JavaScript is disabled in your browser. Please enable JavaScript to view this website.
AB221212

Anti-p75 NGF Receptor antibody [EP1039Y] - Low endotoxin, Azide free

Be the first to review this product! Submit a review

|

(10 Publications)

Rabbit Recombinant Monoclonal p75 NGF Receptor antibody. Carrier free. Suitable for IP, WB, ICC/IF, Flow Cyt (Intra), IHC-P and reacts with Rat, Human, Mouse samples. Cited in 10 publications.

View Alternative Names

CD271, TNFRSF16, NGFR, Tumor necrosis factor receptor superfamily member 16, Gp80-LNGFR, Low affinity neurotrophin receptor p75NTR, Low-affinity nerve growth factor receptor, Low-affinity nerve growth factor receptor p75NGFR, Low-affinity nerve growth factor receptor p75NGR, p75 ICD, NGF receptor

11 Images
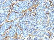
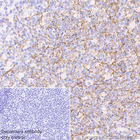
Immunohistochemistry (Formalin/PFA-fixed paraffin-embedded sections) - Anti-p75 NGF Receptor antibody [EP1039Y] - Low endotoxin, Azide free (AB221212)
  • IHC-P

Lab

Immunohistochemistry (Formalin/PFA-fixed paraffin-embedded sections) - Anti-p75 NGF Receptor antibody [EP1039Y] - Low endotoxin, Azide free (AB221212)

This data was developed using ab52987, the same antibody clone in a different buffer formulation.

Immunohistochemical analysis of formalin fixed paraffin embedded human tonsil labelling p75 NGF Receptor with ab52987 at a concentration of 0.1µg/ml. The immunostaining was performed on a Ventana DISCOVERY ULTRA (Roche Tissue Diagnostics) instrument with a OptiView DAB IHC Detection Kit. Heat mediated antigen retrieval was performed with DISCOVERY cell conditioning solution (CC1) 100°C, pH8.5 for 32mins.

Anti-p75 NGF Receptor antibody [EP1039Y] ab52987 was incubated for 16mins at 37°C. Sections were counterstained with Hematoxylin II. Image inset shows absence of staining in secondary antibody only control.

Customers are encouraged to optimise antigen retrieval conditions, antibody concentration, incubation times and temperature for best results in their own IHC assay workflow (automated and manual).

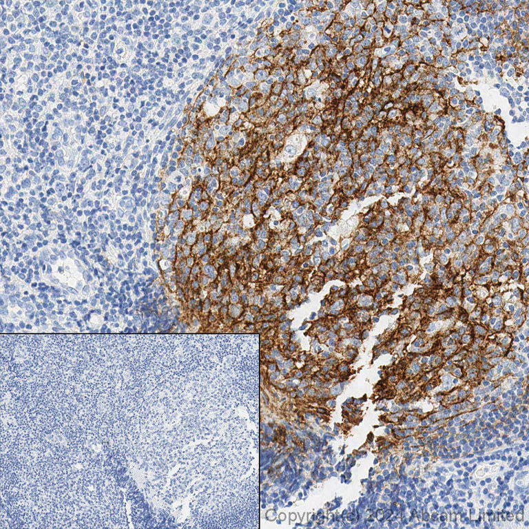
Immunohistochemistry (Formalin/PFA-fixed paraffin-embedded sections) - Anti-p75 NGF Receptor antibody [EP1039Y] - Low endotoxin, Azide free (AB221212)
  • IHC-P

Unknown

Immunohistochemistry (Formalin/PFA-fixed paraffin-embedded sections) - Anti-p75 NGF Receptor antibody [EP1039Y] - Low endotoxin, Azide free (AB221212)

Purified ab52987 staining p75 NGF receptor in paraffin embedded Human tonsil tissue sections by Immunohistochemistry. Antigen retrieval was by heat mediation using ab93684 (Tris/EDTA buffer, pH 9.0). Samples were incubated with primary antibody at 3.3μg/ml. A ready to use Goat Anti-Rabbit IgG H&L (HRP) was used as the secondary antibody. Hematoxylin was used as a counterstain. Positive staining on germinal centre of human tonsil.

This data was developed using the same antibody clone in a different buffer formulation containing PBS, BSA, glycerol, and sodium azide (ab52987).

