulation.

p73 was immunoprecipitated from 0.35 mg of HEK-293 (Human epithelial cell line from embryonic kidney) whole cell lysate with ab215038 at 1/30 dilution. Western blot was performed from the immunoprecipitate using ab215038 at 1/1000 dilution. VeriBlot for IP Detection Reagent (HRP) (ab131366), was used for detection at 1/1,000 dilution.

Lane 1 : HEK-293 whole cell lysate 10 μg (Input).

Lane 2 : ab215038 IP in HEK-293 whole cell lysate.

Lane 3 : Rabbit monoclonal IgG (ab172730) instead of ab215038 in HEK-293 whole cell lysate.

Blocking and dilution buffer : 5% NFDM/TBST.

Exposure time : 1 second.

All lanes:

Immunoprecipitation - Anti-p73 antibody [EPR19884] - ChIP Grade (<a href='/en-us/products/primary-antibodies/p73-antibody-epr19884-chip-grade-ab215038'>ab215038</a>)

Predicted band size: 69 kDa

Observed band size: 80 kDa

false

Western blot - Anti-p73 antibody [EPR19884] - BSA and Azide free (AB251550)
  • WB

Lab

Western blot - Anti-p73 antibody [EPR19884] - BSA and Azide free (AB251550)

This data was developed using ab215038, the same antibody clone in a different buffer formulation.

Lane 1 : Wild-type HAP1 whole cell lysate (20 μg)

Lane 2 : p73 knockout HAP1 whole cell lysate (20 μg)

Lanes 1 - 2 : Merged signal (red and green). Green - ab215038 observed at 75 kDa. Red - loading control, ab9484, observed at 37 kDa.

ab215038 was shown to recognize p73 in wild-type HAP1 cells as signal was lost at the expected MW in p73 knockout cells. Additional cross-reactive bands were observed in the wild-type and knockout cells. Wild-type and p73 knockout samples were subjected to SDS-PAGE. ab215038 and ab9484 (Mouse anti-GAPDH loading control) were incubated overnight at 4°C at 1/50 dilution and 1/20000 dilution respectively. Blots were developed with Goat anti-Rabbit IgG H&L (IRDye® 800CW) preabsorbed ab216773 and Goat anti-Rabbit IgG H&L (IRDye® 680RD) preabsorbed ab216777 secondary antibodies at 1/10000 dilution for 1 hour at room temperature before imaging.

All lanes:

Western blot - Anti-p73 antibody [EPR19884] - ChIP Grade (<a href='/en-us/products/primary-antibodies/p73-antibody-epr19884-chip-grade-ab215038'>ab215038</a>)

Predicted band size: 69 kDa

false

Western blot - Anti-p73 antibody [EPR19884] - BSA and Azide free (AB251550)
  • WB

Supplier Data

Western blot - Anti-p73 antibody [EPR19884] - BSA and Azide free (AB251550)

This data was developed using ab215038, the same antibody clone in a different buffer formulation.

Blocking and dilution buffer : 5% NFDM/TBST.

Exposure time : Lane 1 : 3 minutes; Lanes 2-4 : 30 seconds.

The expression profile/molecular weight observed is consistent with what has been described in the literature (PMID : 11101847).

All lanes:

Western blot - Anti-p73 antibody [EPR19884] - ChIP Grade (<a href='/en-us/products/primary-antibodies/p73-antibody-epr19884-chip-grade-ab215038'>ab215038</a>) at 1/1000 dilution

Lane 1:

HT-1376 (Human urinary bladder carcinoma cell line) whole cell lysate at 10 µg

Lane 2:

HeLa (Human epithelial cell line from cervix adenocarcinoma) whole cell lysate at 10 µg

Lane 3:

293 (Human epithelial cell line from embryonic kidney) whole cell lysate at 10 µg

Lane 4:

HepG2 (Human liver hepatocellular carcinoma cell line) whole cell lysate at 10 µg

Secondary

All lanes:

Western blot - Goat Anti-Rabbit IgG H&L (HRP) (<a href='/en-us/products/secondary-antibodies/goat-rabbit-igg-h-l-hrp-ab97051'>ab97051</a>) at 1/50000 dilution

Predicted band size: 69 kDa

Observed band size: 70 kDa,80 kDa

false

Key facts

Host species

Rabbit

Clonality

Monoclonal

Clone number

EPR19884

Isotype

IgG

Carrier free

Yes

Reacts with

Human

Applications

ChIP, WB, IHC-P, IP

applications

Immunogen

The exact immunogen used to generate this antibody is proprietary information.

Reactivity data

{ "title": "Reactivity Data", "filters": { "stats": ["", "Species", "Dilution Info", "Notes"], "tabs": { "all-applications": {"fullname" : "All Applications", "shortname": "All Applications"}, "IP" : {"fullname" : "Immunoprecipitation", "shortname":"IP"}, "ChIP" : {"fullname" : "ChIP", "shortname":"ChIP"}, "WB" : {"fullname" : "Western blot", "shortname":"WB"}, "IHCP" : {"fullname" : "Immunohistochemistry (Formalin/PFA-fixed paraffin-embedded sections)", "shortname":"IHC-P"} }, "product-promise": { "all": "all", "testedAndGuaranteed": "tested", "guaranteed": "expected", "predicted": "predicted", "notRecommended": "not-recommended" } }, "values": { "Human": { "IP-species-checked": "testedAndGuaranteed", "IP-species-dilution-info": "", "IP-species-notes": "<p></p> Perform heat-mediated antigen retrieval with Tris/EDTA buffer pH 9.0 before commencing with IHC staining protocol.", "ChIP-species-checked": "testedAndGuaranteed", "ChIP-species-dilution-info": "", "ChIP-species-notes": "<p></p>", "WB-species-checked": "testedAndGuaranteed", "WB-species-dilution-info": "", "WB-species-notes": "<p></p>", "IHCP-species-checked": "testedAndGuaranteed", "IHCP-species-dilution-info": "", "IHCP-species-notes": "<p></p> Perform heat-mediated antigen retrieval with Tris/EDTA buffer pH 9.0 before commencing with IHC staining protocol." } } }

Product details

ab251550 is the carrier-free version of ab215038.