Flow Cytometry (Intracellular) - Anti-p75 NGF Receptor antibody [EP1039Y] - Low endotoxin, Azide free (AB221212)
  • Flow Cyt (Intra)

Unknown

Flow Cytometry (Intracellular) - Anti-p75 NGF Receptor antibody [EP1039Y] - Low endotoxin, Azide free (AB221212)

Intracellular Flow Cytometry analysis of PC-12 (rat adrenal gland pheochromocytoma) cells labeling p75 NGF Receptor with purified ab52987 at 1/80 dilution (1ug/mL) (red). Cells were fixed with 4% paraformaldehyde and permeabilised with 90% methanol. A Goat anti rabbit IgG (Alexa Fluor®488) at 1/2000 dilution was used as the secondary antibody. Rabbit monoclonal IgG (ab172730) (Black) was used as the isotype control, cells without incubation with primary antibody and secondary antibody (Blue) was used as the unlabeled control.

This data was developed using the same antibody clone in a different buffer formulation containing PBS, BSA, glycerol, and sodium azide (ab52987).

Flow Cytometry (Intracellular) - Anti-p75 NGF Receptor antibody [EP1039Y] - Low endotoxin, Azide free (AB221212)
  • Flow Cyt (Intra)

Unknown

Flow Cytometry (Intracellular) - Anti-p75 NGF Receptor antibody [EP1039Y] - Low endotoxin, Azide free (AB221212)

Intracellular Flow Cytometry analysis of PC-12 (rat adrenal gland pheochromocytoma) cells labeling p75 NGF Receptor with unpurified ab52987 at 1/60 dilution (10ug/mL) (red). Cells were fixed with 4% paraformaldehyde and permeabilised with 90% methanol. A Goat anti rabbit IgG (Alexa Fluor®488) at 1/2000 dilution was used as the secondary antibody. Rabbit monoclonal IgG (Black) was used as the isotype control, cells without incubation with primary antibody and secondary antibody (Blue) was used as the unlabeled control.

This data was developed using the same antibody clone in a different buffer formulation containing PBS, BSA, glycerol, and sodium azide (ab52987).

Immunocytochemistry/ Immunofluorescence - Anti-p75 NGF Receptor antibody [EP1039Y] - Low endotoxin, Azide free (AB221212)
  • ICC/IF

Unknown

Immunocytochemistry/ Immunofluorescence - Anti-p75 NGF Receptor antibody [EP1039Y] - Low endotoxin, Azide free (AB221212)

ICC/IF image of ab52987 stained PC12 cells. The cells were 100% methanol fixed (5 min) and then incubated in 1% BSA / 10% normal goat serum / 0.3M glycine in 0.1% PBS-Tween for 1 hour to permeabilise the cells and block non-specific protein-protein interactions. The cells were then incubated with the antibody (ab52987, 1 µg/mL) overnight at 4oC. The secondary antibody (green) was Alexa Fluor® 488 goat anti-rabbit IgG (H+L) used at a 1/1000 dilution for 1 hour. Alexa Fluo® 594 WGA was used to label plasma membranes (red) at a 1/200 dilution for 1 hour. DAPI was used to stain the cell nuclei (blue) at a concentration of 1.4 µM.

This data was developed using the same antibody clone in a different buffer formulation containing PBS, BSA, glycerol, and sodium azide (ab52987).

Immunocytochemistry/ Immunofluorescence - Anti-p75 NGF Receptor antibody [EP1039Y] - Low endotoxin, Azide free (AB221212)
  • ICC/IF

Unknown

Immunocytochemistry/ Immunofluorescence - Anti-p75 NGF Receptor antibody [EP1039Y] - Low endotoxin, Azide free (AB221212)

Purified ab52987 staining p75 NGF receptor in PC-12 (rat adrenal gland pheochromocytoma) by ICC/IF (Immunocytochemistry/Immunofluorescence). Cells were fixed with 4% paraformaldehyde and permeabilized with 0.1% TritonX-100. Samples were incubated with primary antibody at 3.9 µg/ml. An AlexaFluor®488 Goat anti-Rabbit was used as the secondary antibody at 2 µg/ml. DAPI was used as a nuclear counterstain. Confocal image showing cytoplasmic and Membranous staining in PC-12 cells.

This data was developed using the same antibody clone in a different buffer formulation containing PBS, BSA, glycerol, and sodium azide (ab52987).

Immunoprecipitation - Anti-p75 NGF Receptor antibody [EP1039Y] - Low endotoxin, Azide free (AB221212)
  • IP

Unknown

Immunoprecipitation - Anti-p75 NGF Receptor antibody [EP1039Y] - Low endotoxin, Azide free (AB221212)

Lane 1 (input) : PC-12 (rat adrenal gland pheochromocytoma) whole cell lysate 10μg
Lane 2 (+) : PC-12 whole cell lysate
Lane 3 (-) : Rabbit monoclonal IgG (ab172730) instead of ab52987 in PC-12 whole cell lysate

ab52987 immunoprecipitating p75 NGF receptor in PC-12 whole cell lysates. For western blotting, primary antibody used was ab52987 at 1.6 μg/ml. ab131366 VeriBlot for IP (HRP) was used for detection at 1/1000 dilution. Capture antibody was used at 1 : 40 dilution (2μg in 0.35mg lysates).

Blocking and diluting buffer : 5% NFDM/TBST.

Exposure : 10 seconds

This data was developed using the same antibody clone in a different buffer formulation containing PBS, BSA, glycerol, and sodium azide (ab52987).

All lanes:

Immunoprecipitation - Anti-p75 NGF Receptor antibody [EP1039Y] (<a href='/en-us/products/primary-antibodies/p75-ngf-receptor-antibody-ep1039y-ab52987'>ab52987</a>)

Predicted band size: 45 kDa

Observed band size: 75 kDa

false

Exposure time: 10s

Western blot - Anti-p75 NGF Receptor antibody [EP1039Y] - Low endotoxin, Azide free (AB221212)
  • WB

Lab

Western blot - Anti-p75 NGF Receptor antibody [EP1039Y] - Low endotoxin, Azide free (AB221212)

This data was developed using ab52987, the same antibody clone in a different buffer formulation.

Blocking and diluting buffer : 5% NFDM/TBST.

ab52987 fails to detect band of interest in hippocampus and cortex lysates (positive, PMID : 25180603, 28507518, 18930453, 20937383, 21059364), indicating its low affinity in some p75 NGF Receptor positive materials.

Exposure :
Lane 1-3 : 8 seconds
Lane 4-6 : 180 seconds
Lane 7-9 : 30 seconds

All lanes:

Western blot - Anti-p75 NGF Receptor antibody [EP1039Y] (<a href='/en-us/products/primary-antibodies/p75-ngf-receptor-antibody-ep1039y-ab52987'>ab52987</a>) at 1/1000 dilution

Lane 1:

SW480 (Human colorectal adenocarcinoma epithelial cell) whole cell lysates at 20 µg

Lane 2:

Human hippocampus tissue lysates at 20 µg

Lane 3:

Human brain cortex tissue lysates at 20 µg

Lane 4:

Neuro-2a (Mouse neuroblastoma neuroblast) whole cell lysates at 20 µg

Lane 5:

Mouse hippocampus tissue lysates at 20 µg

Lane 6:

Mouse cerebral cortex lysates at 20 µg

Lane 7:

PC-12 (Rat adrenal gland pheochromocytoma) whole cell lysates at 20 µg

Lane 8:

Rat hippocampus tissue lysates at 20 µg

Lane 9:

Rat brain cortex tissue lysates at 20 µg

Secondary

All lanes:

Goat Anti-Rabbit IgG (HRP) with minimal cross-reactivity with human IgG at 1/2000 dilution

Predicted band size: 45 kDa

false

Western blot - Anti-p75 NGF Receptor antibody [EP1039Y] - Low endotoxin, Azide free (AB221212)
  • WB

Lab

Western blot - Anti-p75 NGF Receptor antibody [EP1039Y] - Low endotoxin, Azide free (AB221212)

This data was developed using ab52987, the same antibody clone in a different buffer formulation.

Blocking and diluting buffer : 5% NFDM/TBST.

ab52987 fails to detect band of interest in Capan-1 (positive, PMID : 14613990) and brain lysates (positive, PMID : 21413144, 21541365), indicating its low affinity in some p75 NGF Receptor positive materials.