Patented technology
Our RabMAb® technology is a patented hybridoma-based technology for making rabbit monoclonal antibodies. For details on our patents, please refer to RabMAb® patents.

What are the advantages of a recombinant monoclonal antibody?
This product is a recombinant monoclonal antibody, which offers several advantages including:

  • - High batch-to-batch consistency and reproducibility
  • - Improved sensitivity and specificity
  • - Long-term security of supply
  • - Animal-free batch production

For more information, read more on recombinant antibodies.

Conjugation ready
Our carrier-free antibodies are typically supplied in a PBS-only formulation, purified and free of BSA, sodium azide and glycerol. This conjugation-ready format is designed for use with fluorochromes, metal isotopes, oligonucleotides, and enzymes, which makes them ideal for antibody labelling, functional and cell-based assays, flow-based assays (e.g. mass cytometry) and Multiplex Imaging applications.

Use our conjugation kits for antibody conjugates that are ready-to-use in as little as 20 minutes with 1 minute hands-on-time and 100% antibody recovery: available for fluorescent dyes, HRP, biotin and gold.

Compatibility
This product is compatible with the Maxpar® Antibody Labeling Kit from Fluidigm, without the need for antibody preparation. Maxpar® is a trademark of Fluidigm Canada Inc.

Properties and storage information

Form
Liquid
Storage buffer
pH: 7.2 - 7.4 Constituents: PBS
Shipped at conditions
Blue Ice
Appropriate short-term storage conditions
+4°C
Appropriate long-term storage conditions
+4°C
Storage information
Do Not Freeze

Supplementary information

This supplementary information is collated from multiple sources and compiled automatically.

The protein p73 also known in scientific literature as p-73 or simply p 73 is a member of the p53 family of transcription factors. Molecular weight of p73 is approximately 80 kDa. It is expressed widely in human tissues with high levels observed in the brain kidneys and heart. Structurally p73 is similar to p53 and shares many functional domains including a DNA-binding domain and an oligomerization domain.
Biological function summary

P73 plays a significant role in regulating cell cycle and apoptosis. It can activate transcription of several genes involved in these processes. p73 does not function alone; it can form complexes with other p53 family members and modulate cellular responses to stress. p73 also contributes to differentiation particularly in neuronal cells where it promotes survival and development.

Pathways

The activity of p73 is involved in important signaling routes such as the DNA damage response and the apoptosis pathway. It interacts with many other proteins including p53 to maintain genomic stability. The pathway connections illustrate that p73 acts as a critical node influencing cell fate and maintaining cellular health.

Research links p73 to conditions such as cancer and neurodevelopmental disorders. Abnormal expression or mutation of p73 is observed in various cancers often associated with altered p53 function. In neurodevelopmental disorders deficits in p73 expression can impair brain development and function. Understanding how p73 interacts with p53 in these contexts is important for developing therapeutic strategies.

Product protocols

For this product, it's our understanding that no specific protocols are required. You can visit:

Target data

Participates in the apoptotic response to DNA damage. Isoforms containing the transactivation domain are pro-apoptotic, isoforms lacking the domain are anti-apoptotic and block the function of p53 and transactivating p73 isoforms. May be a tumor suppressor protein. Is an activator of FOXJ1 expression (By similarity). It is an essential factor for the positive regulation of lung ciliated cell differentiation (PubMed : 34077761).
See full target information TP73

Publications (1)

Recent publications for all applications. Explore the full list and refine your search

Cancer cell 39:1479-1496.e18 PubMed34653364

2021

Signatures of plasticity, metastasis, and immunosuppression in an atlas of human small cell lung cancer.

Applications

Unspecified application

Species

Unspecified reactive species

Joseph M Chan,Álvaro Quintanal-Villalonga,Vianne Ran Gao,Yubin Xie,Viola Allaj,Ojasvi Chaudhary,Ignas Masilionis,Jacklynn Egger,Andrew Chow,Thomas Walle,Marissa Mattar,Dig V K Yarlagadda,James L Wang,Fathema Uddin,Michael Offin,Metamia Ciampricotti,Besnik Qeriqi,Amber Bahr,Elisa de Stanchina,Umesh K Bhanot,W Victoria Lai,Matthew J Bott,David R Jones,Arvin Ruiz,Marina K Baine,Yanyun Li,Natasha Rekhtman,John T Poirier,Tal Nawy,Triparna Sen,Linas Mazutis,Travis J Hollmann,Dana Pe'er,Charles M Rudin
View all publications

Product promise

We are committed to supporting your work with high-quality reagents, and we're here for you every step of the way. In the unlikely event that one of our products does not perform as expected, you're protected by our Product Promise.
For full details, please see our Terms & Conditions

Please note: All products are 'FOR RESEARCH USE ONLY. NOT FOR USE IN DIAGNOSTIC OR THERAPEUTIC PROCEDURES'.

For licensing inquiries, please contact partnerships@abcam.com