All lanes:

Western blot - Anti-p75 NGF Receptor antibody [EP1039Y] (<a href='/en-us/products/primary-antibodies/p75-ngf-receptor-antibody-ep1039y-ab52987'>ab52987</a>) at 1/1000 dilution

Lane 1:

Capan-1 (Human pancreas adenocarcinoma epithelial cell) whole cell lysates at 20 µg

Lane 2:

Mouse uterus tissue lysates at 20 µg

Lane 3:

Mouse brain tissue lysates at 20 µg

Lane 4:

Rat uterus tissue lysates at 20 µg

Lane 5:

Rat brain tissue lysates at 20 µg

Secondary

All lanes:

Goat Anti-Rabbit IgG (HRP) with minimal cross-reactivity with human IgG at 1/2000 dilution

Predicted band size: 45 kDa

false

Exposure time: 180s

Western blot - Anti-p75 NGF Receptor antibody [EP1039Y] - Low endotoxin, Azide free (AB221212)
  • WB

Supplier Data

Western blot - Anti-p75 NGF Receptor antibody [EP1039Y] - Low endotoxin, Azide free (AB221212)

This data was developed using ab52987, the same antibody clone in a different buffer formulation.

All lanes:

Western blot - Anti-p75 NGF Receptor antibody [EP1039Y] (<a href='/en-us/products/primary-antibodies/p75-ngf-receptor-antibody-ep1039y-ab52987'>ab52987</a>) at 1/50000 dilution

All lanes:

PC12 cell lysate at 10 µg

Secondary

All lanes:

goat anti-rabbit HRP labelled at 1/2000 dilution

Predicted band size: 45 kDa

Observed band size: 75 kDa

false

OI-RD Scanning - Anti-p75 NGF Receptor antibody [EP1039Y] - Low endotoxin, Azide free (AB221212)
  • OI-RD Scanning

Unknown

OI-RD Scanning - Anti-p75 NGF Receptor antibody [EP1039Y] - Low endotoxin, Azide free (AB221212)

We have systematically measured KD (the equilibrium dissociation constant between the antibody and its antigen), of more than 840 recombinant antibodies to assess not only their individual KD values but also to see the average affinity of antibody. Based on the comparison with published literature values for mouse monoclonal antibodies, Recombinant antibodies appear to be on average 1-2 order of magnitude higher affinity.

  • 603 Alexa Fluor® 568

    Alexa Fluor® 568 Anti-p75 NGF Receptor antibody [EP1039Y]

  • 660 APC

    APC Anti-p75 NGF Receptor antibody [EP1039Y]

  • 519 Alexa Fluor® 488

    Alexa Fluor® 488 Anti-p75 NGF Receptor antibody [EP1039Y]

  • Unconjugated

    Anti-p75 NGF Receptor antibody [EP1039Y]

  • 665 Alexa Fluor® 647

    Alexa Fluor® 647 Anti-p75 NGF Receptor antibody [EP1039Y]

  • Carrier free

    Anti-p75 NGF Receptor antibody [EP1039Y] - BSA and Azide free

  • 578 PE

    PE Anti-p75 NGF Receptor antibody [EP1039Y]

  • 617 Alexa Fluor® 594

    Alexa Fluor® 594 Anti-p75 NGF Receptor antibody [EP1039Y]

  • 565 Alexa Fluor® 555

    Alexa Fluor® 555 Anti-p75 NGF Receptor antibody [EP1039Y]

  • 775 Alexa Fluor® 750

    Alexa Fluor® 750 Anti-p75 NGF Receptor antibody [EP1039Y]

Key facts

Host species

Rabbit

Clonality

Monoclonal

Clone number

EP1039Y

Isotype

IgG

Carrier free

Yes

Reacts with

Mouse, Rat, Human

Applications

WB, IP, IHC-P, Flow Cyt (Intra), ICC/IF

applications

Immunogen

The exact immunogen used to generate this antibody is proprietary information.

Reactivity data

{ "title": "Reactivity Data", "filters": { "stats": ["", "Species", "Dilution Info", "Notes"], "tabs": { "all-applications": {"fullname" : "All Applications", "shortname": "All Applications"}, "IP" : {"fullname" : "Immunoprecipitation", "shortname":"IP"}, "WB" : {"fullname" : "Western blot", "shortname":"WB"}, "ICCIF" : {"fullname" : "Immunocytochemistry/ Immunofluorescence", "shortname":"ICC/IF"}, "FlowCytIntra" : {"fullname" : "Flow Cytometry (Intracellular)", "shortname":"Flow Cyt (Intra)"}, "IHCP" : {"fullname" : "Immunohistochemistry (Formalin/PFA-fixed paraffin-embedded sections)", "shortname":"IHC-P"} }, "product-promise": { "all": "all", "testedAndGuaranteed": "tested", "guaranteed": "expected", "predicted": "predicted", "notRecommended": "not-recommended" } }, "values": { "Human": { "IP-species-checked": "guaranteed", "IP-species-dilution-info": "", "IP-species-notes": "", "WB-species-checked": "testedAndGuaranteed", "WB-species-dilution-info": "", "WB-species-notes": "<p></p>", "ICCIF-species-checked": "guaranteed", "ICCIF-species-dilution-info": "", "ICCIF-species-notes": "", "FlowCytIntra-species-checked": "guaranteed", "FlowCytIntra-species-dilution-info": "", "FlowCytIntra-species-notes": "", "IHCP-species-checked": "testedAndGuaranteed", "IHCP-species-dilution-info": "", "IHCP-species-notes": "<p></p> Perform heat-mediated antigen retrieval with Tris/EDTA buffer pH 9.0 before commencing with IHC staining protocol." }, "Mouse": { "IP-species-checked": "guaranteed", "IP-species-dilution-info": "", "IP-species-notes": "", "WB-species-checked": "testedAndGuaranteed", "WB-species-dilution-info": "", "WB-species-notes": "<p></p>", "ICCIF-species-checked": "guaranteed", "ICCIF-species-dilution-info": "", "ICCIF-species-notes": "", "FlowCytIntra-species-checked": "guaranteed", "FlowCytIntra-species-dilution-info": "", "FlowCytIntra-species-notes": "", "IHCP-species-checked": "notRecommended", "IHCP-species-dilution-info": "", "IHCP-species-notes": "<p></p>" }, "Rat": { "IP-species-checked": "testedAndGuaranteed", "IP-species-dilution-info": "", "IP-species-notes": "<p></p>", "WB-species-checked": "testedAndGuaranteed", "WB-species-dilution-info": "", "WB-species-notes": "<p></p>", "ICCIF-species-checked": "testedAndGuaranteed", "ICCIF-species-dilution-info": "", "ICCIF-species-notes": "<p></p>", "FlowCytIntra-species-checked": "testedAndGuaranteed", "FlowCytIntra-species-dilution-info": "", "FlowCytIntra-species-notes": "<p></p>", "IHCP-species-checked": "notRecommended", "IHCP-species-dilution-info": "", "IHCP-species-notes": "<p></p>" } } }

Product details

ab221212 is the carrier-free version of ab52987.

Patented technology
Our RabMAb® technology is a patented hybridoma-based technology for making rabbit monoclonal antibodies. For details on our patents, please refer to RabMAb® patents.

What are the advantages of a recombinant monoclonal antibody?
This product is a recombinant monoclonal antibody, which offers several advantages including:

  • - High batch-to-batch consistency and reproducibility
  • - Improved sensitivity and specificity
  • - Long-term security of supply
  • - Animal-free batch production

For more information, read more on recombinant antibodies.

Conjugation ready
Our carrier-free antibodies are typically supplied in a PBS-only formulation, purified and free of BSA, sodium azide and glycerol. This conjugation-ready format is designed for use with fluorochromes, metal isotopes, oligonucleotides, and enzymes, which makes them ideal for antibody labelling, functional and cell-based assays, flow-based assays (e.g. mass cytometry) and Multiplex Imaging applications.

Use our conjugation kits for antibody conjugates that are ready-to-use in as little as 20 minutes with 1 minute hands-on-time and 100% antibody recovery: available for fluorescent dyes, HRP, biotin and gold.

Compatibility
This product is compatible with the Maxpar® Antibody Labeling Kit from Fluidigm, without the need for antibody preparation. Maxpar® is a trademark of Fluidigm Canada Inc.

What does low endotoxin mean?
Our low endotoxin, azide-free formats have low endotoxin level (1 EU/mg, determined by the TAL assay) and are free from azide, to achieve consistent experimental results in functional assays.

Properties and storage information

Form
Liquid
Purification technique
Affinity purification Protein A
Storage buffer
pH: 7.2 - 7.4 Constituents: PBS
Shipped at conditions
Blue Ice
Appropriate short-term storage conditions
+4°C
Appropriate long-term storage conditions
+4°C
Storage information
Do Not Freeze

Supplementary information

This supplementary information is collated from multiple sources and compiled automatically.

The p75 NGF receptor also known as p75 NGFR or anti-NTR is a transmembrane protein with a molecular mass of approximately 75 kDa. It is a member of the tumor necrosis factor receptor superfamily. This receptor is widely expressed in the nervous system particularly in neurons glial cells and Schwann cells. The p75 receptor primarily binds to neurotrophins such as nerve growth factor (NGF) influencing neuronal survival apoptosis and growth.
Biological function summary

The p75 receptor functions as an important part of a signaling complex that mediates diverse cellular responses. It often forms complexes with other receptors like TrkA but can also signal independently. In particular the p75 protein can form a biological chimera with different co-receptors influencing its downstream effects. This makes it significant in processes like apoptosis and neuronal differentiation as well as influencing neurotrophin-mediated signaling.

Pathways

The p75 receptor plays an important role in pathways involving neuronal survival and apoptosis. One key pathway involves the nerve growth factor (NGF) signaling pathway where p75 collaborates with Trk receptors enhancing or inhibiting NGF signaling based on cellular context. Another pathway is the JNK signaling pathway where the p75 receptor interacts with proteins like sortilin contributing to apoptosis and stress responses in neurons. These interactions determine the outcome of neurotrophic signaling highlighting its role in cell fate decisions.

P75 receptor is associated with several neurodegenerative conditions and cancers. Its involvement in Alzheimer's disease is significant because altered p75 expression and function can contribute to neurodegeneration through apoptosis pathways. This receptor is also linked to glioblastoma where it might promote tumor progression in coordination with proteins such as sortilin. These links make p75 receptor a target of interest for therapeutic intervention in these diseases.

Product protocols

For this product, it's our understanding that no specific protocols are required. You can visit:

Target data

Low affinity receptor which can bind to NGF, BDNF, NTF3, and NTF4. Forms a heterodimeric receptor with SORCS2 that binds the precursor forms of NGF, BDNF and NTF3 with high affinity, and has much lower affinity for mature NGF and BDNF (PubMed : 24908487). Plays an important role in differentiation and survival of specific neuronal populations during development (By similarity). Can mediate cell survival as well as cell death of neural cells. Plays a role in the inactivation of RHOA (PubMed : 26646181). Plays a role in the regulation of the translocation of GLUT4 to the cell surface in adipocytes and skeletal muscle cells in response to insulin, probably by regulating RAB31 activity, and thereby contributes to the regulation of insulin-dependent glucose uptake (By similarity). Necessary for the circadian oscillation of the clock genes BMAL1, PER1, PER2 and NR1D1 in the suprachiasmatic nucleus (SCmgetaN) of the brain and in liver and of the genes involved in glucose and lipid metabolism in the liver (PubMed : 23785138).
See full target information NGFR

Publications (10)

Recent publications for all applications. Explore the full list and refine your search

Communications biology 5:697 PubMed35835937

2022

Combined MEK and JAK/STAT3 pathway inhibition effectively decreases SHH medulloblastoma tumor progression.

Applications

Unspecified application

Species

Unspecified reactive species

Jamie Zagozewski,Stephanie Borlase,Brent J Guppy,Ludivine Coudière-Morrison,Ghazaleh M Shahriary,Victor Gordon,Lisa Liang,Stephen Cheng,Christopher J Porter,Rhonda Kelley,Cynthia Hawkins,Jennifer A Chan,Yan Liang,Jingjing Gong,Carolina Nör,Olivier Saulnier,Robert J Wechsler-Reya,Vijay Ramaswamy,Tamra E Werbowetski-Ogilvie

Journal of the American Heart Association 10:e018322 PubMed33666096

2021

Brain-Derived Neurotrophic Factor Expression and Signaling in Different Perivascular Adipose Tissue Depots of Patients With Coronary Artery Disease.

Applications

Unspecified application

Species

Unspecified reactive species

Sarah Zierold,Katja Buschmann,Sogol Gachkar,Magdalena L Bochenek,David Velmeden,Lukas Hobohm,Christian-Friedrich Vahl,Katrin Schäfer

Cells, tissues, organs 199:393-404 PubMed25720390

2015

Hypoxia induces an undifferentiated phenotype of oral keratinocytes in vitro.

Applications

WB

Species

Human

Hiroko Kato,Kenji Izumi,Atsushi Uenoyama,Aki Shiomi,Shiuhyang Kuo,Stephen E Feinberg

Neural development 9:24 PubMed25363691

2014

Neuropilins define distinct populations of neural crest cells.

Applications

Unspecified application

Species

Unspecified reactive species

Rachael Lumb,Sophie Wiszniak,Samuela Kabbara,Michaela Scherer,Natasha Harvey,Quenten Schwarz

BioMed research international 2014:310215 PubMed25177687

2014

Characterization of glial cell models and in vitro manipulation of the neuregulin1/ErbB system.

Applications

WB

Species

Rat

Davide Pascal,Alessia Giovannelli,Sara Gnavi,Stefan Adriaan Hoyng,Fred de Winter,Michela Morano,Federica Fregnan,Paola Dell'Albani,Damiano Zaccheo,Isabelle Perroteau,Rosalia Pellitteri,Giovanna Gambarotta

Stem cells translational medicine 1:266-78 PubMed23197806

2012

Human neural crest stem cells derived from human ESCs and induced pluripotent stem cells: induction, maintenance, and differentiation into functional schwann cells.

Applications

ICC/IF

Species

Human

Qiuyue Liu,Steven C Spusta,Ruifa Mi,Rhonda N T Lassiter,Michael R Stark,Ahmet Höke,Mahendra S Rao,Xianmin Zeng

Histopathology 60:554-60 PubMed22250648

2012

A novel immunohistochemical sequential multi-labelling and erasing technique enables epitope characterization of bone marrow pericytes in primary myelofibrosis.

Applications

IHC-P

Species

Human

Ann Madelung,Michael Bzorek,Henrik Bondo,Eva Zetterberg,Ole Weis Bjerrum,Hans Carl Hasselbalch,Stefan Scheding,Elisabeth Ralfkiaer

Stem cells (Dayton, Ohio) 29:1752-62 PubMed21948558

2011

Direct reprogramming of melanocytes to neural crest stem-like cells by one defined factor.

Applications

ICC/IF

Species

Unspecified reactive species

Susan E Zabierowski,Valerie Baubet,Benjamin Himes,Ling Li,Mizuho Fukunaga-Kalabis,Sonal Patel,Ronan McDaid,Matt Guerra,Phyllis Gimotty,Nadia Dahmane,Nadia Dahamne,Meenhard Herlyn

Reproductive biology and endocrinology : RB&E 9:30 PubMed21385399

2011

Accumulation of nerve growth factor and its receptors in the uterus and dorsal root ganglia in a mouse model of adenomyosis.

Applications

IHC-P, WB

Species

Mouse, Mouse

Yan Li,Shao-fen Zhang,Shi-en Zou,Xian Xia,Lei Bao

Journal of cell science 123:853-60 PubMed20159965

2010

Human dermal stem cells differentiate into functional epidermal melanocytes.

Applications

ICC/IF

Species

Human

Ling Li,Mizuho Fukunaga-Kalabis,Hong Yu,Xiaowei Xu,Jun Kong,John T Lee,Meenhard Herlyn
View all publications

Product promise

We are committed to supporting your work with high-quality reagents, and we're here for you every step of the way. In the unlikely event that one of our products does not perform as expected, you're protected by our Product Promise.
For full details, please see our Terms & Conditions

Please note: All products are 'FOR RESEARCH USE ONLY. NOT FOR USE IN DIAGNOSTIC OR THERAPEUTIC PROCEDURES'.

For licensing inquiries, please contact partnerships@abcam.com